Litiasis Biliar
 80 % de estos pacientes son asintomáticos
 La probabilidad acumulada de presentar alguna
complicación de la litiasis biliar es de 3% a 10 años
Epidemiología (%) (USA)
Hombres Mujeres
8.6 16.6 Blancos (no hispanos)
8.9 26.7 Mexicano-americanos
5.3 13.3 Afro-americanos
Factores de riesgo para la formación de litos
Anciano Edad arriba de 70 años *
¿Bajó mucho de peso? Obesidad, pérdida de peso posterior a dieta baja en calorías/cirugía
¿Con muchos hijos? Embarazo, multípara
Drogas Fibratos, estrógenos, progesterona, octreótido, ceftriaxona
Etnicidad Indios Pima (E.U.), indígenas nativos de Chile, Perú y Argentina,
Escandinavos
Famila Historia familiar materna de litiasis
Género Femenino
Hiperalimentación Nutrición parenteral total**, ayuno prolongado
Ileal y otros trastornos
metabólicos
Enfermedad ileal (enfermedad de Crohn), resecciòn o bypass,
hipertrigliceridemia*, Diabetes mellitus, hemólisis crónica, Cirrosis
alcohólica*, Infección biliar*, cirrosis biliar primaria*, divertículos
duodenales, vagotomía truncal*, hiperparatiroidismo, bajo nivel de
lipoproteinas de alta densidad
*Factores de riesgo para el desarrollo de cálculos pigmentarios.
**Factores de riesgo para el desarrollo de cálculos pigmentarios y de colesterol.
Am Fam Physician. 2000; 61:1673-80
Formación y composición
de los calculos biliares
Hipomotilidad
Cristales
Nucleación
Sobre-
saturación
Absorción
de agua
Cálculos
Cristales de colesterol
Moco
vesicular
•90% son litos de colesterol (>50%
de colesterol) y Mixtos (20-50%
colesterol)
•10% pigmentarios (<20% de
colesterol, bilirrubina amorfa y
sales de calcio)
Factores que favorecen
formación de cálculos
• Aumento de la excreción hepática
de bilirrubina libre
• Deficiencia de factores
solubilizadores de la bilirrubina libre
• Desconjugación de la bilirrubina
en la bilis
Colecistitis
 Es la inflamación de la vesícula biliar que puede ser aguda o crónica de
acuerdo a la lesión histopatológica, principalmente dependiendo del
tipo de infiltrado inflamatorio.
 La colecistitis aguda es la complicación más frecuente de la litiasis
biliar (10% de la población general).
 Diagnóstico gastroenterológico más común en pacientes
hospitalizados
 Lugar 19 entre las causas de muerte por patología digestiva
 Se presenta en 3% de aquellos pacientes con litos sintomáticos
Distensión de la vesícula
P A T O G E N E S I S
Pared vesicular
edematosa
Conducto
cístico
Lito impactado en el
saco de Hartman
Distensión de la vesícula
Secreción de fluidos
Secreción de
Prostaglandina I2 y E2
Aumento en
la presión
intraluminal
Factores desencadenantes
Obstrucción del paso de la bilis a través del conducto cístico por un lito (90%)
Lesión de la mucosa vesical
•Obstrucción intermitente lleva
a un aumento en la presión
intraluminal y junto con bilis
supersaturada de colesterol
estimulan respuesta
inflamatoria.
• El trauma intraluminal
provocado por litos estimula
síntesis de prostaglandinas I2 y
E2 que median respuesta
inflamatoria
•Infección bacteriana
secundaria con organismos
entéricos ocurre en 20% de los
casos.
