NEFROPATÍA
DIABÉTICA
Alejandra Montañez Barragán

9CM32
La nefropatía diabética es una complicación vascular
crónica, exclusiva de la DM, tanto de la de tipo 1 como de la
de tipo 2 en la que se afecta la microcirculación renal
originando una serie de alteraciones funcionales y
estructurales principalmente a nivel glomerular.
•Microalbuminuria
•Hipertensión arterial
•Caída persistente del la tasa de filtración glomerular

Rev Hosp Gral Dr. M Gea González 2002; 5(1-2): 24-32
La nefropatía diabética constituye una de las complicaciones
microvasculares más frecuentes y puede desarrollarse tanto
en la DM tipo 1 como en la tipo 2.
Se caracteriza por la aparición en un paciente diabético de:
•Proteinuria persistente (> 300 mg/d), en ausencia de otras
causas de enfermedad renal.
•hipertensión arterial
• otras complicaciones microvasculares asociadas a la
diabetes mellitus (DM), retinopatía proliferativa.
M. Macía Heras, M. Macía Jerez y F. Coronel. Nefropatía diabética: fisiopatología y curso
clínico. NEFROLOGÍA. Vol. XXI. Suplemento 3. 2001
En el IMSS la nefropatía está dentro de las 5 primeras
causas de atención médica en hospitales generales de
zona y en los de alta especialidad.
La incidencia acumulativa de nefropatía diabética a los
40 años de edad en la DM tipo 1 es de 45 al 50% con un
pico máximo a los 15 años.
Hay una relación estricta entre la duración de la diabetes y la presencia
de nefropatía:
El riesgo se inicia a los 5 años del comienzo de la diabetes,
aumenta un 2.5% anual hasta la segunda década y , a partir de
entonces, disminuye un 1% anual.

La mortalidad en pacientes DM tipo 1 con nefropatía se produce:
en 2/3 por insuficiencia renal o sus consecuencias
en un 25% por causas cardiovasculares
el resto 5-15% por otras causas.
En los diabéticos tipo 2 la prevalencia de nefropatía varía de un 39-50%.
Antes…

25-45% en
DM tipo 1

15-25% en
DM tipo 2
Dado que hay muchos más diabéticos de tipo 2 que de tipo
1, resulta lógico que la mayoría de los pacientes con insuficiencia
renal terminal por nefropatía diabética correspondan a diabéticos
de tipo 2.
DM tipo 1
aparece después
de los 10 años
de duración

3% de los pacientes
con DM tipo 2
tienen ND al
diagnóstico
En diabéticos tipo 1 se ha estimado una mortalidad 40 veces superior respecto a
diabéticos sin nefropatía, cuya mortalidad es sólo dos veces superior a la de la
población normal.

En la DM tipo 2, la mortalidad es muy alta, debido fundamentalmente a
complicaciones cardiovasculares, especialmente, cuando la nefropatía diabética ha
evolucionado a la insuficiencia renal terminal, con una supervivencia acumulada a los
cinco años entre el 6 y el 27% según las series.
La proteinuria supone un riesgo de mortalidad 3,5 veces superior o de siete veces si
hay HTA asociada respecto a los diabéticos tipo 2 sin proteinuria.
El mecanismo preciso que induce lesión glomerular no es
conocido del todo, por lo que se han propuesto diversas
teorías para explicar el comportamiento de esta enfermedad.

Rev Hosp Gral Dr. M Gea González 2002; 5(1-2): 24-32
Teoría Metabólica
Al inicio de la diabetes, la membrana basal de los capilares es normal, y
se precisan al menos 2 años de DM para que se inicie el engrosamiento.

Correlación significativa entre el desarrollo de nefropatía diabética y la
duración de la diabetes.
Efecto benéfico del control glucémico sobre la hiperfiltración e
hipertrofia glomerulares, así como sobre la microalbuminuria
Regresión de las lesiones glomerulares con el trasplante de páncreas.
Aparición de glomeruloesclerosis al trasplantar riñones de donantes
normales a receptores diabéticos
Reversibilidad de las lesiones renales típicas de ND al trasplantar
riñones de diabéticos a receptores no diabéticos. (ACCIDENTAL)
Teoría Genética
• El engrosamiento de la membrana basal se ha relacionado
con la presencia de HLA DR4, DR4, B8 Y B15,
• DM tipo 1 con historia familiar de HTA tienen mayor
predisposición a desarrollar nefropatía diabética.
• Pacientes con algún padre hipertenso el riesgo de nefropatía
se triplica.
• Por lo que podemos dilucidar que la hipertensión arterial no
es consecuencia del fallo renal, sino que puede ser un factor
importante en su desarrollo.
• Debe de existir algún factor genético primario a nivel celular
por el que se produciría una mayor destrucción y replicación
celular, determinando el desarrollo de nefropatía diabética
independientemente del control glucémico.
TEORIA HEMODINAMICA
•Diversos estudios experimentales apoyan la hipótesis de que las
alteraciones hemodinámicas que se observan precozmente
pueden estar implicados en el desarrollo y progresión de la
nefropatía diabética.
•Algunos autores se han atrevido a postular que es tal vez más
importante mantener cifras de tensión arterial normales o
incluso inferiores, que un control estricto de la glucemia en la
prevención de la nefropatía.****
Capaces de fosforilar las proteínas responsables de la transducción de señales
intracelulares

Regulación de diversas funciones vasculares, que incluyen la contractilidad, el
flujo, la proliferación celular y la permeabilidad vascular

La isoforma PKC-β2 aumenta su actividad en las células endoteliales de retina y
riñón
La PKC-β2, a su vez, activa la fosfolipasa A2, aumentando así la producción
de prostaglandina PGE2 Y Tromboxano A2

Modifican drásticamente la permeabilidad endotelial y la respuesta a la
Angiotensina II (AII) en el músculo liso vascular
Así, el empleo de inhibidores de la PKC y de la PKC-β2 se
asocian a efectos beneficiosos a nivel renal, con reducción de :
-la hiperfiltración glomerular
- de la microalbuminuria (MAB)
-de la sobrexpresión del factor transformante del crecimiento-β
(TGF-β)
-del depósito de matriz extracelular
La aldosa-reductasa (AR) es la primera enzima de la vía de los
polioles, encargada de catalizar la reducción de una amplia variedad de
compuestos carbonilo

OJO:

RIÑON:

-Epitelio Corneal
-Cristalino
-Pericitos Retinales

-Podocitos
Células mesangiales
Epitelio tubular

NERVIOS PERIFÉRICOS
-Axones
Células de Schwann
Hiperglucemia
Por otra parte, el consumo de NADPH favorece el estrés
oxidativo, lo cual acelera los procesos de
glicosilación, así como aumenta la actividad de la vía
de las pentosas, activando a su vez a la PKC
La modificación de diversas moléculas por el ambiente
hiperglucémico, con la formación final de los productos avanzados
de la glicosilación (AGEs), juega un papel fundamental.
Asimismo, los niveles elevados de glucosa ejercen sus efectos tóxicos
en el interior de las células a través de su incorporación por
transportadores de glucosa, activándose una cadena enzimática de
distintas reacciones que incluyen:
-formación de sorbitol
-aumento de stress oxidativo
-activación de la proteína kinasa C (PKC)
.

