ENFOQUE DEL PACIENTE
    CON HEMATURIA



      JUAN PABLO SALDARRIAGA B.
            RESIDENTE UROLOGIA.
                  SEGUNDO AÑO.
                         U DE A.
 DEFINICIÓN.

 CLASIFICACIÓN.

 EPIDEMIOLOGÍA.

 CAUSAS.

 EVALUACIÓN.

 LABORATORIO.

 IMÁGENES.

 CISTOSCOPIA.
DEFINICIÓN.

  Presencia de una cantidad anormal de
   glóbulos rojos en orina.




            MASAHITO JIMBO, MD. EVALUATION AND MANAGEMENT OF HEMATURIA. PRIM CARE CLIN OFFICE PRACT 37 (2010) 461–472.
CLASIFICACIÓN.
 HEMATURIA
 MACROSCÓPICA:
 • Coágulos visibles (1ml/1l).




 HEMATURIA MICROSCÓPICA :
 • Más de 3 glóbulos rojos por
   CAP, en más de 2 de 3
   muestras.
              MASAHITO JIMBO, MD. EVALUATION AND MANAGEMENT OF HEMATURIA. PRIM CARE CLIN OFFICE PRACT 37 (2010) 461–472.
CLASIFICACIÓN.

  HEMATURIA GLOMERULAR:
   • Sugestiva de enfermedad renal.
     o Eritrocitos dismórficos.


  HEMATURIA NO GLOMERULAR:
   • Sugestiva de enfermedad urológica.
     o Eritrocitos frescos.



             MASAHITO JIMBO, MD. EVALUATION AND MANAGEMENT OF HEMATURIA. PRIM CARE CLIN OFFICE PRACT 37 (2010) 461–472.
¿FALSA HEMATURIA?

                                                      Fármacos.
 Alimentos.
                                                        o Azatioprina.
   o Remolacha.
                                                        o Metronidazol.
   o Moras.
                                                        o Antipalúdicos.
                                                        o Sulfamidas
 Pigmentos endógenos.
                                                        o Rifampicina.
   o Mioglobina.
                                                        o Nitrofurantoina.
   o Hemoglobina.
                                                        o Fenotiacinas.
   o Porfirinas.
                                                        o L-Dopa y Metil dopa.
   o Bilirrubina.
                                                        o Cistostáticos .
   o Uratos.
                                                        o Ibuprofeno.
                                                        o Anticoagulantes.

                  MASAHITO JIMBO, MD. EVALUATION AND MANAGEMENT OF HEMATURIA. PRIM CARE CLIN OFFICE PRACT 37 (2010) 461–472.
EPIDEMIOLOGÍA.
 Prevalencia del 0.16% al 16.1%.
 Hematuria intermitente 6% al 39%.
 Hematuria persistente 0.5% al 2%.
 Corresponde al 6-20% consulta urológica
 Un 5% puede ser secundario a enfermedad
  maligna.
 22% si es hematuria macroscópica.


           EDWARD J. YUN, MD, MAXWELL V. MENG, MD. EVALUATION OF THE PATIENT WITH HEMATURIA. MED CLIN N AM 88 (2004) 329–343.
               MASAHITO JIMBO, MD. EVALUATION AND MANAGEMENT OF HEMATURIA. PRIM CARE CLIN OFFICE PRACT 37 (2010) 461–472.
EPIDEMIOLOGÍA.
   Malignidad es 2 veces más frecuente en
        hombres.

   Tumor vesical:
        • 85% presentan hematuria.
        • 10% hematuria macro es por Ca vesical.
        • 2-5% hematuria micro es por Ca vesical.


   Tumor renal: 40%
KEREN ELIAS, ROBERT S. SVATEK, SAMIR GUPTA. HIGH-RISK PATIENTS WITH HEMATURIA ARE NOT EVALUATED ACCORDING TO GUIDELINERECOMMENDATIONS.
                                                                                                                   CANCER .JUNE 15, 2010.
FACTORES DE RIESGO PARA ENFERMEDAD
UROLÓGICA SIGNIFICATIVA.


   Sobreuso de medicamentos analgésicos (AINES).
   Edad >40 años
   Exposición a radiación pélvica.
   Exposición a ciertas drogas. (Fenotiacinas,
    Ciclofosfamida y Antirretrovirales).
FACTORES DE RIESGO PARA ENFERMEDAD
UROLÓGICA SIGNIFICATIVA.

