SÍNDROME HEMOLÍTICO
URÉMICO vs VASCULITIS:
A PROPÓSITO DE UN CASO
27 / Junio / 2014
Mónica Delgado Sánchez
MIR3 Reumatología
HUNSC
XXI Reunión Científica de la Sociedad
Canaria de Reumatología
CASO CLÍNICO
 MC: ♀ 63 años  dificultad respiratoria 3 días
 AP:
◦ Alergia Penicilina
◦ Síndrome Depresivo desde los 21 años de edad
◦ Diabetes Gestacional en el 3º embarazo
◦ Carcinoma ductal infiltrante de mama derecha 1996  mastectomía
total + linfadenectomía + hormonoterapia  reconstrucción 1998
◦ Dislipemia 1999
◦ Hipotiroidismo 2004  Autoinmune noviembre 2013
◦ Enfermedad renal crónica (creatinina basal 1’10-1’20 mg/dl)
◦ CCEE Reumatología 2006:
 Poliartritis seronegativa + Ragos Fibromiálgicos
 Síndrome Túnel Carpiano
 OA: L4-L5, nodular de manos y gonartrosis
 Tendinopatía manguito rotadores
 Antecedentes quirúrgicos:
◦ Salpinguectomía + Ooforectomía derecha EPI
◦ Colecistectomía
◦ 2 Cesáreas
◦ 2 Legrados Obstétricos + 1 Legrado Puerperal
◦ 2 Histeroscopias (Noviembre 2005 + Mayo 2006)
 Tratamiento domiciliario:
◦ Alprazolam 3 mg (1-0-1)
◦ Alprazolam 2 mg (los viernes)
◦ Atorvastatina 10 mg (0-0-1)
◦ Eutirox 125 mcg (1-0-0)
◦ Hierro sulfato (1-0-0)
◦ Propanolol 10 mg (1-0-1)
◦ Rabeprazol 20 mg (1-0-0),
◦ Salazopyrina 500 mg (1-0-1),
◦ Tramadol-paracetamol (1-0-1)
◦ Enalapril 20 mg (1/4-0-0)
◦ Anafranil® (1-0-1)
 EA:
◦ 3 días  catarro vías altas + dificultad respiratoria + DPN
◦ Fiebre hasta 38ºC
◦ Vómitos 1 semana antes
◦ No hemoptisis
◦ No expectoración mucopurulenta
◦ MAP  2 tandas aerosoles + hidrocortisona  urgencias
 EF:
◦ TA 147/70 mmHg. FC 97 lpm. Afebril
◦ Saturación O2 82% con GN 2 l/min
◦ ACP:
 RsCsRs sin soplos.
 MV disminuido + crepitantes bibasales + soplo tubárico en
campo superior derecho
◦ Abdomen: anodino
◦ EEII: pp (+). No edemas
◦ NRL: sin focalidad
 PC:
◦ Analítica:
 Hb 7’8 g/dL
 Leucocitos 15.300/mm3, neutrófilos 13.000./mm3
 Creatinina 8’93 mg/dL
 PCR 21’79 mg/L
◦ Test coombs directo: negativo
◦ EAB basal:
 pH 7’34, pCO2 33, PO2 33, HCO3 17’8, láctico 1’3
◦ Ag neumococo + legionella en orina: negativo
◦ Ag H1N1: negativo
◦ EKG: Rs. 66 lpm. Eje izquierda.
◦ Rx tórax
 Transfunde 1 concentrado hematíes
 Inicio atb empírico  meropenem
 Se inicia VMNI en modo BIPAP
 JD:
◦ Insuficiencia Respiratoria Aguda
◦ Insuficiencia Renal Crónica Agudizada
◦ Anemia Normocítica Normocrómica
INGRESO UMI
EVOLUCIÓN INICIAL UMI
 17/02/2014:
◦ IOT
◦ FBC: restos hemáticos en el interior del tubo y árbol bronquial
◦ Estudio autoinmune:
 Ig y complemento normales
 ANAs y ENAs negativos
 P-ANCA positivo título 1/320 (MPO > 134’0 U/ml)
 Ac anti-MBG + Ac SAF negativos
 Anti-DNAds 12’5
 VSG 141 mm
 Ac antiperoxidasa 1720’6 UI7ml
◦ Serologías:
 VHB, VHC, VIH, Sífilis  negativos
 VHS, VVZ, CMV, parvovirus  negativos
 18/02/2014:
◦ Ecocardiograma:
 VI con masa ligeramente aumentada + FE 55%
 No datos indirectos de aumento de PAP
◦ TC Tórax:
 20/02/2014:
◦ Biopsia renal:
 Un glomérulo  proliferación extracapilar celular con
formación de una semiluna celular que afecta al menos
del 50% de la circunferencia glomerular
 No alteraciones significativas tubulares, intersticiales ni
vasculares.
