Litiasis Biliar y Colecistitis

Dra. Carmen Lelis Céspedes v.
Litiasis Biliar
80 % de estos pacientes son asintomáticos
La probabilidad acumulada de presentar alguna
complicación de la litiasis biliar es de 3% a 10 años

Epidemiología (%) (USA)
Hombres
8.6
8.9
5.3

Mujeres
16.6
26.7
13.3

Blancos (no hispanos)
Mexicano-americanos
Afro-americanos
Factores de riesgo para la formación de litos
Anciano

Edad arriba de 70 años *

¿Bajó mucho de peso?

Obesidad, pérdida de peso posterior a dieta baja en calorías/cirugía

¿Con muchos hijos?

Embarazo, multípara

Drogas

Fibratos, estrógenos, progesterona, octreótido, ceftriaxona

Etnicidad

Indios Pima (E.U.), indígenas nativos de Chile, Perú y Argentina,
Escandinavos

Famila

Historia familiar materna de litiasis

Género

Femenino

Hiperalimentación

Nutrición parenteral total**, ayuno prolongado

Ileal y otros trastornos
metabólicos

Enfermedad ileal (enfermedad de Crohn), resecciòn o bypass,
hipertrigliceridemia*, Diabetes mellitus, hemólisis crónica, Cirrosis
alcohólica*, Infección biliar*, cirrosis biliar primaria*, divertículos
duodenales, vagotomía truncal*, hiperparatiroidismo, bajo nivel de
lipoproteinas de alta densidad

*Factores de riesgo para el desarrollo de cálculos pigmentarios.
**Factores de riesgo para el desarrollo de cálculos pigmentarios y de colesterol.
Am Fam Physician. 2000; 61:1673-80
Nucleación

Sobresaturación
Cristales

Hipomotilidad

Formación y
composición de los
calculos biliares
•10% pigmentarios (<20% de

colesterol, bilirrubina amorfa y
sales de calcio)
•90% son litos de colesterol (>50%

de colesterol) y Mixtos (20-50%
colesterol)
Absorción
de agua

Moco
vesicular
Cristales de colesterol

Cálculos

Factores que favorecen
formación de cálculos
• Aumento de la excreción hepática
de bilirrubina libre
• Deficiencia de factores
solubilizadores de la bilirrubina libre
• Desconjugación de la bilirrubina
en la bilis
Colecistitis
Es la inflamación de la vesícula biliar que puede ser aguda o
crónica de acuerdo a la lesión histopatológica, principalmente
dependiendo del tipo de infiltrado inflamatorio.
La colecistitis aguda es la complicación más frecuente de la litiasis
biliar (10% de la población general).
Diagnóstico gastroenterológico más común en pacientes
hospitalizados
Lugar 19 entre las causas de muerte por patología digestiva
Se presenta en 3% de aquellos pacientes con litos sintomáticos
PATOGENESIS
Factores desencadenantes
Obstrucción del paso de la bilis a través del conducto cístico por un lito (90%)
Lesión de la mucosa vesical
•Obstrucción intermitente lleva a

un aumento en la presión
intraluminal y junto con bilis
supersaturada de colesterol
estimulan respuesta
inflamatoria.

Distensión de la vesícula

Pared vesicular
edematosa
Conducto
cístico

• El trauma intraluminal

provocado por litos estimula
síntesis de prostaglandinas I2 y
E2 que median respuesta
inflamatoria

Aumento en
la presión
intraluminal
Lito impactado en el
saco de Hartman

•Infección bacteriana

secundaria con organismos
entéricos ocurre en 20% de los
casos.

Distensión de la vesícula

Secreción de fluidos
Secreción de
Prostaglandina I2 y E2
VESICULA BILIAR CON COLECISTITIS CRONICA,
COLELITIASIS
Y UN PEQUEÑO TUMOR PAPILAR A NIVEL DEL
CONDUCTO CISTICO (macro)

Adenocarcinoma Papilar de la Vesícula Biliar
(micro)
Patogénesis y factores de riesgo para la
colecistitis acalculosa
Sepsis
Choque

Transfusión masiva

Deshidratación

Comorbilidad
(cáncer, DM,
enfermedad
vascular)

Oclusión microvascular e hipercoagulabilidad

COLECISTITIS ACALCULOSA
BMJ 2002;325:639-43
Evolución clínica de las diversas patologías biliares.
ALTERACION INICIAL

ENTIDAD PATOLOGICA

EVOLUCION CLINICA

Bloqueo del cístico o
cuello vesicular
(Litiasis)

Cólico Biliar

Resolución en horas.
Episodios recidivantes
¿Evolución a vesícula
escleroatrófica?

Colecistitis Aguda

Requiere hospitalización
Resolución en 7-10 días
Complicaciones poco frecuentes
Tratamiento con colecistectomía

Colecistitis
aguda
acalculosa

Pocas manifestaciones clínicas
Cuadros graves
Complicaciones frecuentes
Tratamiento : Colecistectomía
Colecistostomía?

