EMERGENCIA
Hospital Quito N°1 de la Policía Nacional
Universidad Internacional del Ecuador
Gloria Paz Contreras Yametti
Emergencia 08
  Antecedentes Personales y Familiares Relevantes
  Alergias: (-)
  APP:
  •HTA en tratamiento hace año y medio con clortalidona y losartán
  •HPB en tratamiento con tamsulosina hace 8 meses
  •Hipotiroidismo en tratamiento con levotiroxina
  •Tabaquismo: negativo hace 2 años (8/día)

Enfermedad Actual y Revisión de Sistemas
Paciente masculino, de 73 años , que acude por un cuadro clínico de 7 días de
evolución caracterizado por cefaleas, mareos, desorientación , pérdida de
lucidez, pérdida de control de esfínteres, parestesias en brazo derecho,
síntomas presentados luego de un episodio de pérdida de la conciencia súbito
sin causa aparente. Familiar refiere que paciente no estaba tomando
medicación antihipertensiva y que hace aproximadamente 2 meses sufrió caída
desde su propia altura con trauma contuso de cráneo, sin cuadro clínico
asociado. Hace 24 horas acuden con paciente a facultativo quien prescribió
Novalgina 2.5 mg y Dexametasona 4 mg.
Emergencia 08
    Signos Vitales, mediciones y valores
    • Tensión Arterial: 100/66         • Temperatura: 37 ° C
    • Frecuencia cardiaca: 88          • Saturación de Oxígeno al ambiente: 91%
    • Frecuencia respiratoria: 24      • Glasgow: 15/15


Examen Físico

Paciente consciente, orientado en espacio y autopsiquicamente, hidratado, afebril.
Tórax: simétrico, expansibilidad conservada, sin retracciones
•Corazón: Ruidos Cardiacos Rítmicos, no soplos.
•Pulmones: Murmullo vesicular conservado, sin ruidos sobreañadidos.
Abdomen: blando, depresible, RHA presentes, no doloroso.
ENE: Púpilas reactivas a la luz, movimientos oculares conservados, pares craneales
valorados (II, III, IV, V, VI, VII, X, XI, XII) normales, fuerza y sensibilidad conservada
en 4 extremidades, no focalidad neurológica.
Extremidades: no edemas, pulsos distales presentes.
HIPÓTESIS DIAGNÓSTICA??
• CEFALEA PERSISTENTE Y
  REFRACTARIA AL TRATAMIENTO               SÍNDROME DE
• DEFICIT NEUROLÓGICO FOCAL                HIDROCEFALIA
• INCONTINENCIA ESFINTEREANA              NORMOTENSIVA
• TRASTORNOS DE LAS FUNCIONES
  MENTALES SUPERIORES
• TRASTORNOS PARA LA MARCHA
                                           DIAGNÓSTICO
                                           DIFERENCIAL




 HEMATOMA          ENFERMEDAD        TUMORES             ENFERMEDADES
  SUBDURAL           CEREBRO        FRONTALES            DEGENERATIVAS
                    VASCULAR        BENIGNOS O
                                     MALIGNOS


    TRAUMA           ABSCESO ENCEFÁLICO        CRISIS         MIGRAÑA
CRANEOENCEFÁLICO         ENCEFALITIS        CONVULSIVAS
EXÁMENES DE LABORATORIO
Biometría Hemática
Química Sanguínea
• BUN 29
• CREATININA 1.5
• GLUCOSA BASAL 214



Electrolitos
• SODIO 137
• POTASIO 3.7
• CLORO 105
EKG
EKG
EKG
EKG
EKG
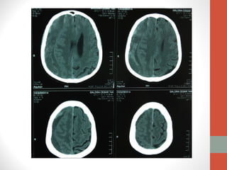
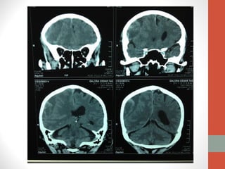
Tomografía
Simple de
Cráneo
DIAGNÓSTICO

HEMATOMA SUBDURAL
S06.5 HEMORRAGIA SUBDURAL TRAUMÁTICA
Hematoma Subdural Crónico
• Acúmulo de sangre en el espacio subdural.
  • Entre la aracnoides y la duramadre.
  • Espacio virtual, fácilmente expansible, a costa de colapsar el
    cerebro subyacente.

