Fracturas de hombro.
Benemérita Universidad Autónoma de
Puebla.
Facultad de Medicina.
Nosología y Clínica Quirúrgica del Aparato Músculo-
Esquelético.
Profesor: Dr. Eulogio López Calixto.
Alumno: Marco Antonio Amador González.
Definición.
Pérdida de solución de continuidad de los
huesos del hombro, dígase clavícula, escápula y
la extremidad superior del húmero.
Valls, Jorge E., Perruello, Nicolas N., Aiello Carlos L. Ortopedia y Traumatología. 14. Fracturas – Parte
especial. 113 – 115 pp. Editorial El Ateneo.
Dandy, David J. Traumatología y Ortopedia. 2. Trauma. 12. Lesiones del miembro superior. 186 - 190 pp.
Editorial Manual moderno.
Fisiopatología.
Hecho con base en:
• San Roman, Eduardo., Neira, Jorge A., Tisminetzky, Gustavo. Trauma Prioridades. 15.1. Traumatismos Musculo-esqueléticos. 396 p. Editorial
Panamericana.
• Rosa-Pérez, Luis Julio. Lesiones Traumáticas. Cirugía Ortopédica y Traumatología II.
http://sisbib.unmsm.edu.pe/bibvirtual/libros/medicina/cirugia/tomo_ii/lesiones_t.htm
• Valls, Jorge E., Perruello, Nicolas N., Aiello Carlos L. Ortopedia y Traumatología. 13. Fracturas. 98 – 99 pp. Editorial El Ateneo.
Tomado de:
Valls, Jorge E., Perruello, Nicolas N., Aiello Carlos L. Ortopedia y Traumatología. Fisiopatología
ósea y articular 14 p. Editorial El Ateneo.
Etiología.
La causa más frecuente son los traumatismos indirectos
sobre ésta región anatómica. Complican con luxación
de la articulación gleno-humeral, esguinces y lesión del
plexo braquial.
Tomado de:
Dandy, David J. Traumatología y Ortopedia. 2. Trauma. 12. Lesiones
del miembro superior. 186 p. Editorial Manual moderno.
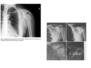
Clasificación: fractura de clavícula.
Incompleta y completa.
La fractura incompleta (tallo verde), es más
común en niños (sin angulación); la fractura
completa es más común en adultos mayores por
descalcificación.
Allman: Fracturas de tercio proximal, medio y
distal.
Silberman, Fernando S. Traumatología y Ortopedia. 50. Fracturas y luxaciones de hombro. 337 p. 2da edición. Editorial panamericana.
Valls, Jorge E., Perruello, Nicolas N., Aiello Carlos L. Ortopedia y Traumatología. 14. Fracturas – Parte especial. 113 p. Editorial El Ateneo.
Fractura de clavicula: Clasificación de Allman Allman F L, JBJS (A) 49:774-784, 1967
García B, Cristian. Caso clínico-radiológico. Rev. chil. pediatr. v.75 n.2 Santiago mar. 2004.
http://dx.doi.org/10.4067/S0370-41062004000200009
Clasificación: fractura de extremidad superior
del húmero.
Clasificación de Neer:
Se basa en la cantidad
de fragmentos.
Silberman, Fernando S. Traumatología y
Ortopedia. 50. Fracturas y luxaciones de
hombro. 337 p. 2da edición. Editorial
panamericana.
Clasificación de
Anquin:
Se basa en la
localización
anatómica de la
fractura.
Silberman, Fernando S. Traumatología y
Ortopedia. 50. Fracturas y luxaciones de
hombro. 337 p. 2da edición. Editorial
panamericana.
Clasificación: fracturas de escápula.
Clasificación de Euler y
Ruedi.
• De cuerpo aislada o
conminuta.
• Apófisis.
– Espina de la escápula.
– Coracoides.
– Acromion.
Schulterchirurgie. Clasificación Euler y Ruedi de
fracutas de Escapula. Edited by Habermeyer P, 261-272
,1996.
• Cuello de la escápula.
– Cuello anatómico.
– Cuello quirúrgico.
