Trauma Facial
EVALUACIÓN CLÍNICA
• Manejo de vía aérea
• Control de la hemorragia
• Lesiones traumáticas asociadas
– Lesión de columna cervical grave 2-4%.
– TCE en un 50% (lesión intracraneal 5-10%,
fractura de base de cráneo 25%).
– Lesión ocular 25-29%
Prioridad de la cirugía del trauma facial
• 1) Hemorragias activas
• 2) Lesiones quirúgicas craneales
• 3) Compresión medular
• 4) Lesiones viscerales
• 5) Lesiones vasculares periféricas
• 6) Cirugía ortopédica y del trauma facial
Trauma facial
• Importancia
• TC
• Anatomía facial
• Fracturas
– Complejas
– Simples
• Complicaciones
• Trauma ocular
Contrafuertes
• 5 huesos pares y 4 impares
Trauma facial
• a. Tercio superior
– Fracturas fronto-orbitarias
• b. Tercio medio
– Fracturas de Le Fort
– Fracturas naso-órbito-etmoidales
– Fracturas cigomático-maxilares
• c. Tercio inferior
– Fracturas mandibulares
Fracturas complejas
• Le Fort
• Naso-Orbito-Etmoidal
• Cigomáticomaxilar
Le Fort
• 3 tipos con magnitud de impacto progresiva
• Todas incluyen Fx de apófisis pterigoides
• No excluyentes y combinadas
Le Fort
• Le Fort I: fractura horizontal sobre línea alveolar superior
(paladar flotante)
• Le Fort II: fractura piramidal
• Le Fort III: separación de los huesos de la base del cráneo
(disyunción craneofacial)
Le Fort
Le Fort I
• Paladar flotante
Le Fort II
• Fx Piramidal
Le Fort III
• Disociación craneofacial
• Hueso cigomático
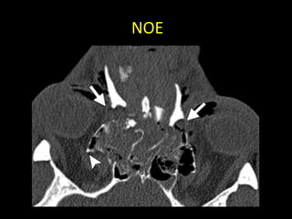
FRACTURA NASO-ÓRBITO-ETMOIDAL
(NOE)
• Golpe en nariz y transmisión posterior
etmoidal (contrafuertes maxilares mediales)
• Fractura del tercio medio facial que involucra
hueso etmoides (lámina perpendicular,
papirácea y cribiforme), propios nasales y
apófisis ascendentes de maxilares.
• Es la zona de la cara con menor resistencia a
fuerzas de fractura.
NOE
• Clasificación de Markowitz
– Tipo I: segmento central único, sin compromiso del
canto interno.
– Tipo II: segmento central conminuto, sin compromiso
del canto interno.
– Tipo III: segmento central conminuto, con
desinserción del canto interno.
NOE
NOE
NOE
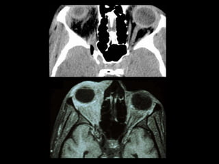
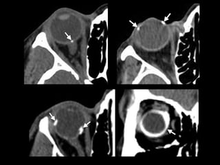
Fx Cigomáticomaxilar
Fx Cigomáticomaxilar
Fracturas simples
• Seno frontal
– Rinolicuorrea
– Herniación
– Infección
– Mucocele
Fracturas simples
• Fx nasal
– Tipo 1 (huesos propios)
– Tipo 2 (Tabique óseo)
– Tipo 3 (Hueso orbitario)
Fracturas simples
• Fx arco cigomático
Fracturas simples
• Fx proceso alveolar
FRACTURA DENTOALVEOLAR
• Dislocación dentaria
– Contusión, subluxación y luxación
– Intrusión o extrusión
• - Fractura de corona
– Fractura del esmalte
– Fractura del esmalte con dentina
– Fractura expuesta
• - Fractura radiculares (raíz)
– Fractura cervical
– Fractura media
– Fractura apical
Fracturas simples
• Fx mandíbula
– Anillo
– Localización
– Conminución
– Desplazamiento
– Canal alveolar
Fracturas simples
• Blowout
• Blowout
Fracturas simples
• Fx Techo orbitario
• Trapdoor
Trapdoor
Complicaciones
• Orbitarias
• Rotura-atrapamiento RI
• Nervio óptico
• Sme FOS (III,IV,V1,VI)
• Sme ápex (FOS+NO)
• V2 (blowout y Le Fort II)
• Conducto y saco lacrimal (dacriocistitis)
