RINOSINUSITIS
DEFINICIÓN
 Inflamación de las fosas nasales y de los senos paranasales.
Manifestaciones clínicas:
 Congestión o secreción nasal
 Dolor facial/ presión
 Reducción o pérdida del olfato
Y cualquiera de los siguientes:
 Pólipos nasales
 Secreción mucopurulenta
 Edema
 Cambios TAC en la mucosa nasal
ETIOPATOGENIA
MICROORGANISMOS
ASOCIADOS
Virus
 Rinovirus
 Virus influenza
 Virus parainfluenza
 Adenovirus
Bacterias
 S. pneumoniae
 H. influenzae
Inmunodeprimidos: S. aureus,
bacilos gramnegativos y hongos
SIDA Avanzado: S. aureus y
Pseudomonas aeruginosa
Neoplasias: hongos del género
Aspergillus
CLASIFICACIÓN
 Severidad:
 Leve 0-3
 Moderada >3-7
 Grave >7-10
>5 afección CV
 Duración:
Agudas
- Clínica <12 semanas de evolución
- Resolución completa de los síntomas.
Crónicas
- Clínica >12 semanas de los síntomas
- -Sin resolución completa de los síntomas
RINOSINUSITIS AGUDA
 Inicio súbito
-Congestión nasal / secreción nasal
- dolor/sensación de presión Facial,
- Perdida total o parcial del sentido del olfato.
 Duración < 12 semanas
 Numerosos episodios en un periodo de tiempo pero con
remisión completa
Para un buen tratamiento es importante diferenciar:
 Rinosinusitis Viral aguda (resfriado común)
 Rinosinusitis no viral Aguda (post. Viral)
 Bacteriana:
RINOSINUSITIS CRÓNICA
 Cuadro clínico mayor a 12 semanas.
Multifactorial:
- trastornos mucociliares
- procesos infecciosos (bacterianos)
- cuadros alérgicos
- estados inflamatorios de la mucosa de otras etiologías,
- obstrucciones físicas (raras ocaciones)
 Manifestaciones Clínicas:
 Faringitis laringitis
 Irritación tráquea : Dolor de garganta, disfonía y tos
 Síntomas generales: Somnolencia, malestar general y
 fiebre.
 Clasificación rinosinusitis Crónica
 rinosinusitis Crónica SIN pólipos
 rinosinusitis Crónica CON pólipos
RINOSINUSITIS CRÓNICA SIN
PÓLIPOS
 Definición: problemas sinusales durante mas de tres meses en un
año.
 Factores asociados a la RSC sin poliposis nasal
 Alergia:
 Estados de inmunodepresión
 Factores genéticos
 Embarazo y estado endocrinológico
 Microorganismos: Bacterias
RINOSINUSITIS CRÓNICA CON
PÓLIPOS
 La edad media de inicio del cuadro (42 años)
 mayor frecuencia en varones que en mujeres
 La prevalencia de PN es mayor en pacientes asmáticos.
 Factores asociados a la RSC con poliposis nasal
 Asma:
 Intolerancia al ácido acetilsalicílico:
 Predisposición genética:
 -Factores Ambientales:
DIAGNÓSTICO
 Evaluación de los síntomas de la rinosinusitis Locales y
generales
- Intensidad, duración, efectos sobre la CV.
 Exploración Física
 Descartar problemas: problemas anatómicos, condiciones
genéticas, alergias, etc.
 Exámenes complementarios:
RINOSINUSITIS EN LA
INFANCIA
Es una enfermedad multifactorial
Síntomas iniciales:
Rinorrea (71% a 80%)
Tos y fiebre (50% a 80%)
Dolor (29% a 33%)
Obstrucción nasal (70% a 100%)
Respiración bucal (70% a 100%)
Problemas oticos (40% a 68%)
RINOSINUSITIS EN LA INFANCIA
Cuadros clínicos frecuentes :
1. signos y síntomas de un resfriado común más de 10 días
2. un resfriado que parezca más grave de lo normal
3. un resfriado que empeore después de haber mejorado durante
varios días
Exploración clínica
 eritema en la mucosa nasal y faríngea
 rinorrea purulenta de un color amarillo a verdoso y de viscosidad variable.
 hiperplasia linfoidea de las amígdalas
 ganglios linfáticos cervicales pueden estar moderadamente aumentados
Diagnostico diferencial en
niños
 Cuerpos extraños intranasal
 Estenosis de coanas unilateral
 Rinitis aguda
 Adenitis
Diferencias entre la rinosinusitis crónica
en niños y en adultos
Nios de corta edad adultos
Microflora comensal
Staphylococco coagulasa (-) 30% 35%
Staphylococcus aureus 20% 8%
Haemophilus influenzae 40% 0%
Moraxella catarrhalis 24% 0%
Streptococcus pneumoniae 50% 26%
Corynebacterium spp. 52% 23%
Streptococcus viridans 30% 4%
Inmunidad Inmadura: respuesta
incompleta a los
antígenos de los
polisacáridos
(IgG2, IgA)
Madura, excepto
en
un subgrupo
Histología Predominancia de
formas neutrofílicas,
menor engrosamiento
de la membrana basal
y grado de hiperplasia
glandular, más
mastocitos
(Sobo, 2003)
Predominancia de
formas eosinofílicas
Endoscopia Los pólipos son
raros, excepto en la
fibrosis quística
Suelen observarse
pólipos
TC En los niños más
pequeños la sinusitis
es más difusa y afecta
a todos los senos
Con frecuencia
están afectados los
senos esfenoideos y
posteriores
TRATAMIENTO EN NIÑOS
 RINOSINUSITIS AGUDA EN NIÑOS:
 ANTIBIOTICOS.
amoxicilina a dosis de 45 mg/kg/día
Penicilina /o azitromicina o claritromicina
 CORTICOIDES TÓPICOS NASALES
 DESCONGESTIONANTE TOPICOS NASALES U ORALES
 IRRIGACIONES NASALES
TRATAMIENTO EN NIÑOS
 RINOSINUSITIS CRONICA EN NIÑOS:
 IRRIGACIONES NASALES CON SSH
 CORTICOESTEOIDES TOPICOS ( en caso de asma)
 CIRUGIA (CENS pediátrica)
TRATAMIENTO EN ADULTOS
 Los corticosteroides intranasales en monoterapia o en terapia
adyuvante a los antibióticos orales son eficaces.
