●
PROBABLE LINFOMA DE OJO DERECHO
• Raúl Rivas Rodríguez
• Dra Marzia Bezzerri Colonna
• Grupo 3641
• FACMED-UNAM
FICHA DE IDENTIFICACIÓN
– ASS Expediente: 189891
– Sexo: Femenino
– Edad: 76 años
– Originaria de Michoacán, reside en el DF
– Ocupación: Hogar
– Religión: Católica
– Estado civil: Viuda
– Escolaridad: Primaria incompleta
ANTECEDENTES
●
AHF
– Refiere hermano finado pero no conoce la causa.
●
APNP
– Alimentación: Leche 7/7, Carnes 6/7, Verduras 7/7.
– Higiene: refiere baño y cambio de ropa cada tercer día. Higiene
bucal diaria.
– Habitación: vive en casa propia, convive con 4 personas, cuenta
con todos los servicios. Convivencia con animales positiva (conejos,
aves y perros).
– Vacunas: refiere vacuna contra Influenza el año pasado.
ANTECEDENTES
●
AGO
– Menarca: no recuerda. Ciclo 28X3. IVSA 18 años. PS 2, G2, P2, C0,
A0. Anticonceptivos negados. Refiere Papanicolao 1 sola vez en su
vida.
●
APP
– HTA de un año de evolución. Tratada con Captopril 1 tableta al día.
– DM tipo I. Tratada con Glibenclamida 1 tableta diaria.
– Refire además tomar Aspirina, Vitamina B12.
– Transfuciones: Negados.
– Drogas: Negados
– Alcoholismo: positivo sin llegar a la embriaguez (pulque).
ANTECEDENTES
●
APP
– Cirugías:
●
Intervención por cataratas en OI hace 2 años.
●
Hace un año por luxación de lente intraocular OD, se le
realizó retiro de lente más implante de lente en cámara
anterior.
●
Histerectomía: a los 37 años.
●
Colecistectomía: hace 15 años.
●
Refiere hernias y otras intervenciones sin recordar causas.
●
Alergias: Negadas
●
Enfermedades propias de la infancia.
PADECIMIENTO ACTUAL
●
Paciente femenina, de 76 años de edad, que acude a consulta
externa de Oftalmología por referir que se le “hinchaba el ojo
derecho”. Cuenta con el antecedente de cirugía por cataratas hace
2 años en el ojo izquierdo y luego en el derecho el día 7 de febrero
de este año. Acude al servicio donde se constata una masa de
aproximadamente 1 cm en saco lagrimal derecho. Se le realiza
biopsia incisional de la glándula lagrimal derecha y se envía al
servicio de patología para su estudio.
EXPLORACIÓN FÍSICA
●
Signos Vitales:
– Pulso 78 lpm, Temperatura: 37.5 C, FR 16 rpm, FC 82 lpm, Peso 48
Kg, Talla 1.45 m, IMC 22 Kg/M2.
●
EF
– Paciente femenino de edad aparente igual a la cronológica,
consciente, orientada, activa, con adecuado estado de hidratación.
– Cráneo normocéfalo, sin presencia de endostosis o exostosis, con
implantación de cabello adecuada.
– Cara con presencia de sutura suprapalpebral del lado derecho, con
presencia de equímosis a nivel del cigomático derecho.
EXAMEN FÍSICO
– Ojos asimétricos
– Oídos con adecuada implantación, simétricos.
– Cuello cilíndrico, tráquea desplazable, sin presencia de
adenomegalias.
– Tórax normal, con movimientos de amplexación y amplexión normal,
campos pulmonares bien ventilados, ruidos cardíacos rítmicos, sin
presencia de soplos o ruidos anormales.
– Abdomen plano, no doloroso a la palpación, con presencia de
cicatrices por cirugías previas. El resto sin alteración.
– Extremidades sin alteraciones.
