MESOTELIOMA
PLEURAL
INSTITUTO MEXICANO DEL SEGURO SOCIAL
CENTRO MEDICO NACIONAL DE OCCIDENTE
HOSPITAL DE ESPECIALIDADES
DIVISION DE CIRUGIA DE CARDIO-TÓRAX
DEPARTAMENTO DE NEUMOLOGIA
Dr. Carlos Ignacio Gonzalez Andrade R4 neumología CMNO
DEFINICIÓN: El mesotelioma es un tumor del
mesodermo que se genera en la pleura (90%),
pericardio, peritoneo y túnica vaginalis del testículo.
El mesotelioma pleural es la neoplasia maligna primaria
más frecuente de la pleura.
Es un tumor raro, muy agresivo y en el 80% de los casos
está originado por la exposición a la inhalación del
asbesto
Crisotilo se elimina en horas los
anfíboles en décadas.
Todos los anfíboles con carncerogenicos
pero el mas relacionado a neoplasias es
la crocidolida (“amianto azul”).
Las partículas <3 micras sin las que
alcanzan la vía aérea terminal.
A mayor tiempo y cantidad = mayor
riesgo.
Latencia de hasta 40 años.
Existen otros factores de riesgo que se han visto relacionados al
desarrollo de mesotelioma pleural:
• Radiación
• Erionita
• Papovirus SV-40
• Post fibrotórax por tuberculosis
No se ha observado relación con el tabaquismo.
Existen 3 tipos de estirpe histológica principales
a) Epiteloide
b) Mixto (bifásico)
c) Sarcomatoso
60%
30%
10-20%
Raros: desmoplásico, células pequeñas y linfohistiocitoide.
Peor pronostico
Presentación clínica:
• Hasta 40 años asintomáticos.
• Disnea, tos, perdida de peso y dolor torácico intenso, de
características sordo y no relacionado a los movimientos
respiratorios.
• Frecuentemente derrame pleural.
• Engrosamiento pleural lobulado, >1 cm, con compromiso de
pleura mediastinal y diafragmática (placas pleurales).
• METS a distancia (hígado, riñón, cerebro, páncreas) <15%
Diagnóstico:
Rx de tórax:
• El hallazgo más frecuente es un
engrosamiento pleural liso o
nodular que engloba a un
pulmón.
• El derrame pleural unilateral y
pérdida de volumen del
hemitórax afectado también son
manifestaciones muy comunes.
Yilmaz et al. Reportó 4
hallazgos en TAC que se
relacionan con malignidad:
• Pleura con engrosamiento nodular
• Crecimiento pleural con morfologia
de corteza/circunferencial (Rind-like).
• Compromiso de pleural mediastinal.
• Engrosamiento pleural >1 cm.
Diagnóstico:
Diagnóstico:
Es necesario la administración de contraste intravenoso para poder valorar el realce de la
pleura y diferenciar el derrame del parénquima pulmonar atelectasiado.
HALLAZGOS TAC
• Engrosamiento nodular pleural o crecimiento tumoral pleural con
morfologia de corteza (Rind-like)
• Derrame pleural unilateral
• Engrosamiento tumoral de las cisuras
• 10-52% Placas pleurales calcificadas
• Pérdida de volumen hemitórax afecto
• Ausencia de reexpasión pulmonar tras toracocentesis evacuadora
Diagnóstico:
Resonancia magnética
• Se debe realizar RM en aquellos casos en los que la TAC con contraste esté
contraindicada o cuando la infiltración extrapleural no se demuestre
claramente con esta técnica.
• La RM es especialmente útil en los casos en que la enfermedad sea
potencialmente resecable y nos puede proporcionar información adicional
sobre el estado de los márgenes tumorales y la afectación del diafragma,
fascia y pared torácica.
HALLAZGOS EN LA RM
• Pérdida de los planos grasos
• Afectación circunferencial de más de 50% de las estructuras mediastínicas
• Afectación de la grasa mediastínica
• Invasión del diafragma
• Invasión de la fascia endotorácica
T1=================Isotenso o discretamente hiperinteso
T2=================Moderadamente hiperintenso
T1 + Gadolinio=======Realce intenso
PET-SCAN
• Utilidad para demostrar metástasis extratorácicas y así mejorar la
selección de pacientes para neumonectomía extrapleural.
• Alta eficacia para localizar el mejor punto para realizar la biopsia
pleural ( áreas con un SUV>2).
• El PET- TAC incrementa la sensibilidad diagnóstica en la afectación
mediastínica nodal y es útil como factor pronóstico, ya que una
captación mayor de SUV suele asociar un peor pronóstico.
