PROTOCOLO
GINGIVECTOMIA
ANDREA LEIVA
PERIODONCIA II
DR. DAVID HERNANDEZ
GINGIVECTOMIA
 Es la remocion escisional del tejido para la
reduccion o eliminacion del saco.
INDICACIONES
 Surcos supraoseos
 Adecuada zona de tejido queratinizado
 Surcos mayores a 3mm
 cuando la reabsorcion osea es horizontal y no hay
necesidad de cirugia osea
 Alargamiento gingival
 Areas de acceso limitado
 Para facilitar odontologia restauradora
CONTRAINDICACIONES
 Una zona inadecuada de tejido queratinizado
 Sacos que se extiendan mas alla de la union
mucogingival
 Necesidad de reseccion osea o tecnicas
inductivas
 Tejido altamente inflamado y edematoso
 Areas comprometidas esteticamente
 Boveda palatina superficial y crestas oblicuas
externas prominentes
 Pacientes con pobre higiene bucal
VENTAJAS
 Previsibilidad
 Simplicidad
 Facil eliminacion de los sacos
 Buen acceso
 Resultados esteticos favorables
DESVENTAJAS
 Cicatrizacion por segunda intencion
 Sangrado postoperatorio
 Perdida de encia queratinizada
 Incapacidad de tratar deformidades oseas
subyacentes
FASE PREQUIRURGICA
 La preparacion prequirurgica es llevada para
reducir la gruesa inflamacion y remover los
factores locales (calculo , placa, o restauraciones
sobreextendidas)
 Luego de la cicatrizacion inicial , la zona de tejido
adherido puede ser apropiadamente accesada .
 Usar vasoconstrictor para el control de la
hemorragia.
INCISIONES
 Las incisiones pueden ser continuas o discontinuas
 Ambas incisiones comienzan en el diente final y se
continuan alrededor hasta que la incision haya sido
completada.
 La hojilla es tomada de tal manera que la incision es lo
mas cercana posible al hueso para remocion total del
saco y la elaboracion de un bisel en el tejido de 45°
 La hojilla debera pasar completamente a traves del
tejido hacia el diente.
 Es usada una hojilla de Orban o Kirkland para
liberar el tejido interproximal.
 Es colocada interdentalmente con un angulo de
45° en ambos vestibular y palatino hasta que el
tejido haya sido liberado.
 Una vez el tejido es removido usando una azada
o un tartrectomo pesado ; ahora se usaran
pequeños tartrectomos y curetas para la
tartrectomia y alisado y raspado radicular , para
remover el tejido de granulacion residual , calculo
y cemento suavizado.
INSTRUMENTAL
 1x4
 Sonda PUNC 15
 Jeringa para anestesia
 Mango de bisturí #3
 Hoja 12 y 15c
 Suero fisiológico
 Contenedor esteril para suero
 Canúla eyector
 Jeringa 20 ml
 Tijeras para encía
 Hopkins P1
 Hirschfield P20
 Prichard
 Lima de Sugerman
 Pieza de alta
 Pieza de baja
 Fresas de bola y fisura
 Portaagujas
 Tijeras para sutura
 Sutura seda 4-0
DATOS GENERALES
 NOMBRE:
 EDAD: 21años
 SEXO: femenino
 OCUPACION:
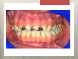
IMÁGENES INTRAORALES
PROCEDIMIENTO
1) Anestesia infiltrativa correcta de la zona a intervenir.
2) Determinar la profundidad de las bolsas,
localizar UCE y marcar puntos
sangrantes.
3) Primera incisión. Bisel interno
● Es la incisión “base” pues a
partir de esta se logra separar
un colgajo periodontal para
exponer el hueso subyacente y
la raíz.
OBJETIVOS DE INCISIÓN A BISEL INTERNO:
● Eliminar el revestimiento de la bolsa.
● Conservar la superficie externa de la
encía.
● Producir un margen del colgajo
agudo y delgado para la adaptación a
la unión hueso-diente.
INDICACIONES DE INCISIÓN A
BISEL INTERNO:
● Cuando existe espacio suficiente entre
la cresta ósea y el límite
amelocementario (2mm).
-Sondeo a hueso.
● Cuando existe una banda de encía
queratinizada lo suficientemente ancha
(para mantener la posición de la encía
después de la intervención)
CONTRAINDICACIONES DE
INCISIÓN A BISEL INTERNO:
 Cuando no existe suficiente
encía queratinizada.
 Cuando las bolsas se
extienden más allá de la línea
mucogingival.
COMO REALIZAR UNA INCISIÓN
A BISEL INTERNO:
● Bisturi Bard Parker hoja 12 B o 15.
● Orientar el bisturí casi paralelo al
eje del diente.
● La incisión se dirige hacia la cresta
alveolar.
● Para una adaptación adecuada, se
puede extender la incisión 2-3 mm en
dirección apical a la cresta alveolar.
4) Segunda incisión: (Incisión intrasurcal/ crevicular)
5) Tercera incisión: ( Interdental)
6) Eliminar cuello gingival.
7) Posible eliminación ósea.
7) Reacomodo del colgajo y sutura.
 9) Aplicación de apósito quirúrgico.
GINGIVECTOMÍA A BISEL INTERNO
INDICACIONES
POSTOPERATORIAS
 Dieta blanda.
 Enjuagues con gluconato de clorhexidina al
0.12%, 30 segundos 2 veces al día.
