Instituto Politécnico Nacional
Escuela Superior de Medicina
Hospital Regional Poniente Tacuba
Fisiopatología

Angeles Garibay Sergio Oswaldo.
Hernández Juan
Grupo 6CM20.
Sindrome de
Condensación

Atelactasia

Espacios
Aéreos

Liquido
Exudado

Reducción
Espacios

El parénquima pulmonar tiene una estructura heterogénea constituida por espacios aéreos separados entre sí por
tabiques intraalveolares. En condiciones patológicas esta estructura puede hacerse homogénea
Gérmenes Pulmonares
Tumores
Hemorragias Alveolares
Edema Pulmonar Agudo

Palpación

Percusión

Reducción Espacio Pulmonar

Matidez

Aumento Vibraciones Vocales
sobre el Área

a
Submatidez

Auscultacón
Murmullo Visceral
Soplo Tubarico
Broncofonía

Pectoriloquia
Egofonía
Estertores Crepitantes
Microorganismos
Inflamación

Alveolos
Migración
Leucocitaria
Congestiva

Lesiones Difusas
Edema Hemorrágico
Pulmones a Tensión

Insuficiencia Respiratoria
Sepsis Fulminante

Posoperatoria

Primaria

Efectos Depresores de Anestésicos

Anestesia Narcótica en Madre
Tumores Bronquiales
Cuerpos Extraños
Secreción Espesa y
Coágulos
Neumotórax
Hemotorax
Derrame Pleural
Obstrucción Bronquial
Relajación Pulmonar por
aire o liquido en pleura
Cicatrizal
Compresión Extrínseca
Taquipnea
Fiebre
Hipopnea
Dolor Torácico
Expectoración
Fascia Neumónica

Obstructiva
Retracción Hemitórax
Ventilación del Área Comprometida
Expansión
Vibraciones Vocales
Murmullo Sonoro

No Obstructiva

Soplo Tubarico (compresión)
Soplo Pleutorico
Voz Anafórica
Bronquiectasia
• Es una enfermedad caracterizada por
dilatación permanente de los bronquios
y los bronquiolos, causada por
destrucción del músculo y tejido
elástico, y originada, principalmente,
por infecciones necrotizantes crónicas.
Bronquiectasia focal
• Cambios bronquioectasicos en un área localizada
del pulmón
• Extrinseca: compresión por linfadenopatía
• Intrinseca: tumor en la vía aérea u objeto extraño

Bronquiectasia difusa
• Bronquiectasias diseminadas por todo el pulmón
Colonización
del arbol
bronquial
Aclaramiento
de mucosidad
deficiente

Susceptibilidad
a infecciones

Bronquiectasia
infecciosa
Presencia de microbios
Inflamación crónica
Daño a la pared de la vía aérea
Aclaramiento de secreciones y microbios
afetada
Infección/inflamación continua
Inflamación

Dilatación

Destrucción
de la pared

Pérdida de
elastina

Pérdida de
músculo liso

Pérdida de
cartílago
Tos

Fiebre

Crepitaciones

Esputo
purulento

Sibilancias
 Patología que produce atrapamiento de aire a

nivel de parénquima pulmonar con dilatación
alveolar, parcial o total con atrofia y perdida
de elasticidad de sus paredes.
 Expresa el estado de menor densidad del
parénquima pulmonar.
 Lesiones hipodensas del parénquima

pulmonar.
 Destrucción del parénquima pulmonar con la

formación de una cavidad. (tuberculosis)

 Triada:
1. Soplo cavitario.
2. Gargoteo
3. Pectoriloquia afona.
 Soplo espiratorio de tono grave (letra O)
 Estertores subcrepitantes, espiración e

inspiración modif. Con la tos (aire por una
pajilla)
 Transmisión articulada de la vos cuando se
indica que hable en voz baja
 Hiperclaridad circunscrita
 Forma, tamaño y contornos variables
 Nivel horizontal (liquido y gas en su interior)
 Enfisema pulmonar
 Distensión permanente del parénquima

pulmonar con atrapamiento de aire y ruptura
de las paredes alveolares.
 Disnea

 Cianosis en labios, nariz, lóbulos de

orejas
 Varicocidades rojizas o cianóticas en
las alas de la nariz y en los carrillos
 Aleteo nasal
 Cuello corto con Plétora yugular
 Tórax en tonel
 Hombros levantados

 Cifosis
 Escasa o nula movilidad del tórax (1-2 cm)
 Vibraciones vocales disminuidas

