Estenosis mitral
1
• La estenosis mitral suele
ser una secuela de la fiebre
reumática y afecta de forma
principal a mujeres
. Esta valvulopatia suele tener un curso lento y progresivo
durante los primeros años posteriores a la infección, con un
periodo de latencia desde 20 hasta 40 años entre la
presencia de la fiebre reumática y el inicio de los síntomas
Estenosis mitral
2
En adulto, el área valvular mitral normal es de 4 a 6 cm, y
se considera una estenosis mitral cuando esta área
disminuye por debajo de 2 cm
estenosis ligera entre 2 a 1.5 cm
estenosis moderada entre 1.5 a 1 cm
Cuando el área valvular mitral se reduce <1 cm se
considera grave, la cual se suele manifestar con
un gradiente transmitral de 15 a 20 mm Hg
Estenosis mitral
3
Fisiopatogenia y etiología.
. Un 60 % de los casos suele
presentarse en mujeres, 25 % de
los pacientes con cardiopatía
reumática tiene estenosis mitral
pura y 40 % estenosis e
insuficiencia combinadas.
La principal causa de estenosis
mitral es la fiebre
reumática, encontrándose
lesiones sugerentes de
valvulopatias reumática en 99 %
de los casos durante el cambio
valvular mitral.
De forma menos frecuente la estenosis puede ser
congénita, complicación de enfermedad reumatológica ( p.ej., lupus
eritematoso, artritis reumatoide ), amiloidosis, enfermedad de Fabry y
enfermedad de whipple, etc.
Estenosis mitral
4
• Existen 4 sitios de lesión importante que generan fusión del aparato
valvular mitral y estenosis secundaria:
comisuras ( 30 % )
cúspides ( 15 %)
cuerdas tendinosas ( 10 % )
combinada.
Estos cambios ocasionan
engrosamiento y fusión de los
bordes en las valvas y cuerdas
tendinosas, así como acortamiento
de las estructuras limitando la
movilidad y abertura del aparato
valvular
Estenosis mitral
5
• La estenosis mitral impide que la válvula se abra apropiadamente y
bloquea el flujo sanguíneo de la aurícula izquierda hacia el ventrículo
izquierdo.
• Debido a que el área de la válvula se vuelve más pequeña, fluye
menor sangre hacia el cuerpo.
• La aurícula se hincha a medida que la presión se acumula y la sangre
puede fluir de nuevo a los pulmones, causando un edema pulmonar.
Estenosis mitral
6
Cuadro Clínico
Los síntomas más importantes de la estenosis mitral son:
Disnea de esfuerzo
Disnea paroxística
Hemoptisis
Embolismo sistémico
Estenosis mitral
7
AUSCULTACION
Ritmo de Duroziez
I ruido brillante
II duplicado por
chasquido de apertura
Retumbo
Reforzamiento
presistólico
8
Disnea de esfuerzo
• Se debe a un aumento de la rigidez
pulmonar, causado por edema
intersticial crónico, edema y espasmo
bronquial, fibrosis pulmonar,
• condicionada por el aumento de la
presión auricular izquierda.
Estenosis mitral
9
Disnea paroxística
• Es causada por un aumento de la presión "venocapilar" pulmonar
que produce trasudado de líquido a los alvéolos y al intersticio
pulmonar. Estas crisis de hipertensión venocapilar son
desencadenadas por taquicardia, taquiarritmia (fibrilación auricular
rápida), esfuerzo, emociones, embarazo.
• se puede manifestar como disnea paroxística nocturna o como un
franco edema agudo pulmonar. En los casos avanzados se presenta la
ortopnea.
Estenosis mitral
10
Hemoptisis.
• se encuentra en el 25 al 50% de los casos quirúrgicos de estenosis
mitral
Embolismo sistémico.
• La mitad de los episodios embólicos son cerebrales y el resto se
pueden presentar en arterias renales, de
extremidades, mesentéricas, coronarias, etc. En ocasiones, el
embolismo cerebral es el síntoma inicial del
padecimiento, presentándose antes que la disnea
Estenosis mitral
11
EXPLORACION FISICA
• En presencia de HAP:
• Tríada de Chavez
• Soplo de insuficiencia
tricuspídea
• Soplo de Graham Steel
• II ruído reforzado
• IV ruído
12
EXPLORACIÓN FÍSICA
• Los pacientes con estenosis mitral severa pueden tener una
coloración eritrocianótica en la región malar.
• El pulso arterial es normal en las formas ligeras o arrítmico y poco
amplio en las graves.
• La inspección del cuello puede mostrar plétora yugular cuando
existe valvulopatía tricuspídea asociada o si se ha instalado
insuficiencia cardiaca derecha.
