TUBERCULOSIS PULMONAR

   BARCENAS MONTIEL ISAAC
JIMÉNEZ ARIZMENDI KEVIN DAVID
  SERRATO MARTIN GUILLERMO
La tuberculosis es una enfermedad infecciosa
  producida por una micobacteria.
• M. tuberculosis
• M. africanum
• M. canetti
• M. bovis
Afecta principalmente a pulmones aunque se
  puede diseminar a otros órganos.
• Forma focos de necrosis caseosa y granulomas.




• En la infección latente la persona afectada es
  portadora de la bacteria, pero no presenta signos
  actuales de infección activa.
CONTAGIO
• La tuberculosis se contagia a través del
  aire, cuando una persona afectada con TBC
  pulmonar tose o estornuda.
• Exposición prolongada.
• Congenita.

                      •Afecta la población entre
                      los 15 y 45 años.
                      •La mortalidad aumenta
                      en los extremos de la vida.
FACTORES PREDISPONETES
• Del bacilo: virulencia; cantidad inoculada.
• Del ambiente: hacinamiento.
• Del huésped:
    a)   Fármacos como ciclofosfamida, prednisona.
    b)   Infecciones virales como el VIH.
    c)   Otras: Diabetes Mellitus, linfomas.
    d)   Desnutrición: proteica, alcoholismo.
    e)   Estados de inmunosupresión.
•   Edad: en los extremos de la vida.
•   Raza: menor en europeos, mayor en negros
EPIDEMIOLOGIA
• 1/3 de la población mundial se encuentra
  infectada por el M. tuberculosis
• Mas de 9000000 nuevos contagios al año
• En México reto Dx ,Tx vs la iniquidad en los
  servicios y una pobre cultura de salud.
• El éxito de tx78% vs 85%.
• El abandono al tratamiento es de 5.80% y la
  mortalidad de 5.16%.
• 17,000 nuevos casos de Tuberculosis, 9 de cada
  10 (más de 15 000 casos) son de Tuberculosis
  Pulmonar.
• La razón hombre-mujer es de 1:1.5.
• 10% tuberculosis infantil
Signos y síntomas
• Tos mayor a 15 con o sin hemoptisis
• Astenia
• Pérdida de peso
• Fiebre
• Sudoración nocturna
• Anorexia
• Diarrea
• Ataque al estado general
DIAGNÓSTICO CLÍNICO
Signos y síntomas

   Generales:                 Respiratorios
      Astenia                     Tos (>15 días)
      Adinamia                    Expectoración
      Hiporexia                   (vómica/hemoptisis)
      Pérdida de peso             Disnea
      Fiebre vespertina
      Sudoración nocturna
 En pacientes mayores de 65 años los
  síntomas inespecíficos son los más
  frecuentes
Ejemplo: Fiebre de origen desconocido
Tb y VIH

   Los hallazgos clínicos de la TB en el paciente
    infectado con el VIH dependen de la
    severidad de la inmunodepresión.


   Con niveles de linfocitos T CD4+ > 200/mm3
    se presentan síntomas similares al
    inmunocompetente
   En los individuos con recuentos menores es
    más frecuente el compromiso extrapulmonar
    y las formas diseminadas
DIAGNÓSTICO RADIOLÓGICO

   La radiografía de tórax es el primer método
    de aproximación diagnóstica, si es normal
    tiene un alto valor predictivo negativo

   Frecuencia de falsos negativos de
    aproximadamente 1%


                 Revista Chilena de Radiología. Vol. 10 Nº 4, año 2004; 178-182.
Revista Chilena de Radiología. Vol. 10 Nº 4, año 2004; 178-182.
Figura 2: Las opacidades parenquimatosas pueden ser tanto del espacio
aéreo como del intersticio, siendo la consolidación del espacio aéreo el
patrón radiológico más común

                       Revista Chilena de Radiología. Vol. 10 Nº 4, año 2004; 178-182.
Figura 3: Condensación del lóbulo superior derecho, lugar frecuente de
afectación en la tuberculosis
                    Revista Chilena de Radiología. Vol. 10 Nº 4, año 2004; 178-182.
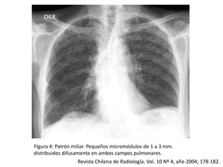
FIgura 4: Patrón miliar. Pequeños micromódulos de 1 a 3 mm.
distribuidos difusamente en ambos campos pulmonares.
                  Revista Chilena de Radiología. Vol. 10 Nº 4, año 2004; 178-182.
Figura 5: Lesiones cavitadas y condensaciones sugestivas de tuberculosis