Activación de
citoquinas y
factores de
crecimiento

C. Mora-Fernández et al. Fisiopatología de la nefropatía diabética. Nefro Plus
2008; 1(1)28-38
La glicosilación avanzada es el proceso no enzimático por el cual se produce la
unión de azúcares reductores como la glucosa, a diferentes moléculas como
proteínas

Base de Schiff
• La asociación del azúcar con la proteína, que
resulta de la adición del grupo carbonilo del
azúcar al grupo amino de la proteína.
• Estable por corto tiempo

Producto de Amadori
• Reordenamiento de los enlaces químicos.
• Más estable
Productos avanzados de
glicosilación
• reordenamientos intramoleculares y
que, en algunos casos, la asociación
entre varios de estos compuestos da
lugar al entrecruzamiento entre
distintas proteínas o entre distintas
zonas de una misma proteína
PODOCITOS
CELULAS ENDOTELIALES
CELULAS MUSCULARES LISAS
CELULAS MESANGIALES
CELULAS EPITELIALES
TUBULARES

Receptores para productos
de glicosilación avanzada

•Especies reactivas de
oxígeno
•Activación de factores
de transcro ción: factor
nuclear kappa B
•Liberación de
citoquinas inflamatorias:
TNF a, IL-1, IL-6.
•Expresión de moléculas
de adhesión
•Factores de crecimiento
como TGF-B, factor de
crecimiento vascular
endotelial.
El estrés oxidativo ha sido relacionado con importantes
acciones deletéreas, como:
-peroxidación lipídica
-oxidación de proteínas
-daño de ácidos nucleicos
- inducción de factores de transcripción como NFkB
-estimulación de la hipertrofia y proliferación celular
- inducción de apoptosis
Diversos estudios han observado que la actividad enzimática
de superóxido dismutasa se encontraba reducida en sujetos
diabéticos, indicando una asociación entre la alteración en la
capacidad antioxidante y la ND.

Los bloqueadores del sistema renina-angiotensina (SRA), así
como las estatinas, fármacos que han sido relacionados con
propiedades nefroprotectoras, asocian propiedades
moduladoras sobre el estrés oxidativo.
La Angiotensina II, el principal efector del SRA, ejerce su
efecto vasoconstrictor de manera predominante sobre las
arteriolas eferentes del glomérulo, produciendo un aumento
de la presión capilar glomerular y, como consecuencia, una
mayor ultrafiltración de proteínas plasmáticas que contribuirá
a la proteinuria, fenómeno importante en la aparición y
progresión del daño renal.
Actúa como como una verdadera citoquina favoreciendo el
crecimiento celular, la inflamación y la fibrosis.
La activación del receptor AT1 pone en marcha los efectos
deletéreos
de la AII, como son:
-la vasoconstricción
- la hipertrofia vascular y cardiaca
-fenómenos inflamatorios, proliferativos y fibróticos.
La ALDOSTERONA también contribuye a la disfunción
endotelial aumentando el tamaño y rigidez de las
células endoteliales, lo que podría favorecer la pérdida
de proteínas a través de las uniones intercelulares.
Estadio 1. Hipertrofia renal-hiperfunción

El tamaño renal y el filtrado glomerular (FG) están elevados prácticamente en
todos los pacientes ya en el momento del diagnóstico.
Histológicamente, se detecta aumento del volumen glomerular y de la superficie
de los capilares glomerulares.
Estos cambios pueden ser reversibles con un correcto control de la glucemia
iniciando el tratamiento insulínico.
La hiperfiltración glomerular se correlaciona con el aumento de la superficie
capilar. (150 ml/min)
El aumento en la presión intracapilar parece ser un factor fundamental en el
inicio de la progresión de la nefropatía. Hay que tener en cuenta, además, que
la arteriola aferente es muy sensible a la vasoconstricción.
Estadio 2. Lesión renal sin signos clínicos
En los dos o tres años siguientes, la membrana basal va aumentando su
espesor en todos los pacientes.
Se incrementa el volumen mesangial, con depósito de
proteínas, albúmina, IgG, fibrina y productos de degradación plaquetaria.
El FG aún se mantiene elevado, sin que se detecte albúmina en
la orina.
Al incremento mesangial se añadirán procesos de cicatrización que provocarán
esclerosis glomerular.
Prácticamente, la totalidad de pacientes con evolución de más de 10 años de
la DM presentan un cierto grado de glomeruloesclerosis.
Estadio 3. Nefropatía incipiente
La alteración clínica que marca este estadio es el aumento de la excreción urinaria
de albúmina (EUA), aunque inferior a lo detectable mediante tiras reactivas y medios
habituales de determinación de la proteinuria -microalbuminuriaEl aumento de la excreción urinaria de albúmina (EUA) parece relacionado con la
pérdida del proteoglucano-heparán sulfato de la membrana basal glomerular, con la
consiguiente alteración de las características eléctricas de la
membrana, permitiendo el paso de albúmina y otras macromoléculas
electronegativas.
El paso de albúmina al intersticio renal provocará retención de sodio en el mismo
El mesangio se esclerosará, provocando reducción en el número de nefronas
funcionantes, microalbuminuria e hipertensión arterial (HTA).
Una vez alcanzada una tasa de proteinuria de 20 a 300 μg/min. -75 a 100
mg/día-, parece existir ya afectación renal significativa, que irá en aumento
hasta la aparición clínica de la nefropatía.

La microalbuminuria es un marcador predictivo de la nefropatía clínica
Sin embargo, no es un marcador constatado de la nefropatía en la diabetes
tipo 2, aunque sí un factor de predicción de riesgo de mortalidad
cardiovascular.
a. Microalbuminuria "benigna": la de aquellos pacientes en los que la
nefropatía no evoluciona y no alcanza el estadio de insuficiencia renal.
b. Microalbuminuria "maligna implica la existencia de lesión endotelial.
Estadio 4. Nefropatía diabética establecida
El signo clínico que marca el inicio del estadio es la presencia de
proteinuria, detectable por métodos clínicos habituales -albuminuria superior a
200 μg/min o 300 mg/24 horas- y se corresponde con la presencia de
nefropatía clínica.

La proteinuria se hará persistente.
Estudios epidemiológicos señalan que un 35-40% de pacientes con diabetes
tipo 1 presentarán a lo largo de su evolución este grado de nefropatía
En esta fase, el FG, que inicialmente se había elevado, desciende progresiva
e inexorablemente.
Una vez establecida la nefropatía, continúa la caída del FG, con un promedio
de 10 ml/m/año en la diabetes tipo 1.

