Generalidades de tumores
Estas lesiones se clasifican
Habitualmente en función del tejido que predomina en la matriz tumoral y de su carácter benigno,
agresivo localmente o maligno (que le viene dado por su capacidad de producir metástasis)
El tumor óseo maligno más frecuente lo constituyen las metástasis, y el
tumor óseo maligno primario más frecuente es el mieloma, seguido en
orden por osteosarcoma, sarcoma de Ewing y condrosarcoma.
El tumor óseo benigno más frecuente es el osteocondroma,
INCIDENCIA Y CLASIFICACIÓN
• Partes blandas > óseos.
• Benignas, pseudotumorales > malignas
Incidencia
• Una edad < 20 años (tumoraciones benignas); excepto (sarcoma de
Ewing y osteosarcoma).
• > 50 años (tumoraciones malignas). Metástasis más frecuentes son:
 Varón: secundario a adenocarcinoma de próstata y pulmón.
 Mujer: mama y pulmón.
 Tumores en cartílago se caracterizan por dar lugar a calcificaciones.
Osteocondroma jóvenes.
Condrosarcoma > 50 años.
• Osteoma osteoide : tumor pequeño (1cm) de localización frecuente
en el cuello femoral. Presenta dolor nocturno + nidus(imagen).
La clasificación por estadios de Enneking se basa en tres parámetros:
• Grado histológico del tumor
• Extensión local de la lesión
• Presencia o ausencia de metástasis
Estadios de Enneking
El grado histológico
• – Grado 0 = Tumor benigno
(sin riesgo de enfermedad
metastásica)
• – Grado 1 = Tumor maligno de
bajo grado (riesgo bajo de
enfermedad metastásicas,
inferior al 15%)
• – Grado 2 = Tumor maligno de
alto grado (riesgo alto de
enfermedad metastásica
superior al 15%)
La localización y extensión
• A = Si está limitada dentro de
la estructura anatómica que
dio origen a la neoplasia
• B = Si está fuera de la
estructura anatómica que dio
origen a la neoplasia
• T1 = Intracapsular
• T2 = Extracapsular e
intracompartamental
• T3 = Extracapsular y
extracompartamental
La extensión a distancia
de la enfermedad
• M0 = Sin metástasis regional o
a distancia
• M1 = Con metástasis regional
o a distancia
Lesiones inactivas
• Son escasamente sintomáticas,
habitualmente su descubrimiento es un
hallazgo radiográfico. Su histología siempre
es benigna
Lesiones activas
• Son poco sintomáticas, radiográficamente
pueden adelgazar o insuflar las corticales.
Presentan un halo escleroso. Su histología
siempre es benigna
Lesiones agresivas
• Son muy sintomáticas, radiográficamente
insuflan al hueso, rompen la cortical y
rápidamente se hacen
extracompartamentales.
• Pueden condicionar fracturas. Su histología
es benigna pero pueden desarrollar
metástasis.
Lesiones malignas de bajo grado.
• Son poco sintomáticas, de crecimiento lento
pero sostenido, radiográficamente se
encuentran aparentemente bien limitadas,
son de gran volumen pero puede haber
erosión del endostio. Su histología es
maligna
Lesiones malignas de alto grado.
• Son altamente sintomáticas, de crecimiento
rápido, con ataque temprano al estado
general, radiográficamente mal definidas en
el hueso, con algún tipo de reacción
perióstica y algunas veces con fractura. Su
histología es maligna.
Lesiones metastásicas.
• Son muy sintomáticas, crecen rápidamente,
presentan tempranamente ataque al estado
general. Habitualmente provienen de otro
órgano. Radiográficamente pueden ser
líticas o blásticas, presentan habitualmente
fractura. Su histología siempre es maligna
Orientación Diagnóstica
• EDAD.
• POR SU ORIGEN.
• CARACTERÍSTICAS RADIOLÓGICAS.
• CARACTERÍSTICAS EN EXAMENES COMO TC, RM Y ARTEROGRAFÍA.
EDAD
RN: metástasis de
neuroblastoma
Infancia y
adolescencia : quiste
unicameral,
condroblastoma
Infancia, adolescencia
y adulto joven:
ostesarcoma, tumor
de Ewing.
Adulto joven:
osteoma osteoide,
tumor de células
gigantes.
Adulto
:condrosarcoma
Paciente de edad
avanzada: metástasis
y mieloma
RADIOGRAFÍA SIMPLE
• Patrones radiológicos.
• Aspecto radiológico.
• Localización.
Patrón Radiológico Tumores que lo presentan
Geográfico con bordes bien delimitados,
escleroso o no
• Tumores y lesiones paratumorales
benignas
• Osteomielitis
Geográfico con márgenes festoneados • Fibroma no osificante
• Encondroma
Apolillado o moteado • Metástasis
• Linfomas histiocíticos
• Fibrosarcoma
• Osteomielitis
• Osteosarcoma (en ocasiones)
Permeativo • Osteosarcoma.
• Sarcoma de Ewing.
• Metástasis.
• Linfomas.
• Fibrosarcoma.
• Condrosarcoma.
• Osteomielitis (a veces).
• Otras lesiones muy agresivas.
RADIOGRAFÍA SIMPLE
Aspecto Radiológico Tumores que lo presentan
Nidus (zona radiotransparente rodeada de un halo de
formación de hueso y engrasamiento cortical)
•Osteoma osteoide
Calcificaciones • Condroblastoma
• Encondroma,
• Condrosarcoma
Cavidades múltiples • Quiste óseo aneurismático.
•Tumor de células gigantes.
• Displasia fibrosa.
RADIOGRAFÍA SIMPLE
RADIOGRAFÍA SIMPLE
TC, RM y ARTEROGRAFÍA
TC
• Lesiones corticales (osteoma osteoide)
• Las situadas en las superficies óseas ( osteoma).
RM
• Tumores de partes blandas.
• Ayudar a diferenciar tumores con aspecto radiológico similar.
• Sarcoma de Ewing vs granuloma eosinófilo.
• Encondroma vs condrosarcoma.
ARTEROGRAFÍA • Planificación preoperatoria
BIOPSIA
ESTUDIOS DE EXTENSIÓN
• El pulmón es el lugar más frecuente de metástasis de los tumores
malignos óseos y de partes blandas.
ESTUDIOS DE LABORATORIO Y CITOGENÉTICOS
• Valores de Fosfatasa Alcalina.(osteosarcoma).
• LDH.(pronóstico osteosarcoma y sarcoma de Ewing).