                 Revista Chilena de Radiología. Vol. 10 Nº 4, año 2004; 178-182.
DIAGNÓSTICO DE LABORATORIO
   El diagnóstico bacteriológico presuntivo se
    establece por la observación de bacilos
    acido-alcohol resistentes (BAAR) mediante
    tinción de Ziehl-Nielsen o auramina
    rodamina
   La no observación de BAAR en una muestra
    clínica no descarta el diagnóstico de Tb



   Los resultados del examen microscópico
    deben proporcionar una estimación del
    número de BAAR
La baciloscopía se cuantifica en cruces luego de la
  lectura de por lo menos 100 campos microscópicos:

   +++: más de 10 baar x campo.
   ++: 1-10 baar x campo.
   +: 1-10 baar x 10 campos

Se considera positiva la baciloscopía con más de 5
  bacilos por 100 campos. Menor cantidad puede se
  considerará en el contexto clínico.
   Las muestras clínicas sospechosas de contener
    micobacterias deberán sembrarse en medio de
    cultivo adecuados (Lowenstein Jensen)

   Los negativos se observan hasta 42 días.

   Positivos --> antibiograma: Rifampicina e
    Isoniacida
PPD
Puede ser útil para apoyar el diagnóstico en los
 casos en los cuales la baciloscopia es
 negativa
En los casos de tb no confirmada por
  bacteriología o por estudio histopatológico, el
  diagnóstico debe apoyarse en:

   Antecedente epidemiológico
   Cuadro clínico
   Estudio radiológico
   Reactividad a la tuberculina (ppd)
   PCR
PCR

   Esta técnica es capaz de identificar de 1 a 10
    bacilos con una sensibilidad de 97% con
    especificidad de 73 a 99%
TRATAMIENTO
   Existen diversos tipos de tratamiento
      Primario acortado
      Retratamiento supervisado
      Retratamiento estandarizado
      Retratamiento individualizado

    Todos los tratamientos deben ser estrictamente
      supervisados


                        Estándares para la Atención de la Tuberculosis
                        en México
Estándares para la Atención de la Tuberculosis en
   El tratamiento primario debe tener
    seguimiento mensual con baciloscopia hasta
    el termino del tratamiento
BCG
   Protege frente a la TB diseminada y las formas
    graves que ocurren después de la
    primoinfección.
   La protección del BCG para formas pulmonares
    es muy variable, entre el 0 y 80%, dependiendo
    del estado clínico y nutricional del niño, así
    como del tipo de vacuna utilizada.
   El efecto protector sobre meningitis es del 64%
    y contra formas diseminadas