Laboratorios●
Fórmula Blanca
– Leucocitos 3.2x10³/uL 4.5 - 11.5
– Neutrófilos 73.7% 37.0 - 70.0
– Linfocitos 15.7% 18 - 42
– Monocitos 6.8% 1.00 - 6.0
●
Valores absolutos
– Linfocitos 0.5x10³/uL 1.50 - 3.90
●
Fórmula Roja
– Hematocrito 39.7% 45.0 - 55.0
– HCM 32.6 pg 27.0 – 32.0
– Plaquetas 80x10³/uL 150 - 450
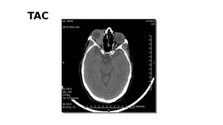
TAC
REPORTE TOMOGRÁFICO
●
Se encontró una masa intraconal en órbita derecha con
desplazamiento axial del globo ocular, con densidad similar a la de
los músculos extraoculares, captación de medio de contraste y
enmascaramiento parcial del nervio óptico. No se demostró
compromiso óseo ni intraocular aparente.
MACROSCOPÍA
●
Se toma biopsia y se envía al servicio de patología para su estudio.
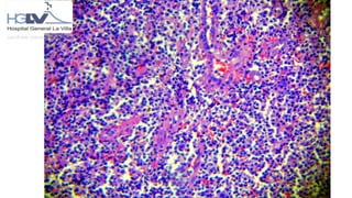
MICROSCOPÍA
HALLAZGOS MICROSCÓPICOS
●
REPORTE DEL SERVICIO DE PATOLOGÍA
●
IMAGEN HISTOLÓGICA COMPATIBLE CON PROLIFERACIÓN
NEOPLÁSICA LINFOIDE.
●
NOTA: ES INDISPENSABLE REALIZAR TÉCNICAS DE
INMUNOHISTOQUÍMICA PARA CONFIRMAR PROCESO NEOPLÁSICO.
●
LINFOMA DE ÓRBITA Y ANEXOS
OCULARES. CARACTERÍSTICAS CLÍNICAS
E HISTOPATOLÓGICAS.
INTRODUCCIÓN
●
Los linfomas primarios de ojo y anexos oculares son raros,
representan 1.5% de los linfomas no Hodgkin; afectan a cualquier
edad, con predominio en mujeres mayores de 50 años.
●
Los linfomas primarios de ojo, glándulas lagrimales y órbita,
comprenden un grupo heterogéneo de distintos tipos histológicos
de esta neoplasia maligna, desde los constituidos por células
linfoides pequeñas y maduras, hasta los linfomas agresivos, como el
de Burkitt.
●
El ojo humano y sus anexos están en contacto con el medio
ambiente, por lo que están constituidos por tejido linfoide similar o
idéntico al asociado a mucosas de otros órganos.
●
En estos sitios predomina el linfoma B de la zona marginal tipo
MALT, estos se pueden asociar con infiltrado linfoide secundario a
enfermedades alérgicas como la conjuntivitis folicular o a
enfermedades autoinmunes, como el síndrome de Sjögren en las
glándulas lagrimales.
●
Los de la zona marginal tipo MALT presentan evolución clínica
indolente, con presencia de tumor pequeño en conjuntiva o
párpados, bilateralidad y tiempo de evolución de meses, con
enfermedad localizada.
●
Pueden presentar signos y síntomas de proptosis, a veces dolorosa,
diplopía, conjuntivitis y ptosis palpebral. Los sitios más frecuentes
de estos linfomas son: conjuntiva (63%), tejidos infraorbitarios
(58%), aparato lagrimal (28%) y músculos extra-oculares (13%).
●
Puede presentarse la afección a otro sitio extranodal con el mismo
tipo histológico, como puede ser: pulmón, tiroides, estómago,
glándula salival entre otros.
●
Los linfomas de órbita difusos de células grandes, presentan dolor
con exoftalmos o paresia del músculo oculomotor.