• Calcio, fosfato y PTH (Tumor pardo por hiperparatiroidismo)
El 95 % de los tumores de Ewing presentan una
traslocación cromosómica t(11;22)
ESTADIFICACIÓN
TUMORES BENIGNOS
• MSTS
TUMORES MALIGNOS
• Grado histológico.
• Localización del tumor.
• Metastasis a distancia.
• Lesiones intracompartimentales
(T1) . No han traspasado las
barreras naturales frente a la
extensión del tumor. (intraóseas)
• Lesiones extracompartimentales
(T2): originan entre 2
compartimentos(penetración
cortical).
Estadio Características
I Radiológica: zona de transición bien definida
Clínica: lesiones latentes o asintomáticas
(fibroma no osificante, encondroma).
II Radiológica: Zona de transición mal definida
Clínica: Lesiones activas.
III Radiológica: penetración cortical
Clínica: lesiones agresivas.
Cirugía
Quimioterapia
Radioterapia
ORIENTACIÓN TERAPEUTICA
• Intralesional: Se reseca tumor sin pretender llegar a tejido normal
• Marginal:Se reseca todo el tumor sin incluir la zona reactiva
• Amplia: Se reseca todo el tumor rodeado de tejido normal que incluye la zona
reactiva.
• Radical: Se reseca todo el compartimento que contiene el tumor
CIRUGIA
• Neoadyuvante (preoperatoria y postoperatoria)
• Mejorar la supervivencia de pacientes con osteosarcoma y sarcoma de Ewing.
• Rabdomiosarcoma.
QUIMIOTERAPIA
• Tras la resección quirúrgica del tumor de Ewing
• Los sarcomas de partes blandas.
• Tras la estabilización quirúrgica de zonas con metástasis.
RADIOTERAPIA
Explicación de tumores
CLASIFICACIÓN tumores de hueso se pueden clasificar en varias
categorías en función de la matriz o sustancia que producen:
• Tumores formadores hueso
incluyendo osteoma osteoide y
osteoblastoma
• Tumores formación cartilago
incluyendo osteocondroma,
condroma (encondroma, condroma
perióstica), condroblastoma, fibroma
y condromixoide
• Lesiones fibrosas incluyendo la
displasia fibrosa, fibroma osificante y
fibroma no osificante
• Quística y lesiones vasculares
incluyendo quiste óseo unicameral y
quiste óseo aneurismático
A) FORMADORES DE HUESO:
Benignos:
OSTEOMA: Lesión lítica, redonda, hiperdensa, formada por hueso
muy denso. Generalmente en los senos craneales, y no da clínica,
excepto si crece mucho, que da dolor de cabeza, sinusitis... suele ser
más pequeño
OSTEOMA OSTEOIDE: Las células producen hueso inmaduro. Está
formado por hueso, muy denso; tiene en su interior osteoide (tejido
blando que forman los osteoblastos y que posteriormente se
mineralizará). Si hacemos radiografía, vemos que el centro del tumor
aparecerá negro por el osteoide y la periferia blanca por el osteoma. Es
un tumor pequeño pero con dolor, ya que está muy inervado.
- OSTEOBLASTOMA: es una forma gigante del osteoma
osteoide que suele localizarse en la columna.
Malignos:
- OSTEOSARCOMA O SARCOMA OSEO: Importante
porque es el segundo tumor primario maligno
más recuente y el primero de interés quirúrgico.
Abarca muchas subdivisiones. Puede ser:
• Central :Nace en itnerior del hueso
• Periférico: Se desarrolla en superficie del hueso
Osteoma osteoide
• Tumor típico de adultos jóvenes
• Ocasiona dolor sordo e intenso de
predominio nocturno, que cede con
aspirina y otros AINE.
• Radiológicamente constan de un nidus
lítico de pequeño tamaño (< 1 cm)
rodeado de una zona de hueso
engrosado y denso.
• Su localización más frecuente es
fémur proximal.
• Otras localizaciones características son
las falanges de las manos y los
elementos vertebrales posteriores.
• En los huesos largos se localiza en la zona
central o al final de la diáfisis.
• Resuelven espontáneamente entre cinco
y siete años se consigue un buen control
del dolor con AINE
• Sino se opta por el tratamiento
quirúrgico.
• La cirugía tradiciónal (extirpación
quirúrgica del nidus) se está
reemplazando por la ablación guiada
con TC, utilizando electrodos de
radiofrecuencia
• El nido produce altos niveles de
prostaglandinas y osteocalcina
• Tratamiento depende de la
presencia de los síntomas.
• Las lesiones con síntomas que
son tolerable o pueden ser
controlados con agentes anti-
inflamatorios no esteroideos
pueden observarse con los
exámenes de serie
• Radiografías cada cuatro a seis
meses.
Osteoblastoma
• Tumor benigno de rara etiología
desconocida.
• Presenta durante segunda década,
pero se pueden ver en cualquier
edad.
• Localización más frecuente parte
posterior de la columna vertebral
(la apófisis espinosa, lámina, y
pedículos)
• Tumores en la espina dorsal
pueden ser difíciles de identificar
en las radiografías simples
• Es menos sensible a los agentes
anti-inflamatorios no esteroideos
• Los niños con lesiones de la
columna pueden presentarse con
síntomas de cojera o neurológicas
secundarias a espinal o los nervios
compresión de la raíz.
• La diferencia con osteoma más
grandes (> 2 cm de
diámetro) puede aparecer como
una lesión expansiva estos rara vez
se expande a tejido blando
• Tratamiento generalmente implica el
legrado y el injerto óseo.
• En bloque de escisión puede estar
justificada para las lesiones más
agresivas o en regiones que permiten
la escisión del hueso (por ejemplo, el
peroné).
• La radiación puede ser necesaria para
las lesiones de la columna vertebral
cuando el tumor no puede ser
completamente resecado
• Osteoblastoma no tratado continúa
creciendo y puede dañar el hueso con
sus estructuras adyacentes
Tumor de células gigantes (osteoclastoma)
• Tumor típico de las epífisis de los huesos
largos de pacientes de 20 a 40 años.
• Tumores óseos primarios más frecuentes
en mujeres
• Está formado por un componente de
células :
A)Fibroblásticas, osteoblásticas
e histiocitarias que constituyen el
componente proliferativo neoplásico
del tumor
B)Un componente de células gigantes
reactivas no proliferativas que expresan
características de osteoclastos.
