CA. DE MAMA EN EL
PRIMER NIVEL DE
ATENCIÓN
García Macedonio José Eduardo
FEBRERO 2017
UNAM
Facultad de Medicina
C.S.T. III BEATRIZ VELASCO DE ALEMAN
SECRETARIA DE SALUD
CARCER DE MAMA
INTRODUCCIÓN
“Crecimiento anormal y desordenado de células del epitelio de los conductos o
lobulillos mamarios que tienen capacidad metastasica” NIC
• El Ca. de mama es la neoplasia maligna no cutánea mas común en
las mujeres
• Tanto en países desarrollados y en vías de desarrollo
• Superado en muertes por el Ca. de pulmón
• In: 15.4/100000 hab. >14 años M.I.: 60-64 años, 50-59 años
• Muertes: 30-59 años (60%), detección en etapas avanzadas
HERENCIA:
-BRCA 1: Ca de mama en 50% a los 50 años, 87% a los 70 años y 50-40% Ca de ovario
-BRCA 2: probabilidad de 85% de desarrollar Ca de mama en la vida y 10-20% de Ca de ovario
-BRCA 1 y BRCA 2: Ca de próstata y de páncreas
Ca asociado a BRCA1: poco diferenciados, tienen características medulares, no expresan receptores de
hormonas ni HER2/neu
Ca asociado a BRCA2: poco diferenciados, RE positivos
Esporádico: exposición a hormonas, en mujeres post menopausicas y RE +
CARCER DE MAMA
• 95% son adenocarcinomas
• 75-80% son Ca. ductal invasivo
• 15% in situ
• 4% presentan Ca. en ambas mamas
CARCER DE MAMA
FACTORES DE RIESGO
• Sexo femenino
• Antecedentes personales de Ca. y familiares con antecedentes de Ca.
• Nuliparidad y maternidad avanzada
• Presencia de mutación en BRCA 1-2
• sobrepeso e IMC >30
• Menarca temprana
• Uso de terapia de reemplazo hormonal (>10 años)
• Densidad mamaria elevada
• Familiares judios
CARCER DE MAMA
FACTORES PROTECTORES
• Ejercicio
• Lactancia
• Multiparidad
• Mastectomia
• Oforectomia
DETECCIÓN Y DERIVACIÓN
CARCER DE MAMA
SIGNOS Y SINTOMAS
• Tumor palpable pétreo, no dolorosa, bordes irregulares y adherido
• Ganglios palpables duros, no dolorosos y de crecimiento progresivo
• Edema en la piel de la mama
• Retracción cutánea
• Ulceración cutánea
• Ulcera o descamación del pezón
• Telorrea serosanguinolenta
CARCER DE MAMA
AUTOEXPLORACIÓN MAMARIA Y CLINICA
• Recomendado a partir de los 20 años de edad
• Sensibilidad 26-41%
• Realizarlo entre el día 5-7 del ciclo
• Exploración clínica cada 3 años o cuando la paciente detecte
alguna tumoración. a partir de los 25 años, >40 años anual
• Nódulo palpable requiere USG si <40 años o mamografia >40 años
CARCER DE MAMA
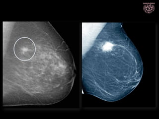
MAMOGRAFÍA
• Ha disminuido la mortalidad entre el 26-39%
• En toda mujer >40 años, anual
• Cada 2 años en >50 años
• En mujeres con antecedentes de riesgo elevados, 30 años
• Salen del tamizaje Mujeres >74 años con 2 exámenes previos
negativos
Puntaje BI-RADS
Benigno: >98% casos
Maligno: >95% casos
CARCER DE MAMA
USG
• Se solicita en pacientes <40 años con presencia de tumoraciones
• En pacientes con BI-RADS 0
• Orientación en biopsia con aguja gruesa
• Diferenciar entre quiste y masas solidas
• RM: solo como coadyuvante en pacientes de alto riesgo, >30 años
CARCER DE MAMA
• Lesión considerada maligna necesita confirmación histopatologica
• Enviar al especialista a cualquier paciente con clínica francamente
sugestiva de Ca. de mama o estadios BI-RADS 4-5
• Diagnostico histopatologico confirmatorio o premaligno
• Se recomiendan pruebas genéticas en aquellas pacientes con
antecedentes familiares de Ca. de mama y alto riesgo
• Pacientes embarazadas con sospecha de Ca. de mama
DERIVAR
CARCER DE MAMA
• Paciente femenina de 50 años, originaria de Tlaxcala, empleada en una tienda de ropa, preparatoria trunca,
católica en union libre. Antecedente ce Ca. renal por su padre, enfermedades crónico de generativas
negadas, sin enfermedades concomitantes y antecedentes patológicos de importancia. Menarca a los 13
años, ciclos 28/5, IVSA 47 años, parejas sexuales: 1, gestas 0, sin uso de método de planificación familiar,
sin examenes previos de citología cervical e hibridación, ultima mastografia hace 6 años no documentada.