• Tendón canto interno (NOE, telecantus)
• Maxilares
• Fx dentales
• Infecciones
• V3
• Trismus (m. temporal)
• Maloclusión
Complicaciones
• SPN
– Drenaje de SPN
– Epistaxis (a. etmoidales)
– Licuorrea
– Infecciones intracraneales
Trauma ocular
• Cámara anterior
– Laceración corneal
– Hifema
• Cristalino
– Luxación
– Catarata traumática
• Segmento posterior
– Desprendimiento de retina
– Desprendimiento coroideo
– Hemorragia vítrea
• Rotura ocular
• Cuerpos extraños
TC
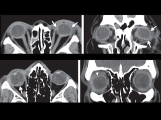
Rotura ocular
• Rotura de la esclera
• Sensibilidad del 56%–68%
– Signos directos:
• Alteración del contorno o volumen (múltiples planos)
• Discontinuidad esclera
– Signos indirectos
• Aumento de profundidad de la cámara anterior
• Aire o cuerpo extraño intraocular
• Mimics
Cuerpos extraños
• Inorgánicos: metal, cristal (sensibilidad 50% en
< 0.5 mm) y plástico. Sin inflamación
• Orgánicos: Madera (densidad similar al aire
pero con forma geométrica) va aumentando
de densidad con el tiempo. RM!
• RM contraindicada en metálicos (más sensible
en orgánicos)
Traumatismos faciales
Traumatismos faciales
Traumatismos faciales
Traumatismos faciales
Traumatismos faciales
Traumatismos faciales

Traumatismos faciales

  • 1.
  • 2.
    EVALUACIÓN CLÍNICA • Manejode vía aérea • Control de la hemorragia • Lesiones traumáticas asociadas – Lesión de columna cervical grave 2-4%. – TCE en un 50% (lesión intracraneal 5-10%, fractura de base de cráneo 25%). – Lesión ocular 25-29%
  • 3.
    Prioridad de lacirugía del trauma facial • 1) Hemorragias activas • 2) Lesiones quirúgicas craneales • 3) Compresión medular • 4) Lesiones viscerales • 5) Lesiones vasculares periféricas • 6) Cirugía ortopédica y del trauma facial
  • 4.
    Trauma facial • Importancia •TC • Anatomía facial • Fracturas – Complejas – Simples • Complicaciones • Trauma ocular
  • 5.
    Contrafuertes • 5 huesospares y 4 impares
  • 6.
    Trauma facial • a.Tercio superior – Fracturas fronto-orbitarias • b. Tercio medio – Fracturas de Le Fort – Fracturas naso-órbito-etmoidales – Fracturas cigomático-maxilares • c. Tercio inferior – Fracturas mandibulares
  • 7.
    Fracturas complejas • LeFort • Naso-Orbito-Etmoidal • Cigomáticomaxilar
  • 8.
    Le Fort • 3tipos con magnitud de impacto progresiva • Todas incluyen Fx de apófisis pterigoides • No excluyentes y combinadas
  • 9.
    Le Fort • LeFort I: fractura horizontal sobre línea alveolar superior (paladar flotante) • Le Fort II: fractura piramidal • Le Fort III: separación de los huesos de la base del cráneo (disyunción craneofacial)
  • 10.
  • 11.
    Le Fort I •Paladar flotante
  • 12.
    Le Fort II •Fx Piramidal
  • 13.
    Le Fort III •Disociación craneofacial • Hueso cigomático
  • 15.
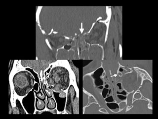
    FRACTURA NASO-ÓRBITO-ETMOIDAL (NOE) • Golpeen nariz y transmisión posterior etmoidal (contrafuertes maxilares mediales) • Fractura del tercio medio facial que involucra hueso etmoides (lámina perpendicular, papirácea y cribiforme), propios nasales y apófisis ascendentes de maxilares. • Es la zona de la cara con menor resistencia a fuerzas de fractura.
