PANCREATITIS AGUDA
GENERALIDADES
                             PÁNCREAS
 1. Tamaño                16–20cm (long) x 4–5cm (altura) x 2–3cm (espesor)

                                        RETROPERITONEAL (*)
 2. Fisiología
                            UNIDAD EXCRETORIA
]R’s       Ach       CCK                          Secretina               x



                 ACINAR                            DUCTAL

FASES        ENZIMAS                              NaHCO3                   2L
             + Hidrolasas                        + Electrolitos
ACINAR                                   DUCTAL

      ENZIMAS                                  NaHCO3
      + Hidrolasas                           + Electrolitos (*)
                                                 pH 7-8
                      ENTEROCINASA
Tripsinógeno                                  TRIPSINA
Quimiotripsinógeno
Procarboxipolipeptidasa                ¿Cómo SE EVITA la
Proelastasa                            AUTODIGESTIÓN?
Precalicreína                Secreción como PROENZIMAS
                              Retenidas en GRANULOS de cimógeno (*)
Lipasa pancreática           Su activación requiere de la activación de la
Profosfolipasa               TRIPSINA
                              Se secretan INHIBIDORES (SPINK1)
Amilasa pancreática          Las células acinares son resistentes a las
                              enzimas

        ¿CUÁL ES EL FACTOR DESENCADENANTE?
PANCREATITIS AGUDA
  “Lesión REVERSIBLE del parénquima hepático asociado a inflamación.”
 “Proceso inflamatorio agudo que resulta de la liberación y activación de
     enzimas pancreáticas dentro de la propia glándula, que puede
     comprometer por continuidad otros tejidos y órganos e incluso
       desencadenar disfunción de órganos y sistemas distantes.”

Clasificación             Según el Simposio Internacional de Pancreatitis Aguda, Atlanta


                               Compromiso

                  PA leve (80%)                                      PA severa
           Edematosa o intersticial                              FMO
           Poca afección de tejidos vecinos                      Complicaciones
           Recuperación sin inconvenientes                       locales
FMO
                                       Shock (PA < 90mmHg)
Complicaciones locales                 Insuficiencia pulmonar (hipoxemia)
                                       IRA (creatinina > 2mg/dl)
Necrosis pancreática                  Hemorragia GIT (> 500ml/día)
Absceso pancreático                   CID
Pseudoquiste pancreático              Disturbios metabólicos severos (Ca < 7.5mg/dl)
                                       Necrosis (ascitis)
                                       SRIS (temprano, x mediadores inflamatorios)
Etiología
1. De origen biliar (40-60%)                     Edad 30 – 50 años
2. Origen alcohólico
3. Por hipertrigliceridemia
           MECÁNICOS                 METABÓLICOS              GENÉTICOS   VASCULARES

         Cálculos biliares         Alcoholismo severo          PRSS1(*)    Isquemia

       Neoplasia parampular   Medicamentos (azatioprina)(*)   SPINK1(*)      Shock

           Barro biliar            Hiperparatiroidismo                    Ateroembolia
          Traumatismos             Hipertrigliceridemia                    Vasculitis
           Infecciones
¿Cómo es que producen PA?

1) Reflujo biliar                         A. Obstrucción del conducto pancreático
                                          ↑ presión y [ ] de enzimas (lipasa)
Ác biliares ([ ]’s normales) tienen
                                          Esteatonecrosis local y producción de IL1 IL6
efecto destructivo de las paredes
                                          FNT FAP → INFLAMACIÓN + EDEMA
acinares → citotóxico (necrohemorragia)   Alteración flujo sanguíneo → isquemia
Liberación de tripsina en forma activa
→ Profosfolipasa, Proelastasa             B. Lesión primaria de las células acinares
                                          Virus, fármacos, traumatismos, shock
2) Autodigestión pancreática              Enzimas + hidrolasas (intra - extracelular)
1° etapa: activación intracinar de las   C. Defectos del transporte intracelular
proenzimas → inflamación + activación     Mala empaquetación de cimógenos e
de enzimas (edema, necrohemorragia)
                                          hidrolasas (intracelular)



