TRASTORNOSTRASTORNOS
METABÓLICOSMETABÓLICOS
TRASTORNOS DEL
METABOLISMO DE LOS
CARBOHIDRATOS
DIABETESDIABETES
MELLITUSMELLITUS
 Grupo de trastornos en los que hay un defectoGrupo de trastornos en los que hay un defecto
en la respuesta secretora de insulina,en la respuesta secretora de insulina,
infrautilización de glucosa y desarrollo deinfrautilización de glucosa y desarrollo de
hiperglucemia.hiperglucemia.
Alteración crónica del
metabolismo de:
- Hidratos de carbono
- Grasas y
- Proteínas
COMPLICACIONE
S
• Vasos sanguíneos
• Riñones
• Ojos
• Nervios
Diabetes PrimariaDiabetes Primaria
 DM tipo IDM tipo I (insulinodependendiente) 20% de casos.(insulinodependendiente) 20% de casos.
 DM tipo IIDM tipo II (no insulinodependiente) es casi la(no insulinodependiente) es casi la
totalidad de los casos.totalidad de los casos.
 Formas autosómicas dominantes causadas porFormas autosómicas dominantes causadas por
defectos genéticos.defectos genéticos.
Diabetes SecundariaDiabetes Secundaria
 Se asocia a causas de destrucción de los Islotes de Langer-Se asocia a causas de destrucción de los Islotes de Langer-
hans o función de la insulina alterada.hans o función de la insulina alterada.
 Enfermedades del páncreas exocrino: pancreatitis, pancreatec-Enfermedades del páncreas exocrino: pancreatitis, pancreatec-
tomía, Ca pancreático, fibrosis quística.tomía, Ca pancreático, fibrosis quística.
 Trastornos endocrinos con resistencia a la insulina: acromega-Trastornos endocrinos con resistencia a la insulina: acromega-
lia, Sd. Cushing, tumores, hipertiroidismo.lia, Sd. Cushing, tumores, hipertiroidismo.
 T. inducidos por fármacos: glucocorticoides, hormona tiroidea.T. inducidos por fármacos: glucocorticoides, hormona tiroidea.
 Infecciones que destruyen célulasInfecciones que destruyen células ββ: rubéola congénita, CMV.: rubéola congénita, CMV.
 DM gestacionalDM gestacional
 Trastornos genéticos asociados: Sd. Down.Trastornos genéticos asociados: Sd. Down.
PatogeniaPatogenia
 Fisiopatología de la insulinaFisiopatología de la insulina
normalnormal
1.1. Producción de glucosa en el hígadoProducción de glucosa en el hígado
2.2. Captación y utilización de glucosa porCaptación y utilización de glucosa por
los tejidos periféricos.los tejidos periféricos.
3.3. Secreción de insulina por las célulasSecreción de insulina por las células ββ
en los islotes de Langerhans delen los islotes de Langerhans del
páncreaspáncreas
Regulan la
homeostasis
de la
glucosa
Diabetes tipo IDiabetes tipo I
La falta absoluta de insulina se debe a una reducción deLa falta absoluta de insulina se debe a una reducción de
la masa de célulasla masa de células ββ del páncreas.del páncreas.
 SUSCEPTIBILIDAD GENÉTICA a una regulación
inmunitaria alterada: 10 regiones de susceptibilidad
cromosómica identificadas, la más importante es la
herencia del HLA de clase II.
 AUTOINMUNIDAD frente a células β de los islotes,
con inflamación linfocitaria (insulinitis) 70% de casos
 AGRESIÓN AMBIENTAL que provoca una
respuesta de autoinmunidad, se observan tendencias
Escenario propuestoEscenario propuesto
Infección
viral
Infección ambiental
de las células β
Reacción autoimnuni-
taria frente a estas
células alteradas
Afecta a
personas
con
susceptibili-
dad ligada a
HLA
POSIBLES MECANISMOS
• Reacción cruzada entre proteínas virales y del huésped, la
que se llama simulación molecular.
• Exposición de antígenos que se mantenían secuestrados
cuando las células β se alteran.
Las toxinas químicas (aloxano, pentamidina) pueden actuar
directamente sobre las células de los islotes o pueden causar
autoinmunidad.
Diabetes Mellitus tipo IIDiabetes Mellitus tipo II
Es el tipo más frecuente, se da a consecuencia deEs el tipo más frecuente, se da a consecuencia de
múltiples defectos genéticos, que a su vez estaríanmúltiples defectos genéticos, que a su vez estarían
modificados por los factores ambientales.modificados por los factores ambientales.
 Pérdida de secreción de insulina por las células β: al inicio
se pierde el patrón normal de la secreción de insulina, desa-
pareciendo la respuesta de ésta a la glucosa.
 Resistencia a la insulina: disminución de la respuesta de
los tejidos periféricos a las acciones de la hormona.
 Obesidad: aumenta la resistencia a la hormona. Aproxima-
damente 80% de diabéticos tipo II son obesos.
Varias deficiencias genéticas autosómicas dominantes de las funciones de
las células β producen una importante alteración de la regulación de insulina.
Patogenia de lasPatogenia de las
complicaciones de la DMcomplicaciones de la DM
 COMPLICACIONES METABÓLICASCOMPLICACIONES METABÓLICAS
Afecta el metabolismo de la glucosa, lípidos y proteínas. LasAfecta el metabolismo de la glucosa, lípidos y proteínas. Las
hormonas que la contrarregulan (adrenalina) se secretan nor-hormonas que la contrarregulan (adrenalina) se secretan nor-
malmente, los tejidos no pueden acumular glucosa. El excesomalmente, los tejidos no pueden acumular glucosa. El exceso
de glucosuria induce una diuresis osmótica:de glucosuria induce una diuresis osmótica: PPoliuria. Apareceoliuria. Aparece
sed intensa:sed intensa: PPolidipsia y aumento del apetito:olidipsia y aumento del apetito: PPolifagia.olifagia.
-- Cetoacidosis diabéticaCetoacidosis diabética : sólo en DM tipo I, déficit grave de: sólo en DM tipo I, déficit grave de
insulina y aumento absoluto de glucagon. Generación deinsulina y aumento absoluto de glucagon. Generación de
cuerpos cetónicos.cuerpos cetónicos.
-- Coma hiperosmolar no cetósico : puede darse en: puede darse en
diabéticos tipo II en deshidratación grave e imposibilidad dediabéticos tipo II en deshidratación grave e imposibilidad de
beber aguabeber agua..
 COMPLICACIONES A LARGO PLAZO
- Microangiopatía- Microangiopatía - Retinopatía- Retinopatía
- Nefropatía- Nefropatía - Neuropatía- Neuropatía
Son las más importantes de morbilidad y mortalidad.Son las más importantes de morbilidad y mortalidad.
• Hiperglicemia intracelular con alteraciones de las vías de
los polioles: algunos tejidos (nervios, cristalino, riñón) que
no necesitan insulina acumulan glucosa intracelular, la q
metabolizan a sorbitol y finalmente a fructosa.
Morfología de la DM y susMorfología de la DM y sus
complicaciones tardíascomplicaciones tardías
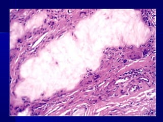
 PÁNCREAS:PÁNCREAS: reducción de su tamaño y del númerodreducción de su tamaño y del númerod
e islotes. También sustitución de los islotes pore islotes. También sustitución de los islotes por
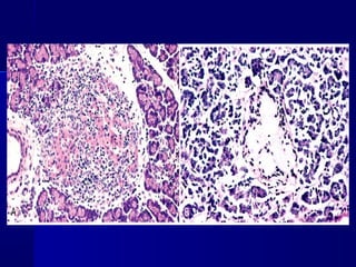
amiloide e infiltarciones leucocitarias (insulitis) en DMamiloide e infiltarciones leucocitarias (insulitis) en DM
tipo I que empiezan a presentar síntomas.tipo I que empiezan a presentar síntomas.
