SÍNDROMES
MIELODISPLÁSICOS
Dr. José Leonis
Medicina Interna-Hematología
Generalidades
Los SMD son un conjunto de enfermedades clonales de las células progenitoras
hematopoyéticas caracterizados por:
La presencia de hematopoyesis ineficaz.
1) Médula ósea (MO)normo o hipercelular.
2) Presencia de citopenias.
3) Alteraciones morfológicas celulares(dishemopoyesis).
Complejo grupo de neoplasias hematológicas de las células
progenitoras hematopoyéticas que comparten como características
comunes:
 La presencia de citopenias
 Una tendencia a evolucionar a leucemia mieloblástica aguda (LMA)
Generalidades
Mediana de presentación de 70 años, y un 25% de los pacientes
diagnosticados con más de 80 años.
La presencia de comorbilidades es muy frecuente.
 Hasta el 54% presenta al menos una comorbilidad en el momento del
diagnóstico.
 Un 24% más la desarrolla durante la evolución de su enfermedad
30% de los pacientes evolucionan a Leucemia Mieloide Aguda
(LMA) con una pobre respuesta a la quimioterapia.
 30% fallece por complicaciones vinculadas a sus citopenias
 La tasa de incidencia: 3- 5 casos por cada 100 000 personas
por año en la población general.
 Aumenta 50 casos por cada 100 000 personas por año
después de la edad de 70 años.
La primera clasificación diagnóstica de los SMD fue establecida
en 1982 por el grupo Franco-Americano- Británico (FAB)
Revisión realizada bajo el amparo de la Organización Mundial
de la Salud (OMS) en 2002./ 2008
Es imprescindible tener presente que mielodisplasia no es
sinónimo de SMD.
Valoración de la displasia
 Fundamental para el diagnóstico
 Evaluar en cada línea celular
 Evaluar en SP y MO ( cuantitativa y cualitativa)
Calidad de la muestra:
 Frotis sin anticoagulante. Si no es posible: EDTA
 Realizar extensiones en máximo 2 horas
Diseritropoyesis
 Valorar 100 eritroblastos
 Mayor o = 10% eritroblastos dismórficos: displasia
eritroide OMS
 Sangre periférica: anisocitosis; punteado basófilo; cuerpos
Howell-Jolly; anillos Cabot.
Diseritropoyesis
Médula ósea:
 Alteraciones nucleares: multinuclearidad, picnosis, puentes internucleares,
irregularidad del contorno nuclear, hiperlobulación nuclear.
Diseritropoyesis
Médula ósea:
Alteraciones citoplasmáticas: vacuolización citoplasmática, puentes
intercitoplasmáticos, punteado basófilo, disrelación núcleo/citoplasma,
distribución irregular de la hemoglobina.
PAS positividad de eritroblastos
 Tinción de Perls: sideroblastos anillados > o= 15%
Disgranulopoyesis
 Valorar 200 células
 Mayor o = 10% granulocitos dismórficos: displasia granulocítica OMS
 Alteraciones nucleares: (pseudo Pelger-Huet), hiposegmentación nuclear,
hipersegmentación nuclear, clumping cromatínico, apéndices nucleares.
Disgranulopoyesis
 Alteraciones citoplasmáticas: hipogranulación, asincronismo madurativo,
granulación pseudo-Chediak, cuerpos de Dohle , bastones de Auer.
 Gold standard: granulocitos hipolobulados agranulares
Distrombopoyesis
Mayor 30 (mo) = 10% megacariocitos dismórficos: displasia megacariocítica
OMS.
