Caso Clínico – Sala de Patología Obstétrica
                 Junio de 2010


Asesores                Realizado por :
Dr. W. Reyes            Dr. Alberto Morales
Dr. R. Velarde          Dr. Cristhian Chung
Dr. O. Reyes            Dra. Johany Concepción
 Nombre: A. G. F.
 Edad: 33 años
 Religión: Católica
 Ocupación: Ama de casa
 Estado civil: Unida
 Residencia: Parque Lefevre
 APP: Niega                  Antecedentes GO:
 AHF: madre HTA                 •G3C2
 APNP:                          •Menarca: 13
     Tabaquismo: negado         •IVSA: 18
     Etilismo: negado           •CS: 1
     Transfusiones: negado      •FUM: 8-2-2010
     Alergias: negado           •FPP: 15-11-2010
 A. Qx:
                                 •CM: c mes 3-5 días
   cesáreas # 2
                                 •ACO: negado
                                 •CPN: ninguno
   Quistectomía de mama
      izquierda
 Paciente de 33 años G3C2 con embarazo de 17 semanas
 (por FUM), SCPN, acude con historia de más o menos 1
 día de evolución con dolor en bajo vientre cólico
 intermitente asociado a disuria y tenesmo vesical, y
 sangrado transvaginal escaso sin coágulos, niega fiebre
 u otra sintomatología.
 PA 95/60 Fc: 84x           Fr: 20x FCF: 150 x
   Alerta, orientada, afebril
   Cardiopulmonar sin alteraciones
   Abdomen blando, depresible no doloroso
   Útero ± 16cm
   Especulo: leucorrea escasa no fétida, se observa cérvix
    sin lesiones, dilatado 2-3 cm, no hay sangrado activo,
    no hay salida de líquido.
   TV: Cuello intermedio, acortado, dilatado 2-3 cm
   USG: Producto único de 16 semanas FCF + cefálico,
    placenta fúndica
BHC (ingreso)              •Urinálisis: no patológico
 Hemoglobina:   11.7      •HIV: Negativo
                           •VDRL: No reactor
 Hematocrito:   36.0
 Leucocitos:    11 300
 Neutrofilos    71.6 %
 Linfocitos:    29.4 %
 Plaquetas:     198 mil
1. Embarazo de 16 semanas
2. Amenaza de Aborto
10-6-10
Se realiza USG en sala:
Se observa producto único de 190 g de 17 2/7 semanas
Longitud cervical de 1.48 cm

Examen físico:
Espéculo: se observa cérvix dilatado 2-3 cm con membranas
abombadas, con escaso sangrado transvaginal
Se palpa actividad uterina
Se envía a Sala de Partos para expulsión.

Idx: Aborto Inminente
 STV escaso
 Cuello posterior, reblandecido, 1 dedo permeable
  (multipara)
 No se palpa actividad uterina
 MANEJO ESPECTANTE
 No se palpa actividad uterina
 Al tacto vaginal no ha habido modificaciones
 Al examen con especulo se observa cérvix dilatado mas
  o menos 2cm, con membranas ovulares que protruyen,
  no hay sangrado transvaginal
 Se decide manejo conservador
 Se envía a Sala 23
 Se inicia uteroinhibición con Indometacina
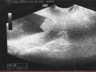
 Especuloscopia: no se observa protrusión de
  membranas , no hay sangrado, no salida de líquido
 USG en sala:
   longitud cervical de 1.04   cm
   presencia de SLUDGE


   Se inicia cobertura antibiótica
   Manejo Expectante
10/6/10   11/6/10
 Espéculo: sin sangrado activo, cervix cerrado no se
 observan membranas