 Cita 4 a 7 días después de la intervención

Protocolo gingivectomia

  • 1.
  • 2.
    GINGIVECTOMIA  Es laremocion escisional del tejido para la reduccion o eliminacion del saco.
  • 3.
    INDICACIONES  Surcos supraoseos Adecuada zona de tejido queratinizado  Surcos mayores a 3mm  cuando la reabsorcion osea es horizontal y no hay necesidad de cirugia osea  Alargamiento gingival  Areas de acceso limitado  Para facilitar odontologia restauradora
  • 4.
    CONTRAINDICACIONES  Una zonainadecuada de tejido queratinizado  Sacos que se extiendan mas alla de la union mucogingival  Necesidad de reseccion osea o tecnicas inductivas  Tejido altamente inflamado y edematoso  Areas comprometidas esteticamente  Boveda palatina superficial y crestas oblicuas externas prominentes  Pacientes con pobre higiene bucal
  • 5.
    VENTAJAS  Previsibilidad  Simplicidad Facil eliminacion de los sacos  Buen acceso  Resultados esteticos favorables
  • 6.
    DESVENTAJAS  Cicatrizacion porsegunda intencion  Sangrado postoperatorio  Perdida de encia queratinizada  Incapacidad de tratar deformidades oseas subyacentes
  • 7.
    FASE PREQUIRURGICA  Lapreparacion prequirurgica es llevada para reducir la gruesa inflamacion y remover los factores locales (calculo , placa, o restauraciones sobreextendidas)  Luego de la cicatrizacion inicial , la zona de tejido adherido puede ser apropiadamente accesada .  Usar vasoconstrictor para el control de la hemorragia.
  • 8.
    INCISIONES  Las incisionespueden ser continuas o discontinuas  Ambas incisiones comienzan en el diente final y se continuan alrededor hasta que la incision haya sido completada.  La hojilla es tomada de tal manera que la incision es lo mas cercana posible al hueso para remocion total del saco y la elaboracion de un bisel en el tejido de 45°  La hojilla debera pasar completamente a traves del tejido hacia el diente.
  • 9.
     Es usadauna hojilla de Orban o Kirkland para liberar el tejido interproximal.  Es colocada interdentalmente con un angulo de 45° en ambos vestibular y palatino hasta que el tejido haya sido liberado.  Una vez el tejido es removido usando una azada o un tartrectomo pesado ; ahora se usaran pequeños tartrectomos y curetas para la tartrectomia y alisado y raspado radicular , para remover el tejido de granulacion residual , calculo y cemento suavizado.
  • 10.
    INSTRUMENTAL  1x4  SondaPUNC 15  Jeringa para anestesia  Mango de bisturí #3  Hoja 12 y 15c  Suero fisiológico  Contenedor esteril para suero  Canúla eyector  Jeringa 20 ml  Tijeras para encía  Hopkins P1  Hirschfield P20  Prichard  Lima de Sugerman  Pieza de alta  Pieza de baja  Fresas de bola y fisura  Portaagujas  Tijeras para sutura  Sutura seda 4-0
  • 11.
    DATOS GENERALES  NOMBRE: EDAD: 21años  SEXO: femenino  OCUPACION:
  • 12.
  • 14.
    PROCEDIMIENTO 1) Anestesia infiltrativacorrecta de la zona a intervenir.
  • 15.
    2) Determinar laprofundidad de las bolsas, localizar UCE y marcar puntos sangrantes.
  • 16.
    3) Primera incisión.Bisel interno ● Es la incisión “base” pues a partir de esta se logra separar un colgajo periodontal para exponer el hueso subyacente y la raíz.
  • 17.
    OBJETIVOS DE INCISIÓNA BISEL INTERNO: ● Eliminar el revestimiento de la bolsa. ● Conservar la superficie externa de la encía. ● Producir un margen del colgajo agudo y delgado para la adaptación a la unión hueso-diente.
  • 18.
    INDICACIONES DE INCISIÓNA BISEL INTERNO: ● Cuando existe espacio suficiente entre la cresta ósea y el límite amelocementario (2mm). -Sondeo a hueso. ● Cuando existe una banda de encía queratinizada lo suficientemente ancha (para mantener la posición de la encía después de la intervención)
  • 19.
    CONTRAINDICACIONES DE INCISIÓN ABISEL INTERNO:  Cuando no existe suficiente encía queratinizada.  Cuando las bolsas se extienden más allá de la línea mucogingival.
  • 20.
    COMO REALIZAR UNAINCISIÓN A BISEL INTERNO: ● Bisturi Bard Parker hoja 12 B o 15. ● Orientar el bisturí casi paralelo al eje del diente. ● La incisión se dirige hacia la cresta alveolar. ● Para una adaptación adecuada, se puede extender la incisión 2-3 mm en dirección apical a la cresta alveolar.
  • 21.
    4) Segunda incisión:(Incisión intrasurcal/ crevicular)
  • 22.
    5) Tercera incisión:( Interdental)
  • 23.
  • 24.
  • 25.
    7) Reacomodo delcolgajo y sutura.
  • 26.
     9) Aplicaciónde apósito quirúrgico.
  • 27.
  • 28.
    INDICACIONES POSTOPERATORIAS  Dieta blanda. Enjuagues con gluconato de clorhexidina al 0.12%, 30 segundos 2 veces al día.  Cita 4 a 7 días después de la intervención