 SISTEMA VASCULARSISTEMA VASCULAR : aterosclerosis acelerada de: aterosclerosis acelerada de
la aorta y de arterias de gran calibre aumenta el riesgola aorta y de arterias de gran calibre aumenta el riesgo
de infarto, ACV, aneurismas aóricos y gangrana ende infarto, ACV, aneurismas aóricos y gangrana en
extremidades inferiores. Arteriolosclerosis hialinaextremidades inferiores. Arteriolosclerosis hialina
(lesión vascular asociada a HT) es frecuente y grave.(lesión vascular asociada a HT) es frecuente y grave.
 Factores que influyen en el desarrollo de lesionesFactores que influyen en el desarrollo de lesiones
vasculares:vasculares:
-- Hiperlipidemia con reducción de los niveles deHiperlipidemia con reducción de los niveles de
HDL en diabéticos tipo II.HDL en diabéticos tipo II.
-- Glucosilación no enzimática de LDLGlucosilación no enzimática de LDL
-- Aumento de la adhesividad de las plaquetasAumento de la adhesividad de las plaquetas
-- La obesidadLa obesidad
-- La hipertensiónLa hipertensión
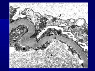
 MICORANGIOPATÍA DIABÉTICAMICORANGIOPATÍA DIABÉTICA : engrosamiento: engrosamiento
difuso de las membranas basales de las arterias peque-difuso de las membranas basales de las arterias peque-
ñas y de los capilares (evidente en piel, retina, músculoñas y de los capilares (evidente en piel, retina, músculo
esquelético). También afecta a túbulos renales, cápsulaesquelético). También afecta a túbulos renales, cápsula
de Bowman, nervios periféricos.de Bowman, nervios periféricos.
 NEFROPATÍA DIABÉTICA:NEFROPATÍA DIABÉTICA:
- Afectación glomerular da lugar a proteinuria progresi-- Afectación glomerular da lugar a proteinuria progresi-
va con IRC. Glomerolosclerosis nodular (lesiones deva con IRC. Glomerolosclerosis nodular (lesiones de
Kimmelstiel-Wilson)Kimmelstiel-Wilson)
- Vascular: arteriosclerosis- Vascular: arteriosclerosis
- Infección: ITU, con pielonefritis.- Infección: ITU, con pielonefritis.
 COMPLICACIONES OCULARES:COMPLICACIONES OCULARES: se debe ase debe a
retinopa-tía diabétia, cataratas o a glaucoma.retinopa-tía diabétia, cataratas o a glaucoma.
- Retinopatía- Retinopatía no proliferativano proliferativa: hemorragias intra y: hemorragias intra y
prerretinianas, edema, microaneurismas.prerretinianas, edema, microaneurismas.
- Retinopatía- Retinopatía proliferativaproliferativa: neovascularización y: neovascularización y
fibrosis de la retina (llega a ceguera).fibrosis de la retina (llega a ceguera).
 NEUROPATÍA DIABÉTICANEUROPATÍA DIABÉTICA :: simétricasimétrica afecta aafecta a
nervios motores y sensitivos de extremidades inferioresnervios motores y sensitivos de extremidades inferiores
yy autónomaautónoma puede causar impotencia sexual ypuede causar impotencia sexual y
alteración funcional de intestino y vejiga.alteración funcional de intestino y vejiga.
Manifestaciones ClínicasManifestaciones Clínicas
 DM tipo I:DM tipo I:
- Signos de aceleración metabólica (polidpsia, poliuria- Signos de aceleración metabólica (polidpsia, poliuria
y polifagia)y polifagia)
- Índices químicos: cetoacidosis, insulina plasmática- Índices químicos: cetoacidosis, insulina plasmática
baja o nula y elevación de glucosa sérica.baja o nula y elevación de glucosa sérica.
Proporcionales al estrés fisiológico.Proporcionales al estrés fisiológico.
 DM tipo II:DM tipo II:
- Pacientes con más de 40 años, desarrollan- Pacientes con más de 40 años, desarrollan
polidipsia y poliuria, a menudo obesidad. Alteracionespolidipsia y poliuria, a menudo obesidad. Alteraciones
metabólicas leves y controlables.metabólicas leves y controlables.
 COMPLICACIONES DE AMBOS
TIPOS
- Episodios debidos a aterosclerosis: infartos, ACV,- Episodios debidos a aterosclerosis: infartos, ACV,
gangrena de extremidades inferiores, insuficienciagangrena de extremidades inferiores, insuficiencia
renal.renal.
- Microangiopatía diabética: ceguera, neuropatía- Microangiopatía diabética: ceguera, neuropatía
periféricaperiférica
- Aumento de la propensión a las infecciones- Aumento de la propensión a las infecciones
Tejido adiposo
Captación de glucosa
Lipogénesis
Lipólisis
Insulina
Músculo estriado Hígado
Captación de glucosa
Síntesis de glucógeno
Síntesis de proteínas
Neoglucogénesis
Síntesis de glucógeno
Lipogénesis
Predisposición genética
Obesidad
Factores relacionados
con el estilo de vida
Fallo primario
de las céulas β (raro)
Resistencia
a la insulina
Normoglucemia
Alteración de la
tolerancia la glucosa
Diabetes
Hiperplasia compensadora
de células β
Fallo de células β
(precoz)
Fallo de las células β
(tardía)
Aparición de diabetes en relación con el peso corporal de los
adultos jóvenes y mayores
Diabéticos
por centenar
de habitantes
Edad de 50
Edad de 25
Patogénesis de la diabetes mellitus tipo 2 relacionada con la
Masa visceral
expandida
Movilización de ácidos grasos libres
adiponectina
citocinas/ otras proteínas
Hígado Músculo
esquelético
Aumento de la
producción
de glucosa
Utilización
insuficiente de
la glucosa
Alteración de la secreción
De insulina
RESISTENCIA A LA INSULINA
defectos del receptor y posreceptor
HIPERGLUCEMIA
Adipocitos
Núcleo del
adipocito
Leptina
Sensibilización
a la insulina
AGL
Resistina
(resistencia a la insulina)
Adiponectina
(sensibilización a la insulina)
Músculo esquelético
Signos y síntomas de la hiperglicemia no controlada en diabetes
Hambre
Polifagia
Pérdida
de peso
Movilización de
grasa y proteínas
Glucosuria
Pérdida de calorías
Balance
nitrogenado
negativo
Hiperpnea
Polidipsia
Pérdida de
electrolitos
Poliuria
Deshidratación
Coma
y
muerte
Hiperglucemia
Microangiopatía
Infartos vasculares cerebrales
Hemorragia
Retinopatía
Cataratas
Glaucoma
Hipertensión
Aterosclerosis
Infarto de miocardio
Nefroeslcerosis
Glomerulosclerosis
Arteriosclerosis
Pielonefritis
Neuropatía periférica
Neuropatía periférica
Pérdida de islotes celulares
Insulinitis (tipo 1)
Amiloide (tipo 2)
Aterosclerosis vascular
periférica
Gangrena
Infecciones
Complicaciones
secundarias de
la diabetes
Desmielinización focal
Disfunción vegetativa
(diarrea)
Ateroesclerosis coronaria
Cataratas
Microaneurismas
Microaneurismas
y hemorragia
Microneurismas,
hemorragia y
exudados
Retinopatía diabética
proliferativa
Glomeruloesclerosis
Papilitis necrosante
Ateroesclerosis obstructiva
Úlceras crónicas Gangrena seca Calcio Ateroma
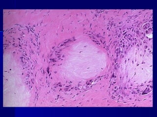
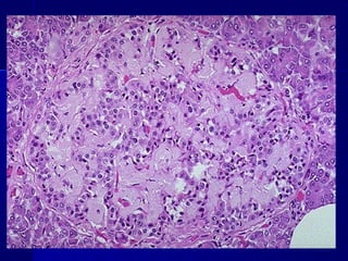
Amiloidosis (hialinización) de un islote del páncreas de un paciente
con diabetes mellitus de tipo 2
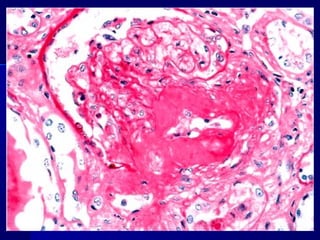
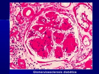
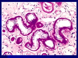
Glomeruloesclerosis diabética
Islotes de Langerhans
Destrucción de células β
Tejido adiposo
Músculo
Hígado
Riñón
Cetonuria
Glucosuria
Lipólisis incrementada
(ácidos grasos libres)
Catabolismo de
proteínas aumentado
(aminoácidos)
DEFICIENCIA DE INSULINA
EXCESO DE
GLUCAGON
CETOACIDOSIS HIPERGLICEMIA
DEPELECION DE VOLUMEN
POLIFAGIA
POLIURIA
POLIDIPSIA
COMA DIABETICO
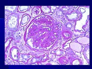
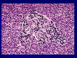
Insulitis en Diabetes Mellitus tipo 1
Enfermedades porEnfermedades por
almacenamiento de glucógenoalmacenamiento de glucógeno
 Acumulación excesiva de glucógeno de estructuraAcumulación excesiva de glucógeno de estructura
normal o anormal en tejidos como hígado, corazón,normal o anormal en tejidos como hígado, corazón,
músculo esquelético, riñones, eritrocitos ymúsculo esquelético, riñones, eritrocitos y
leucocitos.leucocitos.