– Cuello quirúrgico con:
• Fractura de clavícula y
acromion.
• Rotura de ligamento
coracoclavicular y
coracoacromial.
Schulterchirurgie. Clasificación Euler y Ruedi de fracutas
de Escapula. Edited by Habermeyer P, 261-272 ,1996.
• Fractura articular:
– Reborde glenoideo.
– Fosa glenoidea con:
• Fragmento glenoideo interior.
• Axial a la superficie glenoidea.
• Con minuta.
– Cuello escapular y cuerpo.
• Combinadas.
Schulterchirurgie. Clasificación Euler y Ruedi de fracutas de
Escapula. Edited by Habermeyer P, 261-272 ,1996.
Cuadro clínico:
El paciente sostiene con su mano sana la lesión
e inclina la cabeza hacia el lado fracturado.
El hombro está deformado por el
desplazamiento del muñón y el brazo está
aproximado al tórax.
Valls, Jorge E., Perruello, Nicolas N., Aiello Carlos L. Ortopedia y Traumatología. 14. Fracturas –
Parte especial. 113 p. Editorial El Ateneo.
Hay tumefacción edematosa con probable
ulceración de la piel por fragmento fracturario y
puede palparse la solución de continuidad.
Signo de la tecla + crepitación
Los movimientos activos están muy limitados
(especialmente la abducción).
Valls, Jorge E., Perruello, Nicolas N., Aiello Carlos L. Ortopedia y Traumatología. 14. Fracturas –
Parte especial. 113 p. Editorial El Ateneo.
Las fracturas de los extremos de la clavícula
(menos frecuentes) con desplazamiento, pueden
confundirse con luxaciones acromioclaviculares
o esternoclaviculares).
Valls, Jorge E., Perruello, Nicolas N., Aiello Carlos L. Ortopedia y Traumatología. 14. Fracturas –
Parte especial. 113 p. Editorial El Ateneo.
Cuadro clínico: húmero.
Con enclavamiento fragmentario: dolor e
impotencia funcional son de menor intensidad.
La epífisis se mueve solidariamente con la
diáfisis.
Fracturas sin engranamiento: crepitación más
movimiento anormal.
Por abducción: angulación del eje braquial.
Valls, Jorge E., Perruello, Nicolas N., Aiello Carlos L. Ortopedia y Traumatología. 14. Fracturas –
Parte especial. 115 p. Editorial El Ateneo.
Tumefacción + Signo de
Hennequin
Signo de Hennequin:
Equimosis extensa que abarca
brazo, axila y en ocasiones tórax.
Fractura cabalgada: hay
acortamiento segmentario.
Valls, Jorge E., Perruello, Nicolas N., Aiello Carlos L. Ortopedia y Traumatología. 14. Fracturas –
Parte especial. 115 p. Editorial El Ateneo.
Cuadro clínico: escápula.
Fractura de cuerpo: se asocian con fracturas de
costillas o neumotórax. Si hay desplazamiento
no suele ser importante.
Hay hematomas que ocupan las celdas
subescapular, supra e infraespinosa.
Valls, Jorge E., Perruello, Nicolas N., Aiello Carlos L. Ortopedia y Traumatología. 14. Fracturas –
Parte especial. 114 p. Editorial El Ateneo.
También suele asociarse con contusión pulmonar,
lesión del plexo braquial, lesión arterial, fracturas
craneales y lesiones de columna.
Signo de Comolli: tumefacción que asemeja la forma
triangular de la escápula después de una fractura.
Valls, Jorge E., Perruello, Nicolas N., Aiello Carlos L. Ortopedia y Traumatología. 14. Fracturas – Parte especial. 114 p. Editorial El Ateneo.
Rincón-Cardozo, Diego Fernando. Fractura compleja de escápula tratada con reducción y osteosíntesis con placa anatómica bloqueada de
calcáneo. Medicas UIS vol.27 no.3 Bicaramanga Sep./Dec. 2014.
http://www.scielo.org.co/scielo.php?script=sci_arttext&pid=S0121-03192014000300015
“Las fracturas escapulares constituyen el 1%
del todas las fracturas y el 5% de las fracturas
de cintura escapular.
