Tuberculosis
Epidemiología
 Es una de las enfermedades mas mortíferas del
    mundo.
   Es la primera causa de muerte por enfermedades
    infecciosas en el mundo.
   Cada año ocurren 8 millones de casos nuevos y 3
    millones de personas mueren de la enfermedad.
   95% de los casos ocurren en países en desarrollo.
   Entre el 19 y 43% de la población mundial esta
    infectada con Micobacterium tuberculosis.

                World Health Organization. Group at Risk: WHO Report on Tuberculosis Epidemic.
TBC: Epidemiología
     Grandes cambios como consecuencia del VIH.
     1900- 1950: Mortalidad    10% (250/100.000).
     Luego decrece (5/100.000). Correspondiendo
      principalmente a reactivaciones.



 Desde 1985 empezó a cambiar
dramáticamente.
TBC: Epidemiología
 Entre 1985 -1992 la incidencia aumentó un 18%.
 Se estima que infectados VIH corresponden al 30- 50% del
 total de casos.

               Relación TBC- VIH:
    Aumento reportes en jóvenes.
    Aumento de Primoinfección.
    Aumento resistencia multidrogas.
    VIH es el mayor factor de riesgo para reactivación de
     infección latente (7- 10%/ año).
TBC: Epidemiología
 Estimación: Incidencia anual aumentará un 40% en los
  próximos años.
 Incidencia mundial es muy variada.
Definición

 Es una enfermedad infecto contagiosa, transmisible,
 curable, usualmente crónica, de presentación clínica
 variable, producidas por micobacterias del complejo
 Micobacterium tuberculosis que puede causar
 incapacidad de por vida o la muerte.
TBC: Generalidades
 Enfermedad tan antigüa como la humanidad.
                   Momias de 5.000 años A.C. en Egipto.

 El concepto de contagiosidad de la enfermedad no se
  tuvo hasta el siglo XVIII.
 R. Koch identificó el agente etiológico en 1882.


 Los avances hicieron pensar en una enfermedad prevenible y curable, y
  augurar su eliminación a principios del siglo XXI.
ETIOLOGIA
MYCOBACTERIUM TUBERCULOSIS
Es el mas frecuente en el hombre (95 a
99%)
Es un bacilo que mide 1 a 4 milimicras
de longitud y .3 a .6 milimicras de
diámetro.
Su pared celular esta constituida por
lípidos ac. grasos α-alquilicos y β-
hidroxilicos.
Se tiñe con ZN(carbolfucina) y con AR.
Micobacterium tuberculosis
Características
 Bacilo delgado y algo curvado.
 Parásito estricto: Se trasmite de persona a persona.
 No tiene toxinas: Persiste en bacteriostasis.
 Aerobio estricto: Depende del oxígeno.
 Multiplicación lenta: Condiciona cronicidad.
 Virulencia variable.
 Porta una variedad de antígenos


             Farga, Victorino. Tuberculosis. Publicaciones Técnicas Mediterráneo LTA. Santiago de
TBC: Factores Predisponentes.
   Del bacilo: virulencia; cantidad inoculada.
   Del ambiente: hacinamiento.
   Del huésped:
    a) Fármacos como ciclofosfamida, prednisona.
    b) Infecciones virales como el VIH.
    c) Otras: Diabetes Mellitus, linfomas.
    d) Desnutrición: proteica, alcoholismo.
   Edad: en los extremos de la vida.
   Raza: menor en europeos, mayor en negros.
 La interaccion de M. tuberculosis con el
 hospedador comienza cuando las gotitas
 infecciosas de los pacientes contagiosos son
 inhaladas por la persona.

 los bacilos quedan atrapados en las vias
  respiratorias superiores y son expulsados por el
  barrido ciliar de las celulas de la mucosa.
 Menos del 10% llegan a los alveolos.
 Son englobados inespecificamente por los
  macrofagos alveolares, se debe en parte a la union
 del C2a a la pared celular bacteriana.
 El equilibrio entre la actividad bactericida del
  macrofago y la virulencia del bacilo es lo que
  determina los fenomenos que le siguen a la
  fagocitosis

 Los bacilos con macrofagos englobados inhiben
  su multiplicacion por la produccion de enzimas
  proteoliticas y citocinas sino no sucede esto se
 multiplican si esto pasa su proliferacion lisa los
 macrofagos