• Radiológicamente
• Presentarse como un tumor con múltiples
cavidades
• Se considera un tumor de agresividad intermedia
por que tiene una incidencia de recidiva local (10-
25%), en los primeros dos años después del
tratamiento, origina metástasis pulmonares (2%)
• Cuando se localiza en la columna (< 10 % de los
casos) ocasiona déficit neurológico especialmente
si se localiza en el sacro.
• El tratamiento es curetaje de la lesión y aplicar a
continuación un tratamiento coadyuvante (fresado
de alta velocidad, fenol o nitrógeno líquido).
• La cavidad se rellena con cemento acrílico o algún
sustitutivo óseo que proporcione soporte
estructural.
• En la columna, en ocasiones no puede abordarse
todo el tumor y se asocia a radioterapia
Osteosarcoma
• Tumor maligno primario del hueso
que se caracterizan por la
producción de osteoide o hueso
inmaduro por las células malignas
• 750 y 900 nuevos casos cada año
en los Estados Unidos 400 niños y
<20 años pico 13 a 16 años
• Raro en adultos mayores pero hay
un pequeño pico después 60 años
• En niños esporádica y común en las
metáfisis de los huesos largos,
especialmente el fémur distal, la
tibia proximal, húmero proximal
• En adultos son secundarios
enfermedad de Paget, infartos de
hueso, lesiones benignas.
• Clínica dolor localizado de varios
meses de duración, exploración
física es una masa de tejido blando
que es grande y sensible a la
palpación en la región metafisaria
• Laboratorio normal a excepción
elevaciones de la fosfatasa alcalina
(40%) , lactato deshidrogenasa
(LDH 30 %) y la velocidad de
sedimentación de eritrocitos.
• Al presentarse 10 y 20 % tienen
enfermedad macrometastásica
• Primera prueba de diagnóstica es
radiografía simple de la zona
afectada
• Hueso afectado se caracteriza por
una mezcla de radiodenso y áreas
radiolúcidas
• Destrucción de la corteza y la
formación de hueso nuevo
perióstico
• Formación del triángulo de
Codman (periostio es elevado por
un tumor óseo)
Caracteristicas Microscopicas
• El osteosarcoma osteoblástico está
constituido por osteoblastos de aspecto
maligno dispuestos sobre una matriz
constituida mayoritariamente por hueso
compacto.
• El osteosarcoma condroblástico consta
de una matriz de apariencia cartilaginosa
dotada de lagunas en las que se disponen
células fusiformes malignas.
• La variante fibroblástica tiene la
morfología de una neoplasia maligna de
células fusiformes, en las que el único
indicador de que se trata de un
osteosarcoma es el escaso osteoide
identificable.
Tratamiento
• Quimioterapia y cirugia
• Cuando se combina con la cirugía produce
un claro beneficio en los casos de
osteosarcoma.
• Los mejores resultados en cuanto a
supervivencia se evidencian en pacientes
con enfermedad no metastásica.
• Pronóstico
• Con los regímenes de tratamiento
habitual, los pacientes con osteosarcoma
sin metástasis detectables tienen tasas de
supervivencia que se aproximan al 70%.
• Lesiones pulmonares resecables tienen
una supervivencia del 30-50%
Condroma, enfermedad de Ollier
y síndrome de Maffucci
• Tumor formado por tejido cartilaginoso
maduro
• Localiza intramedularmente en huesos
tubulares (encondroma) aunque
ocasionalmente puede localizarse en la
superficie ósea (se habla entonces de
condroma perióstico).
• La localización más frecuente del
encondroma la constituyen las falanges
de las manos.
• Generalmente son asintomáticos a menos
que ocasionen una fractura patológica.
• Suele presentar calcificaciones centrales.
• Únicamente requieren observación
aunque las lesiones más grandes y las que
producen fracturas patológicas pueden
tratarse mediante curetaje e injerto.
• La aparición de múltiples condromas
(condromatosis múltiple) representa una
displasia ósea caracterizada por una
alteración del proceso de osificación
endocondral ocasionando múltiples
masas cartilaginosas con incurvación y
acortamiento de los huesos.
• Cuando la condromatosis es muy extensa
y tiene predilección unilateral, se
denomina enfermedad de Ollier.
• Cuando se asocia con angiomas en las
partes blandas, se denomina síndrome de
Maffucci.
• En estos tres cuadros existe un mayor
riesgo de malignización de los condromas.
Osteocondroma (exóstosis)
y exóstosis hereditaria múltiple
• Es el tumor óseo benigno más frecuente.
• Se interpreta como una zona de la fisis que se
independiza y genera una formación ósea
recubierta por un caperuzón cartilaginoso.
• Suele diagnosticarse en la infancia aunque puede
pasar desapercibida hasta la edad adulta.
• Radiológicamente tiene el aspecto de una
excrecencia sésil o pediculada.
• Generalmente deja de crecer cuando acaba el
crecimiento y se
cierran las fisis.
• Si la lesión no ocasiona síntomas por su
prominencia (compresión vasculonerviosa,
irritación local con bursitis, resaltes tendinosos o
musculares), no requiere tratamiento
• En caso contrario se trata mediante resección.
• Si un osteocondroma continúa creciendo en la
edad adulta debe sospecharse su transformación
maligna que se da por alteración autosómica
dominante denominada exóstosis u
osteocondromatosis hereditaria múltiple
Condroblastoma
• Tumor benigno que se presenta
generalmente en las epífisis o
apófisis de los huesos largos
• Se presenta normalmente
durante la adolescencia.
• Más común en la epífisis del
húmero proximal, el fémur distal
y la tibia proximal
• Los hallazgos radiológicos en las
radiografías simples aparecen como
lesiones pequeñas y bien definidas
con un borde esclerótico que pueden
cruzar la fisis (placa de crecimiento)
• Calcificación de la matriz
• Tratamiento Curetaje e injerto óseo, la
reconstrucción puede ser difícil si
implica la superficie articular.
• Pronóstico es buena, si este implica la
superficie articular puede dar lugar a
la artritis.
• Reportan una tasa de recurrencia de
hasta un 20 por ciento.
Condrosarcoma
• Tumor óseo malignos
• Tercera neoplasia maligna primaria
más común
• 90% son bajo a intermedio grado
son de crecimiento lento con un
bajo potencial metastásico son
sensibles quimioterapia
• 10% son de alto grado tienen un
alto potencial metastásico y un mal
pronóstico después de la resección
son resistentes quimioterapia
• Grado 1 posee una matriz de cartílago hialino
abundante, condrocitos tienen núcleos pequeños,
redondos y binucleadas, mitosis están ausentes, la
supervivencia de diez años es del 83 al 95 %.
