SCA CON ELEVACIÓN ST
-Diagnóstico IAM
-Anatomía coronaria
-Arteria responsable
EPIDEMIOLOGÍA
 El IAM es una enfermedad de elevada incidencia y
mortalidad.
 En argentina el n° de infartos hospitalizados por
año hasta el 2005 es aproximadamente de 42000
 La mortalidad hospitalaria es de 9- 11%, aunque
debe estimarse un número similar en la etapa pre-
hospitalaria.
 Principales causas de muerte son la insuficiencia
cardíaca y arritmias.
ETIOLOGÍA
 Causa principal: (>90% de los casos)
Accidente agudo de placa:
 Rotura
 Erosión
 Hemorragia
 Ulceración
 Etiología no aterosclerótica:
Arteritis (sifilítica, granulomatosa, PAN, LES), Traumatismo (desgarro,
trombosis, Iatrogénico, Rxt), Engrosamiento mural (Hurler, Fabry,
homocisteinuria), Estrechamiento liminal (A. Prinzmetal, disección Ao)
Embolismo arteria coronaria (Endoc inf, prolapso mitral, trombo mural,
mixoma, embolo paradog), Anomalía congénitas (Nac anómalo de cor. izq
de art pulmonar, cor izq desde seno valva anterior, fistulas arteriovenosas),
Desequilibrio aporte-demanda (Estenosis aortica e insuf aortica,
Intoxicación CO, Tirotoxicosis), Causas hematológicas (Policitemia vera,
trombocitosis, CID, PTT) Otros (Abuso de cocaína, contusión miocárdica,
complicación de cateterismo)
FISIOPATOGENIA
 En la evolución natural de las placas ateroescleróticas se puede
producir una brusca y catastrófica transición caracterizada por la
rotura de la placa que expone sustancias que originan la
activación y agregación plaquetaria, generación de trombina y
finalmente formación del trombo.
 Este trombo interrumpe el flujo sanguíneo y provoca alteración
entre demanda y oferta de oxígeno. Si el desequilibrio es grave
y persiste progresa hacia la necrosis miocárdica.
SCA CON ELEVACIÓN DEL ST
DEFINICIÓN:
 Síndrome clínico definido por síntomas característicos de
isquemia miocárdica en asociación con elevación
persistente del segmento ST y posterior liberación de
marcadores enzimáticos.
FORMAS DE PRESENTACIÓN
Dolor Precordial:
1. Característico.
2. Atípico.
3. Síntomas neurovegetativos : sudoración nauseas,
vómitos, ansiedad.
Equivalentes anginosos:
Disnea (En pacientes con enfermedad coronaria
extensa y disfunción ventricular).
Muerte súbita
PRESENTACIÓN ATÍPICA
 Bloqueo de rama izquierda.
 Ritmo iridioventricular.
 Paciente sin elevación del ST pero con persistencia
de signos de isquemia miocárdica.
 Infarto miocárdico posterior aislado.
 Elevación del ST en aVR.
 Universal (2012)
Aumento y/o disminución de los valores de los
biomarcadores cardíacos (preferiblemente troponina)
con al menos un valor por encima del percentilo 99 y
con al menos una de las siguientes:
 Síntomas de isquemia.
 Elevación segmento ST-T o nuevo bloqueo de rama
izquierda.
 Desarrollo de ondas Q.
 Evidencia por imágenes de nueva pérdida de miocardio
viable o alteración segmentaria.
 Identificación de un trombo intracoronario por
angiografía o autopsia.
TIPOS DE IAM (2012)
TIPO 1 Evento coronario:
Ruptura de la placa, ulceración, fisura o erosión o disección con el resultado de
trombo intraluminal en 1 o + coronarias
TIPO 2 Infarto secundario:
Isquemia por aumento de demanda (espasmo, embolia coronaria, anemia,
hipertensión o hipotensión).
TIPO 3 Muerte súbita:
Frecuentemente con síntomas sugestivos de isquemia acompañados por una
nueva elevación del segmento ST o nuevo BCRI sin enzimas.
TIPO 4 a) Asociado ATC:
peri-procedimiento trop x 5 o trop > 20% del basal. + síntomas sugestivos de isquemia
miocárdica, cambios isquémicos del ECG, hallazgos angiográficos consistentes con una complicación del
procedimiento, evidencia de imágenes de nueva pérdida de miocardio viable o nuevo movimiento anormal de la
pared.
a) Trombosis intrastent:
constatada por CCG o autopsia: Aguda (<24hs), subaguda (24hs a 1 mes),
tardía (1 mes a un año), muy tardía (después de 1 año)
TIPO 5 Post CRM:
Elevación de trop x 10 y nuevas ondas Q o nuevo BRI, nueva oclusión
coronaria o de un injerto o imagen con nueva pérdida de miocardio viable.