                                                               -OH CPRE HTG
    Edema + inflamación
    Proteólisis
    Esteatonecrosis                                        LA CÉLULA ACINAR
    hemorragia
ANTECEDENTES
Clínica
                                                Enfermedad de las vías biliares
                                                Intoxicaciones alcohólicas
SÍNTOMAS
                                                Infecciones
DOLOR                                           Traumatismos
Coincide con ingesta copiosa rica en grasas;   Enfermedades metabólicas
después de un exceso bromatológico con
abundantes libaciones                           SIGNOS
Súbito, violentísimo                           X difusión de liquido pancreático
Intenso (+o- a perforación, IAM)               Derrame pleural (*), SDRA (*)
Epigastrio, irradiado en cinturón (7-12D)      FI derecha
Continuo, colapsante y postrante, con          Íleo paralítico regional (*)
sensación de muerte inminente                   Edema, ascitis (*), peritonitis
Posición antálgica (flexionando el abdomen)    Distención abdominal (*)
“DRAMA PANCREÁTICO” DE DIEULAFOY                Anorexia, nauseas, vómitos
Dolor insoportable, tendencia al colapso y     Equimosis cutáneas
disnea angustiosa. Situación muy grave.         Hematemesis, melenas, hta (**)
                                                CID (*)
VÓMITOS                                         Obnubilación, desorientación (*)
Copiosos, contenido gástrico y biliar, NO
                                                Signos tetánicos (*)
alivian el dolor                                Oliguria
Constantes
Examen físico

INSPECCIÓN                                  PERCUSIÓN Y AUSCULTACIÓN
Paciente inmovilizado en cama              Matidez hepática normal
Lúcido o desorientado                      Timpanismo leve de abdomen
SIGNO DE GOBIET (abultamiento              Silencio auscultatorio
epigástrico por dilatación del estómago y   Matidez en bases pulmonares
colon transverso)                           Estertores crepitantes basales
En PA necrótica-hemorrágica: SIGNOS
DE CULLEN Y GREY-TURNER


PALPACIÓN

Cierta resistencia epigástrica x sg. De Gobiet
HEMICINTURÓN HIPERALGÉSICO IZQUIERDO desde epigastrio, últimas costillas
izquierdas hasta apófisis espinosas T10-T12. Piel muy sensible
PUNTO DE PREIONI 2 dedos encima del ombligo y 1 a la izquierda. Gran valor DX
ZCP de Chauffard, PP de Desjardins
Diagnóstico                              IMAGENOLÓGICO
                                         Rx
LABORATORIAL
                                         Tórax
AMILASA                                  Derrame o atelectasia en las bases
↑ x 3 veces el VN                       Elevación del hemidiafragma izquierdo
Positivo a los 60min – hasta 24hrs      Borrado del seno costodiafragmático
Persistente (pseudoquiste o necrosis)   Abdomen
Su ↑ no es patognomónica de PA          Íleo paralítico sobre la región
No hay correlación ↑ [ ]’s y gravedad   pancreática: ASA CENTINELA
del cuadro                               BORRAMIENTO DEL PSOAS: edema
LIPASA                                   retroperitoneal
Más valor Dx                            TC
Mayor especificidad                     Inyección de contraste
Su determinación requiere 24hrs         Edema general o focal de la glándula
OTROS                                    Permite detectar áreas de necrosis
Leucocitosis + 15 000                   Ecografía
Hipocalcemia                            Descartar cálculo vesicular
Hipoxemia                               Punción
↑ urea y creatinina                     + 20ml libres en la cavidad peritoneal
Hiperglicemia                           Aspiración del líquido ascítico oscuro
Criterios pronóstico 48hrs                             ¿Cómo identificar pacientes en riesgo?