Se deben, por lo regular, a traumatismos de
alta energía.”
- Dr. Diego Fernando Rincón Cardozo: Médico
Ortopedista y Traumatólogo. Hospital de Santander.
Exámenes paraclínicos.
Fractura de clavícula:
Rx. Simple de hombro en proyección antero-posterior que incluya la
articulación esterno-clavicular hasta la porción lateral del húmero.
Agregar radiografía de tórax si se sospecha neumo o hemotórax.
TAC cuando se sospecha de lesión intra-articular o cuando la fractura se
encuentra en los extremos del hueso.
TAC + reconstrucción 3D para evaluar consolidación de la fractura o cuando
hay fractura desplazada.
GPC. Tratamiento de fractura de clavícula en el adulto. Catalog Mtro Guías Pract Clin IMSS-584-12.
http://www.cenetec.salud.gob.mx/descargas/gpc/CatalogoMaestro/584_GPC_Fxclaviculaenadulto/584GRR.pdf
Fracturas de porción superior del húmero:
Son necesarias dos radiografías: anteroposterior y axial. También
es conveniente realizar la proyección lateral de hombro.
Patología Traumática. Primera Sección. 1. Fracturas del miembro superior. Fractuas del húmero.
http://escuela.med.puc.cl/publ/OrtopediaTraumatologia/Trau_Secc01/Trau_Sec01_22.html
Fracturas de escápula:
Antero-posterior y lateral para cuerpo y acromion;
proyección Stryker para practuras de la apófisis
coracoides.
TAC con reconstrucción 3D en plano transversal.
Si hay neumo o hemotórax asociado agregar radiografía
simple de tórax.
Rincón-Cardozo, Diego Fernando. Fractura compleja de escápula tratada con reducción y osteosíntesis con placa anatómica
bloqueada de calcáneo. Medicas UIS vol.27 no.3 Bicaramanga Sep./Dec. 2014.
http://www.scielo.org.co/scielo.php?script=sci_arttext&pid=S0121-03192014000300015
Complicaciones:
Clavícula: lesión de vasos subclavios o del plexo braquial. La
pseudoartrosis es rara.
La consolidación con cabalgamiento no tiene mucha importancia
si no excede los 2 cm. En adultos mayores un tratamiento
funcional incorrecto puede ocasionar rigidez del hombro.
Valls, Jorge E., Perruello, Nicolas N., Aiello Carlos L. Ortopedia y Traumatología. 14. Fracturas – Parte especial. 114 p.
Editorial El Ateneo.
Escápula:
Las complicaciones suelen ser propias del
traumatismo y de lesiones agregadas (P/E
fractura de costillas). En mayores de 40 años se
encuentra rigidez del hombro.
Valls, Jorge E., Perruello, Nicolas N., Aiello Carlos L. Ortopedia y Traumatología. 14. Fracturas – Parte especial.
114 p. Editorial El Ateneo.
Húmero: se asocian al traumatismo. Suelen ser acompañadas
por luxación de la articulación gleno-humeral, lesión del plexo
braquial y esguince de los ligamentos del hombro.
No suelen presentar mayores problemas a menos que los
fragmentos estén muy separados. En AM suelen formar callo
sólido de 5 a 6 semanas; en niños fusionan más rápido.
Valls, Jorge E., Perruello, Nicolas N., Aiello Carlos L. Ortopedia y Traumatología. 14. Fracturas – Parte
especial. 114 p. Editorial El Ateneo.
Lesión del plexo braquial:
Por traumatismo moderado-severo debido a
accidentes laborales, de tráfico o trauma
obstétrico.
Las lesiones pre-ganglionares nunca se
recuperan; las posganglionares, a veces lo
hacen.
Evaluación fácil del plexo braquial.
Las primeras ramas que salen del plexo braquial son los
nervios motores a los músculos romboides y elevador
de la escápula.
