BIOPATOLOGÍA
ESTRUCTURAL GENERAL
LECCIÓN 4
Mª Esther Sagredo García
LECCIÓN 4
MUERTE CELULAR
CÉLULA NORMAL
LESIÓN MASIVA LESIÓN MEDIANA
RESTABLECIMIENTO
Coagulación de las
proteínas celulares
Muerte celular Muerte celular Muerte celular
Inicio de la apoptosis Daño cel. continuado
Eliminación del
estímulo lesivo
Oncosis Apoptosis Oncosis
Lesión celular
reversible
Daño celular crítico
I. MUERTE CELULAR ACCIDENTAL, PASIVA: ONCOSIS
1. CONCEPTO Y GENERALIDADES
2. TIPOS:
- POR COAGULACIÓN
- CASEOSA
- COLICUATIVA (POR LICUEFACCIÓN)
- GANGRENOSA
- QUÍMICA O ENZIMÁTICA
- HEMORRÁGICA
- GRASA O DE ORIGEN TRAUMÁTICO
- FIBRINOIDE
II. MUERTE CELULAR ACTIVA: APOPTOSIS
1. CONCEPTO Y GENERALIDADES
2. MOLÉCULAS IMPLICADAS
3. REGULACIÓN MOLECULAR
4. EVENTOS CELULARES
III. OTROS TIPOS DE MUERTE CELULAR
• Durante años se ha denominado NECROSIS (Gr.: nekro =
cadáver) a la muerte celular accidental. En trabajos más recientes se
viene utilizando el término “necrosis” en su sentido etimológico,
que hace referencia al resultado de cualquier tipo de muerte
celular.
• Se reserva la palabra ONCOSIS (Gr.: onkós = hinchado, masa,
tumor) para la muerte celular accidental, pasiva, en contraposición
con APOPTOSIS ((Gr.: apoptosis = caída de las hojas) o muerte
celular ¿programada?, activa.
NECROSIS = resultado del proceso de muerte celular por:
1. ONCOSIS = muerte celular pasiva, accidental
2. APOPTOSIS = muerte celular activa, ¿programada?
3. OTROS
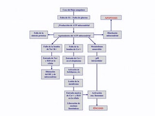
Cese del flujo sanguíneo
Falta de O2 / Falta de glucosa APOPTOSIS
↓Producción de ATP mitocondrial
Fallo de la
síntesis proteica
Hinchazón
mitocondrial
Fallo de la
bomba de Ca++
Fallo de la bomba
de Na+/K+
Metabolismo
anaerobio
Entrada de Ca++
en el citoplasma
Activación de
fosfolipasas, etc.
Lesión de la
membrana
Entrada masiva
de Ca++ y H2O
en la célula
Liberación de
enzimas
lisosómicas
↓pH
intracelular
ONCOSIS
Activación
enz. lisosomas
Entrada de Na+
y H20 en la
célula
Dilatación
del RE y de
mitocondrias
Agotamiento del ATP mitocondrial
PAPEL DEL Ca++ EN LA DEGENERACIÓN Y
MUERTE CELULARES
 El fallo energético mitocondrial tiene entre
otras consecuencias la apertura de canales
de Ca++ que permiten el ingreso de Ca++
extracelular al citoplasma y la salida del
mismo al citosol desde el RE y las
mitocondrias.
 Cuando la concentración intracitoplásmica
de Ca++ alcanza un límite, se activan
enzimas dañinas para las células:
 ATP-asa
 Fosfolipasas
 Proteasas
 Endonucleasas
I. MUERTE CELULAR ACCIDENTAL
• Al MO, las alteraciones del núcleo y la disolución de las
membranas son los datos morfológicos más fiables.
• Muchas de las alteraciones celulares de la oncosis son debidas a la
autolisis (por las propias enzimas lisosómicas).
• Como consecuencia de la autolisis se libera material que contiene
mediadores químicos de la inflamación, originando una leucocitosis
local y periférica que destruye las células vecinas: heterolisis.
• SIGNOS de muerte celular (1):
a) En el citoplasma:
- Eosinofilia por aumento de la unión de la eosina a proteínas desnaturalizadas.
- Apariencia grumosa; tumefacción; vacuolización generalizada.
- Tumefacción del RE y despegamiento de ribosomas.
- Densidades en las mitocondrias.
- Figuras de mielina (lípidos de membranas degradados).
- Desaparición de orgánulos.
- Pérdida de estriaciones en las miofibrillas.
b) En la membrana:
- Borramiento de las diferenciaciones de membrana.
- Distensión de las uniones celulares.
- Aparición de bullas.
- Rotura.
I. MUERTE CELULAR ACCIDENTAL
• SIGNOS de muerte celular (2):
c) En el núcleo:
- Disgregación de los componentes granular y fibrilar del nucleolo.
- Picnosis (condensación).
- Cariorrexis (fragmentación).
- Cariolisis (disolución).
- Rotura de membranas de la envoltura nuclear, y de la lámina nuclear.
d) En el metabolismo:
- Salida de K+ al medio extracelular. Entrada de Na+, Ca++ y H2O
- Depleción de glucógeno. ↑ productos de la glucolisis anaerobia. ↓ pH
- Paso de enzimas a la sangre (CPK, LDH, SGOT, SGPT, amilasa, etc.).
- Paso de proteínas intracitoplásmicas a la sangre (mioglobina en rabdomiolisis;
troponina en el infarto de miocardio).
I. MUERTE CELULAR ACCIDENTAL
MUERTE CELULAR: hepatocitos con signos de tumefacción turbia (claros)
y de muerte celular (eosinófilos). Hematíes extravasados.
MUERTE CELULAR: hepatocitos con citoplasma eosinófilo y núcleo
picnótico; otros, con signos de tumefacción. Infiltrado inflamatorio (Ii).
Ii
MUERTE CELULAR: en el epitelio del túbulo renal situado en el centro de
la imagen, se observan intensa eosinofilia, picnosis y cariolisis.
MUERTE CELULAR: células tumorales necróticas. Intensa eosinofilia y
disolución completa de la cromatina. C = calcificación. Flecha = apoptosis.
C
MUERTE CELULAR: leucemia mieloide aguda en la que se observan
numerosas células en vías de necrosis, reconocibles por la fragmentación
irregular de la cromatina de sus núcleos (cariorrexis) (flechas).
TINCIÓN CON HEMATOXILINA / EOSINA
La hematoxilina se obtiene del palo de Campeche o
“palo de tinta” (Haematoxylum campechianum)
leguminosa arbórea de hasta 6 m. de alto, utilizada
desde antiguo como materia prima para un tinte rojo
oscuro extraído por decocción de su madera.
En la mitología griega, Eos era la doncella del alba
que con sus sonrosados dedos descorría cada mañana
el negro manto de la noche. En su honor se puso
nombre a la eosina, que tiñe en rosa las estructuras
“eosinófilas”
ENZIMAS PARA EL DIAGNÓSTICO DE LA LESIÓN CELULAR
Célula dañada Enzima elevada en sangre
Muscular cardíaca
Creatin cinasa CK (isoforma MB)
Aspartato amino transferasa (AST)
Lactato deshidrogenasa (LDH)
Hepatocito
Transaminasas:
- alanin amino transferasa (ALT/GTP)
- aspartato amino transferasa (AST/GOT)
Muscular estriada Creatin cinasa CK (isoforma MM)
Páncreas exocrino Amilasa
• CAUSAS:
 trastornos hemodinámicos: hemorragia, trombosis, embolia
 mecánicas: traumatismos (desgarro vascular)
 térmicas: frío, calor
 eléctricas
 radiaciones ionizantes
 químicas: ácidos, álcalis, enzimas, venenos…
 biológicas: toxinas bacterianas
 iatrogénicas: paracetamol.
I. MUERTE CELULAR ACCIDENTAL
MUERTE CELULAR POR PARACETAMOL
• El Paracetamol es un analgésico ampliamente utilizado que se desintoxica en el hígado por sulfatación y
glucuronización. Pequeñas cantidades son convertidas –por oxidación del citocromo p450- a un metabolito
altamente tóxico (N-acetilbenzoquinoneimida). A su vez, este metabolito se desintoxica por interacción con
el GSH (glutation, potente reductor = antioxidante). La dosis terapéutica del paracetamol es de 4 g/día en
adultos y 80 mg/kg/día en niños.
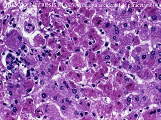
 Cuando se ingieren grandes dosis del fármaco, el GSH se agota y, entonces, los metabolitos tóxicos se
acumulan en las células del hígado, uniéndose covalentemente a proteínas y ácidos nucleicos, lo que
incrementa su toxicidad, provocándose una necrosis (oncosis y apoptosis) masiva de los hepatocitos en 3-5
días después de la ingestión de la dosis tóxica (10-15 g // 150-250 mg/kg). Dosis letal: 20-25 g.
 La hepatotoxicidad se relaciona con la peroxidación lipídica por radicales libres en las membranas y el
aumento de Ca++ en el citosol. La N-acetilcisteína (precursor del glutation) se utiliza como antídoto.
PARACETAMOL Y ALCOHOL
 El CYP 2E1 está implicado en la activación de numerosos
procarcinógenos, metabolizando, además, el alcohol y analgésicos
como el paracetamol.
 El alcohol consumido de forma aguda, se comporta como
inhibidor de los enzimas del P450, observándose entonces un
incremento de las concentraciones de fármacos como benzodiacepinas,
barbitúricos, hidantoínas, clorpromazina, clometiazol y ciclosporinas,
pudiéndose prolongar su actividad, así como sus reacciones adversas.
 Por el contrario, en consumidores crónicos, el alcohol provoca
inducción enzimática y, en consecuencia, se aumenta la tasa de
biotransformación del etanol y una disminución de la actividad de
fármacos como los antidiabéticos orales, la warfarina o la rifampicina;
además, en el caso del paracetamol, acelera la producción de
metabolitos tóxicos: la hepatotoxicidad del paracetamol es mayor
en alcohólicos crónicos, ya que en ellos se produce mayor cantidad
de N-acetilbenzoquinoneimida, mediado por el CYP 2E1.
HIGADO: NECROSIS MASIVA (ingesta accidental de paracetamol)
HIGADO: NECROSIS MASIVA (ingesta accidental de paracetamol)
• TIPOS O PATRONES MORFOLÓGICOS (NECROSIS):
1. COAGULACIÓN
2. CASEOSA
3. COLICUATIVA (POR LICUEFACCIÓN)
4. GANGRENOSA
5. ENZIMÁTICA
6. HEMORRÁGICA
7. GRASA O DE ORIGEN TRAUMÁTICO
8. FIBRINOIDE
I. MUERTE CELULAR ACCIDENTAL
I. MUERTE CELULAR ACCIDENTAL
1. NECROSIS POR COAGULACIÓN
• Debida al efecto desnaturalizante “coagulante” de la acidosis
sobre las enzimas y las proteínas estructurales.
• Al inactivarse las enzimas:
 la autolisis se bloquea
 se conservan las proteínas coaguladas, desnaturalizadas.
• Acompañada de una pérdida de agua: la célula se "momifica"
• Aparece en:
 isquemia e infarto de órganos sólidos (corazón, riñón, bazo…)
 tumores de crecimiento rápido
 quemaduras químicas, térmicas, eléctricas y por radiaciones.
• Macroscópicamente:
 aspecto acartonado y seco
 color gris o amarillento (negro en quemaduras)
 consistencia aumentada
 calcificación distrófica.
• Microscópicamente:
 Necrosis estructurada: no se pierde la arquitectura normal del órgano o
tejido donde asienta, dibujándose los contornos de los componentes
tisulares.
 Las células aparecen sin núcleo (cariolisis) y forman masas homogéneas
y eosinófilas.
 Al cabo de unas semanas, los leucocitos fragmentan las células
coaguladas y fagocitan los residuos.
I. MUERTE CELULAR ACCIDENTAL
1. NECROSIS POR COAGULACIÓN
RIÑÓN: NECROSIS POR COAGULACIÓN en columnas de Bertin
RIÑÓN: NECROSIS POR COAGULACIÓN
CORAZÓN: NECROSIS POR COAGULACIÓN (infarto de miocardio)
INFARTO DE MIOCARDIO (24 h de evolución)
ESTÓMAGO: QUEMADURAS POR CÁUSTICO
NECROSIS TUMORAL
I. MUERTE CELULAR ACCIDENTAL
2. NECROSIS CASEOSA
• Típica de la tuberculosis y de otras enfermedades infecciosas:
lepra, histoplasmosis...
• Al proceso de necrosis por coagulación se superpone una
adición de lípidos complejos procedentes de la cápsula de los
microorganismos destruidos.
• Su nombre se debe al aspecto de queso fundido “caseum” que
muestran macroscópicamente las áreas necrosadas.
• Microscópicamente:
 masa poco estructurada, homogénea y eosinófila.
 La calcificación del tejido necrótico es muy común.