 Hipersonoro (tipo timpanico)
 Costillas en disposición horizontal
 Aplanamiento de cúpulas diafragmáticas
 Los ángulos costo y condrofrenicos se hacen

obtusos o rectos
 Aumento del espacio retroesternal
 Parénquima pulmonar hiperluminoso
 No comprende todas las lesiones destructivas

del pulmón como pseudocavernas
bronquiectasias, gangrenas, absceso.
 Exclusivo de las cavernas de tuberculosis
(espeluncas)
 Cavitación: creación de un espacio en el interior
de una lesión, de contenido necrótico, detritus,
sangre o gas.
 Inicia lesión alveolar expandiéndose y

lesionado tejido circundante.
 Periferia, supraclaviculares
 Hiliares
 Basal
 Según el tiempo de proceso exudativocaseificacion
 Distinto tamaño
 Migas pan o panal de abejas
 Disminución movilidad lado afectado
 Incluso depresión pared torácica en zona

lesión.
 Movilidad poco modificada.
 Vibraciones vocales aumentadas
(hiperdensidad pericavitaria)
 Matidez-submatidez por la condensacion
 Puede haber sonido timpanico.
 Soplo cavitario
 gorgoteo
 Según leyes Ameuille:
 1.Volumen mínimo
 2.Profundidad máxima
 3.Buena transmisión

 Contrario cavernas mudas
 Tuberculosis principal causa de muerte por

enfermedades infecciosas en el mundo.
 M. tuberculosis
 Crecen lentamente

 Mas del 60% de la pared esta compuesta por

lípidos; ácidos micolicos.
 Bombas de la membrana.
 Intracelular (macrófagos).
 Latencia.
 Antituberculosos de primera línea:

 ISONIACIDA
 RIFAMPICINA
 PIRAZINAMIDA

 ETAMBUTOL
 ESTREPTOMICINA

Máxima eficacia c/grado aceptable
de toxicidad.
 Antituberculosos de segunda línea:
 Acido aminosalicilico (PAS)
 Etionamida

 Capreomicina
 Cicloserina
 Amikacina

 Ciprofloxacina
 Rifabutina
 Rifapentina
 Profármaco.
 Bacteriostático en bacterias en edo. de

reposo.
 Bactericida en etapas de división rápida.
 Alta selectividad por micobacterias
 Penetra fácilmente las células y es eficaz
contra bacilos intracelulares en fase de
crecimiento.
H2O2, NO
 VO biodisponibilidad mayor del 90 %
 Hidrosoluble por lo tanto buena distribución

en líquidos corporales.
 Unido a proteínas cerca del 10%.
 Excreción urinaria del 75-95% de la dosis en
24h.La mayoría, acetilación (acetilidoniazida)
e hidrólisis (ac. Isonicotinico)
 Higado arilamina N-acetiltransferasa tipo
2.
 No. 1 en tx de tuberculosis mas piridoxina y

B6 profilaxis de adversos sobre SNC
 Erupciones, fiebre, ictericia y neuropatia

periférica.
 Hepatotox. En acetiladores lentos
 Hipersensibilidad: fiebre, erupciones, hepatitis,
erupciones morbiliformes, maculopapular,
purpurica y urticaria.
 Hematológicos posibles: agranulocitosis,
eosinofilia, trombocitopenia y anemia.
 Vasculitis x ab’s antinucleares que desaparecen
al interrumpir el tx.
 Mutaciones en KatG
 Mutaciones en genes InhA y KasA
 Las mutaciones en InhA confieren resistencia

cruzada a etionamida
 Producida por Amycolaptosis mediterranei
 Soluble a pH acido
 Antibiótico bactericida.

 E. coli
 Pseudomonas
 Proteus

 Klebsiella
 Staphylococcus aureus
 Haemophilus influenzae
 Neisseria meningitidis
 In vitro incrementa la actividad de

estreptomicina e isoniacida. M. tuberculosis
 Mecanismo de acción: inhibe la polimerasa de

RNA de pendiente de DNA que suprime el
comienzo de la formación de su cadena (pero no
la elongación) en la síntesis de RNA.
 El acido aminosalicilico retrasa su absorción,

si se administran juntas, proporcionar de 8 a
12 hrs de diferencia.
 Absorción en aparato digestivo-bilis-

circulación enterohepática.
 Vida media aumenta con disfunción hepática.
 Bien tolerada, menos del 4% presenta reacciones

adversas.
 Inductor potente de P450, por lo tanto reduce

vida media de digoxina, metoprolol, verapamilo,
corticoesteroides, anticoagulantes orales,
anticonceptivos orales, sulfonilureas etc.
 Análogo sintético pirazínico de la

nicotinamida

 Actividad antibacteriana: actividad a pH

acido es ideal porque M. tuberculosis reside en
un fagosoma ácido dentro del macrófago
 Aparece resistencia si se utiliza sola
 Blanco: gen que codifica la sintasa de ácidos

grasos I micobacteriana comprendido en la
biosíntesis del ácido micólico
• Absorción satisfactoria en las vías
•
•
•
•