• Cambia la decisión terapéutica en el 20-40% de los casos.
Diagnóstico:
Diagnóstico:
• Exudado mononuclear, con glucosa y pH
bajos (peor pronostico), acido hialuronico
>100,000.
• Marcadores tumorales en liquido pleural:
CYFRA 21-1 elevado con ACE negativo.
• Los niveles de adenosin-deaminasa (ADA)
pueden encontrarse elevados en pacientes
con mesotelioma, pero antes de
etiquetarlos como falsos positivos del ADA
hay que tener en cuenta que en ocasiones
pueden coexistir mesotelioma maligno y
pleuritis tuberculosa.
Líquido
pleural
Diagnóstico:
• La citología del líquido pleural puede
sugerir la presencia de mesotelioma,
pero con frecuencia plantea
problemas entre hiperplasia
mesotelial benigna y maligna.
• Es incapaz de demostrar el carácter
invasivo del tumor.
• Rendimiento diagnostico 40%
aproximadamente.
Citología
de líquido
pleural
Diagnóstico:
• Muestras >4 cm mejor rendimiento
diagnóstico
• Aguja fina a “ciegas” 30%.
• Biopsia con aguja guiada por
TAC/USG 50%, si masa observada
80-90%.
• VATS 75% en promedio.
• Toracotomía 83-90%.
Biopsia
pleural
(rendimiento
diagnóstico)
Diagnóstico:
Biomarcadores
• El diagnostico de mesotelioma se realiza en muchas
ocasiones por descarte.
• No existe ningún marcador con 100% de sensibilidad y
especificidad para mesotelioma y por ello es imprescindible
acudir a distintos paneles de anticuerpos monoclonales.
• Al menos 2 marcadores positivos para mesotelioma y 2
negativos para adenocarcinoma.
POSITIVOS
• WT-1 (antígeno de tumor de
Wilms)
• EMA (antígeno epitelial de
membrana)
• Calretinina (núcleo y citoplasma)
• Queratinas CK5 y CK6
• Podoplanina (D2-40)
NEGATIVOS
• CEA (antígeno carcinoembrionario)
• TTF-1 (factor 1 de transcripción
tiroideo)
• Ber-EP4
• ER (marcados de retículo
endoplasmático)
• B72.3
Diagnóstico:
Biomarcadores Moleculares
• Mesotelina soluble: alta Especifidad con sensibilidad
baja (esp 90%, sen 35-50%). Preferible de seguimiento.
• Fibulina: corte en 53 ng/ml. Sen 96.7% con Esp 95.5%.
Estadio I = 30 meses
Estadio II = 19 meses
Estadio III = 10 meses
Estadio IV = 8 meses
Sobrevida
media
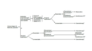
Tratamiento:
Terapia
multinodal Cirugía
Pleurectomía/Decorticación
Neumonectomía
extrapleural
Quimioterapia
Radioterapia
Tratamiento: Cirugía
Pleurectomia/Decorticación
• Resección de pleura y tumor macroscópicamente visible, representa un
procedimiento con menor riesgo de complicaciones pero una mayor tasa de
recidivas.
Neumonectomia extrapleural
• Resección en bloque de la pleura, pulmón, pericardio y diafragma ipsilateral
al tumor.
• Mortalidad 5% en centros de alta experiencia.
• Frecuentes complicaciones cardiopulmonares.
• Menor tasa de recidivas.
Tratamiento: Quimioterapia
PRIMERA LINEA
•Premetrexed/Cisplatino. Carboplatino +
Gemcitabine/cisplatino.
•Bevacizumab= Quimioterapia tradicional +
bevacizumab: incrementa 2.7 meses sobrevida
(18.8 vs 16.1 meses).
SEGUNDA LINEA
•Vinorelbine o Gemcitabine.
Tratamiento: Radioterapia
La radioterapia sola no esta recomendada como terapéutica en solitario, se
recomienda para el tratamiento multimodal y para METS oseas y cerebrales.
Son candidatos los pacientes con adecuado estado general, con función
renal y pulmonar preservadas.
Se recomienda post neumonectomia extrapleural y en caso de tumores
residuales, dosis de 50-60 Gy.
Paliativa para dolor, nodulos y METS: 20-40 Gy.
Profilaxis de recurrencia: 21 Gy.
¡¡¡GRACIAS
POR SU
ATENCIÓN!!!

Mesotelioma pleural

  • 1.