Estenosis mitral
13
Electrocardiograma
• signos de crecimiento auricular izquierdo (onda P "mitral"); en DII la onda
P es ancha (más de 0.12 s) y en VI es bifásica, con su porción terminal
negativa.
Estenosis mitral
14
ECG Y RADIOGRAFIA DE
TORAX
15
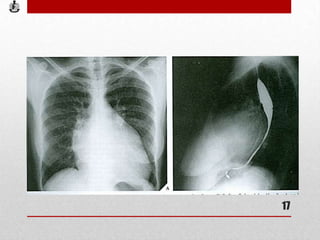
• Rx AP de tórax
usualmente muestra silueta cardiaca de
tamaño normal y un perfil izquierdo con
cuatro arcos que corresponden de arriba
abajo a:
aorta
pulmonar abombada,
orejuela izquierda prominente
ventrículo izquierdo .
Cuando existe hipertensión pulmonar
importante, se observa dilatación del
cono pulmonar (segundo arco del borde
izquierdo de la silueta) y de las ramas, así
como dilatación de ambas cámaras
derechas más o menos importante.
Estenosis mitral
16
17
• Eco: válvula mitral calcificada y estrecha , se puede medir por
planimetría.
Estenosis mitral
18
TRATAMIENTO
19
TRATAMIENTO MEDICO
• Profilaxis contra fiebre reumática
• Profilaxis para endocarditis
• Evitar ejercicio vigoroso
• Restricción de sal
• Diuréticos
• Betabloqueadores ó calcioantagonistas
• Tx para FA (30-40%): anticoagulantes
20
GUIAS PARA MANEJO DE ENFERMEDAD
VALVULAR: ACC/AHA
• Clase I: Evidencia o acuerdo general de que un
procedimiento o tratamiento es benéfico, útil y
efectivo.
• Clase II: Evidencia contradictoria, divergencia de
opinión.
• Clase IIa: Evidencia a favor de su uso.
• Clase IIb: La evidencia está menos establecida.
Clase III: Evidencia o acuerdo general de que un
procedimiento o tratamiento NO ES UTIL NI
EFECTIVO y que incluso podría ser perjucidial.
JACC 2006:48:598-675
21
Tratamiento
 Cuantificar le grado de obstrucción.
 Una sola presencia de valvulopatía no es indicativa de cirugía
 Se debe tener importante repercusión hemodinámica para considerar la
cirugía
 Si el procedimiento quirúrgico cambia favorablemente la calidad de vida del
paciente y/o la sobrevida.
 Valorar el riesgo quirúrgico.
 El médico deberá conocer la respuesta de la función ventricular a la
sobrecarga hemodinámica impuesta por la lesión valvular.
 Indicación de cirugía… área valvular < 1 cm
Estenosis mitral
22
Tratamiento
• Los pacientes con asintomáticos solo requieren profilaxis
para evitar la endocarditis
• Sintomáticos
• Diuréticos: para reducir la congestión pulmonar
• Beta bloqueadores o calcio antagonistas: para mantener la
frecuencia cardiaca lo mas baja posible
Estenosis mitral
23
• La valvulotomia mitral percutánea con balón
• Valvulotomia quirúrgica
• La sustitución quirúrgica de la válvula mitral
• Se emplean diferentes criterios para determinar el
desarrollo de la cirugía
• Desarrollo de los síntomas en un px con EM grave
• Dx reciente en un px joven
Estenosis mitral
24
Valvuloplastía mitral
 La indicación se establece cuando se
trata de una estenosis mitral apretada.
 Se pasa un catéter a través de la vena
femoral hasta la aurícula izquierda por
medio de la vía transeptal.
 Se coloca el globo en el orificio mitral
y se infla a una presión de 3 atmosferas
durante 15 segundos en dos o 3
ocasiones. Esto provoca que se
despeguen las comisuras fusionadas.
Aumenta el área valvular 1.5 a 3 cm2
Estenosis mitral
25
Comisurotimía mitral abierta
• Requiere de circulación extracorpórea y permite abrir la
válvula estrecha bajo visión directa. Indicada cuando:
• Paciente mayor de 35 años
• Trombosis intraauricular
• Calcificación valvular
• Fibrilación auricular
• Se obtienen buenos resultados con una baja mortalidad
2%
•
Estenosis mitral
26
Substitución Mitral
• Prótesis Biológica
• No requieren de anti coagulación crónica. Desafortunadamente se
calcifican con rapidez en niños, jóvenes y pacientes con
insuficiencia renal. Buena en pacientes de 60 años que requieren
un cambio de válvula mitral. La mayoría disfuncionan en 10 años
por lo que tienen que ser cambiadas. Mortalidad del 5-8%
Estenosis mitral
27
Substitución Mitral
• Prótesis Mecánica. Requiere anti coagulación crónica
obligada con medicamentes cumarínicos.