• Grado 2 son más celular con menos matriz
condroide, mitosis presentes pero ampliamente
dispersos, núcleos agrandes y pueden ser vesicular
o hipercromáticos, potencial metastásico es 10 a
15%, la supervivencia de diez años 64 a 86 %.
• Grado 3 son células con pleomorfismos nucleares y
mitosis fácilmente detectados. Matriz condroide es
escasa o ausente, tienen un alto potencial
metastásicos 32 a 70 % y un mal pronóstico con la
resección quirúrgica sola, la tasa de supervivencia
a 10 años es de aproximadamente el 29 al 55%
Condrosarcomas convencionales
Condrosarcoma central
• Surgen dentro de la cavidad medular y
constituyen aproximadamente el 75 %
• La mayoría permanecen asintomáticos y
clínicamente en silencio
• La mayoría de los pacientes 50 hay
predominio masculino.
• Los sitios del esqueleto más comúnmente
involucrados son el fémur proximal, huesos
de la pelvis (en particular del ilion) y el
húmero proximal (75 %)
• Inflamación local y el dolor son los síntomas
de presentación más comunes.
• El dolor suele ser insidiosa, progresiva, peor
por la noche y a menudo presente durante
meses o años antes de la presentación.
• Una fractura patológica está presente al
momento del diagnóstico en 3 a 17 %.
Condrosarcoma Periféricos
• Surgen todas condrosarcomas
periféricos dentro de la tapa de
cartílago de un osteocondroma
preexistente.
• Los pacientes con un condrosarcoma
periférica son generalmente más
jóvenes que aquellos con un
condrosarcoma central
• La presentación clínica por lo general
hay dolor y inflamación local.
• Huesos más comúnmente
involucrados son la pelvis y huesos de
la cintura escapular.
• El tamaño de la tapa cartilaginosa es
el parámetro más importante
Condrosarcoma Perióstico
• <1% surgen en la superficie de un
hueso y se designan los
condrosarcomas de periostio.
• > Frecuencia afecta a los adultos de
entre 20 y 30 años y tienen una ligera
predilección masculina.
• Las metáfisis de los huesos largos son
los más frecuentemente implicados,
especialmente del fémur distal
• Los pacientes típicamente se
presentan sin dolor en una masa
palpable crecimiento lento
• Tienen un buen pronóstico después
de la cirugía local adecuado a pesar de
las características histológicas de una
lesión de alto grado
Radiográfica de imágenes
• El estudio de imagen inicial en un paciente
con una hinchazón dolorosa
musculoesquelético es a menudo una
radiografía simple.
• La ubicación y la apariencia radiológica de los
diferentes subtipos de condrosarcoma
menudo son características .
• T. computarizada es óptimo para detectar
mineralización de la matriz, particularmente
cuando es sutil o las lesiones se localizan en
una zona anatómicamente complejas. Debido
a su alto contenido de agua, la mayoría de los
condrosarcomas son de baja atenuación en la
TC.
• RMN es mejor para delinear la extensión de la
médula y la participación de los tejidos
blandos. El alto contenido de agua de los
condrosarcomas se manifiesta como muy alta
intensidad de la señal en las imágenes
ponderadas en T2
• Biopsia Para las lesiones sospechosas, una
biopsia de diagnóstico se lleva a cabo con
frecuencia para establecer el diagnóstico y
planificar el abordaje quirúrgico.
• La biopsia percutánea inicial puede no reflejar
con precisión la verdadera grado histológico
de la lesión debido a la heterogeneidad de la
lesión y la posibilidad de error de muestreo
• En casos difíciles el análisis de mutaciones
para IDH1 y -2 puede ayudar a distinguir
condrosarcoma
• TRATAMIENTO QUIRÚRGICO - Para todos los
grados y subtipos de condrosarcoma no
metastásico, el tratamiento quirúrgico ofrece
la única posibilidad de curación. El tipo
óptimo de manejo quirúrgico depende el
grado histológico, la ubicación y la extensión
del tumor
C) DE ORIGEN MEDULAR:
Malignos
MIELOMA: tumor primario de localización
más frecuente en el esqueleto pero poco
importante desde el punto de vista qx. Es un
tumor hematológico y por eso lo tratan los
hematólogos.
- SARCOMA
DE EWING
El sarcoma de Ewing es una neoplasia
altamente maligna que afecta
fundamentalmente a niños y adolescentes.
Se desconoce su histogénesis exacta, pero se
cree que deriva de las células de la médula
ósea. Sin embargo, algunos opinan que es un
cáncer de células redondas de origen neural,
similar a los llamados tumores
neuroectodérmicos primitivos
Mieloma
D) LESIONES PSEUDOTUMORALES;
Lesiones de
tipo quístico
* Quiste óseo solitario: Muy
frecuente en <25 años.
* Quiste aneurismático:
lesión insuflada en la
cortical que simula un
aneurisma.
* Quiste óseo subcondral
(en el hueso subcondral,
próximo a la articulación)
Lesiones de
tipo fibroso
* Defecto fibroso cortical :
es la lesión más frecuente,
sobre todo en niños de 3-4
años. Diagnóstico
radiológico. No es
necesario el.
* Fibroma no osificante
(bastante frecuente)
Riesgo: el hueso se puede
fracturar.
* Displasia fibrosa: tejido
fibroso en el interior de los
huesos de manera difusa.
Otras
* Granuloma eosinófilo:
lesión muy característica
localizado en la columna
vertebral
* Islote óseo: pequeño
islote de tejido óseo:
imagen hiperdensa,
elíptica-redondeada,
localizada en cualquier
hueso, de pequeño tamaño
• BENIGNOS
• MALIGNOS
T. M. Liso
• Leiomioma
• Leiomiosarcoma
T. M. Esqueletico
• Rabdomioma
• Rabdomiosarcoma
TUMORES MUSCULARES
TUMORES
BENIGNOS
Leiomiomas
• Se les localiza en el aparato urogenital, aparato circulatorio y sist.
digestivo
• No se disemina ni se recidivan
• A menudo se localizan en las paredes uterinas y se les denomina
fibromas
Drs. Manuel Márquez. Jaume Ordi. (2010)
Leiomioma Cervical
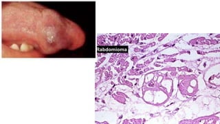
Rabdmiomas
• Los rabdomiomas predominan en el miocardio, también en el
musculo esqueletico
• En el miocardio algunas se diseminan o hacerse difusas y difíciles de
extirpar
TUMORES
MALIGNOS
Leiosarcomas
• Se encuentran com mayor frecuencia en el retroperitoneo,
órganos internos y vasos sanguineos
• Se encuentra mayormente en personas adultas mayores de edad
• No se conocen muchos casos por lo que no suele ser maligna
Rabdmiosarcomas
• Comúnmente crecen en los brazos o las piernas, pero también
pueden originarse en el área de la cabeza y el cuello.
