Miluska
Ramírez
Rodríguez
SINDROME DE SHEEHAN
 El hipotálamo recibe e integra múltiples señales centrales y
periféricas; los productos resultantes de la neurosecreción
regulan la función tiroidea, suprarrenal y gonadal, así como
acciones sobre la adenohipófisis, las cuales, a su vez, regulan
el crecimiento y la lactancia.
 La adenohipófisis sufre importantes cambios anatómicos e
histológicos durante la gestación. Se produce un gran
aumento del volumen del lóbulo anterior (hasta tres veces),
con una altura hipofisiaria resultante y un promedio de 12
mm. El peso glandular se incrementa un 33 – 40%
 El síndrome de Sheehan es el infarto de la
glándula hipofisaria secundario a una hemorragia postparto
(por ende, solo ocurre en mujeres). Se produce entonces un
panhipopituitarismo, encontrándose niveles bajos de
la hormona estimulante del tiroides, estimulante hormona
adrenocorticotrópica y la estimulante de las hormonas
sexuales.
 Este síndrome tiene una incidencia de 1/10000 partos.
 Es causa de muerte postparto en la madre en un 25% dentro
de la presentación aguda del sindrome
 La función hipofisiaria puede o no verse alterada; guarda
mayor relación con la compresión del tallo que con el propio
aplastamiento del parénquima.
 Para que exista déficit en la función hipofisiaria, debe existir
antes una destrucción de la adenohipófisis mayor del 70%. Se
habla de hipopituitarismo completo si la pérdida es mayor al
90%.
Aumento de tamaño
de adenohipofisis
Incremento de peso
en un 33% (1.33gr).
Aumento de células
lactotropas de 15-
20% hasta 50-60%.
Hemorragia
postparto mayor a
700cc
Isquemia y necrosis
1. Prolactina -> agalactia
2. Gonadotropinas ( LH y FSH) -> amenorrea
3. GH -> falta de anabolismo proteico.
 4. Déficit de hormona estimulante de la tiroides (TSH) -> Hipotiroidismo
• Ausencia del sudor
• Metabolismo basal bajo (cansancio, sensibilidad al frio, estreñimiento y
mixedema)
 5. Déficit de hormona adenocorticotropica (ACTH) ->
• Perdida de peso
• Cambios de personalidad y signos de deterioro mental
• Tensión arterial baja
• Hipoglucemia
• Perdida de vello axilar y púbico
• Astenia
• Falta de secreción sebácea
• Diarrea
• Palidez
• Disminución de la libido
 Deficiencia de Hormonas de la
Anterohipofisis:
 Hormona de Crecimiento
 Prolactina
 Hormonas Gonadotropicas
 Hormona Corticotropa
H. Leutinizante
Corticotropina -
Cortisol
Tirotropina - Tiroxina
Años después.
 Hipotiroidismo secundario
 Insuficiencia adrenal secundario
Hormona Valores Normales
GH (Hormona del
crecimiento en reposo):
1.6-3 ng/mL
PLR 0-20 ng/mL
FSH 3-26 U/L
LH 2-10 U/L
ACTH 9-52 pg/mL
TSH 0,4-4 µU/mL
T3 0,84 a 1,72 ng/dL
T4 libre 0,80 a 1,90 ng/dL
http://clubmocosetas.foroactivo.com/t8-valores-de-analisis-hormonales-en-
general
Perfil Hormonal Estándar de Oro
 La tomografía
computarizada o
una resonancia
magnética
usualmente no son
útiles en la fase
aguda.
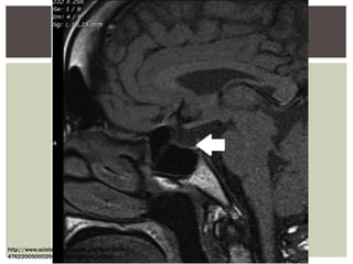
La imagen
característica es la de
"silla turca vacía",
la cual aparece varios
meses posteriores al
evento hemorrágico.
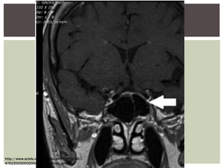
Síndrome de Sheehan en
una mujer de 37 años de
edad que presentó con una
historia clásica de
hipopituitarismo de 3 meses
de evolución luego de un
parto complicado. La
imagen de una MRI T1, un
corte Sagital, muestra un
silla turca vacía con
herniación del quiasmo
óptico (flecha) en la silla
turca.
http://www.scielo.org.ve/scielo.php?pid=S0367-
47622005000200004&script=sci_arttext
http://www.scielo.org.ve/scielo.php?pid=S0367-
47622005000200004&script=sci_arttext
http://www.scielo.org.ve/scielo.php?pid=S036747622005000200004&script=sci_
DIAGNOSTICO DIFERENCIAL
Hipofisistis Linfocitaria
o No hay historia de hemorragia
pp
o RMI agrandamiento hipofisario
o Hipopit de rápida instalación
o Adenal , Tiroideo , Gh, Gonadal
o No hay marcador
específico:Antic 49KDa
Sindrome Sheehan
o Hemorragia pp
o RMI silla turca vacía
o Hipopit puede llevar años
o Gonadal , GH , Adrenal ,
Tiroideo
o Antic. 49KDa + 63%
2-3 dosis al día
Simulando dosis de cortisol
15 a 30mg al día
5 a 7.5mg al día
1.6mcg/Kg/día
Inicio 2 semanas después
crisis adrenal
simulación de ciclos
menstruales
50 a 55 años
dosis