• Permite sobrevida prolongada prácticamente sin síntomas
atribuibles a la enfermedad mitral.
• Problemas con la anticoagulación.
Estenosis mitral
28
PROTESIS MECANICAS
29
30

Estenosismitral

  • 1.
  • 2.
    • La estenosismitral suele ser una secuela de la fiebre reumática y afecta de forma principal a mujeres . Esta valvulopatia suele tener un curso lento y progresivo durante los primeros años posteriores a la infección, con un periodo de latencia desde 20 hasta 40 años entre la presencia de la fiebre reumática y el inicio de los síntomas Estenosis mitral 2
  • 3.
    En adulto, elárea valvular mitral normal es de 4 a 6 cm, y se considera una estenosis mitral cuando esta área disminuye por debajo de 2 cm estenosis ligera entre 2 a 1.5 cm estenosis moderada entre 1.5 a 1 cm Cuando el área valvular mitral se reduce <1 cm se considera grave, la cual se suele manifestar con un gradiente transmitral de 15 a 20 mm Hg Estenosis mitral 3
  • 4.
    Fisiopatogenia y etiología. .Un 60 % de los casos suele presentarse en mujeres, 25 % de los pacientes con cardiopatía reumática tiene estenosis mitral pura y 40 % estenosis e insuficiencia combinadas. La principal causa de estenosis mitral es la fiebre reumática, encontrándose lesiones sugerentes de valvulopatias reumática en 99 % de los casos durante el cambio valvular mitral. De forma menos frecuente la estenosis puede ser congénita, complicación de enfermedad reumatológica ( p.ej., lupus eritematoso, artritis reumatoide ), amiloidosis, enfermedad de Fabry y enfermedad de whipple, etc. Estenosis mitral 4
  • 5.
    • Existen 4sitios de lesión importante que generan fusión del aparato valvular mitral y estenosis secundaria: comisuras ( 30 % ) cúspides ( 15 %) cuerdas tendinosas ( 10 % ) combinada. Estos cambios ocasionan engrosamiento y fusión de los bordes en las valvas y cuerdas tendinosas, así como acortamiento de las estructuras limitando la movilidad y abertura del aparato valvular Estenosis mitral 5
  • 6.
    • La estenosismitral impide que la válvula se abra apropiadamente y bloquea el flujo sanguíneo de la aurícula izquierda hacia el ventrículo izquierdo. • Debido a que el área de la válvula se vuelve más pequeña, fluye menor sangre hacia el cuerpo. • La aurícula se hincha a medida que la presión se acumula y la sangre puede fluir de nuevo a los pulmones, causando un edema pulmonar. Estenosis mitral 6
  • 7.
    Cuadro Clínico Los síntomasmás importantes de la estenosis mitral son: Disnea de esfuerzo Disnea paroxística Hemoptisis Embolismo sistémico Estenosis mitral 7
  • 8.
    AUSCULTACION Ritmo de Duroziez Iruido brillante II duplicado por chasquido de apertura Retumbo Reforzamiento presistólico 8
  • 9.
    Disnea de esfuerzo •Se debe a un aumento de la rigidez pulmonar, causado por edema intersticial crónico, edema y espasmo bronquial, fibrosis pulmonar, • condicionada por el aumento de la presión auricular izquierda. Estenosis mitral 9
  • 10.
    Disnea paroxística • Escausada por un aumento de la presión "venocapilar" pulmonar que produce trasudado de líquido a los alvéolos y al intersticio pulmonar. Estas crisis de hipertensión venocapilar son desencadenadas por taquicardia, taquiarritmia (fibrilación auricular rápida), esfuerzo, emociones, embarazo. • se puede manifestar como disnea paroxística nocturna o como un franco edema agudo pulmonar. En los casos avanzados se presenta la ortopnea. Estenosis mitral 10
  • 11.
    Hemoptisis. • se encuentraen el 25 al 50% de los casos quirúrgicos de estenosis mitral Embolismo sistémico. • La mitad de los episodios embólicos son cerebrales y el resto se pueden presentar en arterias renales, de extremidades, mesentéricas, coronarias, etc. En ocasiones, el embolismo cerebral es el síntoma inicial del padecimiento, presentándose antes que la disnea Estenosis mitral 11
  • 12.
    EXPLORACION FISICA • Enpresencia de HAP: • Tríada de Chavez • Soplo de insuficiencia tricuspídea • Soplo de Graham Steel • II ruído reforzado • IV ruído 12
  • 13.
    EXPLORACIÓN FÍSICA • Lospacientes con estenosis mitral severa pueden tener una coloración eritrocianótica en la región malar. • El pulso arterial es normal en las formas ligeras o arrítmico y poco amplio en las graves. • La inspección del cuello puede mostrar plétora yugular cuando existe valvulopatía tricuspídea asociada o si se ha instalado insuficiencia cardiaca derecha. Estenosis mitral 13
  • 14.