Si el paciente tiene fuerza en esos músculos, y puede
elevar la escápula, la lesión debe ser distal al origen de
estos nervios en el plexo, y el pronóstico será mejor
que el de un paciente que no puede elevar la escápula.
Dandy, David J. Traumatología y Ortopedia. 2. Trauma. 12. Lesiones del miembro superior. 186 -
190 pp. Editorial Manual moderno.
Tratamiento: clavícula.
Ortopédico:
Fx sin desplazamiento se ocupa el vendaje en 8. Algunos casos se
refuezan con vendas de yeso.
Quirúrgico:
Se utiliza en caso de lesión vascular, Fx con gran desplazamiento
y pseudoartrosis si no hay contraindicaciones.
Silberman, Fernando S. Traumatología y Ortopedia. 50. Fracturas y luxaciones de hombro. 337 p. 2da edición.
Editorial panamericana.
Tratamiento: húmero.
Las fracturas sin desplazamiento son tratadas con un cabestrillo o
con un yeso colgante que actúa como dispositivo de extensión.
La fractura conminuta y las fracturas-luxaciones
Siempre requieren tratamiento quirúrgico y varía en cada caso.
Silberman, Fernando S. Traumatología y Ortopedia. 50. Fracturas y luxaciones de hombro. 337 p. 2da edición. Editorial
panamericana.
Valls, Jorge E., Perruello, Nicolas N., Aiello Carlos L. Ortopedia y Traumatología. 14. Fracturas – Parte especial. 114 p. Editorial
El Ateneo.
En fracturas por aducción en niños debe
corregirse el desplazamiento por tracción y
abducción con yeso toracobraquial.
Valls, Jorge E., Perruello, Nicolas N., Aiello Carlos L. Ortopedia y Traumatología. 14. Fracturas – Parte
especial. 114 p. Editorial El Ateneo.
Cuando está desplazada y no hay enclavamiento se intenta
reducción manual traccionando el brazo en aducción y
anteposición, luego de desplazar hacia afuera el extremo
superior de la diáfisis. Para finalmente colocar un yeso colgante.
Valls, Jorge E., Perruello, Nicolas N., Aiello Carlos L. Ortopedia y Traumatología. 14. Fracturas – Parte
especial. 114 p. Editorial El Ateneo.
Tratamiento: escápula.
Ortopédico:
Más del 90% de las Fx de escápula están poco desplazadas. El Tx
conservador suele ser excelente.
Corrección de los desplazamientos mediante extensión continua,
con brazo en abducción durante 4 semanas. Después de los 40
años, se coloca férula de abducción y se llevan a cabo ejercicios
de mano, muñeca y codo.
A los 15 días se comienzan los inicios de hombro.
Valls, Jorge E., Perruello, Nicolas N., Aiello Carlos L. Ortopedia y Traumatología. 14. Fracturas – Parte
especial. 114 p. Editorial El Ateneo.
Quirúrgico:
Las fracturas tipo II requieren reducción abierta; las Fx tipo III
requieren abordaje anterior con colocación de tornillo
glenoideo.
Reducción Abierta y Fijación Interna en Fx tipo IV; tipo V
combinan tratamiento de II y V. Suelen causarse por impacto de
lata energía.
Rincón-Cardozo, Diego Fernando. Fractura compleja de escápula tratada con reducción y osteosíntesis con placa anatómica
bloqueada de calcáneo. Medicas UIS vol.27 no.3 Bicaramanga Sep./Dec. 2014.
http://www.scielo.org.co/scielo.php?script=sci_arttext&pid=S0121-03192014000300015
Pronóstico.
Clavícula: el pronóstico es bueno cuando no hay
desplazamiento mayor a 2 cm y no haya compromiso
de plexo braquial o vasos subclavios.
Húmero: en niños el pronóstico es excelente. En AM
puede presentarse rigidez del hombro.
Escápula: no hay complicaciones mayores si no hay
otras lesiones asociadas.
“Y es que claro, el pecho, el cuerpo no es nunca
más que uno; pero las almas que viven dentro
no son dos, ni cinco, sino innumerables; el
hombre es un tejido compuesto de muchos
hilos.”
- Hermann Hesse.