GLÁNDULA SUPRARRENAL: NECROSIS CASEOSA
NECROSIS
CASEOSA
c G
GRANULOMA TUBERCULOSO
c G
c G
c G
I. MUERTE CELULAR ACCIDENTAL:
3. NECROSIS COLICUATIVA (POR LICUEFACCIÓN)
• Aparece cuando en los tejidos predominan los procesos de
autolisis o heterolisis.
• Típica :
 del SNC
 de las inflamaciones purulentas.
 Otros tipos de necrosis, cuando sufren infección sobreañadida
acaban convirtiéndose en colicuativas.
• Macroscópicamente: masa líquida o semilíquida de material
amorfo que, en los abscesos y flemones, se acompaña de
abundantes leucocitos muertos : pus (líquido más o menos espeso, de
color blanco amarillento o gris verdoso, constituido por serosidades, piocitos
(leucocitos muertos) y leucocitos más o menos alterados con
microorganismos, partículas de grasa y otras substancias fagocitadas).
NECROSIS COLICUATIVA
CEREBRO: NECROSIS COLICUATIVA
MÉDULA ESPINAL: ABSCESO PURULENTO
NECROSIS COLICUATIVA
ABSCESO
ABSCESO
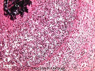
PULMÓN: NECROSIS COLICUATIVA
ABSCESO PULMONAR
Ca
I. MUERTE CELULAR ACCIDENTAL:
4. NECROSIS GANGRENOSA
• Se habla de gangrena, en general, cuando una masa considerable de
tejido sufre necrosis por coagulación. En la práctica, el término ha
quedado restringido a la afectación de las extremidades.
I. MUERTE CELULAR ACCIDENTAL:
4. NECROSIS GANGRENOSA
• Sucede en las extremidades inferiores por causa de la isquemia,
generalmente debida a una trombosis o a arteriopatías
(arteriopatía diabética, tromboangeitis obliterante...).
• La isquemia, la deshidratación del tejido y la coagulación de las
proteínas estructurales, causan una desecación de la extremidad:
gangrena seca.
• Si se sobreañade una infección, la necrosis pasa a ser
colicuativa: gangrena húmeda.
• La gangrena gaseosa es una gangrena húmeda en la que los
gérmenes causantes de la infección son anaerobios (p.ej.:
Clostridium perfringens).
ÚLCERA DIABÉTICA: GANGRENA SECA
PIE DIABÉTICO: GANGRENA SECA
GANGRENA SECA Y HÚMEDA
GANGRENA GASEOSA
I. MUERTE CELULAR ACCIDENTAL:
5. NECROSIS ENZIMÁTICA
• Necrosis colicuativa producida por enzimas del páncreas exocrino
(pancreatitis aguda y algunos tumores pancreáticos):
 las proteasas digieren las paredes de los vasos → hemorragia
 las lipasas hidrolizan los triglicéridos de la grasa peripancreática, mesos
y epiplones → liberación de ácidos grasos
 los ácidos grasos reaccionan con sales de calcio provenientes de la
sangre → jabones cálcicos.
• Macroscópicamente:
 áreas de color blanco-amarillento (necrosis de la grasa); rojo (corrosión
de las paredes vasculares) o gris oscuro homogéneo (jabones cálcicos).
 La calcificación distrófica es muy frecuente.
• Microscópicamente: masa informe de células digeridas y necróticas.
PANCREATITIS AGUDA: NECROSIS ENZIMÁTICA
PANCREATITIS AGUDA: NECROSIS ENZIMÁTICA
Fantasmas de adipocitos
Necrosis… Hemorragia
NECROSIS ENZIMÁTICA DEL PÁNCREAS
NECROSIS ENZIMÁTICA DEL PÁNCREAS
PANCREATITIS AGUDA: JABONES CÁLCICOS
I. MUERTE CELULAR ACCIDENTAL:
6. NECROSIS HEMORRÁGICA
• Causada por la acumulación de sangre hemorrágica en los
tejidos: se trata de una necrosis por isquemia.
• Se observa en:
 infartos hemorrágicos de órganos con doble circulación (hígado,
pulmón) o con abundantes anastomosis arteriovenosas (intestinos)
 infecciones que cursan con lesión vascular (virosis del Ébola)
 hemorragias intraparenquimatosas (p. ej.: intoxicación metanol)
 el hígado de pacientes con insuficiencia cardíaca derecha grave
• Macroscópicamente: el tejido muerto, junto con la sangre
extravasada, forma una masa rojiza que tiende a coagularse.
PULMÓN: NECROSIS HEMORRAGICA
INFARTO PULMONAR (NECROSIS HEMORRÁGICA)
INTOXICACIÓN POR METANOL (NECROSIS HEMORRÁGICA)
HEMORRAGIA
HEMORRAGIA
I. MUERTE CELULAR ACCIDENTAL:
7. NECROSIS GRASA DE ORIGEN TRAUMÁTICO
• No es un patrón de muerte celular, sino un término descriptivo.
• Los traumatismos que inciden sobre zonas con tejido adiposo
abundante (nalgas, mamas, etc.) provocan la rotura de los
adipocitos → salida de grasas neutras fuera de la células.
• Estas grasas son fagocitadas por macrófagos (histiocitos
espumosos) que se agregan (granuloma lipofágico) y se
fusionan (células gigantes multinucleadas).
• Posteriormente, se forma en el foco de necrosis un tejido denso,
de aspecto cicatricial.
• Puede calcificarse.
MAMA: NECROSIS GRASA TRAUMÁTICA
NECROSIS GRASA
Ca
Junto con restos de adipocitos, se aprecian histiocitos espumosos, infiltrado inflamatorio
constituido por células mononucleares y células gigantes multinucleadas. Igualmente se
observan depósitos de calcio (Ca) (calcificación distrófica).
I. MUERTE CELULAR ACCIDENTAL:
8. NECROSIS FIBRINOIDE
• Sucede por depósitos de fibrina en los tejidos; esta fibrina
provoca una necrosis por isquemia tisular.
• La fibrina se localiza, principalmente, en la pared y en los
alrededores de los vasos: necrosis fibrinoide arteriolar.
• Característica de:
 las enfermedades autoinmunes
 el rechazo de transplantes
 la hipertensión maligna
 la ingesta de anfetaminas y drogas “de diseño”.
NECROSIS
FIBRINOIDE
en la pared del
vaso
Linfocitos
Plasmacitos
Macrófagos
POLIARTERITIS
NODOSA
I. MUERTE CELULAR ACCIDENTAL:
CONSECUENCIAS
• Dependen de la extensión y del tejido donde se producen.
Raramente sucede la regeneración con restitutio ad integrum.
1. Reabsorción y cicatrización.
2. Por la liberación de mediadores químicos, las zonas de necrosis
pueden convertirse en focos de inflamación aguda o crónica.
3. La infección secundaria origina licuefacción: abscesos.
4. Si la necrosis afecta a superficies epidérmicas o mucosas, se
producen úlceras.
5. El tejido necrótico tiende a evacuarse mediante la formación de
fístulas, dejando tras de sí cavernas, quistes o pseudoquistes.
6. A veces, los restos celulares condicionan la aparición de
reacciones autoinmunes.
7. Calcificación distrófica.
INFARTO DE MIOCARDIO: CICATRIZ FIBROSA
TBC PULMONAR: CAVERNAS
ESTÓMAGO: ÚLCERAS DE ESTRÉS
FÍSTULA EN HERNIA INCISIONAL
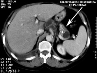
CALCIFICACIÓN DISTRÓFICA
EN PÁNCREAS
II. MUERTE CELULAR PROGRAMADA: APOPTOSIS
1. CONCEPTO Y GENERALIDADES
2. MOLÉCULAS IMPLICADAS
3. REGULACIÓN MOLECULAR
4. EVENTOS CELULARES
APOPTOSIS
Como vemos por el análisis etimológico, es un término compuesto con un elemento preposicional
APO con el significado de 'a partir de' y un sustantivo PTOSIS que significa 'caída'. Primera dificultad,
¿qué añade el elemento preposicional?, ¿qué diferencia existía en griego entre PTOSIS y APÓPTŌSIS,
si ambas palabras significaban 'caída'? Del estudio de lo que nos dicen los diccionarios parece
deducirse que mientras que PTÔSIS es 'caída' sin más, con APÓPTŌSIS se matiza y se señala que el
proceso es gradual, durativo. Hipócrates, s. V a.C. usa APÓPTŌSIS para referirse al proceso lento, en
casos de gangrena, en que se van desprendiendo elementos de hueso. De la misma forma Galeno, s. II
d.C., lo aplica a procesos de escarificación y progresivo desprendimiento de las partes gangrenadas.
Sin embargo, el uso que más interesó a los científicos que reintrodujeron el término en el año 1972 fue
un texto de Dioscórides, s. I d.C., en el que habla de la APÓPTŌSIS de las flores, es decir, del proceso
gradual por el que caen las flores de una planta.
Damos un salto de mas de veinte siglos y nos situamos en el año 1972. Los anatomopatólogos J.
Kerr, A. Wyllie y A. Currie, que a la sazón estaban trabajando en Escocia, se pusieron en contacto con
un profesor de Filología Griega de la Universidad de Aberdeen, James Cormack, y le pidieron que
buscara un término griego para el concepto de la muerte celular programada, aquella en la que van
desapareciendo los elementos que componen la célula de forma progresiva sin dejar restos; se
contrapone a necrosis en la que quedan restos que van degenerando y dañando el organismo. Era un
concepto que ya existía; Virchow en 1858 había hablado de NECROBIOSIS, el alemán W. Flemming.
en 1887 había usado CROMATOLISIS.
En ese contexto, Kerr, Wyllie y Currie publicaron un artículo que tuvo una gran repercusión e
introdujo un término nuevo en la comunidad científica con gran éxito; su título es "Apoptosis: a basic
biological phenomenon with wideranging implications in tissue kinetics", BR. J. CANCER 26 (1972)
239-257. En él se puede leer lo siguiente: «Estamos muy agradecidos al profesor James Cormack del
Departamento de Griego de la Universidad de Aberdeen por sugerir este término. La palabra
APOPTOSIS se usa en griego para describir la 'caída', el 'desprendimiento' de los pétalos de las flores o
las hojas de los árboles.»
Sobre el éxito de la palabra, basta decir que, según datos de PubMed aparece en el título de más de
50.000 artículos científicos y si se teclea en Google se comprueba que existen varias páginas dedicadas
monográficamente.
Francisco Cortés
II. MUERTE CELULAR PROGRAMADA: APOPTOSIS
1. CONCEPTO Y GENERALIDADES
• Apoptosis (Gr.: apóptōsis = caída de las hojas):
 forma activa de muerte celular
 programada genéticamente*
 responde a señales moleculares externas o internas.
• Consiste en la autodestrucción controlada de células aisladas o
de pequeños grupos celulares.
• Constituye un proceso biológico fundamental: desempeña un
importante papel en gran número de reacciones fisiológicas y
muchos eventos patológicos.
* La apoptosis es a la vez un proceso programado y estocástico: se considera que un
% muy elevado de las células de un organismo sufrirán apoptosis (aspecto
programado) pero no se puede a priori determinar cuáles serán las células que
seguirán este destino (estocástico).
APOPTOSIS, ¿MUERTE PROGRAMADA O SUICIDIO?
Dos tipos de datos abogan en contra del concepto de muerte
programada:
1. La apoptosis frecuentemente es inducida por la ausencia de un
factor exógeno (hormona o factor de crecimiento) producido por otra
estirpe celular, por lo que, en caso de existir un "programa", este se
encontraría fuera de la célula.
2. Aunque diversos estímulos fisiológicos sean capaces de activar la
apoptosis (por ejemplo la acción de los corticoides sobre los
timocitos), las células pueden ser inducidas a sufrir un proceso
idéntico por agentes patológicos (por ejemplo, las radiaciones
ionizantes sobre los linfocitos del timo).
Por todo ello, es posible considerar a la apoptosis como un
suicidio celular, voluntario o inducido, en aras de preservar la
integridad de las funciones del conjunto del organismo.
II. MUERTE CELULAR PROGRAMADA: APOPTOSIS
1. CONCEPTO Y GENERALIDADES
SE OBSERVA:
a) Durante el desarrollo embrionario, con finalidad:
- Filogénica: remoción de estructuras larvarias y vestigiales.
- Morfogénica: reabsorción de membranas interdigitales.
- Organogénica: esculpido de estructuras óseas.
- Histogénica: controladora en la superproducción de células (p.
ej.: n.º de oligodendrocitos potencialmente mielinizadores y de
neuronas); eliminación de neuronas con conexiones erróneas.
- Defensiva: destrucción en el timo de los linfocitos capaces de
reaccionar contra las propias estructuras (clones prohibidos).
II. MUERTE CELULAR PROGRAMADA: APOPTOSIS
1. CONCEPTO Y GENERALIDADES
b) Mediada por el sistema inmunitario:
- En las reacciones humorales donde interviene el complemento.
- En las reacciones celulares ligadas a linfocitos T citotóxicos.
