LINFOMAS Hematología 372 Christian Alejandra Sarabia Aldana
Linfoma no Hodgkin Neoplasias del sistema retículo endotelial (monocitos , macrófagos ,   histiocitos, fibroblastos, células endoteliales y reticulares), diferentes de la enfermedad de Hodgkin comprende desde neoplasias con un curso lento e indolente hasta las que presentan gran velocidad de crecimiento e invasividad.
Epidemiología EU   45 000 casos nuevos al año 4% de los canceres en ese país Registro Histopatológico de Neoplasias en México (RHNM) 1999   2 911 casos nuevos de LNH. 0.98% de todas las neoplasias malignas. 11vo lugar en hombres y 13vo en mujeres como causa de muerte.
Etiología VEB  linfoma de Burkitt, Granuloma de la línea media y granulomatosis linfoide.  Virus HTLV-1  leucemia/linfoma de células T en el adulto. Helicobacter Pilory  Linfomas gástricos tipo MALT. Difenilhidantoina   hiperplasia linfoide-linfoma. Herbicidas, pesticidas, pintura de cabello  ????? Factores industriales   arsénico, clorofenoles, solventes orgánicos, plomo, cloruro de vinilo y asbestos. Explosiones nucleares o accidentes de reactores nucleares. Quimioterapia o radioterapia Enfermedades autoinmunes, inmunodeficiencias hereditarias y adquiridas. Inmunosupresión crónica   linfoma difuso de células grandes y el linfoma inmunoblástico de estirpe B. Inmunodeficiencias hereditarias e HIV   linfoma de células pequeñas no hendidas y linfoma inmunoblástico.
Diagnostico Inmunofenotipo Aspirado y biopsia de medula ósea con aguja. Estudios de imagen ( Radiografías de tórax PA y lateral, TAC abdominopélvica). Estudios de laboratorio (citometria hemática, pruebas de función hepática y renal, DHL, ácido úrico, electroforesis de proteínas,  ß2 microglobulina) Exploración física completa (áreas ganglionares, anillo de Waldeyer). Historia detallada (velocidad de crecimiento de lesiones, y presencia de síntomas B Biopsia adecuada Estudios para establecer la extensión de linfomas no Hodgkin