Un 75% de pacientes desarrollará en los próximos 10 años insuficiencia renal
terminal. Esa progresión quizá sea inferior en pacientes con diabetes tipo
2, aunque la proteinuria persistente es un potente factor de predicción de
insuficiencia renal crónica terminal (IRCT) en estos pacientes.
Con los datos disponibles actualmente sabemos que un buen control de la
presión arterial (PA) y la disminución de la proteinuria pueden retrasar esa
velocidad de progresión de la nefropatía.
La presión arterial en esta fase está más elevada que en el paciente
normoalbuminúrico.

Los pacientes microalbuminúricos presentan cifras de PA más elevadas que los
normoalbuminúricos.
La presencia de retinopatía diabética es un hecho universal en los pacientes
con nefropatía diabética establecida.

El riesgo de afectación coronaria y de mortalidad por esta causa es más
elevado.
Un 5% de pacientes con diabetes tipo 2 presentan ya proteinuria en el momento
del diagnóstico de la diabetes, porcentaje que asciende al 25% cuando el
seguimiento es superior a 25 años de evolución.
Estadio 5. Insuficiencia renal terminal
La progresión de la afectación renal se traduce en el deterioro progresivo
de la función renal.
La proteinuria se incrementa, llegando al rango nefrótico.
La presencia de proteinuria de rango nefrótico condiciona un rápido
descenso del filtrado glomerular, con evolución acelerada hacia la IRCT.
Estadio 1. Hipertrofia renal-hiperfunción
En el inicio de la diabetes en el paciente tipo 2, los
cambios hemodinámicos de vasodilatación e hiperfiltración
glomerular no siempre están presentes.

La irregularidad en la forma de presentación es muy
amplia.
Estadio 2. Lesión renal sin signos clínicos
Las lesiones son menos graves que en la diabetes tipo 1 para semejante
nivel de EUA.
Cinco patrones de lesión diferentes:
a. Ausencia de cambios o mínimos cambios objetivables con microscopia
fotónica, achacable a disfunción endotelial.
b. Lesiones de glomeruloesclerosis incipiente con incremento de volumen
glomerular, ligera esclerosis mesangial y arteriopatía hialina.
c. Lesiones típicas de glomerulopatía diabética, presentes en un tercio de
los pacientes.
d. Lesiones inespecíficas asociadas a la edad.
e. Lesiones predominantemente vasculares con cambios
tubulointersticiales mínimos.
Los estudios histomorfométricos mediante análisis de imagen permiten
detectar modificaciones en
principio poco aparentes. Aplicando un procedimiento de análisis de
imagen,.
Estadio 3. Nefropatía incipiente
El incremento en la EUA puede estar presente desde el inicio o
desde el diagnóstico de la enfermedad.
Los pacientes microalbuminúricos desarrollan más cambios
morfológicos que los normoalbuminúricos.
La cantidad de proteína excretada por la orina no refleja
necesariamente el grado de lesión renal. Por
ello, la correlación con la microalbuminuria no es el mejor factor
predictivo de la evolución de la nefropatía en este caso.
Estadio 4. Nefropatía manifiesta
Funcionalmente, disminuye la fracción de filtración e histológicamente
coincide con la esclerosis nodular o difusa.
La proteinuria es igual o superior a 300 mg/día, existiendo correlación
entre la fibrosis o el depósito de colágeno tipo IV y el tiempo de
evolución de la diabetes.

Estadio 5. Insuficiencia renal
La esclerosis glomerular, la fibrosis intersticial y la atrofia tubular se
acompañan de un descenso considerable del filtrado glomerular.
Se llega a este estadio tras un período variable de 15 a 20 años
desde el inicio de la proteinuria.
Detección de otras nefropatías no diabéticas.
La existencia de nefropatías glomerulares diferentes de la ND es un hecho no
infrecuente, que oscila desde el 18% hasta el 65% según los autores y que se
encuentra relativamente con mayor frecuencia en la diabetes tipo 2 que en la
tipo 1.
Por ello, conviene insistir en algunos signos que deben obligarnos a descartar
una nefropatía glomerular de otro origen:
• Persistencia de microhematuria.
• Progresión de la proteinuria de una forma acelerada, no propia de la evolución
de la ND.
• Presentación aguda o progresión de la insuficiencia renal, que pueden
enmascarar, por ejemplo, la existencia de una proliferación extracapilar.
• Otras alteraciones inmunológicas -inmunoglobulinas
séricas, complemento, etcétera-.
• Ausencia de retinopatía diabética, proliferativa o no proliferativa, en exámenes
repetidos de fondo de ojo.
ANATOMIA PATOLOGICA

Las alteraciones glomerulares características de la DBT son de 2 tipos :
Glomeruloesclerosis difusa: se caracteriza por ensanchamiento de la
membrana basal glomerular mas engrosamiento mesangial generalizado. Esta
alteración se halla siempre presente y puede ser la única lesión detectable en
la fases pre-clínicas .
Glomeruloesclerosis nodular: se caracteriza por el depósito de material PAS
+ en la periferia de los ovillos glomerulares (lesión de Kimmelstiel-Wilson) y
hialinización de las arteriolas eferentes y aferentes así con nódulos esféricos
(gotas) en la cápsula de Bowman. También se observa: depósitos de fibrina y
oclusión de los glomérulos y los túbulos (2). Aunque la glomeruloesclerosis
representa una lesión mas específica, es menos frecuente que la forma difusa
El objetivo del tratamiento de la nefropatía diabética sería
inicialmente evitar la progresión de normoalbuminuria a
microalbuminuria (prevención primaria), así como evitar
la progresión de microalbuminuria a nefropatía diabética
establecida (prevención secundaria).

Una vez establecida, el objetivo terapéutico es disminuir la
progresión del daño renal y, por ende, retardar la evolución
a la insuficiencia renal terminal.
Las principales medidas terapéuticas son:
-el control de la presión arterial Y la hiperfiltración
glomerular
- el control glucémico
-la dieta hipoproteica
-el control de la hiperlipidemia
Muchas de estas medidas, si se inician de forma
precoz, pueden retardar y/o evitar la aparición de
nefropatía diabética establecida.
El tratamiento antihipertensivo disminuye la velocidad de progresión de la
nefropatía diabética.
Es más importante reducir la presión arterial independientemente del tipo de
fármaco antihipertensivo que se vaya a utilizar.
La utilización de fármacos que disminuyen la presión intraglomerular, como los
inhibidores de la enzima conversora de angiotensina (IECA):
o Disminuye la frecuencia de progresión de microalbuminuria a proteinuria
clara tanto en DM tipo 1 como en DM tipo 2 y tanto en pacientes hipertensos
como en normotensos.
o Disminuye la proteinuria de forma muy significativa en la nefropatía diabética
establecida, tanto en DM tipo 1 como tipo 2.