Irritacion o Daño del
epitelio vesicular
(isquemia, toxicos,
gérmenes)
Manifestaciones clínicas en CCA
El cólico biliar inicia súbitamente, incrementa rápido en
intensidad en 15 minutos y puede durar hasta 3 horas.
• 75% de colecistitis aguda tiene

antecedente de cólico biliar
• Dolor en colecistitis dura > 6 h
• Al inicio también es de tipo

• Posterior al inicio del dolor

aparecen fiebre, náuseas y
vómitos
• Ictericia en 20% de los

visceral y constante a pesar de
llamarse cólico

pacientes, más frecuente en los
ancianos (compresión del
colédoco / Síndrome de Mirizzi)

• Dolor localizado en

• 25% de los pacientes se

hemiabdomen superior
(epigastrio e hipocondrios)
• Dolor parietal localizado en

hipocondrio derecho, irradiado a
región subescapular y área
clavicular derechas

presenta sin antecedentes
relacionados
• En la colecistitis acalculosa el

cuadro puede ser insidioso y
depender de las condiciones
predisponentes
Datos en la exploración física
Paciente febril
Taquicardia
Algunos casos con ictericia
Dolor en hipocondrio derecho en donde se puede palpar
la vesícula hasta en una tercera parte de los casos
Limitación de movimientos por el dolor secundario a la
irritación peritoneal local que da resistencia voluntaria e
involuntaria a la palpación del abdomen.
Signo de Murphy a palpación y ultrasonográfico
sensibilidad de esta maniobra es menor en ancianos.
Características que distinguen a las diferentes complicaciones
inducidas por litos biliares.(1)

Característica

Cólico Biliar

Colecistitis Aguda

Colangitis

Pancreatitis

Sitio del Dolor

Epigastrio

HD

HD

Epigastrio

Duración del Dolor

< 3 horas

> 3 horas

Variable

Variable
(días)

Masa palpable

Ausente

Masa en HD

±

±

Fiebre

-

±

±

±

Leucocitosis

-

±

±

±

Amilasemia

Normal

±

±

+

HD = Hipocondrio Derecho. + presente; - ausente; ± presente ó ausente.

(1) Estas características pueden no siempre estar presentes.
Complicaciones de la Litiasis Vesicular
Complicación

Porcentaje
70 - 80 (2,3)

Cólico biliar
Colecistitis aguda

10

Colecistitis enfisematosa

<1 (3)

Síndrome de Mirizzi

<1 (3)

Hidrocolecisto

<1 (3)

Obstrucción del intestino delgado (íleo biliar)

1 (3)

Obstrucción a la salida gástrica (síndrome de Bouveret )

<1(3)

Perforación de la vesícula

12 (3)

Pancreatitis biliar aguda

--

Colangitis supurativa/obstructiva

--

(1) Un tercio de los pacientes con litiasis vesicular desarrolla sintomas.
(2) Porcentaje de la incidencia en pacientes con litiasis sintomática
(3) Porcentaje de la incidencia en pacientes con colecistitis aguda.

Am Fam Physician. 2000; 61:1673-80
Secuelas de la colecistitis aguda
Evolución esperada de la colecistitis aguda es hacia la
resolución en 7 a 10 días
Colecistitis gangrenosa

- Hasta 30% de los casos
- Factores de riesgo: Masculino
>50 años con leucocitosis
>17,000
- Mas común en fundus
- Cirugía de urgencia

Perforación vesicular
–
–
–
–
–
–

10% de los casos
Retraso en atención
Mejoría temporal de sintomas
Inicia peritonitis
Mortalidad 30%
Formación de abscesos
pericolecisticos

•

Fístula colecistoentérica
- Duodeno y colon (ángulo hepático)
- Neumobilia en radiografía

• Ileo biliar
-Pacientes ancianos sin causa
aparente de obstrucción intestinal
-Mortalidad 20%
1 Neumobilia
2 Obstrucción intestinal
3 Litos en sitios inusuales
Diagnóstico diferencial
Apendicitis
Pancreatitis aguda
Pielonefritis o litiasis renal
Absceso hepático y úlcera péptica
Colangitis
En la colecistitis acalculosa se requiere un
elevado índice de sospecha, el cuadro puede
estar enmascarado por la sedación, analgesia o
condición de base del paciente
Características clínicas en el diagnóstico de
colecistitis aguda
Considerar la colecistitis aguda como la primera posibilidad diagnóstica en
pacientes con dolor abdominal agudo. Si el diagnóstico se basa sólo con
base en datos clínicos se va a incluir a una tercera parte de casos que no
corresponden a colecistitis aguda
Dolor constante en cuadrante superior derecho
(constante > 12 horas)

Dolor en el cuadrante
superior derecho
Signo de Murphy (+/-),
Masa palpable (+/-)

Diagnóstico
de
colecistitis
aguda

Respuesta inflamatoria
Fiebre
Leucocitosis
PCR y VSG elevados
BMJ 2002;325:639-43
Laboratorio
Leucocitosis (desviación a la
izquierda)
Persistencia de leucocitosis y
mala evolución clínica,
sospechar colecistitis
purulenta o gangrenada
Elevación leve de las
aminotransferasas y pueden
elevarse levemente la
bilirrubina sérica (entre 2 y 4
mg/dL) y la fosfatasa alcalina
Amilasa sérica puede estar
poco elevada
>1000 U/dL en los casos de
coledocolitiasis o pancreatitis
aguda asociada

