Incrustar presentación
Descargar como PDF, PPTX









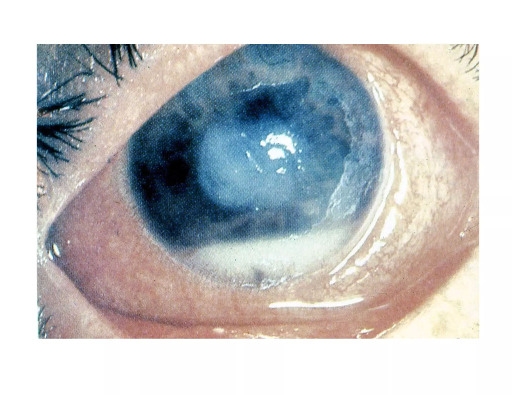
Este documento trata sobre la patología de la uvea, incluyendo inflamaciones, cuadro clínico, complicaciones y tratamientos. También cubre tumores como el melanoma y retinoblastoma, con detalles sobre periodos y tratamientos. Por último, describe operaciones radicales como la evisceración, enucleación y exenteración.







