UNIVERSIDAD DE CHILE
         FACULTAD DE ODONTOLOGIA
DEPARTAMENTO CIRUGIA Y TRAUMATOLOGIA BUCAL MAXILO FACIAL




              Trauma facial.
            Diagnóstico y tratamiento




                                  Luis Córdova Jara
•  Aspectos clínicos – anatomía del esqueleto facial.

•  Aspectos Imagenológicos - anatomía de la imagenología.




•  Principios de tratamiento

•  Secuelas
Traumatismo nasal
Radiografías




HN perfil
Tratamiento
Las dificultades
Fracturas del hueso cigomático
Clínica
Clínica
Radiología
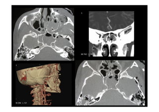
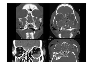
Radiología
Formas clínicas
Formas clínicas
Formas clínicas
Formas clínicas
Tratamiento
Control radiográfico
Fracturas mandibulares

Fracturas de la porción dentada
Ex. físico


Boca cerrada: : articulación dental
Boca abierta: amplitud de apertura, mucosa,
   dientes.
Radiologia:
•    Mandíbula oblícua
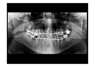
•    OPG
•    Oclusal inferieur
•    Retro-alveolaires
Oclusal                         Ralv.
  • III. Imagerie
   : mandibule
          orthopantomographie
          Dautrey, Bonneau
          mordu, rétro
Tratamiento
Fracturas mandibulares
    Fracturas condilares
Luxación Témporo Mandibular
Fracturas complejas de la cara

     Disyunción Cráneo Facial
Fracturas lefort
Tratamiento
Fracturas complejas de la cara

    Fracturas del Complejo Naso-
  Etmoido-Maxilo-Fronto-Orbitario
Fracturas complejes de la cara

  Fracturas Cigomáticas Complejas
Fracturas complejas de la cara

     Fracturas Órbito-craneanas
6 traumatismos faciales

6 traumatismos faciales