 Se presenta en la infancia, manifestacionesSe presenta en la infancia, manifestaciones
variables.variables.
 Cursa con hepatomegalia y algunas vecesCursa con hepatomegalia y algunas veces
insuficiencia hepática.insuficiencia hepática.
 El corazón puede aumentar de tamaño y el niñoEl corazón puede aumentar de tamaño y el niño
morir por insuficiencia cardiaca.morir por insuficiencia cardiaca.
 La leucopenia causa infecciones recurrentes.La leucopenia causa infecciones recurrentes.
 EAG tipo IA (enfermedad de von Gierke) deficiencia de glucosa 6-EAG tipo IA (enfermedad de von Gierke) deficiencia de glucosa 6-
fosfatasa. En la infancia con hepatomegalia masiva. Hipoglicemia,fosfatasa. En la infancia con hepatomegalia masiva. Hipoglicemia,
hipertrigliceridemia y hiperuricemia.hipertrigliceridemia y hiperuricemia.
 EAG tipo IB e IC: glucosa 6-fosfatasa normal, pero hay defecto enEAG tipo IB e IC: glucosa 6-fosfatasa normal, pero hay defecto en
el transporte.el transporte.
 EAG tipo II (enfermedad de Pompe) deficiencia de la enzimaEAG tipo II (enfermedad de Pompe) deficiencia de la enzima
lisosomallisosomal αα-glucosa-1,4-glucosidasa (maltasa ácida)-glucosa-1,4-glucosidasa (maltasa ácida)
 EAG tipo III: deficiencia de enzima “desramificante” amilo1,6-EAG tipo III: deficiencia de enzima “desramificante” amilo1,6-
glucosidasaglucosidasa
 EAG tipo IV: deficiencia de enzima “desramificante” alfa-1,4-EAG tipo IV: deficiencia de enzima “desramificante” alfa-1,4-
glucano-6-glucosiltransferasa.glucano-6-glucosiltransferasa.
 EAG tipo V: deficiencia de fosforilasa muscular.EAG tipo V: deficiencia de fosforilasa muscular.
 EAG tipo VI: el músculo esquelético no puede metabolizar glucosaEAG tipo VI: el músculo esquelético no puede metabolizar glucosa
Otras anormalidades delOtras anormalidades del
metabolismo de carbohidratosmetabolismo de carbohidratos
 GALACTOSAGALACTOSA
La galactosemia (alteración cromosómica recesiva), esLa galactosemia (alteración cromosómica recesiva), es
resultado de deficiencia de las enzimas de su metabolismo,resultado de deficiencia de las enzimas de su metabolismo,
especialmente de galactosa-1-fosfato uridiltransferasa. Seespecialmente de galactosa-1-fosfato uridiltransferasa. Se
presenta vómitos, diarrea graves. Afección hepática conpresenta vómitos, diarrea graves. Afección hepática con
ictericia que puede llegar a cirrosisictericia que puede llegar a cirrosis..
 FRUCTOSAFRUCTOSA
Intolerancia hereditaria a la fructosaIntolerancia hereditaria a la fructosa
Deficiencia de fructosa-1,6-difosfatasaDeficiencia de fructosa-1,6-difosfatasa
Fructosuria esencialFructosuria esencial
Trastornos porTrastornos por
almacenamiento lisosomalalmacenamiento lisosomal
 Acumulación anormal de sustratos enzimáticosAcumulación anormal de sustratos enzimáticos
dentro de los lisosomas.dentro de los lisosomas.
 Se clasifican de acuerdo con el tipo de sustanciaSe clasifican de acuerdo con el tipo de sustancia
que se acumula en las células afectadasque se acumula en las células afectadas
EsfingolipidosisEsfingolipidosis
 Enfermedad de GaucherEnfermedad de Gaucher :: se da en forma aguda,se da en forma aguda,
subaguda y crónica (más común).subaguda y crónica (más común).
- La enzima glucocerebrósido-- La enzima glucocerebrósido-ββ-glucosidasa es-glucosidasa es
deficiente y los glococerebrósidos se acumulan.deficiente y los glococerebrósidos se acumulan.
- Los pacientes tienen la enfermedad en la infancia. -- Los pacientes tienen la enfermedad en la infancia. -
Hay hepatoesplenomegalia y anemia por afecciónHay hepatoesplenomegalia y anemia por afección
de médula ósea. Deformación de huesos largos.de médula ósea. Deformación de huesos largos.
- La mayor parte de los órganos contienen numerosas- La mayor parte de los órganos contienen numerosas
células de Gaucher.células de Gaucher.
- Puede haber grados variables de fibrosis.- Puede haber grados variables de fibrosis.
 Enfermedad de Niemann-PickEnfermedad de Niemann-Pick
- Tipo A: 70% de los casos. Los niños en las primeras- Tipo A: 70% de los casos. Los niños en las primeras
semanas tienen hepatosplenomegalia, linfadenopatíasemanas tienen hepatosplenomegalia, linfadenopatía
y deterioro de la función cerebral.y deterioro de la función cerebral.
- Tipo B: más adelante en la infancia, infiltración- Tipo B: más adelante en la infancia, infiltración
pulmonar y el SNC no se afecta.pulmonar y el SNC no se afecta.
- En ambos tipos hay acumulación de esfingomielina- En ambos tipos hay acumulación de esfingomielina
por deficiencia de su enzima.por deficiencia de su enzima.
- Por lo general la muerte ocurre en los dos primeros- Por lo general la muerte ocurre en los dos primeros
años de vida.años de vida.
 Gangliosidosis GGangliosidosis GM1M1 :: deficiencia dedeficiencia de ββ--galactosidasa.galactosidasa.
- La forma infantil (tipo I) afectación de encéfalo y- La forma infantil (tipo I) afectación de encéfalo y
vísceras, con retraso mental y ceguera.vísceras, con retraso mental y ceguera.
