Edema Agudo Pulmonar
Instituto Politécnico Nacional
Escuela Nacional de Medicina y
Homeopatía
Becerril Cuevas Carla Alejandra
Díaz Herreros Alma Nelly
Bastidas Martínez Luis Cesar
Urgencias Medicas Quirúrgicas
AHM1
Edema Agudo Pulmonar
DEFINICIÓN
Alteraciones del tejido pulmonar como consecuencia
del incremento del liquido en el territorio intersticial y
alveolar pulmonar.
Edema Agudo Pulmonar
FISIOPATOLOGÍA
Edema Agudo Pulmonar
ETIOLOGÍA
CARDIACAS
Aumento agudo de la presión capilar
pulmonar.
 Trombosis de válvula protésica.
 Mixoma obstructivo.
 Infarto agudo al Miocardio.
 Insuficiencia Mitral o aortica.
 Urgencia Hipertensiva.
Exacerbación de presiones capilares
venosas crónicamente elevadas.
 Estenosis mitral.
 Cardiomiopatía complicada.
 Hipertrofia miocárdica complicada.
 Administración vigorosa de líquidos.
Edema Agudo Pulmonar
ETIOLOGÍA
EXTRA CARDIACAS
Alteración de la
permeabilidad de la
membrana alveolo
capilar.
 Neumonía
 Septicemia
 Radiación aguda
 CID
 Pancreatitis
 Toxinas inhaladas.
Mecanismos Desconocidos.
 EAP de grandes alturas
 EAP NEUROGENO
 Sobredosis de narcóticos
 Embolismo pulmonar
 Postcardioversión.
Cuadro clínico
● Disnea e hipoxemia grave
● Ortopnea
● Expectoración asalmonada
● Estertores gruesos
● Estertores sibilantes audibles a distancia
● Taquicardia
● Angustia y sensación de muerte inminente.
● Dolor torácico (cuando es cardiogénico)
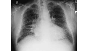
Diagnóstico
Radiografía de tórax
Líneas de Kerley
● Líneas A (largas finas y rectas) se aprecian
más a nivel del ápice del pulmón
● Líneas B (rectas y cortas) aproximadamente
de 2 cm de longitud, se encuentran
principalmente a nivel costodiafragmático.
cefalización del flujo
Hay una dilatación de los vasos sanguíneos de
los campos pulmonares superiores mayor a
3mm
Imagen en alas de mariposa
Infiltrado moteado difuso con bordes mal
definidos.
En caso de edema cardiogénico
Borramiento de los senos costodiafragmáticos
Cardiomegalia
Dilatación de vasos de campos
pulmonares superiores
Otras causas de obstrucción venosa pulmonar
• Drenaje venoso pulmonar anómalo (neonato).
• Obstrucción neoplásica de las venas pulmonares.
• Estenosis venosa pulmonar congénita y enfermedad venoobstructiva pulmonar
Disminución de la presión oncótica del plasma
• Secundario a traumatismos
• Cirugía abdominal extensa
• Bacteriemia
Sobredosis de heroína
Síndrome disneico del adulto: secundario a traumatismos extratorácicos,
coagulopatias, inhalación de gas toxico, exposición a grandes alturas etc.
DIAGNOSTICO DIFERENCIAL
Edema Agudo Pulmonar
Tromboembolia
pulmonar aguda
y masiva
Bronquitis
asmatiforme
atópica y no
atópica
Neumonía,
bronconeumonía
difusa, neumonía
intersticial
aguda.
Obstrucción de
las vías aéreas
Shock
hipovolémico o
séptico
Enfermedad
pulmonar
restrictiva
reversible
transitoria
idiopática.
Discinesia
muscular
respiratoria.
Edema Agudo Pulmonar
TRATAMIENTO
MEDIDAS GENERALES
MANTENIMIENTO DE LA FUNCION
CARDIACA ADECUADA Y VOLUMEN
CIRCULATORIO NORMAL.
