ASPERGILOSIS PULMONAR
DR. JOSÉ CRISTÓBAL PADILLA LÓPEZ
R3 IMAGENOLOGÍA DIAGNÓSTICA Y TERAPÉUTICA HRAEB LEÓN
ASPERGILOSIS
• Hongo oportunista.
• 1792, se describe la primera patología humana.
• Gran capacidad para dispersar sus conidios.
• 900 especies.
• Materia orgánica y humedad.
Abarca et al. Identificación del Género Aspergillus. Rev. Iberoamericana de Micología.
2002
ASPERGILLUS
Fumig
atus
Fla
vus
Nig
er
Nidul
ansTer
reu
sAbarca et al. Identificación del Género Aspergillus. Rev. Iberoamericana de Micología.
2002
Clav
atus
Ory
zae
• Alérgica.
• Patogénica.
• Toxigénica.
Abarca et al. Identificación del Género Aspergillus. Rev. Iberoamericana de Micología.
2002
LOCALIZACIÓN
PULMONAR
EXTRAPULMONAR
Aspergiloma
Reaccion de hipersensibilidad
Semi-invasiva
Invasiva a vía aérea
Angioinvasiva
NoinvasivaInvasiva
SNC
Cutánea
Ótica
Genitourinaria
OftálmicaSpectrum of Pulmonary Aspergillosis: Histologic, Clinical, and Radiologic Findings
Tomás Franquet, Nestor L. Müller, Ana Giménez, Pedro Guembe, Jesus de la Torre, and S. Bagué
RadioGraphics 2001 21:4, 825-837
ASPERGILOSIS SAPROPHYTICA
(ASPERGILOMA)
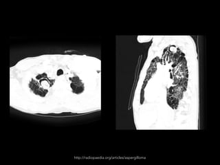
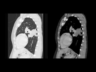
ASPERGILOMA
• No hay invasión tisular.
• Conglomerado de hifas con moco y detritus celulares.
• Se aloja en una caverna existente o bronquio ectásico.
• Tuberculosis y sarcoidosis.
• Generalmente son únicos.
• Hemoptisis.
Spectrum of Pulmonary Aspergillosis: Histologic, Clinical, and Radiologic Findings
Tomás Franquet, Nestor L. Müller, Ana Giménez, Pedro Guembe, Jesus de la Torre, and S. Bagué
RadioGraphics 2001 21:4, 825-837
Yale Rosen,
M.D.http://radiopaedia.org/articles/aspergilloma
http://radiopaedia.org/articles/aspergilloma
http://radiopaedia.org/articles/aspergilloma
http://radiopaedia.org/articles/aspergilloma
http://radiopaedia.org/articles/aspergilloma
TRATAMIENTO Y PRONÓSTICO
• Si es asintomático no requiere tratamiento.
• Hemoptisis masiva.
• Mortalidad baja.
Chen JC, Chang YL, Luh SP et-al. Surgical treatment for pulmonary aspergilloma: a 28 year experience. Thorax. 1997;52 (9): 810-3.
REACCIÓN DE HIPERSENSIBILIDAD
(ASPERGILOSIS ALÉRGICA BRONCOPULMONAR)
ASPERGILOSIS ALÉRGICA BRONCOPULMONAR
• Pacientes con asma bronquial.
• Dilatación bronquial.
• Involucra bronquios segmentarios y subsegmentarios.
• Reacción compleja de hipersensibilidad.
• Estornudos, fiebre, tos, esputo y dolor torácico.
Spectrum of Pulmonary Aspergillosis: Histologic, Clinical, and Radiologic Findings
Tomás Franquet, Nestor L. Müller, Ana Giménez, Pedro Guembe, Jesus de la Torre, and S. Bagué
RadioGraphics 2001 21:4, 825-837
ESTADIOS CLÍNICOS
• Estadio I: Agudo.
• Estadio II: Remisión.
• Estadio III: Exacerbación recurrente.
• Estadio IV: Asma dependiente de esteroides.
• Estadio V: Fibrosis pulmonar.
Grammer LC, Greenberger PA. Patterson's Allergic Diseases. Lippincott Williams & Wilkins.
(2009)
TRATAMIENTO
• Manejo del asma.
• Limitar / controlar exacerbaciones.
• Erradicar el aspergillus de la vía aérea.
• Prevenir complicaciones tardías.
Pasqualotto AC. Aspergillosis, From Diagnosis to Prevention. Springer Verlag. (2009)
DDX
• Impactación mucosa secundaria a bronquiectasias.
• Lesión secundaria endobronquial.
• Secundario a segmento bronquial atrésico.
ASPERGILOSIS SEMI-INVASIVA
(CRÓNICA NECROTIZANTE)
ASPERGILOSIS CRÓNICA NECROTIZANTE
• Necrosis e inflamación granulomatosa.