Gabinete
Las alteraciones anatómicas
son más útiles para
diagnóstico de colecistitis
aguda
Ultrasonido es el estudio de
elección
Centellografía biliar / prueba
de HIDA :estándar de oro para
identificar obstrucción flujo
vesicular
TAC
– Utilidad para identificar
complicaciones
– No necesario iniciar con
este estudio
Colangiografía por resonancia
magnética
Hallazgos ultrasonográficos de
la colecistitis aguda

Radiografía de abdomen

Nivel
hidroaéreo

Gas entre la
pared
vesicular

Liquido pericolecístico
Distensión de la vesícula biliar
Pared vesicular edematosa
Litos
Tratamiento
La mayoría responde al tratamiento conservador inicial con el que
se logra desimpactar el lito causante de la obstrucción
Manejo médico

• Iniciar antibióticos IV si hay riesgo de

desequilibrio hidro-electrolítico
(vómito, fiebre y ayuno)

gravedad, datos de infección o
deterioro después de 12 a 24 horas de
iniciado el manejo hospitalario

• Ayuno y si persiste el vómito

• Efectivos contra bacterias de la flora

• Hidratación y corrección de

se instalará una sonda
nasogástrica
• Control del dolor

•Indometacina (25 mg tres
veces al día)
•Diclofenaco (75 mg IM)
•Ibuprofeno (400 mg).

entérica
•cefalosporinas de 2da generación
(cefuroxime) a 4a generación
(cefepime), metronidazol y
ampicilina
•aminoglucósido y ampicilina se
han limatodo por desarrollo de
resistencia bacteriana y riesgo de
nefrotoxicidad
Tratamiento Quirúrgico
Tratamiento médico inicial y pueden ser programados para el
tratamiento quirúrgico semi-electivo
Colecistectomía por vía laparoscópica es el tratamiento de
elección y se realiza durante las 72-96 horas de iniciados los
síntomas
10 a 15 % tienen que ser sometidos a descompresión biliar de
urgencia por falta de respuesta
20% de los pacientes con colecistitis aguda necesitan una
cirugía de urgencia
Resuelve la colecistitis aguda y hay resolución completa del
dolor recidivante en la mayoría (82%) de los pacientes con
cólico biliar y litiasis
En aquellos casos de colecistitis acalculosa casi la mitad
pueden persistir con manifestaciones vagas dolorosas
Contraindicaciones para la colecistectomía laparoscópica.

Alto riesgo para anestesia general
Obesidad mórbida
Signos de perforación vesicular como abscesos,
peritonitis o fístula
Litos gigantes
Enfermedad hepática en estadio terminal con
hipertensión portal y coagulopatía severa.
Sospecha de malignidad en vesícula biliar
Embarazo en último trimestre.
En la persistencia del dolor debe considerarse la
posibilidad de síndrome postcolecistectomía
Flatulencia e intolerancia a la comida grasosa, dolor
en el hipocondrio derecho
Asociado a dilatación de remanentes del conducto
cístico, formación de neuroma en la pared ductal y
granuloma por cuerpo extraño
Tratamiento con inhibidores de los canales de
calcio, nitratos de larga duración o la inyección del
esfínter de Oddi con toxina botulínica puede ser
benéfico.
En algunos casos es necesaria la esfinterotomía,
esfinteroplastía quirúrgica o la extirpación del
remanente del conducto cístico
Pensar en SII
Manejo de pacientes seleccionados
Mujeres embarazadas
Las enfermedades biliares son la segunda causa más común de cirugía en
el embarazo
La operación puede retrasarse hasta después del parto cuando hay
respuesta al tratamiento conservador
Si recidivan los síntomas en el mismo trimestre se indica la colecistectomía
(laparoscópica durante los dos primeros trimestres).
Colecistitis acalculosa
En la colecistitis acalculosa se debe realizar una colecistectomía temprana.
La mayoría de las ocasiones se realiza en forma abierta.
Otra alternativa terapéutica en casos graves es la colecistostomía
percutánea que puede realizarse guiada por ultrasonido
Se puede dejar el drenaje por más de 6 semanas y tratar de extraer los litos
por medio de radiología intervencionista
La falta de respuesta después de 48 horas de realizada la colecistostomía
puede sugerir otras causas de sepsis independientes de la colecistitis
Terapia no quirúrgica para los litos sintomáticos.
Agente

Acido ursodesoxicólico
8 -10 mg/kg/día.

Solventes de contacto:
metil tert-butil éter/npropil acetato

Litotripsia
extracorpórea:
electrohidráulica/elec
magnética

Ventajas
éxito:
30 a 90%
mortalidad
0%

éxito:
50-90%

éxito:
70 a 90%
mortalidad
<
0.1%.