Los IECA tienen mayor acción antiproteinúrica que otros antihipertensivos
El adecuado control de la presión arterial tiene más efecto que el
adecuado control glucémico en la progresión de la enfermedad renal y en
los episodios cardiovasculares.
Un adecuado control de la presión arterial disminuye todo tipo de
episodios cardiovasculares en los pacientes diabéticos
La presión arterial diastólica, objetivo a conseguir con el tratamiento
antihipertensivo, debe ser de 80 mm Hg en el diabético hipertenso e
inferior a 75 mm Hg en el diabético con proteinuria superior a 1 g/24 h.
Estos efectos beneficiosos parecen depender de la capacidad de los IECA
para disminuir la presión intraglomerular, al vasodilatar preferentemente la
arteriola eferente glomerular.
Es necesario, en la mayoría de los casos, la asociación de tres o más
fármacos hipotensores. Además de los IECA es eficaz la combinación de
IECA con cualquier otro fármaco, como diuréticos, βbloqueantes, antagonistas del calcio, bloqueantes de receptores alfa y
antagonistas de los receptores de angiotensina II.
En caso de que exista insuficiencia renal, el tratamiento diurético se hace
casi inevitable para conseguir un adecuado control tensional.
Los diuréticos del asa son preferibles si la creatinina plasmática es superior
a 2-3 mg/dl y deben usarse con precaución o evitarse los diuréticos
ahorradores de potasio, dado el riesgo de hiperpotasemia de los diabéticos
con insuficiencia renal, en los que es muy frecuente el hipoaldosteronismo
hiporreninémico.
Es considerado una causa relativamente frecuente de
hipercalemia y típicamente se asocia a acidosis metabólica
leve, con brecha aniónica normal (hiperclorémica) en 50%
de los afectados.

Se denomina acidosis tubular tipo 4 y parece ser secundaria
a un déficit en la excreción urinaria de amonio, lo cual se ve
reflejado por la presencia de una brecha aniónica urinaria
positiva.
Los mecanismos fisiopatológicos propuestos para explicar el
estado de hiporreninemia incluyen :
- daño del aparato yuxtaglomerular
-presencia de disautonomía simpática
-alteración de la producción renal de prostaglandinas
- defectos en la conversión de pro-renina a renina
La mayor parte de los pacientes con esta entidad tienen
nefropatía diabética o nefropatías túbulointersticiales, aunque
también ha sido descrito en casos de LES, enfermedad de
Graves, uropatía obstructiva, anemia de células
falciformes, amiloidosis, pacientes trasplantados y en el síndrome
de inmunodeficiencia adquirida.
El paciente típico es un anciano con insuficiencia renal leve a
moderada asociada a acidosis metabólica.

Una de las características claves del diagnóstico es el hecho
de que tanto la hiperkalemia como la acidosis metabólica
están en desproporción para el grado de disfunción renal.
Frecuencia de diversas características clínicas del
hipoaldosteronismo hiporreninémico:
•Hiperpotasemia 75%
•Acidosis metabólica hiperclorémica >50%
•Enfermedad renal crónica 70%
•Diabetes mellitus 50%
Los gases arteriales usualmente evidencian acidosis
metabólica con brecha aniónica normal (no se acumulan
aniones no mesurables) y si está levemente
aumentada, debería correlacionarse con la presencia de una
insuficiencia renal más avanzada (acumulación de urea y
fosfatos)
Se debe insistir en el control metabólico de la diabetes, una dieta
baja en potasio, evitar los sustitutos de la sal y vigilar el uso de
medicaciones que alteran el eje renina-angiotensinaaldosterona, especialmente anti-inflamatorios no
esteroideos, bloqueadores beta, inhibidores de la ECA y
antagonistas del receptor de angiotensina II.

En todo paciente con
hiperpotasemia, especialmente si presenta
nefropatía diabética, debemos considerar la
posibilidad de la presencia de un
hipoaldosteronismo hiporreninémico.
El riguroso control glucémico en diabéticos tipo 1 disminuía el riesgo
de neuropatía, retinopatía, microalbuminuria y proteinuria clara en un
60, 76, 39 y 54%, respectivamente.
También se ha descrito la regresión de la hipertrofia glomerular y la
hiperfiltración con el adecuado control glucémico en diabéticos tipo 1.
Por tanto, debe extremarse el control glucémico en todos los
diabéticos, especialmente, si tienen riesgo de nefropatía. Con descensos
de la hemoglobina glucosilada de tan sólo un 1% ya se observan efectos
beneficiosos
Mantener HbA1 inferior 8% reduce el riesgo de
microalbuminuria, previene el desarrollo de nefropatía y retinopatía
Hipoglucemiantes orales:
• No usar:
Acetohexamida, tolazamida, clorpropramida
( urinaria)
• Utilizar: glipizida, tolbutamida (hepatico)
• No usar metformina (incrementa acidosis
láctica)
Disminuir la ingesta proteica a 0,8
g/kg/día, con un máximo del 10% del
contenido calórico diario.
Debe de controlarse estrechamente el
balance utricional por el riesgo de
malnutrición proteica, sobre
todo, en la nefropatía avanzada.
Se desconoce si el control de la hiperlipidemia mejora el
pronóstico de la nefropatía, si bien en algún estudio se ha
comunicado el descenso de la microalbuminuria en un
25% con sinvastatina (20 mg/día) en diabéticos tipo 2
normotensos.
En cualquier caso, y dada la gran morbilidad
cardiovascular que acompaña a la nefropatía
diabética, debe intentarse mantener el colesterol LDL y los
triglicéridos en cifras inferiores a 130 mg/dl y 200
mg/dl, respectivamente.

Pueden usarse con eficacia y seguridad estatinas en la
población diabética.
Hiperlipidemia
I
Hiperviscosidad
I
Depósito de proteínas en mesangio
I
Presencia de proteínas oxidadas y aumento de
macrofagos
I
Aumento presión intra-glomerular
•Torres Viloria Alfredo y Zacarías Castillo Rogelio. Nefropatía Diabética. Rev
Hosp Gral Dr. M Gea González 2002; 5(1-2): 24-32
•M. Macía Heras, M. Macía Jerez y F. Coronel. Nefropatía diabética:
fisiopatología y curso clínico. NEFROLOGÍA. Vol. XXI. Suplemento 3. 2001
•C. Mora-Fernández et al. Fisiopatología de la nefropatía diabética. Nefro
Plus 2008; 1(1)28-38
Dr. Juan Alberto Fierro C. Nefropatía diabética:
fisiopatología, diagnóstico, evolución clínica y epidemiología. Rev. Med. Clin.
Condes - 2009; 20(5) 639 - 650]
•Http://www.Senefro.Org/modules.Php?Name=webstructure&idwebstructur
e=347
•http://pae.ciberlogica.com/gto/archivos/modulo-4.pdf