• TAC
  • Mayor densidad (más blanca) que el cerebro.
     • Sangre, células y otros componentes indican que es relativamente
       reciente su formación
  • Menor densidad (más negra) que el cerebro.
     • Las células y la mayor parte de las proteínas degradadas,
       correspondiéndose con un líquido amarillento hiperproteico; indican
       varios meses de antelación.
• NOMURA
• NAKAGUCHI
                   •   Hiperdenso
 •   Homogéneo
                   •   Isodenso
 •   Laminar
                   •   Hipodenso
 •   Separado
                   •   Mixto
 •   Trabecular
                   •   Layering
Neurocirugía
• Dg: Hematoma Subdural         • Manejo clínico:
  Crónico secundario a            • NPO 4h + probar tolerancia
  Trauma                            con dieta blanda
  Craneoencefálico                • CSV
                                  • Capelina
                                  • Cuantificar drenaje y
• Tratamiento quirúrgico:           mantener presión a la mitad
  Drenaje del HSD.                • SS 0.9% 1000 cc 60 cc/h
  •   Hallazgo: 100 cc HSD        • Metamizol 1 gr VO c/6h
  •   Sangrado: 80 cc             • Cefalexina VO 1 gr c/8h
  •   Complicaciones: ninguna     • Omeprazol 40 mg VO QD
  •   Drenaje: Jackson Prat       • Medicación habitual
Neurocirugía
S   Paciente refiere dolor en sitio quirúrgico, más no parestesias en
    miembro superior, control de esfínteres.

O   Conciente, orientado alop y autopsiquicamente, Glasgow 15/15,
    afebril, hidratado. Cabeza: apósitos secos, drenaje permeable, 12
    cc de liquido hemático. Púpilas isocóricas y reactivas a la luz. CP:
    RsCsRs no soplos, Murmullo vesicular conservado en ambos
    campos pulmonares. Ab: blando, depresible, no doloroso, RHA (+).
    Extremidades: no edema, fuerza y sensibilidad conservada, ROTs
    2/5. ENE: nominación de palabras y repetición normal.

A   Paciente estable, presenta mejoría de su estado neurológico.

P   Dieta + drenaje + analgesia + protección gástrica + medicación
    habitual
HEMATOMA SUBDURAL CRÓNICO
DEFINICIÓN
Colección de lenta y sostenida progresión ubicada entre la
duramadre y la aracnoides, que se origina de una hemorragia
subdural traumática, seguida de un proceso de hiperfibrinólisis y
licuefacción del coagulo y restos hemáticos de manera que se
activa una respuesta inflamatoria que condiciona la formación
de membranas ricamente vascularizadas, lo que lleva a una
acumulación de plasma y resangrados dentro de la cavidad
neoformada, cuyo rico contenido proteico ejerce, as u vez, un
mecanismo de presión oncótica.

La presión sobre el cerebro finalmente vence la tolerancia
individual de cada paciente y da manifestaciones clínicas.

Antecedente de traumatismo mínimo 3 semanas
FACTORES DE RIESGO

• Edad
  • Media 74.5 años (28 a 96 años)
• Crisis convulsivas
• Alcoholismo
• Coagulopatía
BIBLIOGRAFÍA
• Diagnóstico y tratamiento del Hematoma Subdural Crónico
  Traumático en pacientes mayores de 18 años.
  Guía de práctica clínica: IMSS-1709-09

• Tratado de Medicina Interna de Harrison 17ª edición.