Sindrome de Sheehan

  • 1.
  • 2.
     El hipotálamorecibe e integra múltiples señales centrales y periféricas; los productos resultantes de la neurosecreción regulan la función tiroidea, suprarrenal y gonadal, así como acciones sobre la adenohipófisis, las cuales, a su vez, regulan el crecimiento y la lactancia.  La adenohipófisis sufre importantes cambios anatómicos e histológicos durante la gestación. Se produce un gran aumento del volumen del lóbulo anterior (hasta tres veces), con una altura hipofisiaria resultante y un promedio de 12 mm. El peso glandular se incrementa un 33 – 40%
  • 3.
     El síndromede Sheehan es el infarto de la glándula hipofisaria secundario a una hemorragia postparto (por ende, solo ocurre en mujeres). Se produce entonces un panhipopituitarismo, encontrándose niveles bajos de la hormona estimulante del tiroides, estimulante hormona adrenocorticotrópica y la estimulante de las hormonas sexuales.
  • 4.
     Este síndrometiene una incidencia de 1/10000 partos.  Es causa de muerte postparto en la madre en un 25% dentro de la presentación aguda del sindrome  La función hipofisiaria puede o no verse alterada; guarda mayor relación con la compresión del tallo que con el propio aplastamiento del parénquima.  Para que exista déficit en la función hipofisiaria, debe existir antes una destrucción de la adenohipófisis mayor del 70%. Se habla de hipopituitarismo completo si la pérdida es mayor al 90%.
  • 5.
    Aumento de tamaño deadenohipofisis Incremento de peso en un 33% (1.33gr). Aumento de células lactotropas de 15- 20% hasta 50-60%. Hemorragia postparto mayor a 700cc Isquemia y necrosis
  • 6.
    1. Prolactina ->agalactia 2. Gonadotropinas ( LH y FSH) -> amenorrea 3. GH -> falta de anabolismo proteico.  4. Déficit de hormona estimulante de la tiroides (TSH) -> Hipotiroidismo • Ausencia del sudor • Metabolismo basal bajo (cansancio, sensibilidad al frio, estreñimiento y mixedema)  5. Déficit de hormona adenocorticotropica (ACTH) -> • Perdida de peso • Cambios de personalidad y signos de deterioro mental • Tensión arterial baja • Hipoglucemia • Perdida de vello axilar y púbico • Astenia • Falta de secreción sebácea • Diarrea • Palidez • Disminución de la libido
  • 8.
     Deficiencia deHormonas de la Anterohipofisis:  Hormona de Crecimiento  Prolactina  Hormonas Gonadotropicas  Hormona Corticotropa
  • 9.
  • 10.
    Años después.  Hipotiroidismosecundario  Insuficiencia adrenal secundario
  • 11.
    Hormona Valores Normales GH(Hormona del crecimiento en reposo): 1.6-3 ng/mL PLR 0-20 ng/mL FSH 3-26 U/L LH 2-10 U/L ACTH 9-52 pg/mL TSH 0,4-4 µU/mL T3 0,84 a 1,72 ng/dL T4 libre 0,80 a 1,90 ng/dL http://clubmocosetas.foroactivo.com/t8-valores-de-analisis-hormonales-en- general Perfil Hormonal Estándar de Oro
  • 12.
     La tomografía computarizadao una resonancia magnética usualmente no son útiles en la fase aguda.
  • 13.
    La imagen característica esla de "silla turca vacía", la cual aparece varios meses posteriores al evento hemorrágico. Síndrome de Sheehan en una mujer de 37 años de edad que presentó con una historia clásica de hipopituitarismo de 3 meses de evolución luego de un parto complicado. La imagen de una MRI T1, un corte Sagital, muestra un silla turca vacía con herniación del quiasmo óptico (flecha) en la silla turca.
  • 14.
  • 15.
  • 16.
  • 18.
    DIAGNOSTICO DIFERENCIAL Hipofisistis Linfocitaria oNo hay historia de hemorragia pp o RMI agrandamiento hipofisario o Hipopit de rápida instalación o Adenal , Tiroideo , Gh, Gonadal o No hay marcador específico:Antic 49KDa Sindrome Sheehan o Hemorragia pp o RMI silla turca vacía o Hipopit puede llevar años o Gonadal , GH , Adrenal , Tiroideo o Antic. 49KDa + 63%
  • 19.
    2-3 dosis aldía Simulando dosis de cortisol 15 a 30mg al día 5 a 7.5mg al día 1.6mcg/Kg/día Inicio 2 semanas después crisis adrenal simulación de ciclos menstruales 50 a 55 años dosis

Notas del editor

  • #20 2 a 3 veces al día con la mayor dosis por la mañana y una dosis más bajas por la tarde simulando la secreción de cortisol e 15 a 30mg al día prednisona con dosis de 5 a 7.5mg al día