                              CRITERIOS DE RANSON
                                    PA no biliar           PA biliar
       Al ingreso
           Edad                     > 55 años              > 70 años
           Leucocitosis             > 16 000 células       > 18 000 células
           Glucemia                 > 200 mg/dl            > 220 mg/dl
           LDH sérica               > 350 UI/l             > 400 UI/l
           GOT sérica               > 250 UI/l             > 250 UI/l


                                    PA no biliar           PA biliar
       En las primeras 48hrs
           Caída del HTO            > 10%                  > 10%
           Cr sérica                > 2 mg/dl              > 2 mg/dl
           PaCO2                    < 60 mmHg              < 60 mmHg
           Ca sérico                < 8 mg/dl              < 8 mg/dl
           Déficit de bases         > -4 mEq/l             > -5 mEq/l
           Secuestro de líquido     >6l                    >5l
Criterios pronóstico 72hrs                                      ¿Cómo identificar pacientes en riesgo?


          CRITERIOS TOMOGRÁFICOS DE [EMIL] BALTHAZAR
                                                         % de                   Índice de
Grado                Hallazgos                 Puntos              Puntuación             Mortalidad
                                                        necrosis                severidad
        Páncreas normal, tamaño normal,
  A                                              0         0           0            0
        bien definido, contornos regulares.
        Aumento de tamaño focal o difuso
  B                                              1         0           0            1
        del páncreas, contornos irregulares.
        Inflamación pancreática y/o grasa
  C                                              2       < 33          2            4
        peripancreática.
        Colección única de líquido intra o
  D                                              3       33-50         4            7       > 17 %
        extrapancreático.
        Dos o más colecciones de líquido o
  E                                              4       > 50          6           10
        gas en páncreas o retroperitoneo.


 Se considera como Pancreatitis Aguda severa a toda Pancreatitis Aguda con índice de
                 severidad de 6 puntos o más y/o un Balthazar D - E.
 La tomografía abdominal dinámica contrastada es el "Gold standard" o "Regla de Oro"
                 para el diagnóstico clínico de la Pancreatitis Aguda.
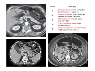
Grado                  Hallazgos
        Páncreas normal, tamaño normal, bien
 A
        definido, contornos regulares.
        Aumento de tamaño focal o difuso del
 B
        páncreas, contornos irregulares.
        Inflamación pancreática y/o grasa
 C
        peripancreática.
        Colección única de líquido intra o
 D
        extrapancreático.
        Dos o más colecciones de líquido o gas
 E
        en páncreas o retroperitoneo.