• http://fundacionannavazquez.wordpress.com/2007/06/06/hematoma-su

• http://danielneurocirugia.blogspot.com/2012/06/hematoma-subdural-cr
GRACIAS

HEMATOMA SUBDURAL CRÓNICO

  • 1.
    EMERGENCIA Hospital Quito N°1de la Policía Nacional Universidad Internacional del Ecuador Gloria Paz Contreras Yametti
  • 2.
    Emergencia 08 Antecedentes Personales y Familiares Relevantes Alergias: (-) APP: •HTA en tratamiento hace año y medio con clortalidona y losartán •HPB en tratamiento con tamsulosina hace 8 meses •Hipotiroidismo en tratamiento con levotiroxina •Tabaquismo: negativo hace 2 años (8/día) Enfermedad Actual y Revisión de Sistemas Paciente masculino, de 73 años , que acude por un cuadro clínico de 7 días de evolución caracterizado por cefaleas, mareos, desorientación , pérdida de lucidez, pérdida de control de esfínteres, parestesias en brazo derecho, síntomas presentados luego de un episodio de pérdida de la conciencia súbito sin causa aparente. Familiar refiere que paciente no estaba tomando medicación antihipertensiva y que hace aproximadamente 2 meses sufrió caída desde su propia altura con trauma contuso de cráneo, sin cuadro clínico asociado. Hace 24 horas acuden con paciente a facultativo quien prescribió Novalgina 2.5 mg y Dexametasona 4 mg.
  • 3.
    Emergencia 08 Signos Vitales, mediciones y valores • Tensión Arterial: 100/66 • Temperatura: 37 ° C • Frecuencia cardiaca: 88 • Saturación de Oxígeno al ambiente: 91% • Frecuencia respiratoria: 24 • Glasgow: 15/15 Examen Físico Paciente consciente, orientado en espacio y autopsiquicamente, hidratado, afebril. Tórax: simétrico, expansibilidad conservada, sin retracciones •Corazón: Ruidos Cardiacos Rítmicos, no soplos. •Pulmones: Murmullo vesicular conservado, sin ruidos sobreañadidos. Abdomen: blando, depresible, RHA presentes, no doloroso. ENE: Púpilas reactivas a la luz, movimientos oculares conservados, pares craneales valorados (II, III, IV, V, VI, VII, X, XI, XII) normales, fuerza y sensibilidad conservada en 4 extremidades, no focalidad neurológica. Extremidades: no edemas, pulsos distales presentes.
  • 4.
  • 5.
    • CEFALEA PERSISTENTEY REFRACTARIA AL TRATAMIENTO SÍNDROME DE • DEFICIT NEUROLÓGICO FOCAL HIDROCEFALIA • INCONTINENCIA ESFINTEREANA NORMOTENSIVA • TRASTORNOS DE LAS FUNCIONES MENTALES SUPERIORES • TRASTORNOS PARA LA MARCHA DIAGNÓSTICO DIFERENCIAL HEMATOMA ENFERMEDAD TUMORES ENFERMEDADES SUBDURAL CEREBRO FRONTALES DEGENERATIVAS VASCULAR BENIGNOS O MALIGNOS TRAUMA ABSCESO ENCEFÁLICO CRISIS MIGRAÑA CRANEOENCEFÁLICO ENCEFALITIS CONVULSIVAS
  • 6.
  • 7.
  • 8.
    Química Sanguínea • BUN29 • CREATININA 1.5 • GLUCOSA BASAL 214 Electrolitos • SODIO 137 • POTASIO 3.7 • CLORO 105
  • 9.
  • 10.
  • 11.
  • 12.
  • 13.
  • 14.
  • 20.
  • 21.
    Hematoma Subdural Crónico •Acúmulo de sangre en el espacio subdural. • Entre la aracnoides y la duramadre. • Espacio virtual, fácilmente expansible, a costa de colapsar el cerebro subyacente. • TAC • Mayor densidad (más blanca) que el cerebro. • Sangre, células y otros componentes indican que es relativamente reciente su formación • Menor densidad (más negra) que el cerebro. • Las células y la mayor parte de las proteínas degradadas, correspondiéndose con un líquido amarillento hiperproteico; indican varios meses de antelación.
  • 22.
    • NOMURA • NAKAGUCHI • Hiperdenso • Homogéneo • Isodenso • Laminar • Hipodenso • Separado • Mixto • Trabecular • Layering
  • 23.
    Neurocirugía • Dg: HematomaSubdural • Manejo clínico: Crónico secundario a • NPO 4h + probar tolerancia Trauma con dieta blanda Craneoencefálico • CSV • Capelina • Cuantificar drenaje y • Tratamiento quirúrgico: mantener presión a la mitad Drenaje del HSD. • SS 0.9% 1000 cc 60 cc/h • Hallazgo: 100 cc HSD • Metamizol 1 gr VO c/6h • Sangrado: 80 cc • Cefalexina VO 1 gr c/8h • Complicaciones: ninguna • Omeprazol 40 mg VO QD • Drenaje: Jackson Prat • Medicación habitual
  • 24.
    Neurocirugía S Paciente refiere dolor en sitio quirúrgico, más no parestesias en miembro superior, control de esfínteres. O Conciente, orientado alop y autopsiquicamente, Glasgow 15/15, afebril, hidratado. Cabeza: apósitos secos, drenaje permeable, 12 cc de liquido hemático. Púpilas isocóricas y reactivas a la luz. CP: RsCsRs no soplos, Murmullo vesicular conservado en ambos campos pulmonares. Ab: blando, depresible, no doloroso, RHA (+). Extremidades: no edema, fuerza y sensibilidad conservada, ROTs 2/5. ENE: nominación de palabras y repetición normal. A Paciente estable, presenta mejoría de su estado neurológico. P Dieta + drenaje + analgesia + protección gástrica + medicación habitual
  • 25.
  • 26.
    DEFINICIÓN Colección de lentay sostenida progresión ubicada entre la duramadre y la aracnoides, que se origina de una hemorragia subdural traumática, seguida de un proceso de hiperfibrinólisis y licuefacción del coagulo y restos hemáticos de manera que se activa una respuesta inflamatoria que condiciona la formación de membranas ricamente vascularizadas, lo que lleva a una acumulación de plasma y resangrados dentro de la cavidad neoformada, cuyo rico contenido proteico ejerce, as u vez, un mecanismo de presión oncótica. La presión sobre el cerebro finalmente vence la tolerancia individual de cada paciente y da manifestaciones clínicas. Antecedente de traumatismo mínimo 3 semanas
  • 27.
    FACTORES DE RIESGO •Edad • Media 74.5 años (28 a 96 años) • Crisis convulsivas • Alcoholismo • Coagulopatía
  • 34.
    BIBLIOGRAFÍA • Diagnóstico ytratamiento del Hematoma Subdural Crónico Traumático en pacientes mayores de 18 años. Guía de práctica clínica: IMSS-1709-09 • Tratado de Medicina Interna de Harrison 17ª edición. • http://fundacionannavazquez.wordpress.com/2007/06/06/hematoma-su • http://danielneurocirugia.blogspot.com/2012/06/hematoma-subdural-cr
  • 35.