ECG
Nueva elevación del punto J en por lo menos 2
derivaciones contiguas de 2 mm en hombres o 1.5mm en
mujeres en V2 o V3 y/o 1mm en otras derivaciones. (en
ausencia de BRI)
 Los cambios agudos o evolutivos en la onda ST-T y la
presencia de ondas Q podrían permitir:
1. Determinar el tiempo de evolución.
2. Identificar la arteria relacionada con el infarto.
3. Para estimar la cantidad de miocardio en riesgo.
4. Así como el pronóstico y determinar estrategia
terapéutica.
ECG
Fase hiperaguda (4 a 6 horas): Elevación del segmento ST con
ondas T positivas.
Fase aguda (6 horas a 2-3 semanas): Desarrollo de ondas Q.
Supradesnivel del segmento ST y negativización gradual de
ondas T.
Fase subaguda (3er semana en adelante): El ST retorna a su
nivel basal con ondas T negativas . La onda Q puede
disminuir en amplitud.
Fase crónica (después de 2-3 meses): La onda Q patológica
persistente. La onda T puede permanecer negativa,
isoeléctrica o recuperar su positividad.
ECG: DIAGNÓSTICOS DIFERENCIALES.
1- HVI
2- BRI
3- Pericarditis
4- Hiperkalemia.
5- IAM anteroseptal
6- BRD
7- Brugada.
CRITERIOS DE SGARBOSSA
• SST mayor o igual a
1mm concordante con
el QRS (5ptos)
• IST mayor o igual a
1mm concordante con
QRS V1 a V3 (3pts)
• SST mayor o igual a 5
mm discordante al
QRS (2pts)
Puntuación > o = a 3 diagnóstico de infarto de
miocardio especificidad del 90%.
ENZIMAS
Inicio Pico Normalización
Mioglobina 1-4 hs 6-7 hs 24hs
CPK/CPK-MB 6-8 hs 24-36 hs 2-3 días
Troponina 8 hs 12-18 hs 7-14 días
SST
Oclusión
arterial
Territorio
amenazado
Onda Q Necrosis Territorio
infartado
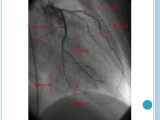
ANATOMÍA CORONARIA
ANATOMÍA CORONARIA
Arteria coronaria izquierda
 Nace a la altura del seno izquierdo de Valsalva.
 Se dirige a la depresión formada por la aorta y la
cara izquierda de la arteria pulmonar.
 Alcanza el surco interventricular anterior (hasta la
punta) la cual bordea para terminar en el surco
interventricular inferior con la coronaria derecha.
 Longitud entre 2 y 20mm
 Se divide en 2 ramas terminales: descendente
anterior y circunfleja.
DESCENDENTE ANTERIOR
 Viaja en dirección del ápex por el surco
interventricular anterior.
 Puede terminar en la punta, en el 60 % de los
casos contornea el ápex y asciende mas de 3 cm
por el surco interventricular posterior.
 Ramas:
1. Arteria del cono
2. Arterias diagonales
3. Arterias septales
ARTERIA CIRCUNFLEJA
 Se dirige a la izquierda y corre por el surco
auriculoventricular.
 Rebasa el margen obtuso, en el 90 % de los casos,
sin llegar a la cruz del corazón.
RAMAS:
1. A. del nodo sinusal 40%.
2. A. marginal izquierda.
3. A. auriculoventricular.
4. Descendente posterior 10-15%.
ARTERIA CORONARIA DERECHA
 Nace en el seno aórtico derecho transcurre entre la
orejuela derecha y el tronco pulmonar.
 Se introduce en el surco auriculoventricular.
 Luego hacia atrás al surco interventricular inferior,
donde toma el nombre de descendente posterior.
RAMAS:
Arteria del cono
Nodo SA: 60%
Rama marginal derecha
Rama del nodo AV: en la cara posterior sobre la
encrucijada.
Rama descendente posterior: 85% define dominancia.
DOMINANCIA DERECHA
Da origen a la descendente
posterior y al menos una
posteroventricular.
DOMINANCIA
IZQUIERDA
CX Da origen a la
descendente posterior
y a todas las
posteroventriculares.
