Manejo de muestras líquidas
Procesamiento de líquidos
corporales y cavidades
Seminario 5, Segundo semestre 2014
Citopatología
Mayarling Troncoso M
Citología de Muestras Líquidas
• Tiene como objetivo detectar cualquier anormalidad citológica
mediante la coloración Papanicolau.
• Para un diagnóstico seguro y óptimo:
-Muestra fresca
-Historia clínica adecuada
-Preparación de la muestra inmediata
-Fijación correcta
Problemas muestras líquidas
• Densidad
-Muestras baja densidad protéica sensibles a cambios osmóticos
-Muestras de alta densidad protéica sensibles a coagulación
• Autólisis
- Células fuera de su medio natural sensibles a necrosis
**FUNDAMENTAL BUENA FIJACIÓN
Manejo de muestras líquidas
Muestra alta densidad protéica
-Líquido pleural
-Líquido ascítico
-Líquido sinovial
-Líquido pericárdico
** Recolectados en tubo con
anticoagulante, tratados con Liquofix o
solución Formol-Ringer-Alcohol.
Muestra baja densidad protéica
-Lavado bronquial
-Lavado peritoneal
-Quistes de mama
**Tratados con alcohol 70 en partes
iguales con la muestra y ser procesado
antes de las dos horas.
• Muestra líquida: muestra donde las células están suspendidas en un
Líquido: exudado, transudado, suero fisiológico, etc.
Norma y manejo de biopsias y citología Hospital Padre Hurtado
Manejo de muestras líquidas
DIFERENTE FIJACIÓN
DIFERENTES MUESTRAS
COMPLICADO
(PROCESOS)
(IMPLEMENTACIÓN)
IGUAL FIJACIÓN
SIMPLE
(PROCESOS)
(IMPLEMENTACIÓN)
Liquofix
• Medio conservador, fijador y anticoagulante de muestras
líquidas.
• Mantiene ambiente isotónico de muestras.
• Permite manejo y traslado de muestras al laboratorio sin
apremio de tiempo y temperatura (recomendación:
procesamiento antes de 24hrs).
• No interfiere en reacciones de coloración o ICQ.
• Buenos detalles nucleares tanto de estructura y cromatina,
permiten una fiel imagen de rastros benignos y malignos.
• Citoplasmas, diferenciaciones estructurales y afinidades
tintoriales intactos.
Liquofix
• Consideraciones:
-Solución transportadora que no produce coagulación
-Tiempos prolongados causan sobrefijación con alteración de la tinción
(cariopicnosis) y mala adhesividad de la muestra
-Importante dejar secar los bordes de la muestra en porta (semiseco)
para evitar desprendimiento o derrame de la muestra al fijar en
alcohol.
-Muestra apta para realizar block celular
Procesamiento
• Centrifugación*
• Block celular*
• Citocentrifugación
• Filtración por membrana de nitrocelulosa
• Impronta de coágulos
Procesamiento
Citología
Muestra
Centrifugar
1000 rpm 10’
Soltar pelet
Poner en placa
Procesamiento
Block celular
Centrifugar
1000 rpm 10’
Gotitas
albúmina
Formalina
neutra
Resuspender
Centrifugar
(inversión)
Obtener
pelet
Cassette
inclusión
ProcesamientoObtención
cortes
Muestra
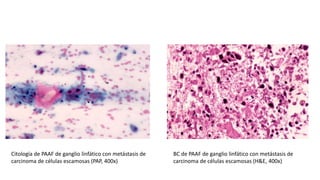
• Estudios muestran que la citología puede ser mas resolutiva (96,7%
vs. 47,0% ) y es más sensible para diagnosticar malignidad (87,5%
frente al 56,2%). Pero un 3,2% de diagnósticos de malignidad con el
BC que escapaba al diagnóstico de la citología. Se recomienda en el
realizar primero la citología y luego como examen complementario
el block celular, que permite añadir especificidad al observar la
arquitectura de la lesión, realizar técnicas complementarias al PAP
como la H/E, IHQ, etc
BC de PAAF de ganglio linfático con metástasis de
carcinoma de células escamosas (H&E, 400x)
Citología de PAAF de ganglio linfático con metástasis de