●
En linfoma de Burkitt, la afección puede ser bilateral, con exoftalmos
y evolución clínica fulminante.
●
Los linfomas de conjuntiva se presentan como pequeños nódulos
rosados en la conjuntiva epibulbar y muy frecuentemente van
precedidas de conjuntivitis crónica.
●
Los linfomas del párpado pueden presentarse en forma de nódulos
blandos por debajo de la epidermis, los cuales pueden ser de color
rojo y en ocasiones pueden ulcerarse cuando el tiempo de evolución
es largo.
●
Si se afecta la glándula lagrimal, puede aumentar de tamaño y hay
ausencia de lágrima. Cuando se afecta la órbita, hay aumento de
volumen o presencia de masa tumoral en los tejidos blandos.
HISTOLOGICAMENTE
●
Infiltrado linfoide difuso, situado por debajo del epitelio o
epidermis, el infiltrado linfoide está constituido por células
pequeñas tipo centrocito, nidos de células monocitoides,
centroblastos y muchas células plasmáticas. Se observan folículos
con centros germinales o con colonización de los mismos. La lesión
linfoepitelial no se observa en glándula lagrimal pero puede estar
presente en el epitelio ductal.
●
Linfoma B de la zona marginal, con inmunohistoquímica se observan células
linfoides positivas a CD20 y las citoqueratinas muestran resto de epitelio, en lesión
linfoepitelial de linfoma B tipo MALT. (Inmunoperoxidasa a) CD 20. B: Citoqueratina
200x.
•El linfoma B de la zona
marginal se presenta
como lesión
asalmonada en
conjuntiva.
Tipo Histológico Características Morfológicas
Linfoma B de la zona marginal tipo MALT Lesión linfoepitelial, linfocitos tipo centrocito, células
plasmáticas, monoclonales, colonización de células
grandes, centroblastos. Marcadores positivos en
células neoplásicas: CD20 Bcl2, Kappa/lambda (+/-)
citoqueratina.
Linfoma B difuso de células grandes Patrón difuso/nodular de crecimiento, célula grande
centroblasto, inmunoblasto
Marcadores: CD20,bcl2,bcl6, CD 10, Mum-1
Linfoma de Burkitt Células medianas/grandes, monótonas, patrón en cielo
estrellado, mitosis frecuen tes. Marcadores: CD
20,CD10,Ki 67, Eber+
●
Aspecto macroscópico de linfoma B difuso de células
grandes de órbita. El globo ocular está deformado por el
crecimiento invasivo de toda la cavidad orbitaria
Linfoma difuso de células grandes. Histológicamente las células
son grandes, de citoplasma basófilo que recuerdan centroblastos
(H-E 200x).
Linfoma de Burkitt. Constituido por células medianas, de escaso
citoplasma y macrófagos con cuerpos teñibles, dando el aspecto
característico de imagen en “cielo estrellado”
Linfoma orbitario: reporte de un caso. María Elisa Pizarro-Barrera, Sonia Corredor-Casas, Guillermo
Salcedo-Casillas, Abelardo Rodríguez-Reyes. Rev Mex Oftalmol; Marzo-Abril 2006; 80(2):89-92.
Primary lymphomas of the eye and ocular adnexa. Clinical and histopathological characteristics.
Mónica B. Romero-Guadarrama, Guadalupe Tenorio, Silvia Guevara-Espino. Linfomas de órbita y
anexos oculares; características clínicas e histopatológicas.
Experiencia de 10 años en linfomas oculares y de anexos oculares. Rocío Caballero-Caballero,
E.Gabriela Hernández-River y Joseph X. López-Karpovitch.
LINFOMAS DE LA ORBITA Y ANEXOS OCULARES. CORRELACION CLINICO PATOLOGICA DE 25
CASOS. ERICA A. ROJAS BILBAO, MARTINA NESPRIAS, CARLA PULERO, LILIANA GIMENEZ,
MARTA ZERGA2, ANA MARIA CHIRIFE. MEDICINA (Buenos Aires) 2010; 70: 333-338.