- En la detención de respuestas celulares y humorales (linfocitos T-
supresores).
c) En la formación de elementos diferenciados:
- hematíes
- plaquetas
- queratinocitos (cornificación).
TROMBOGÉNESIS. Anticuerpos anticaspasa-3 (verde); anticitocromo-c
(rojo). Núcleo azul. Microscopía confocal.
II. MUERTE CELULAR PROGRAMADA: APOPTOSIS
1. CONCEPTO Y GENERALIDADES
d) En la renovación celular hormono-dependiente :
- Atrofia del endometrio.
- Regresión de la mama lactante.
- Involución del cuerpo lúteo.
e) En el control de células defectuosas, infectadas o excesivas en n.º
f) En el envejecimiento fisiológico:
- Involución del timo, epífisis, ganglios linfáticos.
- La acumulación de daños en ADN desencadena respuestas mediadas
por cinasas y por p53 que pueden culminar en apoptosis.
II. MUERTE CELULAR PROGRAMADA: APOPTOSIS
1. CONCEPTO Y GENERALIDADES
g) En la resolución de la inflamación: impide que la liberación de
proteasas por los neutrófilos amplifique el proceso lesivo.
h) En la pérdida de la adhesión de una célula a la MEC:
apoptosis por desarraigo o anoikis (Gr.: “sin casa”). Evita
metástasis.
II. MUERTE CELULAR PROGRAMADA: APOPTOSIS
1. CONCEPTO Y GENERALIDADES
i) En patología:
1. Enfermedades asociadas con  de la apoptosis:
 Linfoma de Hogdkin (Bcl2+).
 Tumores hormonodependientes.
 Carcinomas (p53+).
 Lupus eritematoso sistémico y otras enfermedades autoinmunes.
 Infecciones víricas.
II. MUERTE CELULAR PROGRAMADA: APOPTOSIS
1. CONCEPTO Y GENERALIDADES
i) En patología:
2. Enfermedades asociadas con  de la apoptosis:
 S.I.D.A.
 Neurodegenerativas: Alzheimer, Parkinson, ELA.
 Síndromes mielodisplásicos: anemia aplásica.
 Patología cardíaca: miocardiopatía dilatada; alteraciones de la
conducción y del automatismo; degeneración de la capa media de las
coronarias; inestabilidad de las placas de ateroma; infarto de miocardio;
episodios de isquemia - reperfusión postangioplastia; cardiotoxicidad
por antraciclinas; etc.
 Apoplejía (ictus) cerebral.
 Isquemia renal.
 Hepatopatía alcohólica; demencia alcohólica.
 Otras: ictericia obstructiva; epilepsia; epidermolisis medicamentosa…
• Las ANTRACICLINAS forman un grupo de antibióticos altamente citotóxicos utilizados
como agentes antineoplásicos.
• Los pacientes tratados con este tipo de fármacos son susceptibles de manifestar
importantes reacciones adversas cardíacas, especialmente insuficiencia ventricular
izquierda aguda, principalmente con dosis acumuladas superiores a 550 mg/m2
• Las células musculares cardíacas son especialmente susceptibles al daño producido por
los complejos de antraciclina - Fe3+ (formados por interacción de esta con el hierro
intracelular), debido a su elevada actividad metabólica, en la cual participan mecanismos
de óxido-reducción implicados en la producción de energía. Por ello, hay una elevada
tendencia a generar radicales libres como productos metabólicos colaterales.
• En condiciones normales, los propios mecanismos enzimáticos intracelulares
(especialmente las dismutasas) neutralizan satisfactoriamente los radicales libres
producidos; pero, la administración de productos, como las antraciclinas, que favorecen
su formación, es suficiente como para sobrepasar la capacidad de “desintoxicación” de
radicales libres de las dismutasas, provocando graves lesiones en el citoplasma y en la
membrana celular de los cardiomiocitos, lo que determina en muchas ocasiones la
muerte celular, generalmente por apoptosis.
• El Desrazoxano es un agente quelante que difunde al interior de los cardiomiocitos, y
es capaz de capturar iones férricos (Fe3+), evitando o disminuyendo la formación de
complejos antraciclina - Fe3+ en los pacientes sometidos a tratamiento con este tipo de
antineoplásicos. Así, se reduce la incidencia de cardiotoxicidad.
II. MUERTE CELULAR PROGRAMADA: APOPTOSIS
2. MOLÉCULAS IMPLICADAS EN EL PROCESO
2.1. RECEPTORES DE LA MUERTE
2.2. PROTEÍNAS DE LA FAMILIA Bcl
2.3. MIEMBROS DE LA SUBFAMILIA BH3
2.4. FAMILIA DE LAS CASPASAS
(EN ESTE APARTADO Y EN EL SIGUIENTE, ESTUDIAR SOLO LO RESALTADO EN AMARILLO)
II. MUERTE CELULAR PROGRAMADA: APOPTOSIS
2. MOLÉCULAS IMPLICADAS EN EL PROCESO
2.1. RECEPTORES DE LA MUERTE
• Situados en la superficie de la célula.
• Reciben la señal de ligandos de muerte específicos para cada uno.
• Pertenecen a la superfamilia del receptor del factor de necrosis
tumoral (TNFR) cuyos miembros tienen en común:
 un dominio extracelular rico en cisteína
 una secuencia situada en su dominio intracitoplásmico que
sirve para acoplar al receptor con el resto de la maquinaria.
• Los mejor caracterizados son: CD95 (Cluster Differentiation 95)
(APO-1/FasR) o (TNFRSF6) (APOptosis antigen-1 / Fas Receptor /
Tumor Necrosis Factor Receptor SuperFamily member 6); TNFR1,
DR3 (Death Receptor number 3), DR4 y DR5.
• Si conectan por su cara citoplásmica con complejos intermedios
(adaptadores) concretos, se activan caspasas iniciadoras de la
apoptosis: vía extrínseca o de los receptores de la muerte.
• Si se acoplan con otro tipo de moléculas intermedias, activan
cinasas que generan el efecto contrario: estimulan el ciclo celular y
la mitosis.
II. MUERTE CELULAR PROGRAMADA: APOPTOSIS
2. MOLÉCULAS IMPLICADAS EN EL PROCESO
2.1. RECEPTORES DE LA MUERTE
II. MUERTE CELULAR PROGRAMADA: APOPTOSIS
2. MOLÉCULAS IMPLICADAS EN EL PROCESO
2.2. PROTEÍNAS DE LA FAMILIA Bcl*
• Regulan la apoptosis interaccionando con los canales que
controlan la permeabilidad y el flujo iónico de las mitocondrias, en
cuya membrana interna residen.
• Los miembros mejor caracterizados son:
 Bcl-2, Bcl-xL (antiapoptóticos): estabilizan membrana mitocondrial
 Bax (proapoptótico)
• La activación de Bax induce un poro en las membranas
mitocondriales que:
 permite la liberación al citosol de citocromo c.
 El citocromo c activa la procaspasa 9 (vía intrínseca o
mitocondrial de activación de las caspasas).
* Bcl (B-cell lymphoma)
II. MUERTE CELULAR PROGRAMADA: APOPTOSIS
2. MOLÉCULAS IMPLICADAS EN EL PROCESO
2.3. MIEMBROS DE LA SUBFAMILIA BH3
• Son proteínas proapoptóticas situadas en la membrana interna
mitocondrial.
• Dos de sus miembros: Bid y Bik, inducen la liberación de
citocromo c por las mitocondrias del siguiente modo:
 los receptores de la muerte activan la procaspasa 8
 la caspasa 8 activa a la proteína Bid
 la proteína Bid abre el poro mitocondrial
• Conectan la vía de los receptores de la muerte (extrínseca) con la
mitocondrial (intrínseca).
• Otras proteínas como NOXA y PUMA, también proapoptóticas,
son inducidas por p53 como respuesta al daño celular.
II. MUERTE CELULAR PROGRAMADA: APOPTOSIS
2. MOLÉCULAS IMPLICADAS EN EL PROCESO
2.4. PROTEÍNAS DE LA FAMILIA DE LAS CASPASAS
• Caspasas (cistenil-aspartato-proteasas): miembros ejecutores del
programa .
• 11 miembros en humanos (14 en otros mamíferos).
• Todos se encuentran en forma de proenzima
 La región N-terminal (prodominio):
 muy variable, tanto en su secuencia como en su longitud
 tiene funciones de regulación y de activación.
 La región catalítica:
 dos dominios (grande y pequeño) que
 darán lugar a las subunidades de la enzima, una vez
activada.
• Dos grupos según la longitud de la región reguladora N-terminal:
 Caspasas de prodominio largo (1,2,4,5,8,9,10,11,12 y 13):
 involucradas en funciones de regulación de la
activación en cascada: caspasas iniciadoras.
 Caspasas con prodominio corto (3,6,7,14):
 son activadas por algunas de las caspasas iniciadoras
 causan la proteolisis de los sustratos celulares:
caspasas efectoras.
II. MUERTE CELULAR PROGRAMADA: APOPTOSIS
2. MOLÉCULAS IMPLICADAS EN EL PROCESO
2.4. PROTEÍNAS DE LA FAMILIA DE LAS CASPASAS
• Cada caspasa iniciadora contiene en su prodominio un módulo de
interacción proteína-proteína que permite la unión y asociación con
sus reguladores:
 las caspasas 8 y 10 contienen un dominio efector de
muerte (death-effector domain, DED )
 las caspasas 1,2,4,5,9,11,12, y 13 contienen un dominio de
reclutamiento y activación de caspasas (caspase
activation and recruitment domain, CARD).
II. MUERTE CELULAR PROGRAMADA: APOPTOSIS
2. MOLÉCULAS IMPLICADAS EN EL PROCESO
2.4. PROTEÍNAS DE LA FAMILIA DE LAS CASPASAS
• Las caspasas se activan por
proteolisis* y en cascada: una
molécula activa a otra cortando
entre sus dominios:
 el prodominio se pierde
 la enzima activa queda como
un heterodímero compuesto por
las subunidades grande y
pequeña.
* La nº 9 por cambio conformacional
II. MUERTE CELULAR PROGRAMADA: APOPTOSIS
2. MOLÉCULAS IMPLICADAS EN EL PROCESO
2.4. PROTEÍNAS DE LA FAMILIA DE LAS CASPASAS
• Los sustratos celulares sobre los que actúan las caspasas efectoras (3,6,7) son
proteínas que son cortadas con la finalidad de hacerlas perder su función, o
modificársela, de manera que la organización celular resulte desmantelada:
 moléculas implicadas en la protección de la célula del proceso de
apoptosis; ejemplos: miembros antiapoptóticos de la familia Bcl
(Bcl-2, Bcl-xL).
 Moléculas directamente implicadas en la estructura celular;
ejemplos: actina del citoesqueleto; laminas de la lámina nuclear.
 Cinasas; ejemplo: PKC (fosforila otras proteínas  altera
homeostasis).
 Proteínas relacionadas con la reparación del ADN y con los
procesos de replicación y transcripción; ejemplo: endonucleasas.
II. MUERTE CELULAR PROGRAMADA: APOPTOSIS
2. MOLÉCULAS IMPLICADAS EN EL PROCESO
2.4. PROTEÍNAS DE LA FAMILIA DE LAS CASPASAS
• La actividad de las caspasas está controlada por las proteínas
inhibidoras de la apoptosis (IAPs).
• La proteína proapoptótica smac-diablo* libera la inhibición ejercida por
las IAPs.
• En condiciones normales, smac-diablo reside en el espacio
intermembranoso de las mitocondrias, liberándose al citosol como
respuesta ante un estímulo apoptótico.
• Una vez en el citosol, smac-diablo se une a varias IAPs, antagonizando
su función.
• Las proteínas bcl2 y bclxL bloquean la salida de smac-diablo desde las
mitocondrias al citosol.
*smac = second mitochondria-derived activator of caspases
*diablo = direct IAP binding protein with low pI
II. MUERTE CELULAR PROGRAMADA: APOPTOSIS
2. MOLÉCULAS IMPLICADAS EN EL PROCESO
2.4. PROTEÍNAS DE LA FAMILIA DE LAS CASPASAS
INDUCTORES DE LA APOPTOSIS
INHIBIDORES DE LA APOPTOSIS
II. MUERTE CELULAR PROGRAMADA: APOPTOSIS
3. REGULACIÓN MOLECULAR
• Dentro del proceso de
apoptosis, todos los elementos
se encuentran coordinados entre
sí, tanto física como
funcionalmente, y aportan al
sistema global una gran variedad
de rutas.
• Más que una forma lineal, la
vía señalizadora presenta una
estructura reticular, muy
ramificada en sus inicios, que
luego va confluyendo hacia
rutas comunes.
• En estas rutas desempeñan un papel crucial los adaptadores:
 la proteína FADD (Factor Associated Death Domain) está
comprometida con la molécula CD95 (APO1-FasR) que
activa las procaspasas 8 y 10.
 Si la APO1-FasR se asocia con DAXX (Death Associated
Protein) se activan cinasas que producen el efecto
contrario: estimulan el ciclo celular y la mitosis.