Nefropatía Diabética

  • 1.
  • 2.
    La nefropatía diabéticaes una complicación vascular crónica, exclusiva de la DM, tanto de la de tipo 1 como de la de tipo 2 en la que se afecta la microcirculación renal originando una serie de alteraciones funcionales y estructurales principalmente a nivel glomerular. •Microalbuminuria •Hipertensión arterial •Caída persistente del la tasa de filtración glomerular Rev Hosp Gral Dr. M Gea González 2002; 5(1-2): 24-32
  • 3.
    La nefropatía diabéticaconstituye una de las complicaciones microvasculares más frecuentes y puede desarrollarse tanto en la DM tipo 1 como en la tipo 2. Se caracteriza por la aparición en un paciente diabético de: •Proteinuria persistente (> 300 mg/d), en ausencia de otras causas de enfermedad renal. •hipertensión arterial • otras complicaciones microvasculares asociadas a la diabetes mellitus (DM), retinopatía proliferativa. M. Macía Heras, M. Macía Jerez y F. Coronel. Nefropatía diabética: fisiopatología y curso clínico. NEFROLOGÍA. Vol. XXI. Suplemento 3. 2001
  • 4.
    En el IMSSla nefropatía está dentro de las 5 primeras causas de atención médica en hospitales generales de zona y en los de alta especialidad. La incidencia acumulativa de nefropatía diabética a los 40 años de edad en la DM tipo 1 es de 45 al 50% con un pico máximo a los 15 años.
  • 5.
    Hay una relaciónestricta entre la duración de la diabetes y la presencia de nefropatía: El riesgo se inicia a los 5 años del comienzo de la diabetes, aumenta un 2.5% anual hasta la segunda década y , a partir de entonces, disminuye un 1% anual. La mortalidad en pacientes DM tipo 1 con nefropatía se produce: en 2/3 por insuficiencia renal o sus consecuencias en un 25% por causas cardiovasculares el resto 5-15% por otras causas. En los diabéticos tipo 2 la prevalencia de nefropatía varía de un 39-50%.
  • 6.
    Antes… 25-45% en DM tipo1 15-25% en DM tipo 2
  • 7.
    Dado que haymuchos más diabéticos de tipo 2 que de tipo 1, resulta lógico que la mayoría de los pacientes con insuficiencia renal terminal por nefropatía diabética correspondan a diabéticos de tipo 2. DM tipo 1 aparece después de los 10 años de duración 3% de los pacientes con DM tipo 2 tienen ND al diagnóstico
  • 8.
    En diabéticos tipo1 se ha estimado una mortalidad 40 veces superior respecto a diabéticos sin nefropatía, cuya mortalidad es sólo dos veces superior a la de la población normal. En la DM tipo 2, la mortalidad es muy alta, debido fundamentalmente a complicaciones cardiovasculares, especialmente, cuando la nefropatía diabética ha evolucionado a la insuficiencia renal terminal, con una supervivencia acumulada a los cinco años entre el 6 y el 27% según las series. La proteinuria supone un riesgo de mortalidad 3,5 veces superior o de siete veces si hay HTA asociada respecto a los diabéticos tipo 2 sin proteinuria.
  • 11.
    El mecanismo precisoque induce lesión glomerular no es conocido del todo, por lo que se han propuesto diversas teorías para explicar el comportamiento de esta enfermedad. Rev Hosp Gral Dr. M Gea González 2002; 5(1-2): 24-32
  • 12.
    Teoría Metabólica Al iniciode la diabetes, la membrana basal de los capilares es normal, y se precisan al menos 2 años de DM para que se inicie el engrosamiento. Correlación significativa entre el desarrollo de nefropatía diabética y la duración de la diabetes. Efecto benéfico del control glucémico sobre la hiperfiltración e hipertrofia glomerulares, así como sobre la microalbuminuria Regresión de las lesiones glomerulares con el trasplante de páncreas. Aparición de glomeruloesclerosis al trasplantar riñones de donantes normales a receptores diabéticos Reversibilidad de las lesiones renales típicas de ND al trasplantar riñones de diabéticos a receptores no diabéticos. (ACCIDENTAL)
  • 13.
    Teoría Genética • Elengrosamiento de la membrana basal se ha relacionado con la presencia de HLA DR4, DR4, B8 Y B15, • DM tipo 1 con historia familiar de HTA tienen mayor predisposición a desarrollar nefropatía diabética. • Pacientes con algún padre hipertenso el riesgo de nefropatía se triplica. • Por lo que podemos dilucidar que la hipertensión arterial no es consecuencia del fallo renal, sino que puede ser un factor importante en su desarrollo. • Debe de existir algún factor genético primario a nivel celular por el que se produciría una mayor destrucción y replicación celular, determinando el desarrollo de nefropatía diabética independientemente del control glucémico.
  • 14.
    TEORIA HEMODINAMICA •Diversos estudiosexperimentales apoyan la hipótesis de que las alteraciones hemodinámicas que se observan precozmente pueden estar implicados en el desarrollo y progresión de la nefropatía diabética. •Algunos autores se han atrevido a postular que es tal vez más importante mantener cifras de tensión arterial normales o incluso inferiores, que un control estricto de la glucemia en la prevención de la nefropatía.****
  • 17.
    Capaces de fosforilarlas proteínas responsables de la transducción de señales intracelulares Regulación de diversas funciones vasculares, que incluyen la contractilidad, el flujo, la proliferación celular y la permeabilidad vascular La isoforma PKC-β2 aumenta su actividad en las células endoteliales de retina y riñón La PKC-β2, a su vez, activa la fosfolipasa A2, aumentando así la producción de prostaglandina PGE2 Y Tromboxano A2 Modifican drásticamente la permeabilidad endotelial y la respuesta a la Angiotensina II (AII) en el músculo liso vascular
  • 18.
    Así, el empleode inhibidores de la PKC y de la PKC-β2 se asocian a efectos beneficiosos a nivel renal, con reducción de : -la hiperfiltración glomerular - de la microalbuminuria (MAB) -de la sobrexpresión del factor transformante del crecimiento-β (TGF-β) -del depósito de matriz extracelular
  • 20.
    La aldosa-reductasa (AR)es la primera enzima de la vía de los polioles, encargada de catalizar la reducción de una amplia variedad de compuestos carbonilo OJO: RIÑON: -Epitelio Corneal -Cristalino -Pericitos Retinales -Podocitos Células mesangiales Epitelio tubular NERVIOS PERIFÉRICOS -Axones Células de Schwann
  • 21.
  • 22.
    Por otra parte,el consumo de NADPH favorece el estrés oxidativo, lo cual acelera los procesos de glicosilación, así como aumenta la actividad de la vía de las pentosas, activando a su vez a la PKC
  • 24.