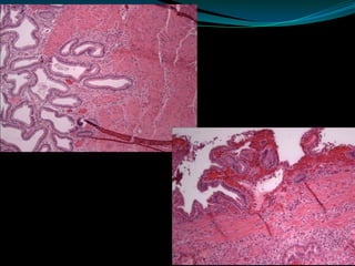
VESICULA BILIAR CON COLECISTITIS
CRONICA, COLELITIASIS
Y UN PEQUEÑO TUMOR PAPILAR A NIVEL DEL
CONDUCTO CISTICO (macro)
Adenocarcinoma Papilar de la Vesícula Biliar
(micro)
Patogénesis y factores de riesgo para la
colecistitis acalculosa
COLECISTITIS ACALCULOSA
Oclusión microvascular e hipercoagulabilidad
Deshidratación
Choque
BMJ 2002;325:639-43
Sepsis
Transfusión masiva
Comorbilidad
(cáncer, DM,
enfermedad
vascular)
Evolución clínica de las diversas patologías biliares.
ALTERACION INICIAL ENTIDAD PATOLOGICA EVOLUCION CLINICA
Cólico Biliar Resolución en horas.
Episodios recidivantes
¿Evolución a vesícula
escleroatrófica?
Colecistitis Aguda Requiere hospitalización
Resolución en 7-10 días
Complicaciones poco frecuentes
Tratamiento con colecistectomía
Colecistitis Pocas manifestaciones clínicas
aguda Cuadros graves
acalculosa Complicaciones frecuentes
Tratamiento : Colecistectomía
Colecistostomía?
Bloqueo del cístico o
cuello vesicular
(Litiasis)
Irritacion o Daño del
epitelio vesicular
(isquemia, toxicos,
gérmenes)
Manifestaciones clínicas en CCA
El cólico biliar inicia súbitamente, incrementa rápido en
intensidad en 15 minutos y puede durar hasta 3 horas.
• 75% de colecistitis aguda tiene
antecedente de cólico biliar
• Dolor en colecistitis dura > 6 h
• Al inicio también es de tipo
visceral y constante a pesar de
llamarse cólico
• Dolor localizado en
hemiabdomen superior
(epigastrio e hipocondrios)
• Dolor parietal localizado en
hipocondrio derecho, irradiado a
región subescapular y área
clavicular derechas
• Posterior al inicio del dolor
aparecen fiebre, náuseas y
vómitos
• Ictericia en 20% de los
pacientes, más frecuente en los
ancianos (compresión del
colédoco / Síndrome de Mirizzi)
• 25% de los pacientes se
presenta sin antecedentes
relacionados
• En la colecistitis acalculosa el
cuadro puede ser insidioso y
depender de las condiciones
predisponentes
Datos en la exploración física
 Paciente febril
 Taquicardia
 Algunos casos con ictericia
 Dolor en hipocondrio derecho en donde se puede palpar la
vesícula hasta en una tercera parte de los casos
 Limitación de movimientos por el dolor secundario a la
irritación peritoneal local que da resistencia voluntaria e
involuntaria a la palpación del abdomen.
 Signo de Murphy a palpación y ultrasonográfico
sensibilidad de esta maniobra es menor en ancianos.
Características que distinguen a las diferentes complicaciones inducidas por litos
biliares.(1)
Característica Cólico Biliar Colecistitis Aguda Colangitis Pancreatitis
Sitio del Dolor Epigastrio HD HD Epigastrio
Duración del Dolor < 3 horas > 3 horas Variable Variable
(días)
Masa palpable Ausente Masa en HD
Fiebre -
Leucocitosis -
Amilasemia Normal +
HD = Hipocondrio Derecho. + presente; - ausente; presente ó ausente.
(1) Estas características pueden no siempre estar presentes.
Complicaciones de la Litiasis VesicularComplicación Porcentaje
Cólico biliar 70 - 80 (2,3)
Colecistitis aguda 10
Colecistitis enfisematosa <1 (3)
Síndrome de Mirizzi <1 (3)
Hidrocolecisto <1 (3)
Obstrucción del intestino delgado (íleo biliar) 1 (3)
Obstrucción a la salida gástrica (síndrome de Bouveret ) <1(3)
Perforación de la vesícula 12 (3)
Pancreatitis biliar aguda --
Colangitis supurativa/obstructiva --
(1) Un tercio de los pacientes con litiasis vesicular desarrolla sintomas.