 Estas primeras etapas de infeccion suelen ser
  asintomaticas.
Dos o cuatro semanas despues
  de la infeccion se producen dos
  nuevas respuestas del
  hospedador frente a MT :
1. Una que es lesiva para los
    tejidos la cual se debe a la
    reacción de HS retardada
2. Otra que induce activación de
    los macrofagos.
 Cuando se adquiere
 inmunidad especifica
 y se acumulan
 muchos macrófagos
 activados se forman
 lesiones
 granulomatosas
 lesion primaria)
 TIPO DE LESIONES Y EVOLUCIÓN:
• INFLAMACIÓN:        Reabsorción,       necrosis,
 tubérculo.
• Granulomas:        Fibrosis,       calcificación,
 caseificación.
• CASEIFICACION:         Encapsulación     y
 licuefacción.    (BAAR+, cavernas, siembras
 broncógenas)
Tipos de tuberculosis
      Tuberculosis Primaria


                   Sin previo contacto              Pulmones              Foco Ghon (Subpleural, 1-          2 semanas
                                                                                  1.5 cm)

   No evoluciona
                                                                     Bacilos libresganglios               Foco
                                          Complejo Ghon              linfáticos traqueo                    Granulomatoso
                                                            =        bronquial  Granulomas
                                                                                                      +     necrosis
-Inactivación con fibrosis                                                                                 blanda gaseoso
-Osificación                                                         Calcificantes.                        (central)

-Cicatrización fibrosa de
pleural.


                                                                                      -Lesión: necrótica, caseosas y aumentan.
    Tuberculosis Secundaria
                                               Riñón, médula y otros.                 -Lesión caseosa licua  cavidades en
                                                                                      pulmón.
               Reactivación o infección
                                                Vértice de pulmón                     -Inflamación  hemorragias  esputo
                                                                                      hemorrágico.
      Curación                                                                        -Paciente puede morir de hemorragia si se
                                               Tuberculosis cavitaria                 produce rupturas de vasos en cavidades
                                                   fibrocaseosa
                                                                                      producidas por necrosis.
    Tratamiento de
    nódulos fibrosos                                                                  -Daño tisular y evolución variada.
    y calcificados                         Evoluciona a progresiva
Tipos de tuberculosis
                        Tuberculosis Primaria,
                        Complejo primario de
                        Gohn




      Tuberculosis
      Secundaria
      Imagen cavitada
Inicio de los síntomas
                  Primoinfección
 Suele ser subclínica, o síntomas inespecíficos
  (tos, febrícula, etc.)

 En algunos casos asintomática.
TBC Primaria: Manifestaciones Clínicas
(niños)
 Fiebre: Duración: 10- 21 días. (70%)

 Adenopatía hiliar o mediastínica (65%).
      Compresión vía aérea con obstrucción
      bronquial, hiperinsuflación localizada
      seguida de atelectasia.

 Dolor Pleural (25%)      Derrame Pleural (50%)
TBC Postprimaria:
Manifestaciones Clínicas
   Inicio insidioso.



  Tos (50-70%).
  Pérdida de peso.
  Fatiga.
  Fiebre y sudoración nocturna (50%).
  Dolor torácico y disnea (70%).
TBC Postprimaria:
Manifestaciones Clínicas
 Afectación de vías respiratorias altas: disfonía,
  ronquera y/o disfagia dolorosa.


 Examen físico: puede ser completamente normal o
 evidenciar estertores, roncus, sibilancias, sonidos
 anfóricos en las áreas con cavitaciones grandes y
 acropaquias.
Infección latente
Ausencia de síntomas
 clínicos de
 enfermedad, PPD
 positivo y/o la
 existencia de tractos
 fibrocicatriciales en
 el estudio de
 radiografía de tórax,
 sugestivos de
 tuberculosis
 antigüa.
Valoración Diagnóstica.
 Paciente con factores de riesgo y clínica sugestiva.
 Hallazgos en radiografía de tórax.
 PPD           valor limitado.
 Diagnóstico de presunción se realiza por baciloscopía
  positiva mediante tinción de Ziehl-Neelsen o
  preparados de coloración fluorescente como la
  auramina-rodamina (más sensibles).