Bibliografía:

Probable linfoma ocular. Presentación de un caso.

  • 1.
    ● PROBABLE LINFOMA DEOJO DERECHO • Raúl Rivas Rodríguez • Dra Marzia Bezzerri Colonna • Grupo 3641 • FACMED-UNAM
  • 2.
    FICHA DE IDENTIFICACIÓN –ASS Expediente: 189891 – Sexo: Femenino – Edad: 76 años – Originaria de Michoacán, reside en el DF – Ocupación: Hogar – Religión: Católica – Estado civil: Viuda – Escolaridad: Primaria incompleta
  • 3.
    ANTECEDENTES ● AHF – Refiere hermanofinado pero no conoce la causa. ● APNP – Alimentación: Leche 7/7, Carnes 6/7, Verduras 7/7. – Higiene: refiere baño y cambio de ropa cada tercer día. Higiene bucal diaria. – Habitación: vive en casa propia, convive con 4 personas, cuenta con todos los servicios. Convivencia con animales positiva (conejos, aves y perros). – Vacunas: refiere vacuna contra Influenza el año pasado.
  • 4.
    ANTECEDENTES ● AGO – Menarca: norecuerda. Ciclo 28X3. IVSA 18 años. PS 2, G2, P2, C0, A0. Anticonceptivos negados. Refiere Papanicolao 1 sola vez en su vida. ● APP – HTA de un año de evolución. Tratada con Captopril 1 tableta al día. – DM tipo I. Tratada con Glibenclamida 1 tableta diaria. – Refire además tomar Aspirina, Vitamina B12. – Transfuciones: Negados. – Drogas: Negados – Alcoholismo: positivo sin llegar a la embriaguez (pulque).
  • 5.
    ANTECEDENTES ● APP – Cirugías: ● Intervención porcataratas en OI hace 2 años. ● Hace un año por luxación de lente intraocular OD, se le realizó retiro de lente más implante de lente en cámara anterior. ● Histerectomía: a los 37 años. ● Colecistectomía: hace 15 años. ● Refiere hernias y otras intervenciones sin recordar causas. ● Alergias: Negadas ● Enfermedades propias de la infancia.
  • 6.
    PADECIMIENTO ACTUAL ● Paciente femenina,de 76 años de edad, que acude a consulta externa de Oftalmología por referir que se le “hinchaba el ojo derecho”. Cuenta con el antecedente de cirugía por cataratas hace 2 años en el ojo izquierdo y luego en el derecho el día 7 de febrero de este año. Acude al servicio donde se constata una masa de aproximadamente 1 cm en saco lagrimal derecho. Se le realiza biopsia incisional de la glándula lagrimal derecha y se envía al servicio de patología para su estudio.
  • 7.
    EXPLORACIÓN FÍSICA ● Signos Vitales: –Pulso 78 lpm, Temperatura: 37.5 C, FR 16 rpm, FC 82 lpm, Peso 48 Kg, Talla 1.45 m, IMC 22 Kg/M2. ● EF – Paciente femenino de edad aparente igual a la cronológica, consciente, orientada, activa, con adecuado estado de hidratación. – Cráneo normocéfalo, sin presencia de endostosis o exostosis, con implantación de cabello adecuada. – Cara con presencia de sutura suprapalpebral del lado derecho, con presencia de equímosis a nivel del cigomático derecho.
  • 8.
    EXAMEN FÍSICO – Ojosasimétricos – Oídos con adecuada implantación, simétricos. – Cuello cilíndrico, tráquea desplazable, sin presencia de adenomegalias. – Tórax normal, con movimientos de amplexación y amplexión normal, campos pulmonares bien ventilados, ruidos cardíacos rítmicos, sin presencia de soplos o ruidos anormales. – Abdomen plano, no doloroso a la palpación, con presencia de cicatrices por cirugías previas. El resto sin alteración. – Extremidades sin alteraciones.