 Cervix 2.47cm
 Se observa disminución de SLUDGE
 Paciente refiere aumento de dolor en bajo vientre y
  presenta sangrado transvaginal escaso
 USG: longitud cervical 1.02 cm Se observa aumento
  de SLUDGE
14/6/10   17/6/10
 Paciente refiere salida de líquido transvaginal
 Especuloscopia: salida evidente de liquído
 USG: No se puede medir líquido amniótico
 IDX: Aborto inevitable
 Se realiza Maduración cervical con Misoprostol
 Se envía a partos para Expulsión
 Expulsión de producto de 240g, ±16 semanas,
  masculino, sin malformaciones evidentes
 Se le realiza Revisión de cavidad con cureta #12 se
  extrae regular cantidad de restos ovulares no fétidos
 Se envía paciente a sala 23
 Buen estado general, afebril, sin sangrado transvaginal
 Se da Egreso
¿Qué es SLUDGE?
 Descrito en el 2005 por Espinosa - Romero
 Hallazgo ultrasonográfico de agregados de partículas
 densas (material flotante hiperecogénico) en el líquido
 amniótico cercano al os cervical interno.
 Cultivos   realizados     se   ha
  encontrado             Ureaplasma
  urealyticum, Mycoplasma hominis
  y Streptococcus mutans
 Se ha asociado a corioamniotitis,
  labor de parto pretérmino y RPM.
 Descrito en mujeres con:
   Amenaza de parto pretérmino y labor pretérmino
   Invasión microbiana del líquido amniótico
   Hallazgo de corioamnionitis (histológica) en pacientes con
    labor pretérmino con membranas intactas.

   Sin embargo se desconoce la consecuencia clínica de la
    presencia del mismo
 Son Comunidades de microorganismos formados por
  células que se unen en forma irreversible a una
  interface o sustrato    en una matriz de sustancias
  extracelulares poliméricas que ellos producen
 Asociados a 80% de infecciones humanas
 La presencia de sludge en líquido amniótico
 sería consideraría         como      un    biofilm
 bacteriano.
Micrografía electrónica de barrido de una floculación de "lodos de líquido amniótico",
mostrando las células bacterianas y el material de la matriz extracelular que constituyen un
biofilm.
IMPORTANCIA:
•Mayor Resistencia antibiótica
•Menor concentración-biodisponibilidad de fármacos
en líquido amniótico
•Dicha película puede ser desprendida por
movimientos fetales resultando en diseminación en
forma planctónica y aumenta la infección.
¿QUÉ NOS DICE LA EVIDENCIA?
 Fem 31 años G5P2 Emb 27,2 sem
 Dilatación de 2-3 cm, borramiento 100%
 USG presencia de Sludge
 10 días después entra en labor de parto con signos de
 corioamnionitis
 Se realiza una amniocentesis transvaginal guiada por
  USG abdominal
 Se aspira SLUDGE
 Líquido amniótico
   Glucosa menor 10mg/dl
   Leu 19650 células/mm3
   Gram: cocos gram positivos
 Se aislan:
   Streptococcus mutans
   Mycoplasma hominis
   Aspergillus flavus
 Estudio Retrospectivo de casos y controles
 US vaginal entre 13-29 semanas
 Se excluyen: APP, gestaciones múltiples, anomalías fetales,
  placenta previa
 Prevalencia de sludge: 23%
 Resultados: Parto prematuro en pacientes con sludge según
  edad gestacional: <28 sem (14.7%) <32 (21.3%) <35 (28.7%)
  <37 (42.1%)
 Se encontró mayor frecuencia de corioamnionitis
    clínica ( 15.2% vs 5.1% p = 0.007)
   Se asoció a mayor frecuencia de corioamnionitis
    histológica (61.5% vs 28% p < 0.01)
   Se asoció a mayor frecuencia de RPM (39.4% vs 13.5%
    p<0.01)
   La presencia de sludge es un factor de riesgo
    independiente para RPM Labor pretérmino y
    corioamnionitis en pacientes asintomáticas
   La combinación de sludge y cervix < 2.5 cm auementa
    el riesgo de labor pretérmino.
 Estudio retrospectivo
 Evalua asociación entre la presencia de sludge y labor de
    parto pretérmino
   Medición US entre 18-32 semanas con riesgo de APP) se
    excluyeron pacientes con gestacion múltiple, cerclaje, labor
    pretérmino.
   Se estratificó el sludge en leve, moderado y denso.
   Resultados: Parto antes de las 34 semanas se encontró en
    6.7% de leve, 44% moderado y 80% de las pacientes con
    sludge denso (p < 0.01)
   Se asoció la precencia de sludge con parto pretérmino
    entre 14 dias posterior al examen y antes de las 34 semanas
    de gestación
 Se ha relacionado la presencia de SLUDGE a infección
  intraamniótica, labor pretérmino y RPM
 El tratamiento de las infecciones asociadas a biofilm
  son un reto por el aumento de la resistencia
  polimicrobiana y disminución de la penetrancia de los
  fármacos.
 Las bacterias en los biofilms aumentan la resistencia a
  los compuestos antimicrobianos a pesar de ser
  sensibles al medicamento en otras condiciones
  (formas planctónicas)
sludge