    MESOTELIOMA PLEURAL INSTITUTO MEXICANO DELSEGURO SOCIAL CENTRO MEDICO NACIONAL DE OCCIDENTE HOSPITAL DE ESPECIALIDADES DIVISION DE CIRUGIA DE CARDIO-TÓRAX DEPARTAMENTO DE NEUMOLOGIA Dr. Carlos Ignacio Gonzalez Andrade R4 neumología CMNO
  • 2.
    DEFINICIÓN: El mesoteliomaes un tumor del mesodermo que se genera en la pleura (90%), pericardio, peritoneo y túnica vaginalis del testículo. El mesotelioma pleural es la neoplasia maligna primaria más frecuente de la pleura. Es un tumor raro, muy agresivo y en el 80% de los casos está originado por la exposición a la inhalación del asbesto
  • 3.
    Crisotilo se eliminaen horas los anfíboles en décadas. Todos los anfíboles con carncerogenicos pero el mas relacionado a neoplasias es la crocidolida (“amianto azul”). Las partículas <3 micras sin las que alcanzan la vía aérea terminal. A mayor tiempo y cantidad = mayor riesgo. Latencia de hasta 40 años.
  • 5.
    Existen otros factoresde riesgo que se han visto relacionados al desarrollo de mesotelioma pleural: • Radiación • Erionita • Papovirus SV-40 • Post fibrotórax por tuberculosis No se ha observado relación con el tabaquismo.
  • 7.
    Existen 3 tiposde estirpe histológica principales a) Epiteloide b) Mixto (bifásico) c) Sarcomatoso 60% 30% 10-20% Raros: desmoplásico, células pequeñas y linfohistiocitoide. Peor pronostico
  • 8.
    Presentación clínica: • Hasta40 años asintomáticos. • Disnea, tos, perdida de peso y dolor torácico intenso, de características sordo y no relacionado a los movimientos respiratorios. • Frecuentemente derrame pleural. • Engrosamiento pleural lobulado, >1 cm, con compromiso de pleura mediastinal y diafragmática (placas pleurales). • METS a distancia (hígado, riñón, cerebro, páncreas) <15%
  • 9.
    Diagnóstico: Rx de tórax: •El hallazgo más frecuente es un engrosamiento pleural liso o nodular que engloba a un pulmón. • El derrame pleural unilateral y pérdida de volumen del hemitórax afectado también son manifestaciones muy comunes.
  • 10.
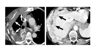
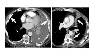
    Yilmaz et al.Reportó 4 hallazgos en TAC que se relacionan con malignidad: • Pleura con engrosamiento nodular • Crecimiento pleural con morfologia de corteza/circunferencial (Rind-like). • Compromiso de pleural mediastinal. • Engrosamiento pleural >1 cm. Diagnóstico:
  • 11.
    Diagnóstico: Es necesario laadministración de contraste intravenoso para poder valorar el realce de la pleura y diferenciar el derrame del parénquima pulmonar atelectasiado. HALLAZGOS TAC • Engrosamiento nodular pleural o crecimiento tumoral pleural con morfologia de corteza (Rind-like) • Derrame pleural unilateral • Engrosamiento tumoral de las cisuras • 10-52% Placas pleurales calcificadas • Pérdida de volumen hemitórax afecto • Ausencia de reexpasión pulmonar tras toracocentesis evacuadora
  • 14.
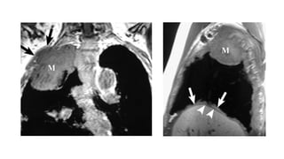
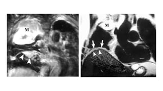
    Diagnóstico: Resonancia magnética • Sedebe realizar RM en aquellos casos en los que la TAC con contraste esté contraindicada o cuando la infiltración extrapleural no se demuestre claramente con esta técnica. • La RM es especialmente útil en los casos en que la enfermedad sea potencialmente resecable y nos puede proporcionar información adicional sobre el estado de los márgenes tumorales y la afectación del diafragma, fascia y pared torácica.
  • 15.
    HALLAZGOS EN LARM • Pérdida de los planos grasos • Afectación circunferencial de más de 50% de las estructuras mediastínicas • Afectación de la grasa mediastínica • Invasión del diafragma • Invasión de la fascia endotorácica T1=================Isotenso o discretamente hiperinteso T2=================Moderadamente hiperintenso T1 + Gadolinio=======Realce intenso
  • 18.