Clasificación Working formulation (WF) J .Linfoma linfoblástico I. Linfoma de células pequeñas no hendidas H. Linfoma difuso inmunoblástico GRADO ALTO G. Linfoma difuso de células grandes, hendidas o no hendidas F. Linfoma difuso mixto E .Linfoma difuso de células pequeñas hendidas D. Linfoma folicular de células grandes GRADO INTERMEDIO C.  Linfoma folicular mixto B. Linfoma folicular de células pequeñas hendidas A. Linfoma difuso de linfocitos pequeños GRADO BAJO
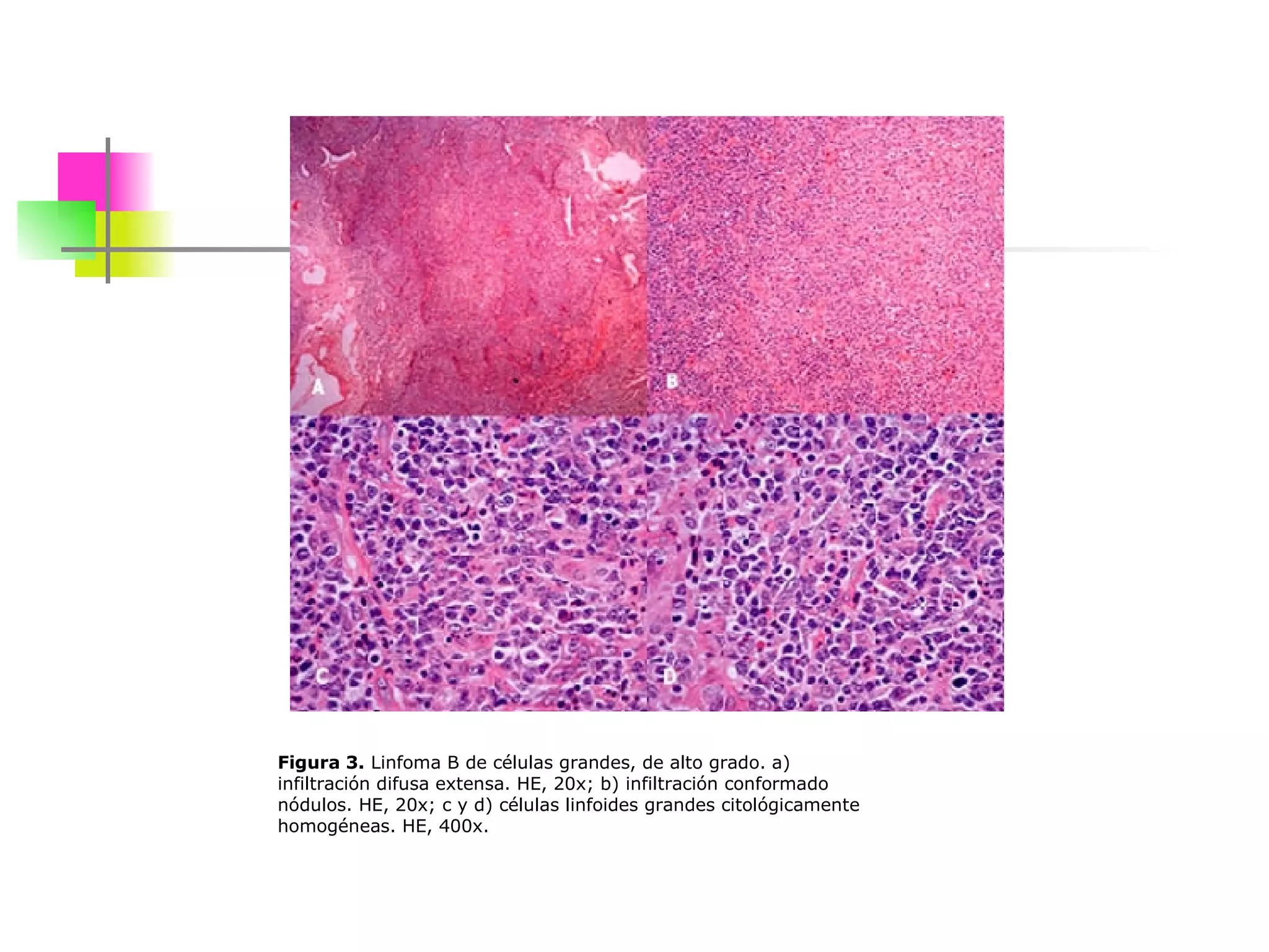
                                                                     Figura 3.  Linfoma B de células grandes, de alto grado. a) infiltración difusa extensa. HE, 20x; b) infiltración conformado nódulos. HE, 20x; c y d) células linfoides grandes citológicamente homogéneas. HE, 400x.
LINFOMA DIFUSO DE CÉLULAS GRANDES
LINFOMA FOLICULAR
Clasificación REAL/OMS Neoplasias de células B Neoplasias de precursores de células B Leucemia/linfoma linfoblástico de precursores B (leucemia aguda linfoblástica pre B). Neoplasias de células B maduras Leucemia linfocitica crónica /leucemia de linfocitos pequeños de células B. Leucemia prelinfocitica de células B Leucemia linfoplasmocitico de células B Linfoma esplenico de células B de la zona marginal (con o sin linfocitos vellosos). Leucemia de células peludas Mieloma de células plasmáticas/plasmocitoma Linfoma extranodal de células B de la zona marginal de tipo MALT Linfoma ganglionar de células B de la zona marginal (con o sin células B monocitoides).