sludge

  • 1.
    Caso Clínico –Sala de Patología Obstétrica Junio de 2010 Asesores Realizado por : Dr. W. Reyes Dr. Alberto Morales Dr. R. Velarde Dr. Cristhian Chung Dr. O. Reyes Dra. Johany Concepción
  • 2.
     Nombre: A.G. F.  Edad: 33 años  Religión: Católica  Ocupación: Ama de casa  Estado civil: Unida  Residencia: Parque Lefevre
  • 3.
     APP: Niega Antecedentes GO:  AHF: madre HTA •G3C2  APNP: •Menarca: 13  Tabaquismo: negado •IVSA: 18  Etilismo: negado •CS: 1  Transfusiones: negado •FUM: 8-2-2010  Alergias: negado •FPP: 15-11-2010  A. Qx: •CM: c mes 3-5 días  cesáreas # 2 •ACO: negado •CPN: ninguno  Quistectomía de mama izquierda
  • 4.
     Paciente de33 años G3C2 con embarazo de 17 semanas (por FUM), SCPN, acude con historia de más o menos 1 día de evolución con dolor en bajo vientre cólico intermitente asociado a disuria y tenesmo vesical, y sangrado transvaginal escaso sin coágulos, niega fiebre u otra sintomatología.
  • 5.
     PA 95/60Fc: 84x Fr: 20x FCF: 150 x  Alerta, orientada, afebril  Cardiopulmonar sin alteraciones  Abdomen blando, depresible no doloroso  Útero ± 16cm  Especulo: leucorrea escasa no fétida, se observa cérvix sin lesiones, dilatado 2-3 cm, no hay sangrado activo, no hay salida de líquido.  TV: Cuello intermedio, acortado, dilatado 2-3 cm  USG: Producto único de 16 semanas FCF + cefálico, placenta fúndica
  • 6.
    BHC (ingreso) •Urinálisis: no patológico  Hemoglobina: 11.7 •HIV: Negativo •VDRL: No reactor  Hematocrito: 36.0  Leucocitos: 11 300  Neutrofilos 71.6 %  Linfocitos: 29.4 %  Plaquetas: 198 mil
  • 7.
    1. Embarazo de16 semanas 2. Amenaza de Aborto
  • 8.
    10-6-10 Se realiza USGen sala: Se observa producto único de 190 g de 17 2/7 semanas Longitud cervical de 1.48 cm Examen físico: Espéculo: se observa cérvix dilatado 2-3 cm con membranas abombadas, con escaso sangrado transvaginal Se palpa actividad uterina Se envía a Sala de Partos para expulsión. Idx: Aborto Inminente
  • 10.
     STV escaso Cuello posterior, reblandecido, 1 dedo permeable (multipara)  No se palpa actividad uterina  MANEJO ESPECTANTE
  • 11.
     No sepalpa actividad uterina  Al tacto vaginal no ha habido modificaciones  Al examen con especulo se observa cérvix dilatado mas o menos 2cm, con membranas ovulares que protruyen, no hay sangrado transvaginal  Se decide manejo conservador  Se envía a Sala 23  Se inicia uteroinhibición con Indometacina
  • 12.
     Especuloscopia: nose observa protrusión de membranas , no hay sangrado, no salida de líquido  USG en sala:  longitud cervical de 1.04 cm  presencia de SLUDGE  Se inicia cobertura antibiótica  Manejo Expectante
  • 13.
    10/6/10 11/6/10
  • 14.
     Espéculo: sinsangrado activo, cervix cerrado no se observan membranas  Cervix 2.47cm  Se observa disminución de SLUDGE
  • 16.
     Paciente refiereaumento de dolor en bajo vientre y presenta sangrado transvaginal escaso  USG: longitud cervical 1.02 cm Se observa aumento de SLUDGE
  • 17.
    14/6/10 17/6/10
  • 18.
     Paciente refieresalida de líquido transvaginal  Especuloscopia: salida evidente de liquído  USG: No se puede medir líquido amniótico  IDX: Aborto inevitable  Se realiza Maduración cervical con Misoprostol  Se envía a partos para Expulsión
  • 19.
     Expulsión deproducto de 240g, ±16 semanas, masculino, sin malformaciones evidentes  Se le realiza Revisión de cavidad con cureta #12 se extrae regular cantidad de restos ovulares no fétidos  Se envía paciente a sala 23
  • 20.
     Buen estadogeneral, afebril, sin sangrado transvaginal  Se da Egreso
  • 21.
  • 22.