DOMINANCIA
BALANCEADA
Arteria coronaria derecha
irriga el ventrículo derecho
y la porción posterior del
septum posterior mientras
la arteria coronaria
izquierda irriga el
ventrículo izquierdo
finalizando en la cruz
cardiaca o cuando ambas
dan origen a la
descendente posterior.
Art Cx
Porción AV
Art marginal
Tronco izq
1° septal
1° diagonal
Art DA
Art coronaria derecha
Art descendente post
Art margen agudo
Art del cono
Art del NSA
IRRIGACIÓN DEL SISTEMA DE CONDUCCIÓN
CD
50%
Cx 35%
Ambas
15%
CD 85%
CX 15%
DA-
CD
DA
DA
DP
ARTERIA RESPONSABLE DE INFARTO
Anteroseptal V1-V3
Anterior V1 a V4
Anterolateral V1 A V6,
Anterior
extenso
V1 a V6, DI a
aVL
IAM de VD V3R, V4R SST
en V1 con IST en
V2
Apical DII aVF DIII + V1 - V4
Inferior DII-DIII-AVF
Posterio
r
R/S mayor a 1 en V2.
Lateral bajo V5-V6
Lateral alto DI-aVl
Lateral V5-V6 D1 aVl
DESCENDENTE ANTERIOR
CORONARIA DERECHA
Elevación del segmento ST en V3R y
V4R. El SST > 1mm. 100% de
especificidad
SST o ST isonivelado en V1 asociado a
IST en V2.
SST descendente de V1 a V3.
CIRCUNFLEJA
TRONCO CORONARIA IZQUIERDA
BCRD + HBAI
SST aVR y V1
IST lateral e
inferior
Coronaria derecha
SST en DIII mayor a DII+IST en aVL y
DI
Índice de Kosuge:
IST V3/SST DIII
Menor a 0.5: CD prox.
0.5-1.2: 1/3 medio CD
Mayor 1.2: CX
Circunfleja
SST DII mayor que DIII
SST DI – aVL, V5 y V6
DA prox. 1 Septal:
SST V1 mayor a 2.5 mm o
BRD nuevo con Q
SST aVR y aVL
DA prox. 1 diagonal
SST antero-lateral
DA distal
SST cara anterior o apical
(compromiso apical)
RESUMIENDO…
DA posterior a
diagonal.
IAM: anterior
DA posterior a 1° septal.
IAM: anterolateral
CD proximal
KOSUGE 0,5
IAM inferoposterior
CX –SST DII > DIII
SST V5, V6.
IST V1- V2
IAM:
inferoposterolateral

Sindrome coronario agudo anatomia coronaria 2015

  • 1.
    SCA CON ELEVACIÓNST -Diagnóstico IAM -Anatomía coronaria -Arteria responsable
  • 3.
    EPIDEMIOLOGÍA  El IAMes una enfermedad de elevada incidencia y mortalidad.  En argentina el n° de infartos hospitalizados por año hasta el 2005 es aproximadamente de 42000  La mortalidad hospitalaria es de 9- 11%, aunque debe estimarse un número similar en la etapa pre- hospitalaria.  Principales causas de muerte son la insuficiencia cardíaca y arritmias.
  • 4.
    ETIOLOGÍA  Causa principal:(>90% de los casos) Accidente agudo de placa:  Rotura  Erosión  Hemorragia  Ulceración  Etiología no aterosclerótica: Arteritis (sifilítica, granulomatosa, PAN, LES), Traumatismo (desgarro, trombosis, Iatrogénico, Rxt), Engrosamiento mural (Hurler, Fabry, homocisteinuria), Estrechamiento liminal (A. Prinzmetal, disección Ao) Embolismo arteria coronaria (Endoc inf, prolapso mitral, trombo mural, mixoma, embolo paradog), Anomalía congénitas (Nac anómalo de cor. izq de art pulmonar, cor izq desde seno valva anterior, fistulas arteriovenosas), Desequilibrio aporte-demanda (Estenosis aortica e insuf aortica, Intoxicación CO, Tirotoxicosis), Causas hematológicas (Policitemia vera, trombocitosis, CID, PTT) Otros (Abuso de cocaína, contusión miocárdica, complicación de cateterismo)
  • 5.
    FISIOPATOGENIA  En laevolución natural de las placas ateroescleróticas se puede producir una brusca y catastrófica transición caracterizada por la rotura de la placa que expone sustancias que originan la activación y agregación plaquetaria, generación de trombina y finalmente formación del trombo.  Este trombo interrumpe el flujo sanguíneo y provoca alteración entre demanda y oferta de oxígeno. Si el desequilibrio es grave y persiste progresa hacia la necrosis miocárdica.