  • 10.
    Laboratorios● Fórmula Blanca – Leucocitos3.2x10³/uL 4.5 - 11.5 – Neutrófilos 73.7% 37.0 - 70.0 – Linfocitos 15.7% 18 - 42 – Monocitos 6.8% 1.00 - 6.0 ● Valores absolutos – Linfocitos 0.5x10³/uL 1.50 - 3.90 ● Fórmula Roja – Hematocrito 39.7% 45.0 - 55.0 – HCM 32.6 pg 27.0 – 32.0 – Plaquetas 80x10³/uL 150 - 450
  • 11.
  • 12.
    REPORTE TOMOGRÁFICO ● Se encontróuna masa intraconal en órbita derecha con desplazamiento axial del globo ocular, con densidad similar a la de los músculos extraoculares, captación de medio de contraste y enmascaramiento parcial del nervio óptico. No se demostró compromiso óseo ni intraocular aparente.
  • 13.
    MACROSCOPÍA ● Se toma biopsiay se envía al servicio de patología para su estudio.
  • 14.
  • 18.
    HALLAZGOS MICROSCÓPICOS ● REPORTE DELSERVICIO DE PATOLOGÍA ● IMAGEN HISTOLÓGICA COMPATIBLE CON PROLIFERACIÓN NEOPLÁSICA LINFOIDE. ● NOTA: ES INDISPENSABLE REALIZAR TÉCNICAS DE INMUNOHISTOQUÍMICA PARA CONFIRMAR PROCESO NEOPLÁSICO.
  • 19.
    ● LINFOMA DE ÓRBITAY ANEXOS OCULARES. CARACTERÍSTICAS CLÍNICAS E HISTOPATOLÓGICAS.
  • 20.
    INTRODUCCIÓN ● Los linfomas primariosde ojo y anexos oculares son raros, representan 1.5% de los linfomas no Hodgkin; afectan a cualquier edad, con predominio en mujeres mayores de 50 años. ● Los linfomas primarios de ojo, glándulas lagrimales y órbita, comprenden un grupo heterogéneo de distintos tipos histológicos de esta neoplasia maligna, desde los constituidos por células linfoides pequeñas y maduras, hasta los linfomas agresivos, como el de Burkitt.
  • 21.
    ● El ojo humanoy sus anexos están en contacto con el medio ambiente, por lo que están constituidos por tejido linfoide similar o idéntico al asociado a mucosas de otros órganos. ● En estos sitios predomina el linfoma B de la zona marginal tipo MALT, estos se pueden asociar con infiltrado linfoide secundario a enfermedades alérgicas como la conjuntivitis folicular o a enfermedades autoinmunes, como el síndrome de Sjögren en las glándulas lagrimales.
  • 22.
    ● Los de lazona marginal tipo MALT presentan evolución clínica indolente, con presencia de tumor pequeño en conjuntiva o párpados, bilateralidad y tiempo de evolución de meses, con enfermedad localizada. ● Pueden presentar signos y síntomas de proptosis, a veces dolorosa, diplopía, conjuntivitis y ptosis palpebral. Los sitios más frecuentes de estos linfomas son: conjuntiva (63%), tejidos infraorbitarios (58%), aparato lagrimal (28%) y músculos extra-oculares (13%). ● Puede presentarse la afección a otro sitio extranodal con el mismo tipo histológico, como puede ser: pulmón, tiroides, estómago, glándula salival entre otros.
  • 23.