      Diagnóstico definitivo: Cultivo.
SISTEMA DE 6 PARÁMETROS

1. Bacteriológico: aislamiento del M. tuberculosis (7
   ptos)
2. Anatomopatológico: granuloma específico
   (4ptos)
3. Inmunológico: reacción de tuberculina >10mm
   (3ptos)
4.Rx. Patrón sugestivo de TBC (2 ptos)
5. Clínico: sintomatología sugestiva de TBC (2 ptos)
6.-Epidemiológicos: contactos (2 ptos)

 2 puntos: no existe TBC
  2 a 4 puntos: posible TBC
  5 a 6 puntos: probable TBC
  7 o más puntos: diagnóstico seguro
Diagnóstico
 Radiografia
     •Infilatracion multinodular en segmentos superiores de
     lobulos superiores e inferiores
     •Cicatrices calcificadas
     •Perdida de vol. de lobulos superiores
     •Cavitacion
 Broncoscopia
     •Broncoscopio - Instrumento con una pequeña luz y
     cámara que es insertado a través de la nariz o boca con
     el fin de tomar una muestra(biopsia bronquial) para ser
     analizada.
  Cultivo                            Microscopia
 Especimen: Esputo
 Tres muestras(consecutivas)
                                     Tincion: Ziehl Neelsen y
Lowensstein y Agar Middlebrook Zinyoun
 Incubado a 37C y 5%CO2
                                         Identificacion de bacilos acidorresistentes mediante microscopio optico
Sensibilidad del 80%; Aislamiento
                                               •Sensibilidad del 95%; pacientes con evidencia radiologica de cavitacion
selectivo de micobacterias
Tiempo promedio: 3-6 semanas
     •Recomendable en pacientes no tan
     deteriorados

Costoso
Diagnóstico y profilaxis
 Prueba cutanea(Intradermoreaccion)
•Permite diferenciar entre individuos con o sin infeccion
•Inyeccion de Antigeno Tuberculino(DPP)
•Reactividad cutanea se mide 48 hrs despues de inyeccion intradermica de 5
unidades de Tuberculina
•Reaccion positiva suele aparecer 3-4 semanas despues del contagio

 Reactividad al DPP (mm   Poblaciones
 de induración)
 > o igual a 5mm          Personas con riesgo alto riesgo: pacientes con VIH, personas con
                          radiografías de tórax anormal, contactos recientes de pacientes con
                          tuberculosis.
 > o igual a 10mm         Otras personas con muy alto riesgo:
                          Inmigrantes, adictos a drogas intravenosas, VIH.
 > o igual a 15mm         Todas las demás personas.

 Serologia
       •Elisa, Aglutinacion de Latex
       •Insensibles
       •Solo en casos donde no se puede recoger esputo(T. Extrapulmonar)
  Sondas de Acidos Nucleicos
       •PCR
       •Detecta secuencias de acidos nucleicos especificos de las micobacterias
       •Resultados en horas; muy costosa
   Detección de M.tuberculosis en muestra




    - Baciloscopia (BAAR)              - cultivo en medio
      bacilos ácido-alcohol              Löwenstein-Jensen
      resistentes                      - poca carga bacteriana
    - Ziehl-Nielsen                    - identificación de la cepa
    - rápida, barata y muy
                                       - estudio de sensibilidades a
      eficiente para detectar            los distintos ttos.
      pacientes contagiosos
TBC: Diagnóstico: Rx Tórax
    Manifestaciones variadas e inespecíficas.

 TBC Primaria:

  Linfoadenopatías.
  Opacidades
   parenquimatosas,
   tanto del espacio aéreo
   como del intersticio,
   siendo la
   consolidación del
   espacio aéreo el patrón
   radiológico más
   común, acompañado
TBC: Diagnóstico:Rx Tórax
  Compromete con
  mayor frecuencia
  segmento apical o
  posterior de lóbulos
  superiores.
Otras manifestaciones:
1) Enfermedad
   traqueobronquial:
   Atelectasias o
   hiperinsuflación
   secundaria.
2) Enfermedad pleural:
   derrame de tamaño
TBC: Diagnóstico:Rx Tórax
                       TBC Postprimaria:

                     Distintivo: Predilección por los
                      lóbulos superiores, ausencia
                      linfodenopatías y propensión a
                      excavación.