Clasificación REAL/OMS Linfoma folicular Linfoma de células del manto Linfoma difuso de células grandes B Linfoma mediastinal de células grandes B Linfoma de cavidades B.Neoplasia de células T y NK Neoplasias de precursores de células T Leucemia/linfoma linfoblástico de precursores T (leucemia aguda  linfoblástica de precursores T Neoplasias de células T maduras   Leucemia prolinfocitica de células T Leucemia linfocitica granular de células T Leucemia linfocitica granular de células T Leucemia de células NK agresiva
Clasificación REAL/OMS Leucemia linfoma de células T en el adulto /HTLV-1) Linfoma de células T/NK extranodal, tipo nasal Linfoma de células T tipo enteropatia Linfoma de células T  γδ  hepato-esplénico Linfoma de células T tipo paniculitis subcutánea Sx de sezary/micosis fungoide Linfoma anaplasico de células grandes, cutáneo primario de células T/nulas Linfoma de células T periférico, no clasificable Linfoma de células T angioinmunoblastico Leucemia de células grandes anaplasico de células T/nulas, sistémico primario C. Linfoma de Hodgkin (enfermedad de Hodgkin) Linfoma de Hodgkin con predominio linfocitico nodular
Clasificación REAL/OMS Linfoma de Hodkin clásico Linfoma de Hodgkin con esclerosis nodular Linfoma de Hodgkin rico en linfocitos Linfoma de Hodgkin con celularidad mixta Linfoma de Hodgkin con disminucion linfocitaria
LINFOMA MALT Figura 4: Endoscopía, estómago – la mucosa presenta difusamente enantema de grado moderado, con discreta nudosidad en la región prepilórica Figura 5: células linfoides infiltrando difusamente la mucosa gástrica con inmunopositividad para el anticuerpo anti-CD20. IHQ, 4X.
Modo de presentación y diagnostico diferencial Linfadenopatias  (hacer biopsia a ganglio duro > 1cm que nos e asocia a infección y que persiste por mas de 4-6 semanas) Infiltración de anillo de Waldeyer, ganglios epitrocleares y mesentéricos     mas frec. en LNH que en EH Linfadenopatia generalizada   mononucleosis infecciosa y enfermedad de Hodgkin Fiebre diaforesis y perdida de peso   frec. en EH y solo en el 20% de los pacientes LNH LNH con grandes masas esplenomegalia masiva o con localización abdominal    dolor crónico, distensión abdominal, plenitud pospandrial, síntomas de obstrucción visceral, perforación o hemorragia GI. Presentación extranodal:  lesiones cutánea, masas testiculares, ováricas, mamarias, tiroideas, adrenales, lesiones óseas solitarias, etc.
Estadios clínicos Estadio I:  una  región ganglionar ,  o todo  un órgano o localización extralinfática.  Estadio II:   2  o más regiones ganglionares  ( mismo lado del  diafragma)  o afectación localizada de un órgano o localización extralinfática   y su ganglio (s)  regionales con o sin afectación de otras regiones ganglionares en el mismo lado.  Estadio III:  regiones ganglionares a ambos lados del diafragma, que puede acompañarse de afectación localizada de un órgano o localización extralinfática, o de afectación de bazo o ambas . Estadio IV:  Afectación diseminada de uno o más órganos extralinfáticos, con o sin afectación ganglionar asociada, o afectación extralinfática aislada con afectación ganglionar a distancia. La afectación de médula ósea implica un estadio IV .
Estadios sirven para identificar a un numero pequeño de pacientes que cursan con enfermedad limitada, que pueden ser tratados con terapias locales.
Índice internacional de factores pronostico para linfomas no Hodgkin Elevacion de DHL Desempeño fisico 2, 3, o 4 (ECOG) > Un sitio extranodal Estadios III o IV (Ann Arbor) Edad > 60 años FACTORES PRONOSTICOS 26 4-5 Alto 43 3 Intermedio alto 50 2 Intermedio bajo 73 0-1 Bajo Supervivencia a 5 años (%) Numero de factores Categoría de riesgo
Linfomas de grado bajo Enfermedad localizada (estadios I-II) Linfomas foliculares de células pequeñas hendidas o foliculares mixtas. Radioterapia de región linfoide afectada o de región involucrada + región linfoide no afectada a cada lado de los  ganglios linfáticos. Linfomas gástricos tipo MALT Omeprazol, metronidazol y amoxicilina Radioterapia a estómago y ganglios perigástricos Quimioterapia Cirugía Enfermedad avanzada
En pacientes con enfermedad sintomática, con grandes masas, las opciones terapéuticas incluyen :  monoquimioterapia, quimioterapia combinada o dosis bajas de radioterapia corporal total
Linfomas de grado intermedio Linfoma difuso de células grandes   prototipo Enfermedad localizada Radioterapia Combinación con quimioterapia    mejores resultados Enfermedad avanzada Tasa elevada de remision completa y sobrevida a largo plazo. Esquema CHOP de quimioterapia.
