DUBIER FERNANDO ESTRADA SOLORZANO MAYRA ALEJANDRA BORDA CARDENAS ANGELA NATALIA LOPEZ AGUIRRE ADRIANA CASTILLO  Dra. Magda Castañeda
GENERALIDADES DE LAPIEL ES UN ORGANO COMPLEJO FORMA UN RECUBRIMIENTO PROTECTOR EN LA SUPERFICIE DEL EMBRION. Órgano mas grande del cuerpo
CARACTERIZACION DE LA PIEL  PIEL CUERO CABELLUDO PIEL DELGADA PIEL GRUESA de palmas y plantas INTERACCIONES INDUCTIVAS ENTRE EPIDERMIS Y DERMIS
HISTOLOGIA FUNCIONAL WHEATHER`S  CUARTA EDICION.
EMBRIOGENESIS EMBRIOLOGÍA CLÍNICA. KEITH MOORE. 6TA EDICIÓN
DETALLE EMBRIOLOGICO DE LA EPIDERMIS Primeras semanas:   Capa epitelial cúbica  Primer mes:   Peridermo  Capa Superficial  intercambio  H2O, Na, glucosa  líquido amniotico/embrión Tercer mes:  Actividad mitótica capa basal  estratificación Sexto mes:  Citodiferenciación Perdida de peridermo función de barrera
SIGUE LA PROLIFERACION INTERMEDIA SEXTO MES CITODIFERENCIACION
CITODIFERENCIACION EPIDERMICA Estrato basal:  Células en mitosis, expresión de moléculas de adhesión a matriz Estrato espinoso:  Células sintetizan citoqueratinas Integrinas de la matriz Desmosomas integrinas MAC Estrato granuloso: Sintetiza queratohialina (histidina y sulturos) Filagrina Estrato corneo:  Pierden el núcleo, sacos  de    citoqueratinas unidas /  filagrinas
HISTOLOGIA FUNCIONAL WHEATHER`S  CUARTA EDICION.
CITOQUERATINAS Son filamentos Intermedios Se expresan en células epidérmicas de dos capas Los de 40 45 y 52 KD  característicos de epitelios simples,  declinan en el periodo fetal Las de 50 y 58 KD característicos de epitelios estratificados queratinizados Gastan 4 semanas  de la basal  a su descamación Psoriasis la proliferacion no esta controlada 1 semana
CELULAS  DE LA  EPIDERMIS
http://www.umm.edu/graphics/images/es/9620.jpg HISTOLOGIA FUNCIONAL WHEATHER`S  CUARTA EDICION.
HISTOLOGIA FUNCIONAL WHEATHER`S  CUARTA EDICION.
http://www.cienciakanija.com/wp-content/uploads/merkel.jpg
http://escuela.med.puc.cl/paginas/Cursos/tercero/AnatomiaPatologica/Imagenes HISTOLOGIA FUNCIONAL WHEATHER`S 4 EDICION HISTOLOGIA FUNCIONAL WHEATHER`S 4 EDICION
DERMIS
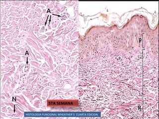
HISTOLOGIA FUNCIONAL WHEATHER`S  CUARTA EDICION. 11 SEMANA
HISTOLOGIA FUNCIONAL WHEATHER`S  CUARTA EDICION. 5TA SEMANA
GLANDULAS DE LA PIEL
GLANDULAS  SEBACEAS HISTOLOGIA FUNCIONAL WHEATHER`S CUARTA EDICION. EMBRIOLOGÍA CLÍNICA. KEITH MOORE. 6TA EDICIÓN newbornvernix.jpg
HISTOLOGIA FUNCIONAL WHEATHER`S  CUARTA EDICION.
HISTOLOGIA FUNCIONAL WHEATHER`S  CUARTA EDICION.
GLANDULAS  SUDORIPARAS EMBRIOLOGÍA CLÍNICA. KEITH MOORE. 6TA EDICIÓN
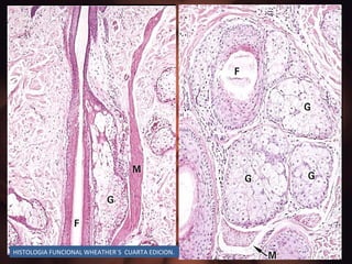
GL. S. MEROCRINA MAYOR PARTE DEL CUERPO EXCP. BORDES DE LABIOS GLANDE LIQ. ACUOSO, HIPOTONICO (Na+, Cl-, urea, metabolitos bajo Pm.) TUBULARES NO RAMIFICADAS PORCION SECRETORA(S): 1 CAPA DE CEL. CUBICA O CILIN. CONDUCTOS EXCRETORES(D): 2 CAPAS DE CELS. CUBICAS + PEQ. HISTOLOGIA FUNCIONAL  WHEATER`S CUARTA EDICION.
HISTOLOGIA FUNCIONAL  WHEATER`S CUARTA EDICION. CELS. MIOEPITELIALES (M) CAPA DISCONTINUA ENTRE  CELS. SECRETORAS CONTRACCION: EXPULSA SUDOR  HACIA CONDUCTOS SECRETORES
GL. APOCRINAS HISTOLOGIA FUNCIONAL  WHETER`S CUARTA EDICION. AREOLAS MAMARIAS AXILAS REGIONES GENITALES SECRECION LECHOSA VISCOSA – BACT. COMENSALES SECRECION: FOLICULO ADYANCENTE PORCION SECRETORA: TUBULAR ENROLLADA CON LUZ AMPLIA CAPA DISCONTNUA DE CELS. MIOEPITELIALES. NO FUNCIONAN HASTA LA PUBERTAD: ♂ :  H CICLO MENST. ♀ : SIG. BIOLOGICO DESCONOCIDO
DESARROLLO  DEL PELO LANUGO 12 SEM
http://php.med.unsw.edu.au/embryology/index.php?title=Integumentary_System_-_Hair_Development
REVISTA NATURE -  Wnt-dependent  de novo  hair follicle regeneration in adult mouse skin after wounding
HISTOLOGIA FUNCIONAL  WHETER`S CUARTA EDICION.
HISTOLOGIA FUNCIONAL  WHETER`S CUARTA EDICION.
HISTOLOGIA FUNCIONAL  WHETER`S CUARTA EDICION.
 