                     Consolidación del espacio aéreo:
                        patrón común.
TBC: Diagnóstico: Rx Tórax

                                  La excavación es también
                                   una característica
                                   importante de la
                                   tuberculosis post-primaria.
                                              Cavernas

                                  Mezcla de patrones radiográficos:
                                   opacidades lineales, reticulares y
                                   nodulares.




La resolución de las anormalidades radiológicas es lenta. La
  radiografía de tórax no es el mejor método de vigilar la
  respuesta al tto. ATB.
Diagnóstico diferencial
  Psiconeurosis
     Trastornos endócrinos
     Fiebre de causa no determinadas
     Fibrosis pulmonar y efisema
     Neumoconiosis
     Absecesos pulmonares no tuberculosos
     Bronquiectasia
     Neumonía atípica primaria
     Enfermedades micóticas (Coccidioidomicosis)
     Sarcoidosis
     Carcinoma de pulmón
     Trastornos cardiovasculares
     Granulomatosis de Wegener
     Artritis reumatoide
TRATAMIENTO

           PRINCIPALES OBJETIVOS DE LA
                  QUIMIOTERAPIA:

      1.   Producir una muerte rápida y total
           de los bacilos contenidos en las
           lesiones
      2.   Negativizar tempranamente el
           esputo y convertir el paciente en no
           contagiosos.
      3.   Evitar recaídas.
TBC: Tratamiento.
 Principios Básicos:
    Asociación de drogas. Monoterapia produce resistencia.
    Fármacos usados en dosis apropiadas.
    Fármacos deben ser tomados regularmente.
    Tratamiento prolongado.




    Drogas bactericidas, bacteriostáticas y esterilizantes.
TBC: Tratamiento (1º Línea)
   Fármaco         Dosis Diaria    Dosis Diaria    Efectos Secundarios.
                  Adulto (mg/Kg)   Máxima (mg)

Isoniazida              5              300        Neuritis periférica,
                                                  hepatitis,
                                                  hipersensibilidad.

Rifampicina            10              600        Hepatitis, fiebre,
                                                  púrpura, vómitos.

Pirazinamida          15- 30          2.000       Hepatotoxicidad,
                                                  hiperuricemia, artralgia,
                                                  rash cutáneo, molestias
                                                  G-I.
Estreptomicina        10- 15       750- 1.000     Afectación VIII par,
                                                  nefrotoxicidad.
Etambutol             15- 25          2.500       Neuritis óptica, rash
                                                  cutáneo
Características clínico-farmacológicas de los
             medicamentos de primera línea
    FÁRMACO               ACTIVIDAD              ABSORCIÓN            METABOLISMO               EXCRECIÓN
                          CONTRA TB

Rifampicina ( R )      Bactericida             Absorción retardada    Hepático                Mayor parte en heces
                                               por alimentos                                  20-30% por riñón


Isoniacida ( I )       Altamente bactericida   Mayor absorción en     Hepático                Renal
                                               ayunas


Pirazinamida ( P )     Bactericida             Efecto de alimentos    Hepático                70% por riñón
                                               en biodisponibilidad
                                               es mínimo


Etambutol ( E )        Bacteriostático         Efecto de alimentos    Renal y Hepático        80% por riñón
                                               en biodisponibilidad
                                               es mínimo

Estreptomicina ( S )   Bactericida             Parenteral             Distribución amplia     50-60% por riñón y
                                                                      en tejidos y líquidos   pequeña cantidad por
                                                                      corporales              bilis
TRATAMIENTO
PROFILACTICO
 Si un reactor de bajo riesgo proviene de
  un País con prevalecía baja de TB y
  recibió BCG después de los dos años de
  vida y es menor de 20 años no debe de
  recibir tratamiento profiláctico.
 Si un reactor proviene de un País con
  prevalecía alta de TB y recibió BCG
  después de los 2 años de vida y dentro
  de los últimos 5 años, será opcional el
  tratamiento profiláctico.
TRATAMIENTO
PROFILACTICO
 Si se proporciona tratamiento profiláctico
  con isoniacida por 12 meses le confiere una
  protección de un 75% y por lo menos 20
  años.
 Si se da tratamiento profiláctico por 6
  meses le confiere protección por 5 años.
INHALACIÓN DEL
                                  BACILO KOCH