Desventajas
Recurrencia del 50%; solo disuelve
litos no calcificados; óptimo para
litos <5 mm; mejoría en síntomas
después de 3 a 6 semanas; hasta 6 a
24 meses para ver los resultados.
Recurrencia del 70%, solo
disponible en algunos centros de
tercer nivel; éxito depende de la
experiencia de éstos; muchos
efectos adversos.
Recurrencia del 70%; no aprobado
por la FDA; en centros con
experiencia; solo si hay menos de 3
litos radiolúcidos (<20 mm ø),
conducto cístico permeable, vesícula
funcional, litos sintomáticos sin
complicaciones

FDA = Administración de Drogas y Alimentos de E.U.A.

Litiasis biliar y colecistitis

  • 1.
    Litiasis Biliar yColecistitis Dra. Carmen Lelis Céspedes v.
  • 2.
    Litiasis Biliar 80 %de estos pacientes son asintomáticos La probabilidad acumulada de presentar alguna complicación de la litiasis biliar es de 3% a 10 años Epidemiología (%) (USA) Hombres 8.6 8.9 5.3 Mujeres 16.6 26.7 13.3 Blancos (no hispanos) Mexicano-americanos Afro-americanos
  • 3.
    Factores de riesgopara la formación de litos Anciano Edad arriba de 70 años * ¿Bajó mucho de peso? Obesidad, pérdida de peso posterior a dieta baja en calorías/cirugía ¿Con muchos hijos? Embarazo, multípara Drogas Fibratos, estrógenos, progesterona, octreótido, ceftriaxona Etnicidad Indios Pima (E.U.), indígenas nativos de Chile, Perú y Argentina, Escandinavos Famila Historia familiar materna de litiasis Género Femenino Hiperalimentación Nutrición parenteral total**, ayuno prolongado Ileal y otros trastornos metabólicos Enfermedad ileal (enfermedad de Crohn), resecciòn o bypass, hipertrigliceridemia*, Diabetes mellitus, hemólisis crónica, Cirrosis alcohólica*, Infección biliar*, cirrosis biliar primaria*, divertículos duodenales, vagotomía truncal*, hiperparatiroidismo, bajo nivel de lipoproteinas de alta densidad *Factores de riesgo para el desarrollo de cálculos pigmentarios. **Factores de riesgo para el desarrollo de cálculos pigmentarios y de colesterol. Am Fam Physician. 2000; 61:1673-80
  • 4.
    Nucleación Sobresaturación Cristales Hipomotilidad Formación y composición delos calculos biliares •10% pigmentarios (<20% de colesterol, bilirrubina amorfa y sales de calcio) •90% son litos de colesterol (>50% de colesterol) y Mixtos (20-50% colesterol) Absorción de agua Moco vesicular Cristales de colesterol Cálculos Factores que favorecen formación de cálculos • Aumento de la excreción hepática de bilirrubina libre • Deficiencia de factores solubilizadores de la bilirrubina libre • Desconjugación de la bilirrubina en la bilis
  • 5.
    Colecistitis Es la inflamaciónde la vesícula biliar que puede ser aguda o crónica de acuerdo a la lesión histopatológica, principalmente dependiendo del tipo de infiltrado inflamatorio. La colecistitis aguda es la complicación más frecuente de la litiasis biliar (10% de la población general). Diagnóstico gastroenterológico más común en pacientes hospitalizados Lugar 19 entre las causas de muerte por patología digestiva Se presenta en 3% de aquellos pacientes con litos sintomáticos
  • 6.
    PATOGENESIS Factores desencadenantes Obstrucción delpaso de la bilis a través del conducto cístico por un lito (90%) Lesión de la mucosa vesical •Obstrucción intermitente lleva a un aumento en la presión intraluminal y junto con bilis supersaturada de colesterol estimulan respuesta inflamatoria. Distensión de la vesícula Pared vesicular edematosa Conducto cístico • El trauma intraluminal provocado por litos estimula síntesis de prostaglandinas I2 y E2 que median respuesta inflamatoria Aumento en la presión intraluminal Lito impactado en el saco de Hartman •Infección bacteriana secundaria con organismos entéricos ocurre en 20% de los casos. Distensión de la vesícula Secreción de fluidos Secreción de Prostaglandina I2 y E2
  • 8.
    VESICULA BILIAR CONCOLECISTITIS CRONICA, COLELITIASIS Y UN PEQUEÑO TUMOR PAPILAR A NIVEL DEL CONDUCTO CISTICO (macro) Adenocarcinoma Papilar de la Vesícula Biliar (micro)
  • 9.
    Patogénesis y factoresde riesgo para la colecistitis acalculosa Sepsis Choque Transfusión masiva Deshidratación Comorbilidad (cáncer, DM, enfermedad vascular) Oclusión microvascular e hipercoagulabilidad COLECISTITIS ACALCULOSA BMJ 2002;325:639-43
  • 10.
    Evolución clínica delas diversas patologías biliares. ALTERACION INICIAL ENTIDAD PATOLOGICA EVOLUCION CLINICA Bloqueo del cístico o cuello vesicular (Litiasis) Cólico Biliar Resolución en horas. Episodios recidivantes ¿Evolución a vesícula escleroatrófica? Colecistitis Aguda Requiere hospitalización Resolución en 7-10 días Complicaciones poco frecuentes Tratamiento con colecistectomía Colecistitis aguda acalculosa Pocas manifestaciones clínicas Cuadros graves Complicaciones frecuentes Tratamiento : Colecistectomía Colecistostomía? Irritacion o Daño del epitelio vesicular (isquemia, toxicos, gérmenes)