 Historia de hematuria macroscópica.
 Historia de ITU o de síntomas irritativos urinarios.
 Exposición ocupacional a sustancias químicas
   (Ej: aminas aromáticas o bencenos).
 Tabaquismo.
 Enfermedad urológica previa
   (Ej: Urolitiasis, tumores urológicos).
CAUSAS.
 Se encuentra la causa en el 32 a 100%.

 Causas benignas significantes: 3.4 a 27%.

 Malignidad: 0 a 26%.

 Las causas no malignas más frecuentes son las
  infecciones.

 Warfarina y hematuria.

                 MASAHITO JIMBO, MD. EVALUATION AND MANAGEMENT OF HEMATURIA. PRIM CARE CLIN OFFICE PRACT 37 (2010) 461–472.
EDWARD J. YUN, MD, MAXWELL V. MENG, MD. EVALUATION OF THE PATIENT WITH HEMATURIA. MED CLIN N AM 88 (2004) 329–343.
EVALUACIÓN CLÍNICA.

 Historia clínica.
  • Descartar causas benignas.
  • Determinar factores de riesgo.


 Examen físico.




     EDWARD J. YUN, MD, MAXWELL V. MENG, MD. EVALUATION OF THE PATIENT WITH HEMATURIA. MED CLIN N AM 88 (2004) 329–343.

                     MASAHITO JIMBO, MD. EVALUATION AND MANAGEMENT OF HEMATURIA. PRIM CARE CLIN OFFICE PRACT 37 (2010) 461–472.
EXÁMENES DE LABORATORIO.

 Uroanálisis.
  • Tiras reactivas.
  • Citoquímico de orina.

 Citología urinaria.

 Urocultivo.

 Creatinina y Depuración de creatinina.

 Otros.
                MASAHITO JIMBO, MD. EVALUATION AND MANAGEMENT OF HEMATURIA. PRIM CARE CLIN OFFICE PRACT 37 (2010) 461–472.
TIRAS REACTIVAS.

 Sensibilidad 91 al 100%.
 Especificidad 65 al 99%.
 Detecta la actividad de la peroxidasa del
  eritrocito.
 Puede detectar desde 1 a 2 Eri/CAP.
 Requiere siempre confirmación con estudio
  microscópico.

     EDWARD J. YUN, MD, MAXWELL V. MENG, MD. EVALUATION OF THE PATIENT WITH HEMATURIA. MED CLIN N AM 88 (2004) 329–343
                     MASAHITO JIMBO, MD. EVALUATION AND MANAGEMENT OF HEMATURIA. PRIM CARE CLIN OFFICE PRACT 37 (2010) 461–472.
TIRAS REACTIVAS.

    o FALSOS +                  o FALSOS -

• Mioglobunuria.    •    Agentes reductores
• Hipoclorito            como Ac ascórbico.
  Iodopovidona      •    PH urinario < a 5.1 .
  Clorhexidina.     •    Tiras expuestas al aire.
• Menstruación.
• Deshidratación.
• Ejercicio.
                        RICHARD J BRYANT, JAMES WF CATTO. HAEMATURIA. RENAL AND UROLOGY. 2008.
CITOQUÍMICO DE ORINA.
 Adecuada recolección.


 Se requieren 10-15 mL.


 Diferencia origen de hematuria.


 La presencia de proteinuria sugiere origen
  glomerular.

                       EDWARD J. YUN, MD, MAXWELL V. MENG, MD. EVALUATION OF THE PATIENT WITH HEMATURIA. MED CLIN N AM 88 (2004) 329–343

                MASAHITO JIMBO, MD. EVALUATION AND MANAGEMENT OF HEMATURIA. PRIM CARE CLIN OFFICE PRACT 37 (2010) 461–472.
CITOLOGÍA URINARIA.

 Sensibilidad 66-79%.


 Especificidad 95-100%.


 En muestras seriadas aumentan la
  sensibilidad.

 Tumor vesical de alto grado.
            MASAHITO JIMBO, MD. EVALUATION AND MANAGEMENT OF HEMATURIA. PRIM CARE CLIN OFFICE PRACT 37 (2010) 461–472.
UROCULTIVO.
 Síntomas irritativos.
 Historia de ITU.


CREATININA Y DEPURACIÓN.
 Sospecha enfermedad glomerular.