    La modificación dediversas moléculas por el ambiente hiperglucémico, con la formación final de los productos avanzados de la glicosilación (AGEs), juega un papel fundamental. Asimismo, los niveles elevados de glucosa ejercen sus efectos tóxicos en el interior de las células a través de su incorporación por transportadores de glucosa, activándose una cadena enzimática de distintas reacciones que incluyen: -formación de sorbitol -aumento de stress oxidativo -activación de la proteína kinasa C (PKC) . Activación de citoquinas y factores de crecimiento C. Mora-Fernández et al. Fisiopatología de la nefropatía diabética. Nefro Plus 2008; 1(1)28-38
  • 25.
    La glicosilación avanzadaes el proceso no enzimático por el cual se produce la unión de azúcares reductores como la glucosa, a diferentes moléculas como proteínas Base de Schiff • La asociación del azúcar con la proteína, que resulta de la adición del grupo carbonilo del azúcar al grupo amino de la proteína. • Estable por corto tiempo Producto de Amadori • Reordenamiento de los enlaces químicos. • Más estable
  • 26.
    Productos avanzados de glicosilación •reordenamientos intramoleculares y que, en algunos casos, la asociación entre varios de estos compuestos da lugar al entrecruzamiento entre distintas proteínas o entre distintas zonas de una misma proteína
  • 27.
    PODOCITOS CELULAS ENDOTELIALES CELULAS MUSCULARESLISAS CELULAS MESANGIALES CELULAS EPITELIALES TUBULARES Receptores para productos de glicosilación avanzada •Especies reactivas de oxígeno •Activación de factores de transcro ción: factor nuclear kappa B •Liberación de citoquinas inflamatorias: TNF a, IL-1, IL-6. •Expresión de moléculas de adhesión •Factores de crecimiento como TGF-B, factor de crecimiento vascular endotelial.
  • 29.
    El estrés oxidativoha sido relacionado con importantes acciones deletéreas, como: -peroxidación lipídica -oxidación de proteínas -daño de ácidos nucleicos - inducción de factores de transcripción como NFkB -estimulación de la hipertrofia y proliferación celular - inducción de apoptosis
  • 30.
    Diversos estudios hanobservado que la actividad enzimática de superóxido dismutasa se encontraba reducida en sujetos diabéticos, indicando una asociación entre la alteración en la capacidad antioxidante y la ND. Los bloqueadores del sistema renina-angiotensina (SRA), así como las estatinas, fármacos que han sido relacionados con propiedades nefroprotectoras, asocian propiedades moduladoras sobre el estrés oxidativo.
  • 35.
    La Angiotensina II,el principal efector del SRA, ejerce su efecto vasoconstrictor de manera predominante sobre las arteriolas eferentes del glomérulo, produciendo un aumento de la presión capilar glomerular y, como consecuencia, una mayor ultrafiltración de proteínas plasmáticas que contribuirá a la proteinuria, fenómeno importante en la aparición y progresión del daño renal. Actúa como como una verdadera citoquina favoreciendo el crecimiento celular, la inflamación y la fibrosis.
  • 36.
    La activación delreceptor AT1 pone en marcha los efectos deletéreos de la AII, como son: -la vasoconstricción - la hipertrofia vascular y cardiaca -fenómenos inflamatorios, proliferativos y fibróticos.
  • 37.
    La ALDOSTERONA tambiéncontribuye a la disfunción endotelial aumentando el tamaño y rigidez de las células endoteliales, lo que podría favorecer la pérdida de proteínas a través de las uniones intercelulares.
  • 47.
    Estadio 1. Hipertrofiarenal-hiperfunción El tamaño renal y el filtrado glomerular (FG) están elevados prácticamente en todos los pacientes ya en el momento del diagnóstico. Histológicamente, se detecta aumento del volumen glomerular y de la superficie de los capilares glomerulares. Estos cambios pueden ser reversibles con un correcto control de la glucemia iniciando el tratamiento insulínico. La hiperfiltración glomerular se correlaciona con el aumento de la superficie capilar. (150 ml/min) El aumento en la presión intracapilar parece ser un factor fundamental en el inicio de la progresión de la nefropatía. Hay que tener en cuenta, además, que la arteriola aferente es muy sensible a la vasoconstricción.
  • 48.
    Estadio 2. Lesiónrenal sin signos clínicos En los dos o tres años siguientes, la membrana basal va aumentando su espesor en todos los pacientes. Se incrementa el volumen mesangial, con depósito de proteínas, albúmina, IgG, fibrina y productos de degradación plaquetaria. El FG aún se mantiene elevado, sin que se detecte albúmina en la orina. Al incremento mesangial se añadirán procesos de cicatrización que provocarán esclerosis glomerular. Prácticamente, la totalidad de pacientes con evolución de más de 10 años de la DM presentan un cierto grado de glomeruloesclerosis.
  • 49.
    Estadio 3. Nefropatíaincipiente La alteración clínica que marca este estadio es el aumento de la excreción urinaria de albúmina (EUA), aunque inferior a lo detectable mediante tiras reactivas y medios habituales de determinación de la proteinuria -microalbuminuriaEl aumento de la excreción urinaria de albúmina (EUA) parece relacionado con la pérdida del proteoglucano-heparán sulfato de la membrana basal glomerular, con la consiguiente alteración de las características eléctricas de la membrana, permitiendo el paso de albúmina y otras macromoléculas electronegativas. El paso de albúmina al intersticio renal provocará retención de sodio en el mismo El mesangio se esclerosará, provocando reducción en el número de nefronas funcionantes, microalbuminuria e hipertensión arterial (HTA).
  • 51.
    Una vez alcanzadauna tasa de proteinuria de 20 a 300 μg/min. -75 a 100 mg/día-, parece existir ya afectación renal significativa, que irá en aumento hasta la aparición clínica de la nefropatía. La microalbuminuria es un marcador predictivo de la nefropatía clínica Sin embargo, no es un marcador constatado de la nefropatía en la diabetes tipo 2, aunque sí un factor de predicción de riesgo de mortalidad cardiovascular.
  • 52.
    a. Microalbuminuria "benigna":la de aquellos pacientes en los que la nefropatía no evoluciona y no alcanza el estadio de insuficiencia renal. b. Microalbuminuria "maligna implica la existencia de lesión endotelial.
  • 53.
    Estadio 4. Nefropatíadiabética establecida El signo clínico que marca el inicio del estadio es la presencia de proteinuria, detectable por métodos clínicos habituales -albuminuria superior a 200 μg/min o 300 mg/24 horas- y se corresponde con la presencia de nefropatía clínica. La proteinuria se hará persistente. Estudios epidemiológicos señalan que un 35-40% de pacientes con diabetes tipo 1 presentarán a lo largo de su evolución este grado de nefropatía En esta fase, el FG, que inicialmente se había elevado, desciende progresiva e inexorablemente. Una vez establecida la nefropatía, continúa la caída del FG, con un promedio de 10 ml/m/año en la diabetes tipo 1. Un 75% de pacientes desarrollará en los próximos 10 años insuficiencia renal terminal. Esa progresión quizá sea inferior en pacientes con diabetes tipo 2, aunque la proteinuria persistente es un potente factor de predicción de insuficiencia renal crónica terminal (IRCT) en estos pacientes.