  • 11.
    Manifestaciones clínicas enCCA El cólico biliar inicia súbitamente, incrementa rápido en intensidad en 15 minutos y puede durar hasta 3 horas. • 75% de colecistitis aguda tiene antecedente de cólico biliar • Dolor en colecistitis dura > 6 h • Al inicio también es de tipo • Posterior al inicio del dolor aparecen fiebre, náuseas y vómitos • Ictericia en 20% de los visceral y constante a pesar de llamarse cólico pacientes, más frecuente en los ancianos (compresión del colédoco / Síndrome de Mirizzi) • Dolor localizado en • 25% de los pacientes se hemiabdomen superior (epigastrio e hipocondrios) • Dolor parietal localizado en hipocondrio derecho, irradiado a región subescapular y área clavicular derechas presenta sin antecedentes relacionados • En la colecistitis acalculosa el cuadro puede ser insidioso y depender de las condiciones predisponentes
  • 12.
    Datos en laexploración física Paciente febril Taquicardia Algunos casos con ictericia Dolor en hipocondrio derecho en donde se puede palpar la vesícula hasta en una tercera parte de los casos Limitación de movimientos por el dolor secundario a la irritación peritoneal local que da resistencia voluntaria e involuntaria a la palpación del abdomen. Signo de Murphy a palpación y ultrasonográfico sensibilidad de esta maniobra es menor en ancianos.
  • 13.
    Características que distinguena las diferentes complicaciones inducidas por litos biliares.(1) Característica Cólico Biliar Colecistitis Aguda Colangitis Pancreatitis Sitio del Dolor Epigastrio HD HD Epigastrio Duración del Dolor < 3 horas > 3 horas Variable Variable (días) Masa palpable Ausente Masa en HD ± ± Fiebre - ± ± ± Leucocitosis - ± ± ± Amilasemia Normal ± ± + HD = Hipocondrio Derecho. + presente; - ausente; ± presente ó ausente. (1) Estas características pueden no siempre estar presentes.
  • 14.
    Complicaciones de laLitiasis Vesicular Complicación Porcentaje 70 - 80 (2,3) Cólico biliar Colecistitis aguda 10 Colecistitis enfisematosa <1 (3) Síndrome de Mirizzi <1 (3) Hidrocolecisto <1 (3) Obstrucción del intestino delgado (íleo biliar) 1 (3) Obstrucción a la salida gástrica (síndrome de Bouveret ) <1(3) Perforación de la vesícula 12 (3) Pancreatitis biliar aguda -- Colangitis supurativa/obstructiva -- (1) Un tercio de los pacientes con litiasis vesicular desarrolla sintomas. (2) Porcentaje de la incidencia en pacientes con litiasis sintomática (3) Porcentaje de la incidencia en pacientes con colecistitis aguda. Am Fam Physician. 2000; 61:1673-80
  • 15.
    Secuelas de lacolecistitis aguda Evolución esperada de la colecistitis aguda es hacia la resolución en 7 a 10 días Colecistitis gangrenosa - Hasta 30% de los casos - Factores de riesgo: Masculino >50 años con leucocitosis >17,000 - Mas común en fundus - Cirugía de urgencia Perforación vesicular – – – – – – 10% de los casos Retraso en atención Mejoría temporal de sintomas Inicia peritonitis Mortalidad 30% Formación de abscesos pericolecisticos • Fístula colecistoentérica - Duodeno y colon (ángulo hepático) - Neumobilia en radiografía • Ileo biliar -Pacientes ancianos sin causa aparente de obstrucción intestinal -Mortalidad 20% 1 Neumobilia 2 Obstrucción intestinal 3 Litos en sitios inusuales
  • 16.
    Diagnóstico diferencial Apendicitis Pancreatitis aguda Pielonefritiso litiasis renal Absceso hepático y úlcera péptica Colangitis En la colecistitis acalculosa se requiere un elevado índice de sospecha, el cuadro puede estar enmascarado por la sedación, analgesia o condición de base del paciente
  • 17.
    Características clínicas enel diagnóstico de colecistitis aguda Considerar la colecistitis aguda como la primera posibilidad diagnóstica en pacientes con dolor abdominal agudo. Si el diagnóstico se basa sólo con base en datos clínicos se va a incluir a una tercera parte de casos que no corresponden a colecistitis aguda Dolor constante en cuadrante superior derecho (constante > 12 horas) Dolor en el cuadrante superior derecho Signo de Murphy (+/-), Masa palpable (+/-) Diagnóstico de colecistitis aguda Respuesta inflamatoria Fiebre Leucocitosis PCR y VSG elevados BMJ 2002;325:639-43
  • 18.
    Laboratorio Leucocitosis (desviación ala izquierda) Persistencia de leucocitosis y mala evolución clínica, sospechar colecistitis purulenta o gangrenada Elevación leve de las aminotransferasas y pueden elevarse levemente la bilirrubina sérica (entre 2 y 4 mg/dL) y la fosfatasa alcalina Amilasa sérica puede estar poco elevada >1000 U/dL en los casos de coledocolitiasis o pancreatitis aguda asociada Gabinete Las alteraciones anatómicas son más útiles para diagnóstico de colecistitis aguda Ultrasonido es el estudio de elección Centellografía biliar / prueba de HIDA :estándar de oro para identificar obstrucción flujo vesicular TAC – Utilidad para identificar complicaciones – No necesario iniciar con este estudio Colangiografía por resonancia magnética