            MASAHITO JIMBO, MD. EVALUATION AND MANAGEMENT OF HEMATURIA. PRIM CARE CLIN OFFICE PRACT 37 (2010) 461–472.
ESTUDIOS DE IMAGEN.
    Cambios significativos por técnicas nuevas.
    No existe una guía unificada.
    Los ppales son*:
         • Rx simple de abdomen.
         • Ecografía.*
         • Urografía intravenosa.
         • Urografía por tomografía.*
         • Urografía por resonancia?


KEVIN N. O’REGAN, OWEN J. O’CONNOR, MD, PATRICK MCLOUGHLIN. THE ROLE OF IMAGING IN THE INVESTIGATION OF PAINLESS HEMATURIA IN ADULTS. SEMIN
                                                                                                        ULTRASOUND CT MRI 30:258-270. 2009.
                                         MASAHITO JIMBO, MD. EVALUATION AND MANAGEMENT OF HEMATURIA. PRIM CARE CLIN OFFICE PRACT 37 (2010) 461–472.
ESTUDIOS DE IMAGEN.
  Bajo riesgo: US + cistoscopia.
  Mediano riesgo: US + Cistoscopia.
       • Si ambos son negativos UE o UTC.
  Alto riesgo: UTC + Cistoscopia.




KEVIN N. O’REGAN, OWEN J. O’CONNOR, MD, PATRICK MCLOUGHLIN. THE ROLE OF IMAGING IN THE INVESTIGATION OF PAINLESS HEMATURIA IN ADULTS. SEMIN
                                                                                                        ULTRASOUND CT MRI 30:258-270. 2009.
RX DE ABDOMEN.
  Bajo costo.
  Disponibilidad.
  Solo tiene cabida en sospecha
   de litiasis.
  Sensibilidad 60% en cálculos
   menores de 5 mm.
  No se recomienda en el estudio
   de hematuria
KEVIN N. O’REGAN, OWEN J. O’CONNOR, MD, PATRICK MCLOUGHLIN. THE ROLE OF IMAGING IN THE INVESTIGATION OF PAINLESS HEMATURIA IN ADULTS. SEMIN
                                                                                                        ULTRASOUND CT MRI 30:258-270. 2009.
ECOGRAFÍA RENAL Y VÍAS
URINARIAS.
  Prueba no invasiva, segura.


  No es la primera opción en hematuria.


  Poca sensibilidad en litiasis no obstructiva.
   (sensibilidad 24%)

  Útil en la detección de masas renales y quistes.

              MASAHITO JIMBO, MD. EVALUATION AND MANAGEMENT OF HEMATURIA. PRIM CARE CLIN OFFICE PRACT 37 (2010) 461–472.
UROGRAFÍA INTRAVENOSA.
 Considerada anteriormente como el estudio de
  elección en hematuria.
 Costoefectividad.
 10 millones de UE 1975 - 600.000 UE en 1995.
 Sensibilidad:
    • Masas < 2 cms: 21%.
    • Masas de 2 cms: 52%
    • Masas > 3 cms: 85%.
 En urolitiasis sensibilidad del 52-59%.
 No distingue entre masas y quistes.
KEVIN N. O’REGAN, OWEN J. O’CONNOR, MD, PATRICK MCLOUGHLIN. THE ROLE OF IMAGING IN THE INVESTIGATION OF PAINLESS HEMATURIA IN ADULTS.
                                                                                           SEMIN ULTRASOUND CT MRI 30:258-270. 2009.
DESVENTAJAS.
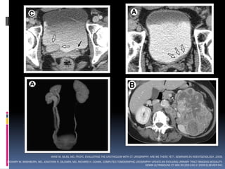
UROGRAFÍA POR TOMOGRAFÍA.

              Estudio de elección para la evaluación renal y
               tracto urinario.
              La hematuria es la indicación más común.
              Reemplazó la urografía excretora.
              Fases de acuerdo a la pregunta.
              Bolo simple vs Doble bolo.
              En hematuria monosintomática?