    ● Los linfomas deórbita difusos de células grandes, presentan dolor con exoftalmos o paresia del músculo oculomotor. ● En linfoma de Burkitt, la afección puede ser bilateral, con exoftalmos y evolución clínica fulminante. ● Los linfomas de conjuntiva se presentan como pequeños nódulos rosados en la conjuntiva epibulbar y muy frecuentemente van precedidas de conjuntivitis crónica. ● Los linfomas del párpado pueden presentarse en forma de nódulos blandos por debajo de la epidermis, los cuales pueden ser de color rojo y en ocasiones pueden ulcerarse cuando el tiempo de evolución es largo. ● Si se afecta la glándula lagrimal, puede aumentar de tamaño y hay ausencia de lágrima. Cuando se afecta la órbita, hay aumento de volumen o presencia de masa tumoral en los tejidos blandos.
  • 24.
    HISTOLOGICAMENTE ● Infiltrado linfoide difuso,situado por debajo del epitelio o epidermis, el infiltrado linfoide está constituido por células pequeñas tipo centrocito, nidos de células monocitoides, centroblastos y muchas células plasmáticas. Se observan folículos con centros germinales o con colonización de los mismos. La lesión linfoepitelial no se observa en glándula lagrimal pero puede estar presente en el epitelio ductal.
  • 25.
    ● Linfoma B dela zona marginal, con inmunohistoquímica se observan células linfoides positivas a CD20 y las citoqueratinas muestran resto de epitelio, en lesión linfoepitelial de linfoma B tipo MALT. (Inmunoperoxidasa a) CD 20. B: Citoqueratina 200x.
  • 26.
    •El linfoma Bde la zona marginal se presenta como lesión asalmonada en conjuntiva.
  • 27.
    Tipo Histológico CaracterísticasMorfológicas Linfoma B de la zona marginal tipo MALT Lesión linfoepitelial, linfocitos tipo centrocito, células plasmáticas, monoclonales, colonización de células grandes, centroblastos. Marcadores positivos en células neoplásicas: CD20 Bcl2, Kappa/lambda (+/-) citoqueratina. Linfoma B difuso de células grandes Patrón difuso/nodular de crecimiento, célula grande centroblasto, inmunoblasto Marcadores: CD20,bcl2,bcl6, CD 10, Mum-1 Linfoma de Burkitt Células medianas/grandes, monótonas, patrón en cielo estrellado, mitosis frecuen tes. Marcadores: CD 20,CD10,Ki 67, Eber+
  • 28.
    ● Aspecto macroscópico delinfoma B difuso de células grandes de órbita. El globo ocular está deformado por el crecimiento invasivo de toda la cavidad orbitaria
  • 29.
    Linfoma difuso decélulas grandes. Histológicamente las células son grandes, de citoplasma basófilo que recuerdan centroblastos (H-E 200x).
  • 30.
    Linfoma de Burkitt.Constituido por células medianas, de escaso citoplasma y macrófagos con cuerpos teñibles, dando el aspecto característico de imagen en “cielo estrellado”
  • 31.
    Linfoma orbitario: reportede un caso. María Elisa Pizarro-Barrera, Sonia Corredor-Casas, Guillermo Salcedo-Casillas, Abelardo Rodríguez-Reyes. Rev Mex Oftalmol; Marzo-Abril 2006; 80(2):89-92. Primary lymphomas of the eye and ocular adnexa. Clinical and histopathological characteristics. Mónica B. Romero-Guadarrama, Guadalupe Tenorio, Silvia Guevara-Espino. Linfomas de órbita y anexos oculares; características clínicas e histopatológicas. Experiencia de 10 años en linfomas oculares y de anexos oculares. Rocío Caballero-Caballero, E.Gabriela Hernández-River y Joseph X. López-Karpovitch. LINFOMAS DE LA ORBITA Y ANEXOS OCULARES. CORRELACION CLINICO PATOLOGICA DE 25 CASOS. ERICA A. ROJAS BILBAO, MARTINA NESPRIAS, CARLA PULERO, LILIANA GIMENEZ, MARTA ZERGA2, ANA MARIA CHIRIFE. MEDICINA (Buenos Aires) 2010; 70: 333-338. Bibliografía: