10cm
PATRONES
VASULARES EN
LA RADIOGRAFÍA
DE TÓRAX
MIP MARILY CABADA FIGUEROA
10cm
REPASO ANATOMICO DE LA VASCULATURA
PULMONAR
2
Ref X-Ray Exp /
10cm 3
Ref X-Ray Exp /
10cm 4
Ref X-Ray Exp /
10cm 5
Ref X-Ray Exp /
Al llegar al lobulillo la rama de la arteria
penetra con el bronquio y se divide
como este en colaterales y terminales,
cubren el alveolo como una malla de
capilares
10cm
PATRONES VASCULARES
PULMONARES
6
Ref X-Ray Exp /
10cm
PATRÓN VASCULAR NORMAL
La vasculatura pulmonar
sigue una distribución
arbiriforme.
Se debe ver del pulmón 1-
2 cm por dentro de la
pleura
Ambos hilios deben ser
simetricos (el derecho más
caudal)
7
Ref X-Ray Exp /
10cm 8
Ref X-Ray Exp /
10cm
SIGNO DEL
GEMELO
Cada bronquio va
acompañado de un vaso
(generalmente
corresponde a una
arteria pulmonar). Ambos
bronquio y arteria deben
tener un calibre similar
(signo del gemelo).
9
Ref X-Ray Exp /
10cm
PATRÓN DE REDISTRIBUCIÓN
VASCULAR
10
Ref X-Ray Exp /
Consiste en una inversión de la relación
normal entre los vasos apicales y basales,
es decir, los vasos de los ápices son
mayores o iguales que los de las bases
pulmonares. (Congestión venosa pulmonar
ocasionada o acompañada por sobrecarga y
fallo de las cavidades cardiacas izquierdas)
10cm 11
Ref X-Ray Exp /
Cuando identifiquemos un patrón de redistribución vascular debemos hacer un diagnóstico
diferencial de causas que provoquen hipertensión venosa pulmonar
10cm 12
Ref X-Ray Exp /
10cm
Se identifica un crecimiento de ambos
hilios pulmonares, generalmente de
manera simétrica, a expensas de las
arterias pulmonares derecha e
izquierda y de la arteria pulmonar
principal. Habitualmente acompañado
de disminución de calibre de los vasos
pulmonares periféricos.
13
PATRÓN DE HIPERTENSIÓN ARTERIAL
PULMONAR
Ref X-Ray Exp /
10cm 14
Ref X-Ray Exp /
10cm
Una medida a recordar para identificar el
crecimiento de las arterias pulmonares en la
radiografía simple PA es el diámetro de la
arteria interlobar: por encima de 16-17 mm se
considera que está dilatada
15
Ref X-Ray Exp /
10cm 16
PATRÓN DE PLETORA
PULMONAR
Ref X-Ray Exp /
Indica un aumento del flujo en la circulación
pulmonar lo que provoca dilatación de los vasos
pulmonares centrales y periféricos de manera
bilateral y simétrica, frecuentemente
acompañada de cardiomegalia a expensas del
corazón derecho.
10cm 17
Ref X-Ray Exp /
10cm
PATRÓN DE OLIGOHEMIA PULMONAR
El pulmón oligohémico se caracteriza por una
disminución del flujo a la circulación pulmonar.
La trama vascular de ambos campos
pulmonares aparece disminuida en calibre y
en número tanto en los hilios como en la
periferia.
18
Ref X-Ray Exp /
10cm 19
Ref X-Ray Exp /
10cm
PATRÓN VASCULAR
VICARIANTE
20
Ref X-Ray Exp /
Consiste en la visualización de la circulación arterial
bronquial en la radiografía simple de tórax, que en
condiciones normales no se identifica.
10cm 21
Ref X-Ray Exp /
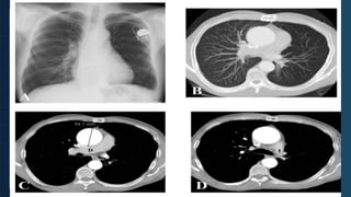
Patrón vicariante. Paciente con agenesia de la
arteria y venas pulmonares derechas y secuestro
pulmonar en lóbulo inferior derecho. A. Radiografía
simple de tórax PA. El pulmón derecho está
disminuido de volumen y en él se aprecia que su
vasculatura no sigue una distribución centrífuga y
arboriforme como en el pulmón contralateral. B.
Detalle de la radiografía anterior. La vascularización
pulmonar izquierda conforma una red
desorganizada, correspondiente a circulación
bronquial. C. Reconstrucción coronal en modo MIP
con ventana de pulmón de TC con contraste iv. Se
aprecia que la distribución de la vasculatura
pulmonar izquierda no sigue UN patrón arboriforme
como en el pulmón contralateral. D. Reconstrucción
coronal en modo MIP con ventana de mediastino de
TC con contraste iv. Se visualiza la arteria bronquial
derecha y una rama de la aorta toraco-abdominal
(puntas de flecha), la última responsable de la
irrigación del secuestro pulmonar.
10cm 22
Ref X-Ray Exp /
10cm 23
Ref X-Ray Exp /
Podemos encontrar varios patrones
vasculares pulmonares patológicos en una
misma radiografía de tórax.
10cm 24
Ref X-Ray Exp /

PATRONES VASCULARES RX TORAX .pptx

  • 1.
    10cm PATRONES VASULARES EN LA RADIOGRAFÍA DETÓRAX MIP MARILY CABADA FIGUEROA
  • 2.
    10cm REPASO ANATOMICO DELA VASCULATURA PULMONAR 2 Ref X-Ray Exp /
  • 3.
  • 4.
  • 5.
    10cm 5 Ref X-RayExp / Al llegar al lobulillo la rama de la arteria penetra con el bronquio y se divide como este en colaterales y terminales, cubren el alveolo como una malla de capilares
  • 6.
  • 7.
    10cm PATRÓN VASCULAR NORMAL Lavasculatura pulmonar sigue una distribución arbiriforme. Se debe ver del pulmón 1- 2 cm por dentro de la pleura Ambos hilios deben ser simetricos (el derecho más caudal) 7 Ref X-Ray Exp /
  • 8.
  • 9.
    10cm SIGNO DEL GEMELO Cada bronquiova acompañado de un vaso (generalmente corresponde a una arteria pulmonar). Ambos bronquio y arteria deben tener un calibre similar (signo del gemelo). 9 Ref X-Ray Exp /
  • 10.
    10cm PATRÓN DE REDISTRIBUCIÓN VASCULAR 10 RefX-Ray Exp / Consiste en una inversión de la relación normal entre los vasos apicales y basales, es decir, los vasos de los ápices son mayores o iguales que los de las bases pulmonares. (Congestión venosa pulmonar ocasionada o acompañada por sobrecarga y fallo de las cavidades cardiacas izquierdas)
  • 11.
    10cm 11 Ref X-RayExp / Cuando identifiquemos un patrón de redistribución vascular debemos hacer un diagnóstico diferencial de causas que provoquen hipertensión venosa pulmonar
  • 12.
  • 13.
    10cm Se identifica uncrecimiento de ambos hilios pulmonares, generalmente de manera simétrica, a expensas de las arterias pulmonares derecha e izquierda y de la arteria pulmonar principal. Habitualmente acompañado de disminución de calibre de los vasos pulmonares periféricos. 13 PATRÓN DE HIPERTENSIÓN ARTERIAL PULMONAR Ref X-Ray Exp /
  • 14.
  • 15.
    10cm Una medida arecordar para identificar el crecimiento de las arterias pulmonares en la radiografía simple PA es el diámetro de la arteria interlobar: por encima de 16-17 mm se considera que está dilatada 15 Ref X-Ray Exp /
  • 16.
    10cm 16 PATRÓN DEPLETORA PULMONAR Ref X-Ray Exp / Indica un aumento del flujo en la circulación pulmonar lo que provoca dilatación de los vasos pulmonares centrales y periféricos de manera bilateral y simétrica, frecuentemente acompañada de cardiomegalia a expensas del corazón derecho.
  • 17.
  • 18.
    10cm PATRÓN DE OLIGOHEMIAPULMONAR El pulmón oligohémico se caracteriza por una disminución del flujo a la circulación pulmonar. La trama vascular de ambos campos pulmonares aparece disminuida en calibre y en número tanto en los hilios como en la periferia. 18 Ref X-Ray Exp /
  • 19.
  • 20.
    10cm PATRÓN VASCULAR VICARIANTE 20 Ref X-RayExp / Consiste en la visualización de la circulación arterial bronquial en la radiografía simple de tórax, que en condiciones normales no se identifica.
  • 21.
