ANATOMÍA PATOLÓGICA Y CITOLOGÍA DEL OVARIO FAMILIA PROFESIONAL SANIDAD DIDÁCTICA DE LA CITOLOGÍA 04FP37CF184
PATOLOGÍA OVÁRICA 1
PATOLOGÍA OVÁRICA 2
PATOLOGÍA OVÁRICA 3 Algunos segregan estrógenos
PATOLOGÍA OVÁRICA 4
PATOLOGÍA OVÁRICA 5 TUMORES METASTÁSICOS DEL OVARIO: Carcinoma de mama Origen gastrointestinal Tumor de Krukemberg , o metástasis ovárica bilateral de Adenocarcinoma gástrico de células en anillo de sello.
Instrumento de Franzen para PAAF transrectal de Ovario y Próstata. PAAF de Próstata
Indicaciones de la Citología Ovárica por punción Zajicek: preoperatoria Koss: Recidivas de tumores ováricos Contraindicaciones de laparotomía Quistes ováricos de aspecto clínico “benigno”
HISTOLOGÍA: Ovario de mono
HISTOLOGÍA: Folículo secundario
Citología de quiste folicular ovárico (Orell) Grupo laxo de células de  la granulosa con  núcleo pálido, nucleolos  múltiples y citoplasma mal definido. Algunas  degeneradas con núcleo hipercromático
HISTOLOGÍA: El cuerpo lúteo Las células luteínicas granulosas segregan progesterona Las células tecales luteínicas segregan estrógenos
Quiste del cuerpo lúteo (Células cohesivas con citoplasma abundante bien definido)
PATOLOGÍA Síndrome de Stein- Leventhal: ovarios poliquísticos y alteraciones hormonales
Cistadenoma seroso ovárico
Cistoadenoma seroso “borderline” con cuerpos de psammoma, vacuolas y moderado pleomorfismo nuclear
Cistoadenocarcinoma seroso ovárico bilateral
Imagen citológica de Carcinoma papilar seroso ovárico
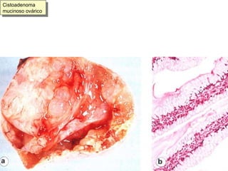
Cistoadenoma mucinoso ovárico
Cistoadenoma mucinoso “borderline”, placa cohesiva de células mucosecretoras con ligera atipia y tridimensionalidad
Cistoadenocarcinoma ovárico
Cistoadenocarcinoma mucinoso, DQ, fondo de moco rojizo, células con moderada atipia y grandes nucleolos
Carcinoma endometrioide, patrón acinar y empalizada nuclear
Carcinoma de células claras, con citoplasma abundante, claro y finamente vacuolado
Fibrotecoma ovárico, áreas de fibroma y áreas amarillentas de tecoma, originado en células fusiformes del estroma ovárico
Tumor de células de la granulosa, con cuerpo de Call-Exner (púrpura, fibrilar con DQ)
Tumor de células de la granulosa, núcleos pequeños redondos, tendencia a formar microfolículos D.Q. Pap, hendiduras  nucleares
Tumores de células germinales del testículo (y del ovario) Disgerminoma  en ovario
Teratoma quístico benigno del ovario (quiste dermoide)
Teratoma testicular maduro
Citología del Teratoma maduro, escamas anucleadas y placa glandular benigna (Orell)
Seminoma testicular clásico
Seminoma (testículo) o Disgerminoma (ovario) Fondo “tigroide”,  células con  citoplasmas desdibujados y grandes núcleos,  junto a linfocitos
Seminoma o disgerminoma, grandes núcleos con nucleolos evidentes de tamaño medio. Mitosis.
Carcinoma embrionario testicular
Citología del carcinoma embrionario Grupos de tipo adenocarcinoma  indiferenciado y fragmento de  mesénquima indiferenciado
Tumor del seno endodérmico o del saco vitelino, patrón papilar y vacuolas citoplásmicas
ALFA FETO PROTEÍNA
Mola hidatiforme placentaria: vesículas quísticas muy dilatadas
Coriocarcinoma, célula multinucleada de sincitiotrofoblasto y células de citotrofoblasto

Paaf. ovario