Pancreatitis aguda

  • 1.
  • 2.
    GENERALIDADES PÁNCREAS 1. Tamaño 16–20cm (long) x 4–5cm (altura) x 2–3cm (espesor) RETROPERITONEAL (*) 2. Fisiología UNIDAD EXCRETORIA ]R’s Ach CCK Secretina x ACINAR DUCTAL FASES ENZIMAS NaHCO3 2L + Hidrolasas + Electrolitos
  • 3.
    ACINAR DUCTAL ENZIMAS NaHCO3 + Hidrolasas + Electrolitos (*) pH 7-8 ENTEROCINASA Tripsinógeno TRIPSINA Quimiotripsinógeno Procarboxipolipeptidasa ¿Cómo SE EVITA la Proelastasa AUTODIGESTIÓN? Precalicreína Secreción como PROENZIMAS Retenidas en GRANULOS de cimógeno (*) Lipasa pancreática Su activación requiere de la activación de la Profosfolipasa TRIPSINA Se secretan INHIBIDORES (SPINK1) Amilasa pancreática Las células acinares son resistentes a las enzimas ¿CUÁL ES EL FACTOR DESENCADENANTE?
  • 4.
    PANCREATITIS AGUDA “Lesión REVERSIBLE del parénquima hepático asociado a inflamación.” “Proceso inflamatorio agudo que resulta de la liberación y activación de enzimas pancreáticas dentro de la propia glándula, que puede comprometer por continuidad otros tejidos y órganos e incluso desencadenar disfunción de órganos y sistemas distantes.” Clasificación Según el Simposio Internacional de Pancreatitis Aguda, Atlanta Compromiso PA leve (80%) PA severa Edematosa o intersticial FMO Poca afección de tejidos vecinos Complicaciones Recuperación sin inconvenientes locales
  • 5.
    FMO Shock (PA < 90mmHg) Complicaciones locales Insuficiencia pulmonar (hipoxemia) IRA (creatinina > 2mg/dl) Necrosis pancreática Hemorragia GIT (> 500ml/día) Absceso pancreático CID Pseudoquiste pancreático Disturbios metabólicos severos (Ca < 7.5mg/dl) Necrosis (ascitis) SRIS (temprano, x mediadores inflamatorios) Etiología 1. De origen biliar (40-60%) Edad 30 – 50 años 2. Origen alcohólico 3. Por hipertrigliceridemia MECÁNICOS METABÓLICOS GENÉTICOS VASCULARES Cálculos biliares Alcoholismo severo PRSS1(*) Isquemia Neoplasia parampular Medicamentos (azatioprina)(*) SPINK1(*) Shock Barro biliar Hiperparatiroidismo Ateroembolia Traumatismos Hipertrigliceridemia Vasculitis Infecciones
  • 6.
    ¿Cómo es queproducen PA? 1) Reflujo biliar A. Obstrucción del conducto pancreático ↑ presión y [ ] de enzimas (lipasa) Ác biliares ([ ]’s normales) tienen Esteatonecrosis local y producción de IL1 IL6 efecto destructivo de las paredes FNT FAP → INFLAMACIÓN + EDEMA acinares → citotóxico (necrohemorragia) Alteración flujo sanguíneo → isquemia Liberación de tripsina en forma activa → Profosfolipasa, Proelastasa B. Lesión primaria de las células acinares Virus, fármacos, traumatismos, shock 2) Autodigestión pancreática Enzimas + hidrolasas (intra - extracelular) 1° etapa: activación intracinar de las C. Defectos del transporte intracelular proenzimas → inflamación + activación Mala empaquetación de cimógenos e de enzimas (edema, necrohemorragia) hidrolasas (intracelular) -OH CPRE HTG Edema + inflamación Proteólisis Esteatonecrosis LA CÉLULA ACINAR hemorragia
  • 7.
    ANTECEDENTES Clínica Enfermedad de las vías biliares Intoxicaciones alcohólicas SÍNTOMAS Infecciones DOLOR Traumatismos Coincide con ingesta copiosa rica en grasas; Enfermedades metabólicas después de un exceso bromatológico con abundantes libaciones SIGNOS Súbito, violentísimo X difusión de liquido pancreático Intenso (+o- a perforación, IAM) Derrame pleural (*), SDRA (*) Epigastrio, irradiado en cinturón (7-12D) FI derecha Continuo, colapsante y postrante, con Íleo paralítico regional (*) sensación de muerte inminente Edema, ascitis (*), peritonitis Posición antálgica (flexionando el abdomen) Distención abdominal (*) “DRAMA PANCREÁTICO” DE DIEULAFOY Anorexia, nauseas, vómitos Dolor insoportable, tendencia al colapso y Equimosis cutáneas disnea angustiosa. Situación muy grave. Hematemesis, melenas, hta (**) CID (*) VÓMITOS Obnubilación, desorientación (*) Copiosos, contenido gástrico y biliar, NO Signos tetánicos (*) alivian el dolor Oliguria Constantes