Fracturas de hombro

  • 1.
    Fracturas de hombro. BeneméritaUniversidad Autónoma de Puebla. Facultad de Medicina. Nosología y Clínica Quirúrgica del Aparato Músculo- Esquelético. Profesor: Dr. Eulogio López Calixto. Alumno: Marco Antonio Amador González.
  • 2.
    Definición. Pérdida de soluciónde continuidad de los huesos del hombro, dígase clavícula, escápula y la extremidad superior del húmero. Valls, Jorge E., Perruello, Nicolas N., Aiello Carlos L. Ortopedia y Traumatología. 14. Fracturas – Parte especial. 113 – 115 pp. Editorial El Ateneo. Dandy, David J. Traumatología y Ortopedia. 2. Trauma. 12. Lesiones del miembro superior. 186 - 190 pp. Editorial Manual moderno.
  • 5.
    Fisiopatología. Hecho con baseen: • San Roman, Eduardo., Neira, Jorge A., Tisminetzky, Gustavo. Trauma Prioridades. 15.1. Traumatismos Musculo-esqueléticos. 396 p. Editorial Panamericana. • Rosa-Pérez, Luis Julio. Lesiones Traumáticas. Cirugía Ortopédica y Traumatología II. http://sisbib.unmsm.edu.pe/bibvirtual/libros/medicina/cirugia/tomo_ii/lesiones_t.htm • Valls, Jorge E., Perruello, Nicolas N., Aiello Carlos L. Ortopedia y Traumatología. 13. Fracturas. 98 – 99 pp. Editorial El Ateneo.
  • 6.
    Tomado de: Valls, JorgeE., Perruello, Nicolas N., Aiello Carlos L. Ortopedia y Traumatología. Fisiopatología ósea y articular 14 p. Editorial El Ateneo.
  • 7.
    Etiología. La causa másfrecuente son los traumatismos indirectos sobre ésta región anatómica. Complican con luxación de la articulación gleno-humeral, esguinces y lesión del plexo braquial. Tomado de: Dandy, David J. Traumatología y Ortopedia. 2. Trauma. 12. Lesiones del miembro superior. 186 p. Editorial Manual moderno.
  • 8.
    Clasificación: fractura declavícula. Incompleta y completa. La fractura incompleta (tallo verde), es más común en niños (sin angulación); la fractura completa es más común en adultos mayores por descalcificación. Allman: Fracturas de tercio proximal, medio y distal. Silberman, Fernando S. Traumatología y Ortopedia. 50. Fracturas y luxaciones de hombro. 337 p. 2da edición. Editorial panamericana. Valls, Jorge E., Perruello, Nicolas N., Aiello Carlos L. Ortopedia y Traumatología. 14. Fracturas – Parte especial. 113 p. Editorial El Ateneo. Fractura de clavicula: Clasificación de Allman Allman F L, JBJS (A) 49:774-784, 1967
  • 9.
    García B, Cristian.Caso clínico-radiológico. Rev. chil. pediatr. v.75 n.2 Santiago mar. 2004. http://dx.doi.org/10.4067/S0370-41062004000200009
  • 10.
    Clasificación: fractura deextremidad superior del húmero. Clasificación de Neer: Se basa en la cantidad de fragmentos. Silberman, Fernando S. Traumatología y Ortopedia. 50. Fracturas y luxaciones de hombro. 337 p. 2da edición. Editorial panamericana.
  • 11.
    Clasificación de Anquin: Se basaen la localización anatómica de la fractura. Silberman, Fernando S. Traumatología y Ortopedia. 50. Fracturas y luxaciones de hombro. 337 p. 2da edición. Editorial panamericana.
  • 14.
    Clasificación: fracturas deescápula. Clasificación de Euler y Ruedi. • De cuerpo aislada o conminuta. • Apófisis. – Espina de la escápula. – Coracoides. – Acromion. Schulterchirurgie. Clasificación Euler y Ruedi de fracutas de Escapula. Edited by Habermeyer P, 261-272 ,1996.
  • 15.