  • 54.
    Con los datosdisponibles actualmente sabemos que un buen control de la presión arterial (PA) y la disminución de la proteinuria pueden retrasar esa velocidad de progresión de la nefropatía. La presión arterial en esta fase está más elevada que en el paciente normoalbuminúrico. Los pacientes microalbuminúricos presentan cifras de PA más elevadas que los normoalbuminúricos. La presencia de retinopatía diabética es un hecho universal en los pacientes con nefropatía diabética establecida. El riesgo de afectación coronaria y de mortalidad por esta causa es más elevado. Un 5% de pacientes con diabetes tipo 2 presentan ya proteinuria en el momento del diagnóstico de la diabetes, porcentaje que asciende al 25% cuando el seguimiento es superior a 25 años de evolución.
  • 55.
    Estadio 5. Insuficienciarenal terminal La progresión de la afectación renal se traduce en el deterioro progresivo de la función renal. La proteinuria se incrementa, llegando al rango nefrótico. La presencia de proteinuria de rango nefrótico condiciona un rápido descenso del filtrado glomerular, con evolución acelerada hacia la IRCT.
  • 57.
    Estadio 1. Hipertrofiarenal-hiperfunción En el inicio de la diabetes en el paciente tipo 2, los cambios hemodinámicos de vasodilatación e hiperfiltración glomerular no siempre están presentes. La irregularidad en la forma de presentación es muy amplia.
  • 58.
    Estadio 2. Lesiónrenal sin signos clínicos Las lesiones son menos graves que en la diabetes tipo 1 para semejante nivel de EUA. Cinco patrones de lesión diferentes: a. Ausencia de cambios o mínimos cambios objetivables con microscopia fotónica, achacable a disfunción endotelial. b. Lesiones de glomeruloesclerosis incipiente con incremento de volumen glomerular, ligera esclerosis mesangial y arteriopatía hialina. c. Lesiones típicas de glomerulopatía diabética, presentes en un tercio de los pacientes. d. Lesiones inespecíficas asociadas a la edad. e. Lesiones predominantemente vasculares con cambios tubulointersticiales mínimos. Los estudios histomorfométricos mediante análisis de imagen permiten detectar modificaciones en principio poco aparentes. Aplicando un procedimiento de análisis de imagen,.
  • 59.
    Estadio 3. Nefropatíaincipiente El incremento en la EUA puede estar presente desde el inicio o desde el diagnóstico de la enfermedad. Los pacientes microalbuminúricos desarrollan más cambios morfológicos que los normoalbuminúricos. La cantidad de proteína excretada por la orina no refleja necesariamente el grado de lesión renal. Por ello, la correlación con la microalbuminuria no es el mejor factor predictivo de la evolución de la nefropatía en este caso.
  • 60.
    Estadio 4. Nefropatíamanifiesta Funcionalmente, disminuye la fracción de filtración e histológicamente coincide con la esclerosis nodular o difusa. La proteinuria es igual o superior a 300 mg/día, existiendo correlación entre la fibrosis o el depósito de colágeno tipo IV y el tiempo de evolución de la diabetes. Estadio 5. Insuficiencia renal La esclerosis glomerular, la fibrosis intersticial y la atrofia tubular se acompañan de un descenso considerable del filtrado glomerular. Se llega a este estadio tras un período variable de 15 a 20 años desde el inicio de la proteinuria.
  • 62.
    Detección de otrasnefropatías no diabéticas. La existencia de nefropatías glomerulares diferentes de la ND es un hecho no infrecuente, que oscila desde el 18% hasta el 65% según los autores y que se encuentra relativamente con mayor frecuencia en la diabetes tipo 2 que en la tipo 1. Por ello, conviene insistir en algunos signos que deben obligarnos a descartar una nefropatía glomerular de otro origen: • Persistencia de microhematuria. • Progresión de la proteinuria de una forma acelerada, no propia de la evolución de la ND. • Presentación aguda o progresión de la insuficiencia renal, que pueden enmascarar, por ejemplo, la existencia de una proliferación extracapilar. • Otras alteraciones inmunológicas -inmunoglobulinas séricas, complemento, etcétera-. • Ausencia de retinopatía diabética, proliferativa o no proliferativa, en exámenes repetidos de fondo de ojo.
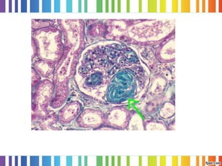
  • 68.
    ANATOMIA PATOLOGICA Las alteracionesglomerulares características de la DBT son de 2 tipos : Glomeruloesclerosis difusa: se caracteriza por ensanchamiento de la membrana basal glomerular mas engrosamiento mesangial generalizado. Esta alteración se halla siempre presente y puede ser la única lesión detectable en la fases pre-clínicas . Glomeruloesclerosis nodular: se caracteriza por el depósito de material PAS + en la periferia de los ovillos glomerulares (lesión de Kimmelstiel-Wilson) y hialinización de las arteriolas eferentes y aferentes así con nódulos esféricos (gotas) en la cápsula de Bowman. También se observa: depósitos de fibrina y oclusión de los glomérulos y los túbulos (2). Aunque la glomeruloesclerosis representa una lesión mas específica, es menos frecuente que la forma difusa
  • 72.
    El objetivo deltratamiento de la nefropatía diabética sería inicialmente evitar la progresión de normoalbuminuria a microalbuminuria (prevención primaria), así como evitar la progresión de microalbuminuria a nefropatía diabética establecida (prevención secundaria). Una vez establecida, el objetivo terapéutico es disminuir la progresión del daño renal y, por ende, retardar la evolución a la insuficiencia renal terminal.
  • 73.
    Las principales medidasterapéuticas son: -el control de la presión arterial Y la hiperfiltración glomerular - el control glucémico -la dieta hipoproteica -el control de la hiperlipidemia Muchas de estas medidas, si se inician de forma precoz, pueden retardar y/o evitar la aparición de nefropatía diabética establecida.
  • 75.
    El tratamiento antihipertensivodisminuye la velocidad de progresión de la nefropatía diabética. Es más importante reducir la presión arterial independientemente del tipo de fármaco antihipertensivo que se vaya a utilizar. La utilización de fármacos que disminuyen la presión intraglomerular, como los inhibidores de la enzima conversora de angiotensina (IECA): o Disminuye la frecuencia de progresión de microalbuminuria a proteinuria clara tanto en DM tipo 1 como en DM tipo 2 y tanto en pacientes hipertensos como en normotensos. o Disminuye la proteinuria de forma muy significativa en la nefropatía diabética establecida, tanto en DM tipo 1 como tipo 2. Los IECA tienen mayor acción antiproteinúrica que otros antihipertensivos