 Estudio de inmunofluorescencia directa no representativo
 Conclusión:
 Cilindro de parénquima renal escasamente
representativo.
 Proliferación extracapilar en el único glomérulo de la
muestra
RESUMEN
 Hemorragia Alveolar
 Anemia Normocítica Normocrómica
 Fracaso Renal
 p-ANCA MPO positivo
 Anti-DNAds positivo
 Ac anti-peroxidasa positivo
 Sd Riñón-Pulmón
 Vasculitis Sistémica (ANCA +/-)
 Sd Hemolítico-Urémico Atípico
TRATAMIENTO PACIENTE
 Tratamiento INMUNOSUPRESOR:
◦ 6 bolos de 1 gramo de metilprednisolona
 17-22/02/2014
◦ 3 bolos de CFM 750 mg
 21/02 + 08/03 + 27/03/2014
◦ 7 sesiones dobles de plasmaféresis c/48 h
 26/02-08/03/2014
TRATAMIENTO PACIENTE
 Tratamiento INFECCIONES:
◦ 16/02/2014: meropenem empírico (10 días)
◦ 17/02/2014 : FBC Ochobactrum anthropi  ciprofloxacino (9
días)
◦ 26/02/2014: TMP-SMX empírico (se mantiene todo el ingreso)
◦ 26/02/2014: aciclovir 800 mg/día ev (2 días)
◦ 25/02/2012 + 27/03/2014: BAS-BAL y aspirado traqueal
ABRIM colistina inhalada y endovenosa (23 días)
◦ 07/03/2014: Urocultivo: Candida Parapsilosis  fluconazol
400 mg ev (10 días)
◦ 13/03/2014: Traqueobronquitis por Serratia Marcescens 
cefepime (8 días)
◦ 02/04/2014: Bacteriemia por E. coli sin foco  piperacilina-
tazobactam + amikacina (14 días)
◦ 24/04/2014: Urocultivo + secreciones respiratorias
Pseudomona Aeruginosa  meropenem + amikacina
DIAGNÓSTICO DIFERENCIAL
Algoritmos en Nefrología. Valoración de las Nefropatías (primarias y secundarias) en la urgencia. Dr. Francisco Rivera. SEN 2012
DIAGNÓSTICO DIFERENCIAL
Algoritmos en Nefrología. Valoración de las Nefropatías (primarias y secundarias) en la urgencia. Dr. Francisco Rivera. SEN 2012
PGranulomato
sa
PG Eosinofílica
POLIANGEITIS MICROSCÓPICA
 Epidemiología:
◦ Sexo: 1’8 ♂: 1♀
◦ Edad: 40-59 años
 Formas de presentación:
◦ Aguda  Sd riñón-pulmón
◦ Crónica  síntomas inespecíficos
Kelley. Tratado de Reumatología. 7ª
CLÍNICA
Algoritmos en Nefrología. Valoración de las Nefropatías (primarias y secundarias) en la urgencia. Dr. Francisco Rivera. SEN 2012
SD RIÑÓN-PULMÓN
Afectación RENAL
Afectación PULMONAR
Descartar:
Infecciones
Fallo Multiorgánico
CLÍNICA PAM
 Afectación RENAL:
◦ Fracaso Renal Agudo Grave
◦ Sd Nefrítico
◦ Glomerulonefritis con proliferación extracapilar
◦ Diálisis 25-45%
Kelley. Tratado de Reumatología. 7ª
 Afectación PULMONAR:
◦ Hemorragia Alveolar Difusa:
Capilaritis alveolar  Vasculitis Sistémicas
Daño en la microcirculación alveolar
Inflamación y necrosis de los vasos sanguíneos
pulmonares (arteriolas, capilares y vénulas)
Disrupción membrana alveolo-capilar
Extravasación de glóbulos rojos al
espacio alveolar pulmonar
 Triada:
 Hemoptisis
 Infiltrados alveolares difusos
 Descenso HTO
 Insuficiencia respiratoria aguda
Poliangeitis Granulomatosa
Poliangeitis Granulomatosa Eosinofílica
 OTRAS manifestaciones:
◦ Síntomas constitucionales
◦ Artralgias
◦ Mialgias
◦ Fiebre
◦ Púrpura palpable
◦ Neuropatía periférica
Kelley. Tratado de Reumatología. 7ª
EVOLUCIÓN CLÍNICA PACIENTE
 Evolución RENAL:
◦ Oligoanuria + Anasarca
◦ Diálisis casi continua
◦ Biopsia renal poco concluyente
◦ Causas:
 Inmunocomplejos