Linfomas de grado alto Niños   elevadas tasas de curación Adultos   resultados inferiores Chop, metotrexato, asparaginasa y MTX intratecal. Cuando existe infiltracion a MO    menor sobrevida
Linfomas cutáneos LCCT subcutaneo similar a paniculitis Linfoma de células B intravascular LCCT, de pequeño- mediano tamaño Provisional Provisional Pleomorfico Inmunoblástico LCCT de células grandes CD30+ Linfoma de células B de la pierna Sx de Sezary Intermedio Agresivos Paoulosis linfomatoide Pleomorfico Inmunoblástico Anaplasico Linfoma de células grandes CD 30+ Reticulosis pagetoide Inmunocitoma(linfoma de células B de la zona marginal) Micosis fungoides + muciniosis folicular Linfoma centrofolicular Micosis fungoides Indolentes Indolentes LINFOMAS B LINFOMAS T
Linfoma cutáneo primario de células B Enfermedad indolente sin enfermedad  extra cutánea al dx y con sobrevida a los 5 años de 89-96%. Tx Radioterapia Linfoma primario cutáneo de células T Micosis fungoide   manchas o placas eritematosas que progresan hasta involucrar toda la piel despues forman tumores e invaden ganglios. SS    agresivo  Linfoma de células grandes de primario de piel CD30 positivo    indolente Tx Rt con haz de fotones (solo para MF resistente o paliación de lesiones voluminosas) Rt con electrones Quimioterapia tópica o PUVA (8-metoxipsoraleno)
 
 
 
 
 
Bibliografía Fundamentos de hematología Guillermo J. Ruiz Argüelles Editorial panamericana

Linfomas

  • 1.
    LINFOMAS Hematología 372Christian Alejandra Sarabia Aldana
  • 2.
    Linfoma no HodgkinNeoplasias del sistema retículo endotelial (monocitos , macrófagos , histiocitos, fibroblastos, células endoteliales y reticulares), diferentes de la enfermedad de Hodgkin comprende desde neoplasias con un curso lento e indolente hasta las que presentan gran velocidad de crecimiento e invasividad.
  • 3.
    Epidemiología EU  45 000 casos nuevos al año 4% de los canceres en ese país Registro Histopatológico de Neoplasias en México (RHNM) 1999  2 911 casos nuevos de LNH. 0.98% de todas las neoplasias malignas. 11vo lugar en hombres y 13vo en mujeres como causa de muerte.
  • 4.
    Etiología VEB linfoma de Burkitt, Granuloma de la línea media y granulomatosis linfoide. Virus HTLV-1  leucemia/linfoma de células T en el adulto. Helicobacter Pilory  Linfomas gástricos tipo MALT. Difenilhidantoina  hiperplasia linfoide-linfoma. Herbicidas, pesticidas, pintura de cabello  ????? Factores industriales  arsénico, clorofenoles, solventes orgánicos, plomo, cloruro de vinilo y asbestos. Explosiones nucleares o accidentes de reactores nucleares. Quimioterapia o radioterapia Enfermedades autoinmunes, inmunodeficiencias hereditarias y adquiridas. Inmunosupresión crónica  linfoma difuso de células grandes y el linfoma inmunoblástico de estirpe B. Inmunodeficiencias hereditarias e HIV  linfoma de células pequeñas no hendidas y linfoma inmunoblástico.
  • 5.
    Diagnostico Inmunofenotipo Aspiradoy biopsia de medula ósea con aguja. Estudios de imagen ( Radiografías de tórax PA y lateral, TAC abdominopélvica). Estudios de laboratorio (citometria hemática, pruebas de función hepática y renal, DHL, ácido úrico, electroforesis de proteínas, ß2 microglobulina) Exploración física completa (áreas ganglionares, anillo de Waldeyer). Historia detallada (velocidad de crecimiento de lesiones, y presencia de síntomas B Biopsia adecuada Estudios para establecer la extensión de linfomas no Hodgkin
  • 6.