                 DESARROLLO DE
               INMUNIDAD CELULAR
                HIPERSENSIBILIDAD
                     TARDÍA




                                            Enfermedad
Aclaramiento        Infección Latente       rapidamente   Actividad anos después
 Completo               ó crónica            Progresiva       (Reactivación)
                                             (Primaria)
Complicaciones
 Hemoptisis
 Pneumotórax
 Bronquiectasias
 Destrucción pulmonar
 extensa
prevencion
 Evitar Contagio (difícil)
 Medidas de protección a pacientes bacilíferos
 Diagnóstico de casos contagiosos y su correcto
  tratamiento
 Prevenir la enfermedad por medio de vacunas
  (BCG) o antibióticoprofilaxis.
Gracias

Tuberculosis pulmonar

  • 2.
    Tuberculosis Epidemiología  Es unade las enfermedades mas mortíferas del mundo.  Es la primera causa de muerte por enfermedades infecciosas en el mundo.  Cada año ocurren 8 millones de casos nuevos y 3 millones de personas mueren de la enfermedad.  95% de los casos ocurren en países en desarrollo.  Entre el 19 y 43% de la población mundial esta infectada con Micobacterium tuberculosis. World Health Organization. Group at Risk: WHO Report on Tuberculosis Epidemic.
  • 3.
    TBC: Epidemiología  Grandes cambios como consecuencia del VIH.  1900- 1950: Mortalidad 10% (250/100.000).  Luego decrece (5/100.000). Correspondiendo principalmente a reactivaciones.  Desde 1985 empezó a cambiar dramáticamente.
  • 4.
    TBC: Epidemiología  Entre1985 -1992 la incidencia aumentó un 18%.  Se estima que infectados VIH corresponden al 30- 50% del total de casos.  Relación TBC- VIH:  Aumento reportes en jóvenes.  Aumento de Primoinfección.  Aumento resistencia multidrogas.  VIH es el mayor factor de riesgo para reactivación de infección latente (7- 10%/ año).
  • 5.
    TBC: Epidemiología  Estimación:Incidencia anual aumentará un 40% en los próximos años.  Incidencia mundial es muy variada.
  • 6.
    Definición  Es unaenfermedad infecto contagiosa, transmisible, curable, usualmente crónica, de presentación clínica variable, producidas por micobacterias del complejo Micobacterium tuberculosis que puede causar incapacidad de por vida o la muerte.
  • 7.
    TBC: Generalidades  Enfermedadtan antigüa como la humanidad. Momias de 5.000 años A.C. en Egipto.  El concepto de contagiosidad de la enfermedad no se tuvo hasta el siglo XVIII.  R. Koch identificó el agente etiológico en 1882.  Los avances hicieron pensar en una enfermedad prevenible y curable, y augurar su eliminación a principios del siglo XXI.
  • 8.
    ETIOLOGIA MYCOBACTERIUM TUBERCULOSIS Es elmas frecuente en el hombre (95 a 99%) Es un bacilo que mide 1 a 4 milimicras de longitud y .3 a .6 milimicras de diámetro. Su pared celular esta constituida por lípidos ac. grasos α-alquilicos y β- hidroxilicos. Se tiñe con ZN(carbolfucina) y con AR.
  • 10.
    Micobacterium tuberculosis Características  Bacilodelgado y algo curvado.  Parásito estricto: Se trasmite de persona a persona.  No tiene toxinas: Persiste en bacteriostasis.  Aerobio estricto: Depende del oxígeno.  Multiplicación lenta: Condiciona cronicidad.  Virulencia variable.  Porta una variedad de antígenos Farga, Victorino. Tuberculosis. Publicaciones Técnicas Mediterráneo LTA. Santiago de
  • 12.
    TBC: Factores Predisponentes.  Del bacilo: virulencia; cantidad inoculada.  Del ambiente: hacinamiento.  Del huésped: a) Fármacos como ciclofosfamida, prednisona. b) Infecciones virales como el VIH. c) Otras: Diabetes Mellitus, linfomas. d) Desnutrición: proteica, alcoholismo.  Edad: en los extremos de la vida.  Raza: menor en europeos, mayor en negros.
  • 14.