 Vasculitis ANCA positiva
 Vómitos previos
 HTA
6 bolos
de CC
Plasmaféresis1ºboloCFM
2ºboloCFM
3ºboloCFM
EVOLUCIÓN CLÍNICA PACIENTE
 Evolución PULMONAR:
◦ VMNI
◦ IOT (17/02/2014)
◦ Traqueostomía (19/03/2014)
◦ FBC  confirma hemorragia alveolar
16/02/201425/02/2014 tras CC01/03/2014 1º bolo CFM10/03/2014 tras
plasmaféresis
19/03/2014 tras 2º bolo
CFM
06/04/2014 tras 3º bolo CFM
EVOLUCIÓN CLÍNICA PACIENTE
 Evolución ANEMIA:
◦ Poli -transfusiones
6 bolos
de CC
Plasmaféresis
1ºboloCFM
2ºboloCFM
3ºboloCFM
 OTRAS manifestaciones:
◦ Neoplasia mama derecha:
 Prótesis de mama  jugo algún papel??
 TC  descarta origen neoplásico
◦ HTA de difícil control
◦ Hipotiroidismo difícil control
EVOLUCIÓN CLÍNICA PACIENTE
 OTRAS manifestaciones:
◦ Infecciones:
 Picos febriles
 17/02/2014: BAS + BAL de FBC:
 Ochobactrum anthropi
 25/02/2012 + 27/03/2014: BAS + BAL de FBC y aspirado
traqueal:
 Acinetobacter Baumannii Multirresistente
 04/03/2014: Urocultivo:
 Candida Parapsilosis
 13/03/2014 : Aspirado traqueal:
 Serratia Marcescens
 02/04/2014: Hemocultivo:
 Escherichia Coli  TC sin foco
 24/04/2014: Urocultivo y aspirado traqueal:
 Pseudomona Aeruginosa Multirresistente
EVOLUCIÓN CLÍNICA PACIENTE
6 bolos de CC
Plasmaféresis
1ºboloCFM
2ºboloCFM
3ºboloCFM
DIAGNÓSTICO PAM
 Clínica
 Laboratorio:
◦ Hemograma y Coagulación
◦ Bioquímica
◦ RFA
◦ Sedimento orina
◦ Autoanticuerpos
Kelley. Tratado de Reumatología. 7ª
 Imagen
 FBC
 PFR
 Biopsia
TRATAMIENTO
Algoritmos en Nefrología. Valoración de las Nefropatías (primarias y secundarias) en la urgencia. Dr. Francisco Rivera. SEN 2012
SÍNDROME
RÍÑÓN-PULMÓN INMUNOSUPRESOR
PLASMAFÉRESIS
TRATAMIENTO
DE SOPORTE
OTROS INMUNOSUPRESORES
 Metrotexato
 Azatioprina
 Rituximab
 Anti-TNF:
◦ Infliximab
◦ Etanercept
Reumatol Clin 2011; 7 (S3): S41-
S46
PRONÓSTICO
 Muy grave
 Mal pronóstico:
◦ Tratamiento precoz para evitar
complicaciones
 Mortalidad:
◦ 10-50%
Algoritmos en Nefrología. Valoración de las Nefropatías (primarias y secundarias) en la urgencia. Dr. Francisco Rivera. SEN 2012
EVOLUCIÓN PACIENTE
 Evolución tórpida = 70 días ingreso en UMI
 Imposibilidad de destete respiratorio
 Necesidad de diálisis casi diaria
 Politransfusiones
 Múltiples infecciones por microorganismos
resistentes
 EXITUS 26/04/2014:
◦ Shock séptico
◦ Fallo multiorgánico
CONCLUSIÓN
 El Síndrome Riñón-Pulmón tiene una
morbimortalidad elevada, por lo que es
importante iniciar el tratamiento precozmente
 El diagnóstico se basa en la clínica, pruebas
de laboratorio (estudio autoinmune) y de
imagen
 El tratamiento de inducción para conseguir
una remisión de la enfermedad es agresivo y
se basa en la inmunosupresión
 Es fundamental descartar y tratar las posibles
infecciones que pueden estar presentes
cuando inmunosuprimimos al paciente
BIBLIOGRAFÍA
 Kelley. Tratado de Reumatología. 7ª Edición
 Algoritmos en Nefrología. Valoración de las Nefropatías
(primarias y secundarias) en la urgencia. Dr. Francisco
Rivera. SEN 2012
 Hemorragia alveolar difusa: causas y desenlaces en un
instituto de tercer nivel. Reumatol Clin. 2010; 6 (4): 195-198
 Tratamiento de las vasculitis sistémicas asociadas a ANCA.