 Sangre periférica: macroplaquetas (pseudo Bernard Soulier), plaquetas
hipogranuladas ( plaquetas grises), plaquetas agranuladas ( plaquetas
azules)
Distrombopoyesis
Valorar 30 megacariocitos
 Médula ósea: megacariocitos monolobulados, asincronismo madurativo,
núcleos dispersos, micromegacariocitos mononucleados (núcleo excéntrico y
redondo)
 Alteraciones de mayor grado: micromegacariocitos mononucleados,
megacariocitos hipolobulados; agrupación de micromegacariocitos
Morfología en SMD
Anemia refractaria
Anemia refractaria
con sideroblastos
anillados
Anemia refractaria
con exceso de
blastos
Anemia refractaria
con exceso de
blastos en
transformación
Leucemia
mielomonocítica
crónica
Anemia refractaria
Anemia refractaria con
sideroblastos anillados
Citopenia(s) refractaria(s)
con displasia multilínea
Citopenia refractaria con
displasia multilínea y
sideroblastos anillados
Anemia refractaria con
exceso de blastos tipo I
Anemia refractaria con
exceso de blastos tipo II
Sindrome mielodisplásico
sociado a del (5q) como
única alteración genética
Sindrome mielodisplásico
no clasificable
Clasificación FAB 1982 Clasificación OMS 2001
Citopenia refractaria con
displasia unilínea: anemia
refractaria; neutropenia
refractaria; trombopenia
refractaria
Anemia refractaria con
sideroblastos anillados
Citopenia refractaria con
displasia multilínea
Anemia refractaria con
exceso de blastos tipo 1
Anemia refractaria con
exceso de blastos tipo 2
Sindrome mielodisplásico
asociado a del (5q)
aislada
Sindrome mielodisplásico
no clasisficable
Clasificación OMS 2008
Citopenia refractaria con displasia unilineal neutropenia
refractaria
Citopenia refractaria con displasia unilínea trombopenia
refractaria
 Recuento neutrófilos : < 1800 cels/ mm 3
 Displasia granulocítica > o= 10%
 Blastos en SP < 1%
 Blastos en MO < 5%
 Recuento plaquetar: < 100.000 / mm3
 Displasia megacariocítica > o = 10%
 Blastos en SP < 1%
 Blastos en MO < 5%
SMD no clasificable
2001
 Concepto mal definido
 Incluía neutropenia o trombopenia refractaria
 No % de displasia
2008
 Sangre periférica: citopenia(s), blastos < o = 1%
 Médula ósea : MO hipercelular, displasia < 10% en 1 ó más líneas mieloides y
una citogenética alterada presunta de SMD, blastos MO <5%, displasia unilínea
con pancitopenia, pacientes con CRDU o CRDM pero 1% de blastos en SP
 Incidencia desconocida, pronóstico no establecido
SMD hipocelular
 MO hipocelular desde el diagnóstico, gral AR o AREB
 5-10% de los SMD de novo, > relacionados a tratamiento
 Mayor frecuencia en mujeres, > evolución a LMA
 Diagnóstico diferencial más importante: anemia aplásica
 Importancia de la biopsia de MO y tipaje de blastos con CD34
Evaluación de la situación basal
SOPORTE
Grupo Español de Síndromes Mielodisplásicos (GESMD)
PETHEMA (Programa Español para el Tratamiento de las
Hemopatías Malignas)
Gracias por su atención

Síndrome Mielodisplasico

  • 1.
  • 2.
    Generalidades Los SMD sonun conjunto de enfermedades clonales de las células progenitoras hematopoyéticas caracterizados por: La presencia de hematopoyesis ineficaz. 1) Médula ósea (MO)normo o hipercelular. 2) Presencia de citopenias. 3) Alteraciones morfológicas celulares(dishemopoyesis).
  • 3.
    Complejo grupo deneoplasias hematológicas de las células progenitoras hematopoyéticas que comparten como características comunes:  La presencia de citopenias  Una tendencia a evolucionar a leucemia mieloblástica aguda (LMA)
  • 4.
    Generalidades Mediana de presentaciónde 70 años, y un 25% de los pacientes diagnosticados con más de 80 años. La presencia de comorbilidades es muy frecuente.  Hasta el 54% presenta al menos una comorbilidad en el momento del diagnóstico.  Un 24% más la desarrolla durante la evolución de su enfermedad
  • 5.
    30% de lospacientes evolucionan a Leucemia Mieloide Aguda (LMA) con una pobre respuesta a la quimioterapia.  30% fallece por complicaciones vinculadas a sus citopenias  La tasa de incidencia: 3- 5 casos por cada 100 000 personas por año en la población general.  Aumenta 50 casos por cada 100 000 personas por año después de la edad de 70 años.
  • 6.
    La primera clasificacióndiagnóstica de los SMD fue establecida en 1982 por el grupo Franco-Americano- Británico (FAB) Revisión realizada bajo el amparo de la Organización Mundial de la Salud (OMS) en 2002./ 2008
  • 7.
    Es imprescindible tenerpresente que mielodisplasia no es sinónimo de SMD.
  • 20.
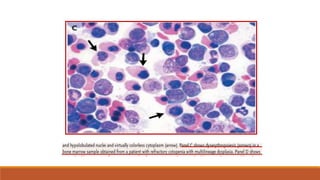
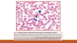
    Valoración de ladisplasia  Fundamental para el diagnóstico  Evaluar en cada línea celular  Evaluar en SP y MO ( cuantitativa y cualitativa) Calidad de la muestra:  Frotis sin anticoagulante. Si no es posible: EDTA  Realizar extensiones en máximo 2 horas
  • 21.
    Diseritropoyesis  Valorar 100eritroblastos  Mayor o = 10% eritroblastos dismórficos: displasia eritroide OMS  Sangre periférica: anisocitosis; punteado basófilo; cuerpos Howell-Jolly; anillos Cabot.