     Descrito enel 2005 por Espinosa - Romero  Hallazgo ultrasonográfico de agregados de partículas densas (material flotante hiperecogénico) en el líquido amniótico cercano al os cervical interno.
  • 23.
     Cultivos realizados se ha encontrado Ureaplasma urealyticum, Mycoplasma hominis y Streptococcus mutans  Se ha asociado a corioamniotitis, labor de parto pretérmino y RPM.
  • 26.
     Descrito enmujeres con:  Amenaza de parto pretérmino y labor pretérmino  Invasión microbiana del líquido amniótico  Hallazgo de corioamnionitis (histológica) en pacientes con labor pretérmino con membranas intactas.  Sin embargo se desconoce la consecuencia clínica de la presencia del mismo
  • 27.
     Son Comunidadesde microorganismos formados por células que se unen en forma irreversible a una interface o sustrato en una matriz de sustancias extracelulares poliméricas que ellos producen  Asociados a 80% de infecciones humanas  La presencia de sludge en líquido amniótico sería consideraría como un biofilm bacteriano.
  • 28.
    Micrografía electrónica debarrido de una floculación de "lodos de líquido amniótico", mostrando las células bacterianas y el material de la matriz extracelular que constituyen un biofilm.
  • 29.
    IMPORTANCIA: •Mayor Resistencia antibiótica •Menorconcentración-biodisponibilidad de fármacos en líquido amniótico •Dicha película puede ser desprendida por movimientos fetales resultando en diseminación en forma planctónica y aumenta la infección.
  • 30.
    ¿QUÉ NOS DICELA EVIDENCIA?
  • 31.
     Fem 31años G5P2 Emb 27,2 sem  Dilatación de 2-3 cm, borramiento 100%  USG presencia de Sludge  10 días después entra en labor de parto con signos de corioamnionitis
  • 32.
     Se realizauna amniocentesis transvaginal guiada por USG abdominal  Se aspira SLUDGE  Líquido amniótico  Glucosa menor 10mg/dl  Leu 19650 células/mm3  Gram: cocos gram positivos  Se aislan:  Streptococcus mutans  Mycoplasma hominis  Aspergillus flavus
  • 33.
     Estudio Retrospectivode casos y controles  US vaginal entre 13-29 semanas  Se excluyen: APP, gestaciones múltiples, anomalías fetales, placenta previa  Prevalencia de sludge: 23%  Resultados: Parto prematuro en pacientes con sludge según edad gestacional: <28 sem (14.7%) <32 (21.3%) <35 (28.7%) <37 (42.1%)
  • 34.
     Se encontrómayor frecuencia de corioamnionitis clínica ( 15.2% vs 5.1% p = 0.007)  Se asoció a mayor frecuencia de corioamnionitis histológica (61.5% vs 28% p < 0.01)  Se asoció a mayor frecuencia de RPM (39.4% vs 13.5% p<0.01)  La presencia de sludge es un factor de riesgo independiente para RPM Labor pretérmino y corioamnionitis en pacientes asintomáticas  La combinación de sludge y cervix < 2.5 cm auementa el riesgo de labor pretérmino.
  • 35.
     Estudio retrospectivo Evalua asociación entre la presencia de sludge y labor de parto pretérmino  Medición US entre 18-32 semanas con riesgo de APP) se excluyeron pacientes con gestacion múltiple, cerclaje, labor pretérmino.  Se estratificó el sludge en leve, moderado y denso.  Resultados: Parto antes de las 34 semanas se encontró en 6.7% de leve, 44% moderado y 80% de las pacientes con sludge denso (p < 0.01)  Se asoció la precencia de sludge con parto pretérmino entre 14 dias posterior al examen y antes de las 34 semanas de gestación
  • 36.
     Se harelacionado la presencia de SLUDGE a infección intraamniótica, labor pretérmino y RPM  El tratamiento de las infecciones asociadas a biofilm son un reto por el aumento de la resistencia polimicrobiana y disminución de la penetrancia de los fármacos.  Las bacterias en los biofilms aumentan la resistencia a los compuestos antimicrobianos a pesar de ser sensibles al medicamento en otras condiciones (formas planctónicas)