 MOMETASONA 200 mg dos veces al día .
Tratamiento antibiótico en aquellos con:
 Fiebre alta o severa
 Dolor facial
Tratamiento con antibióticos
Rinosinusitis Aguda
 amoxicilina 1gr. cada 12 horas por 10 días, (menos en los
últimas 4 a 6 semanas con el fármaco).
 amoxicilina con ácido clavulanico
 quinolina (levofloxacino 500 mg cada 24 horas) ó
(moxifloxacino 400 mg cada 24 horas) por 10 días.
Tratamiento quirurgico de la rinosinusitis
Tratamiento con Antibioticos
Rinitis Crónica
 Uso de los lavados nasales con soluciones salinas
 corticoides nasales
 Macrólidos
 Agregar un tratamiento antibiótico de segunda línea, como
la amoxicilina con ácido clavulánico o una Quinolona por 14
días.
 derivación ( síntomas son moderados , severos ó si el
paciente no respondió a tratamiento.
Tratamiento quirurgico de la
rinosinusitis
indicaciones absolutas:
 1. obstruccion nasal completa debida a una poliposis
masiva o una medializacion de la pared nasal lateral en
pacientes con FQ;
 2. absceso orbitario;
 3. complicaciones intracraneales;
 4. polipos antrocoanales;
 5. mucoceles o mucopioceles;
 6. rinosinusitis micotica;
Efectos secundarios de corticosteroides
locales en
rinosinusitis cronica sin pólipos nasales
 Epistaxis
 Sequedad nasal
 Ardor nasal
 Irritación nasal
CORTICOESTEROIDES
SISTEMICOS EN RINOSINUSITIS
CRONICA SIN POLIPOS
 Hay datos limitados que muestra la eficacia de los
corticosteroides orales de datos limitados en la rinosinusitis
crónica sin pólipos nasales.
 Los corticosteroides sistémicos en combinación con
antibióticos y corticoesteroides intranasales muestran una
mejora subjetiva y objetiva.
EFECTOS SECUNDARIOS DEL USO
DE CORTICOESTEROIDES
SISTEMICOS EN RINOSINUSITIS
CRONICA SIN POLIPOS NASALES
 El perfil de efectos secundarios del uso de corticosteroides
sistémicos es probable que sea similar entre rinosinusitis
crónica sin pólipos nasales y con pólipos nasales
COMPLICACIONES DE LA
RINOSINUSITIS CRÓNICA
 Formación mucocele
 Osteítis
 Erosión ósea y la expansión
 La formación de hueso metaplásico
 La neuropatía óptica
COMPLICACIONES DE LA
RINOSINUSITIS CRÓNICA
Mucocele
Saco revestido de epitelio.
Llena completamente el seno paranasal.
La patogénesis se asocia con obstrucción del
flujo de salida del seno.
COMPLICACIONES DE LA
RINOSINUSITIS CRÓNICA
Mucocele
Se presenta entre los 22 meses a los 23 años.
Crecimiento lento.
Mayor frecuencia en la región fronto-etmoidal
(86%).
Síntomas y signos orbitales.
COMPLICACIONES DE LA
RINOSINUSITIS CRÓNICA
Mucocele
 Diagnostico
• Tomografía computarizada.
• Resonancia magnética.
COMPLICACIONES DE LA
RINOSINUSITIS CRÓNICA
Mucocele
 Tratamiento
• El tratamiento es por marsupialización.
BIBLIOGRAFÍA
 EPOS 2012
http://www.ep3os.org/What%20is%20new%20in%20the%2
02012%20position%20paper_.pdf
 Fonseca Arrieta, X.(2012). Rinosinusitis. PONTIFICIA
UNIVERSIDAD CATÓLICA DE CHILE
http://escuela.med.puc.cl/paginas/publicaciones/Otorrino/ap
untes-2013/Rinosinusitis.pdf

Rinosinusitis UNSLP

  • 1.
  • 2.
    DEFINICIÓN  Inflamación delas fosas nasales y de los senos paranasales. Manifestaciones clínicas:  Congestión o secreción nasal  Dolor facial/ presión  Reducción o pérdida del olfato Y cualquiera de los siguientes:  Pólipos nasales  Secreción mucopurulenta  Edema  Cambios TAC en la mucosa nasal
  • 3.
  • 4.
    MICROORGANISMOS ASOCIADOS Virus  Rinovirus  Virusinfluenza  Virus parainfluenza  Adenovirus Bacterias  S. pneumoniae  H. influenzae
  • 5.
    Inmunodeprimidos: S. aureus, bacilosgramnegativos y hongos SIDA Avanzado: S. aureus y Pseudomonas aeruginosa Neoplasias: hongos del género Aspergillus
  • 7.
    CLASIFICACIÓN  Severidad:  Leve0-3  Moderada >3-7  Grave >7-10 >5 afección CV
  • 8.
     Duración: Agudas - Clínica<12 semanas de evolución - Resolución completa de los síntomas. Crónicas - Clínica >12 semanas de los síntomas - -Sin resolución completa de los síntomas
  • 9.