                              ANNE M. SILAS, MD, FRCPC. EVALUATING THE UROTHELIUM WITH CT UROGRAPHY: ARE WE THERE YET?. SEMINARS IN ROENTGENOLOGY. 2009.
ZACHARY W. WASHBURN, MD, JONATHAN R. DILLMAN, MD, RICHARD H. COHAN. COMPUTED TOMOGRAPHIC UROGRAPHY UPDATE:AN EVOLVING URINARY TRACT IMAGING MODALITY.
                                                                                               SEMIN ULTRASOUND CT MRI 30:233-245 © 2009 ELSEVIER INC.
 Gray-Sears(2002): TC vs UE.
  • Sensibilidad 100% vs 60.5%
  • Especificidad 97.4% vs 90.9%
ANNE M. SILAS, MD, FRCPC. EVALUATING THE UROTHELIUM WITH CT UROGRAPHY: ARE WE THERE YET?. SEMINARS IN ROENTGENOLOGY. 2009.
ZACHARY W. WASHBURN, MD, JONATHAN R. DILLMAN, MD, RICHARD H. COHAN. COMPUTED TOMOGRAPHIC UROGRAPHY UPDATE:AN EVOLVING URINARY TRACT IMAGING MODALITY.
                                                                                               SEMIN ULTRASOUND CT MRI 30:233-245 © 2009 ELSEVIER INC.
•468 pacientes con hematuria.

•Estudio retrospectivo.

• Sensibilidad del 64% y especificidad del 98%

• VPP 76% y VPN 96%
URORESONANCIA.




ZACHARY W. WASHBURN, MD, JONATHAN R. DILLMAN, MD, RICHARD H. COHAN. COMPUTED TOMOGRAPHIC UROGRAPHY UPDATE:AN EVOLVING URINARY TRACT IMAGING MODALITY.
                                                                                               SEMIN ULTRASOUND CT MRI 30:233-245 © 2009 ELSEVIER INC.
CISTOSCOPIA.
 Estudio de elección para evaluar el tracto urinario
  inferior.

 Anestesia local.

 Se puede adquirir biopsia.

 Cistoscopia + imagen tracto
  superior.

 Ureteropielorrenoscopia?
       EDWARD J. YUN, MD, MAXWELL V. MENG, MD. EVALUATION OF THE PATIENT WITH HEMATURIA. MED CLIN N AM 88 (2004) 329–343.
                       MASAHITO JIMBO, MD. EVALUATION AND MANAGEMENT OF HEMATURIA. PRIM CARE CLIN OFFICE PRACT 37 (2010) 461–472.
Hematuria microscópica asintomática: Evaluación inicial.

    Paciente con diagnóstico reciente de hematuria microscópica asintomática.*



          Excluir causas benignas como menstruación, ejercicio vigoroso,
              actividad sexual, enfermedad viral, trauma o infección.



Si uno o mas de los siguientes esta         Si las condiciones sugestivas de
presente:                                   enfermedad renal primaria no estan
Hematuria microscópica                     presentes o si alguno de los
acompañada de proteinuria                   siguientes esta presente:
significativa.**                            Edad > 40 años.
Eritrocitos dismórficos en el              Historia de hematuria macroscópica.
sedimento.                                  Historia de síntomas irritativos
Creatinina serica elevada (según           urinarios.
valores de referencia para hombres          Exposición ocupacional a
y mujeres).                                 sustancias químicas (Ej: aminas
                                            aromáticas o bencenos).
                                            Tabaquismo.
                                            Enfermedad urológica previa.
Evaluación para enfermedad renal
            primaria.

                                                   Evaluación urológica.
Hematuria microscópica asintomática: Evaluación urológica.
                                   Paciente sin condición sugestiva de enfermedad renal primaria.


                              Paciente de bajo riesgo:                                        Paciente de alto riesgo.
                                   Edad < de 40 años.
                           No historia de tabaquismo.
                  No historia de exposición a agentes químicos.
                         No síntomas irritativos urinarios.
                         No historia de hematuria macroscópica.
                          No historia de enfermedad urológica.

                         Imágenes del tracto superior
                                                                                         Evaluación completa (Imágenes de
                                                                                       tracto superior, citología y cistoscopia).
                  Citología                       Cistoscopia


                                                                                            Positivo                Negativo
                                             Negativo           Positivo


                                                              Tratamiento                Tratamiento

Positiva, atípica o           Negativo           Considerar                    Uroanálisis, presión arteria y citología a los 6, 12, 24 y
  sospechosa                                                                                          36 meses

                                                                 Negativo por 3          Hematuria persistente,                Hematuria
    Cistoscopia                   Negativo
                                                                     años                    hipertensión,            macroscópica, citología
                                                                                         proteinuria, sangrado           anormal, síntomas
     Positivo                                                                                 glomerular              irritativos sin infección.
                                                                No requiere más
   Tratamiento                                                      estudios           Evaluar para enfermedad           Repetir evaluación
                                                                                            renal primaria.                 completa


                                                        Sangrado glomerular o proteinuria                 Hematuria aislada

                                                                       Biopsia renal                    Biopsia controversial
BIBLIOGRAFIA.
1.   JAMISON S. JAFFE, PHILLIP C. GINSBERG, RAJI GILL. A NEW DIAGNOSTIC ALGORITHM FOR THE
     EVALUATION OF MICROSCOPIC HEMATURIA. UROLOGY 57: 889–894,2001.