     La interaccionde M. tuberculosis con el hospedador comienza cuando las gotitas infecciosas de los pacientes contagiosos son inhaladas por la persona.  los bacilos quedan atrapados en las vias respiratorias superiores y son expulsados por el barrido ciliar de las celulas de la mucosa.  Menos del 10% llegan a los alveolos.  Son englobados inespecificamente por los macrofagos alveolares, se debe en parte a la union del C2a a la pared celular bacteriana.
  • 15.
     El equilibrioentre la actividad bactericida del macrofago y la virulencia del bacilo es lo que determina los fenomenos que le siguen a la fagocitosis  Los bacilos con macrofagos englobados inhiben su multiplicacion por la produccion de enzimas proteoliticas y citocinas sino no sucede esto se multiplican si esto pasa su proliferacion lisa los macrofagos  Estas primeras etapas de infeccion suelen ser asintomaticas.
  • 16.
    Dos o cuatrosemanas despues de la infeccion se producen dos nuevas respuestas del hospedador frente a MT : 1. Una que es lesiva para los tejidos la cual se debe a la reacción de HS retardada 2. Otra que induce activación de los macrofagos.
  • 17.
     Cuando seadquiere inmunidad especifica y se acumulan muchos macrófagos activados se forman lesiones granulomatosas lesion primaria)
  • 18.
     TIPO DELESIONES Y EVOLUCIÓN: • INFLAMACIÓN: Reabsorción, necrosis, tubérculo. • Granulomas: Fibrosis, calcificación, caseificación. • CASEIFICACION: Encapsulación y licuefacción. (BAAR+, cavernas, siembras broncógenas)
  • 19.
    Tipos de tuberculosis Tuberculosis Primaria Sin previo contacto Pulmones Foco Ghon (Subpleural, 1-  2 semanas 1.5 cm) No evoluciona Bacilos libresganglios Foco Complejo Ghon linfáticos traqueo Granulomatoso = bronquial  Granulomas +  necrosis -Inactivación con fibrosis blanda gaseoso -Osificación Calcificantes. (central) -Cicatrización fibrosa de pleural. -Lesión: necrótica, caseosas y aumentan. Tuberculosis Secundaria Riñón, médula y otros. -Lesión caseosa licua  cavidades en pulmón. Reactivación o infección Vértice de pulmón -Inflamación  hemorragias  esputo hemorrágico. Curación -Paciente puede morir de hemorragia si se Tuberculosis cavitaria produce rupturas de vasos en cavidades fibrocaseosa producidas por necrosis. Tratamiento de nódulos fibrosos -Daño tisular y evolución variada. y calcificados Evoluciona a progresiva
  • 20.
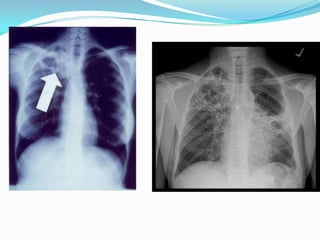
    Tipos de tuberculosis Tuberculosis Primaria, Complejo primario de Gohn Tuberculosis Secundaria Imagen cavitada
  • 21.
    Inicio de lossíntomas Primoinfección  Suele ser subclínica, o síntomas inespecíficos (tos, febrícula, etc.)  En algunos casos asintomática.
  • 22.
    TBC Primaria: ManifestacionesClínicas (niños)  Fiebre: Duración: 10- 21 días. (70%)  Adenopatía hiliar o mediastínica (65%). Compresión vía aérea con obstrucción bronquial, hiperinsuflación localizada seguida de atelectasia.  Dolor Pleural (25%) Derrame Pleural (50%)
  • 23.
    TBC Postprimaria: Manifestaciones Clínicas Inicio insidioso. Tos (50-70%). Pérdida de peso. Fatiga. Fiebre y sudoración nocturna (50%). Dolor torácico y disnea (70%).
  • 24.
    TBC Postprimaria: Manifestaciones Clínicas Afectación de vías respiratorias altas: disfonía, ronquera y/o disfagia dolorosa.  Examen físico: puede ser completamente normal o evidenciar estertores, roncus, sibilancias, sonidos anfóricos en las áreas con cavitaciones grandes y acropaquias.
  • 25.
    Infección latente Ausencia desíntomas clínicos de enfermedad, PPD positivo y/o la existencia de tractos fibrocicatriciales en el estudio de radiografía de tórax, sugestivos de tuberculosis antigüa.