Reumatol Clin. 2010; 6 (3): 161-172
 Rituximab en el tratamiento de las vasculitis asociadas a
ANCA: ¿el futuro hoy? Reumatol Clin. 2011; 7 (S3): S41-S46
 Diffuse Alveolar Haemorrhage in ANCA-associated Vasculitis
 Diffuse Alveolar Hemorrhage. Tuberc Respir Dis 2013;
74:151-162
 Afectación pulmonary de las vasculitis. Arch Bronconeumol.
2012; 48 (11): 410-418
MUCHAS GRACIAS

Caso clinico

  • 1.
    SÍNDROME HEMOLÍTICO URÉMICO vsVASCULITIS: A PROPÓSITO DE UN CASO 27 / Junio / 2014 Mónica Delgado Sánchez MIR3 Reumatología HUNSC XXI Reunión Científica de la Sociedad Canaria de Reumatología
  • 2.
    CASO CLÍNICO  MC:♀ 63 años  dificultad respiratoria 3 días  AP: ◦ Alergia Penicilina ◦ Síndrome Depresivo desde los 21 años de edad ◦ Diabetes Gestacional en el 3º embarazo ◦ Carcinoma ductal infiltrante de mama derecha 1996  mastectomía total + linfadenectomía + hormonoterapia  reconstrucción 1998 ◦ Dislipemia 1999 ◦ Hipotiroidismo 2004  Autoinmune noviembre 2013 ◦ Enfermedad renal crónica (creatinina basal 1’10-1’20 mg/dl) ◦ CCEE Reumatología 2006:  Poliartritis seronegativa + Ragos Fibromiálgicos  Síndrome Túnel Carpiano  OA: L4-L5, nodular de manos y gonartrosis  Tendinopatía manguito rotadores
  • 3.
     Antecedentes quirúrgicos: ◦Salpinguectomía + Ooforectomía derecha EPI ◦ Colecistectomía ◦ 2 Cesáreas ◦ 2 Legrados Obstétricos + 1 Legrado Puerperal ◦ 2 Histeroscopias (Noviembre 2005 + Mayo 2006)  Tratamiento domiciliario: ◦ Alprazolam 3 mg (1-0-1) ◦ Alprazolam 2 mg (los viernes) ◦ Atorvastatina 10 mg (0-0-1) ◦ Eutirox 125 mcg (1-0-0) ◦ Hierro sulfato (1-0-0) ◦ Propanolol 10 mg (1-0-1) ◦ Rabeprazol 20 mg (1-0-0), ◦ Salazopyrina 500 mg (1-0-1), ◦ Tramadol-paracetamol (1-0-1) ◦ Enalapril 20 mg (1/4-0-0) ◦ Anafranil® (1-0-1)
  • 4.