(2) Porcentaje de la incidencia en pacientes con litiasis sintomática
(3) Porcentaje de la incidencia en pacientes con colecistitis aguda.
Am Fam Physician. 2000; 61:1673-80
Secuelas de la colecistitis aguda
 Colecistitis gangrenosa
- Hasta 30% de los casos
- Factores de riesgo: Masculino
>50 años con leucocitosis
>17,000
- Mas común en fundus
- Cirugía de urgencia
 Perforación vesicular
 10% de los casos
 Retraso en atención
 Mejoría temporal de sintomas
 Inicia peritonitis
 Mortalidad 30%
 Formación de abscesos
pericolecisticos
Evolución esperada de la colecistitis aguda es hacia la
resolución en 7 a 10 días
• Fístula colecistoentérica
- Duodeno y colon (ángulo hepático)
- Neumobilia en radiografía
• Ileo biliar
-Pacientes ancianos sin causa
aparente de obstrucción intestinal
-Mortalidad 20%
1 Neumobilia
2 Obstrucción intestinal
3 Litos en sitios inusuales
Diagnóstico diferencial
 Apendicitis
 Pancreatitis aguda
 Pielonefritis o litiasis renal
 Absceso hepático y úlcera péptica
 Colangitis
 En la colecistitis acalculosa se requiere un elevado
índice de sospecha, el cuadro puede estar
enmascarado por la sedación, analgesia o
condición de base del paciente
Características clínicas en el diagnóstico de colecistitis aguda
Dolor constante en cuadrante superior derecho
(constante > 12 horas)
Dolor en el cuadrante
superior derecho
Signo de Murphy (+/-),
Masa palpable (+/-)
Respuesta inflamatoria
Fiebre
Leucocitosis
PCR y VSG elevados
Diagnóstico
de
colecistitis
aguda
BMJ 2002;325:639-43
Considerar la colecistitis aguda como la primera posibilidad diagnóstica en
pacientes con dolor abdominal agudo. Si el diagnóstico se basa sólo con
base en datos clínicos se va a incluir a una tercera parte de casos que no
corresponden a colecistitis aguda
Laboratorio Gabinete
 Leucocitosis (desviación a la
izquierda)
Persistencia de leucocitosis y
mala evolución clínica,
sospechar colecistitis purulenta
o gangrenada
 Elevación leve de las
aminotransferasas y pueden
elevarse levemente la bilirrubina
sérica (entre 2 y 4 mg/dL) y la
fosfatasa alcalina
 Amilasa sérica puede estar poco
elevada
>1000 U/dL en los casos de
coledocolitiasis o pancreatitis
aguda asociada
 Las alteraciones anatómicas son
más útiles para diagnóstico de
colecistitis aguda
 Ultrasonido es el estudio de
elección
 Centellografía biliar / prueba de
HIDA :estándar de oro para
identificar obstrucción flujo
vesicular
 TAC
 Utilidad para identificar
complicaciones
 No necesario iniciar con este
estudio
 Colangiografía por resonancia
magnética
Hallazgos ultrasonográficos de
la colecistitis aguda
Liquido pericolecístico
Distensión de la vesícula biliar
Pared vesicular edematosa
Litos
Radiografía de abdomen
Nivel
hidroaéreo
Gas entre la
pared
vesicular
Tratamiento
La mayoría responde al tratamiento conservador inicial con el que
se logra desimpactar el lito causante de la obstrucción
Manejo médico
• Hidratación y corrección de
desequilibrio hidro-electrolítico
(vómito, fiebre y ayuno)
• Ayuno y si persiste el vómito
se instalará una sonda
nasogástrica
• Control del dolor
•Indometacina (25 mg tres
veces al día)
•Diclofenaco (75 mg IM)
•Ibuprofeno (400 mg).