SEDACIÒN DEL PACIENTE Y
MEJORAR LA OXIGENACIÒN
ELIMINAR PADECIMIENTO DE BASE
O FACTORES PREDISPONENTES.
SIN
IMPORTAR LA
ETILOGIA
Disminuir la presión
venocapilar.
Mejorar la ventilación
pulmonar.
2. SEDAR AL PACIENTE
Sulfato de morfina: 5 a 10 mg
IV o subcutánea.
“Mejora la hemodinamia e
incrementa la capacidad de
reabsorción del lecho venoso”
1. FOWLER Diazepam: 10mg
Oxigenacion:
Oxigeno por cánula nasal a razón
de 10 litros por minuto.
3.FUROSEMIDE
40 mg IV, max 2 gr/dia
“ Disminuye el retorno venoso y alivia la carga de retorno al
corazón derecho”
Diuereticos a los 15 minutos, se puede repetir cada hora.
LIGADURA ROTATORIA DE EXTREMIDADES
Se realiza por 10 a 15 minutos para evitar isquemia en la extremidad.
Cada 5 minutos se rota en dirección de las manecillas del reloj.
o también Sangría roja (500ml)
5. VASODILATADORES
NTROGLICERINA
ámpulas 5 mg en 10 ml) 0,5-2 mg/Kg/minuto, en infusión
con 500 ml de dextrosa 5 % (una alternativa es 1 tableta
sublingual cada 5 minutos)
NITROPRUSIATO DE SODIO
0.5 a 8 mg /Kg/min.
“Abate la postcarga, el
retorno venoso o ambos, de preferencia se debe usar los de
inicio rápido y de duración corta”
6. BRONCODILATADORES
AMINOFILINA
1 ampolleta de 250mg diluidos en 10 ml de dextrosa al 5%,
pasar lentamente.
Impregnación 4-6 mg/kg
Mantenimiento 0.9 mg/kg/hr
“ Incrementa el efecto de los diuréticos y la fuerza
contráctil del miocardio, además de su efecto
Broncodilatador”
4. DIGITALIZACION
DIGOXINA
75 mg 25mg/8hrs.
• Busca minimizar los efectos transitorios
de la resistencia vascular periférica
• Intoxicación puede dar insuficiencia
cardiaca
• Contraindicación relativa en
hipokalemia, uso de bajas dosis.
Inhibidores de la enzima convertidota de angiotensina
(IECA)
Captopril (tabletas 25-50 mg) 6,25 mg de inicio  25-100 mg cada
6-8 horas.
Enalapril (tabletas 20 mg) 5-10 mg de inicio 10-40 mg cada 12
horas.
Enalapril ámpulas 2,50 mg diluido en 50 ml a pasar en 5 minutos,
comenzar con 125 mg y ajustar la dosis de acuerdo a la respuesta
hemodinámica.
Drogas vasoactivas e inotrópicas.
Indicadas en la hipotensión arterial que no se resuelve y el
shock cardiogénico. Entre sus efectos está el aumento de la
frecuencia cardiaca (FC), tensión arterial, el inotropismo y, por
tanto, el consumo de oxígeno; son arritmogénicas y perpetúan
vasoconstricción periférica.
Noradrenalina 0,5-2 mcg/minuto.
Dopamina 5-10 mcg/kg/minuto.
Dobutamina 5-20 mcg/kg/minuto.
Anrinona 5-30 mg/kg/minuto.
Bibliografía
• Manual de Urgencias Cardiovasculares. Instituto Nacional
de Cardiología “Ignacio Chávez”.
• Edema Agudo Pulmonar. Salud Estado de México.
• Conceptos actuales en la fisiopatología, monitorización y
resolución del edema pulmonar. Colmenero Ruíz, 2006.
• Edema pulmonar de gran altura, Undurraga F., 2003
• Guía de Practica Clínica para el Edema Agudo del Pulmón.