• Los niños lo padecen con mayor frecuencia que los adultos
• Por lo general en una pierna o brazo pueden ser extremadamente
maligno
Expo tumores

Expo tumores

  • 1.
  • 2.
    Estas lesiones seclasifican Habitualmente en función del tejido que predomina en la matriz tumoral y de su carácter benigno, agresivo localmente o maligno (que le viene dado por su capacidad de producir metástasis) El tumor óseo maligno más frecuente lo constituyen las metástasis, y el tumor óseo maligno primario más frecuente es el mieloma, seguido en orden por osteosarcoma, sarcoma de Ewing y condrosarcoma. El tumor óseo benigno más frecuente es el osteocondroma,
  • 3.
    INCIDENCIA Y CLASIFICACIÓN •Partes blandas > óseos. • Benignas, pseudotumorales > malignas
  • 4.
    Incidencia • Una edad< 20 años (tumoraciones benignas); excepto (sarcoma de Ewing y osteosarcoma). • > 50 años (tumoraciones malignas). Metástasis más frecuentes son:  Varón: secundario a adenocarcinoma de próstata y pulmón.  Mujer: mama y pulmón.  Tumores en cartílago se caracterizan por dar lugar a calcificaciones. Osteocondroma jóvenes. Condrosarcoma > 50 años. • Osteoma osteoide : tumor pequeño (1cm) de localización frecuente en el cuello femoral. Presenta dolor nocturno + nidus(imagen).
  • 8.
    La clasificación porestadios de Enneking se basa en tres parámetros: • Grado histológico del tumor • Extensión local de la lesión • Presencia o ausencia de metástasis Estadios de Enneking El grado histológico • – Grado 0 = Tumor benigno (sin riesgo de enfermedad metastásica) • – Grado 1 = Tumor maligno de bajo grado (riesgo bajo de enfermedad metastásicas, inferior al 15%) • – Grado 2 = Tumor maligno de alto grado (riesgo alto de enfermedad metastásica superior al 15%) La localización y extensión • A = Si está limitada dentro de la estructura anatómica que dio origen a la neoplasia • B = Si está fuera de la estructura anatómica que dio origen a la neoplasia • T1 = Intracapsular • T2 = Extracapsular e intracompartamental • T3 = Extracapsular y extracompartamental La extensión a distancia de la enfermedad • M0 = Sin metástasis regional o a distancia • M1 = Con metástasis regional o a distancia
  • 9.
    Lesiones inactivas • Sonescasamente sintomáticas, habitualmente su descubrimiento es un hallazgo radiográfico. Su histología siempre es benigna Lesiones activas • Son poco sintomáticas, radiográficamente pueden adelgazar o insuflar las corticales. Presentan un halo escleroso. Su histología siempre es benigna Lesiones agresivas • Son muy sintomáticas, radiográficamente insuflan al hueso, rompen la cortical y rápidamente se hacen extracompartamentales. • Pueden condicionar fracturas. Su histología es benigna pero pueden desarrollar metástasis. Lesiones malignas de bajo grado. • Son poco sintomáticas, de crecimiento lento pero sostenido, radiográficamente se encuentran aparentemente bien limitadas, son de gran volumen pero puede haber erosión del endostio. Su histología es maligna Lesiones malignas de alto grado. • Son altamente sintomáticas, de crecimiento rápido, con ataque temprano al estado general, radiográficamente mal definidas en el hueso, con algún tipo de reacción perióstica y algunas veces con fractura. Su histología es maligna. Lesiones metastásicas. • Son muy sintomáticas, crecen rápidamente, presentan tempranamente ataque al estado general. Habitualmente provienen de otro órgano. Radiográficamente pueden ser líticas o blásticas, presentan habitualmente fractura. Su histología siempre es maligna
  • 12.
    Orientación Diagnóstica • EDAD. •POR SU ORIGEN. • CARACTERÍSTICAS RADIOLÓGICAS. • CARACTERÍSTICAS EN EXAMENES COMO TC, RM Y ARTEROGRAFÍA.
  • 13.
    EDAD RN: metástasis de neuroblastoma Infanciay adolescencia : quiste unicameral, condroblastoma Infancia, adolescencia y adulto joven: ostesarcoma, tumor de Ewing. Adulto joven: osteoma osteoide, tumor de células gigantes. Adulto :condrosarcoma Paciente de edad avanzada: metástasis y mieloma
  • 14.
    RADIOGRAFÍA SIMPLE • Patronesradiológicos. • Aspecto radiológico. • Localización.
  • 15.
    Patrón Radiológico Tumoresque lo presentan Geográfico con bordes bien delimitados, escleroso o no • Tumores y lesiones paratumorales benignas • Osteomielitis Geográfico con márgenes festoneados • Fibroma no osificante • Encondroma Apolillado o moteado • Metástasis • Linfomas histiocíticos • Fibrosarcoma • Osteomielitis • Osteosarcoma (en ocasiones) Permeativo • Osteosarcoma. • Sarcoma de Ewing. • Metástasis. • Linfomas. • Fibrosarcoma. • Condrosarcoma. • Osteomielitis (a veces). • Otras lesiones muy agresivas. RADIOGRAFÍA SIMPLE
  • 16.
    Aspecto Radiológico Tumoresque lo presentan Nidus (zona radiotransparente rodeada de un halo de formación de hueso y engrasamiento cortical) •Osteoma osteoide Calcificaciones • Condroblastoma • Encondroma, • Condrosarcoma Cavidades múltiples • Quiste óseo aneurismático. •Tumor de células gigantes. • Displasia fibrosa. RADIOGRAFÍA SIMPLE
  • 17.
  • 18.
    TC, RM yARTEROGRAFÍA TC • Lesiones corticales (osteoma osteoide) • Las situadas en las superficies óseas ( osteoma). RM • Tumores de partes blandas. • Ayudar a diferenciar tumores con aspecto radiológico similar. • Sarcoma de Ewing vs granuloma eosinófilo. • Encondroma vs condrosarcoma. ARTEROGRAFÍA • Planificación preoperatoria
  • 19.
  • 20.
    ESTUDIOS DE EXTENSIÓN •El pulmón es el lugar más frecuente de metástasis de los tumores malignos óseos y de partes blandas.