    RINOSINUSITIS AGUDA  Iniciosúbito -Congestión nasal / secreción nasal - dolor/sensación de presión Facial, - Perdida total o parcial del sentido del olfato.  Duración < 12 semanas  Numerosos episodios en un periodo de tiempo pero con remisión completa
  • 10.
    Para un buentratamiento es importante diferenciar:  Rinosinusitis Viral aguda (resfriado común)  Rinosinusitis no viral Aguda (post. Viral)  Bacteriana:
  • 13.
    RINOSINUSITIS CRÓNICA  Cuadroclínico mayor a 12 semanas. Multifactorial: - trastornos mucociliares - procesos infecciosos (bacterianos) - cuadros alérgicos - estados inflamatorios de la mucosa de otras etiologías, - obstrucciones físicas (raras ocaciones)
  • 14.
     Manifestaciones Clínicas: Faringitis laringitis  Irritación tráquea : Dolor de garganta, disfonía y tos  Síntomas generales: Somnolencia, malestar general y  fiebre.
  • 15.
     Clasificación rinosinusitisCrónica  rinosinusitis Crónica SIN pólipos  rinosinusitis Crónica CON pólipos
  • 16.
    RINOSINUSITIS CRÓNICA SIN PÓLIPOS Definición: problemas sinusales durante mas de tres meses en un año.  Factores asociados a la RSC sin poliposis nasal  Alergia:  Estados de inmunodepresión  Factores genéticos  Embarazo y estado endocrinológico  Microorganismos: Bacterias
  • 17.
    RINOSINUSITIS CRÓNICA CON PÓLIPOS La edad media de inicio del cuadro (42 años)  mayor frecuencia en varones que en mujeres  La prevalencia de PN es mayor en pacientes asmáticos.  Factores asociados a la RSC con poliposis nasal  Asma:  Intolerancia al ácido acetilsalicílico:  Predisposición genética:  -Factores Ambientales:
  • 18.
    DIAGNÓSTICO  Evaluación delos síntomas de la rinosinusitis Locales y generales - Intensidad, duración, efectos sobre la CV.  Exploración Física  Descartar problemas: problemas anatómicos, condiciones genéticas, alergias, etc.  Exámenes complementarios:
  • 20.
    RINOSINUSITIS EN LA INFANCIA Esuna enfermedad multifactorial Síntomas iniciales: Rinorrea (71% a 80%) Tos y fiebre (50% a 80%) Dolor (29% a 33%) Obstrucción nasal (70% a 100%) Respiración bucal (70% a 100%) Problemas oticos (40% a 68%)
  • 21.
    RINOSINUSITIS EN LAINFANCIA Cuadros clínicos frecuentes : 1. signos y síntomas de un resfriado común más de 10 días 2. un resfriado que parezca más grave de lo normal 3. un resfriado que empeore después de haber mejorado durante varios días
  • 22.
    Exploración clínica  eritemaen la mucosa nasal y faríngea  rinorrea purulenta de un color amarillo a verdoso y de viscosidad variable.  hiperplasia linfoidea de las amígdalas  ganglios linfáticos cervicales pueden estar moderadamente aumentados
  • 23.
    Diagnostico diferencial en niños Cuerpos extraños intranasal  Estenosis de coanas unilateral  Rinitis aguda  Adenitis
  • 24.
    Diferencias entre larinosinusitis crónica en niños y en adultos Nios de corta edad adultos Microflora comensal Staphylococco coagulasa (-) 30% 35% Staphylococcus aureus 20% 8% Haemophilus influenzae 40% 0% Moraxella catarrhalis 24% 0% Streptococcus pneumoniae 50% 26% Corynebacterium spp. 52% 23% Streptococcus viridans 30% 4% Inmunidad Inmadura: respuesta incompleta a los antígenos de los polisacáridos (IgG2, IgA) Madura, excepto en un subgrupo
  • 25.
    Histología Predominancia de formasneutrofílicas, menor engrosamiento de la membrana basal y grado de hiperplasia glandular, más mastocitos (Sobo, 2003) Predominancia de formas eosinofílicas Endoscopia Los pólipos son raros, excepto en la fibrosis quística Suelen observarse pólipos TC En los niños más pequeños la sinusitis es más difusa y afecta a todos los senos Con frecuencia están afectados los senos esfenoideos y posteriores
  • 26.
    TRATAMIENTO EN NIÑOS RINOSINUSITIS AGUDA EN NIÑOS:  ANTIBIOTICOS. amoxicilina a dosis de 45 mg/kg/día Penicilina /o azitromicina o claritromicina  CORTICOIDES TÓPICOS NASALES  DESCONGESTIONANTE TOPICOS NASALES U ORALES  IRRIGACIONES NASALES
  • 27.
    TRATAMIENTO EN NIÑOS RINOSINUSITIS CRONICA EN NIÑOS:  IRRIGACIONES NASALES CON SSH  CORTICOESTEOIDES TOPICOS ( en caso de asma)  CIRUGIA (CENS pediátrica)
  • 28.
    TRATAMIENTO EN ADULTOS Los corticosteroides intranasales en monoterapia o en terapia adyuvante a los antibióticos orales son eficaces.  MOMETASONA 200 mg dos veces al día . Tratamiento antibiótico en aquellos con:  Fiebre alta o severa  Dolor facial
  • 29.
    Tratamiento con antibióticos RinosinusitisAguda  amoxicilina 1gr. cada 12 horas por 10 días, (menos en los últimas 4 a 6 semanas con el fármaco).  amoxicilina con ácido clavulanico  quinolina (levofloxacino 500 mg cada 24 horas) ó (moxifloxacino 400 mg cada 24 horas) por 10 días.
