TuberculosisTuberculosis
Amenaza global TB
1/31/3
De la población mundialDe la población mundial
(2 billones) infectados con(2 billones) infectados con
TBTB
•8,8 millones casos
nuevos en 2003
•88% en países de alto
riesgo
•TB MDRen 109 países
•2 millones de muertes
anuales (98% en
países en desarrollo)
BACTERIOLOGIABACTERIOLOGIA
CONCEPTO,TAXONOMIA Y CLASIFICACION
DE LAS MICOBACTERIAS
FAMILIA Mycobacteriacea
GENERO Mycobacterium
Relacionado a los Actinomicetos,Nocardia y Rhodococcus.
ESPECIES : 58 especies hasta 1980
CLASIFICACION:
•Runyon
•Nueva Clasificación (Casal) usando criterios de Runyon y otros como
produccion estable o irregular de pigmento y color como Atipicas
ya que se considera como especie Tipica a M.Tb
Mycobacterium Tuberculosis (M.
Tuberculosis)
• Se contagia por la tos, el
estornudo y el hablar
• Se mantiene en el aire y se
propaga fácilmente por corrientes
de aire
• 1-100 organismos pueden
infectar
• También conocido como Bacilo
de Koch o BK
• Factores que influyen en el riesgo
de contagio
– ¿Qué tan infeccioso o contagioso
es el paciente de TB?
– ¿En qué tipo de medio ambiente
ocurrió la exposición?
– ¿Qué tan prolongada fue la
exposición?
– ¿Qué tan virulentos (fuertes) son
los bacilos tuberculosos?
Transmisión
• Persona inhale gotitas
• Algunos pueden
alcanzar los sacos de
aire pequeños del
pulmón (los alvéolos),
donde comienza la
infección
Patogénesis
Alveolos
• Los bacilos pueden
multiplicarse e ingresar
al torrente sanguíneo,
extendiéndose por todo
el cuerpo
Patogénesis
Bronquiolo
Vaso sanguíneo
Alveolos
Bacilos tuberculosos
• El bacilo puede
alcanzar cualquier parte
del cuerpo, incluyendo
las porciones
superiores de los
pulmones (también los
riñones, el cerebro y los
huesos)
Patogénesis
• Dentro de 2 a 10
semanas, el sistema
inmunológico del
cuerpo generalmente
interviene, deteniendo
la multiplicación y
previniendo una mayor
propagación
Patogénesis
Infección de la TB
Si el sistema inmune no
puede mantener el
bacilo tuberculoso bajo
control y el bacilo
comienza a
multiplicarse
rápidamente
Patogénesis
Enfermedad de la TB
Infección vs. Enfermedad
Manifestaciones clínicasManifestaciones clínicas
Estadíos de enfermedad
• Infección primaria
• Periodo de latencia
• Enfermedad activa
– Progresión directa en infección primaria
– Diseminación hematógena
– Reactivación de enfermedad primaria
– Reinfección exógena
Características clínicas, por estadíos
• Infección primaria:
– Inflamación local con formación de granuloma: fiebre
– Adenopatías (hiliar, mediastinal): tos
– Colapso lobar debido a compresión bronquial (puede
llevar a bronquiectasias): tos productiva
– Efusión pleural (exudado linfocitario): dolor pleurítico
– Eritema nodoso (inflamación perivascular debido a CIs
circulantes): dolor
• Infección latente:
– No características clínicas
– Memoria inmunológica: PPD
• Gamma-Interferon blood test
– Secuela radiológica
Características clínicas, por estadíos
• Enfermedad Activa:
– Síntomas pulmonares
• Tos
• Esputo
• Hemoptisis
• Dolor pleurítico
• Disnea
– Síntomas generales
• Fiebre
• Sudoración nocturna
• Pérdida de peso
Características clínicas, por estadíos
DIAGNÓSTICODIAGNÓSTICO
•Fuertemente considerado en pacientes
conteniendo bacilos alohol-ácido resistente (acid-
fast bacilli (AFB))
•Resultados disponibles dentro de 24 horas de
la colección de la muestra
•Diagnóstico presuntivo de TB
•Sensibilidad 5-10000 bacilos/ml esputo
Examinación de frotis de esputo
 Directo : ziehl – nielsen o auramina
Examinación de frotis de esputo
Problemas diagnósticos
• Enfermedad activa
-M. tuberculosis es de aislamiento difícil:
aislamiento en solo 50-60% de casos
• Infección latente
- M. tuberculosis no puede ser cultivado de
individuos con infección latente: no estándar de
oro
La baciloscopía es la prueba diagnostica mas importante
para identificar fuentes de contagio, superando al
criterio clínico y radiológico. Esta prueba tiene:
• Mayor confiabilidad diagnostica
(especificidad 98%) y
• Mayor capacidad de detección
(sensibilidad = 60-80%).