  • 6.
    SCA CON ELEVACIÓNDEL ST DEFINICIÓN:  Síndrome clínico definido por síntomas característicos de isquemia miocárdica en asociación con elevación persistente del segmento ST y posterior liberación de marcadores enzimáticos.
  • 7.
    FORMAS DE PRESENTACIÓN DolorPrecordial: 1. Característico. 2. Atípico. 3. Síntomas neurovegetativos : sudoración nauseas, vómitos, ansiedad. Equivalentes anginosos: Disnea (En pacientes con enfermedad coronaria extensa y disfunción ventricular). Muerte súbita
  • 9.
    PRESENTACIÓN ATÍPICA  Bloqueode rama izquierda.  Ritmo iridioventricular.  Paciente sin elevación del ST pero con persistencia de signos de isquemia miocárdica.  Infarto miocárdico posterior aislado.  Elevación del ST en aVR.
  • 10.
     Universal (2012) Aumentoy/o disminución de los valores de los biomarcadores cardíacos (preferiblemente troponina) con al menos un valor por encima del percentilo 99 y con al menos una de las siguientes:  Síntomas de isquemia.  Elevación segmento ST-T o nuevo bloqueo de rama izquierda.  Desarrollo de ondas Q.  Evidencia por imágenes de nueva pérdida de miocardio viable o alteración segmentaria.  Identificación de un trombo intracoronario por angiografía o autopsia.
  • 11.
    TIPOS DE IAM(2012) TIPO 1 Evento coronario: Ruptura de la placa, ulceración, fisura o erosión o disección con el resultado de trombo intraluminal en 1 o + coronarias TIPO 2 Infarto secundario: Isquemia por aumento de demanda (espasmo, embolia coronaria, anemia, hipertensión o hipotensión). TIPO 3 Muerte súbita: Frecuentemente con síntomas sugestivos de isquemia acompañados por una nueva elevación del segmento ST o nuevo BCRI sin enzimas. TIPO 4 a) Asociado ATC: peri-procedimiento trop x 5 o trop > 20% del basal. + síntomas sugestivos de isquemia miocárdica, cambios isquémicos del ECG, hallazgos angiográficos consistentes con una complicación del procedimiento, evidencia de imágenes de nueva pérdida de miocardio viable o nuevo movimiento anormal de la pared. a) Trombosis intrastent: constatada por CCG o autopsia: Aguda (<24hs), subaguda (24hs a 1 mes), tardía (1 mes a un año), muy tardía (después de 1 año) TIPO 5 Post CRM: Elevación de trop x 10 y nuevas ondas Q o nuevo BRI, nueva oclusión coronaria o de un injerto o imagen con nueva pérdida de miocardio viable.
  • 12.
    ECG Nueva elevación delpunto J en por lo menos 2 derivaciones contiguas de 2 mm en hombres o 1.5mm en mujeres en V2 o V3 y/o 1mm en otras derivaciones. (en ausencia de BRI)  Los cambios agudos o evolutivos en la onda ST-T y la presencia de ondas Q podrían permitir: 1. Determinar el tiempo de evolución. 2. Identificar la arteria relacionada con el infarto. 3. Para estimar la cantidad de miocardio en riesgo. 4. Así como el pronóstico y determinar estrategia terapéutica.
  • 13.
    ECG Fase hiperaguda (4a 6 horas): Elevación del segmento ST con ondas T positivas. Fase aguda (6 horas a 2-3 semanas): Desarrollo de ondas Q. Supradesnivel del segmento ST y negativización gradual de ondas T. Fase subaguda (3er semana en adelante): El ST retorna a su nivel basal con ondas T negativas . La onda Q puede disminuir en amplitud. Fase crónica (después de 2-3 meses): La onda Q patológica persistente. La onda T puede permanecer negativa, isoeléctrica o recuperar su positividad.
  • 14.
    ECG: DIAGNÓSTICOS DIFERENCIALES. 1-HVI 2- BRI 3- Pericarditis 4- Hiperkalemia. 5- IAM anteroseptal 6- BRD 7- Brugada.
  • 15.
    CRITERIOS DE SGARBOSSA •SST mayor o igual a 1mm concordante con el QRS (5ptos) • IST mayor o igual a 1mm concordante con QRS V1 a V3 (3pts) • SST mayor o igual a 5 mm discordante al QRS (2pts) Puntuación > o = a 3 diagnóstico de infarto de miocardio especificidad del 90%.
  • 16.