•

gastrointestinales
Dosis de 500 mg
[9-12 µg/ml] a las 2h
t ½= 9-10 h en pacientes con función renal
normal
Excreción por filtración glomerular
Penetración a LCR es excelente
Se hidroliza hasta ácido 5-hidroxipirazinoico
 Terapia antifímica a base de varios fármacos y

por lapsos breves
 Dosis máxima: 2 g/día
 Segura y eficaz 2 o 3 veces por semana
 DAÑO HEPÁTICO (con dosis de 40-50 mg/kg,

en cerca de 15% de pacientes)
 Incremento en plasma de aminotransferasa
de ala y de asp (anormalidades tempranas)
 Antes de administrar, realizar estudios de
función hepática y repetirlos a intervalos
durante el tratamiento.
 Si hay daño, retirar INMEDIATAMENTE
•
•
•
•
•
•
•
•
•
•
•

SE INHIBE EXCRECION DE ACIDO ÚRICO
Hiperuricemia y casos agudos de gota
Otros:
Artralgias
Anorexia
Nausea
Vómito
Disuria
Malestar general
Fiebre
 Isoniacida, rifampicina, pirazonamida,

etambutol.
 Primera línea (anexo por resistencia).
 Sintetico, termoestable e hidrosoluble
 Limita transferasas de arabinosilo, inhibiendo

arabinoglucano.
 Dosis 25mg/kg
 [ ] 2 – 5 μg/ml en 2-4h
 Excreción: 20% heces, 50% orina
 Neuritis retrobulbar (perdida de agudeza

visual y ceguera al rojo y verde)
 Interferencia de formación de péptidos
 Lectura errónea de mRNA
 Disgregación de polisomas en monosomas no

funcionales
 Dosis 1g/día
 Sulfato de estreptomicina IV IM (meningitis)

15 mg/kg/día 2-3 sem.
 40μg/ml en 30 – 60 min
 Ototoxicidad
 Nefrotoxicidad
 Vértigo
 Dism. De audición