    10cm 21 Ref X-RayExp / Patrón vicariante. Paciente con agenesia de la arteria y venas pulmonares derechas y secuestro pulmonar en lóbulo inferior derecho. A. Radiografía simple de tórax PA. El pulmón derecho está disminuido de volumen y en él se aprecia que su vasculatura no sigue una distribución centrífuga y arboriforme como en el pulmón contralateral. B. Detalle de la radiografía anterior. La vascularización pulmonar izquierda conforma una red desorganizada, correspondiente a circulación bronquial. C. Reconstrucción coronal en modo MIP con ventana de pulmón de TC con contraste iv. Se aprecia que la distribución de la vasculatura pulmonar izquierda no sigue UN patrón arboriforme como en el pulmón contralateral. D. Reconstrucción coronal en modo MIP con ventana de mediastino de TC con contraste iv. Se visualiza la arteria bronquial derecha y una rama de la aorta toraco-abdominal (puntas de flecha), la última responsable de la irrigación del secuestro pulmonar.
  • 22.
  • 23.
    10cm 23 Ref X-RayExp / Podemos encontrar varios patrones vasculares pulmonares patológicos en una misma radiografía de tórax.
  • 24.

Notas del editor

  • #3 La vasculatura pulmonar normal se compone de vasos pertenecientes a la circulación pulmonar y vasos de la circulación sistémica. La arteria pulmonar principal nace del ventrículo derecho y se divide en las arterias derecha e izquierda, cada arteria va ramificandose de modo que el arbol arterial corresponde con el arbol bronquial
  • #6 Al llegar al lobulillo la rama de la arteria penetra con el bronquio y se divide como este en colaterales y terminales, cubren el alveolo como una malla de capilares
  • #11 Ello incrementa las presiones venosas y capilares pulmonares, provocando estasis e ingurgitación vascular pulmonar, especialmente notoria en los vasos de los campos pulmonares superiores. Este fenómeno de redistribución vascular es evidente en la radiografía simple con presiones venosas pulmonares de 15-20 mmHg (presiones medidas en la aurícula izquierda) PAPM 13mmHg
  • #13 La insuficiencia cardiaca es la causa más frecuente de redistribución vascular, pero en los casos en que existe edema intersticial grave o edema de pulmón (presiones venosas en aurícula izquierda >25 mm Hg) es difícil identificar claramente el patrón de redistribución vascular.
  • #16 Este patrón vascular pulmonar traduce la presencia de hipertensión pulmonar arterial. La fisiopatología se explica por un incremento de la resistencia al flujo de sangre pulmonar, lo que provoca elevación de la presión arterial pulmonar (>25 mmHg en reposo) y consecuentemente acabará induciendo sobrecarga y fallo del corazón derecho con disminución del gasto cardíaco. Estos fenómenos explican el crecimiento de las arterias pulmonares centrales junto con una disminución del calibre y número de las arterias periféricas por vasoconstricción reactiva y/o disfunción de las mismas (se cree debido a la hipoxemia e hipoxia alveolar). Así mismo podemos encontrar signos que indiquen sobrecarga secundaria de las cavidades cardiacas derechas (cor pulmonale).
  • #18 El paciente de la Fig. 12 on page 35 con comunicación interauricular fue intervenido cerrándose la comunicación y reduciéndose el patrón de plétora pulmonar. En la Fig. 13 on page 36 vemos la radiografía antes y después de la intervención.
  • #20 Patrón de oligohemia unilateral. Paciente con síndrome de Swyer-JamesMcLeod en pulmón izquierdo. A. Radiografía simple de tórax PA del mismo paciente que en figura 15. B. Reconstrucción de TC con contraste iv en modo MIP y con ventana de pulmón del mismo paciente. Se aprecia la oligohemia del pulmón izquierdo así como un aneurisma de aorta ascendente. C. TC con contraste iv del mismo Página 22 de 47 paciente. Arteria pulmonar derecha normal (D). Aneurisma de aorta ascendente. D. TC con contraste iv del mismo paciente. Arteria pulmonar izquierda con calibre disminuido (I). El síndrome de Swyer-James-MaGLeod (1,2) o pulmón hiperclaro unilateral es una entidad poco frecuente, relacionada con bronquitis y bronquiolitis obliterante, adquiridas durante la infancia a partir de una infección
  • #21 Las causas de patrón vicariante son todas aquellas que disminuyan de manera importante el aflujo de sangre a los pulmones a través de las arterias pulmonares provocando quelas arterias bronquiales funcionen como colaterales causando su dilatación.