- La forma juvenil (tipo II) no se afectan vísceras ni hay- La forma juvenil (tipo II) no se afectan vísceras ni hay
deterioro neurológico progresivo, la muerte se da endeterioro neurológico progresivo, la muerte se da en
infancia tardía.infancia tardía.
 Gangliosidosis GGangliosidosis GM2M2 :: deficiencia de hexosaminidasadeficiencia de hexosaminidasa
A.A.
- La forma infantil de la enf. de Tay-Sachs es la más- La forma infantil de la enf. de Tay-Sachs es la más
grave. Llega a demencia en el primer año de vida ygrave. Llega a demencia en el primer año de vida y
muerte a los dos o tres años.muerte a los dos o tres años.
 Enfermedad de Fabri:Enfermedad de Fabri: ligada al crosoma X.ligada al crosoma X.
- Los glucosfingolípidos se depositan en el- Los glucosfingolípidos se depositan en el
endotelio y en el músculo liso de los vasosendotelio y en el músculo liso de los vasos
sanguíneos.sanguíneos.
- La muerte se produce a los 35 y 40 años por- La muerte se produce a los 35 y 40 años por
insuficiencia cardiaca o renal o por EVC.insuficiencia cardiaca o renal o por EVC.
MucopolisacaridosisMucopolisacaridosis
(MPS)(MPS)
 Depósito intracelular y aumento de mucopoliscáridos.Depósito intracelular y aumento de mucopoliscáridos.
(glucosaminoglucanos).(glucosaminoglucanos).
 Se depositan en los macrófagos, endotelio vascular, célulasSe depositan en los macrófagos, endotelio vascular, células
musculares lisas, células parenquimatosas y neuronas.musculares lisas, células parenquimatosas y neuronas.
 MPS tipo I (Sd. de Harler): los niños son de talla corta, la córneaMPS tipo I (Sd. de Harler): los niños son de talla corta, la córnea
opaca. Hepatosplenomegalia.opaca. Hepatosplenomegalia.
 MPS tipo II (Sd. de Hunter): trastorno recesivo ligado aMPS tipo II (Sd. de Hunter): trastorno recesivo ligado a
cromosoma X. Puede haber sordera.cromosoma X. Puede haber sordera.
 MPS tipo III (Sd. de Sanfilippo): acumulación de sulfatoheparán,MPS tipo III (Sd. de Sanfilippo): acumulación de sulfatoheparán,
se afecta el SNC, deficiencia mental.se afecta el SNC, deficiencia mental.
 MPS tipo IV (Sd. de Morquio): talla corta, deformidad y fusióndeMPS tipo IV (Sd. de Morquio): talla corta, deformidad y fusiónde
las vértebras.las vértebras.
Trastorno delTrastorno del
metabolismo de losmetabolismo de los
lípidos y proteínaslípidos y proteínas
Anormalidades de lasAnormalidades de las
apoproteínasapoproteínas
 APOPROTEÍNA B
- Existe a- Existe aββlipoproteinemia E con mal absorción,lipoproteinemia E con mal absorción,
deterioro visual, anemia hemolítica y ataxiadeterioro visual, anemia hemolítica y ataxia
espinocerebelar.espinocerebelar.
 ABETALIPOPROTEINEMIA
- Ausencia de quilomicrones VLDL y LDL del plasma.- Ausencia de quilomicrones VLDL y LDL del plasma.
Mal absorción de lípidos y vitaminas liposolubles.Mal absorción de lípidos y vitaminas liposolubles.
Acantocitosis.Acantocitosis.
 APOPROTEÍNA E
- EL colesterol y los TG están aumentados. Pacientes- EL colesterol y los TG están aumentados. Pacientes
obesos que presentan ateromas prematuros conobesos que presentan ateromas prematuros con
xantomas en las palmas y tendones.xantomas en las palmas y tendones.
Trastorno del metabolismoTrastorno del metabolismo
de aminoácidosde aminoácidos
 Son trasmitidas genéticamente, son heredado comoSon trasmitidas genéticamente, son heredado como
rasgos autosómicos recesivos.rasgos autosómicos recesivos.
 Fenilcetonuria: deficiencia de fenilalanina hidroxilasaFenilcetonuria: deficiencia de fenilalanina hidroxilasa
 Alcaptonuria (ocronosis): deficiencia de la oxidasa delAlcaptonuria (ocronosis): deficiencia de la oxidasa del
ácido homogentísico, que se acumula y excreta en laácido homogentísico, que se acumula y excreta en la
orina, que se oscurece.orina, que se oscurece.
 Albinismo: defecto de la tirosinasa.Albinismo: defecto de la tirosinasa.
Trastorno del sistema deTrastorno del sistema de
transporte de la membranatransporte de la membrana
 Son el resultado de defectos en las membranas de las
organelas o de la misma membrana celular.
 Puede afectarse el transporte de glucosa y otros
azúcares, lo que origina glucosuria renal y mala
absorción de glucosa y galactosa, de aminoácidos, lo
que provoca aminoaciduria, o en la cistinosis,
acumulación lisosomal de cistina y de fosfatos, lo que
ocasiona raquitismo hipofosfatémico; de electrolitos
como el cloro en la fibrosis quística y de varios
péptidos y proteínas de bajo peso molecular en el Sd.
de Fanconi (aminoaciduria generalizada, glucosuria
renal, hiperfosfaturia, raquitismo u osteomalasia,
hipofosfatemia y acidosis tubular renal).
GOTAGOTA
 Presenta las siguientes manifestaciones:Presenta las siguientes manifestaciones:
1.1. HiperuricemiaHiperuricemia
2.2. Crisis de artritis aguda por depósito deCrisis de artritis aguda por depósito de
cristales de urato.cristales de urato.
3.3. Eventual desarrollo de artritis y gota tofáceaEventual desarrollo de artritis y gota tofácea
crónicacrónica
4.4. Intervalos asintomáticos entre las crisisIntervalos asintomáticos entre las crisis
PATOGENIAPATOGENIA
1. Forma primaria (90% de los casos) idiopáticos,
herencia multifactorial.
- Se asocia a sobreproducción con excreción normal
o elevada de ácido úrico. Hay un pequeño
porcentaje que se asocia a defectos enzimáticos
específicos.
2. Forma secundaria (10% de los casos) se asocia
a elevado recambio de ácidos nucleicos, como
ocurre en la hemólisis crónica, policitemia,
leucemias y linfomas. Con menor frecuencia los
fármacos (diuréticos, aspirina) o IRC.
MORFOLOGÍAMORFOLOGÍA
 La artritis aguda corresponde a una sinovitis inflamatoriaLa artritis aguda corresponde a una sinovitis inflamatoria
aguda debido a los cristales de uratos en las articulaciones.aguda debido a los cristales de uratos en las articulaciones.
 Los cristales activan al factor de Hageman y se forman C3aLos cristales activan al factor de Hageman y se forman C3a
y C5a, los neutrófilos y macrófagos fagocitan los cristales,y C5a, los neutrófilos y macrófagos fagocitan los cristales,
liberan enzimas lisosómicas, radicales libres de oxigeno,liberan enzimas lisosómicas, radicales libres de oxigeno,
IL1,IL6,Il8, TNF alfa, prostaglandinas y leucotrienos queIL1,IL6,Il8, TNF alfa, prostaglandinas y leucotrienos que
producen la sinovitis aguda. Luego se produce una artritisproducen la sinovitis aguda. Luego se produce una artritis
crónica.crónica.
 El tofo es la lesión patognomónica de la gota que se alojaEl tofo es la lesión patognomónica de la gota que se aloja
en las orejas, bolsa del olécranon y la rodilla.en las orejas, bolsa del olécranon y la rodilla.
 Se producen nefropatía aguda, nefrolitiasis y nefropatíaSe producen nefropatía aguda, nefrolitiasis y nefropatía
crónica.crónica.