Examinación de frotis de esputo
Cultivo :
 clasico lowenstein – jensen
7 h10, 7h11, midlebrook
Ogawa.
 Radiometricos bactec
 Bifasicos,liquidos.
 Hemocultivos lisis centrifugación
 Identificación de mycobacterias
( Bioquimica, cromatografía, sondas
Genéticas).
Cultivos BK
•Usado para confirmar el diagnóstico de TB
•Cultivar todas las muestras, aún si son
negativos
•Sensibilidad: 10-100 bacilos/ml
•Resultados en 45 días
Cultivos BK
DIAGNOSTICO DE ENFERMEDAD
TUBERCULOSA
 Diagnóstico Anatomopatológico
 Otras Técnicas Diagnosticas
 Citoquimica
 ADA
 Lisozima
 Interferón
 PCR
 ELISA
HIV
• Alta frecuencia de TB EP
• Alta frecuencia de localización atípica y
lesión radiológica
• Alta frecuencia de síntomas generales
• Duración de síntomas más corta antes del
diagnóstico
Bidireccionalidad de la interacción VIH y
Tuberculosis
Incremento de la replicación viral
y progresión acelerada a SIDA.
El VIH al producir deterioro de la
inmunidad celular incrementa el riesgo
reactivación o progresión de infección a
enfermedad tuberculosa.
TRATAMIENTOTRATAMIENTO
• Directly
• Observed
• Therapy
• Short-course
DOTS Estrategia de OMS para combatir la TB
ESQUEMA UNO: 2 HREZ / 4 H2 R2
Casos nuevos de TBC pulmonar o
extrapulmonar con confirmación
bacteriológica
ó extrapulmonar de gran severidad con
mal pronostico.
ESQUEMA DOS: 2HRESZ+1HREZ / 5 (RHE)2
ANTES TRATADOS: RECAIDAS
ABANDONOS RECUPERADOS
Casos de TB pulmonar o
extrapulmonar antes tratados
confirmados bacteriológicamente ó
por histopatología
COINFECCION TB – VIH (+)
NUEVOS: 2 HREZ / 7 H2 R2
AT: 2HRESZ+1HREZ / 5 (RHE)2
ESQUEMA UNO!!!!!!!!
NUCLEO
ARMANDO UN ESQUEMA DEARMANDO UN ESQUEMA DE
RETRATAMIENTO PARA TBMDRRETRATAMIENTO PARA TBMDR
SEGUNDA
LINEA
Gatiflox
Sparflox
ETHETH
CSCS
Z
E
QNLQNL
CIPRO, LEVO, MOXI
INYECTABLEINYECTABLE
SM, KNM, AMK,
CAP
QNLQNL
CIPRO, LEVO, MOXI
INYECTABLEINYECTABLE
SM, KNM, AMK,
CAP
AMX/a.cl.
Macrólido
CLFCLF
PASPAS
TB MULTIRRESISTENTE
KCxEKCxEththZECsPas/ZECsPas/
CxECxEththZECsPasZECsPas
 Según patrón deSegún patrón de
sensibilidadsensibilidad
 Inicio temprano: altasInicio temprano: altas
posibilidades de éxitoposibilidades de éxito
 Inicio tardío: menoresInicio tardío: menores
posibilidades de éxitoposibilidades de éxito
 Menos costoso para laMenos costoso para la
familiafamilia
ESTANDARIZADO INDIVIDUALIZADO
A.Antecedente de ser contacto de paciente con TB MDR
confirmada con Prueba de Sensibilidad (PS) ò en
tratamiento con drogas de segunda línea.
B. Alguna condición de inmunosupresión:
Coinfección VIH
Diabetes Mellitus,
Tratamiento crónico con corticoides.