  • 19.
    Hallazgos ultrasonográficos de lacolecistitis aguda Radiografía de abdomen Nivel hidroaéreo Gas entre la pared vesicular Liquido pericolecístico Distensión de la vesícula biliar Pared vesicular edematosa Litos
  • 21.
    Tratamiento La mayoría respondeal tratamiento conservador inicial con el que se logra desimpactar el lito causante de la obstrucción Manejo médico • Iniciar antibióticos IV si hay riesgo de desequilibrio hidro-electrolítico (vómito, fiebre y ayuno) gravedad, datos de infección o deterioro después de 12 a 24 horas de iniciado el manejo hospitalario • Ayuno y si persiste el vómito • Efectivos contra bacterias de la flora • Hidratación y corrección de se instalará una sonda nasogástrica • Control del dolor •Indometacina (25 mg tres veces al día) •Diclofenaco (75 mg IM) •Ibuprofeno (400 mg). entérica •cefalosporinas de 2da generación (cefuroxime) a 4a generación (cefepime), metronidazol y ampicilina •aminoglucósido y ampicilina se han limatodo por desarrollo de resistencia bacteriana y riesgo de nefrotoxicidad
  • 22.
    Tratamiento Quirúrgico Tratamiento médicoinicial y pueden ser programados para el tratamiento quirúrgico semi-electivo Colecistectomía por vía laparoscópica es el tratamiento de elección y se realiza durante las 72-96 horas de iniciados los síntomas 10 a 15 % tienen que ser sometidos a descompresión biliar de urgencia por falta de respuesta 20% de los pacientes con colecistitis aguda necesitan una cirugía de urgencia Resuelve la colecistitis aguda y hay resolución completa del dolor recidivante en la mayoría (82%) de los pacientes con cólico biliar y litiasis En aquellos casos de colecistitis acalculosa casi la mitad pueden persistir con manifestaciones vagas dolorosas
  • 23.
    Contraindicaciones para lacolecistectomía laparoscópica. Alto riesgo para anestesia general Obesidad mórbida Signos de perforación vesicular como abscesos, peritonitis o fístula Litos gigantes Enfermedad hepática en estadio terminal con hipertensión portal y coagulopatía severa. Sospecha de malignidad en vesícula biliar Embarazo en último trimestre.
  • 24.
    En la persistenciadel dolor debe considerarse la posibilidad de síndrome postcolecistectomía Flatulencia e intolerancia a la comida grasosa, dolor en el hipocondrio derecho Asociado a dilatación de remanentes del conducto cístico, formación de neuroma en la pared ductal y granuloma por cuerpo extraño Tratamiento con inhibidores de los canales de calcio, nitratos de larga duración o la inyección del esfínter de Oddi con toxina botulínica puede ser benéfico. En algunos casos es necesaria la esfinterotomía, esfinteroplastía quirúrgica o la extirpación del remanente del conducto cístico Pensar en SII
  • 25.
    Manejo de pacientesseleccionados Mujeres embarazadas Las enfermedades biliares son la segunda causa más común de cirugía en el embarazo La operación puede retrasarse hasta después del parto cuando hay respuesta al tratamiento conservador Si recidivan los síntomas en el mismo trimestre se indica la colecistectomía (laparoscópica durante los dos primeros trimestres). Colecistitis acalculosa En la colecistitis acalculosa se debe realizar una colecistectomía temprana. La mayoría de las ocasiones se realiza en forma abierta. Otra alternativa terapéutica en casos graves es la colecistostomía percutánea que puede realizarse guiada por ultrasonido Se puede dejar el drenaje por más de 6 semanas y tratar de extraer los litos por medio de radiología intervencionista La falta de respuesta después de 48 horas de realizada la colecistostomía puede sugerir otras causas de sepsis independientes de la colecistitis
  • 26.
    Terapia no quirúrgicapara los litos sintomáticos. Agente Acido ursodesoxicólico 8 -10 mg/kg/día. Solventes de contacto: metil tert-butil éter/npropil acetato Litotripsia extracorpórea: electrohidráulica/elec magnética Ventajas éxito: 30 a 90% mortalidad 0% éxito: 50-90% éxito: 70 a 90% mortalidad < 0.1%. Desventajas Recurrencia del 50%; solo disuelve litos no calcificados; óptimo para litos <5 mm; mejoría en síntomas después de 3 a 6 semanas; hasta 6 a 24 meses para ver los resultados. Recurrencia del 70%, solo disponible en algunos centros de tercer nivel; éxito depende de la experiencia de éstos; muchos efectos adversos. Recurrencia del 70%; no aprobado por la FDA; en centros con experiencia; solo si hay menos de 3 litos radiolúcidos (<20 mm ø), conducto cístico permeable, vesícula funcional, litos sintomáticos sin complicaciones FDA = Administración de Drogas y Alimentos de E.U.A.