    • Cuello dela escápula. – Cuello anatómico. – Cuello quirúrgico. – Cuello quirúrgico con: • Fractura de clavícula y acromion. • Rotura de ligamento coracoclavicular y coracoacromial. Schulterchirurgie. Clasificación Euler y Ruedi de fracutas de Escapula. Edited by Habermeyer P, 261-272 ,1996.
  • 16.
    • Fractura articular: –Reborde glenoideo. – Fosa glenoidea con: • Fragmento glenoideo interior. • Axial a la superficie glenoidea. • Con minuta. – Cuello escapular y cuerpo. • Combinadas. Schulterchirurgie. Clasificación Euler y Ruedi de fracutas de Escapula. Edited by Habermeyer P, 261-272 ,1996.
  • 18.
    Cuadro clínico: El pacientesostiene con su mano sana la lesión e inclina la cabeza hacia el lado fracturado. El hombro está deformado por el desplazamiento del muñón y el brazo está aproximado al tórax. Valls, Jorge E., Perruello, Nicolas N., Aiello Carlos L. Ortopedia y Traumatología. 14. Fracturas – Parte especial. 113 p. Editorial El Ateneo.
  • 19.
    Hay tumefacción edematosacon probable ulceración de la piel por fragmento fracturario y puede palparse la solución de continuidad. Signo de la tecla + crepitación Los movimientos activos están muy limitados (especialmente la abducción). Valls, Jorge E., Perruello, Nicolas N., Aiello Carlos L. Ortopedia y Traumatología. 14. Fracturas – Parte especial. 113 p. Editorial El Ateneo.
  • 20.
    Las fracturas delos extremos de la clavícula (menos frecuentes) con desplazamiento, pueden confundirse con luxaciones acromioclaviculares o esternoclaviculares). Valls, Jorge E., Perruello, Nicolas N., Aiello Carlos L. Ortopedia y Traumatología. 14. Fracturas – Parte especial. 113 p. Editorial El Ateneo.
  • 22.
    Cuadro clínico: húmero. Conenclavamiento fragmentario: dolor e impotencia funcional son de menor intensidad. La epífisis se mueve solidariamente con la diáfisis. Fracturas sin engranamiento: crepitación más movimiento anormal. Por abducción: angulación del eje braquial. Valls, Jorge E., Perruello, Nicolas N., Aiello Carlos L. Ortopedia y Traumatología. 14. Fracturas – Parte especial. 115 p. Editorial El Ateneo.
  • 23.
    Tumefacción + Signode Hennequin Signo de Hennequin: Equimosis extensa que abarca brazo, axila y en ocasiones tórax. Fractura cabalgada: hay acortamiento segmentario. Valls, Jorge E., Perruello, Nicolas N., Aiello Carlos L. Ortopedia y Traumatología. 14. Fracturas – Parte especial. 115 p. Editorial El Ateneo.
  • 25.
    Cuadro clínico: escápula. Fracturade cuerpo: se asocian con fracturas de costillas o neumotórax. Si hay desplazamiento no suele ser importante. Hay hematomas que ocupan las celdas subescapular, supra e infraespinosa. Valls, Jorge E., Perruello, Nicolas N., Aiello Carlos L. Ortopedia y Traumatología. 14. Fracturas – Parte especial. 114 p. Editorial El Ateneo.
  • 26.
    También suele asociarsecon contusión pulmonar, lesión del plexo braquial, lesión arterial, fracturas craneales y lesiones de columna. Signo de Comolli: tumefacción que asemeja la forma triangular de la escápula después de una fractura. Valls, Jorge E., Perruello, Nicolas N., Aiello Carlos L. Ortopedia y Traumatología. 14. Fracturas – Parte especial. 114 p. Editorial El Ateneo. Rincón-Cardozo, Diego Fernando. Fractura compleja de escápula tratada con reducción y osteosíntesis con placa anatómica bloqueada de calcáneo. Medicas UIS vol.27 no.3 Bicaramanga Sep./Dec. 2014. http://www.scielo.org.co/scielo.php?script=sci_arttext&pid=S0121-03192014000300015
  • 27.