Otras condiciones de inmunosupresión.
C. Recaída en menos de seis meses de egresar como
“curado” de esquema Uno o Dos de tratamiento.
D.Paciente con tuberculosis crónica multitratada.
E. Personal de salud activo o cesante con menos de
dos años de cesantía.
F. Estudiantes de Ciencias de la Salud que realizan
actividades en áreas clínicas y/o de laboratorio y/o
salas de necropsia.
FACTORES DE RIESGO ASOCIADOS A TB-MDR
FACTORES DE RIESGO ASOCIADOS A TB-
MDR
G. Población privada de su libertad o Ex Población privada de su
libertad.
H. Trabajador de Establecimientos penitenciarios.
I. Contacto de paciente fallecido por tuberculosis, durante el
tratamiento.
J. Pacientes con antecedente de tratamiento previo particular y/o
auto administrado.
K. Paciente con antecedente de abandono de tratamiento
antituberculoso.
L. Antecedente de hospitalización previa por cualquier motivo en los
últimos dos años, por más de 15 días.
M. Tratamiento previo con presencia de RAFA que obligó a modificar
dosis y/o cambiar y/o suprimir algún medicamento.
N. Contacto de paciente que fracasó a tratamiento antituberculoso.
Ñ. Cepas de cultivo positivo, de pacientes con infección VIH o
SIDA/TB.
DEFINICION
TB XDR
Resistencia a H, R, Una quinolona y al menos
uno de los inyectables de 2º línea (Km, Ak, Cm)
Meeting of WHO Global Task Force on XDR-TB
(Geneve, Switzerland. 9 – 10 Oct 2006)

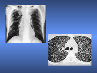
Tuberculosis pulmonar

  • 1.
  • 2.
    Amenaza global TB 1/31/3 Dela población mundialDe la población mundial (2 billones) infectados con(2 billones) infectados con TBTB •8,8 millones casos nuevos en 2003 •88% en países de alto riesgo •TB MDRen 109 países •2 millones de muertes anuales (98% en países en desarrollo)
  • 3.
  • 4.
    CONCEPTO,TAXONOMIA Y CLASIFICACION DELAS MICOBACTERIAS FAMILIA Mycobacteriacea GENERO Mycobacterium Relacionado a los Actinomicetos,Nocardia y Rhodococcus. ESPECIES : 58 especies hasta 1980 CLASIFICACION: •Runyon •Nueva Clasificación (Casal) usando criterios de Runyon y otros como produccion estable o irregular de pigmento y color como Atipicas ya que se considera como especie Tipica a M.Tb
  • 6.
    Mycobacterium Tuberculosis (M. Tuberculosis) •Se contagia por la tos, el estornudo y el hablar • Se mantiene en el aire y se propaga fácilmente por corrientes de aire • 1-100 organismos pueden infectar • También conocido como Bacilo de Koch o BK
  • 7.
    • Factores queinfluyen en el riesgo de contagio – ¿Qué tan infeccioso o contagioso es el paciente de TB? – ¿En qué tipo de medio ambiente ocurrió la exposición? – ¿Qué tan prolongada fue la exposición? – ¿Qué tan virulentos (fuertes) son los bacilos tuberculosos? Transmisión
  • 8.
    • Persona inhalegotitas • Algunos pueden alcanzar los sacos de aire pequeños del pulmón (los alvéolos), donde comienza la infección Patogénesis Alveolos
  • 9.
    • Los bacilospueden multiplicarse e ingresar al torrente sanguíneo, extendiéndose por todo el cuerpo Patogénesis Bronquiolo Vaso sanguíneo Alveolos Bacilos tuberculosos
  • 10.
    • El bacilopuede alcanzar cualquier parte del cuerpo, incluyendo las porciones superiores de los pulmones (también los riñones, el cerebro y los huesos) Patogénesis
  • 11.
    • Dentro de2 a 10 semanas, el sistema inmunológico del cuerpo generalmente interviene, deteniendo la multiplicación y previniendo una mayor propagación Patogénesis Infección de la TB
  • 12.
    Si el sistemainmune no puede mantener el bacilo tuberculoso bajo control y el bacilo comienza a multiplicarse rápidamente Patogénesis Enfermedad de la TB
  • 13.
  • 15.