Síndromes Pulmonares

  • 1.
    Instituto Politécnico Nacional EscuelaSuperior de Medicina Hospital Regional Poniente Tacuba Fisiopatología Angeles Garibay Sergio Oswaldo. Hernández Juan Grupo 6CM20.
  • 2.
    Sindrome de Condensación Atelactasia Espacios Aéreos Liquido Exudado Reducción Espacios El parénquimapulmonar tiene una estructura heterogénea constituida por espacios aéreos separados entre sí por tabiques intraalveolares. En condiciones patológicas esta estructura puede hacerse homogénea
  • 3.
    Gérmenes Pulmonares Tumores Hemorragias Alveolares EdemaPulmonar Agudo Palpación Percusión Reducción Espacio Pulmonar Matidez Aumento Vibraciones Vocales sobre el Área a Submatidez Auscultacón Murmullo Visceral Soplo Tubarico Broncofonía Pectoriloquia Egofonía Estertores Crepitantes
  • 4.
  • 7.
    Congestiva Lesiones Difusas Edema Hemorrágico Pulmonesa Tensión Insuficiencia Respiratoria Sepsis Fulminante Posoperatoria Primaria Efectos Depresores de Anestésicos Anestesia Narcótica en Madre
  • 8.
    Tumores Bronquiales Cuerpos Extraños SecreciónEspesa y Coágulos Neumotórax Hemotorax Derrame Pleural
  • 9.
    Obstrucción Bronquial Relajación Pulmonarpor aire o liquido en pleura Cicatrizal Compresión Extrínseca
  • 10.
    Taquipnea Fiebre Hipopnea Dolor Torácico Expectoración Fascia Neumónica Obstructiva RetracciónHemitórax Ventilación del Área Comprometida Expansión Vibraciones Vocales Murmullo Sonoro No Obstructiva Soplo Tubarico (compresión) Soplo Pleutorico Voz Anafórica
  • 16.
    Bronquiectasia • Es unaenfermedad caracterizada por dilatación permanente de los bronquios y los bronquiolos, causada por destrucción del músculo y tejido elástico, y originada, principalmente, por infecciones necrotizantes crónicas.
  • 17.
    Bronquiectasia focal • Cambiosbronquioectasicos en un área localizada del pulmón • Extrinseca: compresión por linfadenopatía • Intrinseca: tumor en la vía aérea u objeto extraño Bronquiectasia difusa • Bronquiectasias diseminadas por todo el pulmón
  • 18.
  • 19.
    Presencia de microbios Inflamacióncrónica Daño a la pared de la vía aérea Aclaramiento de secreciones y microbios afetada Infección/inflamación continua
  • 20.
    Inflamación Dilatación Destrucción de la pared Pérdidade elastina Pérdida de músculo liso Pérdida de cartílago
  • 23.
  • 24.
     Patología queproduce atrapamiento de aire a nivel de parénquima pulmonar con dilatación alveolar, parcial o total con atrofia y perdida de elasticidad de sus paredes.  Expresa el estado de menor densidad del parénquima pulmonar.  Lesiones hipodensas del parénquima pulmonar.
  • 25.
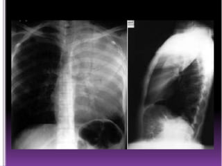
     Destrucción delparénquima pulmonar con la formación de una cavidad. (tuberculosis)  Triada: 1. Soplo cavitario. 2. Gargoteo 3. Pectoriloquia afona.
  • 26.
     Soplo espiratoriode tono grave (letra O)  Estertores subcrepitantes, espiración e inspiración modif. Con la tos (aire por una pajilla)  Transmisión articulada de la vos cuando se indica que hable en voz baja
  • 29.
     Hiperclaridad circunscrita Forma, tamaño y contornos variables  Nivel horizontal (liquido y gas en su interior)
  • 31.
     Enfisema pulmonar Distensión permanente del parénquima pulmonar con atrapamiento de aire y ruptura de las paredes alveolares.
  • 32.
     Disnea  Cianosisen labios, nariz, lóbulos de orejas  Varicocidades rojizas o cianóticas en las alas de la nariz y en los carrillos
  • 33.
     Aleteo nasal Cuello corto con Plétora yugular
  • 34.
     Tórax entonel  Hombros levantados  Cifosis  Escasa o nula movilidad del tórax (1-2 cm)  Vibraciones vocales disminuidas  Hipersonoro (tipo timpanico)
  • 35.
     Costillas endisposición horizontal  Aplanamiento de cúpulas diafragmáticas  Los ángulos costo y condrofrenicos se hacen obtusos o rectos  Aumento del espacio retroesternal  Parénquima pulmonar hiperluminoso
  • 38.
     No comprendetodas las lesiones destructivas del pulmón como pseudocavernas bronquiectasias, gangrenas, absceso.  Exclusivo de las cavernas de tuberculosis (espeluncas)  Cavitación: creación de un espacio en el interior de una lesión, de contenido necrótico, detritus, sangre o gas.
  • 40.
     Inicia lesiónalveolar expandiéndose y lesionado tejido circundante.  Periferia, supraclaviculares  Hiliares  Basal  Según el tiempo de proceso exudativocaseificacion  Distinto tamaño  Migas pan o panal de abejas
  • 41.
     Disminución movilidadlado afectado  Incluso depresión pared torácica en zona lesión.  Movilidad poco modificada.  Vibraciones vocales aumentadas (hiperdensidad pericavitaria)
  • 42.
     Matidez-submatidez porla condensacion  Puede haber sonido timpanico.
  • 43.
     Soplo cavitario gorgoteo  Según leyes Ameuille:  1.Volumen mínimo  2.Profundidad máxima  3.Buena transmisión  Contrario cavernas mudas