    Clasificación Working formulation(WF) J .Linfoma linfoblástico I. Linfoma de células pequeñas no hendidas H. Linfoma difuso inmunoblástico GRADO ALTO G. Linfoma difuso de células grandes, hendidas o no hendidas F. Linfoma difuso mixto E .Linfoma difuso de células pequeñas hendidas D. Linfoma folicular de células grandes GRADO INTERMEDIO C. Linfoma folicular mixto B. Linfoma folicular de células pequeñas hendidas A. Linfoma difuso de linfocitos pequeños GRADO BAJO
  • 7.
                                                                         Figura3. Linfoma B de células grandes, de alto grado. a) infiltración difusa extensa. HE, 20x; b) infiltración conformado nódulos. HE, 20x; c y d) células linfoides grandes citológicamente homogéneas. HE, 400x.
  • 8.
    LINFOMA DIFUSO DECÉLULAS GRANDES
  • 9.
  • 10.
    Clasificación REAL/OMS Neoplasiasde células B Neoplasias de precursores de células B Leucemia/linfoma linfoblástico de precursores B (leucemia aguda linfoblástica pre B). Neoplasias de células B maduras Leucemia linfocitica crónica /leucemia de linfocitos pequeños de células B. Leucemia prelinfocitica de células B Leucemia linfoplasmocitico de células B Linfoma esplenico de células B de la zona marginal (con o sin linfocitos vellosos). Leucemia de células peludas Mieloma de células plasmáticas/plasmocitoma Linfoma extranodal de células B de la zona marginal de tipo MALT Linfoma ganglionar de células B de la zona marginal (con o sin células B monocitoides).
  • 11.
    Clasificación REAL/OMS Linfomafolicular Linfoma de células del manto Linfoma difuso de células grandes B Linfoma mediastinal de células grandes B Linfoma de cavidades B.Neoplasia de células T y NK Neoplasias de precursores de células T Leucemia/linfoma linfoblástico de precursores T (leucemia aguda linfoblástica de precursores T Neoplasias de células T maduras Leucemia prolinfocitica de células T Leucemia linfocitica granular de células T Leucemia linfocitica granular de células T Leucemia de células NK agresiva
  • 12.
    Clasificación REAL/OMS Leucemialinfoma de células T en el adulto /HTLV-1) Linfoma de células T/NK extranodal, tipo nasal Linfoma de células T tipo enteropatia Linfoma de células T γδ hepato-esplénico Linfoma de células T tipo paniculitis subcutánea Sx de sezary/micosis fungoide Linfoma anaplasico de células grandes, cutáneo primario de células T/nulas Linfoma de células T periférico, no clasificable Linfoma de células T angioinmunoblastico Leucemia de células grandes anaplasico de células T/nulas, sistémico primario C. Linfoma de Hodgkin (enfermedad de Hodgkin) Linfoma de Hodgkin con predominio linfocitico nodular
  • 13.
    Clasificación REAL/OMS Linfomade Hodkin clásico Linfoma de Hodgkin con esclerosis nodular Linfoma de Hodgkin rico en linfocitos Linfoma de Hodgkin con celularidad mixta Linfoma de Hodgkin con disminucion linfocitaria
  • 14.
    LINFOMA MALT Figura4: Endoscopía, estómago – la mucosa presenta difusamente enantema de grado moderado, con discreta nudosidad en la región prepilórica Figura 5: células linfoides infiltrando difusamente la mucosa gástrica con inmunopositividad para el anticuerpo anti-CD20. IHQ, 4X.
  • 15.
    Modo de presentacióny diagnostico diferencial Linfadenopatias (hacer biopsia a ganglio duro > 1cm que nos e asocia a infección y que persiste por mas de 4-6 semanas) Infiltración de anillo de Waldeyer, ganglios epitrocleares y mesentéricos  mas frec. en LNH que en EH Linfadenopatia generalizada  mononucleosis infecciosa y enfermedad de Hodgkin Fiebre diaforesis y perdida de peso  frec. en EH y solo en el 20% de los pacientes LNH LNH con grandes masas esplenomegalia masiva o con localización abdominal  dolor crónico, distensión abdominal, plenitud pospandrial, síntomas de obstrucción visceral, perforación o hemorragia GI. Presentación extranodal: lesiones cutánea, masas testiculares, ováricas, mamarias, tiroideas, adrenales, lesiones óseas solitarias, etc.