• DM, malnutrición, alcoholismo, uso crónico de
corticoesteroides y EPOC.
• Tos crónica, esputo, fiebre y síntomas constitucionales.
Spectrum of Pulmonary Aspergillosis: Histologic, Clinical, and Radiologic Findings
Tomás Franquet, Nestor L. Müller, Ana Giménez, Pedro Guembe, Jesus de la Torre, and S. Bagué
RadioGraphics 2001 21:4, 825-837
Spectrum of Pulmonary Aspergillosis: Histologic, Clinical, and Radiologic Findings
Tomás Franquet, Nestor L. Müller, Ana Giménez, Pedro Guembe, Jesus de la Torre, and S. Bagué
RadioGraphics 2001 21:4, 825-837
Spectrum of Pulmonary Aspergillosis: Histologic, Clinical, and Radiologic Findings
Tomás Franquet, Nestor L. Müller, Ana Giménez, Pedro Guembe, Jesus de la Torre, and S. Bagué
RadioGraphics 2001 21:4, 825-837
ASPERGILOSIS INVASIVA
ASPERGILOSIS INVASIVA
• Pacientes neutropénicos.
• SIDA.
• Manifestaciones clínicas:
• Traqueobronquitis.
• Bronquiolitis.
• Bronconeumonía.
Spectrum of Pulmonary Aspergillosis: Histologic, Clinical, and Radiologic Findings
Tomás Franquet, Nestor L. Müller, Ana Giménez, Pedro Guembe, Jesus de la Torre, and S. Bagué
RadioGraphics 2001 21:4, 825-837
Spectrum of Pulmonary Aspergillosis: Histologic, Clinical, and Radiologic Findings
Tomás Franquet, Nestor L. Müller, Ana Giménez, Pedro Guembe, Jesus de la Torre, and S. Bagué
RadioGraphics 2001 21:4, 825-837
Diagnostico Radiológico de las Enfermedades del Tórax. N. L. Muller, R. S. Fraser,. Elsevier-Masson, 2003. p186
ASPERGILOSIS ANGIOINVASIVA
ASPERGILOSIS ANGIOINVASIVA
• Casi exclusiva de pacientes inmunocomprometidos.
• Invasión y oclusión de arterias pulmonares de pequeño
y mediano tamaño.
• Nódulos necróticos hemorrágicos.
• Diagnóstico es difícil.
• Alta tasa de mortalidad.
Spectrum of Pulmonary Aspergillosis: Histologic, Clinical, and Radiologic Findings
Tomás Franquet, Nestor L. Müller, Ana Giménez, Pedro Guembe, Jesus de la Torre, and S. Bagué
RadioGraphics 2001 21:4, 825-837
ANGIOINVASIVE ASPERGILLOSIS
CASE CONTRIBUTED BY: DR FRANK GAILLARD
BIBLIOGRAFÍA
• Abarca et al. Identificación del Género Aspergillus. Rev. Iberoamericana de
Micología. 2002.
• Spectrum of Pulmonary Aspergillosis: Histologic, Clinical, and Radiologic
Findings,Tomás Franquet, Nestor L. Müller, Ana Giménez, Pedro Guembe,
Jesus de la Torre, and S. Bagué. RadioGraphics 2001 21:4, 825-837.
• Pasqualotto AC. Aspergillosis, From Diagnosis to Prevention. Springer
Verlag. (2009).
• Grammer LC, Greenberger PA. Patterson's Allergic Diseases. Lippincott
Williams & Wilkins. (2009).
• Diagnostico Radiológico de las Enfermedades del Tórax. N. L. Muller, R. S.
Fraser,. Elsevier-Masson, 2003. pp. 179-189

Aspergilosis pulmonar

  • 1.
    ASPERGILOSIS PULMONAR DR. JOSÉCRISTÓBAL PADILLA LÓPEZ R3 IMAGENOLOGÍA DIAGNÓSTICA Y TERAPÉUTICA HRAEB LEÓN
  • 2.
    ASPERGILOSIS • Hongo oportunista. •1792, se describe la primera patología humana. • Gran capacidad para dispersar sus conidios. • 900 especies. • Materia orgánica y humedad. Abarca et al. Identificación del Género Aspergillus. Rev. Iberoamericana de Micología. 2002
  • 3.
    ASPERGILLUS Fumig atus Fla vus Nig er Nidul ansTer reu sAbarca et al.Identificación del Género Aspergillus. Rev. Iberoamericana de Micología. 2002 Clav atus Ory zae
  • 4.
    • Alérgica. • Patogénica. •Toxigénica. Abarca et al. Identificación del Género Aspergillus. Rev. Iberoamericana de Micología. 2002
  • 5.