  • 31.
    Tratamiento quirurgico dela rinosinusitis
  • 32.
    Tratamiento con Antibioticos RinitisCrónica  Uso de los lavados nasales con soluciones salinas  corticoides nasales  Macrólidos  Agregar un tratamiento antibiótico de segunda línea, como la amoxicilina con ácido clavulánico o una Quinolona por 14 días.  derivación ( síntomas son moderados , severos ó si el paciente no respondió a tratamiento.
  • 33.
    Tratamiento quirurgico dela rinosinusitis indicaciones absolutas:  1. obstruccion nasal completa debida a una poliposis masiva o una medializacion de la pared nasal lateral en pacientes con FQ;  2. absceso orbitario;  3. complicaciones intracraneales;  4. polipos antrocoanales;  5. mucoceles o mucopioceles;  6. rinosinusitis micotica;
  • 36.
    Efectos secundarios decorticosteroides locales en rinosinusitis cronica sin pólipos nasales  Epistaxis  Sequedad nasal  Ardor nasal  Irritación nasal
  • 37.
    CORTICOESTEROIDES SISTEMICOS EN RINOSINUSITIS CRONICASIN POLIPOS  Hay datos limitados que muestra la eficacia de los corticosteroides orales de datos limitados en la rinosinusitis crónica sin pólipos nasales.  Los corticosteroides sistémicos en combinación con antibióticos y corticoesteroides intranasales muestran una mejora subjetiva y objetiva.
  • 38.
    EFECTOS SECUNDARIOS DELUSO DE CORTICOESTEROIDES SISTEMICOS EN RINOSINUSITIS CRONICA SIN POLIPOS NASALES  El perfil de efectos secundarios del uso de corticosteroides sistémicos es probable que sea similar entre rinosinusitis crónica sin pólipos nasales y con pólipos nasales
  • 39.
    COMPLICACIONES DE LA RINOSINUSITISCRÓNICA  Formación mucocele  Osteítis  Erosión ósea y la expansión  La formación de hueso metaplásico  La neuropatía óptica
  • 40.
    COMPLICACIONES DE LA RINOSINUSITISCRÓNICA Mucocele Saco revestido de epitelio. Llena completamente el seno paranasal. La patogénesis se asocia con obstrucción del flujo de salida del seno.
  • 41.
    COMPLICACIONES DE LA RINOSINUSITISCRÓNICA Mucocele Se presenta entre los 22 meses a los 23 años. Crecimiento lento. Mayor frecuencia en la región fronto-etmoidal (86%). Síntomas y signos orbitales.
  • 42.
    COMPLICACIONES DE LA RINOSINUSITISCRÓNICA Mucocele  Diagnostico • Tomografía computarizada. • Resonancia magnética.
  • 45.
    COMPLICACIONES DE LA RINOSINUSITISCRÓNICA Mucocele  Tratamiento • El tratamiento es por marsupialización.
  • 46.
    BIBLIOGRAFÍA  EPOS 2012 http://www.ep3os.org/What%20is%20new%20in%20the%2 02012%20position%20paper_.pdf Fonseca Arrieta, X.(2012). Rinosinusitis. PONTIFICIA UNIVERSIDAD CATÓLICA DE CHILE http://escuela.med.puc.cl/paginas/publicaciones/Otorrino/ap untes-2013/Rinosinusitis.pdf

Notas del editor

  • #3 • signos endoscópicos de: - Pólipos nasales, y / o - Secreción mucopurulenta principalmente del meato medio y / o - Edema / obstrucción mucosa principalmente en el meato medio Cambios CT: - Cambios en la mucosa dentro del complejo ostiomeatal y / o senos
  • #4 Los aislamientos de H. influenzae suelen ser acapsulados. M. catarrhalis es rara en los adultos, pero puede causar en torno al 20% de las sinusitis infantiles (tabla 2). Staphylococcus aureus raramente está implicado, pero puesto que el 30% de la población es portadora nasal de este microorganismo, con relativa frecuencia contamina las muestras obtenidas por procedimientos no invasivos
  • #5 Los virus respiratorios y un reducido número de bacterias causan la inmensa mayoría de las sinusitis agudas adquiridas en la comunidad tanto en niños como en adultos. Los virus desempeñan un importante papel no sólo desde el punto de vista etiológico, sino también como promotores de la infección bacteriana. Los más habituales son los rinovirus, seguidos en orden de frecuencia por los virus influenza, parainfluenza y adenovirus. En alrededor del 60% de las rinosinusitis se recuperan bacterias, particularmente S. pneumoniae y H. influenzae, que, solas o asociadas, están implicadas en más del 50% de los casos.
  • #6 Los pacientes con inmunodepresión grave, los afectos de trastornos congénitos o adquiridos del transporte mucociliar (fibrosis quística y síndrome del cilio inmóvil) y los portadores de sonda nasogástrica u otros cuerpos extraños intranasales sufren con mayor frecuencia sinusitis aguda o episodios de agudización causados por S. aureus, bacilos gramnegativos y hongos20,21. S. aureus y Pseudomonas aeruginosa son frecuentes en el SIDA avanzado, las deficiencias del transporte mucociliar y la sinusitis nosocomial, asociada habitualmente con la presencia de sondas nasogástricas o tubos nasotraqueales. Los hongos del género Aspergillus constituyen una etiología relevante en los enfermos con neoplasias hematológicas, sobre todo si han recibido un trasplante de precursores hematopoyéticos, mientras que los mucorales muestran una especial predilección por infectar a pacientes con cetoacidosis diabética o que reciben deferoxamina.