• Iniciar antibióticos IV si hay riesgo de
gravedad, datos de infección o
deterioro después de 12 a 24 horas de
iniciado el manejo hospitalario
• Efectivos contra bacterias de la flora
entérica
•cefalosporinas de 2da generación
(cefuroxime) a 4a generación
(cefepime), metronidazol y
ampicilina
•aminoglucósido y ampicilina se
han limatodo por desarrollo de
resistencia bacteriana y riesgo de
nefrotoxicidad
Tratamiento Quirúrgico
 Tratamiento médico inicial y pueden ser programados para el
tratamiento quirúrgico semi-electivo
 Colecistectomía por vía laparoscópica es el tratamiento de
elección y se realiza durante las 72-96 horas de iniciados los
síntomas
 10 a 15 % tienen que ser sometidos a descompresión biliar de
urgencia por falta de respuesta
 20% de los pacientes con colecistitis aguda necesitan una cirugía
de urgencia
 Resuelve la colecistitis aguda y hay resolución completa del dolor
recidivante en la mayoría (82%) de los pacientes con cólico biliar
y litiasis
 En aquellos casos de colecistitis acalculosa casi la mitad pueden
persistir con manifestaciones vagas dolorosas
Contraindicaciones para la colecistectomía laparoscópica.
Alto riesgo para anestesia general
Obesidad mórbida
Signos de perforación vesicular como abscesos,
peritonitis o fístula
Litos gigantes
Enfermedad hepática en estadio terminal con
hipertensión portal y coagulopatía severa.
Sospecha de malignidad en vesícula biliar
Embarazo en último trimestre.
 Flatulencia e intolerancia a la comida grasosa, dolor
en el hipocondrio derecho
 Asociado a dilatación de remanentes del conducto
cístico, formación de neuroma en la pared ductal y
granuloma por cuerpo extraño
 Tratamiento con inhibidores de los canales de calcio,
nitratos de larga duración o la inyección del esfínter
de Oddi con toxina botulínica puede ser benéfico.
 En algunos casos es necesaria la esfinterotomía,
esfinteroplastía quirúrgica o la extirpación del
remanente del conducto cístico
 Pensar en SII
En la persistencia del dolor debe considerarse la
posibilidad de síndrome postcolecistectomía
Manejo de pacientes seleccionados
Mujeres embarazadas
 Las enfermedades biliares son la segunda causa más común de cirugía en el
embarazo
 La operación puede retrasarse hasta después del parto cuando hay respuesta al
tratamiento conservador
 Si recidivan los síntomas en el mismo trimestre se indica la colecistectomía
(laparoscópica durante los dos primeros trimestres).
Colecistitis acalculosa
 En la colecistitis acalculosa se debe realizar una colecistectomía temprana. La
mayoría de las ocasiones se realiza en forma abierta.
 Otra alternativa terapéutica en casos graves es la colecistostomía percutánea
que puede realizarse guiada por ultrasonido
 Se puede dejar el drenaje por más de 6 semanas y tratar de extraer los litos por
medio de radiología intervencionista
 La falta de respuesta después de 48 horas de realizada la colecistostomía puede
sugerir otras causas de sepsis independientes de la colecistitis
Terapia no quirúrgica para los litos sintomáticos.
Agente Ventajas Desventajas
Acido ursodesoxicólico
8 -10 mg/kg/día.
éxito:
30 a 90%
mortalidad
0%
Recurrencia del 50%; solo disuelve
litos no calcificados; óptimo para
litos <5 mm; mejoría en síntomas
después de 3 a 6 semanas; hasta 6 a
24 meses para ver los resultados.
Solventes de contacto:
metil tert-butil éter/n-
propil acetato
éxito:
50-90%
Recurrencia del 70%, solo
disponible en algunos centros de
tercer nivel; éxito depende de la
experiencia de éstos; muchos
efectos adversos.