2.   VITALY MARGULIS, MD*, ARTHUR I. SAGALOWSKY, MD. ASSESSMENT OF HEMATURIA. MED CLIN N AM 95
     (2011) 153–159.

3.   ZACHARY W. WASHBURN, MD, JONATHAN R. DILLMAN, MD, RICHARD H. COHAN. COMPUTED
     TOMOGRAPHIC UROGRAPHY UPDATE:AN EVOLVING URINARY TRACT IMAGING MODALITY. SEMIN
     ULTRASOUND CT MRI 30:233-245 © 2009 ELSEVIER INC.


4.   ANNE M. SILAS, MD, FRCPC. EVALUATING THE UROTHELIUM WITH CT UROGRAPHY: ARE WE THERE YET?.
     SEMINARS IN ROENTGENOLOGY. 2009.


5.   MASAHITO JIMBO, MD. EVALUATION AND MANAGEMENT OF HEMATURIA. PRIM CARE CLIN OFFICE PRACT
     37 (2010) 461–472.


6.   EDWARD J. YUN, MD, MAXWELL V. MENG, MD. EVALUATION OF THE PATIENT WITH HEMATURIA. MED CLIN
     N AM 88 (2004) 329–343.


7.   RICHARD J BRYANT, JAMES WF CATTO. HAEMATURIA. RENAL AND UROLOGY. 2008.


8.   KEREN ELIAS, ROBERT S. SVATEK, SAMIR GUPTA. HIGH-RISK PATIENTS WITH HEMATURIA ARE NOT
     EVALUATED ACCORDING TO GUIDELINERECOMMENDATIONS. CANCER .JUNE 15, 2010.
9.   KONSTANTINOS CHLAPOUTAKISA, NICHOLAS THEOCHAROPOULOSB,C, SPYROS YARMENITIS.
     PERFORMANCE OF COMPUTED TOMOGRAPHIC UROGRAPHY IN DIAGNOSIS OF UPPER URINARY
     TRACT UROTHELIAL CARCINOMA, IN PATIENTS PRESENTING WITH HEMATURIA:SYSTEMATIC
     REVIEW AND META-ANALYSIS. EUROPEAN JOURNAL OF RADIOLOGY 73 (2010) 334–338.

10. ÜNSALA, EDA KAZAK C¸ ALIS¸ KANA, HALUK EROLB. THE DIAGNOSTIC EFFICIENCY OF ULTRASOUND
    GUIDED IMAGING ALGORITHM IN EVALUATION OF PATIENTS WITH HEMATURIA. EUROPEAN
    JOURNAL OF RADIOLOGY (2009).

11. KEVIN N. O’REGAN, OWEN J. O’CONNOR, MD, PATRICK MCLOUGHLIN. THE ROLE OF IMAGING IN THE
     INVESTIGATION OF PAINLESS HEMATURIA IN ADULTS. SEMIN ULTRASOUND CT MRI 30:258-270.
     2009.

12. SANDOR A. JOFFE, SABAH SERVAES, STEPHEN OKON, MITCHELL HOROWITZ. MULTI–DETECTOR
     ROW CT UROGRAPHY IN THE EVALUATION OF HEMATURIA. RADIOGRAPHICS. NOVEMBER-
     DECEMBER 2003. VOLUME 23 NUMBER 6.

13. JOHN R. LEYENDECKER, CRAIG E. BARNES, RONALD J. ZAGORIA. MR UROGRAPHY: TECHNIQUES
     AND CLINICAL APPLICATIONS. RADIOGRAPHICS. JANUARY-FEBRUARY 2008 RG F VOLUME 28
     NUMBER 1.

14. PETER L. CHOYKE. RADIOLOGIC EVALUATION OF HEMATURIA: GUIDELINES FROM THE AMERICAN
     COLLEGE OF RADIOLOGY’S APPROPRIATENESS CRITERIA. AM FAM PHYSICIAN.2008;78(3):347-352.