II. MUERTE CELULAR PROGRAMADA: APOPTOSIS
3. REGULACIÓN MOLECULAR
• El inicio de la señal de la apoptosis puede captarse en:
a) los receptores de la superficie
b) las mitocondrias
c) el núcleo.
II. MUERTE CELULAR PROGRAMADA: APOPTOSIS
3. REGULACIÓN MOLECULAR
a) Los receptores de la superficie de la célula, como CD95 (APO-
1/FasR/TNFRSF6), DR3, DR4, DR5 y TNFR1, dan comienzo a una
señal de apoptosis realizando un reclutamiento de procaspasa 8;
para ello, interviene la molécula adaptadora FADD.
* VÍA CITOTÓXICA (linfocitos T citotóxicos y células NK utilizan el complejo
perforina - granzimas).
II. MUERTE CELULAR PROGRAMADA: APOPTOSIS
3. REGULACIÓN MOLECULAR
Los linfocitos T citotóxicos y las células NK eliminan células tumorales,
infectadas por virus o aloantigénicas por medio de un mecanismo que implica la
secreción proteínas citotóxicas, la perforina y las granzimas, de las cuales las dos
más importantes son la granzima A y la granzima B. La perforina interacciona con
las membranas celulares y permite el acceso de las granzimas al interior de la
célula diana, donde inducen muerte celular por apoptosis. El sistema
perforina/granzima B induce apoptosis a través de la activación de caspasas,
implicando a la vía mitocondrial. El sistema perforina/granzima A induce
apoptosis a través de la génesis de radicales libres, también por la vía mitocondrial,
pero en ausencia de activación de caspasas.
VÍA CITOTÓXICA
b) En las mitocondrias el adaptador Apaf-1 se
puede unir a la procaspasa 9.
* Apaf-1 = Apoptosis protease activating factor 1
ATP
II. MUERTE CELULAR PROGRAMADA: APOPTOSIS
3. REGULACIÓN MOLECULAR
• El complejo formado por los receptores, los adaptadores y la
procaspasa se denomina apoptosoma.
• La formación del apoptosoma da lugar a la activación de la
procaspasa.
• En el caso de Apaf-1 para formar el apoptosoma es necesaria la
presencia de ATP y de citocromo c.
 El citocromo c se libera de las mitocondrias como respuesta al
estrés celular o vía proteína Bid.
 Algunos de los estímulos que implican estrés actúan
directamente sobre la mitocondria; otros lo hacen a través de
mediadores, como Bax (miembro proapoptótico de familia Bcl).
 Los miembros antiapoptóticos (Bcl-2, Bcl-xL) de la familia Bcl
actuarían inhibiendo el transporte de citocromo c al exterior y
estabilizando la membrana mitocondrial.
II. MUERTE CELULAR PROGRAMADA: APOPTOSIS
3. REGULACIÓN MOLECULAR
ATP
• La afectación mitocondrial por el estrés o vía proteína Bid
produce, además de la liberación de citocromo c,
 la rotura de la cadena de transporte de electrones
 la liberación de radicales superóxido (O2.)
 una hiperpolarización de la membrana interna que puede
acarrear:
 la expansión de la matriz y
 la rotura de la membrana mitocondrial externa.
• La inducción del poro de transición de permeabilidad mitocondrial
(PTPm), que se quedaría permanentemente abierto, permite la
entrada de agua y solutos en la matriz.
• La liberación de AIF (Factor Inductor de la Apoptosis) procesa
procaspasa 3 (efectora).
II. MUERTE CELULAR PROGRAMADA: APOPTOSIS
3. REGULACIÓN MOLECULAR
c) Existen señales de apoptosis que tienen su inicio en el núcleo.
• Las células contienen detectores de daño en el ADN que generan
respuestas celulares mediadas por cinasas (p. ej.: ATM, CHK y
ADN-PK).
• Las cinasas ATM, CHK y ADN-PK actúan sobre el factor de
transcripción p53.
• La activación de p53 puede dar lugar a dos respuestas:
 detención del ciclo celular de forma irreversible
 apoptosis mediante un mecanismo mal conocido en el que intervienen
genes como el de Bax y otras moléculas.
II. MUERTE CELULAR PROGRAMADA: APOPTOSIS
3. REGULACIÓN MOLECULAR
APOPTOSIS MEDIADA POR p53 (e-BIOSCIENCE, 2012)
• La señal última que mata a la célula es desconocida, aunque se
sospecha de:
 ↑ Ca++ intracelular: activación de enzimas citosólicas
dependientes del calcio.
 Transglutaminasa: estabilizaría las células apoptóticas para
prevenir la rotura de lisosomas (provoca entrecruzamiento
de las proteínas del citoplasma → coagulación).
II. MUERTE CELULAR PROGRAMADA: APOPTOSIS
3. REGULACIÓN MOLECULAR
II. MUERTE CELULAR PROGRAMADA: APOPTOSIS
4. EVENTOS CELULARES
• La apoptosis sucede a una velocidad 20 veces superior a la mitosis, por
lo que, en los cortes histológicos, se sorprenden muy pocos signos
morfológicos de este suceso. Se describen:
4.1. CAMBIOS EN LA MEMBRANA PLASMÁTICA
4.2. CAMBIOS EN LAS MITOCONDRIAS
4.3. CAMBIOS NUCLEARES
4.4. ELIMINACIÓN DE LA CÉLULA APOPTÓTICA
 Aislamiento de la célula con respecto a sus vecinas.
 Redondeamiento y disminución de volumen por pérdida
isosmótica de agua e iones.
 Emisión de blebs (zeiosis, del griego zéo = hervir):
 evaginaciones esféricas que confieren a la célula un
aspecto “hirviente” al comienzo y en palomita de maíz al
final
 tienen relación con la reorganización del citoesqueleto
debido a la acción de las caspasas
 cuando se desprenden constituyen los cuerpos apoptóticos.
 Cambios en la simetría de los fosfolípidos de la bicapa, que
marcan a las células para su posterior fagocitosis.
II. MUERTE CELULAR PROGRAMADA: APOPTOSIS
4. EVENTOS CELULARES
4.1. CAMBIOS EN LA MEMBRANA PLASMÁTICA
QUERATINOCITO: ZEIOSIS
• La apariencia morfológica se mantiene intacta prácticamente
durante todo el proceso.
• A nivel molecular se constatan:
 Fallo en el mantenimiento del potencial transmembrana por apertura del
poro mitocondrial.
 Liberación de citocromo c.
 Desacoplamiento en la cadena de transporte de electrones.
 Detención del metabolismo energético.
 Producción de radicales superóxido.
 El poro permite la salida de Ca++ y es responsable de la entrada de
solutos que causan una hiperosmolaridad en la matriz.
 Puede llegar a romperse la membrana externa.
II. MUERTE CELULAR PROGRAMADA: APOPTOSIS
4. EVENTOS CELULARES
4.2. CAMBIOS EN LAS MITOCONDRIAS
• Aumento de la densidad de la cromatina:
 comienza formando parches alrededor de la envoltura
nuclear, y
 termina dando lugar a una o varias esferas densas y
semilunas en las últimas etapas.
 Obedece a la rotura de la lámina nuclear por acción de las
caspasas.
• El tamaño del núcleo se reduce.
II. MUERTE CELULAR PROGRAMADA: APOPTOSIS
4. EVENTOS CELULARES
4.3. CAMBIOS NUCLEARES
• Fragmentación del ADN:
 En una escalera de subunidades
regulares que resultan del corte entre
los nucleosomas cada 200 o múltiplo
de 200 pares de bases.
 Llevada a cabo por una endonucleasa
que se activa vía caspasas.
 Como no se puede reparar tanto corte,
la transcripción se detiene.
II. MUERTE CELULAR PROGRAMADA: APOPTOSIS
4. EVENTOS CELULARES
4.3. CAMBIOS NUCLEARES
• Aunque los efectos sobre el ADN son tan drásticos, diversos
estudios demuestran que la célula también puede morir por
apoptosis en ausencia de fragmentación del ADN. Son suficientes:
 la proteolisis de sustratos en el citoplasma
 la alteración mitocondrial
 la alteración de la membrana plasmática.
 La fragmentación del ADN no representaría un medio de destrucción de
las células, sino parte de un proceso de “limpieza” de las células
muertas.
II. MUERTE CELULAR PROGRAMADA: APOPTOSIS
4. EVENTOS CELULARES
4.3. CAMBIOS NUCLEARES
Biopsia de piel procedente de un transplante. Además del intenso infiltrado
inflamatorio en la dermis, se aprecian fenómenos de APOPTOSIS en epidermis.
Criptas intestinales con signos de APOPTOSIS en el curso de un fenómeno de
rechazo postinjerto.
La flecha señala dos CUERPOS APOPTÓTICOS en un caso de hepatitis B.
Carcinoma epidermoide entre cuyas células anaplásicas se detectan un cuerpo
apoptótico (flecha roja) y una célula en APOPTOSIS (flecha azul).
CASPASA 3
Demostración inmunocitoquímica (anticuerpos anticaspasa 3) de APOPTOSIS
inducida mediante angiotensina II en cardiomiomiocitos.
APOPTOSIS en un mastocitoma cuyas células fueron cultivadas en presencia de
linfocitos T. Apréciense la cromatina del mastocito fragmentada en esferas y semilunas y
la aposición de membranas entre aquel y el linfocito (L) situado a su derecha.
L
Demostración inmunocitoquímica de la acción de las CASPASAS sobre las
laminas de la envoltura nuclear. MET / oro coloidal.
CUERPOS APOPTÓTICOS. Algunos contienen los característicos fragmentos
nucleares.
• Evita que su contenido sea vertido en el medio y genere una
respuesta inflamatoria (la célula en apoptosis, muere “con dignidad”, sin
derramar el contenido, a fin de no dañar a sus vecinas).
• En los tejidos con bajo índice de apoptosis, la fagocitosis es
ejercida por las células vecinas.
• Cuando la tasa es elevada, se encargan los macrófagos.
• Algunos cuerpos apoptóticos pueden no ser fagocitados y
degenerar espontáneamente.
II. MUERTE CELULAR PROGRAMADA: APOPTOSIS
4. EVENTOS CELULARES
4.4. ELIMINACIÓN DE LA CÉLULA APOPTÓTICA
• Se desconocen los estímulos quimiotácticos que atraen a los
macrófagos al foco donde tiene lugar la apoptosis.
• Mecanismos de reconocimiento de la célula apoptótica por parte
de las encargadas de su eliminación:
 Lectinas: la apoptosis provoca cambios en los carbohidratos de la
superficie celular reconocibles por lectinas de las células
fagocíticas.
 Integrinas: en los fagocitos existe la integrina a4b3 que interacciona
con la célula apoptótica a través de la molécula puente
trombospondina.
 Pérdida de la asimetría de los fosfolípidos: provoca la exposición al
exterior de la fosfatidilserina que interacciona con un receptor de
los macrófagos.
II. MUERTE CELULAR PROGRAMADA: APOPTOSIS
4. EVENTOS CELULARES
4.4. ELIMINACIÓN DE LA CÉLULA APOPTÓTICA
Macrófago procedente de un páncreas de rata, a la que se le ligó el conducto
pancreático, con múltiples CUERPOS APOPTÓTICOS fagocitados.
CUERPO APOPTÓTICO, procedente de un hepatocito, que ha sido fagocitado
por una célula de Küpffer.
DIFERENCIAS ENTRE ONCOSIS Y APOPTOSIS
CARACTERÍSTICAS ONCOSIS APOPTOSIS
Causa Agresión Agresión o estímulo fisiológico
Citoplasma
Hinchazón
Destrucción de orgánulos
Contracción
Orgánulos intactos
Mitocondrias Hinchazón Normal
Cromatina
Fragmentación.
Apelotonamiento
Condensación en parches, esferas
o semilunas
ADN
Degradación inespecífica
(al azar)
Degradación internucleosómica
Membrana celular Pérdida de la integridad
Vesiculación (blebs)
Cuerpos apoptóticos
Respuesta inflamatoria Presente Ausente
Células Todo el tejido Algunas células
Gasto energético No Sí
Identificación in situ:
-Tinción fragmentos DNA con TUNEL
-ADN en gel de electroforesis
-Captación trazadores permeabilidad
-Fosfatidilserina en superficie
Ausente
Abigarrado
Presente
Ausente
Presente
Escalonado
Ausente
Presente
• El empleo de moduladores de la apoptosis en diversas afecciones está en los comienzos,
y parece tener posibilidades de convertirse en una poderosa herramienta profiláctica y
terapéutica.
https://www.youtube.com/watch?v=SyvOPXeg4ig
OTRAS FORMAS DE MUERTE CELULAR
1. Tres VARIANTES DE LA APOPTOSIS:
 La parapoptosis: no está regulada por caspasas, sino por MAPK
(cinasas de proteína activadas por mitógenos).
 La piropoptosis: inducida por microorganismos que generan reacciones
inflamatorias intensas, y que depende únicamente de la caspasa 1, que, a
su vez, activa IL1 e IL8.