  • 21.
    ESTUDIOS DE LABORATORIOY CITOGENÉTICOS • Valores de Fosfatasa Alcalina.(osteosarcoma). • LDH.(pronóstico osteosarcoma y sarcoma de Ewing). • Calcio, fosfato y PTH (Tumor pardo por hiperparatiroidismo) El 95 % de los tumores de Ewing presentan una traslocación cromosómica t(11;22)
  • 22.
    ESTADIFICACIÓN TUMORES BENIGNOS • MSTS TUMORESMALIGNOS • Grado histológico. • Localización del tumor. • Metastasis a distancia. • Lesiones intracompartimentales (T1) . No han traspasado las barreras naturales frente a la extensión del tumor. (intraóseas) • Lesiones extracompartimentales (T2): originan entre 2 compartimentos(penetración cortical). Estadio Características I Radiológica: zona de transición bien definida Clínica: lesiones latentes o asintomáticas (fibroma no osificante, encondroma). II Radiológica: Zona de transición mal definida Clínica: Lesiones activas. III Radiológica: penetración cortical Clínica: lesiones agresivas.
  • 23.
  • 24.
    ORIENTACIÓN TERAPEUTICA • Intralesional:Se reseca tumor sin pretender llegar a tejido normal • Marginal:Se reseca todo el tumor sin incluir la zona reactiva • Amplia: Se reseca todo el tumor rodeado de tejido normal que incluye la zona reactiva. • Radical: Se reseca todo el compartimento que contiene el tumor CIRUGIA • Neoadyuvante (preoperatoria y postoperatoria) • Mejorar la supervivencia de pacientes con osteosarcoma y sarcoma de Ewing. • Rabdomiosarcoma. QUIMIOTERAPIA • Tras la resección quirúrgica del tumor de Ewing • Los sarcomas de partes blandas. • Tras la estabilización quirúrgica de zonas con metástasis. RADIOTERAPIA
  • 25.
  • 26.
    CLASIFICACIÓN tumores dehueso se pueden clasificar en varias categorías en función de la matriz o sustancia que producen: • Tumores formadores hueso incluyendo osteoma osteoide y osteoblastoma • Tumores formación cartilago incluyendo osteocondroma, condroma (encondroma, condroma perióstica), condroblastoma, fibroma y condromixoide • Lesiones fibrosas incluyendo la displasia fibrosa, fibroma osificante y fibroma no osificante • Quística y lesiones vasculares incluyendo quiste óseo unicameral y quiste óseo aneurismático
  • 28.
    A) FORMADORES DEHUESO: Benignos: OSTEOMA: Lesión lítica, redonda, hiperdensa, formada por hueso muy denso. Generalmente en los senos craneales, y no da clínica, excepto si crece mucho, que da dolor de cabeza, sinusitis... suele ser más pequeño OSTEOMA OSTEOIDE: Las células producen hueso inmaduro. Está formado por hueso, muy denso; tiene en su interior osteoide (tejido blando que forman los osteoblastos y que posteriormente se mineralizará). Si hacemos radiografía, vemos que el centro del tumor aparecerá negro por el osteoide y la periferia blanca por el osteoma. Es un tumor pequeño pero con dolor, ya que está muy inervado. - OSTEOBLASTOMA: es una forma gigante del osteoma osteoide que suele localizarse en la columna. Malignos: - OSTEOSARCOMA O SARCOMA OSEO: Importante porque es el segundo tumor primario maligno más recuente y el primero de interés quirúrgico. Abarca muchas subdivisiones. Puede ser: • Central :Nace en itnerior del hueso • Periférico: Se desarrolla en superficie del hueso
  • 29.
    Osteoma osteoide • Tumortípico de adultos jóvenes • Ocasiona dolor sordo e intenso de predominio nocturno, que cede con aspirina y otros AINE. • Radiológicamente constan de un nidus lítico de pequeño tamaño (< 1 cm) rodeado de una zona de hueso engrosado y denso. • Su localización más frecuente es fémur proximal. • Otras localizaciones características son las falanges de las manos y los elementos vertebrales posteriores.
  • 30.
    • En loshuesos largos se localiza en la zona central o al final de la diáfisis. • Resuelven espontáneamente entre cinco y siete años se consigue un buen control del dolor con AINE • Sino se opta por el tratamiento quirúrgico. • La cirugía tradiciónal (extirpación quirúrgica del nidus) se está reemplazando por la ablación guiada con TC, utilizando electrodos de radiofrecuencia • El nido produce altos niveles de prostaglandinas y osteocalcina
  • 31.
    • Tratamiento dependede la presencia de los síntomas. • Las lesiones con síntomas que son tolerable o pueden ser controlados con agentes anti- inflamatorios no esteroideos pueden observarse con los exámenes de serie • Radiografías cada cuatro a seis meses.
  • 32.
    Osteoblastoma • Tumor benignode rara etiología desconocida. • Presenta durante segunda década, pero se pueden ver en cualquier edad. • Localización más frecuente parte posterior de la columna vertebral (la apófisis espinosa, lámina, y pedículos) • Tumores en la espina dorsal pueden ser difíciles de identificar en las radiografías simples
  • 33.
    • Es menossensible a los agentes anti-inflamatorios no esteroideos • Los niños con lesiones de la columna pueden presentarse con síntomas de cojera o neurológicas secundarias a espinal o los nervios compresión de la raíz. • La diferencia con osteoma más grandes (> 2 cm de diámetro) puede aparecer como una lesión expansiva estos rara vez se expande a tejido blando
  • 34.
    • Tratamiento generalmenteimplica el legrado y el injerto óseo. • En bloque de escisión puede estar justificada para las lesiones más agresivas o en regiones que permiten la escisión del hueso (por ejemplo, el peroné). • La radiación puede ser necesaria para las lesiones de la columna vertebral cuando el tumor no puede ser completamente resecado • Osteoblastoma no tratado continúa creciendo y puede dañar el hueso con sus estructuras adyacentes
  • 35.
    Tumor de célulasgigantes (osteoclastoma) • Tumor típico de las epífisis de los huesos largos de pacientes de 20 a 40 años. • Tumores óseos primarios más frecuentes en mujeres • Está formado por un componente de células : A)Fibroblásticas, osteoblásticas e histiocitarias que constituyen el componente proliferativo neoplásico del tumor B)Un componente de células gigantes reactivas no proliferativas que expresan características de osteoclastos.
  • 36.