Tabaquismo + desde hace 5 años a razón de 2 cigarros/ día, Alcoholismo + llegando a la ebriedad desde
chace 20 años a razón de 1 vez por mes.
• SV: FC: 86 lpm, FR: 20 rpm, temperatura: 37ºC, TA: 135/90, Peso: 65kg, Talla: 1.60, IMC=25.39
• Se presenta por dolor abdominal tipo cólico ocasional en región pélvica de intensidad 5/10, perdida ponderar
de 5 kg desde hace 1 mes acompañado de astenia, adinamia e hiporexia, con aumento de volumen en
región abdominal .
• EF: Paciente consiente, orientada, cooperadora, adecuada coloración de tegumentos e hidratada, campos
cardio-pulmonares sin ruidos agregados. Se palpa conglomerado ganglionar en triángulo posterior izquierdo
del cuello. Mamas simétricas sin evidencia de lesiones cutáneas, implantación de ambos pezones simétricos
con leve retracción del pezon izquierdo, se palpa masa en cuadrante superior externo de mama izquierda de
3x2, de consistencia petera y bordes delimitados, sin dolor a la palpación y adherida a planos profundos, se
palpan 2 ganglios en fosa axilar homolateral de 2x2 con características parecidas a la lesión descrita, no hay
presencia de telorrea.
CASO CLINICO
• Abdomen globoso a expensas de paniculo adiposo y edema franco, sin datos de irritación peritoneal,
peristalsis normoactiva. Al tacto vaginal se observa vagina elástica, parámetrios libres, fondo de saco
inferior ocupado por una masa exofitica de 2x2cm sangrante, cervix atrofio de apariencia normal. A
tacto rectal se palpa un tumor que pétreo de bordes no delimitados a las 5¨ que abarca 1/3 de la pared
dorsal del cuerpo del útero. Resto sin alteraciones.
• Cuales serian los factores de riesgo de esta paciente?
• Que estudios de gabinete solicitaria?
• Que aptitud terapeutica seria la mas adecuada como médico de primer contacto?
BIBLOGRAFÍA
• CENETEC. “Prevención, tamizaje y referencia oportuna de casos
sospechosos de cáncer de mama en el primer nivel de atención”.
SS. México
• Williams. Obstetricia. 23ª edición. Editorial Mc Graw Hill. México.
2010. pp 649-653
• Mondragón Castro Hector. Ginecología básica ilustrada. 6ª Ed.
Trillas. 2012.

Ca. mama

  • 1.
    CA. DE MAMAEN EL PRIMER NIVEL DE ATENCIÓN García Macedonio José Eduardo FEBRERO 2017 UNAM Facultad de Medicina C.S.T. III BEATRIZ VELASCO DE ALEMAN SECRETARIA DE SALUD
  • 2.
    CARCER DE MAMA INTRODUCCIÓN “Crecimientoanormal y desordenado de células del epitelio de los conductos o lobulillos mamarios que tienen capacidad metastasica” NIC • El Ca. de mama es la neoplasia maligna no cutánea mas común en las mujeres • Tanto en países desarrollados y en vías de desarrollo • Superado en muertes por el Ca. de pulmón • In: 15.4/100000 hab. >14 años M.I.: 60-64 años, 50-59 años • Muertes: 30-59 años (60%), detección en etapas avanzadas
  • 3.
    HERENCIA: -BRCA 1: Cade mama en 50% a los 50 años, 87% a los 70 años y 50-40% Ca de ovario -BRCA 2: probabilidad de 85% de desarrollar Ca de mama en la vida y 10-20% de Ca de ovario -BRCA 1 y BRCA 2: Ca de próstata y de páncreas Ca asociado a BRCA1: poco diferenciados, tienen características medulares, no expresan receptores de hormonas ni HER2/neu Ca asociado a BRCA2: poco diferenciados, RE positivos Esporádico: exposición a hormonas, en mujeres post menopausicas y RE + CARCER DE MAMA • 95% son adenocarcinomas • 75-80% son Ca. ductal invasivo • 15% in situ • 4% presentan Ca. en ambas mamas
  • 4.
    CARCER DE MAMA FACTORESDE RIESGO • Sexo femenino • Antecedentes personales de Ca. y familiares con antecedentes de Ca. • Nuliparidad y maternidad avanzada • Presencia de mutación en BRCA 1-2 • sobrepeso e IMC >30 • Menarca temprana • Uso de terapia de reemplazo hormonal (>10 años) • Densidad mamaria elevada • Familiares judios
  • 5.
    CARCER DE MAMA FACTORESPROTECTORES • Ejercicio • Lactancia • Multiparidad • Mastectomia • Oforectomia
  • 6.
  • 7.