carcinoma de células escamosas (PAP, 400x)
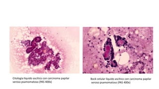
Citología líquido ascítico con carcinoma papilar
seroso psamomatoso (PAS 400x)
Bock celular líquido ascítico con carcinoma papilar
seroso psamomatoso (PAS 400x)
• El procesamiento del BC es un método simple y de confianza después
de revisar los extendidos citológicos. La citología es un procedimiento
diagnóstico más sensible que el BC para el diagnóstico de malignidad
(87,5% frente al 56,2%). Sin embargo, el 3,2% de los BC permite hacer
un diagnóstico de malignidad que se escapa al diagnóstico citológico
• Bloques celulares aumenta de forma significativa la capacidad para realizar
con más facilidad técnicas de inmunohistoquímica que ayudan a la mejor
tipificación de las neoplasias, y además aporta un diagnóstico morfológico
exclusivo en algunos casos.
• En cuanto a su utilidad en patología benigna, de forma general parece
aumentar su rentabilidad, aunque en la única entidad en la que se ha
estudiado de forma concreta ha sido en la sarcoidosis19-22. Los primeros
estudios se realizaron a partir de punciones realizadas con ultrasonografía
esofágica (EUS-FNA)20,21. Von Bartheld et al.20 observaron que en
pacientes con el diagnóstico final de sarcoidosis, en el 33% de las citologías
negativas pudieron verse granulomas en el bloque celular.
Procesamiento
Citocentrífuga
https://www.youtube.com/watch?v=5f78t0AH5js
Procesamiento
Filtros de nitrocelulosa
• El filtro de membrana estándar para la mayoría de las aplicaciones en
laboratorio para partículas y células en el rango de 0,1 µm hasta 5,0
µm. Los residuos de la filtración se encuentran habitualmente en la
superficie del filtro lo que permite su recuperación física y estudios
microscópicos
PROCESADOR THINPREP
Recolección de la muestra
Solución PreservCyt®
https://www.youtube.com/watch?v=d_CvtSfZ2Hc
Procesamiento
Impronta de coágulos
• El material obtenido por punciones o lavados pueden contener restos
hemáticos y microfragmentos de tejido formando coágulos, los cuales
pueden ser procesados:
- IMPRONTA
- BLOCK CELULAR
Caso
• Paciente masculino
• 88 años
• Macroscopía: se recibe líquido pleural : 20 ml. De líquido de aspecto
citrino.
• Procesamiento: se centrifuga a 1.000 rpm por 10 minutos. Se realiza
extendido celular para tinción PAP y realización de Block celular con
coágulo.
Marcado pleomorfismo y tamaño nuclear, binucleación, hipercromasia y macronucléolo. Importante destacar la
Alta relación núcleo citoplasma.
https://citotecs.wordpress.com/2013/07/11/derrame-de-cavidades-citopreparacion/
Discusión
• Es importante cumplir con los parámetros establecidos para realizar
un diagnóstico óptimo y seguro de cada muestra
• Tener en cuenta la técnica a utilizar para el procesamiento de las
muestras líquidas, sus ventajas, desventajas, costos, etc.
• Uso de block celular complementario a citología. Beneficios
Bibliografía
• JUAN DÍAZ et al. Utilidad de la citocentrifugación en el diagnóstico
bacteriológico microscópico de fluidos corporales.
• Francisco Javier Torres Gómez, A. UTILIDAD DEL MÉTODO DE
FILTRACIÓN-ADHESIÓN EN CITOLOGÍA URINARIA
• http://www.thermoscientific.com/en/product/cytospin-4-
cytocentrifuge.html
• http://www.cytologystuff.com/es/study/section1.htm
• http://www.lablinsan.cl/imagenes_ficha_7/fichasWeb7_4.pdf
• https://citotecs.wordpress.com/2013/07/11/derrame-de-cavidades-
citopreparacion/

Manejo de muestras líquidas

  • 1.