Correlación clínicaCorrelación clínica
 En el 50 % de los primeros ataques de artritis seEn el 50 % de los primeros ataques de artritis se
afecta el I dedo del pie, que se produce después deafecta el I dedo del pie, que se produce después de
una ingesta excesiva de comida o exceso de alcohol.una ingesta excesiva de comida o exceso de alcohol.
 El primer ataque remite espontáneamente, luego seEl primer ataque remite espontáneamente, luego se
afectan otras articulaciones y aparece la artritisafectan otras articulaciones y aparece la artritis
gotosa crónica, que presentan cierto deterioro de lagotosa crónica, que presentan cierto deterioro de la
función renal.función renal.
 Los fármacos úricosuricos son eficaces para controlarLos fármacos úricosuricos son eficaces para controlar
la gotala gota
Clase #19   trastornos metabólicos
Clase #19   trastornos metabólicos
Clase #19   trastornos metabólicos
Clase #19   trastornos metabólicos
Clase #19   trastornos metabólicos
Clase #19   trastornos metabólicos

Clase #19 trastornos metabólicos

  • 1.
  • 2.
  • 3.
  • 4.
     Grupo detrastornos en los que hay un defectoGrupo de trastornos en los que hay un defecto en la respuesta secretora de insulina,en la respuesta secretora de insulina, infrautilización de glucosa y desarrollo deinfrautilización de glucosa y desarrollo de hiperglucemia.hiperglucemia. Alteración crónica del metabolismo de: - Hidratos de carbono - Grasas y - Proteínas COMPLICACIONE S • Vasos sanguíneos • Riñones • Ojos • Nervios
  • 5.
    Diabetes PrimariaDiabetes Primaria DM tipo IDM tipo I (insulinodependendiente) 20% de casos.(insulinodependendiente) 20% de casos.  DM tipo IIDM tipo II (no insulinodependiente) es casi la(no insulinodependiente) es casi la totalidad de los casos.totalidad de los casos.  Formas autosómicas dominantes causadas porFormas autosómicas dominantes causadas por defectos genéticos.defectos genéticos.
  • 6.
    Diabetes SecundariaDiabetes Secundaria Se asocia a causas de destrucción de los Islotes de Langer-Se asocia a causas de destrucción de los Islotes de Langer- hans o función de la insulina alterada.hans o función de la insulina alterada.  Enfermedades del páncreas exocrino: pancreatitis, pancreatec-Enfermedades del páncreas exocrino: pancreatitis, pancreatec- tomía, Ca pancreático, fibrosis quística.tomía, Ca pancreático, fibrosis quística.  Trastornos endocrinos con resistencia a la insulina: acromega-Trastornos endocrinos con resistencia a la insulina: acromega- lia, Sd. Cushing, tumores, hipertiroidismo.lia, Sd. Cushing, tumores, hipertiroidismo.  T. inducidos por fármacos: glucocorticoides, hormona tiroidea.T. inducidos por fármacos: glucocorticoides, hormona tiroidea.  Infecciones que destruyen célulasInfecciones que destruyen células ββ: rubéola congénita, CMV.: rubéola congénita, CMV.  DM gestacionalDM gestacional  Trastornos genéticos asociados: Sd. Down.Trastornos genéticos asociados: Sd. Down.
  • 7.
    PatogeniaPatogenia  Fisiopatología dela insulinaFisiopatología de la insulina normalnormal 1.1. Producción de glucosa en el hígadoProducción de glucosa en el hígado 2.2. Captación y utilización de glucosa porCaptación y utilización de glucosa por los tejidos periféricos.los tejidos periféricos. 3.3. Secreción de insulina por las célulasSecreción de insulina por las células ββ en los islotes de Langerhans delen los islotes de Langerhans del páncreaspáncreas Regulan la homeostasis de la glucosa
  • 8.
    Diabetes tipo IDiabetestipo I La falta absoluta de insulina se debe a una reducción deLa falta absoluta de insulina se debe a una reducción de la masa de célulasla masa de células ββ del páncreas.del páncreas.  SUSCEPTIBILIDAD GENÉTICA a una regulación inmunitaria alterada: 10 regiones de susceptibilidad cromosómica identificadas, la más importante es la herencia del HLA de clase II.  AUTOINMUNIDAD frente a células β de los islotes, con inflamación linfocitaria (insulinitis) 70% de casos  AGRESIÓN AMBIENTAL que provoca una respuesta de autoinmunidad, se observan tendencias
  • 9.
    Escenario propuestoEscenario propuesto Infección viral Infecciónambiental de las células β Reacción autoimnuni- taria frente a estas células alteradas Afecta a personas con susceptibili- dad ligada a HLA POSIBLES MECANISMOS • Reacción cruzada entre proteínas virales y del huésped, la que se llama simulación molecular. • Exposición de antígenos que se mantenían secuestrados cuando las células β se alteran. Las toxinas químicas (aloxano, pentamidina) pueden actuar directamente sobre las células de los islotes o pueden causar autoinmunidad.
  • 10.
    Diabetes Mellitus tipoIIDiabetes Mellitus tipo II Es el tipo más frecuente, se da a consecuencia deEs el tipo más frecuente, se da a consecuencia de múltiples defectos genéticos, que a su vez estaríanmúltiples defectos genéticos, que a su vez estarían modificados por los factores ambientales.modificados por los factores ambientales.  Pérdida de secreción de insulina por las células β: al inicio se pierde el patrón normal de la secreción de insulina, desa- pareciendo la respuesta de ésta a la glucosa.  Resistencia a la insulina: disminución de la respuesta de los tejidos periféricos a las acciones de la hormona.  Obesidad: aumenta la resistencia a la hormona. Aproxima- damente 80% de diabéticos tipo II son obesos. Varias deficiencias genéticas autosómicas dominantes de las funciones de las células β producen una importante alteración de la regulación de insulina.
  • 11.
    Patogenia de lasPatogeniade las complicaciones de la DMcomplicaciones de la DM  COMPLICACIONES METABÓLICASCOMPLICACIONES METABÓLICAS Afecta el metabolismo de la glucosa, lípidos y proteínas. LasAfecta el metabolismo de la glucosa, lípidos y proteínas. Las hormonas que la contrarregulan (adrenalina) se secretan nor-hormonas que la contrarregulan (adrenalina) se secretan nor- malmente, los tejidos no pueden acumular glucosa. El excesomalmente, los tejidos no pueden acumular glucosa. El exceso de glucosuria induce una diuresis osmótica:de glucosuria induce una diuresis osmótica: PPoliuria. Apareceoliuria. Aparece sed intensa:sed intensa: PPolidipsia y aumento del apetito:olidipsia y aumento del apetito: PPolifagia.olifagia. -- Cetoacidosis diabéticaCetoacidosis diabética : sólo en DM tipo I, déficit grave de: sólo en DM tipo I, déficit grave de insulina y aumento absoluto de glucagon. Generación deinsulina y aumento absoluto de glucagon. Generación de cuerpos cetónicos.cuerpos cetónicos. -- Coma hiperosmolar no cetósico : puede darse en: puede darse en diabéticos tipo II en deshidratación grave e imposibilidad dediabéticos tipo II en deshidratación grave e imposibilidad de beber aguabeber agua..
  • 12.
     COMPLICACIONES ALARGO PLAZO - Microangiopatía- Microangiopatía - Retinopatía- Retinopatía - Nefropatía- Nefropatía - Neuropatía- Neuropatía Son las más importantes de morbilidad y mortalidad.Son las más importantes de morbilidad y mortalidad. • Hiperglicemia intracelular con alteraciones de las vías de los polioles: algunos tejidos (nervios, cristalino, riñón) que no necesitan insulina acumulan glucosa intracelular, la q metabolizan a sorbitol y finalmente a fructosa.
  • 13.