  • 16.
    NOE • Clasificación deMarkowitz – Tipo I: segmento central único, sin compromiso del canto interno. – Tipo II: segmento central conminuto, sin compromiso del canto interno. – Tipo III: segmento central conminuto, con desinserción del canto interno.
  • 17.
  • 18.
  • 19.
  • 20.
  • 21.
  • 22.
    Fracturas simples • Senofrontal – Rinolicuorrea – Herniación – Infección – Mucocele
  • 23.
    Fracturas simples • Fxnasal – Tipo 1 (huesos propios) – Tipo 2 (Tabique óseo) – Tipo 3 (Hueso orbitario)
  • 24.
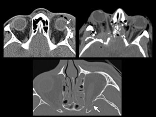
    Fracturas simples • Fxarco cigomático
  • 25.
    Fracturas simples • Fxproceso alveolar
  • 26.
    FRACTURA DENTOALVEOLAR • Dislocacióndentaria – Contusión, subluxación y luxación – Intrusión o extrusión • - Fractura de corona – Fractura del esmalte – Fractura del esmalte con dentina – Fractura expuesta • - Fractura radiculares (raíz) – Fractura cervical – Fractura media – Fractura apical
  • 27.
    Fracturas simples • Fxmandíbula – Anillo – Localización – Conminución – Desplazamiento – Canal alveolar
  • 29.
  • 30.
  • 31.
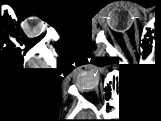
    Fracturas simples • FxTecho orbitario • Trapdoor
  • 32.
  • 33.
    Complicaciones • Orbitarias • Rotura-atrapamientoRI • Nervio óptico • Sme FOS (III,IV,V1,VI) • Sme ápex (FOS+NO) • V2 (blowout y Le Fort II) • Conducto y saco lacrimal (dacriocistitis) • Tendón canto interno (NOE, telecantus) • Maxilares • Fx dentales • Infecciones • V3 • Trismus (m. temporal) • Maloclusión
  • 34.
    Complicaciones • SPN – Drenajede SPN – Epistaxis (a. etmoidales) – Licuorrea – Infecciones intracraneales
  • 37.
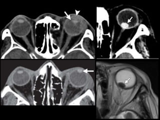
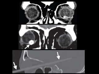
    Trauma ocular • Cámaraanterior – Laceración corneal – Hifema • Cristalino – Luxación – Catarata traumática • Segmento posterior – Desprendimiento de retina – Desprendimiento coroideo – Hemorragia vítrea • Rotura ocular • Cuerpos extraños TC
  • 41.
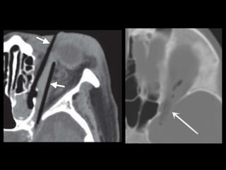
    Rotura ocular • Roturade la esclera • Sensibilidad del 56%–68% – Signos directos: • Alteración del contorno o volumen (múltiples planos) • Discontinuidad esclera – Signos indirectos • Aumento de profundidad de la cámara anterior • Aire o cuerpo extraño intraocular • Mimics
  • 45.
    Cuerpos extraños • Inorgánicos:metal, cristal (sensibilidad 50% en < 0.5 mm) y plástico. Sin inflamación • Orgánicos: Madera (densidad similar al aire pero con forma geométrica) va aumentando de densidad con el tiempo. RM! • RM contraindicada en metálicos (más sensible en orgánicos)

Notas del editor

  • #5 Elevado numero. Morbilidad mortalidad. Causas Corte fino. Reconstrucciones. Partes blandas
  • #6 System of facial buttresses. Three-dimensional CT images of an adult skull in frontal (a) and lateral oblique (b) orientations with color overlays show the superficial aspects of the horizontal and vertical facial buttresses and, in b, the sites of potential complications of fractures involving each buttress. The horizontal buttresses are the upper transverse maxillary (yellow), lower transverse maxillary (green), upper transverse mandibular (orange), and lower transverse mandibular (purple) buttresses. The vertical buttresses are the medial maxillary (red), lateral maxillary (blue), posterior maxillary (magenta), and posterior vertical mandibular (purple) buttresses.