    PET-SCAN • Utilidad parademostrar metástasis extratorácicas y así mejorar la selección de pacientes para neumonectomía extrapleural. • Alta eficacia para localizar el mejor punto para realizar la biopsia pleural ( áreas con un SUV>2). • El PET- TAC incrementa la sensibilidad diagnóstica en la afectación mediastínica nodal y es útil como factor pronóstico, ya que una captación mayor de SUV suele asociar un peor pronóstico. • Cambia la decisión terapéutica en el 20-40% de los casos. Diagnóstico:
  • 20.
    Diagnóstico: • Exudado mononuclear,con glucosa y pH bajos (peor pronostico), acido hialuronico >100,000. • Marcadores tumorales en liquido pleural: CYFRA 21-1 elevado con ACE negativo. • Los niveles de adenosin-deaminasa (ADA) pueden encontrarse elevados en pacientes con mesotelioma, pero antes de etiquetarlos como falsos positivos del ADA hay que tener en cuenta que en ocasiones pueden coexistir mesotelioma maligno y pleuritis tuberculosa. Líquido pleural
  • 21.
    Diagnóstico: • La citologíadel líquido pleural puede sugerir la presencia de mesotelioma, pero con frecuencia plantea problemas entre hiperplasia mesotelial benigna y maligna. • Es incapaz de demostrar el carácter invasivo del tumor. • Rendimiento diagnostico 40% aproximadamente. Citología de líquido pleural
  • 22.
    Diagnóstico: • Muestras >4cm mejor rendimiento diagnóstico • Aguja fina a “ciegas” 30%. • Biopsia con aguja guiada por TAC/USG 50%, si masa observada 80-90%. • VATS 75% en promedio. • Toracotomía 83-90%. Biopsia pleural (rendimiento diagnóstico)
  • 23.
    Diagnóstico: Biomarcadores • El diagnosticode mesotelioma se realiza en muchas ocasiones por descarte. • No existe ningún marcador con 100% de sensibilidad y especificidad para mesotelioma y por ello es imprescindible acudir a distintos paneles de anticuerpos monoclonales. • Al menos 2 marcadores positivos para mesotelioma y 2 negativos para adenocarcinoma.
  • 25.
    POSITIVOS • WT-1 (antígenode tumor de Wilms) • EMA (antígeno epitelial de membrana) • Calretinina (núcleo y citoplasma) • Queratinas CK5 y CK6 • Podoplanina (D2-40) NEGATIVOS • CEA (antígeno carcinoembrionario) • TTF-1 (factor 1 de transcripción tiroideo) • Ber-EP4 • ER (marcados de retículo endoplasmático) • B72.3
  • 26.
    Diagnóstico: Biomarcadores Moleculares • Mesotelinasoluble: alta Especifidad con sensibilidad baja (esp 90%, sen 35-50%). Preferible de seguimiento. • Fibulina: corte en 53 ng/ml. Sen 96.7% con Esp 95.5%.
  • 28.
    Estadio I =30 meses Estadio II = 19 meses Estadio III = 10 meses Estadio IV = 8 meses Sobrevida media
  • 29.
  • 32.
    Tratamiento: Cirugía Pleurectomia/Decorticación • Resecciónde pleura y tumor macroscópicamente visible, representa un procedimiento con menor riesgo de complicaciones pero una mayor tasa de recidivas. Neumonectomia extrapleural • Resección en bloque de la pleura, pulmón, pericardio y diafragma ipsilateral al tumor. • Mortalidad 5% en centros de alta experiencia. • Frecuentes complicaciones cardiopulmonares. • Menor tasa de recidivas.
  • 33.
    Tratamiento: Quimioterapia PRIMERA LINEA •Premetrexed/Cisplatino.Carboplatino + Gemcitabine/cisplatino. •Bevacizumab= Quimioterapia tradicional + bevacizumab: incrementa 2.7 meses sobrevida (18.8 vs 16.1 meses). SEGUNDA LINEA •Vinorelbine o Gemcitabine.
  • 34.
    Tratamiento: Radioterapia La radioterapiasola no esta recomendada como terapéutica en solitario, se recomienda para el tratamiento multimodal y para METS oseas y cerebrales. Son candidatos los pacientes con adecuado estado general, con función renal y pulmonar preservadas. Se recomienda post neumonectomia extrapleural y en caso de tumores residuales, dosis de 50-60 Gy. Paliativa para dolor, nodulos y METS: 20-40 Gy. Profilaxis de recurrencia: 21 Gy.
  • 35.

Notas del editor

  • #6 Erionita= trabajadores de la construcción, pavimentación de calles, etc.