     EA: ◦ 3días  catarro vías altas + dificultad respiratoria + DPN ◦ Fiebre hasta 38ºC ◦ Vómitos 1 semana antes ◦ No hemoptisis ◦ No expectoración mucopurulenta ◦ MAP  2 tandas aerosoles + hidrocortisona  urgencias  EF: ◦ TA 147/70 mmHg. FC 97 lpm. Afebril ◦ Saturación O2 82% con GN 2 l/min ◦ ACP:  RsCsRs sin soplos.  MV disminuido + crepitantes bibasales + soplo tubárico en campo superior derecho ◦ Abdomen: anodino ◦ EEII: pp (+). No edemas ◦ NRL: sin focalidad
  • 5.
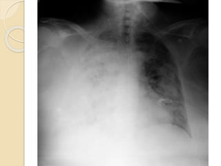
     PC: ◦ Analítica: Hb 7’8 g/dL  Leucocitos 15.300/mm3, neutrófilos 13.000./mm3  Creatinina 8’93 mg/dL  PCR 21’79 mg/L ◦ Test coombs directo: negativo ◦ EAB basal:  pH 7’34, pCO2 33, PO2 33, HCO3 17’8, láctico 1’3 ◦ Ag neumococo + legionella en orina: negativo ◦ Ag H1N1: negativo ◦ EKG: Rs. 66 lpm. Eje izquierda. ◦ Rx tórax
  • 6.
     Transfunde 1concentrado hematíes  Inicio atb empírico  meropenem  Se inicia VMNI en modo BIPAP  JD: ◦ Insuficiencia Respiratoria Aguda ◦ Insuficiencia Renal Crónica Agudizada ◦ Anemia Normocítica Normocrómica INGRESO UMI
  • 7.
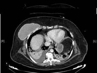
    EVOLUCIÓN INICIAL UMI 17/02/2014: ◦ IOT ◦ FBC: restos hemáticos en el interior del tubo y árbol bronquial ◦ Estudio autoinmune:  Ig y complemento normales  ANAs y ENAs negativos  P-ANCA positivo título 1/320 (MPO > 134’0 U/ml)  Ac anti-MBG + Ac SAF negativos  Anti-DNAds 12’5  VSG 141 mm  Ac antiperoxidasa 1720’6 UI7ml ◦ Serologías:  VHB, VHC, VIH, Sífilis  negativos  VHS, VVZ, CMV, parvovirus  negativos  18/02/2014: ◦ Ecocardiograma:  VI con masa ligeramente aumentada + FE 55%  No datos indirectos de aumento de PAP ◦ TC Tórax:
  • 8.
     20/02/2014: ◦ Biopsiarenal:  Un glomérulo  proliferación extracapilar celular con formación de una semiluna celular que afecta al menos del 50% de la circunferencia glomerular  No alteraciones significativas tubulares, intersticiales ni vasculares.  Estudio de inmunofluorescencia directa no representativo  Conclusión:  Cilindro de parénquima renal escasamente representativo.  Proliferación extracapilar en el único glomérulo de la muestra
  • 9.
    RESUMEN  Hemorragia Alveolar Anemia Normocítica Normocrómica  Fracaso Renal  p-ANCA MPO positivo  Anti-DNAds positivo  Ac anti-peroxidasa positivo  Sd Riñón-Pulmón  Vasculitis Sistémica (ANCA +/-)  Sd Hemolítico-Urémico Atípico
  • 10.
    TRATAMIENTO PACIENTE  TratamientoINMUNOSUPRESOR: ◦ 6 bolos de 1 gramo de metilprednisolona  17-22/02/2014 ◦ 3 bolos de CFM 750 mg  21/02 + 08/03 + 27/03/2014 ◦ 7 sesiones dobles de plasmaféresis c/48 h  26/02-08/03/2014
  • 11.
    TRATAMIENTO PACIENTE  TratamientoINFECCIONES: ◦ 16/02/2014: meropenem empírico (10 días) ◦ 17/02/2014 : FBC Ochobactrum anthropi  ciprofloxacino (9 días) ◦ 26/02/2014: TMP-SMX empírico (se mantiene todo el ingreso) ◦ 26/02/2014: aciclovir 800 mg/día ev (2 días) ◦ 25/02/2012 + 27/03/2014: BAS-BAL y aspirado traqueal ABRIM colistina inhalada y endovenosa (23 días) ◦ 07/03/2014: Urocultivo: Candida Parapsilosis  fluconazol 400 mg ev (10 días) ◦ 13/03/2014: Traqueobronquitis por Serratia Marcescens  cefepime (8 días) ◦ 02/04/2014: Bacteriemia por E. coli sin foco  piperacilina- tazobactam + amikacina (14 días) ◦ 24/04/2014: Urocultivo + secreciones respiratorias Pseudomona Aeruginosa  meropenem + amikacina
  • 12.