  • #9 La clásica clasificación de Le Fort (I, II y III ), continúa vigente con fines didácticos, ya que esta fue hecha con traumatismos de baja energía. Hoy es más frecuente fracturas panfaciales (conminutas y con compromiso de dos o más segmentos faciales) por mayor energía de impacto, o de Le Fort combinadas
  • #11 Le Fort fractures. Three-dimensional CT images of an adult skull in frontal (a) and lateral (b) orientations with color overlays show the osseous facial structures that are typically affected by type I (red), type II (blue), and type III (yellow) Le Fort fractures.
  • #13 The apex of the pyramid is situated at or just inferior to the nasofrontal suture. The obliquely oriented fracture extends through the medial orbital wall, orbital floor, and zygomaticomaxillary suture, but spares the zygomatic bone.
  • #14 This fracture begins at the nasofrontal suture and travels laterally through the medial and lateral orbital walls and zygomatic arch
  • #18 The Markowitz and Manson classification system categorizes fractures of the NOE complex according to whether the medial canthal tendon is involved, as follows: In type I NOE fractures, the medial canthal tendon is intact and connected to a single large fracture fragment; in type II fractures, the fracture is comminuted, and the medial canthal tendon is attached to a single bone fragment; in type III fractures, comminution extends to the medial canthal tendon insertion site on the anterior medial orbital wall at the level of the lacrimal fossa, with resultant avulsion of the tendon (Figs 6, 7) (14). Although the tendon itself is not visible at multidetector CT, the radiologist’s report of the degree of comminution of the medial orbital wall at the level of the lacrimal fossa may be helpful for surgical planning of medial canthal tendon repair. Figures 6, 7. (6) Three-dimensional CT images of an adult skull with graphic overlays depict the Markowitz and Manson classification system for classifying fractures of the NOE complex: type I NOE fracture (a), characterized by a single large central fragment with attached medial canthal tendon; type II NOE fracture (b), characterized by comminution without extension to the medial canthal tendon attachment; and type III NOE fracture (c), characterized by comminution through the medial canthal tendon attachment, with resultant tendon avulsion. (7) Three-dimensional CT image of the left medial maxillary buttress in lateral oblique orientation shows a single fracture fragment that includes the lacrimal fossa at the expected insertion site of the medial canthal tendon, findings indicative of a type I NOE fracture. Fractures through the left frontal calvaria, lateral orbital rim, and zygomatic arch also are seen.
  • #20 comminuted fracture of the NOE complex with telecanthus and involvement of the bilateral lacrimal fossae (arrows), findings indicative of a type III fracture of the NOE complex with medial canthal tendon avulsion. A fragment of the fractured right medial orbital wall impinges on the right optic nerve
  • #23 A fracture along the medial aspect of the frontal sinus may extend into the nasofrontal duct, causing a mucocele
  • #25 Impingement of the temporalis muscle or adjacent mandibular coronoid process by displaced bone fragments may lead to trismus
  • #26 Because of the abundance of bacteria in the mouth, a fracture of the alveolar process is treated as an open fracture in which there is a breach of the overlying mucosa necessitating surgical débridement and prophylactic antibiotics. Potential complications of alveolar process fractures include dental root avulsion, crown or root fracture, dental intrusion or extrusion, and malocclusion
  • #28 the alveolar process (magenta), parasymphyseal region (blue), body (red), angle (green), ramus (yellow), coronoid process (orange), and condyle (purple).
  • #30 Trauma directo en ojo Suelo orbitario Hernia muscular Nervio infraorbitario
  • #34 Damage to the inferior alveolar nerve may result in anesthesia of the ipsilateral lower lip, chin, anterior tongue, and mandibular teeth.
  • #38 Non-Traumatic Dislocation (connective dis­orders, Marfan, Ehlers-Danlos, homocystinuria)
  • #42 (inserciones musculares o directo)