Tuberculosis Pulmonar

  • 1.
    TUBERCULOSIS PULMONAR BARCENAS MONTIEL ISAAC JIMÉNEZ ARIZMENDI KEVIN DAVID SERRATO MARTIN GUILLERMO
  • 2.
    La tuberculosis esuna enfermedad infecciosa producida por una micobacteria. • M. tuberculosis • M. africanum • M. canetti • M. bovis Afecta principalmente a pulmones aunque se puede diseminar a otros órganos.
  • 3.
    • Forma focosde necrosis caseosa y granulomas. • En la infección latente la persona afectada es portadora de la bacteria, pero no presenta signos actuales de infección activa.
  • 4.
    CONTAGIO • La tuberculosisse contagia a través del aire, cuando una persona afectada con TBC pulmonar tose o estornuda. • Exposición prolongada. • Congenita. •Afecta la población entre los 15 y 45 años. •La mortalidad aumenta en los extremos de la vida.
  • 5.
    FACTORES PREDISPONETES • Delbacilo: virulencia; cantidad inoculada. • Del ambiente: hacinamiento. • Del huésped: a) Fármacos como ciclofosfamida, prednisona. b) Infecciones virales como el VIH. c) Otras: Diabetes Mellitus, linfomas. d) Desnutrición: proteica, alcoholismo. e) Estados de inmunosupresión. • Edad: en los extremos de la vida. • Raza: menor en europeos, mayor en negros
  • 7.
    EPIDEMIOLOGIA • 1/3 dela población mundial se encuentra infectada por el M. tuberculosis • Mas de 9000000 nuevos contagios al año
  • 8.
    • En Méxicoreto Dx ,Tx vs la iniquidad en los servicios y una pobre cultura de salud. • El éxito de tx78% vs 85%. • El abandono al tratamiento es de 5.80% y la mortalidad de 5.16%.
  • 9.
    • 17,000 nuevoscasos de Tuberculosis, 9 de cada 10 (más de 15 000 casos) son de Tuberculosis Pulmonar. • La razón hombre-mujer es de 1:1.5. • 10% tuberculosis infantil
  • 11.
    Signos y síntomas •Tos mayor a 15 con o sin hemoptisis • Astenia • Pérdida de peso • Fiebre • Sudoración nocturna • Anorexia • Diarrea • Ataque al estado general
  • 18.
    DIAGNÓSTICO CLÍNICO Signos ysíntomas  Generales:  Respiratorios Astenia Tos (>15 días) Adinamia Expectoración Hiporexia (vómica/hemoptisis) Pérdida de peso Disnea Fiebre vespertina Sudoración nocturna
  • 19.
     En pacientesmayores de 65 años los síntomas inespecíficos son los más frecuentes Ejemplo: Fiebre de origen desconocido
  • 20.
    Tb y VIH  Los hallazgos clínicos de la TB en el paciente infectado con el VIH dependen de la severidad de la inmunodepresión.  Con niveles de linfocitos T CD4+ > 200/mm3 se presentan síntomas similares al inmunocompetente
  • 21.
    En los individuos con recuentos menores es más frecuente el compromiso extrapulmonar y las formas diseminadas
  • 22.
    DIAGNÓSTICO RADIOLÓGICO  La radiografía de tórax es el primer método de aproximación diagnóstica, si es normal tiene un alto valor predictivo negativo  Frecuencia de falsos negativos de aproximadamente 1% Revista Chilena de Radiología. Vol. 10 Nº 4, año 2004; 178-182.
  • 23.
    Revista Chilena deRadiología. Vol. 10 Nº 4, año 2004; 178-182.
  • 24.
    Figura 2: Lasopacidades parenquimatosas pueden ser tanto del espacio aéreo como del intersticio, siendo la consolidación del espacio aéreo el patrón radiológico más común Revista Chilena de Radiología. Vol. 10 Nº 4, año 2004; 178-182.
  • 25.
    Figura 3: Condensacióndel lóbulo superior derecho, lugar frecuente de afectación en la tuberculosis Revista Chilena de Radiología. Vol. 10 Nº 4, año 2004; 178-182.
  • 26.
    FIgura 4: Patrónmiliar. Pequeños micromódulos de 1 a 3 mm. distribuidos difusamente en ambos campos pulmonares. Revista Chilena de Radiología. Vol. 10 Nº 4, año 2004; 178-182.
  • 27.
    Figura 5: Lesionescavitadas y condensaciones sugestivas de tuberculosis Revista Chilena de Radiología. Vol. 10 Nº 4, año 2004; 178-182.
  • 28.
    DIAGNÓSTICO DE LABORATORIO  El diagnóstico bacteriológico presuntivo se establece por la observación de bacilos acido-alcohol resistentes (BAAR) mediante tinción de Ziehl-Nielsen o auramina rodamina
  • 29.
    La no observación de BAAR en una muestra clínica no descarta el diagnóstico de Tb  Los resultados del examen microscópico deben proporcionar una estimación del número de BAAR
  • 30.
    La baciloscopía secuantifica en cruces luego de la lectura de por lo menos 100 campos microscópicos:  +++: más de 10 baar x campo.  ++: 1-10 baar x campo.  +: 1-10 baar x 10 campos Se considera positiva la baciloscopía con más de 5 bacilos por 100 campos. Menor cantidad puede se considerará en el contexto clínico.
  • 31.
    Las muestras clínicas sospechosas de contener micobacterias deberán sembrarse en medio de cultivo adecuados (Lowenstein Jensen)  Los negativos se observan hasta 42 días.  Positivos --> antibiograma: Rifampicina e Isoniacida
  • 32.
    PPD Puede ser útilpara apoyar el diagnóstico en los casos en los cuales la baciloscopia es negativa
  • 33.
    En los casosde tb no confirmada por bacteriología o por estudio histopatológico, el diagnóstico debe apoyarse en:  Antecedente epidemiológico  Cuadro clínico  Estudio radiológico  Reactividad a la tuberculina (ppd)  PCR
  • 34.
    PCR  Esta técnica es capaz de identificar de 1 a 10 bacilos con una sensibilidad de 97% con especificidad de 73 a 99%
  • 35.
    TRATAMIENTO  Existen diversos tipos de tratamiento Primario acortado Retratamiento supervisado Retratamiento estandarizado Retratamiento individualizado Todos los tratamientos deben ser estrictamente supervisados Estándares para la Atención de la Tuberculosis en México
  • 36.
    Estándares para laAtención de la Tuberculosis en
  • 37.
    El tratamiento primario debe tener seguimiento mensual con baciloscopia hasta el termino del tratamiento
  • 39.
    BCG  Protege frente a la TB diseminada y las formas graves que ocurren después de la primoinfección.  La protección del BCG para formas pulmonares es muy variable, entre el 0 y 80%, dependiendo del estado clínico y nutricional del niño, así como del tipo de vacuna utilizada.  El efecto protector sobre meningitis es del 64% y contra formas diseminadas