    • Radiológicamente • Presentarsecomo un tumor con múltiples cavidades • Se considera un tumor de agresividad intermedia por que tiene una incidencia de recidiva local (10- 25%), en los primeros dos años después del tratamiento, origina metástasis pulmonares (2%) • Cuando se localiza en la columna (< 10 % de los casos) ocasiona déficit neurológico especialmente si se localiza en el sacro. • El tratamiento es curetaje de la lesión y aplicar a continuación un tratamiento coadyuvante (fresado de alta velocidad, fenol o nitrógeno líquido). • La cavidad se rellena con cemento acrílico o algún sustitutivo óseo que proporcione soporte estructural. • En la columna, en ocasiones no puede abordarse todo el tumor y se asocia a radioterapia
  • 37.
    Osteosarcoma • Tumor malignoprimario del hueso que se caracterizan por la producción de osteoide o hueso inmaduro por las células malignas • 750 y 900 nuevos casos cada año en los Estados Unidos 400 niños y <20 años pico 13 a 16 años • Raro en adultos mayores pero hay un pequeño pico después 60 años
  • 38.
    • En niñosesporádica y común en las metáfisis de los huesos largos, especialmente el fémur distal, la tibia proximal, húmero proximal • En adultos son secundarios enfermedad de Paget, infartos de hueso, lesiones benignas. • Clínica dolor localizado de varios meses de duración, exploración física es una masa de tejido blando que es grande y sensible a la palpación en la región metafisaria
  • 39.
    • Laboratorio normala excepción elevaciones de la fosfatasa alcalina (40%) , lactato deshidrogenasa (LDH 30 %) y la velocidad de sedimentación de eritrocitos. • Al presentarse 10 y 20 % tienen enfermedad macrometastásica • Primera prueba de diagnóstica es radiografía simple de la zona afectada • Hueso afectado se caracteriza por una mezcla de radiodenso y áreas radiolúcidas • Destrucción de la corteza y la formación de hueso nuevo perióstico • Formación del triángulo de Codman (periostio es elevado por un tumor óseo)
  • 41.
    Caracteristicas Microscopicas • Elosteosarcoma osteoblástico está constituido por osteoblastos de aspecto maligno dispuestos sobre una matriz constituida mayoritariamente por hueso compacto. • El osteosarcoma condroblástico consta de una matriz de apariencia cartilaginosa dotada de lagunas en las que se disponen células fusiformes malignas. • La variante fibroblástica tiene la morfología de una neoplasia maligna de células fusiformes, en las que el único indicador de que se trata de un osteosarcoma es el escaso osteoide identificable.
  • 43.
    Tratamiento • Quimioterapia ycirugia • Cuando se combina con la cirugía produce un claro beneficio en los casos de osteosarcoma. • Los mejores resultados en cuanto a supervivencia se evidencian en pacientes con enfermedad no metastásica. • Pronóstico • Con los regímenes de tratamiento habitual, los pacientes con osteosarcoma sin metástasis detectables tienen tasas de supervivencia que se aproximan al 70%. • Lesiones pulmonares resecables tienen una supervivencia del 30-50%
  • 45.
    Condroma, enfermedad deOllier y síndrome de Maffucci • Tumor formado por tejido cartilaginoso maduro • Localiza intramedularmente en huesos tubulares (encondroma) aunque ocasionalmente puede localizarse en la superficie ósea (se habla entonces de condroma perióstico). • La localización más frecuente del encondroma la constituyen las falanges de las manos. • Generalmente son asintomáticos a menos que ocasionen una fractura patológica. • Suele presentar calcificaciones centrales.
  • 46.
    • Únicamente requierenobservación aunque las lesiones más grandes y las que producen fracturas patológicas pueden tratarse mediante curetaje e injerto. • La aparición de múltiples condromas (condromatosis múltiple) representa una displasia ósea caracterizada por una alteración del proceso de osificación endocondral ocasionando múltiples masas cartilaginosas con incurvación y acortamiento de los huesos. • Cuando la condromatosis es muy extensa y tiene predilección unilateral, se denomina enfermedad de Ollier. • Cuando se asocia con angiomas en las partes blandas, se denomina síndrome de Maffucci. • En estos tres cuadros existe un mayor riesgo de malignización de los condromas.
  • 47.
    Osteocondroma (exóstosis) y exóstosishereditaria múltiple • Es el tumor óseo benigno más frecuente. • Se interpreta como una zona de la fisis que se independiza y genera una formación ósea recubierta por un caperuzón cartilaginoso. • Suele diagnosticarse en la infancia aunque puede pasar desapercibida hasta la edad adulta. • Radiológicamente tiene el aspecto de una excrecencia sésil o pediculada. • Generalmente deja de crecer cuando acaba el crecimiento y se cierran las fisis. • Si la lesión no ocasiona síntomas por su prominencia (compresión vasculonerviosa, irritación local con bursitis, resaltes tendinosos o musculares), no requiere tratamiento • En caso contrario se trata mediante resección. • Si un osteocondroma continúa creciendo en la edad adulta debe sospecharse su transformación maligna que se da por alteración autosómica dominante denominada exóstosis u osteocondromatosis hereditaria múltiple
  • 48.
    Condroblastoma • Tumor benignoque se presenta generalmente en las epífisis o apófisis de los huesos largos • Se presenta normalmente durante la adolescencia. • Más común en la epífisis del húmero proximal, el fémur distal y la tibia proximal
  • 49.
    • Los hallazgosradiológicos en las radiografías simples aparecen como lesiones pequeñas y bien definidas con un borde esclerótico que pueden cruzar la fisis (placa de crecimiento) • Calcificación de la matriz • Tratamiento Curetaje e injerto óseo, la reconstrucción puede ser difícil si implica la superficie articular. • Pronóstico es buena, si este implica la superficie articular puede dar lugar a la artritis. • Reportan una tasa de recurrencia de hasta un 20 por ciento.
  • 50.
    Condrosarcoma • Tumor óseomalignos • Tercera neoplasia maligna primaria más común • 90% son bajo a intermedio grado son de crecimiento lento con un bajo potencial metastásico son sensibles quimioterapia • 10% son de alto grado tienen un alto potencial metastásico y un mal pronóstico después de la resección son resistentes quimioterapia
  • 51.