    Electrocardiograma • signos decrecimiento auricular izquierdo (onda P "mitral"); en DII la onda P es ancha (más de 0.12 s) y en VI es bifásica, con su porción terminal negativa. Estenosis mitral 14
  • 15.
    ECG Y RADIOGRAFIADE TORAX 15
  • 16.
    • Rx APde tórax usualmente muestra silueta cardiaca de tamaño normal y un perfil izquierdo con cuatro arcos que corresponden de arriba abajo a: aorta pulmonar abombada, orejuela izquierda prominente ventrículo izquierdo . Cuando existe hipertensión pulmonar importante, se observa dilatación del cono pulmonar (segundo arco del borde izquierdo de la silueta) y de las ramas, así como dilatación de ambas cámaras derechas más o menos importante. Estenosis mitral 16
  • 17.
  • 18.
    • Eco: válvulamitral calcificada y estrecha , se puede medir por planimetría. Estenosis mitral 18
  • 19.
  • 20.
    TRATAMIENTO MEDICO • Profilaxiscontra fiebre reumática • Profilaxis para endocarditis • Evitar ejercicio vigoroso • Restricción de sal • Diuréticos • Betabloqueadores ó calcioantagonistas • Tx para FA (30-40%): anticoagulantes 20
  • 21.
    GUIAS PARA MANEJODE ENFERMEDAD VALVULAR: ACC/AHA • Clase I: Evidencia o acuerdo general de que un procedimiento o tratamiento es benéfico, útil y efectivo. • Clase II: Evidencia contradictoria, divergencia de opinión. • Clase IIa: Evidencia a favor de su uso. • Clase IIb: La evidencia está menos establecida. Clase III: Evidencia o acuerdo general de que un procedimiento o tratamiento NO ES UTIL NI EFECTIVO y que incluso podría ser perjucidial. JACC 2006:48:598-675 21
  • 22.
    Tratamiento  Cuantificar legrado de obstrucción.  Una sola presencia de valvulopatía no es indicativa de cirugía  Se debe tener importante repercusión hemodinámica para considerar la cirugía  Si el procedimiento quirúrgico cambia favorablemente la calidad de vida del paciente y/o la sobrevida.  Valorar el riesgo quirúrgico.  El médico deberá conocer la respuesta de la función ventricular a la sobrecarga hemodinámica impuesta por la lesión valvular.  Indicación de cirugía… área valvular < 1 cm Estenosis mitral 22
  • 23.
    Tratamiento • Los pacientescon asintomáticos solo requieren profilaxis para evitar la endocarditis • Sintomáticos • Diuréticos: para reducir la congestión pulmonar • Beta bloqueadores o calcio antagonistas: para mantener la frecuencia cardiaca lo mas baja posible Estenosis mitral 23
  • 24.
    • La valvulotomiamitral percutánea con balón • Valvulotomia quirúrgica • La sustitución quirúrgica de la válvula mitral • Se emplean diferentes criterios para determinar el desarrollo de la cirugía • Desarrollo de los síntomas en un px con EM grave • Dx reciente en un px joven Estenosis mitral 24
  • 25.
    Valvuloplastía mitral  Laindicación se establece cuando se trata de una estenosis mitral apretada.  Se pasa un catéter a través de la vena femoral hasta la aurícula izquierda por medio de la vía transeptal.  Se coloca el globo en el orificio mitral y se infla a una presión de 3 atmosferas durante 15 segundos en dos o 3 ocasiones. Esto provoca que se despeguen las comisuras fusionadas. Aumenta el área valvular 1.5 a 3 cm2 Estenosis mitral 25
  • 26.
    Comisurotimía mitral abierta •Requiere de circulación extracorpórea y permite abrir la válvula estrecha bajo visión directa. Indicada cuando: • Paciente mayor de 35 años • Trombosis intraauricular • Calcificación valvular • Fibrilación auricular • Se obtienen buenos resultados con una baja mortalidad 2% • Estenosis mitral 26
  • 27.
    Substitución Mitral • PrótesisBiológica • No requieren de anti coagulación crónica. Desafortunadamente se calcifican con rapidez en niños, jóvenes y pacientes con insuficiencia renal. Buena en pacientes de 60 años que requieren un cambio de válvula mitral. La mayoría disfuncionan en 10 años por lo que tienen que ser cambiadas. Mortalidad del 5-8% Estenosis mitral 27
  • 28.
    Substitución Mitral • PrótesisMecánica. Requiere anti coagulación crónica obligada con medicamentes cumarínicos. • Permite sobrevida prolongada prácticamente sin síntomas atribuibles a la enfermedad mitral. • Problemas con la anticoagulación. Estenosis mitral 28
  • 29.
  • 30.