 La necropoptosis, independiente de las caspasas, pero que se
desencadena vía receptores de la muerte (APO-1/FasR), aunque
morfológicamente es análoga a la oncosis.
2. La MUERTE CITOTÓXICA (causada por la acción de los linfocitos T-
citotóxicos y las células NK) combina aspectos de la oncosis y de la
apoptosis.
3. La AUTOFAGIA podría ser considerada como una forma de muerte celular
que permite a las células el recambio de su contenido mediante la
degradación lisosómica de sus propios componentes.
4. OTRAS: catástrofe mitótica, cornificación, degeneracion walleriana…
http://revistamedicinacine.usal.es/index.php/es/vol4/num2/373
Palabras clave: muerte celular accidental (oncosis); envenenamiento por arsénico*
* http://dspace.espoch.edu.ec/bitstream/123456789/202/1/56T00174.pdf
4

Biopatología 04 muerte celular

  • 1.
  • 2.
  • 3.
    CÉLULA NORMAL LESIÓN MASIVALESIÓN MEDIANA RESTABLECIMIENTO Coagulación de las proteínas celulares Muerte celular Muerte celular Muerte celular Inicio de la apoptosis Daño cel. continuado Eliminación del estímulo lesivo Oncosis Apoptosis Oncosis Lesión celular reversible Daño celular crítico
  • 4.
    I. MUERTE CELULARACCIDENTAL, PASIVA: ONCOSIS 1. CONCEPTO Y GENERALIDADES 2. TIPOS: - POR COAGULACIÓN - CASEOSA - COLICUATIVA (POR LICUEFACCIÓN) - GANGRENOSA - QUÍMICA O ENZIMÁTICA - HEMORRÁGICA - GRASA O DE ORIGEN TRAUMÁTICO - FIBRINOIDE II. MUERTE CELULAR ACTIVA: APOPTOSIS 1. CONCEPTO Y GENERALIDADES 2. MOLÉCULAS IMPLICADAS 3. REGULACIÓN MOLECULAR 4. EVENTOS CELULARES III. OTROS TIPOS DE MUERTE CELULAR
  • 5.
    • Durante añosse ha denominado NECROSIS (Gr.: nekro = cadáver) a la muerte celular accidental. En trabajos más recientes se viene utilizando el término “necrosis” en su sentido etimológico, que hace referencia al resultado de cualquier tipo de muerte celular. • Se reserva la palabra ONCOSIS (Gr.: onkós = hinchado, masa, tumor) para la muerte celular accidental, pasiva, en contraposición con APOPTOSIS ((Gr.: apoptosis = caída de las hojas) o muerte celular ¿programada?, activa. NECROSIS = resultado del proceso de muerte celular por: 1. ONCOSIS = muerte celular pasiva, accidental 2. APOPTOSIS = muerte celular activa, ¿programada? 3. OTROS
  • 6.
    Cese del flujosanguíneo Falta de O2 / Falta de glucosa APOPTOSIS ↓Producción de ATP mitocondrial Fallo de la síntesis proteica Hinchazón mitocondrial Fallo de la bomba de Ca++ Fallo de la bomba de Na+/K+ Metabolismo anaerobio Entrada de Ca++ en el citoplasma Activación de fosfolipasas, etc. Lesión de la membrana Entrada masiva de Ca++ y H2O en la célula Liberación de enzimas lisosómicas ↓pH intracelular ONCOSIS Activación enz. lisosomas Entrada de Na+ y H20 en la célula Dilatación del RE y de mitocondrias Agotamiento del ATP mitocondrial
  • 7.
    PAPEL DEL Ca++EN LA DEGENERACIÓN Y MUERTE CELULARES  El fallo energético mitocondrial tiene entre otras consecuencias la apertura de canales de Ca++ que permiten el ingreso de Ca++ extracelular al citoplasma y la salida del mismo al citosol desde el RE y las mitocondrias.  Cuando la concentración intracitoplásmica de Ca++ alcanza un límite, se activan enzimas dañinas para las células:  ATP-asa  Fosfolipasas  Proteasas  Endonucleasas
  • 8.
    I. MUERTE CELULARACCIDENTAL • Al MO, las alteraciones del núcleo y la disolución de las membranas son los datos morfológicos más fiables. • Muchas de las alteraciones celulares de la oncosis son debidas a la autolisis (por las propias enzimas lisosómicas). • Como consecuencia de la autolisis se libera material que contiene mediadores químicos de la inflamación, originando una leucocitosis local y periférica que destruye las células vecinas: heterolisis.
  • 9.
    • SIGNOS demuerte celular (1): a) En el citoplasma: - Eosinofilia por aumento de la unión de la eosina a proteínas desnaturalizadas. - Apariencia grumosa; tumefacción; vacuolización generalizada. - Tumefacción del RE y despegamiento de ribosomas. - Densidades en las mitocondrias. - Figuras de mielina (lípidos de membranas degradados). - Desaparición de orgánulos. - Pérdida de estriaciones en las miofibrillas. b) En la membrana: - Borramiento de las diferenciaciones de membrana. - Distensión de las uniones celulares. - Aparición de bullas. - Rotura. I. MUERTE CELULAR ACCIDENTAL
  • 10.
    • SIGNOS demuerte celular (2): c) En el núcleo: - Disgregación de los componentes granular y fibrilar del nucleolo. - Picnosis (condensación). - Cariorrexis (fragmentación). - Cariolisis (disolución). - Rotura de membranas de la envoltura nuclear, y de la lámina nuclear. d) En el metabolismo: - Salida de K+ al medio extracelular. Entrada de Na+, Ca++ y H2O - Depleción de glucógeno. ↑ productos de la glucolisis anaerobia. ↓ pH - Paso de enzimas a la sangre (CPK, LDH, SGOT, SGPT, amilasa, etc.). - Paso de proteínas intracitoplásmicas a la sangre (mioglobina en rabdomiolisis; troponina en el infarto de miocardio). I. MUERTE CELULAR ACCIDENTAL
  • 11.
    MUERTE CELULAR: hepatocitoscon signos de tumefacción turbia (claros) y de muerte celular (eosinófilos). Hematíes extravasados.
  • 12.
    MUERTE CELULAR: hepatocitoscon citoplasma eosinófilo y núcleo picnótico; otros, con signos de tumefacción. Infiltrado inflamatorio (Ii). Ii
  • 13.
    MUERTE CELULAR: enel epitelio del túbulo renal situado en el centro de la imagen, se observan intensa eosinofilia, picnosis y cariolisis.
  • 14.
    MUERTE CELULAR: célulastumorales necróticas. Intensa eosinofilia y disolución completa de la cromatina. C = calcificación. Flecha = apoptosis. C
  • 15.
    MUERTE CELULAR: leucemiamieloide aguda en la que se observan numerosas células en vías de necrosis, reconocibles por la fragmentación irregular de la cromatina de sus núcleos (cariorrexis) (flechas).
  • 16.
    TINCIÓN CON HEMATOXILINA/ EOSINA La hematoxilina se obtiene del palo de Campeche o “palo de tinta” (Haematoxylum campechianum) leguminosa arbórea de hasta 6 m. de alto, utilizada desde antiguo como materia prima para un tinte rojo oscuro extraído por decocción de su madera. En la mitología griega, Eos era la doncella del alba que con sus sonrosados dedos descorría cada mañana el negro manto de la noche. En su honor se puso nombre a la eosina, que tiñe en rosa las estructuras “eosinófilas”
  • 17.
    ENZIMAS PARA ELDIAGNÓSTICO DE LA LESIÓN CELULAR Célula dañada Enzima elevada en sangre Muscular cardíaca Creatin cinasa CK (isoforma MB) Aspartato amino transferasa (AST) Lactato deshidrogenasa (LDH) Hepatocito Transaminasas: - alanin amino transferasa (ALT/GTP) - aspartato amino transferasa (AST/GOT) Muscular estriada Creatin cinasa CK (isoforma MM) Páncreas exocrino Amilasa
  • 19.
    • CAUSAS:  trastornoshemodinámicos: hemorragia, trombosis, embolia  mecánicas: traumatismos (desgarro vascular)  térmicas: frío, calor  eléctricas  radiaciones ionizantes  químicas: ácidos, álcalis, enzimas, venenos…  biológicas: toxinas bacterianas  iatrogénicas: paracetamol. I. MUERTE CELULAR ACCIDENTAL
  • 20.
    MUERTE CELULAR PORPARACETAMOL • El Paracetamol es un analgésico ampliamente utilizado que se desintoxica en el hígado por sulfatación y glucuronización. Pequeñas cantidades son convertidas –por oxidación del citocromo p450- a un metabolito altamente tóxico (N-acetilbenzoquinoneimida). A su vez, este metabolito se desintoxica por interacción con el GSH (glutation, potente reductor = antioxidante). La dosis terapéutica del paracetamol es de 4 g/día en adultos y 80 mg/kg/día en niños.  Cuando se ingieren grandes dosis del fármaco, el GSH se agota y, entonces, los metabolitos tóxicos se acumulan en las células del hígado, uniéndose covalentemente a proteínas y ácidos nucleicos, lo que incrementa su toxicidad, provocándose una necrosis (oncosis y apoptosis) masiva de los hepatocitos en 3-5 días después de la ingestión de la dosis tóxica (10-15 g // 150-250 mg/kg). Dosis letal: 20-25 g.  La hepatotoxicidad se relaciona con la peroxidación lipídica por radicales libres en las membranas y el aumento de Ca++ en el citosol. La N-acetilcisteína (precursor del glutation) se utiliza como antídoto.
  • 21.
    PARACETAMOL Y ALCOHOL El CYP 2E1 está implicado en la activación de numerosos procarcinógenos, metabolizando, además, el alcohol y analgésicos como el paracetamol.  El alcohol consumido de forma aguda, se comporta como inhibidor de los enzimas del P450, observándose entonces un incremento de las concentraciones de fármacos como benzodiacepinas, barbitúricos, hidantoínas, clorpromazina, clometiazol y ciclosporinas, pudiéndose prolongar su actividad, así como sus reacciones adversas.  Por el contrario, en consumidores crónicos, el alcohol provoca inducción enzimática y, en consecuencia, se aumenta la tasa de biotransformación del etanol y una disminución de la actividad de fármacos como los antidiabéticos orales, la warfarina o la rifampicina; además, en el caso del paracetamol, acelera la producción de metabolitos tóxicos: la hepatotoxicidad del paracetamol es mayor en alcohólicos crónicos, ya que en ellos se produce mayor cantidad de N-acetilbenzoquinoneimida, mediado por el CYP 2E1.
  • 22.
    HIGADO: NECROSIS MASIVA(ingesta accidental de paracetamol)
  • 23.
    HIGADO: NECROSIS MASIVA(ingesta accidental de paracetamol)
  • 24.
    • TIPOS OPATRONES MORFOLÓGICOS (NECROSIS): 1. COAGULACIÓN 2. CASEOSA 3. COLICUATIVA (POR LICUEFACCIÓN) 4. GANGRENOSA 5. ENZIMÁTICA 6. HEMORRÁGICA 7. GRASA O DE ORIGEN TRAUMÁTICO 8. FIBRINOIDE I. MUERTE CELULAR ACCIDENTAL
  • 25.
    I. MUERTE CELULARACCIDENTAL 1. NECROSIS POR COAGULACIÓN • Debida al efecto desnaturalizante “coagulante” de la acidosis sobre las enzimas y las proteínas estructurales. • Al inactivarse las enzimas:  la autolisis se bloquea  se conservan las proteínas coaguladas, desnaturalizadas. • Acompañada de una pérdida de agua: la célula se "momifica" • Aparece en:  isquemia e infarto de órganos sólidos (corazón, riñón, bazo…)  tumores de crecimiento rápido  quemaduras químicas, térmicas, eléctricas y por radiaciones.
  • 27.
    • Macroscópicamente:  aspectoacartonado y seco  color gris o amarillento (negro en quemaduras)  consistencia aumentada  calcificación distrófica. • Microscópicamente:  Necrosis estructurada: no se pierde la arquitectura normal del órgano o tejido donde asienta, dibujándose los contornos de los componentes tisulares.  Las células aparecen sin núcleo (cariolisis) y forman masas homogéneas y eosinófilas.  Al cabo de unas semanas, los leucocitos fragmentan las células coaguladas y fagocitan los residuos. I. MUERTE CELULAR ACCIDENTAL 1. NECROSIS POR COAGULACIÓN
  • 28.
    RIÑÓN: NECROSIS PORCOAGULACIÓN en columnas de Bertin
  • 29.
  • 30.
    CORAZÓN: NECROSIS PORCOAGULACIÓN (infarto de miocardio)
  • 31.
    INFARTO DE MIOCARDIO(24 h de evolución)
  • 32.
  • 33.
  • 34.