    “Las fracturas escapularesconstituyen el 1% del todas las fracturas y el 5% de las fracturas de cintura escapular. Se deben, por lo regular, a traumatismos de alta energía.” - Dr. Diego Fernando Rincón Cardozo: Médico Ortopedista y Traumatólogo. Hospital de Santander.
  • 28.
    Exámenes paraclínicos. Fractura declavícula: Rx. Simple de hombro en proyección antero-posterior que incluya la articulación esterno-clavicular hasta la porción lateral del húmero. Agregar radiografía de tórax si se sospecha neumo o hemotórax. TAC cuando se sospecha de lesión intra-articular o cuando la fractura se encuentra en los extremos del hueso. TAC + reconstrucción 3D para evaluar consolidación de la fractura o cuando hay fractura desplazada. GPC. Tratamiento de fractura de clavícula en el adulto. Catalog Mtro Guías Pract Clin IMSS-584-12. http://www.cenetec.salud.gob.mx/descargas/gpc/CatalogoMaestro/584_GPC_Fxclaviculaenadulto/584GRR.pdf
  • 29.
    Fracturas de porciónsuperior del húmero: Son necesarias dos radiografías: anteroposterior y axial. También es conveniente realizar la proyección lateral de hombro. Patología Traumática. Primera Sección. 1. Fracturas del miembro superior. Fractuas del húmero. http://escuela.med.puc.cl/publ/OrtopediaTraumatologia/Trau_Secc01/Trau_Sec01_22.html
  • 30.
    Fracturas de escápula: Antero-posteriory lateral para cuerpo y acromion; proyección Stryker para practuras de la apófisis coracoides. TAC con reconstrucción 3D en plano transversal. Si hay neumo o hemotórax asociado agregar radiografía simple de tórax. Rincón-Cardozo, Diego Fernando. Fractura compleja de escápula tratada con reducción y osteosíntesis con placa anatómica bloqueada de calcáneo. Medicas UIS vol.27 no.3 Bicaramanga Sep./Dec. 2014. http://www.scielo.org.co/scielo.php?script=sci_arttext&pid=S0121-03192014000300015
  • 32.
    Complicaciones: Clavícula: lesión devasos subclavios o del plexo braquial. La pseudoartrosis es rara. La consolidación con cabalgamiento no tiene mucha importancia si no excede los 2 cm. En adultos mayores un tratamiento funcional incorrecto puede ocasionar rigidez del hombro. Valls, Jorge E., Perruello, Nicolas N., Aiello Carlos L. Ortopedia y Traumatología. 14. Fracturas – Parte especial. 114 p. Editorial El Ateneo.
  • 33.
    Escápula: Las complicaciones suelenser propias del traumatismo y de lesiones agregadas (P/E fractura de costillas). En mayores de 40 años se encuentra rigidez del hombro. Valls, Jorge E., Perruello, Nicolas N., Aiello Carlos L. Ortopedia y Traumatología. 14. Fracturas – Parte especial. 114 p. Editorial El Ateneo.
  • 34.
    Húmero: se asocianal traumatismo. Suelen ser acompañadas por luxación de la articulación gleno-humeral, lesión del plexo braquial y esguince de los ligamentos del hombro. No suelen presentar mayores problemas a menos que los fragmentos estén muy separados. En AM suelen formar callo sólido de 5 a 6 semanas; en niños fusionan más rápido. Valls, Jorge E., Perruello, Nicolas N., Aiello Carlos L. Ortopedia y Traumatología. 14. Fracturas – Parte especial. 114 p. Editorial El Ateneo.
  • 35.
    Lesión del plexobraquial: Por traumatismo moderado-severo debido a accidentes laborales, de tráfico o trauma obstétrico. Las lesiones pre-ganglionares nunca se recuperan; las posganglionares, a veces lo hacen.
  • 36.