    Morfología de laDM y susMorfología de la DM y sus complicaciones tardíascomplicaciones tardías  PÁNCREAS:PÁNCREAS: reducción de su tamaño y del númerodreducción de su tamaño y del númerod e islotes. También sustitución de los islotes pore islotes. También sustitución de los islotes por amiloide e infiltarciones leucocitarias (insulitis) en DMamiloide e infiltarciones leucocitarias (insulitis) en DM tipo I que empiezan a presentar síntomas.tipo I que empiezan a presentar síntomas.  SISTEMA VASCULARSISTEMA VASCULAR : aterosclerosis acelerada de: aterosclerosis acelerada de la aorta y de arterias de gran calibre aumenta el riesgola aorta y de arterias de gran calibre aumenta el riesgo de infarto, ACV, aneurismas aóricos y gangrana ende infarto, ACV, aneurismas aóricos y gangrana en extremidades inferiores. Arteriolosclerosis hialinaextremidades inferiores. Arteriolosclerosis hialina (lesión vascular asociada a HT) es frecuente y grave.(lesión vascular asociada a HT) es frecuente y grave.
  • 14.
     Factores queinfluyen en el desarrollo de lesionesFactores que influyen en el desarrollo de lesiones vasculares:vasculares: -- Hiperlipidemia con reducción de los niveles deHiperlipidemia con reducción de los niveles de HDL en diabéticos tipo II.HDL en diabéticos tipo II. -- Glucosilación no enzimática de LDLGlucosilación no enzimática de LDL -- Aumento de la adhesividad de las plaquetasAumento de la adhesividad de las plaquetas -- La obesidadLa obesidad -- La hipertensiónLa hipertensión
  • 15.
     MICORANGIOPATÍA DIABÉTICAMICORANGIOPATÍADIABÉTICA : engrosamiento: engrosamiento difuso de las membranas basales de las arterias peque-difuso de las membranas basales de las arterias peque- ñas y de los capilares (evidente en piel, retina, músculoñas y de los capilares (evidente en piel, retina, músculo esquelético). También afecta a túbulos renales, cápsulaesquelético). También afecta a túbulos renales, cápsula de Bowman, nervios periféricos.de Bowman, nervios periféricos.  NEFROPATÍA DIABÉTICA:NEFROPATÍA DIABÉTICA: - Afectación glomerular da lugar a proteinuria progresi-- Afectación glomerular da lugar a proteinuria progresi- va con IRC. Glomerolosclerosis nodular (lesiones deva con IRC. Glomerolosclerosis nodular (lesiones de Kimmelstiel-Wilson)Kimmelstiel-Wilson) - Vascular: arteriosclerosis- Vascular: arteriosclerosis - Infección: ITU, con pielonefritis.- Infección: ITU, con pielonefritis.
  • 16.
     COMPLICACIONES OCULARES:COMPLICACIONESOCULARES: se debe ase debe a retinopa-tía diabétia, cataratas o a glaucoma.retinopa-tía diabétia, cataratas o a glaucoma. - Retinopatía- Retinopatía no proliferativano proliferativa: hemorragias intra y: hemorragias intra y prerretinianas, edema, microaneurismas.prerretinianas, edema, microaneurismas. - Retinopatía- Retinopatía proliferativaproliferativa: neovascularización y: neovascularización y fibrosis de la retina (llega a ceguera).fibrosis de la retina (llega a ceguera).  NEUROPATÍA DIABÉTICANEUROPATÍA DIABÉTICA :: simétricasimétrica afecta aafecta a nervios motores y sensitivos de extremidades inferioresnervios motores y sensitivos de extremidades inferiores yy autónomaautónoma puede causar impotencia sexual ypuede causar impotencia sexual y alteración funcional de intestino y vejiga.alteración funcional de intestino y vejiga.
  • 17.
    Manifestaciones ClínicasManifestaciones Clínicas DM tipo I:DM tipo I: - Signos de aceleración metabólica (polidpsia, poliuria- Signos de aceleración metabólica (polidpsia, poliuria y polifagia)y polifagia) - Índices químicos: cetoacidosis, insulina plasmática- Índices químicos: cetoacidosis, insulina plasmática baja o nula y elevación de glucosa sérica.baja o nula y elevación de glucosa sérica. Proporcionales al estrés fisiológico.Proporcionales al estrés fisiológico.  DM tipo II:DM tipo II: - Pacientes con más de 40 años, desarrollan- Pacientes con más de 40 años, desarrollan polidipsia y poliuria, a menudo obesidad. Alteracionespolidipsia y poliuria, a menudo obesidad. Alteraciones metabólicas leves y controlables.metabólicas leves y controlables.
  • 18.
     COMPLICACIONES DEAMBOS TIPOS - Episodios debidos a aterosclerosis: infartos, ACV,- Episodios debidos a aterosclerosis: infartos, ACV, gangrena de extremidades inferiores, insuficienciagangrena de extremidades inferiores, insuficiencia renal.renal. - Microangiopatía diabética: ceguera, neuropatía- Microangiopatía diabética: ceguera, neuropatía periféricaperiférica - Aumento de la propensión a las infecciones- Aumento de la propensión a las infecciones
  • 19.
    Tejido adiposo Captación deglucosa Lipogénesis Lipólisis Insulina Músculo estriado Hígado Captación de glucosa Síntesis de glucógeno Síntesis de proteínas Neoglucogénesis Síntesis de glucógeno Lipogénesis
  • 20.
    Predisposición genética Obesidad Factores relacionados conel estilo de vida Fallo primario de las céulas β (raro) Resistencia a la insulina Normoglucemia Alteración de la tolerancia la glucosa Diabetes Hiperplasia compensadora de células β Fallo de células β (precoz) Fallo de las células β (tardía)
  • 21.
    Aparición de diabetesen relación con el peso corporal de los adultos jóvenes y mayores Diabéticos por centenar de habitantes Edad de 50 Edad de 25
  • 22.
    Patogénesis de ladiabetes mellitus tipo 2 relacionada con la Masa visceral expandida Movilización de ácidos grasos libres adiponectina citocinas/ otras proteínas Hígado Músculo esquelético Aumento de la producción de glucosa Utilización insuficiente de la glucosa Alteración de la secreción De insulina RESISTENCIA A LA INSULINA defectos del receptor y posreceptor HIPERGLUCEMIA
  • 23.
    Adipocitos Núcleo del adipocito Leptina Sensibilización a lainsulina AGL Resistina (resistencia a la insulina) Adiponectina (sensibilización a la insulina) Músculo esquelético
  • 24.
    Signos y síntomasde la hiperglicemia no controlada en diabetes Hambre Polifagia Pérdida de peso Movilización de grasa y proteínas Glucosuria Pérdida de calorías Balance nitrogenado negativo Hiperpnea Polidipsia Pérdida de electrolitos Poliuria Deshidratación Coma y muerte Hiperglucemia
  • 25.
    Microangiopatía Infartos vasculares cerebrales Hemorragia Retinopatía Cataratas Glaucoma Hipertensión Aterosclerosis Infartode miocardio Nefroeslcerosis Glomerulosclerosis Arteriosclerosis Pielonefritis Neuropatía periférica Neuropatía periférica Pérdida de islotes celulares Insulinitis (tipo 1) Amiloide (tipo 2) Aterosclerosis vascular periférica Gangrena Infecciones
  • 26.
    Complicaciones secundarias de la diabetes Desmielinizaciónfocal Disfunción vegetativa (diarrea) Ateroesclerosis coronaria Cataratas Microaneurismas Microaneurismas y hemorragia Microneurismas, hemorragia y exudados Retinopatía diabética proliferativa Glomeruloesclerosis Papilitis necrosante Ateroesclerosis obstructiva Úlceras crónicas Gangrena seca Calcio Ateroma
  • 27.