    I. MUERTE CELULARACCIDENTAL 2. NECROSIS CASEOSA • Típica de la tuberculosis y de otras enfermedades infecciosas: lepra, histoplasmosis... • Al proceso de necrosis por coagulación se superpone una adición de lípidos complejos procedentes de la cápsula de los microorganismos destruidos. • Su nombre se debe al aspecto de queso fundido “caseum” que muestran macroscópicamente las áreas necrosadas. • Microscópicamente:  masa poco estructurada, homogénea y eosinófila.  La calcificación del tejido necrótico es muy común.
  • 35.
  • 36.
  • 37.
    I. MUERTE CELULARACCIDENTAL: 3. NECROSIS COLICUATIVA (POR LICUEFACCIÓN) • Aparece cuando en los tejidos predominan los procesos de autolisis o heterolisis. • Típica :  del SNC  de las inflamaciones purulentas.  Otros tipos de necrosis, cuando sufren infección sobreañadida acaban convirtiéndose en colicuativas. • Macroscópicamente: masa líquida o semilíquida de material amorfo que, en los abscesos y flemones, se acompaña de abundantes leucocitos muertos : pus (líquido más o menos espeso, de color blanco amarillento o gris verdoso, constituido por serosidades, piocitos (leucocitos muertos) y leucocitos más o menos alterados con microorganismos, partículas de grasa y otras substancias fagocitadas).
  • 38.
  • 39.
  • 40.
    MÉDULA ESPINAL: ABSCESOPURULENTO NECROSIS COLICUATIVA
  • 41.
  • 42.
  • 43.
    I. MUERTE CELULARACCIDENTAL: 4. NECROSIS GANGRENOSA • Se habla de gangrena, en general, cuando una masa considerable de tejido sufre necrosis por coagulación. En la práctica, el término ha quedado restringido a la afectación de las extremidades.
  • 44.
    I. MUERTE CELULARACCIDENTAL: 4. NECROSIS GANGRENOSA • Sucede en las extremidades inferiores por causa de la isquemia, generalmente debida a una trombosis o a arteriopatías (arteriopatía diabética, tromboangeitis obliterante...). • La isquemia, la deshidratación del tejido y la coagulación de las proteínas estructurales, causan una desecación de la extremidad: gangrena seca. • Si se sobreañade una infección, la necrosis pasa a ser colicuativa: gangrena húmeda. • La gangrena gaseosa es una gangrena húmeda en la que los gérmenes causantes de la infección son anaerobios (p.ej.: Clostridium perfringens).
  • 45.
  • 46.
  • 47.
  • 48.
  • 49.
    I. MUERTE CELULARACCIDENTAL: 5. NECROSIS ENZIMÁTICA • Necrosis colicuativa producida por enzimas del páncreas exocrino (pancreatitis aguda y algunos tumores pancreáticos):  las proteasas digieren las paredes de los vasos → hemorragia  las lipasas hidrolizan los triglicéridos de la grasa peripancreática, mesos y epiplones → liberación de ácidos grasos  los ácidos grasos reaccionan con sales de calcio provenientes de la sangre → jabones cálcicos. • Macroscópicamente:  áreas de color blanco-amarillento (necrosis de la grasa); rojo (corrosión de las paredes vasculares) o gris oscuro homogéneo (jabones cálcicos).  La calcificación distrófica es muy frecuente. • Microscópicamente: masa informe de células digeridas y necróticas.
  • 50.
  • 51.
  • 52.
    Fantasmas de adipocitos Necrosis…Hemorragia NECROSIS ENZIMÁTICA DEL PÁNCREAS
  • 53.
  • 54.
  • 55.
    I. MUERTE CELULARACCIDENTAL: 6. NECROSIS HEMORRÁGICA • Causada por la acumulación de sangre hemorrágica en los tejidos: se trata de una necrosis por isquemia. • Se observa en:  infartos hemorrágicos de órganos con doble circulación (hígado, pulmón) o con abundantes anastomosis arteriovenosas (intestinos)  infecciones que cursan con lesión vascular (virosis del Ébola)  hemorragias intraparenquimatosas (p. ej.: intoxicación metanol)  el hígado de pacientes con insuficiencia cardíaca derecha grave • Macroscópicamente: el tejido muerto, junto con la sangre extravasada, forma una masa rojiza que tiende a coagularse.
  • 56.
  • 57.
  • 58.
    INTOXICACIÓN POR METANOL(NECROSIS HEMORRÁGICA) HEMORRAGIA HEMORRAGIA
  • 59.
    I. MUERTE CELULARACCIDENTAL: 7. NECROSIS GRASA DE ORIGEN TRAUMÁTICO • No es un patrón de muerte celular, sino un término descriptivo. • Los traumatismos que inciden sobre zonas con tejido adiposo abundante (nalgas, mamas, etc.) provocan la rotura de los adipocitos → salida de grasas neutras fuera de la células. • Estas grasas son fagocitadas por macrófagos (histiocitos espumosos) que se agregan (granuloma lipofágico) y se fusionan (células gigantes multinucleadas). • Posteriormente, se forma en el foco de necrosis un tejido denso, de aspecto cicatricial. • Puede calcificarse.
  • 60.
  • 61.
    NECROSIS GRASA Ca Junto conrestos de adipocitos, se aprecian histiocitos espumosos, infiltrado inflamatorio constituido por células mononucleares y células gigantes multinucleadas. Igualmente se observan depósitos de calcio (Ca) (calcificación distrófica).
  • 62.
    I. MUERTE CELULARACCIDENTAL: 8. NECROSIS FIBRINOIDE • Sucede por depósitos de fibrina en los tejidos; esta fibrina provoca una necrosis por isquemia tisular. • La fibrina se localiza, principalmente, en la pared y en los alrededores de los vasos: necrosis fibrinoide arteriolar. • Característica de:  las enfermedades autoinmunes  el rechazo de transplantes  la hipertensión maligna  la ingesta de anfetaminas y drogas “de diseño”.
  • 63.
    NECROSIS FIBRINOIDE en la pareddel vaso Linfocitos Plasmacitos Macrófagos POLIARTERITIS NODOSA
  • 64.
    I. MUERTE CELULARACCIDENTAL: CONSECUENCIAS • Dependen de la extensión y del tejido donde se producen. Raramente sucede la regeneración con restitutio ad integrum. 1. Reabsorción y cicatrización. 2. Por la liberación de mediadores químicos, las zonas de necrosis pueden convertirse en focos de inflamación aguda o crónica. 3. La infección secundaria origina licuefacción: abscesos. 4. Si la necrosis afecta a superficies epidérmicas o mucosas, se producen úlceras. 5. El tejido necrótico tiende a evacuarse mediante la formación de fístulas, dejando tras de sí cavernas, quistes o pseudoquistes. 6. A veces, los restos celulares condicionan la aparición de reacciones autoinmunes. 7. Calcificación distrófica.
  • 65.
    INFARTO DE MIOCARDIO:CICATRIZ FIBROSA
  • 66.
  • 67.
  • 68.
  • 69.
  • 70.
    II. MUERTE CELULARPROGRAMADA: APOPTOSIS 1. CONCEPTO Y GENERALIDADES 2. MOLÉCULAS IMPLICADAS 3. REGULACIÓN MOLECULAR 4. EVENTOS CELULARES
  • 71.
    APOPTOSIS Como vemos porel análisis etimológico, es un término compuesto con un elemento preposicional APO con el significado de 'a partir de' y un sustantivo PTOSIS que significa 'caída'. Primera dificultad, ¿qué añade el elemento preposicional?, ¿qué diferencia existía en griego entre PTOSIS y APÓPTŌSIS, si ambas palabras significaban 'caída'? Del estudio de lo que nos dicen los diccionarios parece deducirse que mientras que PTÔSIS es 'caída' sin más, con APÓPTŌSIS se matiza y se señala que el proceso es gradual, durativo. Hipócrates, s. V a.C. usa APÓPTŌSIS para referirse al proceso lento, en casos de gangrena, en que se van desprendiendo elementos de hueso. De la misma forma Galeno, s. II d.C., lo aplica a procesos de escarificación y progresivo desprendimiento de las partes gangrenadas. Sin embargo, el uso que más interesó a los científicos que reintrodujeron el término en el año 1972 fue un texto de Dioscórides, s. I d.C., en el que habla de la APÓPTŌSIS de las flores, es decir, del proceso gradual por el que caen las flores de una planta. Damos un salto de mas de veinte siglos y nos situamos en el año 1972. Los anatomopatólogos J. Kerr, A. Wyllie y A. Currie, que a la sazón estaban trabajando en Escocia, se pusieron en contacto con un profesor de Filología Griega de la Universidad de Aberdeen, James Cormack, y le pidieron que buscara un término griego para el concepto de la muerte celular programada, aquella en la que van desapareciendo los elementos que componen la célula de forma progresiva sin dejar restos; se contrapone a necrosis en la que quedan restos que van degenerando y dañando el organismo. Era un concepto que ya existía; Virchow en 1858 había hablado de NECROBIOSIS, el alemán W. Flemming. en 1887 había usado CROMATOLISIS. En ese contexto, Kerr, Wyllie y Currie publicaron un artículo que tuvo una gran repercusión e introdujo un término nuevo en la comunidad científica con gran éxito; su título es "Apoptosis: a basic biological phenomenon with wideranging implications in tissue kinetics", BR. J. CANCER 26 (1972) 239-257. En él se puede leer lo siguiente: «Estamos muy agradecidos al profesor James Cormack del Departamento de Griego de la Universidad de Aberdeen por sugerir este término. La palabra APOPTOSIS se usa en griego para describir la 'caída', el 'desprendimiento' de los pétalos de las flores o las hojas de los árboles.» Sobre el éxito de la palabra, basta decir que, según datos de PubMed aparece en el título de más de 50.000 artículos científicos y si se teclea en Google se comprueba que existen varias páginas dedicadas monográficamente. Francisco Cortés
  • 72.
    II. MUERTE CELULARPROGRAMADA: APOPTOSIS 1. CONCEPTO Y GENERALIDADES • Apoptosis (Gr.: apóptōsis = caída de las hojas):  forma activa de muerte celular  programada genéticamente*  responde a señales moleculares externas o internas. • Consiste en la autodestrucción controlada de células aisladas o de pequeños grupos celulares. • Constituye un proceso biológico fundamental: desempeña un importante papel en gran número de reacciones fisiológicas y muchos eventos patológicos. * La apoptosis es a la vez un proceso programado y estocástico: se considera que un % muy elevado de las células de un organismo sufrirán apoptosis (aspecto programado) pero no se puede a priori determinar cuáles serán las células que seguirán este destino (estocástico).
  • 73.
    APOPTOSIS, ¿MUERTE PROGRAMADAO SUICIDIO? Dos tipos de datos abogan en contra del concepto de muerte programada: 1. La apoptosis frecuentemente es inducida por la ausencia de un factor exógeno (hormona o factor de crecimiento) producido por otra estirpe celular, por lo que, en caso de existir un "programa", este se encontraría fuera de la célula. 2. Aunque diversos estímulos fisiológicos sean capaces de activar la apoptosis (por ejemplo la acción de los corticoides sobre los timocitos), las células pueden ser inducidas a sufrir un proceso idéntico por agentes patológicos (por ejemplo, las radiaciones ionizantes sobre los linfocitos del timo). Por todo ello, es posible considerar a la apoptosis como un suicidio celular, voluntario o inducido, en aras de preservar la integridad de las funciones del conjunto del organismo.
  • 74.
    II. MUERTE CELULARPROGRAMADA: APOPTOSIS 1. CONCEPTO Y GENERALIDADES SE OBSERVA: a) Durante el desarrollo embrionario, con finalidad: - Filogénica: remoción de estructuras larvarias y vestigiales. - Morfogénica: reabsorción de membranas interdigitales. - Organogénica: esculpido de estructuras óseas. - Histogénica: controladora en la superproducción de células (p. ej.: n.º de oligodendrocitos potencialmente mielinizadores y de neuronas); eliminación de neuronas con conexiones erróneas. - Defensiva: destrucción en el timo de los linfocitos capaces de reaccionar contra las propias estructuras (clones prohibidos).
  • 78.
    II. MUERTE CELULARPROGRAMADA: APOPTOSIS 1. CONCEPTO Y GENERALIDADES b) Mediada por el sistema inmunitario: - En las reacciones humorales donde interviene el complemento. - En las reacciones celulares ligadas a linfocitos T citotóxicos. - En la detención de respuestas celulares y humorales (linfocitos T- supresores). c) En la formación de elementos diferenciados: - hematíes - plaquetas - queratinocitos (cornificación).
  • 79.
    TROMBOGÉNESIS. Anticuerpos anticaspasa-3(verde); anticitocromo-c (rojo). Núcleo azul. Microscopía confocal.
  • 80.
    II. MUERTE CELULARPROGRAMADA: APOPTOSIS 1. CONCEPTO Y GENERALIDADES d) En la renovación celular hormono-dependiente : - Atrofia del endometrio. - Regresión de la mama lactante. - Involución del cuerpo lúteo. e) En el control de células defectuosas, infectadas o excesivas en n.º f) En el envejecimiento fisiológico: - Involución del timo, epífisis, ganglios linfáticos. - La acumulación de daños en ADN desencadena respuestas mediadas por cinasas y por p53 que pueden culminar en apoptosis.