Rodríguez D., 2009.
• Manual de Terapéutica Medica. INCMyNSZ

EDEMA AGUDO PULMONAR

  • 1.
    Edema Agudo Pulmonar InstitutoPolitécnico Nacional Escuela Nacional de Medicina y Homeopatía Becerril Cuevas Carla Alejandra Díaz Herreros Alma Nelly Bastidas Martínez Luis Cesar Urgencias Medicas Quirúrgicas AHM1
  • 2.
    Edema Agudo Pulmonar DEFINICIÓN Alteracionesdel tejido pulmonar como consecuencia del incremento del liquido en el territorio intersticial y alveolar pulmonar.
  • 3.
  • 4.
    Edema Agudo Pulmonar ETIOLOGÍA CARDIACAS Aumentoagudo de la presión capilar pulmonar.  Trombosis de válvula protésica.  Mixoma obstructivo.  Infarto agudo al Miocardio.  Insuficiencia Mitral o aortica.  Urgencia Hipertensiva. Exacerbación de presiones capilares venosas crónicamente elevadas.  Estenosis mitral.  Cardiomiopatía complicada.  Hipertrofia miocárdica complicada.  Administración vigorosa de líquidos.
  • 5.
    Edema Agudo Pulmonar ETIOLOGÍA EXTRACARDIACAS Alteración de la permeabilidad de la membrana alveolo capilar.  Neumonía  Septicemia  Radiación aguda  CID  Pancreatitis  Toxinas inhaladas. Mecanismos Desconocidos.  EAP de grandes alturas  EAP NEUROGENO  Sobredosis de narcóticos  Embolismo pulmonar  Postcardioversión.
  • 6.
  • 7.
    ● Disnea ehipoxemia grave ● Ortopnea ● Expectoración asalmonada ● Estertores gruesos ● Estertores sibilantes audibles a distancia ● Taquicardia ● Angustia y sensación de muerte inminente. ● Dolor torácico (cuando es cardiogénico)
  • 8.
  • 9.
    Radiografía de tórax Líneasde Kerley ● Líneas A (largas finas y rectas) se aprecian más a nivel del ápice del pulmón ● Líneas B (rectas y cortas) aproximadamente de 2 cm de longitud, se encuentran principalmente a nivel costodiafragmático.
  • 11.
    cefalización del flujo Hayuna dilatación de los vasos sanguíneos de los campos pulmonares superiores mayor a 3mm
  • 12.
    Imagen en alasde mariposa Infiltrado moteado difuso con bordes mal definidos.
  • 13.
    En caso deedema cardiogénico Borramiento de los senos costodiafragmáticos Cardiomegalia Dilatación de vasos de campos pulmonares superiores
  • 14.
    Otras causas deobstrucción venosa pulmonar • Drenaje venoso pulmonar anómalo (neonato). • Obstrucción neoplásica de las venas pulmonares. • Estenosis venosa pulmonar congénita y enfermedad venoobstructiva pulmonar Disminución de la presión oncótica del plasma • Secundario a traumatismos • Cirugía abdominal extensa • Bacteriemia Sobredosis de heroína Síndrome disneico del adulto: secundario a traumatismos extratorácicos, coagulopatias, inhalación de gas toxico, exposición a grandes alturas etc. DIAGNOSTICO DIFERENCIAL Edema Agudo Pulmonar
  • 15.
    Tromboembolia pulmonar aguda y masiva Bronquitis asmatiforme atópicay no atópica Neumonía, bronconeumonía difusa, neumonía intersticial aguda. Obstrucción de las vías aéreas Shock hipovolémico o séptico Enfermedad pulmonar restrictiva reversible transitoria idiopática. Discinesia muscular respiratoria. Edema Agudo Pulmonar
  • 16.