    Manejo de muestraslíquidas Procesamiento de líquidos corporales y cavidades Seminario 5, Segundo semestre 2014 Citopatología Mayarling Troncoso M
  • 2.
    Citología de MuestrasLíquidas • Tiene como objetivo detectar cualquier anormalidad citológica mediante la coloración Papanicolau. • Para un diagnóstico seguro y óptimo: -Muestra fresca -Historia clínica adecuada -Preparación de la muestra inmediata -Fijación correcta
  • 4.
    Problemas muestras líquidas •Densidad -Muestras baja densidad protéica sensibles a cambios osmóticos -Muestras de alta densidad protéica sensibles a coagulación • Autólisis - Células fuera de su medio natural sensibles a necrosis **FUNDAMENTAL BUENA FIJACIÓN
  • 5.
    Manejo de muestraslíquidas Muestra alta densidad protéica -Líquido pleural -Líquido ascítico -Líquido sinovial -Líquido pericárdico ** Recolectados en tubo con anticoagulante, tratados con Liquofix o solución Formol-Ringer-Alcohol. Muestra baja densidad protéica -Lavado bronquial -Lavado peritoneal -Quistes de mama **Tratados con alcohol 70 en partes iguales con la muestra y ser procesado antes de las dos horas. • Muestra líquida: muestra donde las células están suspendidas en un Líquido: exudado, transudado, suero fisiológico, etc.
  • 6.
    Norma y manejode biopsias y citología Hospital Padre Hurtado
  • 7.
    Manejo de muestraslíquidas DIFERENTE FIJACIÓN DIFERENTES MUESTRAS COMPLICADO (PROCESOS) (IMPLEMENTACIÓN) IGUAL FIJACIÓN SIMPLE (PROCESOS) (IMPLEMENTACIÓN)
  • 8.
    Liquofix • Medio conservador,fijador y anticoagulante de muestras líquidas. • Mantiene ambiente isotónico de muestras. • Permite manejo y traslado de muestras al laboratorio sin apremio de tiempo y temperatura (recomendación: procesamiento antes de 24hrs). • No interfiere en reacciones de coloración o ICQ. • Buenos detalles nucleares tanto de estructura y cromatina, permiten una fiel imagen de rastros benignos y malignos. • Citoplasmas, diferenciaciones estructurales y afinidades tintoriales intactos.
  • 9.
    Liquofix • Consideraciones: -Solución transportadoraque no produce coagulación -Tiempos prolongados causan sobrefijación con alteración de la tinción (cariopicnosis) y mala adhesividad de la muestra -Importante dejar secar los bordes de la muestra en porta (semiseco) para evitar desprendimiento o derrame de la muestra al fijar en alcohol. -Muestra apta para realizar block celular
  • 10.
    Procesamiento • Centrifugación* • Blockcelular* • Citocentrifugación • Filtración por membrana de nitrocelulosa • Impronta de coágulos
  • 11.
  • 12.
    Procesamiento Block celular Centrifugar 1000 rpm10’ Gotitas albúmina Formalina neutra Resuspender Centrifugar (inversión) Obtener pelet Cassette inclusión ProcesamientoObtención cortes Muestra
  • 13.
    • Estudios muestranque la citología puede ser mas resolutiva (96,7% vs. 47,0% ) y es más sensible para diagnosticar malignidad (87,5% frente al 56,2%). Pero un 3,2% de diagnósticos de malignidad con el BC que escapaba al diagnóstico de la citología. Se recomienda en el realizar primero la citología y luego como examen complementario el block celular, que permite añadir especificidad al observar la arquitectura de la lesión, realizar técnicas complementarias al PAP como la H/E, IHQ, etc
  • 14.