  • 16.
    Estadíos de enfermedad •Infección primaria • Periodo de latencia • Enfermedad activa – Progresión directa en infección primaria – Diseminación hematógena – Reactivación de enfermedad primaria – Reinfección exógena
  • 17.
    Características clínicas, porestadíos • Infección primaria: – Inflamación local con formación de granuloma: fiebre – Adenopatías (hiliar, mediastinal): tos – Colapso lobar debido a compresión bronquial (puede llevar a bronquiectasias): tos productiva – Efusión pleural (exudado linfocitario): dolor pleurítico – Eritema nodoso (inflamación perivascular debido a CIs circulantes): dolor
  • 18.
    • Infección latente: –No características clínicas – Memoria inmunológica: PPD • Gamma-Interferon blood test – Secuela radiológica Características clínicas, por estadíos
  • 19.
    • Enfermedad Activa: –Síntomas pulmonares • Tos • Esputo • Hemoptisis • Dolor pleurítico • Disnea – Síntomas generales • Fiebre • Sudoración nocturna • Pérdida de peso Características clínicas, por estadíos
  • 21.
  • 22.
    •Fuertemente considerado enpacientes conteniendo bacilos alohol-ácido resistente (acid- fast bacilli (AFB)) •Resultados disponibles dentro de 24 horas de la colección de la muestra •Diagnóstico presuntivo de TB •Sensibilidad 5-10000 bacilos/ml esputo Examinación de frotis de esputo
  • 23.
     Directo :ziehl – nielsen o auramina Examinación de frotis de esputo
  • 24.
    Problemas diagnósticos • Enfermedadactiva -M. tuberculosis es de aislamiento difícil: aislamiento en solo 50-60% de casos • Infección latente - M. tuberculosis no puede ser cultivado de individuos con infección latente: no estándar de oro
  • 25.
    La baciloscopía esla prueba diagnostica mas importante para identificar fuentes de contagio, superando al criterio clínico y radiológico. Esta prueba tiene: • Mayor confiabilidad diagnostica (especificidad 98%) y • Mayor capacidad de detección (sensibilidad = 60-80%). Examinación de frotis de esputo
  • 26.
    Cultivo :  clasicolowenstein – jensen 7 h10, 7h11, midlebrook Ogawa.  Radiometricos bactec  Bifasicos,liquidos.  Hemocultivos lisis centrifugación  Identificación de mycobacterias ( Bioquimica, cromatografía, sondas Genéticas). Cultivos BK
  • 27.
    •Usado para confirmarel diagnóstico de TB •Cultivar todas las muestras, aún si son negativos •Sensibilidad: 10-100 bacilos/ml •Resultados en 45 días Cultivos BK
  • 28.
    DIAGNOSTICO DE ENFERMEDAD TUBERCULOSA Diagnóstico Anatomopatológico  Otras Técnicas Diagnosticas  Citoquimica  ADA  Lisozima  Interferón  PCR  ELISA
  • 31.
    HIV • Alta frecuenciade TB EP • Alta frecuencia de localización atípica y lesión radiológica • Alta frecuencia de síntomas generales • Duración de síntomas más corta antes del diagnóstico
  • 32.
    Bidireccionalidad de lainteracción VIH y Tuberculosis Incremento de la replicación viral y progresión acelerada a SIDA. El VIH al producir deterioro de la inmunidad celular incrementa el riesgo reactivación o progresión de infección a enfermedad tuberculosa.
  • 33.
  • 34.
    • Directly • Observed •Therapy • Short-course DOTS Estrategia de OMS para combatir la TB
  • 39.
    ESQUEMA UNO: 2HREZ / 4 H2 R2 Casos nuevos de TBC pulmonar o extrapulmonar con confirmación bacteriológica ó extrapulmonar de gran severidad con mal pronostico.
  • 40.
    ESQUEMA DOS: 2HRESZ+1HREZ/ 5 (RHE)2 ANTES TRATADOS: RECAIDAS ABANDONOS RECUPERADOS Casos de TB pulmonar o extrapulmonar antes tratados confirmados bacteriológicamente ó por histopatología
  • 41.
    COINFECCION TB –VIH (+) NUEVOS: 2 HREZ / 7 H2 R2 AT: 2HRESZ+1HREZ / 5 (RHE)2 ESQUEMA UNO!!!!!!!!