Litotripsia
extracorpórea:
electrohidráulica/elec
magnética
éxito:
70 a 90%
mortalidad
< 0.1%.
Recurrencia del 70%; no aprobado
por la FDA; en centros con
experiencia; solo si hay menos de 3
litos radiolúcidos (<20 mm ø),
conducto cístico permeable, vesícula
funcional, litos sintomáticos sin
complicaciones
FDA = Administración de Drogas y Alimentos de E.U.A.

Litiasis biliar y colecistitis (1)

  • 2.
    Litiasis Biliar  80% de estos pacientes son asintomáticos  La probabilidad acumulada de presentar alguna complicación de la litiasis biliar es de 3% a 10 años Epidemiología (%) (USA) Hombres Mujeres 8.6 16.6 Blancos (no hispanos) 8.9 26.7 Mexicano-americanos 5.3 13.3 Afro-americanos
  • 3.
    Factores de riesgopara la formación de litos Anciano Edad arriba de 70 años * ¿Bajó mucho de peso? Obesidad, pérdida de peso posterior a dieta baja en calorías/cirugía ¿Con muchos hijos? Embarazo, multípara Drogas Fibratos, estrógenos, progesterona, octreótido, ceftriaxona Etnicidad Indios Pima (E.U.), indígenas nativos de Chile, Perú y Argentina, Escandinavos Famila Historia familiar materna de litiasis Género Femenino Hiperalimentación Nutrición parenteral total**, ayuno prolongado Ileal y otros trastornos metabólicos Enfermedad ileal (enfermedad de Crohn), resecciòn o bypass, hipertrigliceridemia*, Diabetes mellitus, hemólisis crónica, Cirrosis alcohólica*, Infección biliar*, cirrosis biliar primaria*, divertículos duodenales, vagotomía truncal*, hiperparatiroidismo, bajo nivel de lipoproteinas de alta densidad *Factores de riesgo para el desarrollo de cálculos pigmentarios. **Factores de riesgo para el desarrollo de cálculos pigmentarios y de colesterol. Am Fam Physician. 2000; 61:1673-80
  • 4.
    Formación y composición delos calculos biliares Hipomotilidad Cristales Nucleación Sobre- saturación Absorción de agua Cálculos Cristales de colesterol Moco vesicular •90% son litos de colesterol (>50% de colesterol) y Mixtos (20-50% colesterol) •10% pigmentarios (<20% de colesterol, bilirrubina amorfa y sales de calcio) Factores que favorecen formación de cálculos • Aumento de la excreción hepática de bilirrubina libre • Deficiencia de factores solubilizadores de la bilirrubina libre • Desconjugación de la bilirrubina en la bilis
  • 5.
    Colecistitis  Es lainflamación de la vesícula biliar que puede ser aguda o crónica de acuerdo a la lesión histopatológica, principalmente dependiendo del tipo de infiltrado inflamatorio.  La colecistitis aguda es la complicación más frecuente de la litiasis biliar (10% de la población general).  Diagnóstico gastroenterológico más común en pacientes hospitalizados  Lugar 19 entre las causas de muerte por patología digestiva  Se presenta en 3% de aquellos pacientes con litos sintomáticos
  • 6.
    Distensión de lavesícula P A T O G E N E S I S Pared vesicular edematosa Conducto cístico Lito impactado en el saco de Hartman Distensión de la vesícula Secreción de fluidos Secreción de Prostaglandina I2 y E2 Aumento en la presión intraluminal Factores desencadenantes Obstrucción del paso de la bilis a través del conducto cístico por un lito (90%) Lesión de la mucosa vesical •Obstrucción intermitente lleva a un aumento en la presión intraluminal y junto con bilis supersaturada de colesterol estimulan respuesta inflamatoria. • El trauma intraluminal provocado por litos estimula síntesis de prostaglandinas I2 y E2 que median respuesta inflamatoria •Infección bacteriana secundaria con organismos entéricos ocurre en 20% de los casos.