UÑAS SEMANA 32 : Las uñas de los dedos llegan a la punta de los dedos - SEMANA 36: Las uñas de los pies llegan a la punta de los dedos (SIGNO DE PREMADUREZ) PRIMERA ETAPA: engrosamiento de la epidermis, el campo de la uña, en la punta del dedo . SEGUNDA ETAPA: La uña crece hacia la punta del dedo, a la que llega antes de nacer. Inicia su formación en la decima semana de desarrollo intrauterino. EMBRIOLOGIA MEDICA DE MOORE HISTOLOGIA FUNCIONAL  WHETER`S CUARTA EDICION. HISTOLOGIA FUNCIONAL  WHETER`S CUARTA EDICION.
UÑAS DEFORMADAS Trastorno por afección generalizada de la piel
DESARROLLO DE GLÁNDULAS MAMARIAS
 
RECIÉN NACIDA NIÑA INICIO DE PUBERTAD PUBERTAD TARDIA ADULTA   JOVEN MUJER EMBARAZADA
 
 
 
 
Angiogénesis tumoral en procesos oncogénicos .
 
 
 
 
TRANSTORNOS DE LA QUERATINIZACION
ICTIOSIS Un grupo de trastornos por exceso de queratinización. Caracterizada por: Resequedad Descamación
FETO ARLEQUIN Trastorno raro de queratinización que se hereda con carácter  autonómico recesivo. La piel se  engruesa  Tiene rebordes y se agrieta
FETO EN COLODION Recubrimiento de la piel por una membrana gruesa, tensa, que se rompe con la primeros esfuerzos respiratorios. En varias semanas se elimina por completo y en ocasiones la piel queda normal
ICTIOSIS LAMINAR Trastorno autonómico recesivo. Poco desarrollo de la glándula sudorípara
ANGIOMAS DE LA PIEL Persistencia de algunos vasos sanguíneos o linfáticos
ALBINISMO Trastorno autonómico recesivo, falta de producción de melanina por falte de la enzima tirosinasa. Piel Pelo Retina Carecen de pigmentos
ALOPECIA CONGENITA Ausencia o perdida de pelo del cuero cabelludo, falte de desarrollo del folículo piloso.
HIPERTRICOSIS Exceso de pelo relacionada con espina bifida.
ANONIA CONGENITA Ausencia de uñas por falta de formacion de los pliegues proximales de la uña para originar las placas unguales.
PEZÓN INVERTIDO Congénito: Acortamiento de los ductos Conductos galactóforos desembocan en la fosita primitiva que no ha experimentado eversión.
PERSISTENCIAS DE  PEQUEÑOS SEGMENTOS DE LA CRESTA MAMARIA .
 
 
 
 
 
BIBLIOGRAFIA Embriología Medica de Lagman. 8va y 10ma Edición.  Histología Funcional. Wheater`s. 4ta Edicion. Embriología Clínica. Keith Moore. 6ta Edición
CIBERGRAFIA http ://www.juntadeandalucia.es/averroes/~ 29701428/salud/nuevima/dientint.gif http://www.juntadeandalucia.es/averroes/~29701428/salud/dien.gif http://mural.uv.es/caram/Diente.gif http://4.bp.blogspot.com/_afWcn6DiIR4/R0ZXdioBe5I/AAAAAAAAAA0/Qcx__G-- Y-U/s400/elyz.JPG http ://www.juntadeandalucia.es/averroes/~ 29701428/salud/nuevima/dientint.gif http:// www.google.com.co/images?hl=es&q=estratos%20de%20la%20piel&um=1&ie=UTF-8&source=og&sa=N&tab=wi&biw=1345&bih=541 http://www.nature.com/

EMBRIOLOGIA DEL S.TEGUMENTARIO