    CARCER DE MAMA SIGNOSY SINTOMAS • Tumor palpable pétreo, no dolorosa, bordes irregulares y adherido • Ganglios palpables duros, no dolorosos y de crecimiento progresivo • Edema en la piel de la mama • Retracción cutánea • Ulceración cutánea • Ulcera o descamación del pezón • Telorrea serosanguinolenta
  • 9.
    CARCER DE MAMA AUTOEXPLORACIÓNMAMARIA Y CLINICA • Recomendado a partir de los 20 años de edad • Sensibilidad 26-41% • Realizarlo entre el día 5-7 del ciclo • Exploración clínica cada 3 años o cuando la paciente detecte alguna tumoración. a partir de los 25 años, >40 años anual • Nódulo palpable requiere USG si <40 años o mamografia >40 años
  • 11.
    CARCER DE MAMA MAMOGRAFÍA •Ha disminuido la mortalidad entre el 26-39% • En toda mujer >40 años, anual • Cada 2 años en >50 años • En mujeres con antecedentes de riesgo elevados, 30 años • Salen del tamizaje Mujeres >74 años con 2 exámenes previos negativos
  • 14.
    Puntaje BI-RADS Benigno: >98%casos Maligno: >95% casos
  • 15.
    CARCER DE MAMA USG •Se solicita en pacientes <40 años con presencia de tumoraciones • En pacientes con BI-RADS 0 • Orientación en biopsia con aguja gruesa • Diferenciar entre quiste y masas solidas • RM: solo como coadyuvante en pacientes de alto riesgo, >30 años
  • 17.
    CARCER DE MAMA •Lesión considerada maligna necesita confirmación histopatologica • Enviar al especialista a cualquier paciente con clínica francamente sugestiva de Ca. de mama o estadios BI-RADS 4-5 • Diagnostico histopatologico confirmatorio o premaligno • Se recomiendan pruebas genéticas en aquellas pacientes con antecedentes familiares de Ca. de mama y alto riesgo • Pacientes embarazadas con sospecha de Ca. de mama DERIVAR
  • 18.
    CARCER DE MAMA •Paciente femenina de 50 años, originaria de Tlaxcala, empleada en una tienda de ropa, preparatoria trunca, católica en union libre. Antecedente ce Ca. renal por su padre, enfermedades crónico de generativas negadas, sin enfermedades concomitantes y antecedentes patológicos de importancia. Menarca a los 13 años, ciclos 28/5, IVSA 47 años, parejas sexuales: 1, gestas 0, sin uso de método de planificación familiar, sin examenes previos de citología cervical e hibridación, ultima mastografia hace 6 años no documentada. Tabaquismo + desde hace 5 años a razón de 2 cigarros/ día, Alcoholismo + llegando a la ebriedad desde chace 20 años a razón de 1 vez por mes. • SV: FC: 86 lpm, FR: 20 rpm, temperatura: 37ºC, TA: 135/90, Peso: 65kg, Talla: 1.60, IMC=25.39 • Se presenta por dolor abdominal tipo cólico ocasional en región pélvica de intensidad 5/10, perdida ponderar de 5 kg desde hace 1 mes acompañado de astenia, adinamia e hiporexia, con aumento de volumen en región abdominal . • EF: Paciente consiente, orientada, cooperadora, adecuada coloración de tegumentos e hidratada, campos cardio-pulmonares sin ruidos agregados. Se palpa conglomerado ganglionar en triángulo posterior izquierdo del cuello. Mamas simétricas sin evidencia de lesiones cutáneas, implantación de ambos pezones simétricos con leve retracción del pezon izquierdo, se palpa masa en cuadrante superior externo de mama izquierda de 3x2, de consistencia petera y bordes delimitados, sin dolor a la palpación y adherida a planos profundos, se palpan 2 ganglios en fosa axilar homolateral de 2x2 con características parecidas a la lesión descrita, no hay presencia de telorrea. CASO CLINICO
  • 19.
    • Abdomen globosoa expensas de paniculo adiposo y edema franco, sin datos de irritación peritoneal, peristalsis normoactiva. Al tacto vaginal se observa vagina elástica, parámetrios libres, fondo de saco inferior ocupado por una masa exofitica de 2x2cm sangrante, cervix atrofio de apariencia normal. A tacto rectal se palpa un tumor que pétreo de bordes no delimitados a las 5¨ que abarca 1/3 de la pared dorsal del cuerpo del útero. Resto sin alteraciones. • Cuales serian los factores de riesgo de esta paciente? • Que estudios de gabinete solicitaria? • Que aptitud terapeutica seria la mas adecuada como médico de primer contacto?
  • 24.
    BIBLOGRAFÍA • CENETEC. “Prevención,tamizaje y referencia oportuna de casos sospechosos de cáncer de mama en el primer nivel de atención”. SS. México • Williams. Obstetricia. 23ª edición. Editorial Mc Graw Hill. México. 2010. pp 649-653 • Mondragón Castro Hector. Ginecología básica ilustrada. 6ª Ed. Trillas. 2012.