15. GARY S. SUDAKOFF, DELL P. DUNN, MICHAEL L. GURALNICK, ROBERT S. HELLMAN. MULTIDETECTOR
    COMPUTERIZED TOMOGRAPHY UROGRAPHY AS THE PRIMARY IMAGING MODALITY FOR
    DETECTING URINARY TRACT NEOPLASMS IN PATIENTS WITH ASYMPTOMATIC HEMATURIA. THE
    JOURNAL OF UROLOGY. VOL. 179, 862-867, MARCH 2008.
GRACIAS
Hematuria

Hematuria

  • 1.
    ENFOQUE DEL PACIENTE CON HEMATURIA JUAN PABLO SALDARRIAGA B. RESIDENTE UROLOGIA. SEGUNDO AÑO. U DE A.
  • 2.
     DEFINICIÓN.  CLASIFICACIÓN. EPIDEMIOLOGÍA.  CAUSAS.  EVALUACIÓN.  LABORATORIO.  IMÁGENES.  CISTOSCOPIA.
  • 3.
    DEFINICIÓN.  Presenciade una cantidad anormal de glóbulos rojos en orina. MASAHITO JIMBO, MD. EVALUATION AND MANAGEMENT OF HEMATURIA. PRIM CARE CLIN OFFICE PRACT 37 (2010) 461–472.
  • 4.
    CLASIFICACIÓN.  HEMATURIA MACROSCÓPICA: • Coágulos visibles (1ml/1l).  HEMATURIA MICROSCÓPICA : • Más de 3 glóbulos rojos por CAP, en más de 2 de 3 muestras. MASAHITO JIMBO, MD. EVALUATION AND MANAGEMENT OF HEMATURIA. PRIM CARE CLIN OFFICE PRACT 37 (2010) 461–472.
  • 5.
    CLASIFICACIÓN.  HEMATURIAGLOMERULAR: • Sugestiva de enfermedad renal. o Eritrocitos dismórficos.  HEMATURIA NO GLOMERULAR: • Sugestiva de enfermedad urológica. o Eritrocitos frescos. MASAHITO JIMBO, MD. EVALUATION AND MANAGEMENT OF HEMATURIA. PRIM CARE CLIN OFFICE PRACT 37 (2010) 461–472.
  • 6.
    ¿FALSA HEMATURIA?  Fármacos.  Alimentos. o Azatioprina. o Remolacha. o Metronidazol. o Moras. o Antipalúdicos. o Sulfamidas  Pigmentos endógenos. o Rifampicina. o Mioglobina. o Nitrofurantoina. o Hemoglobina. o Fenotiacinas. o Porfirinas. o L-Dopa y Metil dopa. o Bilirrubina. o Cistostáticos . o Uratos. o Ibuprofeno. o Anticoagulantes. MASAHITO JIMBO, MD. EVALUATION AND MANAGEMENT OF HEMATURIA. PRIM CARE CLIN OFFICE PRACT 37 (2010) 461–472.
  • 7.
    EPIDEMIOLOGÍA.  Prevalencia del0.16% al 16.1%.  Hematuria intermitente 6% al 39%.  Hematuria persistente 0.5% al 2%.  Corresponde al 6-20% consulta urológica  Un 5% puede ser secundario a enfermedad maligna.  22% si es hematuria macroscópica. EDWARD J. YUN, MD, MAXWELL V. MENG, MD. EVALUATION OF THE PATIENT WITH HEMATURIA. MED CLIN N AM 88 (2004) 329–343. MASAHITO JIMBO, MD. EVALUATION AND MANAGEMENT OF HEMATURIA. PRIM CARE CLIN OFFICE PRACT 37 (2010) 461–472.
  • 8.
    EPIDEMIOLOGÍA. Malignidad es 2 veces más frecuente en hombres.  Tumor vesical: • 85% presentan hematuria. • 10% hematuria macro es por Ca vesical. • 2-5% hematuria micro es por Ca vesical.  Tumor renal: 40% KEREN ELIAS, ROBERT S. SVATEK, SAMIR GUPTA. HIGH-RISK PATIENTS WITH HEMATURIA ARE NOT EVALUATED ACCORDING TO GUIDELINERECOMMENDATIONS. CANCER .JUNE 15, 2010.
  • 9.
    FACTORES DE RIESGOPARA ENFERMEDAD UROLÓGICA SIGNIFICATIVA.  Sobreuso de medicamentos analgésicos (AINES).  Edad >40 años  Exposición a radiación pélvica.  Exposición a ciertas drogas. (Fenotiacinas, Ciclofosfamida y Antirretrovirales).