  • 26.
    Valoración Diagnóstica.  Pacientecon factores de riesgo y clínica sugestiva.  Hallazgos en radiografía de tórax.  PPD valor limitado.  Diagnóstico de presunción se realiza por baciloscopía positiva mediante tinción de Ziehl-Neelsen o preparados de coloración fluorescente como la auramina-rodamina (más sensibles).  Diagnóstico definitivo: Cultivo.
  • 27.
    SISTEMA DE 6PARÁMETROS 1. Bacteriológico: aislamiento del M. tuberculosis (7 ptos) 2. Anatomopatológico: granuloma específico (4ptos) 3. Inmunológico: reacción de tuberculina >10mm (3ptos) 4.Rx. Patrón sugestivo de TBC (2 ptos) 5. Clínico: sintomatología sugestiva de TBC (2 ptos) 6.-Epidemiológicos: contactos (2 ptos)  2 puntos: no existe TBC 2 a 4 puntos: posible TBC 5 a 6 puntos: probable TBC 7 o más puntos: diagnóstico seguro
  • 28.
    Diagnóstico  Radiografia •Infilatracion multinodular en segmentos superiores de lobulos superiores e inferiores •Cicatrices calcificadas •Perdida de vol. de lobulos superiores •Cavitacion  Broncoscopia •Broncoscopio - Instrumento con una pequeña luz y cámara que es insertado a través de la nariz o boca con el fin de tomar una muestra(biopsia bronquial) para ser analizada.  Cultivo  Microscopia Especimen: Esputo  Tres muestras(consecutivas) Tincion: Ziehl Neelsen y Lowensstein y Agar Middlebrook Zinyoun  Incubado a 37C y 5%CO2 Identificacion de bacilos acidorresistentes mediante microscopio optico Sensibilidad del 80%; Aislamiento •Sensibilidad del 95%; pacientes con evidencia radiologica de cavitacion selectivo de micobacterias Tiempo promedio: 3-6 semanas •Recomendable en pacientes no tan deteriorados Costoso
  • 29.
    Diagnóstico y profilaxis Prueba cutanea(Intradermoreaccion) •Permite diferenciar entre individuos con o sin infeccion •Inyeccion de Antigeno Tuberculino(DPP) •Reactividad cutanea se mide 48 hrs despues de inyeccion intradermica de 5 unidades de Tuberculina •Reaccion positiva suele aparecer 3-4 semanas despues del contagio Reactividad al DPP (mm Poblaciones de induración) > o igual a 5mm Personas con riesgo alto riesgo: pacientes con VIH, personas con radiografías de tórax anormal, contactos recientes de pacientes con tuberculosis. > o igual a 10mm Otras personas con muy alto riesgo: Inmigrantes, adictos a drogas intravenosas, VIH. > o igual a 15mm Todas las demás personas. Serologia •Elisa, Aglutinacion de Latex •Insensibles •Solo en casos donde no se puede recoger esputo(T. Extrapulmonar)  Sondas de Acidos Nucleicos •PCR •Detecta secuencias de acidos nucleicos especificos de las micobacterias •Resultados en horas; muy costosa
  • 30.
    Detección de M.tuberculosis en muestra - Baciloscopia (BAAR) - cultivo en medio bacilos ácido-alcohol Löwenstein-Jensen resistentes - poca carga bacteriana - Ziehl-Nielsen - identificación de la cepa - rápida, barata y muy - estudio de sensibilidades a eficiente para detectar los distintos ttos. pacientes contagiosos
  • 31.
    TBC: Diagnóstico: RxTórax  Manifestaciones variadas e inespecíficas. TBC Primaria:  Linfoadenopatías.  Opacidades parenquimatosas, tanto del espacio aéreo como del intersticio, siendo la consolidación del espacio aéreo el patrón radiológico más común, acompañado
  • 32.
    TBC: Diagnóstico:Rx Tórax Compromete con mayor frecuencia segmento apical o posterior de lóbulos superiores. Otras manifestaciones: 1) Enfermedad traqueobronquial: Atelectasias o hiperinsuflación secundaria. 2) Enfermedad pleural: derrame de tamaño
  • 33.
    TBC: Diagnóstico:Rx Tórax  TBC Postprimaria:  Distintivo: Predilección por los lóbulos superiores, ausencia linfodenopatías y propensión a excavación. Consolidación del espacio aéreo: patrón común.