    TRATAMIENTO MEDIDAS GENERALES MANTENIMIENTO DELA FUNCION CARDIACA ADECUADA Y VOLUMEN CIRCULATORIO NORMAL. SEDACIÒN DEL PACIENTE Y MEJORAR LA OXIGENACIÒN ELIMINAR PADECIMIENTO DE BASE O FACTORES PREDISPONENTES. SIN IMPORTAR LA ETILOGIA Disminuir la presión venocapilar. Mejorar la ventilación pulmonar.
  • 17.
    2. SEDAR ALPACIENTE Sulfato de morfina: 5 a 10 mg IV o subcutánea. “Mejora la hemodinamia e incrementa la capacidad de reabsorción del lecho venoso” 1. FOWLER Diazepam: 10mg Oxigenacion: Oxigeno por cánula nasal a razón de 10 litros por minuto.
  • 18.
    3.FUROSEMIDE 40 mg IV,max 2 gr/dia “ Disminuye el retorno venoso y alivia la carga de retorno al corazón derecho” Diuereticos a los 15 minutos, se puede repetir cada hora. LIGADURA ROTATORIA DE EXTREMIDADES Se realiza por 10 a 15 minutos para evitar isquemia en la extremidad. Cada 5 minutos se rota en dirección de las manecillas del reloj. o también Sangría roja (500ml)
  • 19.
    5. VASODILATADORES NTROGLICERINA ámpulas 5mg en 10 ml) 0,5-2 mg/Kg/minuto, en infusión con 500 ml de dextrosa 5 % (una alternativa es 1 tableta sublingual cada 5 minutos) NITROPRUSIATO DE SODIO 0.5 a 8 mg /Kg/min. “Abate la postcarga, el retorno venoso o ambos, de preferencia se debe usar los de inicio rápido y de duración corta” 6. BRONCODILATADORES AMINOFILINA 1 ampolleta de 250mg diluidos en 10 ml de dextrosa al 5%, pasar lentamente. Impregnación 4-6 mg/kg Mantenimiento 0.9 mg/kg/hr “ Incrementa el efecto de los diuréticos y la fuerza contráctil del miocardio, además de su efecto Broncodilatador”
  • 20.
    4. DIGITALIZACION DIGOXINA 75 mg25mg/8hrs. • Busca minimizar los efectos transitorios de la resistencia vascular periférica • Intoxicación puede dar insuficiencia cardiaca • Contraindicación relativa en hipokalemia, uso de bajas dosis. Inhibidores de la enzima convertidota de angiotensina (IECA) Captopril (tabletas 25-50 mg) 6,25 mg de inicio  25-100 mg cada 6-8 horas. Enalapril (tabletas 20 mg) 5-10 mg de inicio 10-40 mg cada 12 horas. Enalapril ámpulas 2,50 mg diluido en 50 ml a pasar en 5 minutos, comenzar con 125 mg y ajustar la dosis de acuerdo a la respuesta hemodinámica.
  • 21.
    Drogas vasoactivas einotrópicas. Indicadas en la hipotensión arterial que no se resuelve y el shock cardiogénico. Entre sus efectos está el aumento de la frecuencia cardiaca (FC), tensión arterial, el inotropismo y, por tanto, el consumo de oxígeno; son arritmogénicas y perpetúan vasoconstricción periférica. Noradrenalina 0,5-2 mcg/minuto. Dopamina 5-10 mcg/kg/minuto. Dobutamina 5-20 mcg/kg/minuto. Anrinona 5-30 mg/kg/minuto.
  • 22.
    Bibliografía • Manual deUrgencias Cardiovasculares. Instituto Nacional de Cardiología “Ignacio Chávez”. • Edema Agudo Pulmonar. Salud Estado de México. • Conceptos actuales en la fisiopatología, monitorización y resolución del edema pulmonar. Colmenero Ruíz, 2006. • Edema pulmonar de gran altura, Undurraga F., 2003 • Guía de Practica Clínica para el Edema Agudo del Pulmón. Rodríguez D., 2009. • Manual de Terapéutica Medica. INCMyNSZ