  • #8 Las rinosinusitis se clasificarán de 2 maneras: Por la severidad de los síntomas: la gravedad del cuadro se determina mediante la escala visual analógica (EVA), según los resultados obtenidos (0-10),siguientes grados: - Leve: o-3 - Moderada: >3-7 Grave: >7-10 Con valores de EVA >5 se ve afectada la calidad de vida
  • #9 2) Según la duración de los síntomas: - Agudas: más de 10 días y menos de 12 semanas. Con completa remisión de los síntomas - Crónicas: más de 12 semanas, sin completa resolución de los síntomas.
  • #10 RINOSINUSITIS AGUDA: Se caracterizan por - Inicio súbito con dos o mas síntomas, uno de aquellos debe ser (Congestión nasal / secreción nasal), acompañado de dolor/sensación de presión Facial, Perdida total o parcial del sentido del olfato. Duración < 12 semanas Numerosos episodios en un periodo de tiempo pero con remisión completa
  • #11  Tendremos 3 tipos de rinosinusitis aguda que debemos diferenciar para elegir un tratamiento: - El Resfriado comun/Rinosinusitis Virica Aguda :duracion de la clinica inferior a diez dias.. y sólo entre 0,5 a 5% de los pacientes tienen una sobreinfección bacteriana -Rinosinusitis no viral Post- viral: empeoramiento de los síntomas al cabo de cinco días o persistencia de estos durante mas de diez días, con una duración de la clínica inferior a doce semanas. - Bacteriana: sospecharemos de rinosinusitis bacteriana si existen 3 o más de los siguientes síntomas: 1) Secreción nasal purulenta (con predominio unilateral) 2) Dolor local severo (de predominio unilateral) 3) Fiebre (mayor a 38º) 4)CRP elevada 5) Si el paciente mejora por unos dias y luego existe un rebote de los síntomas.
  • #12 En relación a la diapositiva anterior
  • #14 La Rinosinusitis crónica es un cuadro clínico con síntomas y signos de baja severidad con una duración de 12 semanas o más. La rinosinusitis cronica es una enfermedad multifactorial(15) en la que pueden estar implicados trastornos mucociliares,procesos infecciosos (bacterianos),cuadros alérgicos, estados inflamatorios de la mucosa de otras etiologías, o, en raras ocasiones, obstrucciones físicas debidas a variaciones morfológicas o anatómicas de la cavidad nasal o de los senos paranasales
  • #15 Evaluación subjetiva de la rinosinusitis se basa en los síntomas: • obstrucción nasal, congestión o taponamiento; • Secreción nasal o goteo nasal, a menudo mucopurulenta; • Dolor o presión facial, dolor de cabeza, y • reducción / pérdida del Además de estos síntomas locales, hay distante y general síntomas. Síntomas distantes son la faringe, laringe y irritación de la tráquea causando dolor de garganta, disfonía y tos, mientras que los síntomas generales incluyen somnolencia, malestar general y fiebre. Las variaciones individuales de estos patrones de síntomas generales son muchos.
  • #16 Se clasifica en Rinosinusitis crónica (RSC) con y sin pólipos.
  • #17 RSC definidas por la presencia de "problemas sinusales" durante mas de tres meses en un año. Factores asociados a la RSC sin poliposis nasal Alteraciones ciliares Tal y como se indica en la sección sobre anatomía y fisiopatologia, la función ciliar desempeña un importante papel en el vaciado de los senos y en la prevención de los procesos inflamatorios crónicos. Alergia: En las revisiones sobre la rinosinusitis se ha sugerido que la atopia predispone a su aparición. Es tentador especular que la inflamación alérgica de las fosas nasales predispone a los individuos atópicos a sufrir RSC Estados de inmunodepresión: Las inmunodeficiencias explica la RSC Factores genéticos: Aunque se han observado afectaciones sinusales cronicas en varios miembros de una misma familia, aun no se ha identificado ninguna anomalia genetica que se relacione con la RSC. Embarazo y estado endocrinológico: Por la altercaion Hormonal, la disfunciones tiroideas esta mas realcionado co RSC aun con datos limitados. - Microorganismos: Bacterias Aunque con frecuencia se defiende la hipotesis de que las RSC evolucionan a partir de las RSA, nunca se ha demostrado esta afirmacion. Es mas, no esta nada claro el papel que desempenan las infecciones bacterianas en el proceso.