    Evaluación fácil delplexo braquial. Las primeras ramas que salen del plexo braquial son los nervios motores a los músculos romboides y elevador de la escápula. Si el paciente tiene fuerza en esos músculos, y puede elevar la escápula, la lesión debe ser distal al origen de estos nervios en el plexo, y el pronóstico será mejor que el de un paciente que no puede elevar la escápula. Dandy, David J. Traumatología y Ortopedia. 2. Trauma. 12. Lesiones del miembro superior. 186 - 190 pp. Editorial Manual moderno.
  • 38.
    Tratamiento: clavícula. Ortopédico: Fx sindesplazamiento se ocupa el vendaje en 8. Algunos casos se refuezan con vendas de yeso. Quirúrgico: Se utiliza en caso de lesión vascular, Fx con gran desplazamiento y pseudoartrosis si no hay contraindicaciones. Silberman, Fernando S. Traumatología y Ortopedia. 50. Fracturas y luxaciones de hombro. 337 p. 2da edición. Editorial panamericana.
  • 39.
    Tratamiento: húmero. Las fracturassin desplazamiento son tratadas con un cabestrillo o con un yeso colgante que actúa como dispositivo de extensión. La fractura conminuta y las fracturas-luxaciones Siempre requieren tratamiento quirúrgico y varía en cada caso. Silberman, Fernando S. Traumatología y Ortopedia. 50. Fracturas y luxaciones de hombro. 337 p. 2da edición. Editorial panamericana. Valls, Jorge E., Perruello, Nicolas N., Aiello Carlos L. Ortopedia y Traumatología. 14. Fracturas – Parte especial. 114 p. Editorial El Ateneo.
  • 40.
    En fracturas poraducción en niños debe corregirse el desplazamiento por tracción y abducción con yeso toracobraquial. Valls, Jorge E., Perruello, Nicolas N., Aiello Carlos L. Ortopedia y Traumatología. 14. Fracturas – Parte especial. 114 p. Editorial El Ateneo.
  • 41.
    Cuando está desplazaday no hay enclavamiento se intenta reducción manual traccionando el brazo en aducción y anteposición, luego de desplazar hacia afuera el extremo superior de la diáfisis. Para finalmente colocar un yeso colgante. Valls, Jorge E., Perruello, Nicolas N., Aiello Carlos L. Ortopedia y Traumatología. 14. Fracturas – Parte especial. 114 p. Editorial El Ateneo.
  • 42.
    Tratamiento: escápula. Ortopédico: Más del90% de las Fx de escápula están poco desplazadas. El Tx conservador suele ser excelente. Corrección de los desplazamientos mediante extensión continua, con brazo en abducción durante 4 semanas. Después de los 40 años, se coloca férula de abducción y se llevan a cabo ejercicios de mano, muñeca y codo. A los 15 días se comienzan los inicios de hombro. Valls, Jorge E., Perruello, Nicolas N., Aiello Carlos L. Ortopedia y Traumatología. 14. Fracturas – Parte especial. 114 p. Editorial El Ateneo.
  • 44.
    Quirúrgico: Las fracturas tipoII requieren reducción abierta; las Fx tipo III requieren abordaje anterior con colocación de tornillo glenoideo. Reducción Abierta y Fijación Interna en Fx tipo IV; tipo V combinan tratamiento de II y V. Suelen causarse por impacto de lata energía. Rincón-Cardozo, Diego Fernando. Fractura compleja de escápula tratada con reducción y osteosíntesis con placa anatómica bloqueada de calcáneo. Medicas UIS vol.27 no.3 Bicaramanga Sep./Dec. 2014. http://www.scielo.org.co/scielo.php?script=sci_arttext&pid=S0121-03192014000300015
  • 45.
    Pronóstico. Clavícula: el pronósticoes bueno cuando no hay desplazamiento mayor a 2 cm y no haya compromiso de plexo braquial o vasos subclavios. Húmero: en niños el pronóstico es excelente. En AM puede presentarse rigidez del hombro. Escápula: no hay complicaciones mayores si no hay otras lesiones asociadas.
  • 46.
    “Y es queclaro, el pecho, el cuerpo no es nunca más que uno; pero las almas que viven dentro no son dos, ni cinco, sino innumerables; el hombre es un tejido compuesto de muchos hilos.” - Hermann Hesse.