  • 76.
    El adecuado controlde la presión arterial tiene más efecto que el adecuado control glucémico en la progresión de la enfermedad renal y en los episodios cardiovasculares. Un adecuado control de la presión arterial disminuye todo tipo de episodios cardiovasculares en los pacientes diabéticos La presión arterial diastólica, objetivo a conseguir con el tratamiento antihipertensivo, debe ser de 80 mm Hg en el diabético hipertenso e inferior a 75 mm Hg en el diabético con proteinuria superior a 1 g/24 h.
  • 77.
    Estos efectos beneficiososparecen depender de la capacidad de los IECA para disminuir la presión intraglomerular, al vasodilatar preferentemente la arteriola eferente glomerular. Es necesario, en la mayoría de los casos, la asociación de tres o más fármacos hipotensores. Además de los IECA es eficaz la combinación de IECA con cualquier otro fármaco, como diuréticos, βbloqueantes, antagonistas del calcio, bloqueantes de receptores alfa y antagonistas de los receptores de angiotensina II. En caso de que exista insuficiencia renal, el tratamiento diurético se hace casi inevitable para conseguir un adecuado control tensional. Los diuréticos del asa son preferibles si la creatinina plasmática es superior a 2-3 mg/dl y deben usarse con precaución o evitarse los diuréticos ahorradores de potasio, dado el riesgo de hiperpotasemia de los diabéticos con insuficiencia renal, en los que es muy frecuente el hipoaldosteronismo hiporreninémico.
  • 78.
    Es considerado unacausa relativamente frecuente de hipercalemia y típicamente se asocia a acidosis metabólica leve, con brecha aniónica normal (hiperclorémica) en 50% de los afectados. Se denomina acidosis tubular tipo 4 y parece ser secundaria a un déficit en la excreción urinaria de amonio, lo cual se ve reflejado por la presencia de una brecha aniónica urinaria positiva.
  • 79.
    Los mecanismos fisiopatológicospropuestos para explicar el estado de hiporreninemia incluyen : - daño del aparato yuxtaglomerular -presencia de disautonomía simpática -alteración de la producción renal de prostaglandinas - defectos en la conversión de pro-renina a renina
  • 80.
    La mayor partede los pacientes con esta entidad tienen nefropatía diabética o nefropatías túbulointersticiales, aunque también ha sido descrito en casos de LES, enfermedad de Graves, uropatía obstructiva, anemia de células falciformes, amiloidosis, pacientes trasplantados y en el síndrome de inmunodeficiencia adquirida. El paciente típico es un anciano con insuficiencia renal leve a moderada asociada a acidosis metabólica. Una de las características claves del diagnóstico es el hecho de que tanto la hiperkalemia como la acidosis metabólica están en desproporción para el grado de disfunción renal.
  • 81.
    Frecuencia de diversascaracterísticas clínicas del hipoaldosteronismo hiporreninémico: •Hiperpotasemia 75% •Acidosis metabólica hiperclorémica >50% •Enfermedad renal crónica 70% •Diabetes mellitus 50% Los gases arteriales usualmente evidencian acidosis metabólica con brecha aniónica normal (no se acumulan aniones no mesurables) y si está levemente aumentada, debería correlacionarse con la presencia de una insuficiencia renal más avanzada (acumulación de urea y fosfatos)
  • 82.
    Se debe insistiren el control metabólico de la diabetes, una dieta baja en potasio, evitar los sustitutos de la sal y vigilar el uso de medicaciones que alteran el eje renina-angiotensinaaldosterona, especialmente anti-inflamatorios no esteroideos, bloqueadores beta, inhibidores de la ECA y antagonistas del receptor de angiotensina II. En todo paciente con hiperpotasemia, especialmente si presenta nefropatía diabética, debemos considerar la posibilidad de la presencia de un hipoaldosteronismo hiporreninémico.
  • 84.
    El riguroso controlglucémico en diabéticos tipo 1 disminuía el riesgo de neuropatía, retinopatía, microalbuminuria y proteinuria clara en un 60, 76, 39 y 54%, respectivamente. También se ha descrito la regresión de la hipertrofia glomerular y la hiperfiltración con el adecuado control glucémico en diabéticos tipo 1. Por tanto, debe extremarse el control glucémico en todos los diabéticos, especialmente, si tienen riesgo de nefropatía. Con descensos de la hemoglobina glucosilada de tan sólo un 1% ya se observan efectos beneficiosos Mantener HbA1 inferior 8% reduce el riesgo de microalbuminuria, previene el desarrollo de nefropatía y retinopatía
  • 85.
    Hipoglucemiantes orales: • Nousar: Acetohexamida, tolazamida, clorpropramida ( urinaria) • Utilizar: glipizida, tolbutamida (hepatico) • No usar metformina (incrementa acidosis láctica)
  • 87.
    Disminuir la ingestaproteica a 0,8 g/kg/día, con un máximo del 10% del contenido calórico diario. Debe de controlarse estrechamente el balance utricional por el riesgo de malnutrición proteica, sobre todo, en la nefropatía avanzada.
  • 89.
    Se desconoce siel control de la hiperlipidemia mejora el pronóstico de la nefropatía, si bien en algún estudio se ha comunicado el descenso de la microalbuminuria en un 25% con sinvastatina (20 mg/día) en diabéticos tipo 2 normotensos. En cualquier caso, y dada la gran morbilidad cardiovascular que acompaña a la nefropatía diabética, debe intentarse mantener el colesterol LDL y los triglicéridos en cifras inferiores a 130 mg/dl y 200 mg/dl, respectivamente. Pueden usarse con eficacia y seguridad estatinas en la población diabética.
  • 90.
    Hiperlipidemia I Hiperviscosidad I Depósito de proteínasen mesangio I Presencia de proteínas oxidadas y aumento de macrofagos I Aumento presión intra-glomerular
  • 92.
    •Torres Viloria Alfredoy Zacarías Castillo Rogelio. Nefropatía Diabética. Rev Hosp Gral Dr. M Gea González 2002; 5(1-2): 24-32 •M. Macía Heras, M. Macía Jerez y F. Coronel. Nefropatía diabética: fisiopatología y curso clínico. NEFROLOGÍA. Vol. XXI. Suplemento 3. 2001 •C. Mora-Fernández et al. Fisiopatología de la nefropatía diabética. Nefro Plus 2008; 1(1)28-38 Dr. Juan Alberto Fierro C. Nefropatía diabética: fisiopatología, diagnóstico, evolución clínica y epidemiología. Rev. Med. Clin. Condes - 2009; 20(5) 639 - 650] •Http://www.Senefro.Org/modules.Php?Name=webstructure&idwebstructur e=347 •http://pae.ciberlogica.com/gto/archivos/modulo-4.pdf