  • 81.
    II. MUERTE CELULARPROGRAMADA: APOPTOSIS 1. CONCEPTO Y GENERALIDADES g) En la resolución de la inflamación: impide que la liberación de proteasas por los neutrófilos amplifique el proceso lesivo. h) En la pérdida de la adhesión de una célula a la MEC: apoptosis por desarraigo o anoikis (Gr.: “sin casa”). Evita metástasis.
  • 82.
    II. MUERTE CELULARPROGRAMADA: APOPTOSIS 1. CONCEPTO Y GENERALIDADES i) En patología: 1. Enfermedades asociadas con  de la apoptosis:  Linfoma de Hogdkin (Bcl2+).  Tumores hormonodependientes.  Carcinomas (p53+).  Lupus eritematoso sistémico y otras enfermedades autoinmunes.  Infecciones víricas.
  • 83.
    II. MUERTE CELULARPROGRAMADA: APOPTOSIS 1. CONCEPTO Y GENERALIDADES i) En patología: 2. Enfermedades asociadas con  de la apoptosis:  S.I.D.A.  Neurodegenerativas: Alzheimer, Parkinson, ELA.  Síndromes mielodisplásicos: anemia aplásica.  Patología cardíaca: miocardiopatía dilatada; alteraciones de la conducción y del automatismo; degeneración de la capa media de las coronarias; inestabilidad de las placas de ateroma; infarto de miocardio; episodios de isquemia - reperfusión postangioplastia; cardiotoxicidad por antraciclinas; etc.  Apoplejía (ictus) cerebral.  Isquemia renal.  Hepatopatía alcohólica; demencia alcohólica.  Otras: ictericia obstructiva; epilepsia; epidermolisis medicamentosa…
  • 84.
    • Las ANTRACICLINASforman un grupo de antibióticos altamente citotóxicos utilizados como agentes antineoplásicos. • Los pacientes tratados con este tipo de fármacos son susceptibles de manifestar importantes reacciones adversas cardíacas, especialmente insuficiencia ventricular izquierda aguda, principalmente con dosis acumuladas superiores a 550 mg/m2 • Las células musculares cardíacas son especialmente susceptibles al daño producido por los complejos de antraciclina - Fe3+ (formados por interacción de esta con el hierro intracelular), debido a su elevada actividad metabólica, en la cual participan mecanismos de óxido-reducción implicados en la producción de energía. Por ello, hay una elevada tendencia a generar radicales libres como productos metabólicos colaterales. • En condiciones normales, los propios mecanismos enzimáticos intracelulares (especialmente las dismutasas) neutralizan satisfactoriamente los radicales libres producidos; pero, la administración de productos, como las antraciclinas, que favorecen su formación, es suficiente como para sobrepasar la capacidad de “desintoxicación” de radicales libres de las dismutasas, provocando graves lesiones en el citoplasma y en la membrana celular de los cardiomiocitos, lo que determina en muchas ocasiones la muerte celular, generalmente por apoptosis. • El Desrazoxano es un agente quelante que difunde al interior de los cardiomiocitos, y es capaz de capturar iones férricos (Fe3+), evitando o disminuyendo la formación de complejos antraciclina - Fe3+ en los pacientes sometidos a tratamiento con este tipo de antineoplásicos. Así, se reduce la incidencia de cardiotoxicidad.
  • 85.
    II. MUERTE CELULARPROGRAMADA: APOPTOSIS 2. MOLÉCULAS IMPLICADAS EN EL PROCESO 2.1. RECEPTORES DE LA MUERTE 2.2. PROTEÍNAS DE LA FAMILIA Bcl 2.3. MIEMBROS DE LA SUBFAMILIA BH3 2.4. FAMILIA DE LAS CASPASAS (EN ESTE APARTADO Y EN EL SIGUIENTE, ESTUDIAR SOLO LO RESALTADO EN AMARILLO)
  • 86.
    II. MUERTE CELULARPROGRAMADA: APOPTOSIS 2. MOLÉCULAS IMPLICADAS EN EL PROCESO 2.1. RECEPTORES DE LA MUERTE • Situados en la superficie de la célula. • Reciben la señal de ligandos de muerte específicos para cada uno. • Pertenecen a la superfamilia del receptor del factor de necrosis tumoral (TNFR) cuyos miembros tienen en común:  un dominio extracelular rico en cisteína  una secuencia situada en su dominio intracitoplásmico que sirve para acoplar al receptor con el resto de la maquinaria. • Los mejor caracterizados son: CD95 (Cluster Differentiation 95) (APO-1/FasR) o (TNFRSF6) (APOptosis antigen-1 / Fas Receptor / Tumor Necrosis Factor Receptor SuperFamily member 6); TNFR1, DR3 (Death Receptor number 3), DR4 y DR5.
  • 87.
    • Si conectanpor su cara citoplásmica con complejos intermedios (adaptadores) concretos, se activan caspasas iniciadoras de la apoptosis: vía extrínseca o de los receptores de la muerte. • Si se acoplan con otro tipo de moléculas intermedias, activan cinasas que generan el efecto contrario: estimulan el ciclo celular y la mitosis. II. MUERTE CELULAR PROGRAMADA: APOPTOSIS 2. MOLÉCULAS IMPLICADAS EN EL PROCESO 2.1. RECEPTORES DE LA MUERTE
  • 88.
    II. MUERTE CELULARPROGRAMADA: APOPTOSIS 2. MOLÉCULAS IMPLICADAS EN EL PROCESO 2.2. PROTEÍNAS DE LA FAMILIA Bcl* • Regulan la apoptosis interaccionando con los canales que controlan la permeabilidad y el flujo iónico de las mitocondrias, en cuya membrana interna residen. • Los miembros mejor caracterizados son:  Bcl-2, Bcl-xL (antiapoptóticos): estabilizan membrana mitocondrial  Bax (proapoptótico) • La activación de Bax induce un poro en las membranas mitocondriales que:  permite la liberación al citosol de citocromo c.  El citocromo c activa la procaspasa 9 (vía intrínseca o mitocondrial de activación de las caspasas). * Bcl (B-cell lymphoma)
  • 89.
    II. MUERTE CELULARPROGRAMADA: APOPTOSIS 2. MOLÉCULAS IMPLICADAS EN EL PROCESO 2.3. MIEMBROS DE LA SUBFAMILIA BH3 • Son proteínas proapoptóticas situadas en la membrana interna mitocondrial. • Dos de sus miembros: Bid y Bik, inducen la liberación de citocromo c por las mitocondrias del siguiente modo:  los receptores de la muerte activan la procaspasa 8  la caspasa 8 activa a la proteína Bid  la proteína Bid abre el poro mitocondrial • Conectan la vía de los receptores de la muerte (extrínseca) con la mitocondrial (intrínseca). • Otras proteínas como NOXA y PUMA, también proapoptóticas, son inducidas por p53 como respuesta al daño celular.
  • 90.
    II. MUERTE CELULARPROGRAMADA: APOPTOSIS 2. MOLÉCULAS IMPLICADAS EN EL PROCESO 2.4. PROTEÍNAS DE LA FAMILIA DE LAS CASPASAS • Caspasas (cistenil-aspartato-proteasas): miembros ejecutores del programa . • 11 miembros en humanos (14 en otros mamíferos). • Todos se encuentran en forma de proenzima  La región N-terminal (prodominio):  muy variable, tanto en su secuencia como en su longitud  tiene funciones de regulación y de activación.  La región catalítica:  dos dominios (grande y pequeño) que  darán lugar a las subunidades de la enzima, una vez activada.
  • 91.
    • Dos grupossegún la longitud de la región reguladora N-terminal:  Caspasas de prodominio largo (1,2,4,5,8,9,10,11,12 y 13):  involucradas en funciones de regulación de la activación en cascada: caspasas iniciadoras.  Caspasas con prodominio corto (3,6,7,14):  son activadas por algunas de las caspasas iniciadoras  causan la proteolisis de los sustratos celulares: caspasas efectoras. II. MUERTE CELULAR PROGRAMADA: APOPTOSIS 2. MOLÉCULAS IMPLICADAS EN EL PROCESO 2.4. PROTEÍNAS DE LA FAMILIA DE LAS CASPASAS
  • 92.
    • Cada caspasainiciadora contiene en su prodominio un módulo de interacción proteína-proteína que permite la unión y asociación con sus reguladores:  las caspasas 8 y 10 contienen un dominio efector de muerte (death-effector domain, DED )  las caspasas 1,2,4,5,9,11,12, y 13 contienen un dominio de reclutamiento y activación de caspasas (caspase activation and recruitment domain, CARD). II. MUERTE CELULAR PROGRAMADA: APOPTOSIS 2. MOLÉCULAS IMPLICADAS EN EL PROCESO 2.4. PROTEÍNAS DE LA FAMILIA DE LAS CASPASAS
  • 93.
    • Las caspasasse activan por proteolisis* y en cascada: una molécula activa a otra cortando entre sus dominios:  el prodominio se pierde  la enzima activa queda como un heterodímero compuesto por las subunidades grande y pequeña. * La nº 9 por cambio conformacional II. MUERTE CELULAR PROGRAMADA: APOPTOSIS 2. MOLÉCULAS IMPLICADAS EN EL PROCESO 2.4. PROTEÍNAS DE LA FAMILIA DE LAS CASPASAS
  • 94.
    • Los sustratoscelulares sobre los que actúan las caspasas efectoras (3,6,7) son proteínas que son cortadas con la finalidad de hacerlas perder su función, o modificársela, de manera que la organización celular resulte desmantelada:  moléculas implicadas en la protección de la célula del proceso de apoptosis; ejemplos: miembros antiapoptóticos de la familia Bcl (Bcl-2, Bcl-xL).  Moléculas directamente implicadas en la estructura celular; ejemplos: actina del citoesqueleto; laminas de la lámina nuclear.  Cinasas; ejemplo: PKC (fosforila otras proteínas  altera homeostasis).  Proteínas relacionadas con la reparación del ADN y con los procesos de replicación y transcripción; ejemplo: endonucleasas. II. MUERTE CELULAR PROGRAMADA: APOPTOSIS 2. MOLÉCULAS IMPLICADAS EN EL PROCESO 2.4. PROTEÍNAS DE LA FAMILIA DE LAS CASPASAS
  • 95.
    • La actividadde las caspasas está controlada por las proteínas inhibidoras de la apoptosis (IAPs). • La proteína proapoptótica smac-diablo* libera la inhibición ejercida por las IAPs. • En condiciones normales, smac-diablo reside en el espacio intermembranoso de las mitocondrias, liberándose al citosol como respuesta ante un estímulo apoptótico. • Una vez en el citosol, smac-diablo se une a varias IAPs, antagonizando su función. • Las proteínas bcl2 y bclxL bloquean la salida de smac-diablo desde las mitocondrias al citosol. *smac = second mitochondria-derived activator of caspases *diablo = direct IAP binding protein with low pI II. MUERTE CELULAR PROGRAMADA: APOPTOSIS 2. MOLÉCULAS IMPLICADAS EN EL PROCESO 2.4. PROTEÍNAS DE LA FAMILIA DE LAS CASPASAS
  • 96.
  • 97.
  • 98.
    II. MUERTE CELULARPROGRAMADA: APOPTOSIS 3. REGULACIÓN MOLECULAR • Dentro del proceso de apoptosis, todos los elementos se encuentran coordinados entre sí, tanto física como funcionalmente, y aportan al sistema global una gran variedad de rutas. • Más que una forma lineal, la vía señalizadora presenta una estructura reticular, muy ramificada en sus inicios, que luego va confluyendo hacia rutas comunes.
  • 99.
    • En estasrutas desempeñan un papel crucial los adaptadores:  la proteína FADD (Factor Associated Death Domain) está comprometida con la molécula CD95 (APO1-FasR) que activa las procaspasas 8 y 10.  Si la APO1-FasR se asocia con DAXX (Death Associated Protein) se activan cinasas que producen el efecto contrario: estimulan el ciclo celular y la mitosis. II. MUERTE CELULAR PROGRAMADA: APOPTOSIS 3. REGULACIÓN MOLECULAR
  • 100.
    • El iniciode la señal de la apoptosis puede captarse en: a) los receptores de la superficie b) las mitocondrias c) el núcleo. II. MUERTE CELULAR PROGRAMADA: APOPTOSIS 3. REGULACIÓN MOLECULAR
  • 101.
    a) Los receptoresde la superficie de la célula, como CD95 (APO- 1/FasR/TNFRSF6), DR3, DR4, DR5 y TNFR1, dan comienzo a una señal de apoptosis realizando un reclutamiento de procaspasa 8; para ello, interviene la molécula adaptadora FADD. * VÍA CITOTÓXICA (linfocitos T citotóxicos y células NK utilizan el complejo perforina - granzimas). II. MUERTE CELULAR PROGRAMADA: APOPTOSIS 3. REGULACIÓN MOLECULAR
  • 103.