    Amiloidosis (hialinización) deun islote del páncreas de un paciente con diabetes mellitus de tipo 2
  • 29.
  • 36.
    Islotes de Langerhans Destrucciónde células β Tejido adiposo Músculo Hígado Riñón Cetonuria Glucosuria Lipólisis incrementada (ácidos grasos libres) Catabolismo de proteínas aumentado (aminoácidos) DEFICIENCIA DE INSULINA EXCESO DE GLUCAGON CETOACIDOSIS HIPERGLICEMIA DEPELECION DE VOLUMEN POLIFAGIA POLIURIA POLIDIPSIA COMA DIABETICO
  • 37.
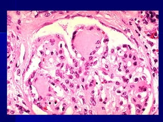
    Insulitis en DiabetesMellitus tipo 1
  • 57.
    Enfermedades porEnfermedades por almacenamientode glucógenoalmacenamiento de glucógeno  Acumulación excesiva de glucógeno de estructuraAcumulación excesiva de glucógeno de estructura normal o anormal en tejidos como hígado, corazón,normal o anormal en tejidos como hígado, corazón, músculo esquelético, riñones, eritrocitos ymúsculo esquelético, riñones, eritrocitos y leucocitos.leucocitos.  Se presenta en la infancia, manifestacionesSe presenta en la infancia, manifestaciones variables.variables.  Cursa con hepatomegalia y algunas vecesCursa con hepatomegalia y algunas veces insuficiencia hepática.insuficiencia hepática.  El corazón puede aumentar de tamaño y el niñoEl corazón puede aumentar de tamaño y el niño morir por insuficiencia cardiaca.morir por insuficiencia cardiaca.  La leucopenia causa infecciones recurrentes.La leucopenia causa infecciones recurrentes.
  • 58.
     EAG tipoIA (enfermedad de von Gierke) deficiencia de glucosa 6-EAG tipo IA (enfermedad de von Gierke) deficiencia de glucosa 6- fosfatasa. En la infancia con hepatomegalia masiva. Hipoglicemia,fosfatasa. En la infancia con hepatomegalia masiva. Hipoglicemia, hipertrigliceridemia y hiperuricemia.hipertrigliceridemia y hiperuricemia.  EAG tipo IB e IC: glucosa 6-fosfatasa normal, pero hay defecto enEAG tipo IB e IC: glucosa 6-fosfatasa normal, pero hay defecto en el transporte.el transporte.  EAG tipo II (enfermedad de Pompe) deficiencia de la enzimaEAG tipo II (enfermedad de Pompe) deficiencia de la enzima lisosomallisosomal αα-glucosa-1,4-glucosidasa (maltasa ácida)-glucosa-1,4-glucosidasa (maltasa ácida)  EAG tipo III: deficiencia de enzima “desramificante” amilo1,6-EAG tipo III: deficiencia de enzima “desramificante” amilo1,6- glucosidasaglucosidasa  EAG tipo IV: deficiencia de enzima “desramificante” alfa-1,4-EAG tipo IV: deficiencia de enzima “desramificante” alfa-1,4- glucano-6-glucosiltransferasa.glucano-6-glucosiltransferasa.  EAG tipo V: deficiencia de fosforilasa muscular.EAG tipo V: deficiencia de fosforilasa muscular.  EAG tipo VI: el músculo esquelético no puede metabolizar glucosaEAG tipo VI: el músculo esquelético no puede metabolizar glucosa
  • 59.
    Otras anormalidades delOtrasanormalidades del metabolismo de carbohidratosmetabolismo de carbohidratos  GALACTOSAGALACTOSA La galactosemia (alteración cromosómica recesiva), esLa galactosemia (alteración cromosómica recesiva), es resultado de deficiencia de las enzimas de su metabolismo,resultado de deficiencia de las enzimas de su metabolismo, especialmente de galactosa-1-fosfato uridiltransferasa. Seespecialmente de galactosa-1-fosfato uridiltransferasa. Se presenta vómitos, diarrea graves. Afección hepática conpresenta vómitos, diarrea graves. Afección hepática con ictericia que puede llegar a cirrosisictericia que puede llegar a cirrosis..  FRUCTOSAFRUCTOSA Intolerancia hereditaria a la fructosaIntolerancia hereditaria a la fructosa Deficiencia de fructosa-1,6-difosfatasaDeficiencia de fructosa-1,6-difosfatasa Fructosuria esencialFructosuria esencial
  • 60.
    Trastornos porTrastornos por almacenamientolisosomalalmacenamiento lisosomal  Acumulación anormal de sustratos enzimáticosAcumulación anormal de sustratos enzimáticos dentro de los lisosomas.dentro de los lisosomas.  Se clasifican de acuerdo con el tipo de sustanciaSe clasifican de acuerdo con el tipo de sustancia que se acumula en las células afectadasque se acumula en las células afectadas
  • 61.
    EsfingolipidosisEsfingolipidosis  Enfermedad deGaucherEnfermedad de Gaucher :: se da en forma aguda,se da en forma aguda, subaguda y crónica (más común).subaguda y crónica (más común). - La enzima glucocerebrósido-- La enzima glucocerebrósido-ββ-glucosidasa es-glucosidasa es deficiente y los glococerebrósidos se acumulan.deficiente y los glococerebrósidos se acumulan. - Los pacientes tienen la enfermedad en la infancia. -- Los pacientes tienen la enfermedad en la infancia. - Hay hepatoesplenomegalia y anemia por afecciónHay hepatoesplenomegalia y anemia por afección de médula ósea. Deformación de huesos largos.de médula ósea. Deformación de huesos largos. - La mayor parte de los órganos contienen numerosas- La mayor parte de los órganos contienen numerosas células de Gaucher.células de Gaucher. - Puede haber grados variables de fibrosis.- Puede haber grados variables de fibrosis.
  • 62.
     Enfermedad deNiemann-PickEnfermedad de Niemann-Pick - Tipo A: 70% de los casos. Los niños en las primeras- Tipo A: 70% de los casos. Los niños en las primeras semanas tienen hepatosplenomegalia, linfadenopatíasemanas tienen hepatosplenomegalia, linfadenopatía y deterioro de la función cerebral.y deterioro de la función cerebral. - Tipo B: más adelante en la infancia, infiltración- Tipo B: más adelante en la infancia, infiltración pulmonar y el SNC no se afecta.pulmonar y el SNC no se afecta. - En ambos tipos hay acumulación de esfingomielina- En ambos tipos hay acumulación de esfingomielina por deficiencia de su enzima.por deficiencia de su enzima. - Por lo general la muerte ocurre en los dos primeros- Por lo general la muerte ocurre en los dos primeros años de vida.años de vida.
  • 63.
     Gangliosidosis GGangliosidosisGM1M1 :: deficiencia dedeficiencia de ββ--galactosidasa.galactosidasa. - La forma infantil (tipo I) afectación de encéfalo y- La forma infantil (tipo I) afectación de encéfalo y vísceras, con retraso mental y ceguera.vísceras, con retraso mental y ceguera. - La forma juvenil (tipo II) no se afectan vísceras ni hay- La forma juvenil (tipo II) no se afectan vísceras ni hay deterioro neurológico progresivo, la muerte se da endeterioro neurológico progresivo, la muerte se da en infancia tardía.infancia tardía.  Gangliosidosis GGangliosidosis GM2M2 :: deficiencia de hexosaminidasadeficiencia de hexosaminidasa A.A. - La forma infantil de la enf. de Tay-Sachs es la más- La forma infantil de la enf. de Tay-Sachs es la más grave. Llega a demencia en el primer año de vida ygrave. Llega a demencia en el primer año de vida y muerte a los dos o tres años.muerte a los dos o tres años.
  • 64.