    DIAGNÓSTICO DIFERENCIAL Algoritmos enNefrología. Valoración de las Nefropatías (primarias y secundarias) en la urgencia. Dr. Francisco Rivera. SEN 2012
  • 13.
    DIAGNÓSTICO DIFERENCIAL Algoritmos enNefrología. Valoración de las Nefropatías (primarias y secundarias) en la urgencia. Dr. Francisco Rivera. SEN 2012 PGranulomato sa PG Eosinofílica
  • 14.
    POLIANGEITIS MICROSCÓPICA  Epidemiología: ◦Sexo: 1’8 ♂: 1♀ ◦ Edad: 40-59 años  Formas de presentación: ◦ Aguda  Sd riñón-pulmón ◦ Crónica  síntomas inespecíficos Kelley. Tratado de Reumatología. 7ª
  • 15.
    CLÍNICA Algoritmos en Nefrología.Valoración de las Nefropatías (primarias y secundarias) en la urgencia. Dr. Francisco Rivera. SEN 2012 SD RIÑÓN-PULMÓN Afectación RENAL Afectación PULMONAR Descartar: Infecciones Fallo Multiorgánico
  • 16.
    CLÍNICA PAM  AfectaciónRENAL: ◦ Fracaso Renal Agudo Grave ◦ Sd Nefrítico ◦ Glomerulonefritis con proliferación extracapilar ◦ Diálisis 25-45% Kelley. Tratado de Reumatología. 7ª
  • 17.
     Afectación PULMONAR: ◦Hemorragia Alveolar Difusa: Capilaritis alveolar  Vasculitis Sistémicas Daño en la microcirculación alveolar Inflamación y necrosis de los vasos sanguíneos pulmonares (arteriolas, capilares y vénulas) Disrupción membrana alveolo-capilar Extravasación de glóbulos rojos al espacio alveolar pulmonar  Triada:  Hemoptisis  Infiltrados alveolares difusos  Descenso HTO  Insuficiencia respiratoria aguda
  • 18.
  • 19.
     OTRAS manifestaciones: ◦Síntomas constitucionales ◦ Artralgias ◦ Mialgias ◦ Fiebre ◦ Púrpura palpable ◦ Neuropatía periférica Kelley. Tratado de Reumatología. 7ª
  • 20.
    EVOLUCIÓN CLÍNICA PACIENTE Evolución RENAL: ◦ Oligoanuria + Anasarca ◦ Diálisis casi continua ◦ Biopsia renal poco concluyente ◦ Causas:  Inmunocomplejos  Vasculitis ANCA positiva  Vómitos previos  HTA 6 bolos de CC Plasmaféresis1ºboloCFM 2ºboloCFM 3ºboloCFM
  • 21.
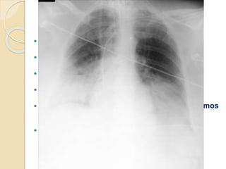
    EVOLUCIÓN CLÍNICA PACIENTE Evolución PULMONAR: ◦ VMNI ◦ IOT (17/02/2014) ◦ Traqueostomía (19/03/2014) ◦ FBC  confirma hemorragia alveolar 16/02/201425/02/2014 tras CC01/03/2014 1º bolo CFM10/03/2014 tras plasmaféresis 19/03/2014 tras 2º bolo CFM 06/04/2014 tras 3º bolo CFM
  • 22.
    EVOLUCIÓN CLÍNICA PACIENTE Evolución ANEMIA: ◦ Poli -transfusiones 6 bolos de CC Plasmaféresis 1ºboloCFM 2ºboloCFM 3ºboloCFM
  • 23.
     OTRAS manifestaciones: ◦Neoplasia mama derecha:  Prótesis de mama  jugo algún papel??  TC  descarta origen neoplásico ◦ HTA de difícil control ◦ Hipotiroidismo difícil control EVOLUCIÓN CLÍNICA PACIENTE
  • 24.