    BC de PAAFde ganglio linfático con metástasis de carcinoma de células escamosas (H&E, 400x) Citología de PAAF de ganglio linfático con metástasis de carcinoma de células escamosas (PAP, 400x)
  • 15.
    Citología líquido ascíticocon carcinoma papilar seroso psamomatoso (PAS 400x) Bock celular líquido ascítico con carcinoma papilar seroso psamomatoso (PAS 400x)
  • 16.
    • El procesamientodel BC es un método simple y de confianza después de revisar los extendidos citológicos. La citología es un procedimiento diagnóstico más sensible que el BC para el diagnóstico de malignidad (87,5% frente al 56,2%). Sin embargo, el 3,2% de los BC permite hacer un diagnóstico de malignidad que se escapa al diagnóstico citológico
  • 17.
    • Bloques celularesaumenta de forma significativa la capacidad para realizar con más facilidad técnicas de inmunohistoquímica que ayudan a la mejor tipificación de las neoplasias, y además aporta un diagnóstico morfológico exclusivo en algunos casos. • En cuanto a su utilidad en patología benigna, de forma general parece aumentar su rentabilidad, aunque en la única entidad en la que se ha estudiado de forma concreta ha sido en la sarcoidosis19-22. Los primeros estudios se realizaron a partir de punciones realizadas con ultrasonografía esofágica (EUS-FNA)20,21. Von Bartheld et al.20 observaron que en pacientes con el diagnóstico final de sarcoidosis, en el 33% de las citologías negativas pudieron verse granulomas en el bloque celular.
  • 18.
  • 19.
    Procesamiento Filtros de nitrocelulosa •El filtro de membrana estándar para la mayoría de las aplicaciones en laboratorio para partículas y células en el rango de 0,1 µm hasta 5,0 µm. Los residuos de la filtración se encuentran habitualmente en la superficie del filtro lo que permite su recuperación física y estudios microscópicos PROCESADOR THINPREP Recolección de la muestra Solución PreservCyt® https://www.youtube.com/watch?v=d_CvtSfZ2Hc
  • 20.
    Procesamiento Impronta de coágulos •El material obtenido por punciones o lavados pueden contener restos hemáticos y microfragmentos de tejido formando coágulos, los cuales pueden ser procesados: - IMPRONTA - BLOCK CELULAR
  • 22.
    Caso • Paciente masculino •88 años • Macroscopía: se recibe líquido pleural : 20 ml. De líquido de aspecto citrino. • Procesamiento: se centrifuga a 1.000 rpm por 10 minutos. Se realiza extendido celular para tinción PAP y realización de Block celular con coágulo.
  • 23.
    Marcado pleomorfismo ytamaño nuclear, binucleación, hipercromasia y macronucléolo. Importante destacar la Alta relación núcleo citoplasma. https://citotecs.wordpress.com/2013/07/11/derrame-de-cavidades-citopreparacion/
  • 24.
    Discusión • Es importantecumplir con los parámetros establecidos para realizar un diagnóstico óptimo y seguro de cada muestra • Tener en cuenta la técnica a utilizar para el procesamiento de las muestras líquidas, sus ventajas, desventajas, costos, etc. • Uso de block celular complementario a citología. Beneficios
  • 25.
    Bibliografía • JUAN DÍAZet al. Utilidad de la citocentrifugación en el diagnóstico bacteriológico microscópico de fluidos corporales. • Francisco Javier Torres Gómez, A. UTILIDAD DEL MÉTODO DE FILTRACIÓN-ADHESIÓN EN CITOLOGÍA URINARIA • http://www.thermoscientific.com/en/product/cytospin-4- cytocentrifuge.html • http://www.cytologystuff.com/es/study/section1.htm • http://www.lablinsan.cl/imagenes_ficha_7/fichasWeb7_4.pdf • https://citotecs.wordpress.com/2013/07/11/derrame-de-cavidades- citopreparacion/