Notas del editor

  • #5 Gallstones found in the gallbladder are classified as cholesterol, pigmented or mixed stones, based on their chemical composition. Up to 90 percent of gallstones are cholesterol (more than 50 percent cholesterol) or mixed (20 to 50 percent cholesterol) gallstones. The remaining 10 percent of gallstones are pigmented stones, which have less than 20 percent cholesterol. The basic mechanism underlying the formation of gallstones is supersaturation, with constituents in bile exceeding their maximum solubilities.[2] [3] Additional factors contributing to gallstone formation are nucleation factors, bile stasis within the gallbladder and calcium in bile. Biliary cholesterol usually exists in a soluble single phase as micellar cholesterol. As the cholesterol concentration increases, cholesterol crystals begin to form. Mucin and a soluble glycoprotein are potential nucleation factors. Prostaglandins stimulate the synthesis and secretion of bile mucin. Inflammation and other stimuli, which enhance prostaglandin secretion, increase the risk for gallstone formation. Biliary sludge, also referred to as microlithiasis, is a viscous gel composed of mucin, precipitates of cholesterol and calcium bilirubinate. Gallstone formation is usually preceded by the presence of biliary sludge.[4] Therefore, sludge should be regarded as part of the spectrum of gallstone disease. Retarded or incomplete emptying of bile from the gallbladder can promote sludge formation La nucleación del colesterol es un paso necesario entre una bilis sobresaturada de colesterol y la formación de litiasis, pero la mera presencia de microcristales no explica suficientemente su crecimiento y agregación hasta constituir cálculos propiamente tales. Los mecanismos mediadores por los cuales estos cristales crecen y se agregan hasta formar cálculos, no están claramente definidos. Se ha demostrado que el calcio y la mucina biliar aumentan la velocidad de crecimiento de los cristales de colesterol in vitro y, además, podrían participar en la agregación de los mismos. En el interior de los cálculos se han encontrado glicoproteínas, postulándose que estarían estructurando una matriz que facilitaría la agregación de los cristales y el crecimiento de los cálculos. Se ha planteado que algunos pacientes litiásicos presentan éstasis vesicular, lo que facilitaría el crecimiento y la agregación de microcristales de colesterol, constituyendo otro importante factor patogénico de la litiasis biliar. Tanto evidencias experimentales como clínicas apoyan el rol de un vaciamiento deficiente en la formación de la colelitiasis. Se ha encontrado que un subgrupo de pacientes litiásicos presenta un volumen vesicular en ayunas y residual aumentados, con respecto a sujetos controles. Se ha demostrado también que algunas situaciones que favorecen la aparición de cálculos (embarazo, p. ej.) se caracterizan por un retardo del vaciamiento vesicular y un volumen residual mayor. El proceso inicial, en la formación de cálculos biliares, es un cambio físico en la bilis, que pasa de solución insaturada a saturada, en donde los elementos sólidos precipitan. Con respecto a los cálculos pigmentarios, juega un rol fundamental el exceso de bilirrubina libre en la bilis (sobresaturación.) Este aumento en la cantidad de bilirrubina libre se explica de tres maneras: Aumento de la excreción hepática de bilirrubina libre Deficiencia de factores solubilizadores de la bilirrubina libre Desconjugación de la bilirrubina en la bilis En cambio, en el desarrollo de los cálculos de colesterol, se dan 3 alteraciones fisiopatológicas: Sobresaturación de la bilis con colesterol. Esto significa que hay más cantidad de colesterol en la bilis del que pueden disolver las sales biliares Nucleación del colesterol en la bilis, debido a un anormal balance de proteínas y otras sustancias. Permanencia en la vesícula. La vesícula no se contrae lo suficiente, para vaciar su contenido regularmente
  • #7 Los mecanismos subyacentes en el desarrollo del cólico biliar y las colecistitis tienen como factores desencadenantes a la obstrucción del paso de la bilis a través del conducto cístico y/o a la lesión de la mucosa vesical. (4,10) (Figura 1) El drenaje vesicular puede obstruirse por un lito o por lodo biliar que es un material precursor de microlitiasis y que en caso de persistir es asiento de cálculos biliares. Por lo tanto, los sujetos con riesgo de litogénesis, como por ejemplo mujeres y en particular multíparas, obesos o con rápida pérdida de peso, bajo nutrición parenteral total o recibiendo fármacos litogénicos como estrógenos, son también susceptibles de presentar un bloqueo en el vaciamiento vesicular. La obstrucción intermitente lleva a un aumento en la presión intraluminal y distensión de la vesícula que puede manifestarse como un síndrome de cólico biliar. El factor intraluminal que de acuerdo a estudios experimentales y clínicos parece ser el responsable de la cascada inflamatoria que lleva a la colecistitis aguda es la lisolecitina, normalmente ausente en la bilis y que es un producto de la acción de la fosfolipasa A sobre la lecitina, un componente normal