  • 8.
    VESICULA BILIAR CONCOLECISTITIS CRONICA, COLELITIASIS Y UN PEQUEÑO TUMOR PAPILAR A NIVEL DEL CONDUCTO CISTICO (macro) Adenocarcinoma Papilar de la Vesícula Biliar (micro)
  • 9.
    Patogénesis y factoresde riesgo para la colecistitis acalculosa COLECISTITIS ACALCULOSA Oclusión microvascular e hipercoagulabilidad Deshidratación Choque BMJ 2002;325:639-43 Sepsis Transfusión masiva Comorbilidad (cáncer, DM, enfermedad vascular)
  • 10.
    Evolución clínica delas diversas patologías biliares. ALTERACION INICIAL ENTIDAD PATOLOGICA EVOLUCION CLINICA Cólico Biliar Resolución en horas. Episodios recidivantes ¿Evolución a vesícula escleroatrófica? Colecistitis Aguda Requiere hospitalización Resolución en 7-10 días Complicaciones poco frecuentes Tratamiento con colecistectomía Colecistitis Pocas manifestaciones clínicas aguda Cuadros graves acalculosa Complicaciones frecuentes Tratamiento : Colecistectomía Colecistostomía? Bloqueo del cístico o cuello vesicular (Litiasis) Irritacion o Daño del epitelio vesicular (isquemia, toxicos, gérmenes)
  • 11.
    Manifestaciones clínicas enCCA El cólico biliar inicia súbitamente, incrementa rápido en intensidad en 15 minutos y puede durar hasta 3 horas. • 75% de colecistitis aguda tiene antecedente de cólico biliar • Dolor en colecistitis dura > 6 h • Al inicio también es de tipo visceral y constante a pesar de llamarse cólico • Dolor localizado en hemiabdomen superior (epigastrio e hipocondrios) • Dolor parietal localizado en hipocondrio derecho, irradiado a región subescapular y área clavicular derechas • Posterior al inicio del dolor aparecen fiebre, náuseas y vómitos • Ictericia en 20% de los pacientes, más frecuente en los ancianos (compresión del colédoco / Síndrome de Mirizzi) • 25% de los pacientes se presenta sin antecedentes relacionados • En la colecistitis acalculosa el cuadro puede ser insidioso y depender de las condiciones predisponentes
  • 12.
    Datos en laexploración física  Paciente febril  Taquicardia  Algunos casos con ictericia  Dolor en hipocondrio derecho en donde se puede palpar la vesícula hasta en una tercera parte de los casos  Limitación de movimientos por el dolor secundario a la irritación peritoneal local que da resistencia voluntaria e involuntaria a la palpación del abdomen.  Signo de Murphy a palpación y ultrasonográfico sensibilidad de esta maniobra es menor en ancianos.
  • 13.
    Características que distinguena las diferentes complicaciones inducidas por litos biliares.(1) Característica Cólico Biliar Colecistitis Aguda Colangitis Pancreatitis Sitio del Dolor Epigastrio HD HD Epigastrio Duración del Dolor < 3 horas > 3 horas Variable Variable (días) Masa palpable Ausente Masa en HD Fiebre - Leucocitosis - Amilasemia Normal + HD = Hipocondrio Derecho. + presente; - ausente; presente ó ausente. (1) Estas características pueden no siempre estar presentes.
  • 14.
    Complicaciones de laLitiasis VesicularComplicación Porcentaje Cólico biliar 70 - 80 (2,3) Colecistitis aguda 10 Colecistitis enfisematosa <1 (3) Síndrome de Mirizzi <1 (3) Hidrocolecisto <1 (3) Obstrucción del intestino delgado (íleo biliar) 1 (3) Obstrucción a la salida gástrica (síndrome de Bouveret ) <1(3) Perforación de la vesícula 12 (3) Pancreatitis biliar aguda -- Colangitis supurativa/obstructiva -- (1) Un tercio de los pacientes con litiasis vesicular desarrolla sintomas. (2) Porcentaje de la incidencia en pacientes con litiasis sintomática (3) Porcentaje de la incidencia en pacientes con colecistitis aguda. Am Fam Physician. 2000; 61:1673-80
  • 15.