     Enfermedad deFabri:Enfermedad de Fabri: ligada al crosoma X.ligada al crosoma X. - Los glucosfingolípidos se depositan en el- Los glucosfingolípidos se depositan en el endotelio y en el músculo liso de los vasosendotelio y en el músculo liso de los vasos sanguíneos.sanguíneos. - La muerte se produce a los 35 y 40 años por- La muerte se produce a los 35 y 40 años por insuficiencia cardiaca o renal o por EVC.insuficiencia cardiaca o renal o por EVC.
  • 65.
    MucopolisacaridosisMucopolisacaridosis (MPS)(MPS)  Depósito intracelulary aumento de mucopoliscáridos.Depósito intracelular y aumento de mucopoliscáridos. (glucosaminoglucanos).(glucosaminoglucanos).  Se depositan en los macrófagos, endotelio vascular, célulasSe depositan en los macrófagos, endotelio vascular, células musculares lisas, células parenquimatosas y neuronas.musculares lisas, células parenquimatosas y neuronas.  MPS tipo I (Sd. de Harler): los niños son de talla corta, la córneaMPS tipo I (Sd. de Harler): los niños son de talla corta, la córnea opaca. Hepatosplenomegalia.opaca. Hepatosplenomegalia.  MPS tipo II (Sd. de Hunter): trastorno recesivo ligado aMPS tipo II (Sd. de Hunter): trastorno recesivo ligado a cromosoma X. Puede haber sordera.cromosoma X. Puede haber sordera.  MPS tipo III (Sd. de Sanfilippo): acumulación de sulfatoheparán,MPS tipo III (Sd. de Sanfilippo): acumulación de sulfatoheparán, se afecta el SNC, deficiencia mental.se afecta el SNC, deficiencia mental.  MPS tipo IV (Sd. de Morquio): talla corta, deformidad y fusióndeMPS tipo IV (Sd. de Morquio): talla corta, deformidad y fusiónde las vértebras.las vértebras.
  • 66.
    Trastorno delTrastorno del metabolismode losmetabolismo de los lípidos y proteínaslípidos y proteínas
  • 67.
    Anormalidades de lasAnormalidadesde las apoproteínasapoproteínas  APOPROTEÍNA B - Existe a- Existe aββlipoproteinemia E con mal absorción,lipoproteinemia E con mal absorción, deterioro visual, anemia hemolítica y ataxiadeterioro visual, anemia hemolítica y ataxia espinocerebelar.espinocerebelar.  ABETALIPOPROTEINEMIA - Ausencia de quilomicrones VLDL y LDL del plasma.- Ausencia de quilomicrones VLDL y LDL del plasma. Mal absorción de lípidos y vitaminas liposolubles.Mal absorción de lípidos y vitaminas liposolubles. Acantocitosis.Acantocitosis.  APOPROTEÍNA E - EL colesterol y los TG están aumentados. Pacientes- EL colesterol y los TG están aumentados. Pacientes obesos que presentan ateromas prematuros conobesos que presentan ateromas prematuros con xantomas en las palmas y tendones.xantomas en las palmas y tendones.
  • 68.
    Trastorno del metabolismoTrastornodel metabolismo de aminoácidosde aminoácidos  Son trasmitidas genéticamente, son heredado comoSon trasmitidas genéticamente, son heredado como rasgos autosómicos recesivos.rasgos autosómicos recesivos.  Fenilcetonuria: deficiencia de fenilalanina hidroxilasaFenilcetonuria: deficiencia de fenilalanina hidroxilasa  Alcaptonuria (ocronosis): deficiencia de la oxidasa delAlcaptonuria (ocronosis): deficiencia de la oxidasa del ácido homogentísico, que se acumula y excreta en laácido homogentísico, que se acumula y excreta en la orina, que se oscurece.orina, que se oscurece.  Albinismo: defecto de la tirosinasa.Albinismo: defecto de la tirosinasa.
  • 69.
    Trastorno del sistemadeTrastorno del sistema de transporte de la membranatransporte de la membrana  Son el resultado de defectos en las membranas de las organelas o de la misma membrana celular.  Puede afectarse el transporte de glucosa y otros azúcares, lo que origina glucosuria renal y mala absorción de glucosa y galactosa, de aminoácidos, lo que provoca aminoaciduria, o en la cistinosis, acumulación lisosomal de cistina y de fosfatos, lo que ocasiona raquitismo hipofosfatémico; de electrolitos como el cloro en la fibrosis quística y de varios péptidos y proteínas de bajo peso molecular en el Sd. de Fanconi (aminoaciduria generalizada, glucosuria renal, hiperfosfaturia, raquitismo u osteomalasia, hipofosfatemia y acidosis tubular renal).
  • 70.
  • 71.
     Presenta lassiguientes manifestaciones:Presenta las siguientes manifestaciones: 1.1. HiperuricemiaHiperuricemia 2.2. Crisis de artritis aguda por depósito deCrisis de artritis aguda por depósito de cristales de urato.cristales de urato. 3.3. Eventual desarrollo de artritis y gota tofáceaEventual desarrollo de artritis y gota tofácea crónicacrónica 4.4. Intervalos asintomáticos entre las crisisIntervalos asintomáticos entre las crisis
  • 72.
    PATOGENIAPATOGENIA 1. Forma primaria(90% de los casos) idiopáticos, herencia multifactorial. - Se asocia a sobreproducción con excreción normal o elevada de ácido úrico. Hay un pequeño porcentaje que se asocia a defectos enzimáticos específicos. 2. Forma secundaria (10% de los casos) se asocia a elevado recambio de ácidos nucleicos, como ocurre en la hemólisis crónica, policitemia, leucemias y linfomas. Con menor frecuencia los fármacos (diuréticos, aspirina) o IRC.
  • 73.
    MORFOLOGÍAMORFOLOGÍA  La artritisaguda corresponde a una sinovitis inflamatoriaLa artritis aguda corresponde a una sinovitis inflamatoria aguda debido a los cristales de uratos en las articulaciones.aguda debido a los cristales de uratos en las articulaciones.  Los cristales activan al factor de Hageman y se forman C3aLos cristales activan al factor de Hageman y se forman C3a y C5a, los neutrófilos y macrófagos fagocitan los cristales,y C5a, los neutrófilos y macrófagos fagocitan los cristales, liberan enzimas lisosómicas, radicales libres de oxigeno,liberan enzimas lisosómicas, radicales libres de oxigeno, IL1,IL6,Il8, TNF alfa, prostaglandinas y leucotrienos queIL1,IL6,Il8, TNF alfa, prostaglandinas y leucotrienos que producen la sinovitis aguda. Luego se produce una artritisproducen la sinovitis aguda. Luego se produce una artritis crónica.crónica.  El tofo es la lesión patognomónica de la gota que se alojaEl tofo es la lesión patognomónica de la gota que se aloja en las orejas, bolsa del olécranon y la rodilla.en las orejas, bolsa del olécranon y la rodilla.  Se producen nefropatía aguda, nefrolitiasis y nefropatíaSe producen nefropatía aguda, nefrolitiasis y nefropatía crónica.crónica.
  • 74.
    Correlación clínicaCorrelación clínica En el 50 % de los primeros ataques de artritis seEn el 50 % de los primeros ataques de artritis se afecta el I dedo del pie, que se produce después deafecta el I dedo del pie, que se produce después de una ingesta excesiva de comida o exceso de alcohol.una ingesta excesiva de comida o exceso de alcohol.  El primer ataque remite espontáneamente, luego seEl primer ataque remite espontáneamente, luego se afectan otras articulaciones y aparece la artritisafectan otras articulaciones y aparece la artritis gotosa crónica, que presentan cierto deterioro de lagotosa crónica, que presentan cierto deterioro de la función renal.función renal.  Los fármacos úricosuricos son eficaces para controlarLos fármacos úricosuricos son eficaces para controlar la gotala gota