  • #18 Los pólipos nasales son tejido inflamatorio (habitualmente de aspecto pálido) que aparecen en la zona de los meatos de las fosas nasales, produciendo especialmente obstrucción nasal y alteraciones del olfato además de la rinorrea anterior y/o posterior. En general, la PN afecta a todas las razas y es mas frecuente a medida que aumenta la edad. La edad media de inicio del cuadro es aproximadamente de 42 anos. Los PN son poco habituales en pacientes de menos de 20 anos y se han observado con mayor frecuencia en varones que en mujeres. se indico que la prevalencia de la PN es de 6,7% en los pacientes asmaticos. Factores asociados a la RSC con poliposis nasal Asma: los Px con RSC con PN son mas frecuentes en Px asmático en un 69% Intolerancia al ácido acetilsalicílico: En los pacientes con intolerancia al acido acetilsalicilico se observa RSC con PN en un 36-96% de los casos Predisposición genética: se sugiere que existe una predisposicion genética. -Factores Abientales: En un estudio demuestran que los PN es significativamente inferior en una poblacion de fumadores en un(15% frente a 35%)
  • #19 1.- Evaluación de los síntomas de la rinosinusitis Síntomas locales: obstrucción, congestion, u oclusión nasal; rinorrea o secrecion posnasal, con frecuencia mucopurulenta; dolor o sensación de presión facial, cefalea, y perdida total o parcial del sentido del olfato. Síntomas generales: generales, la irritación faringea, laringea, y traqueal, y comprenden dolor de garganta, disfonia, y tos; los síntomas generales consisten en somnolencia, malestar general, y fiebre. En la evaluación de los síntomas se deben tener en cuenta su intensidad o grado, y su duración. Durante la ultima década se ha prestado mas atención no solo a la clínica sino también a sus efectos sobre la calidad de vida (CdV) del paciente 2.- Exploración Física: Son poco espesificos, y no diferencian entre etiología viral y bacteriana ,se puede observar, mucosa nasal eritematosa o palida,, inflamación, dolor a la palpación frontal y maxilar. 3.- Descartar condiciones: • Problemas anatómicos (adenoides, masas, tumores o pólipos que obstruyan el drenaje). • Condiciones genéticas (fibrosis quística, síndrome del cilio inmóvil como por ejemplo Kartagener). • Condiciones inmunológicas y alérgicas (alteraciones inmunológicas en general y alteraciones a nivel de subclases de inmunoglobulinas IgG3, IgG2 , déficit de IgA, déficit en la fabricación de anticuerpos contra antígenos polisacáridos como pneumococos, VIH positivos, alergias). • Problemas de origen dentario, infecciones de piezas dentarias cuyas raíces puedan estar en relación al seno maxilar, como el primer y segundo premolar. El estudio en pacientes con rinosinusitis crónica está dirigido a buscar los factores mencionados y tratarlos. 4.- Exámenes complementarios: Rinoscopia anterior (primer paso que se tiene que dar en la exploración de un paciente afectado por una de estas enfermedades) Endoscopia: pueden obtener puntuaciones semicuantitativas de los polipos, el edema, la rinorrea, la formacion de costras, y la cicatrización, Citología, biopsia y estudio bacteriológico nasales (descartar afecciones mas graves y de peor pronostico, como las neoplasias y las vasculitis, puede estar indicada la practica de una biopsia) Técnicas de imagen:
  • #21 En niños, la rinosinusitis es un problema frecuente que a menudo pasa inadvertido. Se trata de una enfermedad multifactorial en la que la importancia de diversos factores predisponentes varia con la edad y que difiere de la forma del adulto en numerosos aspectos.
  • #22 RINOSINUSITIS EN LA INFANCIA. En niños, la rinosinusitis es un problema frecuente que a menudo pasa inadvertido. Se trata de una enfermedad multifactorial en la que la importancia de diversos factores predisponentes varía con la edad y que difiere de la forma del adulto en numerosos aspectos. SIGNOS Y SINTOMAS: tres cuadros clínicos frecuentes que deberían alertar al clínico de la posibilidad de que exista una rinosinusitis 1.signos y síntomas de un resfriado común que persistan durante más de 10 días (cualquier tipo de secreción nasal, tos diurna que empeore por la noche); 2. un resfriado que parezca más grave de lo normal (fiebre alta, rinorrea purulenta abundante, edema y dolor periorbitarios); 3. un resfriado que empeore después de haber mejorado durante varios días (con o sin fiebre).
  • #23 Exploración clínica: En niños suele ser difícil explorar la cavidad nasal, ya que sólo toleran la práctica de una rinoscopia anterior limitada. Se puede facilitar el proceso si se levanta la punta de la nariz (los niños pequeños tienen una amplia cavidad nasal y unas fosas nasales redondas, por lo que es fácil determinar el estado de los cornetes inferiores). Normalmente se observa eritema en la mucosa nasal y faríngea a, y una rinorrea purulenta de un color amarillo a verdoso y de viscosidad variable. En un estudio, se observó la presencia de secreción pos nasal y de pus en el meato medio en un 60% y un 50% de los sujetos, respectivamente. En otro se visualizaron unos cornetes edematosos en un 29% de los casos. También se puede observar hiperplasia linfoidea de las amígdalas, las adenoides, y la pared parafaríngea. Los ganglios linfáticos cervicales pueden estar moderadamente aumentados de tamaño y ser ligeramente dolorosos a la palpación.
  • #24 El diagnóstico diferencial debe incluir cuerpo extraño intranasal y estenosis de coanas unilateral. En estas entidades, los síntomas suelen ser unilaterales y pueden ser relativamente fáciles de diferenciar clínicamente de ARS por la historia y el examen físico, incluyendo la endoscopia nasal. AR por lo general no se manifestará con drenaje purulento como parte de la presentación clínica. La adenoiditis puede tener una presentación clínica muy similar incluyendo anterior y posterior drenaje purulento y tos y es muy relevante en el diagnóstico diferencial en el grupo de edad pediátrica.
  • #27 TRATAMIENTO DE LA RINUSINUSITIS AGUDA EN NIÑOS: Los antibióticos se deben reservar principalmente para los casos graves de la enfermedad, por ejemplo: afectación grave o estado tóxico en un niño en el que se sospeche o se haya demostrado la presencia de una complicación supurativa. En estos casos esta indicada la administración de un agente adecuado . El antibiótico seleccionado debe ser eficaz contra Streptococcus pneumoniae resistentes a las penicilinas, Moraxella catarrhalis, y Haemophilus influenzae productores de betalactamasas; Rinosinusitis aguda grave: en pacientes ambulatorios en los que sea viable la administración de un tratamiento por vía oral se debe seleccionar un agente resistente a la acción de las betalactamasas (amoxicilina /clavulanico potásico ) o una cefalosporina de segunda generación como la cefuroxima axetilo. rinosinusitis aguda no grave: sólo se deben administrar antibióticos en niños con síntomas prolongados y de forma individualizada (presencia de asma , bronquitis crónica, otitis media aguda, etc.) La amoxicilina a dosis de 45 mg/kg/día (del doble si existen dos o más factores de riesgo de parición de resistencias) es una buena alternativa. Si la situación clínica del paciente no ha mejorado en un plazo de 72 horas se debe plantear un cambio del antibiótico por otro que sea activo frente a los microorganismos resistentes que se observen con mayor frecuencia en la comunidad. Los pacientes alérgicos a la penicilina deben recibir un antibiótico alternativo adecuado (p.ej.., azitromicina o claritromicina) como tratamiento de primera elección.