  • 10.
    FACTORES DE RIESGOPARA ENFERMEDAD UROLÓGICA SIGNIFICATIVA.  Historia de hematuria macroscópica.  Historia de ITU o de síntomas irritativos urinarios.  Exposición ocupacional a sustancias químicas (Ej: aminas aromáticas o bencenos).  Tabaquismo.  Enfermedad urológica previa (Ej: Urolitiasis, tumores urológicos).
  • 11.
    CAUSAS.  Se encuentrala causa en el 32 a 100%.  Causas benignas significantes: 3.4 a 27%.  Malignidad: 0 a 26%.  Las causas no malignas más frecuentes son las infecciones.  Warfarina y hematuria. MASAHITO JIMBO, MD. EVALUATION AND MANAGEMENT OF HEMATURIA. PRIM CARE CLIN OFFICE PRACT 37 (2010) 461–472.
  • 12.
    EDWARD J. YUN,MD, MAXWELL V. MENG, MD. EVALUATION OF THE PATIENT WITH HEMATURIA. MED CLIN N AM 88 (2004) 329–343.
  • 14.
    EVALUACIÓN CLÍNICA.  Historiaclínica. • Descartar causas benignas. • Determinar factores de riesgo.  Examen físico. EDWARD J. YUN, MD, MAXWELL V. MENG, MD. EVALUATION OF THE PATIENT WITH HEMATURIA. MED CLIN N AM 88 (2004) 329–343. MASAHITO JIMBO, MD. EVALUATION AND MANAGEMENT OF HEMATURIA. PRIM CARE CLIN OFFICE PRACT 37 (2010) 461–472.
  • 15.
    EXÁMENES DE LABORATORIO. Uroanálisis. • Tiras reactivas. • Citoquímico de orina.  Citología urinaria.  Urocultivo.  Creatinina y Depuración de creatinina.  Otros. MASAHITO JIMBO, MD. EVALUATION AND MANAGEMENT OF HEMATURIA. PRIM CARE CLIN OFFICE PRACT 37 (2010) 461–472.
  • 16.
    TIRAS REACTIVAS.  Sensibilidad91 al 100%.  Especificidad 65 al 99%.  Detecta la actividad de la peroxidasa del eritrocito.  Puede detectar desde 1 a 2 Eri/CAP.  Requiere siempre confirmación con estudio microscópico. EDWARD J. YUN, MD, MAXWELL V. MENG, MD. EVALUATION OF THE PATIENT WITH HEMATURIA. MED CLIN N AM 88 (2004) 329–343 MASAHITO JIMBO, MD. EVALUATION AND MANAGEMENT OF HEMATURIA. PRIM CARE CLIN OFFICE PRACT 37 (2010) 461–472.
  • 17.
    TIRAS REACTIVAS. o FALSOS + o FALSOS - • Mioglobunuria. • Agentes reductores • Hipoclorito como Ac ascórbico. Iodopovidona • PH urinario < a 5.1 . Clorhexidina. • Tiras expuestas al aire. • Menstruación. • Deshidratación. • Ejercicio. RICHARD J BRYANT, JAMES WF CATTO. HAEMATURIA. RENAL AND UROLOGY. 2008.
  • 18.
    CITOQUÍMICO DE ORINA. Adecuada recolección.  Se requieren 10-15 mL.  Diferencia origen de hematuria.  La presencia de proteinuria sugiere origen glomerular. EDWARD J. YUN, MD, MAXWELL V. MENG, MD. EVALUATION OF THE PATIENT WITH HEMATURIA. MED CLIN N AM 88 (2004) 329–343 MASAHITO JIMBO, MD. EVALUATION AND MANAGEMENT OF HEMATURIA. PRIM CARE CLIN OFFICE PRACT 37 (2010) 461–472.
  • 19.
    CITOLOGÍA URINARIA.  Sensibilidad66-79%.  Especificidad 95-100%.  En muestras seriadas aumentan la sensibilidad.  Tumor vesical de alto grado. MASAHITO JIMBO, MD. EVALUATION AND MANAGEMENT OF HEMATURIA. PRIM CARE CLIN OFFICE PRACT 37 (2010) 461–472.
  • 20.