  • 22.
    Diseritropoyesis Médula ósea:  Alteracionesnucleares: multinuclearidad, picnosis, puentes internucleares, irregularidad del contorno nuclear, hiperlobulación nuclear.
  • 23.
    Diseritropoyesis Médula ósea: Alteraciones citoplasmáticas:vacuolización citoplasmática, puentes intercitoplasmáticos, punteado basófilo, disrelación núcleo/citoplasma, distribución irregular de la hemoglobina. PAS positividad de eritroblastos  Tinción de Perls: sideroblastos anillados > o= 15%
  • 24.
    Disgranulopoyesis  Valorar 200células  Mayor o = 10% granulocitos dismórficos: displasia granulocítica OMS  Alteraciones nucleares: (pseudo Pelger-Huet), hiposegmentación nuclear, hipersegmentación nuclear, clumping cromatínico, apéndices nucleares.
  • 25.
    Disgranulopoyesis  Alteraciones citoplasmáticas:hipogranulación, asincronismo madurativo, granulación pseudo-Chediak, cuerpos de Dohle , bastones de Auer.  Gold standard: granulocitos hipolobulados agranulares
  • 26.
    Distrombopoyesis Mayor 30 (mo)= 10% megacariocitos dismórficos: displasia megacariocítica OMS.  Sangre periférica: macroplaquetas (pseudo Bernard Soulier), plaquetas hipogranuladas ( plaquetas grises), plaquetas agranuladas ( plaquetas azules)
  • 27.
    Distrombopoyesis Valorar 30 megacariocitos Médula ósea: megacariocitos monolobulados, asincronismo madurativo, núcleos dispersos, micromegacariocitos mononucleados (núcleo excéntrico y redondo)  Alteraciones de mayor grado: micromegacariocitos mononucleados, megacariocitos hipolobulados; agrupación de micromegacariocitos
  • 29.
  • 34.
    Anemia refractaria Anemia refractaria consideroblastos anillados Anemia refractaria con exceso de blastos Anemia refractaria con exceso de blastos en transformación Leucemia mielomonocítica crónica Anemia refractaria Anemia refractaria con sideroblastos anillados Citopenia(s) refractaria(s) con displasia multilínea Citopenia refractaria con displasia multilínea y sideroblastos anillados Anemia refractaria con exceso de blastos tipo I Anemia refractaria con exceso de blastos tipo II Sindrome mielodisplásico sociado a del (5q) como única alteración genética Sindrome mielodisplásico no clasificable Clasificación FAB 1982 Clasificación OMS 2001 Citopenia refractaria con displasia unilínea: anemia refractaria; neutropenia refractaria; trombopenia refractaria Anemia refractaria con sideroblastos anillados Citopenia refractaria con displasia multilínea Anemia refractaria con exceso de blastos tipo 1 Anemia refractaria con exceso de blastos tipo 2 Sindrome mielodisplásico asociado a del (5q) aislada Sindrome mielodisplásico no clasisficable Clasificación OMS 2008
  • 35.
    Citopenia refractaria condisplasia unilineal neutropenia refractaria Citopenia refractaria con displasia unilínea trombopenia refractaria  Recuento neutrófilos : < 1800 cels/ mm 3  Displasia granulocítica > o= 10%  Blastos en SP < 1%  Blastos en MO < 5%  Recuento plaquetar: < 100.000 / mm3  Displasia megacariocítica > o = 10%  Blastos en SP < 1%  Blastos en MO < 5%
  • 36.
    SMD no clasificable 2001 Concepto mal definido  Incluía neutropenia o trombopenia refractaria  No % de displasia 2008  Sangre periférica: citopenia(s), blastos < o = 1%  Médula ósea : MO hipercelular, displasia < 10% en 1 ó más líneas mieloides y una citogenética alterada presunta de SMD, blastos MO <5%, displasia unilínea con pancitopenia, pacientes con CRDU o CRDM pero 1% de blastos en SP  Incidencia desconocida, pronóstico no establecido
  • 37.
    SMD hipocelular  MOhipocelular desde el diagnóstico, gral AR o AREB  5-10% de los SMD de novo, > relacionados a tratamiento  Mayor frecuencia en mujeres, > evolución a LMA  Diagnóstico diferencial más importante: anemia aplásica  Importancia de la biopsia de MO y tipaje de blastos con CD34
  • 49.
    Evaluación de lasituación basal
  • 51.
  • 58.
    Grupo Español deSíndromes Mielodisplásicos (GESMD) PETHEMA (Programa Español para el Tratamiento de las Hemopatías Malignas)
  • 61.
    Gracias por suatención