    LOCALIZACIÓN PULMONAR EXTRAPULMONAR Aspergiloma Reaccion de hipersensibilidad Semi-invasiva Invasivaa vía aérea Angioinvasiva NoinvasivaInvasiva SNC Cutánea Ótica Genitourinaria OftálmicaSpectrum of Pulmonary Aspergillosis: Histologic, Clinical, and Radiologic Findings Tomás Franquet, Nestor L. Müller, Ana Giménez, Pedro Guembe, Jesus de la Torre, and S. Bagué RadioGraphics 2001 21:4, 825-837
  • 6.
  • 7.
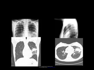
    ASPERGILOMA • No hayinvasión tisular. • Conglomerado de hifas con moco y detritus celulares. • Se aloja en una caverna existente o bronquio ectásico. • Tuberculosis y sarcoidosis. • Generalmente son únicos. • Hemoptisis. Spectrum of Pulmonary Aspergillosis: Histologic, Clinical, and Radiologic Findings Tomás Franquet, Nestor L. Müller, Ana Giménez, Pedro Guembe, Jesus de la Torre, and S. Bagué RadioGraphics 2001 21:4, 825-837
  • 8.
  • 9.
  • 10.
  • 11.
  • 12.
  • 13.
    TRATAMIENTO Y PRONÓSTICO •Si es asintomático no requiere tratamiento. • Hemoptisis masiva. • Mortalidad baja. Chen JC, Chang YL, Luh SP et-al. Surgical treatment for pulmonary aspergilloma: a 28 year experience. Thorax. 1997;52 (9): 810-3.
  • 14.
  • 15.
    ASPERGILOSIS ALÉRGICA BRONCOPULMONAR •Pacientes con asma bronquial. • Dilatación bronquial. • Involucra bronquios segmentarios y subsegmentarios. • Reacción compleja de hipersensibilidad. • Estornudos, fiebre, tos, esputo y dolor torácico. Spectrum of Pulmonary Aspergillosis: Histologic, Clinical, and Radiologic Findings Tomás Franquet, Nestor L. Müller, Ana Giménez, Pedro Guembe, Jesus de la Torre, and S. Bagué RadioGraphics 2001 21:4, 825-837
  • 16.
    ESTADIOS CLÍNICOS • EstadioI: Agudo. • Estadio II: Remisión. • Estadio III: Exacerbación recurrente. • Estadio IV: Asma dependiente de esteroides. • Estadio V: Fibrosis pulmonar. Grammer LC, Greenberger PA. Patterson's Allergic Diseases. Lippincott Williams & Wilkins. (2009)
  • 20.
    TRATAMIENTO • Manejo delasma. • Limitar / controlar exacerbaciones. • Erradicar el aspergillus de la vía aérea. • Prevenir complicaciones tardías. Pasqualotto AC. Aspergillosis, From Diagnosis to Prevention. Springer Verlag. (2009)
  • 21.
    DDX • Impactación mucosasecundaria a bronquiectasias. • Lesión secundaria endobronquial. • Secundario a segmento bronquial atrésico.
  • 22.
  • 23.
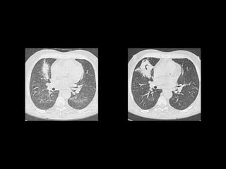
    ASPERGILOSIS CRÓNICA NECROTIZANTE •Necrosis e inflamación granulomatosa. • DM, malnutrición, alcoholismo, uso crónico de corticoesteroides y EPOC. • Tos crónica, esputo, fiebre y síntomas constitucionales. Spectrum of Pulmonary Aspergillosis: Histologic, Clinical, and Radiologic Findings Tomás Franquet, Nestor L. Müller, Ana Giménez, Pedro Guembe, Jesus de la Torre, and S. Bagué RadioGraphics 2001 21:4, 825-837
  • 24.
    Spectrum of PulmonaryAspergillosis: Histologic, Clinical, and Radiologic Findings Tomás Franquet, Nestor L. Müller, Ana Giménez, Pedro Guembe, Jesus de la Torre, and S. Bagué RadioGraphics 2001 21:4, 825-837
  • 25.
    Spectrum of PulmonaryAspergillosis: Histologic, Clinical, and Radiologic Findings Tomás Franquet, Nestor L. Müller, Ana Giménez, Pedro Guembe, Jesus de la Torre, and S. Bagué RadioGraphics 2001 21:4, 825-837
  • 26.
  • 27.
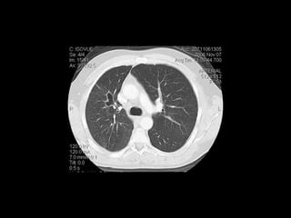
    ASPERGILOSIS INVASIVA • Pacientesneutropénicos. • SIDA. • Manifestaciones clínicas: • Traqueobronquitis. • Bronquiolitis. • Bronconeumonía. Spectrum of Pulmonary Aspergillosis: Histologic, Clinical, and Radiologic Findings Tomás Franquet, Nestor L. Müller, Ana Giménez, Pedro Guembe, Jesus de la Torre, and S. Bagué RadioGraphics 2001 21:4, 825-837
  • 28.