  • #28 Los datos sobre el tratamiento específico de la RSC en niños son muy limitados. Hoy en día se dispone de un Instrumento para la evaluación de la calidad de vida en niños . Irrigaciones nasales En un ensayo controlado, con asignación al azar, y a doble ciego se estudio a 20 niños de 3 a 14 anos de edad con antecedentes de asma bronquial complicada con una RSC. Las irrigaciones con solución salina hipertonica (SSH) (3,5%) o con suero fisiologico (SF) (0,9%) durante cuatro semanas y se compararon los efectos obtenidos. Ambos tratamientos fueron eficaces, aunque la SSH fue ligeramente mejor que el SF(751). No se facilitaron datos sobre los efectos colaterales (categoría III). Efectos sobre el asma En un estudio en el que participaron 18 niños con sinusitis y asma, el tratamiento medico de la primera con corticosteroides tópicos, antibióticos, y una pauta de dos días de duración con corticosteroides por vía oral mejoro los síntomas de la segunda y aumento la proporción interferón gamma/IL-4 en el liquido de los lavados nasales Tratamiento quirúrgico de la rinosinusitis En la RSC, la cirugía se debe plantear después de haber llevado a cabo una evaluación exhaustiva de los factores subyacentes y cuando ya se ha administrado tratamiento medico de forma prolongada. Según parece, la mayoría de las controversias se centran en las indicaciones de la cirugía endoscópica sinusal funcional en los niños (CENS o CENS pediátrica = CENSP). El termino “funcional“ de la expresión CENS hace referencia a la restauración de la función del complejo ostiomeatal, es decir, de la ventilación y el drenaje. En 1998, se llego a un consenso internacional acerca de las indicaciones de la CENS en los niños(1021): a. indicaciones absolutas: 1. obstrucción nasal completa debida a una poliposis masiva o una medialización de la pared nasal lateral en pacientes con FQ; 2. absceso orbitario; 3. complicaciones intracraneales; 4. pólipos antrocoanales; 5. mucoceles o mucopioceles; 6. rinosinusitis micotica; b. Indicaciones posibles: en la RSC con exacerbaciones frecuentes que persiste a pesar de la administración de un tratamiento medico optimo, y una vez que se ha descartado la presencia de una enfermedad sistémica, la cirugía endoscópica sinusal constituye una alternativa razonable al tratamiento medico continuo. El tratamiento optimo comprende la administración de una pauta de 2-6 semanas de duración con antibióticos adecuados (por vía i.v. u oral) junto con el tratamiento de la enfermedad concurrente. El tratamiento quirúrgico de la RSC con exacerbaciones frecuentes se limita en la mayoría de los casos a la practica de una etmoidectomia parcial: con frecuencia hay suficiente con la extirpación de la apófisis unciforme, con o sin la practica de una antrostomia maxilar en el meato medio, y la apertura de la ampolla etmoidea. En otros casos (p. ej., en la FQ con poliposis masiva) puede ser necesaria la practica de una esfenoetmoidectomia ampliada. La mayoría de los resultados se evalúan por el alivio sintomático, sin tener en cuenta la exploración endoscópica o mediante TC.
  • #29  Los corticosteroides intranasales en monoterapia o en terapia adyuvante a los antibióticos orales han demostrado ser eficaces; sin embargo, en pacientes con RSA graves, corticosteroides orales se pueden usar para el alivio a corto plazo de dolor de cabeza, dolor facial y otros síntomas agudos. El tratamiento antibiótico debe reservarse para los pacientes con fiebre alta o severa (unilateral) el dolor facial.
  • #30 En general no es necesario hacer un cultivo para tratar una rinosinusitis aguda, salvo que el paciente no responda a los esquemas antibióticos habituales. El antibiótico recomendado en nuestro medio en casos de rinosinusitis aguda es la amoxicilina, un gramo cada 12 horas por 10 días, siempre que el paciente no haya recibido amoxicilina en los últimas 4 a 6 semanas. Si no hay una buena respuesta, se recomienda el uso de amoxicilina con ácido clavulanico o una quinolina como el levofloxacino 500 mg cada 24 horas ó moxifloxacino 400 mg cada 24 horas, ambas por 10 días.
  • #33 En general en nuestro medio, el médico general debe comenzar recomendando al paciente el uso de los lavados nasales con soluciones salinas y de corticoides nasales (ambos con buen nivel de evidencia y recomendación. De acuerdo a la evaluación de cada caso clínico se puede intentar agregar un tratamiento antibiótico de segunda línea, como la amoxicilina con ácido clavulánico o una quinolona por 14 días, y derivación al Otorrino si los síntomas son moderados o severos ó si el paciente no respondió a tratamiento. La mayoría de los estudios han utilizado antibióticos macrólidos. Un gran número de estudios abiertos utilizando los macrólidos, han demostrado una tasa de respuesta del 60-80%. Un estudio controlado con placebo utilizando roxitromicina mostró eficacia en pacientes sin pólipos. Por ahora, el tratamiento con antibióticos a largo plazo se debe reservar para pacientes en los que los corticosteroides nasales e irrigación con agua salina no ha logrado reducir los síntomas a un nivel aceptable. Datos sugieren que la población con alta Ig-E sérica es menos probable de responder al tratamiento macrólido y los que tienen Ig-E normales más probable que lo hagan.