    Secuelas de lacolecistitis aguda  Colecistitis gangrenosa - Hasta 30% de los casos - Factores de riesgo: Masculino >50 años con leucocitosis >17,000 - Mas común en fundus - Cirugía de urgencia  Perforación vesicular  10% de los casos  Retraso en atención  Mejoría temporal de sintomas  Inicia peritonitis  Mortalidad 30%  Formación de abscesos pericolecisticos Evolución esperada de la colecistitis aguda es hacia la resolución en 7 a 10 días • Fístula colecistoentérica - Duodeno y colon (ángulo hepático) - Neumobilia en radiografía • Ileo biliar -Pacientes ancianos sin causa aparente de obstrucción intestinal -Mortalidad 20% 1 Neumobilia 2 Obstrucción intestinal 3 Litos en sitios inusuales
  • 16.
    Diagnóstico diferencial  Apendicitis Pancreatitis aguda  Pielonefritis o litiasis renal  Absceso hepático y úlcera péptica  Colangitis  En la colecistitis acalculosa se requiere un elevado índice de sospecha, el cuadro puede estar enmascarado por la sedación, analgesia o condición de base del paciente
  • 17.
    Características clínicas enel diagnóstico de colecistitis aguda Dolor constante en cuadrante superior derecho (constante > 12 horas) Dolor en el cuadrante superior derecho Signo de Murphy (+/-), Masa palpable (+/-) Respuesta inflamatoria Fiebre Leucocitosis PCR y VSG elevados Diagnóstico de colecistitis aguda BMJ 2002;325:639-43 Considerar la colecistitis aguda como la primera posibilidad diagnóstica en pacientes con dolor abdominal agudo. Si el diagnóstico se basa sólo con base en datos clínicos se va a incluir a una tercera parte de casos que no corresponden a colecistitis aguda
  • 18.
    Laboratorio Gabinete  Leucocitosis(desviación a la izquierda) Persistencia de leucocitosis y mala evolución clínica, sospechar colecistitis purulenta o gangrenada  Elevación leve de las aminotransferasas y pueden elevarse levemente la bilirrubina sérica (entre 2 y 4 mg/dL) y la fosfatasa alcalina  Amilasa sérica puede estar poco elevada >1000 U/dL en los casos de coledocolitiasis o pancreatitis aguda asociada  Las alteraciones anatómicas son más útiles para diagnóstico de colecistitis aguda  Ultrasonido es el estudio de elección  Centellografía biliar / prueba de HIDA :estándar de oro para identificar obstrucción flujo vesicular  TAC  Utilidad para identificar complicaciones  No necesario iniciar con este estudio  Colangiografía por resonancia magnética
  • 19.
    Hallazgos ultrasonográficos de lacolecistitis aguda Liquido pericolecístico Distensión de la vesícula biliar Pared vesicular edematosa Litos Radiografía de abdomen Nivel hidroaéreo Gas entre la pared vesicular
  • 21.
    Tratamiento La mayoría respondeal tratamiento conservador inicial con el que se logra desimpactar el lito causante de la obstrucción Manejo médico • Hidratación y corrección de desequilibrio hidro-electrolítico (vómito, fiebre y ayuno) • Ayuno y si persiste el vómito se instalará una sonda nasogástrica • Control del dolor •Indometacina (25 mg tres veces al día) •Diclofenaco (75 mg IM) •Ibuprofeno (400 mg). • Iniciar antibióticos IV si hay riesgo de gravedad, datos de infección o deterioro después de 12 a 24 horas de iniciado el manejo hospitalario • Efectivos contra bacterias de la flora entérica •cefalosporinas de 2da generación (cefuroxime) a 4a generación (cefepime), metronidazol y ampicilina •aminoglucósido y ampicilina se han limatodo por desarrollo de resistencia bacteriana y riesgo de nefrotoxicidad
  • 22.