    Spectrum of PulmonaryAspergillosis: Histologic, Clinical, and Radiologic Findings Tomás Franquet, Nestor L. Müller, Ana Giménez, Pedro Guembe, Jesus de la Torre, and S. Bagué RadioGraphics 2001 21:4, 825-837
  • 29.
    Diagnostico Radiológico delas Enfermedades del Tórax. N. L. Muller, R. S. Fraser,. Elsevier-Masson, 2003. p186
  • 30.
  • 31.
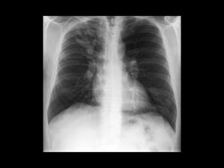
    ASPERGILOSIS ANGIOINVASIVA • Casiexclusiva de pacientes inmunocomprometidos. • Invasión y oclusión de arterias pulmonares de pequeño y mediano tamaño. • Nódulos necróticos hemorrágicos. • Diagnóstico es difícil. • Alta tasa de mortalidad. Spectrum of Pulmonary Aspergillosis: Histologic, Clinical, and Radiologic Findings Tomás Franquet, Nestor L. Müller, Ana Giménez, Pedro Guembe, Jesus de la Torre, and S. Bagué RadioGraphics 2001 21:4, 825-837
  • 32.
  • 34.
    BIBLIOGRAFÍA • Abarca etal. Identificación del Género Aspergillus. Rev. Iberoamericana de Micología. 2002. • Spectrum of Pulmonary Aspergillosis: Histologic, Clinical, and Radiologic Findings,Tomás Franquet, Nestor L. Müller, Ana Giménez, Pedro Guembe, Jesus de la Torre, and S. Bagué. RadioGraphics 2001 21:4, 825-837. • Pasqualotto AC. Aspergillosis, From Diagnosis to Prevention. Springer Verlag. (2009). • Grammer LC, Greenberger PA. Patterson's Allergic Diseases. Lippincott Williams & Wilkins. (2009). • Diagnostico Radiológico de las Enfermedades del Tórax. N. L. Muller, R. S. Fraser,. Elsevier-Masson, 2003. pp. 179-189

Notas del editor

  • #5 Alergica.. inhalación de conidios, asma o reacción tipo I Patogénica.. agentes infecciosos propágulos y conidios. Toxigénica.. Metabolítos, producen micotoxicosis. Aflatoxinas.
  • #6 Aspergiloma…a. saprophytic alergica broncopulmonar Crónca necrotizante. traqueobronquitis aguda, bronquiolitis, bronconeumonia, a. obstructiva broncopulmonar. a. angioinvasiva
  • #8 Otras condiciones preexistentes: quiste broncogénico, secuestro pulmonar, pneumatoceles sec a pneumocystis girovechy
  • #16 Liberación de IgE e IgG, infiltrados necroticos y eosinofilicos. Reacciones alérgicas tipo I y III. 1.Inmediatas o alérgica: Basadas sobre la reacción al IgE 2.Cito-tóxica. 3.De complejos inmunes. 4.Retardadas.
  • #19 Allergic bronchopulmonary aspergillosis is caused by hypersensitivity towards Aspergillus spp. in patients with long standing asthma and occasionally cystic fibrosis. The hypersensitivity initially causes bronchospasm and bronchial wall oedema, which is IgE mediated. Ultimately there is bronchial wall damage, bronchiectasis and pulmonary fibrosis. Radiological findings: 1. Fleeting pulmonary alveolar opacities (common) 2. Central, upper lobe saccular bronchiectasis (hallmark) 3. Mucus plugging (’finger in glove appearance’) and bronchial wall thickening (common) 4. Chronic diseas http://images.radiopaedia.org/images/191/9e9c374ff90be958fef2ed939a042d_gallery.jpg e may progress to
  • #20 Dedos de guante.
  • #21 Complicaciones tardías: bronquiectasias y fibrosis.
  • #24 a. niger
  • #29 Invasive bronchiolar aspergillo- sis in a patient who had undergone bone marrow transplantation. (a) Thin-section CT scan (lung window) shows peripheral branch- ing structures associated with focal areas of consolidation in the right lower lobe. (b) Pho- tograph of the corresponding autopsy speci- men shows multiple yellowish acinar nodules.
  • #30 Bronconeumonia aspergilosis áreas focales de consolidación
  • #32 Neutropenia severa.
  • #34 anfotericina B, la primera es 8 días antes del tx, signos luna creciente es dato de recuperación.