  • 8.
    Examen físico INSPECCIÓN PERCUSIÓN Y AUSCULTACIÓN Paciente inmovilizado en cama Matidez hepática normal Lúcido o desorientado Timpanismo leve de abdomen SIGNO DE GOBIET (abultamiento Silencio auscultatorio epigástrico por dilatación del estómago y Matidez en bases pulmonares colon transverso) Estertores crepitantes basales En PA necrótica-hemorrágica: SIGNOS DE CULLEN Y GREY-TURNER PALPACIÓN Cierta resistencia epigástrica x sg. De Gobiet HEMICINTURÓN HIPERALGÉSICO IZQUIERDO desde epigastrio, últimas costillas izquierdas hasta apófisis espinosas T10-T12. Piel muy sensible PUNTO DE PREIONI 2 dedos encima del ombligo y 1 a la izquierda. Gran valor DX ZCP de Chauffard, PP de Desjardins
  • 9.
    Diagnóstico IMAGENOLÓGICO Rx LABORATORIAL Tórax AMILASA Derrame o atelectasia en las bases ↑ x 3 veces el VN Elevación del hemidiafragma izquierdo Positivo a los 60min – hasta 24hrs Borrado del seno costodiafragmático Persistente (pseudoquiste o necrosis) Abdomen Su ↑ no es patognomónica de PA Íleo paralítico sobre la región No hay correlación ↑ [ ]’s y gravedad pancreática: ASA CENTINELA del cuadro BORRAMIENTO DEL PSOAS: edema LIPASA retroperitoneal Más valor Dx TC Mayor especificidad Inyección de contraste Su determinación requiere 24hrs Edema general o focal de la glándula OTROS Permite detectar áreas de necrosis Leucocitosis + 15 000 Ecografía Hipocalcemia Descartar cálculo vesicular Hipoxemia Punción ↑ urea y creatinina + 20ml libres en la cavidad peritoneal Hiperglicemia Aspiración del líquido ascítico oscuro
  • 10.
    Criterios pronóstico 48hrs ¿Cómo identificar pacientes en riesgo? CRITERIOS DE RANSON PA no biliar PA biliar Al ingreso Edad > 55 años > 70 años Leucocitosis > 16 000 células > 18 000 células Glucemia > 200 mg/dl > 220 mg/dl LDH sérica > 350 UI/l > 400 UI/l GOT sérica > 250 UI/l > 250 UI/l PA no biliar PA biliar En las primeras 48hrs Caída del HTO > 10% > 10% Cr sérica > 2 mg/dl > 2 mg/dl PaCO2 < 60 mmHg < 60 mmHg Ca sérico < 8 mg/dl < 8 mg/dl Déficit de bases > -4 mEq/l > -5 mEq/l Secuestro de líquido >6l >5l
  • 11.
    Criterios pronóstico 72hrs ¿Cómo identificar pacientes en riesgo? CRITERIOS TOMOGRÁFICOS DE [EMIL] BALTHAZAR % de Índice de Grado Hallazgos Puntos Puntuación Mortalidad necrosis severidad Páncreas normal, tamaño normal, A 0 0 0 0 bien definido, contornos regulares. Aumento de tamaño focal o difuso B 1 0 0 1 del páncreas, contornos irregulares. Inflamación pancreática y/o grasa C 2 < 33 2 4 peripancreática. Colección única de líquido intra o D 3 33-50 4 7 > 17 % extrapancreático. Dos o más colecciones de líquido o E 4 > 50 6 10 gas en páncreas o retroperitoneo. Se considera como Pancreatitis Aguda severa a toda Pancreatitis Aguda con índice de severidad de 6 puntos o más y/o un Balthazar D - E. La tomografía abdominal dinámica contrastada es el "Gold standard" o "Regla de Oro" para el diagnóstico clínico de la Pancreatitis Aguda.
  • 12.
    Grado Hallazgos Páncreas normal, tamaño normal, bien A definido, contornos regulares. Aumento de tamaño focal o difuso del B páncreas, contornos irregulares. Inflamación pancreática y/o grasa C peripancreática. Colección única de líquido intra o D extrapancreático. Dos o más colecciones de líquido o gas E en páncreas o retroperitoneo.