    Tratamiento Quirúrgico  Tratamientomédico inicial y pueden ser programados para el tratamiento quirúrgico semi-electivo  Colecistectomía por vía laparoscópica es el tratamiento de elección y se realiza durante las 72-96 horas de iniciados los síntomas  10 a 15 % tienen que ser sometidos a descompresión biliar de urgencia por falta de respuesta  20% de los pacientes con colecistitis aguda necesitan una cirugía de urgencia  Resuelve la colecistitis aguda y hay resolución completa del dolor recidivante en la mayoría (82%) de los pacientes con cólico biliar y litiasis  En aquellos casos de colecistitis acalculosa casi la mitad pueden persistir con manifestaciones vagas dolorosas
  • 23.
    Contraindicaciones para lacolecistectomía laparoscópica. Alto riesgo para anestesia general Obesidad mórbida Signos de perforación vesicular como abscesos, peritonitis o fístula Litos gigantes Enfermedad hepática en estadio terminal con hipertensión portal y coagulopatía severa. Sospecha de malignidad en vesícula biliar Embarazo en último trimestre.
  • 24.
     Flatulencia eintolerancia a la comida grasosa, dolor en el hipocondrio derecho  Asociado a dilatación de remanentes del conducto cístico, formación de neuroma en la pared ductal y granuloma por cuerpo extraño  Tratamiento con inhibidores de los canales de calcio, nitratos de larga duración o la inyección del esfínter de Oddi con toxina botulínica puede ser benéfico.  En algunos casos es necesaria la esfinterotomía, esfinteroplastía quirúrgica o la extirpación del remanente del conducto cístico  Pensar en SII En la persistencia del dolor debe considerarse la posibilidad de síndrome postcolecistectomía
  • 25.
    Manejo de pacientesseleccionados Mujeres embarazadas  Las enfermedades biliares son la segunda causa más común de cirugía en el embarazo  La operación puede retrasarse hasta después del parto cuando hay respuesta al tratamiento conservador  Si recidivan los síntomas en el mismo trimestre se indica la colecistectomía (laparoscópica durante los dos primeros trimestres). Colecistitis acalculosa  En la colecistitis acalculosa se debe realizar una colecistectomía temprana. La mayoría de las ocasiones se realiza en forma abierta.  Otra alternativa terapéutica en casos graves es la colecistostomía percutánea que puede realizarse guiada por ultrasonido  Se puede dejar el drenaje por más de 6 semanas y tratar de extraer los litos por medio de radiología intervencionista  La falta de respuesta después de 48 horas de realizada la colecistostomía puede sugerir otras causas de sepsis independientes de la colecistitis
  • 26.
    Terapia no quirúrgicapara los litos sintomáticos. Agente Ventajas Desventajas Acido ursodesoxicólico 8 -10 mg/kg/día. éxito: 30 a 90% mortalidad 0% Recurrencia del 50%; solo disuelve litos no calcificados; óptimo para litos <5 mm; mejoría en síntomas después de 3 a 6 semanas; hasta 6 a 24 meses para ver los resultados. Solventes de contacto: metil tert-butil éter/n- propil acetato éxito: 50-90% Recurrencia del 70%, solo disponible en algunos centros de tercer nivel; éxito depende de la experiencia de éstos; muchos efectos adversos. Litotripsia extracorpórea: electrohidráulica/elec magnética éxito: 70 a 90% mortalidad < 0.1%. Recurrencia del 70%; no aprobado por la FDA; en centros con experiencia; solo si hay menos de 3 litos radiolúcidos (<20 mm ø), conducto cístico permeable, vesícula funcional, litos sintomáticos sin complicaciones FDA = Administración de Drogas y Alimentos de E.U.A.