    Los linfocitos Tcitotóxicos y las células NK eliminan células tumorales, infectadas por virus o aloantigénicas por medio de un mecanismo que implica la secreción proteínas citotóxicas, la perforina y las granzimas, de las cuales las dos más importantes son la granzima A y la granzima B. La perforina interacciona con las membranas celulares y permite el acceso de las granzimas al interior de la célula diana, donde inducen muerte celular por apoptosis. El sistema perforina/granzima B induce apoptosis a través de la activación de caspasas, implicando a la vía mitocondrial. El sistema perforina/granzima A induce apoptosis a través de la génesis de radicales libres, también por la vía mitocondrial, pero en ausencia de activación de caspasas. VÍA CITOTÓXICA
  • 104.
    b) En lasmitocondrias el adaptador Apaf-1 se puede unir a la procaspasa 9. * Apaf-1 = Apoptosis protease activating factor 1 ATP II. MUERTE CELULAR PROGRAMADA: APOPTOSIS 3. REGULACIÓN MOLECULAR
  • 105.
    • El complejoformado por los receptores, los adaptadores y la procaspasa se denomina apoptosoma. • La formación del apoptosoma da lugar a la activación de la procaspasa. • En el caso de Apaf-1 para formar el apoptosoma es necesaria la presencia de ATP y de citocromo c.  El citocromo c se libera de las mitocondrias como respuesta al estrés celular o vía proteína Bid.  Algunos de los estímulos que implican estrés actúan directamente sobre la mitocondria; otros lo hacen a través de mediadores, como Bax (miembro proapoptótico de familia Bcl).  Los miembros antiapoptóticos (Bcl-2, Bcl-xL) de la familia Bcl actuarían inhibiendo el transporte de citocromo c al exterior y estabilizando la membrana mitocondrial. II. MUERTE CELULAR PROGRAMADA: APOPTOSIS 3. REGULACIÓN MOLECULAR
  • 106.
  • 107.
    • La afectaciónmitocondrial por el estrés o vía proteína Bid produce, además de la liberación de citocromo c,  la rotura de la cadena de transporte de electrones  la liberación de radicales superóxido (O2.)  una hiperpolarización de la membrana interna que puede acarrear:  la expansión de la matriz y  la rotura de la membrana mitocondrial externa. • La inducción del poro de transición de permeabilidad mitocondrial (PTPm), que se quedaría permanentemente abierto, permite la entrada de agua y solutos en la matriz. • La liberación de AIF (Factor Inductor de la Apoptosis) procesa procaspasa 3 (efectora). II. MUERTE CELULAR PROGRAMADA: APOPTOSIS 3. REGULACIÓN MOLECULAR
  • 108.
    c) Existen señalesde apoptosis que tienen su inicio en el núcleo. • Las células contienen detectores de daño en el ADN que generan respuestas celulares mediadas por cinasas (p. ej.: ATM, CHK y ADN-PK). • Las cinasas ATM, CHK y ADN-PK actúan sobre el factor de transcripción p53. • La activación de p53 puede dar lugar a dos respuestas:  detención del ciclo celular de forma irreversible  apoptosis mediante un mecanismo mal conocido en el que intervienen genes como el de Bax y otras moléculas. II. MUERTE CELULAR PROGRAMADA: APOPTOSIS 3. REGULACIÓN MOLECULAR
  • 110.
    APOPTOSIS MEDIADA PORp53 (e-BIOSCIENCE, 2012)
  • 111.
    • La señalúltima que mata a la célula es desconocida, aunque se sospecha de:  ↑ Ca++ intracelular: activación de enzimas citosólicas dependientes del calcio.  Transglutaminasa: estabilizaría las células apoptóticas para prevenir la rotura de lisosomas (provoca entrecruzamiento de las proteínas del citoplasma → coagulación). II. MUERTE CELULAR PROGRAMADA: APOPTOSIS 3. REGULACIÓN MOLECULAR
  • 112.
    II. MUERTE CELULARPROGRAMADA: APOPTOSIS 4. EVENTOS CELULARES • La apoptosis sucede a una velocidad 20 veces superior a la mitosis, por lo que, en los cortes histológicos, se sorprenden muy pocos signos morfológicos de este suceso. Se describen: 4.1. CAMBIOS EN LA MEMBRANA PLASMÁTICA 4.2. CAMBIOS EN LAS MITOCONDRIAS 4.3. CAMBIOS NUCLEARES 4.4. ELIMINACIÓN DE LA CÉLULA APOPTÓTICA
  • 113.
     Aislamiento dela célula con respecto a sus vecinas.  Redondeamiento y disminución de volumen por pérdida isosmótica de agua e iones.  Emisión de blebs (zeiosis, del griego zéo = hervir):  evaginaciones esféricas que confieren a la célula un aspecto “hirviente” al comienzo y en palomita de maíz al final  tienen relación con la reorganización del citoesqueleto debido a la acción de las caspasas  cuando se desprenden constituyen los cuerpos apoptóticos.  Cambios en la simetría de los fosfolípidos de la bicapa, que marcan a las células para su posterior fagocitosis. II. MUERTE CELULAR PROGRAMADA: APOPTOSIS 4. EVENTOS CELULARES 4.1. CAMBIOS EN LA MEMBRANA PLASMÁTICA
  • 114.
  • 116.
    • La aparienciamorfológica se mantiene intacta prácticamente durante todo el proceso. • A nivel molecular se constatan:  Fallo en el mantenimiento del potencial transmembrana por apertura del poro mitocondrial.  Liberación de citocromo c.  Desacoplamiento en la cadena de transporte de electrones.  Detención del metabolismo energético.  Producción de radicales superóxido.  El poro permite la salida de Ca++ y es responsable de la entrada de solutos que causan una hiperosmolaridad en la matriz.  Puede llegar a romperse la membrana externa. II. MUERTE CELULAR PROGRAMADA: APOPTOSIS 4. EVENTOS CELULARES 4.2. CAMBIOS EN LAS MITOCONDRIAS
  • 117.
    • Aumento dela densidad de la cromatina:  comienza formando parches alrededor de la envoltura nuclear, y  termina dando lugar a una o varias esferas densas y semilunas en las últimas etapas.  Obedece a la rotura de la lámina nuclear por acción de las caspasas. • El tamaño del núcleo se reduce. II. MUERTE CELULAR PROGRAMADA: APOPTOSIS 4. EVENTOS CELULARES 4.3. CAMBIOS NUCLEARES
  • 118.
    • Fragmentación delADN:  En una escalera de subunidades regulares que resultan del corte entre los nucleosomas cada 200 o múltiplo de 200 pares de bases.  Llevada a cabo por una endonucleasa que se activa vía caspasas.  Como no se puede reparar tanto corte, la transcripción se detiene. II. MUERTE CELULAR PROGRAMADA: APOPTOSIS 4. EVENTOS CELULARES 4.3. CAMBIOS NUCLEARES
  • 119.
    • Aunque losefectos sobre el ADN son tan drásticos, diversos estudios demuestran que la célula también puede morir por apoptosis en ausencia de fragmentación del ADN. Son suficientes:  la proteolisis de sustratos en el citoplasma  la alteración mitocondrial  la alteración de la membrana plasmática.  La fragmentación del ADN no representaría un medio de destrucción de las células, sino parte de un proceso de “limpieza” de las células muertas. II. MUERTE CELULAR PROGRAMADA: APOPTOSIS 4. EVENTOS CELULARES 4.3. CAMBIOS NUCLEARES
  • 120.
    Biopsia de pielprocedente de un transplante. Además del intenso infiltrado inflamatorio en la dermis, se aprecian fenómenos de APOPTOSIS en epidermis.
  • 121.
    Criptas intestinales consignos de APOPTOSIS en el curso de un fenómeno de rechazo postinjerto.
  • 122.
    La flecha señalados CUERPOS APOPTÓTICOS en un caso de hepatitis B.
  • 123.
    Carcinoma epidermoide entrecuyas células anaplásicas se detectan un cuerpo apoptótico (flecha roja) y una célula en APOPTOSIS (flecha azul).
  • 124.
    CASPASA 3 Demostración inmunocitoquímica(anticuerpos anticaspasa 3) de APOPTOSIS inducida mediante angiotensina II en cardiomiomiocitos.
  • 125.
    APOPTOSIS en unmastocitoma cuyas células fueron cultivadas en presencia de linfocitos T. Apréciense la cromatina del mastocito fragmentada en esferas y semilunas y la aposición de membranas entre aquel y el linfocito (L) situado a su derecha. L
  • 126.
    Demostración inmunocitoquímica dela acción de las CASPASAS sobre las laminas de la envoltura nuclear. MET / oro coloidal.
  • 127.
    CUERPOS APOPTÓTICOS. Algunoscontienen los característicos fragmentos nucleares.
  • 128.
    • Evita quesu contenido sea vertido en el medio y genere una respuesta inflamatoria (la célula en apoptosis, muere “con dignidad”, sin derramar el contenido, a fin de no dañar a sus vecinas). • En los tejidos con bajo índice de apoptosis, la fagocitosis es ejercida por las células vecinas. • Cuando la tasa es elevada, se encargan los macrófagos. • Algunos cuerpos apoptóticos pueden no ser fagocitados y degenerar espontáneamente. II. MUERTE CELULAR PROGRAMADA: APOPTOSIS 4. EVENTOS CELULARES 4.4. ELIMINACIÓN DE LA CÉLULA APOPTÓTICA
  • 129.
    • Se desconocenlos estímulos quimiotácticos que atraen a los macrófagos al foco donde tiene lugar la apoptosis. • Mecanismos de reconocimiento de la célula apoptótica por parte de las encargadas de su eliminación:  Lectinas: la apoptosis provoca cambios en los carbohidratos de la superficie celular reconocibles por lectinas de las células fagocíticas.  Integrinas: en los fagocitos existe la integrina a4b3 que interacciona con la célula apoptótica a través de la molécula puente trombospondina.  Pérdida de la asimetría de los fosfolípidos: provoca la exposición al exterior de la fosfatidilserina que interacciona con un receptor de los macrófagos. II. MUERTE CELULAR PROGRAMADA: APOPTOSIS 4. EVENTOS CELULARES 4.4. ELIMINACIÓN DE LA CÉLULA APOPTÓTICA
  • 130.
    Macrófago procedente deun páncreas de rata, a la que se le ligó el conducto pancreático, con múltiples CUERPOS APOPTÓTICOS fagocitados.
  • 131.
    CUERPO APOPTÓTICO, procedentede un hepatocito, que ha sido fagocitado por una célula de Küpffer.
  • 132.
    DIFERENCIAS ENTRE ONCOSISY APOPTOSIS CARACTERÍSTICAS ONCOSIS APOPTOSIS Causa Agresión Agresión o estímulo fisiológico Citoplasma Hinchazón Destrucción de orgánulos Contracción Orgánulos intactos Mitocondrias Hinchazón Normal Cromatina Fragmentación. Apelotonamiento Condensación en parches, esferas o semilunas ADN Degradación inespecífica (al azar) Degradación internucleosómica Membrana celular Pérdida de la integridad Vesiculación (blebs) Cuerpos apoptóticos Respuesta inflamatoria Presente Ausente Células Todo el tejido Algunas células Gasto energético No Sí Identificación in situ: -Tinción fragmentos DNA con TUNEL -ADN en gel de electroforesis -Captación trazadores permeabilidad -Fosfatidilserina en superficie Ausente Abigarrado Presente Ausente Presente Escalonado Ausente Presente
  • 133.
    • El empleode moduladores de la apoptosis en diversas afecciones está en los comienzos, y parece tener posibilidades de convertirse en una poderosa herramienta profiláctica y terapéutica. https://www.youtube.com/watch?v=SyvOPXeg4ig
  • 134.
    OTRAS FORMAS DEMUERTE CELULAR 1. Tres VARIANTES DE LA APOPTOSIS:  La parapoptosis: no está regulada por caspasas, sino por MAPK (cinasas de proteína activadas por mitógenos).  La piropoptosis: inducida por microorganismos que generan reacciones inflamatorias intensas, y que depende únicamente de la caspasa 1, que, a su vez, activa IL1 e IL8.  La necropoptosis, independiente de las caspasas, pero que se desencadena vía receptores de la muerte (APO-1/FasR), aunque morfológicamente es análoga a la oncosis. 2. La MUERTE CITOTÓXICA (causada por la acción de los linfocitos T- citotóxicos y las células NK) combina aspectos de la oncosis y de la apoptosis. 3. La AUTOFAGIA podría ser considerada como una forma de muerte celular que permite a las células el recambio de su contenido mediante la degradación lisosómica de sus propios componentes. 4. OTRAS: catástrofe mitótica, cornificación, degeneracion walleriana…
  • 138.
    http://revistamedicinacine.usal.es/index.php/es/vol4/num2/373 Palabras clave: muertecelular accidental (oncosis); envenenamiento por arsénico* * http://dspace.espoch.edu.ec/bitstream/123456789/202/1/56T00174.pdf 4