  • 16.
    Estadios clínicos EstadioI: una región ganglionar , o todo un órgano o localización extralinfática. Estadio II: 2 o más regiones ganglionares ( mismo lado del diafragma) o afectación localizada de un órgano o localización extralinfática y su ganglio (s) regionales con o sin afectación de otras regiones ganglionares en el mismo lado. Estadio III: regiones ganglionares a ambos lados del diafragma, que puede acompañarse de afectación localizada de un órgano o localización extralinfática, o de afectación de bazo o ambas . Estadio IV: Afectación diseminada de uno o más órganos extralinfáticos, con o sin afectación ganglionar asociada, o afectación extralinfática aislada con afectación ganglionar a distancia. La afectación de médula ósea implica un estadio IV .
  • 17.
    Estadios sirven paraidentificar a un numero pequeño de pacientes que cursan con enfermedad limitada, que pueden ser tratados con terapias locales.
  • 18.
    Índice internacional defactores pronostico para linfomas no Hodgkin Elevacion de DHL Desempeño fisico 2, 3, o 4 (ECOG) > Un sitio extranodal Estadios III o IV (Ann Arbor) Edad > 60 años FACTORES PRONOSTICOS 26 4-5 Alto 43 3 Intermedio alto 50 2 Intermedio bajo 73 0-1 Bajo Supervivencia a 5 años (%) Numero de factores Categoría de riesgo
  • 19.
    Linfomas de gradobajo Enfermedad localizada (estadios I-II) Linfomas foliculares de células pequeñas hendidas o foliculares mixtas. Radioterapia de región linfoide afectada o de región involucrada + región linfoide no afectada a cada lado de los ganglios linfáticos. Linfomas gástricos tipo MALT Omeprazol, metronidazol y amoxicilina Radioterapia a estómago y ganglios perigástricos Quimioterapia Cirugía Enfermedad avanzada
  • 20.
    En pacientes conenfermedad sintomática, con grandes masas, las opciones terapéuticas incluyen : monoquimioterapia, quimioterapia combinada o dosis bajas de radioterapia corporal total
  • 21.
    Linfomas de gradointermedio Linfoma difuso de células grandes  prototipo Enfermedad localizada Radioterapia Combinación con quimioterapia  mejores resultados Enfermedad avanzada Tasa elevada de remision completa y sobrevida a largo plazo. Esquema CHOP de quimioterapia.
  • 22.
    Linfomas de gradoalto Niños  elevadas tasas de curación Adultos  resultados inferiores Chop, metotrexato, asparaginasa y MTX intratecal. Cuando existe infiltracion a MO  menor sobrevida
  • 23.
    Linfomas cutáneos LCCTsubcutaneo similar a paniculitis Linfoma de células B intravascular LCCT, de pequeño- mediano tamaño Provisional Provisional Pleomorfico Inmunoblástico LCCT de células grandes CD30+ Linfoma de células B de la pierna Sx de Sezary Intermedio Agresivos Paoulosis linfomatoide Pleomorfico Inmunoblástico Anaplasico Linfoma de células grandes CD 30+ Reticulosis pagetoide Inmunocitoma(linfoma de células B de la zona marginal) Micosis fungoides + muciniosis folicular Linfoma centrofolicular Micosis fungoides Indolentes Indolentes LINFOMAS B LINFOMAS T
  • 24.
    Linfoma cutáneo primariode células B Enfermedad indolente sin enfermedad extra cutánea al dx y con sobrevida a los 5 años de 89-96%. Tx Radioterapia Linfoma primario cutáneo de células T Micosis fungoide  manchas o placas eritematosas que progresan hasta involucrar toda la piel despues forman tumores e invaden ganglios. SS  agresivo Linfoma de células grandes de primario de piel CD30 positivo  indolente Tx Rt con haz de fotones (solo para MF resistente o paliación de lesiones voluminosas) Rt con electrones Quimioterapia tópica o PUVA (8-metoxipsoraleno)
  • 25.
  • 26.
  • 27.
  • 28.
  • 29.
  • 30.
    Bibliografía Fundamentos dehematología Guillermo J. Ruiz Argüelles Editorial panamericana