SEMINARIO Nº 15
PROTESIS 4: PROTESIS REMOVIBLE
Y TALLER DISEÑO
Andrea García Prado
Francisca Godoy Flores
Dr. Matías San Martin
Clínica Integral del Adulto
Odontología U. de Chile
PRINCIPIOS DE DISEÑO EN PPR,
APLICADO EN EL DISEÑO
• La prótesis debe ser rígida.
• El diseño debe ser simple.
• Las fuerzas oclusales deben ser distribuidas sobre dientes remanentes y mucosa.
• Los complejos retentivos deben tener apoyos que dirijan las fuerzas oclusales sobre el
eje mayor de los dientes pilares.
• El máximo soporte mucoso es necesario para el extremo libre (clases I, II y IV larga de
Kennedy).
• La retención no es factor primario del diseño, es más importante el soporte positivo que
la retención.
• Se debe disminuir el brazo de potencia desde la aplicación de la fuerza hasta el fulcro
del diente, haciendo menos eficiente la palanca.
• Los retenedores mayores nunca deben terminar en el margen gingival.
PRINCIPIOS DE DISEÑO EN PPR,
APLICADO EN EL DISEÑO
• Los conectores mayores deben cubrir sólo las
zonas estrictamente necesarias.
• Las bases de extremo libre deben brindar la máxima distribución posible de
las fuerzas oclusales sobre el área de soporte del reborde residual.
• Las bases de extremo libre deben ser retenidas evitando el desplazamiento
fuera de los tejidos de soporte, valiéndose de la retención indirecta.
• Los brazos del complejo retentivo deben estar idealmente ubicados a la
misma altura relativa en la superficie opuesta del diente.
• Es esencial el análisis en tangenciógrafo del modelo diagnóstico.
• El diseño es responsabilidad exclusiva del odontólogo.
• Todos los factores mecánicos y biológicos deben ser considerados.
FACTORES QUE HICIERON VARIAR
EL DISEÑO
• Necesidad de elementos antirrotacionales: elemento
mecánico que ejerce su función alejado de la línea de
fulcrum, impidiendo el desalojo del aparato protésico y está
representado generalmente por un apoyo dentario.
• Al tener más de 4 mm de encía adherida podemos realizar
como conector mayor barra lingual, que es más favorable
para la salud periodontal.
CARACTERÍSTICAS BIOMECÁNICAS
QUE TENDRÁ LA PRÓTESIS POR USTED
DISEÑADA
• Anclaje triangular.
• Soporte mixto.
• Conector mayor: barra lingual.
• Retenedores colados en dientes pilares junto a vanos desdentados.
• Apoyo cingular en canino como elemento antirrotacional.
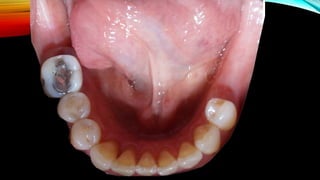
Diseño protésico
Elemento anti
rotacional
Barra lingual
PALANCAS QUE SE PUEDEN
GENERAR EN PPR
• Palanca clase I: se produce por
la rotación del extremo libre
alrededor del fulcro que pasa por
los apoyos más posteriores. Se
puede evitar cambiando la
posición del apoyo distal hacia
mesial, produciéndose una
palanca de clase II, que tiene
menos ventaja mecánica por lo
que favorece al diente pilar.
• Rotación en torno a un eje que
pasa a través de los pilares más
cercanos al punto de aplicación
de la fuerza (línea de fulcrum).
Brazo de potencia
Fulcrum
Brazo de resistencia
• Rotación en torno a eje
vertical.
BIBLIOGRAFÍA
• 1. McGivney Glen P. McCracken. Prótesis Parcial Removible. 10°edición.
Buenos Aires: Médica Panamericana, 2004. 584p.
• Prótesis Parcial Removible. Clínica y Laboratorio. Melchor G. Bocage.
Ediciones BocageFeuer. Montevideo, Uruguay, 2009.

Seminario nº-15

  • 1.
    SEMINARIO Nº 15 PROTESIS4: PROTESIS REMOVIBLE Y TALLER DISEÑO Andrea García Prado Francisca Godoy Flores Dr. Matías San Martin Clínica Integral del Adulto Odontología U. de Chile
  • 3.
    PRINCIPIOS DE DISEÑOEN PPR, APLICADO EN EL DISEÑO • La prótesis debe ser rígida. • El diseño debe ser simple. • Las fuerzas oclusales deben ser distribuidas sobre dientes remanentes y mucosa. • Los complejos retentivos deben tener apoyos que dirijan las fuerzas oclusales sobre el eje mayor de los dientes pilares. • El máximo soporte mucoso es necesario para el extremo libre (clases I, II y IV larga de Kennedy). • La retención no es factor primario del diseño, es más importante el soporte positivo que la retención. • Se debe disminuir el brazo de potencia desde la aplicación de la fuerza hasta el fulcro del diente, haciendo menos eficiente la palanca. • Los retenedores mayores nunca deben terminar en el margen gingival.
  • 4.
    PRINCIPIOS DE DISEÑOEN PPR, APLICADO EN EL DISEÑO • Los conectores mayores deben cubrir sólo las zonas estrictamente necesarias. • Las bases de extremo libre deben brindar la máxima distribución posible de las fuerzas oclusales sobre el área de soporte del reborde residual. • Las bases de extremo libre deben ser retenidas evitando el desplazamiento fuera de los tejidos de soporte, valiéndose de la retención indirecta. • Los brazos del complejo retentivo deben estar idealmente ubicados a la misma altura relativa en la superficie opuesta del diente. • Es esencial el análisis en tangenciógrafo del modelo diagnóstico. • El diseño es responsabilidad exclusiva del odontólogo. • Todos los factores mecánicos y biológicos deben ser considerados.
  • 5.
    FACTORES QUE HICIERONVARIAR EL DISEÑO • Necesidad de elementos antirrotacionales: elemento mecánico que ejerce su función alejado de la línea de fulcrum, impidiendo el desalojo del aparato protésico y está representado generalmente por un apoyo dentario. • Al tener más de 4 mm de encía adherida podemos realizar como conector mayor barra lingual, que es más favorable para la salud periodontal.
  • 6.
    CARACTERÍSTICAS BIOMECÁNICAS QUE TENDRÁLA PRÓTESIS POR USTED DISEÑADA • Anclaje triangular. • Soporte mixto. • Conector mayor: barra lingual. • Retenedores colados en dientes pilares junto a vanos desdentados. • Apoyo cingular en canino como elemento antirrotacional.
  • 7.
  • 8.
    PALANCAS QUE SEPUEDEN GENERAR EN PPR • Palanca clase I: se produce por la rotación del extremo libre alrededor del fulcro que pasa por los apoyos más posteriores. Se puede evitar cambiando la posición del apoyo distal hacia mesial, produciéndose una palanca de clase II, que tiene menos ventaja mecánica por lo que favorece al diente pilar.
  • 9.
    • Rotación entorno a un eje que pasa a través de los pilares más cercanos al punto de aplicación de la fuerza (línea de fulcrum). Brazo de potencia Fulcrum Brazo de resistencia
  • 10.
    • Rotación entorno a eje vertical.
  • 11.
    BIBLIOGRAFÍA • 1. McGivneyGlen P. McCracken. Prótesis Parcial Removible. 10°edición. Buenos Aires: Médica Panamericana, 2004. 584p. • Prótesis Parcial Removible. Clínica y Laboratorio. Melchor G. Bocage. Ediciones BocageFeuer. Montevideo, Uruguay, 2009.