    • Grado 1posee una matriz de cartílago hialino abundante, condrocitos tienen núcleos pequeños, redondos y binucleadas, mitosis están ausentes, la supervivencia de diez años es del 83 al 95 %. • Grado 2 son más celular con menos matriz condroide, mitosis presentes pero ampliamente dispersos, núcleos agrandes y pueden ser vesicular o hipercromáticos, potencial metastásico es 10 a 15%, la supervivencia de diez años 64 a 86 %. • Grado 3 son células con pleomorfismos nucleares y mitosis fácilmente detectados. Matriz condroide es escasa o ausente, tienen un alto potencial metastásicos 32 a 70 % y un mal pronóstico con la resección quirúrgica sola, la tasa de supervivencia a 10 años es de aproximadamente el 29 al 55%
  • 52.
    Condrosarcomas convencionales Condrosarcoma central •Surgen dentro de la cavidad medular y constituyen aproximadamente el 75 % • La mayoría permanecen asintomáticos y clínicamente en silencio • La mayoría de los pacientes 50 hay predominio masculino. • Los sitios del esqueleto más comúnmente involucrados son el fémur proximal, huesos de la pelvis (en particular del ilion) y el húmero proximal (75 %) • Inflamación local y el dolor son los síntomas de presentación más comunes. • El dolor suele ser insidiosa, progresiva, peor por la noche y a menudo presente durante meses o años antes de la presentación. • Una fractura patológica está presente al momento del diagnóstico en 3 a 17 %.
  • 53.
    Condrosarcoma Periféricos • Surgentodas condrosarcomas periféricos dentro de la tapa de cartílago de un osteocondroma preexistente. • Los pacientes con un condrosarcoma periférica son generalmente más jóvenes que aquellos con un condrosarcoma central • La presentación clínica por lo general hay dolor y inflamación local. • Huesos más comúnmente involucrados son la pelvis y huesos de la cintura escapular. • El tamaño de la tapa cartilaginosa es el parámetro más importante
  • 54.
    Condrosarcoma Perióstico • <1%surgen en la superficie de un hueso y se designan los condrosarcomas de periostio. • > Frecuencia afecta a los adultos de entre 20 y 30 años y tienen una ligera predilección masculina. • Las metáfisis de los huesos largos son los más frecuentemente implicados, especialmente del fémur distal • Los pacientes típicamente se presentan sin dolor en una masa palpable crecimiento lento • Tienen un buen pronóstico después de la cirugía local adecuado a pesar de las características histológicas de una lesión de alto grado
  • 55.
    Radiográfica de imágenes •El estudio de imagen inicial en un paciente con una hinchazón dolorosa musculoesquelético es a menudo una radiografía simple. • La ubicación y la apariencia radiológica de los diferentes subtipos de condrosarcoma menudo son características . • T. computarizada es óptimo para detectar mineralización de la matriz, particularmente cuando es sutil o las lesiones se localizan en una zona anatómicamente complejas. Debido a su alto contenido de agua, la mayoría de los condrosarcomas son de baja atenuación en la TC. • RMN es mejor para delinear la extensión de la médula y la participación de los tejidos blandos. El alto contenido de agua de los condrosarcomas se manifiesta como muy alta intensidad de la señal en las imágenes ponderadas en T2
  • 56.
    • Biopsia Paralas lesiones sospechosas, una biopsia de diagnóstico se lleva a cabo con frecuencia para establecer el diagnóstico y planificar el abordaje quirúrgico. • La biopsia percutánea inicial puede no reflejar con precisión la verdadera grado histológico de la lesión debido a la heterogeneidad de la lesión y la posibilidad de error de muestreo • En casos difíciles el análisis de mutaciones para IDH1 y -2 puede ayudar a distinguir condrosarcoma • TRATAMIENTO QUIRÚRGICO - Para todos los grados y subtipos de condrosarcoma no metastásico, el tratamiento quirúrgico ofrece la única posibilidad de curación. El tipo óptimo de manejo quirúrgico depende el grado histológico, la ubicación y la extensión del tumor
  • 57.
    C) DE ORIGENMEDULAR: Malignos MIELOMA: tumor primario de localización más frecuente en el esqueleto pero poco importante desde el punto de vista qx. Es un tumor hematológico y por eso lo tratan los hematólogos. - SARCOMA DE EWING El sarcoma de Ewing es una neoplasia altamente maligna que afecta fundamentalmente a niños y adolescentes. Se desconoce su histogénesis exacta, pero se cree que deriva de las células de la médula ósea. Sin embargo, algunos opinan que es un cáncer de células redondas de origen neural, similar a los llamados tumores neuroectodérmicos primitivos
  • 58.
  • 59.
    D) LESIONES PSEUDOTUMORALES; Lesionesde tipo quístico * Quiste óseo solitario: Muy frecuente en <25 años. * Quiste aneurismático: lesión insuflada en la cortical que simula un aneurisma. * Quiste óseo subcondral (en el hueso subcondral, próximo a la articulación) Lesiones de tipo fibroso * Defecto fibroso cortical : es la lesión más frecuente, sobre todo en niños de 3-4 años. Diagnóstico radiológico. No es necesario el. * Fibroma no osificante (bastante frecuente) Riesgo: el hueso se puede fracturar. * Displasia fibrosa: tejido fibroso en el interior de los huesos de manera difusa. Otras * Granuloma eosinófilo: lesión muy característica localizado en la columna vertebral * Islote óseo: pequeño islote de tejido óseo: imagen hiperdensa, elíptica-redondeada, localizada en cualquier hueso, de pequeño tamaño
  • 60.
    • BENIGNOS • MALIGNOS T.M. Liso • Leiomioma • Leiomiosarcoma T. M. Esqueletico • Rabdomioma • Rabdomiosarcoma TUMORES MUSCULARES
  • 61.
  • 62.
    Leiomiomas • Se leslocaliza en el aparato urogenital, aparato circulatorio y sist. digestivo • No se disemina ni se recidivan • A menudo se localizan en las paredes uterinas y se les denomina fibromas
  • 63.
    Drs. Manuel Márquez.Jaume Ordi. (2010) Leiomioma Cervical
  • 64.
    Rabdmiomas • Los rabdomiomaspredominan en el miocardio, también en el musculo esqueletico • En el miocardio algunas se diseminan o hacerse difusas y difíciles de extirpar
  • 66.
  • 67.
    Leiosarcomas • Se encuentrancom mayor frecuencia en el retroperitoneo, órganos internos y vasos sanguineos • Se encuentra mayormente en personas adultas mayores de edad • No se conocen muchos casos por lo que no suele ser maligna
  • 69.
    Rabdmiosarcomas • Comúnmente crecenen los brazos o las piernas, pero también pueden originarse en el área de la cabeza y el cuello. • Los niños lo padecen con mayor frecuencia que los adultos • Por lo general en una pierna o brazo pueden ser extremadamente maligno