  • 43.
    NUCLEO ARMANDO UN ESQUEMADEARMANDO UN ESQUEMA DE RETRATAMIENTO PARA TBMDRRETRATAMIENTO PARA TBMDR SEGUNDA LINEA Gatiflox Sparflox ETHETH CSCS Z E QNLQNL CIPRO, LEVO, MOXI INYECTABLEINYECTABLE SM, KNM, AMK, CAP QNLQNL CIPRO, LEVO, MOXI INYECTABLEINYECTABLE SM, KNM, AMK, CAP AMX/a.cl. Macrólido CLFCLF PASPAS
  • 44.
    TB MULTIRRESISTENTE KCxEKCxEththZECsPas/ZECsPas/ CxECxEththZECsPasZECsPas  Segúnpatrón deSegún patrón de sensibilidadsensibilidad  Inicio temprano: altasInicio temprano: altas posibilidades de éxitoposibilidades de éxito  Inicio tardío: menoresInicio tardío: menores posibilidades de éxitoposibilidades de éxito  Menos costoso para laMenos costoso para la familiafamilia ESTANDARIZADO INDIVIDUALIZADO
  • 45.
    A.Antecedente de sercontacto de paciente con TB MDR confirmada con Prueba de Sensibilidad (PS) ò en tratamiento con drogas de segunda línea. B. Alguna condición de inmunosupresión: Coinfección VIH Diabetes Mellitus, Tratamiento crónico con corticoides. Otras condiciones de inmunosupresión. C. Recaída en menos de seis meses de egresar como “curado” de esquema Uno o Dos de tratamiento. D.Paciente con tuberculosis crónica multitratada. E. Personal de salud activo o cesante con menos de dos años de cesantía. F. Estudiantes de Ciencias de la Salud que realizan actividades en áreas clínicas y/o de laboratorio y/o salas de necropsia. FACTORES DE RIESGO ASOCIADOS A TB-MDR
  • 46.
    FACTORES DE RIESGOASOCIADOS A TB- MDR G. Población privada de su libertad o Ex Población privada de su libertad. H. Trabajador de Establecimientos penitenciarios. I. Contacto de paciente fallecido por tuberculosis, durante el tratamiento. J. Pacientes con antecedente de tratamiento previo particular y/o auto administrado. K. Paciente con antecedente de abandono de tratamiento antituberculoso. L. Antecedente de hospitalización previa por cualquier motivo en los últimos dos años, por más de 15 días. M. Tratamiento previo con presencia de RAFA que obligó a modificar dosis y/o cambiar y/o suprimir algún medicamento. N. Contacto de paciente que fracasó a tratamiento antituberculoso. Ñ. Cepas de cultivo positivo, de pacientes con infección VIH o SIDA/TB.
  • 47.
    DEFINICION TB XDR Resistencia aH, R, Una quinolona y al menos uno de los inyectables de 2º línea (Km, Ak, Cm) Meeting of WHO Global Task Force on XDR-TB (Geneve, Switzerland. 9 – 10 Oct 2006)

Notas del editor

  • #9 Primoinfeccion – TB primaria
  • #11 TB post-primaria
  • #19 T cells stimulated by purified protein derivative produce the cytokine gamma interferon (IFN-  ), which allows macrophages to kill the intracellular pathogen The QuantiFERON ® -TB Gold (Cellestis) (QTg) assay detects the in vitro cell-mediated immune response to M. tuberculosis infection by measuring IFN-  cytokine in whole blood incubated with M . tuberculosis peptides (ESAT-6, CFP-10 ). An enzyme-linked immunosorbent assay (ELISA) detects the amount of IFN-  produced by the T cells
  • #25 Actuellement, et même dans les pays industrialisés, on rencontre des difficultés pour la diagnostic de TB. En effets il est encore difficile d’isoler M. Tuberculosis, même avec de bonnes techniches microbiologiques, le bacille est isolé dans seulement 50% des cas de tuberculose Dans le cas de la TB latente, M. tuberculosis ne peut être mis en culture chez les sujets porteurs d’une infection latente Il n’existe pas de bons standards de référence, et le seul test a disposition est la mantoux que j’indiquerai dans cette présentation comme « tuberculin skin test (TST) »