de la bilis. La fosfolipasa A se encuentra en la mucosa vesicular y es liberada a la luz de la vesícula cuando hay un trauma. La lisolecitina per se es capaz de producir colecistitis aguda y produce mayor secreción de proteínas, menor absorción de agua, infiltración de leucocitos y mayor producción de prostaglandinas como la E y F1a. Los prostanoides pueden mediar la distensión producida por la secreción mucosa de agua y la contracción de la vesícula en la colecistitis aguda, estos cambios inflamatorios pueden prevenirse con el uso de inhibidores ciclooxigenasa. Una vez que la respuesta inflamatoria inicia se liberan otros mediadores de la inflamación. En general, durante los episodios de colecistitis la bilis puede estar contaminada por bacterias entéricas (E. coli, Enterococcus, Klebsiella, Enterobacter, Streptococcus faecalis) en 20-50% de todos los casos, que es un porcentaje similar al encontrado en otras patologías vesiculares y en pacientes de colelitiasis sin evidencia de colecistitis, sin que tampoco la presencia de bacterias se haya relacionado con los síntomas. El riesgo de tener una bilis infectada aumenta en ancianos que son más susceptibles a presentar mayor daño como gangrena vesicular, lo que se ha atribuido a deficiencias en la respuesta inmune o en el flujo sanguíneo
  • #8 Los cambios histológicos que con mayor frecuencia se pueden observan en estos casos son fibrosis leve de la pared vesicular con mucosa sin alteraciones y en algunos pacientes con múltiples episodios recidivantes de cólico biliar puede haber una vesícula escleroatrófica y divertículos intramurales conocidos como senos de Rokitansky-Aschoff. Cuando persiste el cálculo impactado en el conducto cístico, además del factor mecánico, se desarrollan cambios bioquímicos y anatómicos en la mucosa secundarios a la estasis biliar, estos cambios parecen ser indispensables para desencadenar la respuesta inflamatoria, misma que se suma al edema de la pared que favorece obstrucción venosa y linfática, isquemia y necrosis. Los cambios histológicos de colecistitis crónica pueden ser secundarios a la irritación mecánica persistente de la litiasis o a episodios obstructivos o inflamatorios agudos previos, sin que el daño se relacione con los síntomas o con mayor morbilidad. (1,4,10)
  • #9 Aspecto macroscópico de vesícula biliar después de seccionarla longitudinalmente. Notar el engrosamiento de la pared, abundantes cálculos polihédricos y un pequeño tumor papilar en el conducto cístico. Proliferacion papilar de la mucosa biliar Nervio periferico infiltrado por adenoca vesicula biliar Caracteristicas histologicas del adenocarcinoma
  • #10 En la colecistitis aguda acalculosa no se ha establecido algún factor específico que desencadene el proceso inflamatorio, puede ser un mecanismo multifactorial, pero la isquemia de la mucosa vesical (secundaria a deshidratación, choque, sepsis o enfermedad vascular) y el daño por reperfusión o los efectos de mediadores pro-inflamatorios juegan un papel central en su desarrollo. Se ha descrito con frecuencia en pacientes que requieren cuidados intensivos, están en ayuno prolongado y la vesícula no se ha contraído ni vaciado, por lo tanto contiene una bilis estancada que fácilmente puede producir un daño químico al epitelio vesicular isquémico. Adicionalmente, existen intervenciones relacionadas con la gravedad de estos pacientes como la ventilación asistida con presión positiva que disminuye la perfusión portal y produce estasis biliar, la nutrición parenteral y el uso de fármacos opiáceos. (5,12) Además, también se ha presentado en casos de infecciones sistémicas bacterianas, micóticas, virales y parasitarias.(13-16) Estas dos últimas (p.ej. citomegalovirus y criptosporidium) son causas comunes en enfermos con síndrome de inmunodeficiencia adquirida (SIDA), sin que los pacientes se encuentren en un estado de gravedad o falla orgánica como ocurre en otros enfermos. (13,14) También existen parásitos que pueden producir irritación y/o obstrucción en vesícula biliar que llevan al desarrollo de colecistitis en sujetos sin factores predisponentes, tal es el caso de los áscaris en lugares endémicos. (15) Cada vez se han informado con más frecuencia casos de colecistitis aguda acalculosa en pacientes externos, sobre todo en ancianos o sujetos con enfermedad vascular principalmente ateroesclerosis, diabetes mellitus o insuficiencia renal.
  • #12 La ictericia se presenta sólo en 20% de los pacientes y es más frecuente en los ancianos, su presencia aumenta la posibilidad de tener compresión del colédoco por un cálculo impactado en él o por compresión extrínseca de un cálculo en el cuello vesical o conducto cístico (síndrome de Mirizzi
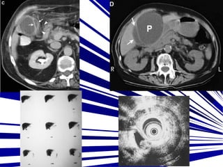
  • #21 CT shows an enhancing rim around the fluid (arrows) and inflammatory edema in the adjacent fat (arrowheads). (D) CT of the pancreatic pseudocyst (P) displacing the gallbladder (arrows). HIDA SCAN normal, capta medio de contraste Ultrasonido endoscopico con litos en la vesicula biliar
  • #23 cirugía laparoscópica aprovecha los “planos de edema” para disecar la vesícula
  • #27 (Recurrencia de litos)