  • 35.
    TBC: Diagnóstico: RxTórax  La excavación es también una característica importante de la tuberculosis post-primaria. Cavernas  Mezcla de patrones radiográficos: opacidades lineales, reticulares y nodulares. La resolución de las anormalidades radiológicas es lenta. La radiografía de tórax no es el mejor método de vigilar la respuesta al tto. ATB.
  • 36.
    Diagnóstico diferencial Psiconeurosis  Trastornos endócrinos  Fiebre de causa no determinadas  Fibrosis pulmonar y efisema  Neumoconiosis  Absecesos pulmonares no tuberculosos  Bronquiectasia  Neumonía atípica primaria  Enfermedades micóticas (Coccidioidomicosis)  Sarcoidosis  Carcinoma de pulmón  Trastornos cardiovasculares  Granulomatosis de Wegener  Artritis reumatoide
  • 37.
    TRATAMIENTO PRINCIPALES OBJETIVOS DE LA QUIMIOTERAPIA: 1. Producir una muerte rápida y total de los bacilos contenidos en las lesiones 2. Negativizar tempranamente el esputo y convertir el paciente en no contagiosos. 3. Evitar recaídas.
  • 38.
    TBC: Tratamiento.  PrincipiosBásicos:  Asociación de drogas. Monoterapia produce resistencia.  Fármacos usados en dosis apropiadas.  Fármacos deben ser tomados regularmente.  Tratamiento prolongado. Drogas bactericidas, bacteriostáticas y esterilizantes.
  • 40.
    TBC: Tratamiento (1ºLínea) Fármaco Dosis Diaria Dosis Diaria Efectos Secundarios. Adulto (mg/Kg) Máxima (mg) Isoniazida 5 300 Neuritis periférica, hepatitis, hipersensibilidad. Rifampicina 10 600 Hepatitis, fiebre, púrpura, vómitos. Pirazinamida 15- 30 2.000 Hepatotoxicidad, hiperuricemia, artralgia, rash cutáneo, molestias G-I. Estreptomicina 10- 15 750- 1.000 Afectación VIII par, nefrotoxicidad. Etambutol 15- 25 2.500 Neuritis óptica, rash cutáneo
  • 41.
    Características clínico-farmacológicas delos medicamentos de primera línea FÁRMACO ACTIVIDAD ABSORCIÓN METABOLISMO EXCRECIÓN CONTRA TB Rifampicina ( R ) Bactericida Absorción retardada Hepático Mayor parte en heces por alimentos 20-30% por riñón Isoniacida ( I ) Altamente bactericida Mayor absorción en Hepático Renal ayunas Pirazinamida ( P ) Bactericida Efecto de alimentos Hepático 70% por riñón en biodisponibilidad es mínimo Etambutol ( E ) Bacteriostático Efecto de alimentos Renal y Hepático 80% por riñón en biodisponibilidad es mínimo Estreptomicina ( S ) Bactericida Parenteral Distribución amplia 50-60% por riñón y en tejidos y líquidos pequeña cantidad por corporales bilis
  • 42.
    TRATAMIENTO PROFILACTICO  Si unreactor de bajo riesgo proviene de un País con prevalecía baja de TB y recibió BCG después de los dos años de vida y es menor de 20 años no debe de recibir tratamiento profiláctico.  Si un reactor proviene de un País con prevalecía alta de TB y recibió BCG después de los 2 años de vida y dentro de los últimos 5 años, será opcional el tratamiento profiláctico.
  • 43.
    TRATAMIENTO PROFILACTICO  Si seproporciona tratamiento profiláctico con isoniacida por 12 meses le confiere una protección de un 75% y por lo menos 20 años.  Si se da tratamiento profiláctico por 6 meses le confiere protección por 5 años.
  • 44.
    INHALACIÓN DEL BACILO KOCH DESARROLLO DE INMUNIDAD CELULAR HIPERSENSIBILIDAD TARDÍA Enfermedad Aclaramiento Infección Latente rapidamente Actividad anos después Completo ó crónica Progresiva (Reactivación) (Primaria)
  • 45.
    Complicaciones  Hemoptisis  Pneumotórax Bronquiectasias  Destrucción pulmonar extensa
  • 46.
    prevencion  Evitar Contagio(difícil)  Medidas de protección a pacientes bacilíferos  Diagnóstico de casos contagiosos y su correcto tratamiento  Prevenir la enfermedad por medio de vacunas (BCG) o antibióticoprofilaxis.
  • 47.