     OTRAS manifestaciones: ◦Infecciones:  Picos febriles  17/02/2014: BAS + BAL de FBC:  Ochobactrum anthropi  25/02/2012 + 27/03/2014: BAS + BAL de FBC y aspirado traqueal:  Acinetobacter Baumannii Multirresistente  04/03/2014: Urocultivo:  Candida Parapsilosis  13/03/2014 : Aspirado traqueal:  Serratia Marcescens  02/04/2014: Hemocultivo:  Escherichia Coli  TC sin foco  24/04/2014: Urocultivo y aspirado traqueal:  Pseudomona Aeruginosa Multirresistente EVOLUCIÓN CLÍNICA PACIENTE 6 bolos de CC Plasmaféresis 1ºboloCFM 2ºboloCFM 3ºboloCFM
  • 26.
    DIAGNÓSTICO PAM  Clínica Laboratorio: ◦ Hemograma y Coagulación ◦ Bioquímica ◦ RFA ◦ Sedimento orina ◦ Autoanticuerpos Kelley. Tratado de Reumatología. 7ª  Imagen  FBC  PFR  Biopsia
  • 27.
    TRATAMIENTO Algoritmos en Nefrología.Valoración de las Nefropatías (primarias y secundarias) en la urgencia. Dr. Francisco Rivera. SEN 2012 SÍNDROME RÍÑÓN-PULMÓN INMUNOSUPRESOR PLASMAFÉRESIS TRATAMIENTO DE SOPORTE
  • 29.
    OTROS INMUNOSUPRESORES  Metrotexato Azatioprina  Rituximab  Anti-TNF: ◦ Infliximab ◦ Etanercept Reumatol Clin 2011; 7 (S3): S41- S46
  • 30.
    PRONÓSTICO  Muy grave Mal pronóstico: ◦ Tratamiento precoz para evitar complicaciones  Mortalidad: ◦ 10-50% Algoritmos en Nefrología. Valoración de las Nefropatías (primarias y secundarias) en la urgencia. Dr. Francisco Rivera. SEN 2012
  • 31.
    EVOLUCIÓN PACIENTE  Evolucióntórpida = 70 días ingreso en UMI  Imposibilidad de destete respiratorio  Necesidad de diálisis casi diaria  Politransfusiones  Múltiples infecciones por microorganismos resistentes  EXITUS 26/04/2014: ◦ Shock séptico ◦ Fallo multiorgánico
  • 32.
    CONCLUSIÓN  El SíndromeRiñón-Pulmón tiene una morbimortalidad elevada, por lo que es importante iniciar el tratamiento precozmente  El diagnóstico se basa en la clínica, pruebas de laboratorio (estudio autoinmune) y de imagen  El tratamiento de inducción para conseguir una remisión de la enfermedad es agresivo y se basa en la inmunosupresión  Es fundamental descartar y tratar las posibles infecciones que pueden estar presentes cuando inmunosuprimimos al paciente
  • 33.
    BIBLIOGRAFÍA  Kelley. Tratadode Reumatología. 7ª Edición  Algoritmos en Nefrología. Valoración de las Nefropatías (primarias y secundarias) en la urgencia. Dr. Francisco Rivera. SEN 2012  Hemorragia alveolar difusa: causas y desenlaces en un instituto de tercer nivel. Reumatol Clin. 2010; 6 (4): 195-198  Tratamiento de las vasculitis sistémicas asociadas a ANCA. Reumatol Clin. 2010; 6 (3): 161-172  Rituximab en el tratamiento de las vasculitis asociadas a ANCA: ¿el futuro hoy? Reumatol Clin. 2011; 7 (S3): S41-S46  Diffuse Alveolar Haemorrhage in ANCA-associated Vasculitis  Diffuse Alveolar Hemorrhage. Tuberc Respir Dis 2013; 74:151-162  Afectación pulmonary de las vasculitis. Arch Bronconeumol. 2012; 48 (11): 410-418
  • 34.

Notas del editor

  • #15 Crónica: durante años de evolución con síntomas constitucionales intermitetnes, púrpura, afectación renal leve e incluso episodios periódicos de hemoptisis
  • #20 Son similares a las de las formas principales de vasculitis de vasos pequeños asociadas con ANCA, así como a la PAN clásica
  • #22 PONER RADIOGRAFIAS QUE COINCIDAN CON LOS BOLOS DE CFM