    ENZIMAS Inicio Pico Normalización Mioglobina1-4 hs 6-7 hs 24hs CPK/CPK-MB 6-8 hs 24-36 hs 2-3 días Troponina 8 hs 12-18 hs 7-14 días
  • 17.
  • 18.
  • 20.
    ANATOMÍA CORONARIA Arteria coronariaizquierda  Nace a la altura del seno izquierdo de Valsalva.  Se dirige a la depresión formada por la aorta y la cara izquierda de la arteria pulmonar.  Alcanza el surco interventricular anterior (hasta la punta) la cual bordea para terminar en el surco interventricular inferior con la coronaria derecha.  Longitud entre 2 y 20mm  Se divide en 2 ramas terminales: descendente anterior y circunfleja.
  • 21.
    DESCENDENTE ANTERIOR  Viajaen dirección del ápex por el surco interventricular anterior.  Puede terminar en la punta, en el 60 % de los casos contornea el ápex y asciende mas de 3 cm por el surco interventricular posterior.  Ramas: 1. Arteria del cono 2. Arterias diagonales 3. Arterias septales
  • 23.
    ARTERIA CIRCUNFLEJA  Sedirige a la izquierda y corre por el surco auriculoventricular.  Rebasa el margen obtuso, en el 90 % de los casos, sin llegar a la cruz del corazón. RAMAS: 1. A. del nodo sinusal 40%. 2. A. marginal izquierda. 3. A. auriculoventricular. 4. Descendente posterior 10-15%.
  • 24.
    ARTERIA CORONARIA DERECHA Nace en el seno aórtico derecho transcurre entre la orejuela derecha y el tronco pulmonar.  Se introduce en el surco auriculoventricular.  Luego hacia atrás al surco interventricular inferior, donde toma el nombre de descendente posterior. RAMAS: Arteria del cono Nodo SA: 60% Rama marginal derecha Rama del nodo AV: en la cara posterior sobre la encrucijada. Rama descendente posterior: 85% define dominancia.
  • 26.
    DOMINANCIA DERECHA Da origena la descendente posterior y al menos una posteroventricular.
  • 27.
    DOMINANCIA IZQUIERDA CX Da origena la descendente posterior y a todas las posteroventriculares.
  • 28.
    DOMINANCIA BALANCEADA Arteria coronaria derecha irrigael ventrículo derecho y la porción posterior del septum posterior mientras la arteria coronaria izquierda irriga el ventrículo izquierdo finalizando en la cruz cardiaca o cuando ambas dan origen a la descendente posterior.
  • 29.
    Art Cx Porción AV Artmarginal Tronco izq 1° septal 1° diagonal Art DA
  • 30.
    Art coronaria derecha Artdescendente post Art margen agudo Art del cono Art del NSA
  • 32.
    IRRIGACIÓN DEL SISTEMADE CONDUCCIÓN CD 50% Cx 35% Ambas 15% CD 85% CX 15% DA- CD DA DA DP
  • 33.
  • 34.
    Anteroseptal V1-V3 Anterior V1a V4 Anterolateral V1 A V6, Anterior extenso V1 a V6, DI a aVL IAM de VD V3R, V4R SST en V1 con IST en V2 Apical DII aVF DIII + V1 - V4 Inferior DII-DIII-AVF Posterio r R/S mayor a 1 en V2. Lateral bajo V5-V6 Lateral alto DI-aVl Lateral V5-V6 D1 aVl
  • 35.
  • 38.
  • 39.
    Elevación del segmentoST en V3R y V4R. El SST > 1mm. 100% de especificidad SST o ST isonivelado en V1 asociado a IST en V2. SST descendente de V1 a V3.
  • 40.
  • 42.
    TRONCO CORONARIA IZQUIERDA BCRD+ HBAI SST aVR y V1 IST lateral e inferior
  • 43.
    Coronaria derecha SST enDIII mayor a DII+IST en aVL y DI Índice de Kosuge: IST V3/SST DIII Menor a 0.5: CD prox. 0.5-1.2: 1/3 medio CD Mayor 1.2: CX Circunfleja SST DII mayor que DIII SST DI – aVL, V5 y V6 DA prox. 1 Septal: SST V1 mayor a 2.5 mm o BRD nuevo con Q SST aVR y aVL DA prox. 1 diagonal SST antero-lateral DA distal SST cara anterior o apical (compromiso apical) RESUMIENDO…
  • 44.
  • 45.
    DA posterior a1° septal. IAM: anterolateral
  • 46.
  • 47.
    CX –SST DII> DIII SST V5, V6. IST V1- V2 IAM: inferoposterolateral