  • #34 El tratamiento quirurgico de la RSC con exacerbaciones frecuentes se limita en la mayoria de los casos a la practica de una etmoidectomia parcial: con frecuencia hay suficiente con la extirpacion de la apofisis unciforme, con o sin la practica de una antrostomia maxilar en el meato medio, y la apertura de la ampolla etmoidea.
  • #37 Se reconoce que eventos adversos para los aerosoles de esteroides intranasales son muy raros posiblemente no se detectan en ensayos controlados aleatorios. La cantidad de beneficio supera claramente el riesgo.
  • #38  Todos los estudios utilizaron corticosteroides sistémicos en combinación con antibióticos y corticoesteroides intranasales. Mostrando una mejora subjetiva y objetiv. En Tosca et al. la población estudiada fue de los niños con asma. Se observo que en la rinitis cronica sin polipos tuvo mejores resultados, tenía resolución de los síntomas de un 54,9% en comparación con 51% para el grupo total de rinosinusitis cronica.
  • #39 El perfil de efectos secundarios del uso de corticosteroides es probable que sea similar entre rinosinusitis crónica sin pólipos nasales y rinosinusitis con pólipos nasales, sin embargo, dada la relativa falta de datos clínicos (no los datos en contra) para apoyar el uso de corticosteroides sistemicos esta relación riesgo-beneficio puede ser mayor.
  • #40 Las complicaciones asociadas con CRSwNP y CRSsNP son menos dramática y más raro que los que pueden ocurrir en ARS, pero pueden ser difíciles de manejar, se deben principalmente a los efectos sobre el hueso circundante. Ellos incluyen la erosión ósea y la expansión debido a mucoceles o pólipos, osteítis y la formación de hueso metaplásico y neuropatía óptica ocasionalmente. En general, estos son mucho menos documentadas en la literatura que los asociados con la infección aguda y la inflamación. En algunos casos, pueden ser considerados como simplemente una manifestación de la historia natural de la enfermedad.
  • #41 Un mucocele es un saco revestidas de epitelio llenando completamente el seno paranasal y capaz de expansión en lugar de un seno obstruido que simplemente contiene moco. Mucoceles son relativamente rara y generalmente uni-locular (92%) y unilateral (90%). La patogénesis exacta es desconocida aunque a menudo se asocia con obstrucción del flujo de salida del seno y alguna forma de inflamación crónica o infección. Sin embargo, en un tercio de los casos, no hay una causa obvia para el inicio de este proceso se puede encontrar. Cuando una patología asociada puede ser identificado, es más a menudo la rinosinusitis crónica con o sin poliposis nasal, fibrosis quística o rinosinusitis fúngica alérgica / eosinofílica, en ambos casos con o sin intervención quirúrgica.
  • #42 El intervalo de tiempo desde potencial evento de iniciación a la presentación clínica varía desde 22 meses a 23 años. El crecimiento es generalmente lenta a menos que una infección bacteriana aguda produce una Mucocele. La distribución de mucoceles dentro de los senos paranasales es interesante, que se producen con mayor frecuencia en la región fronto-etmoidal (86%). El seno maxilar está menos afectada a menudo. Por consiguiente, las pacientes con mayor frecuencia se presentan con síntomas y signos orbitales (proptosis axial, desplazamiento lateral e inferior del globo, diplopía). En mucoceles fronto-etmoidal, la agudeza visual rara vez esta en peligro a menos que un mucocele desarrolla mientras que la pérdida visual puede ser la característica clínica que presentan mucoceles esfenoidales.
  • #43 El diagnóstico se confirmó con tomografía computarizada que muestra una lesión de pared lisa llenar un seno ampliado, con áreas de hueso adelgazado o dehiscentes, por lo general entre el mucocele y la órbita o la fosa craneal anterior.
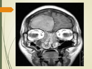
  • #44 Tomografía computarizada coronal que muestra mucocele extradural intracraneal asintomática con colección crónica de moco en paciente con poliposis nasal.
  • #45 Resonancia Magnética en el mismo paciente.
  • #46 El tratamiento es por marsupialización, que puede llevarse a cabo endoscópicamente en la mayoría de los casos. Una revisión de la literatura muestra una tasa de éxito general de> 90%, sobre todo en los sometidos a cirugía endoscópica sola.
  • #47 Comentario final sobre EPOS 2012 según Dr. Alfonso del Cuvillo Bernal Unidad de Rinología y Asma UGC Otorrinolaringología Hospital de Jerez Cádiz El documento EPOS supone una importante aportación en cuanto a guías de manejo clínico de la rinosinusitis tanto en adultos como en niños, gracias a la profundidad de la revisión realizada, a su intención eminentemente práctica y a su voluntad de consenso y exposición de las necesidades de mejora e investigación. Su revisión periódica, además, le da una vitalidad que pocos documentos de consenso y guías clínicas poseen, lo que lo hace aún más interesante. Es criticable, sin embargo, que, a pesar de tener una clara orientación de guía clínica, se haya escogido un sistema de evaluación de las pruebas científicas que se considera actualmente desfasado, como es el del CEBM de 1998, que solo tiene en cuenta el tipo de estudio que respalda una afirmación o recomendación, pero no evalúa la calidad de este ni su probabilidad de sesgo, estando hoy mucho más extendidos, para la elaboración de guías clínicas, sistemas como el GRADE o como el propuesto por el CEBM en 2009, aunque en el mismo documento EPOS se comenta que queda pendiente la revisión para adaptar la guía al sistema GRADE, mucho más explícito y aceptado hoy en día como forma de elaborar las guías clínicas.