  • 44.
     Tuberculosis principalcausa de muerte por enfermedades infecciosas en el mundo.  M. tuberculosis
  • 45.
     Crecen lentamente Mas del 60% de la pared esta compuesta por lípidos; ácidos micolicos.  Bombas de la membrana.  Intracelular (macrófagos).  Latencia.
  • 51.
     Antituberculosos deprimera línea:  ISONIACIDA  RIFAMPICINA  PIRAZINAMIDA  ETAMBUTOL  ESTREPTOMICINA Máxima eficacia c/grado aceptable de toxicidad.
  • 52.
     Antituberculosos desegunda línea:  Acido aminosalicilico (PAS)  Etionamida  Capreomicina  Cicloserina  Amikacina  Ciprofloxacina  Rifabutina  Rifapentina
  • 53.
     Profármaco.  Bacteriostáticoen bacterias en edo. de reposo.  Bactericida en etapas de división rápida.  Alta selectividad por micobacterias  Penetra fácilmente las células y es eficaz contra bacilos intracelulares en fase de crecimiento.
  • 54.
  • 55.
     VO biodisponibilidadmayor del 90 %  Hidrosoluble por lo tanto buena distribución en líquidos corporales.  Unido a proteínas cerca del 10%.  Excreción urinaria del 75-95% de la dosis en 24h.La mayoría, acetilación (acetilidoniazida) e hidrólisis (ac. Isonicotinico)  Higado arilamina N-acetiltransferasa tipo 2.
  • 56.
     No. 1en tx de tuberculosis mas piridoxina y B6 profilaxis de adversos sobre SNC
  • 57.
     Erupciones, fiebre,ictericia y neuropatia periférica.  Hepatotox. En acetiladores lentos  Hipersensibilidad: fiebre, erupciones, hepatitis, erupciones morbiliformes, maculopapular, purpurica y urticaria.  Hematológicos posibles: agranulocitosis, eosinofilia, trombocitopenia y anemia.  Vasculitis x ab’s antinucleares que desaparecen al interrumpir el tx.
  • 58.
     Mutaciones enKatG  Mutaciones en genes InhA y KasA  Las mutaciones en InhA confieren resistencia cruzada a etionamida
  • 59.
     Producida porAmycolaptosis mediterranei  Soluble a pH acido
  • 60.
     Antibiótico bactericida. E. coli  Pseudomonas  Proteus  Klebsiella  Staphylococcus aureus  Haemophilus influenzae  Neisseria meningitidis
  • 61.
     In vitroincrementa la actividad de estreptomicina e isoniacida. M. tuberculosis  Mecanismo de acción: inhibe la polimerasa de RNA de pendiente de DNA que suprime el comienzo de la formación de su cadena (pero no la elongación) en la síntesis de RNA.
  • 62.
     El acidoaminosalicilico retrasa su absorción, si se administran juntas, proporcionar de 8 a 12 hrs de diferencia.  Absorción en aparato digestivo-bilis- circulación enterohepática.  Vida media aumenta con disfunción hepática.
  • 63.
     Bien tolerada,menos del 4% presenta reacciones adversas.  Inductor potente de P450, por lo tanto reduce vida media de digoxina, metoprolol, verapamilo, corticoesteroides, anticoagulantes orales, anticonceptivos orales, sulfonilureas etc.
  • 64.
     Análogo sintéticopirazínico de la nicotinamida  Actividad antibacteriana: actividad a pH acido es ideal porque M. tuberculosis reside en un fagosoma ácido dentro del macrófago
  • 65.
     Aparece resistenciasi se utiliza sola  Blanco: gen que codifica la sintasa de ácidos grasos I micobacteriana comprendido en la biosíntesis del ácido micólico
  • 66.
    • Absorción satisfactoriaen las vías • • • • • gastrointestinales Dosis de 500 mg [9-12 µg/ml] a las 2h t ½= 9-10 h en pacientes con función renal normal Excreción por filtración glomerular Penetración a LCR es excelente Se hidroliza hasta ácido 5-hidroxipirazinoico
  • 67.
     Terapia antifímicaa base de varios fármacos y por lapsos breves  Dosis máxima: 2 g/día  Segura y eficaz 2 o 3 veces por semana
  • 68.
     DAÑO HEPÁTICO(con dosis de 40-50 mg/kg, en cerca de 15% de pacientes)  Incremento en plasma de aminotransferasa de ala y de asp (anormalidades tempranas)  Antes de administrar, realizar estudios de función hepática y repetirlos a intervalos durante el tratamiento.  Si hay daño, retirar INMEDIATAMENTE
  • 69.
    • • • • • • • • • • • SE INHIBE EXCRECIONDE ACIDO ÚRICO Hiperuricemia y casos agudos de gota Otros: Artralgias Anorexia Nausea Vómito Disuria Malestar general Fiebre
  • 70.
     Isoniacida, rifampicina,pirazonamida, etambutol.  Primera línea (anexo por resistencia).  Sintetico, termoestable e hidrosoluble
  • 71.
     Limita transferasasde arabinosilo, inhibiendo arabinoglucano.  Dosis 25mg/kg  [ ] 2 – 5 μg/ml en 2-4h  Excreción: 20% heces, 50% orina
  • 72.
     Neuritis retrobulbar(perdida de agudeza visual y ceguera al rojo y verde)
  • 74.
     Interferencia deformación de péptidos  Lectura errónea de mRNA  Disgregación de polisomas en monosomas no funcionales
  • 75.
     Dosis 1g/día Sulfato de estreptomicina IV IM (meningitis) 15 mg/kg/día 2-3 sem.  40μg/ml en 30 – 60 min
  • 76.
     Ototoxicidad  Nefrotoxicidad Vértigo  Dism. De audición