    UROCULTIVO.  Síntomas irritativos. Historia de ITU. CREATININA Y DEPURACIÓN.  Sospecha enfermedad glomerular. MASAHITO JIMBO, MD. EVALUATION AND MANAGEMENT OF HEMATURIA. PRIM CARE CLIN OFFICE PRACT 37 (2010) 461–472.
  • 21.
    ESTUDIOS DE IMAGEN.  Cambios significativos por técnicas nuevas.  No existe una guía unificada.  Los ppales son*: • Rx simple de abdomen. • Ecografía.* • Urografía intravenosa. • Urografía por tomografía.* • Urografía por resonancia? KEVIN N. O’REGAN, OWEN J. O’CONNOR, MD, PATRICK MCLOUGHLIN. THE ROLE OF IMAGING IN THE INVESTIGATION OF PAINLESS HEMATURIA IN ADULTS. SEMIN ULTRASOUND CT MRI 30:258-270. 2009. MASAHITO JIMBO, MD. EVALUATION AND MANAGEMENT OF HEMATURIA. PRIM CARE CLIN OFFICE PRACT 37 (2010) 461–472.
  • 22.
    ESTUDIOS DE IMAGEN.  Bajo riesgo: US + cistoscopia.  Mediano riesgo: US + Cistoscopia. • Si ambos son negativos UE o UTC.  Alto riesgo: UTC + Cistoscopia. KEVIN N. O’REGAN, OWEN J. O’CONNOR, MD, PATRICK MCLOUGHLIN. THE ROLE OF IMAGING IN THE INVESTIGATION OF PAINLESS HEMATURIA IN ADULTS. SEMIN ULTRASOUND CT MRI 30:258-270. 2009.
  • 23.
    RX DE ABDOMEN.  Bajo costo.  Disponibilidad.  Solo tiene cabida en sospecha de litiasis.  Sensibilidad 60% en cálculos menores de 5 mm.  No se recomienda en el estudio de hematuria KEVIN N. O’REGAN, OWEN J. O’CONNOR, MD, PATRICK MCLOUGHLIN. THE ROLE OF IMAGING IN THE INVESTIGATION OF PAINLESS HEMATURIA IN ADULTS. SEMIN ULTRASOUND CT MRI 30:258-270. 2009.
  • 24.
    ECOGRAFÍA RENAL YVÍAS URINARIAS.  Prueba no invasiva, segura.  No es la primera opción en hematuria.  Poca sensibilidad en litiasis no obstructiva. (sensibilidad 24%)  Útil en la detección de masas renales y quistes. MASAHITO JIMBO, MD. EVALUATION AND MANAGEMENT OF HEMATURIA. PRIM CARE CLIN OFFICE PRACT 37 (2010) 461–472.
  • 25.
    UROGRAFÍA INTRAVENOSA.  Consideradaanteriormente como el estudio de elección en hematuria.  Costoefectividad.  10 millones de UE 1975 - 600.000 UE en 1995.  Sensibilidad: • Masas < 2 cms: 21%. • Masas de 2 cms: 52% • Masas > 3 cms: 85%.  En urolitiasis sensibilidad del 52-59%.  No distingue entre masas y quistes. KEVIN N. O’REGAN, OWEN J. O’CONNOR, MD, PATRICK MCLOUGHLIN. THE ROLE OF IMAGING IN THE INVESTIGATION OF PAINLESS HEMATURIA IN ADULTS. SEMIN ULTRASOUND CT MRI 30:258-270. 2009.
  • 26.
  • 27.
    UROGRAFÍA POR TOMOGRAFÍA.  Estudio de elección para la evaluación renal y tracto urinario.  La hematuria es la indicación más común.  Reemplazó la urografía excretora.  Fases de acuerdo a la pregunta.  Bolo simple vs Doble bolo.  En hematuria monosintomática? ANNE M. SILAS, MD, FRCPC. EVALUATING THE UROTHELIUM WITH CT UROGRAPHY: ARE WE THERE YET?. SEMINARS IN ROENTGENOLOGY. 2009. ZACHARY W. WASHBURN, MD, JONATHAN R. DILLMAN, MD, RICHARD H. COHAN. COMPUTED TOMOGRAPHIC UROGRAPHY UPDATE:AN EVOLVING URINARY TRACT IMAGING MODALITY. SEMIN ULTRASOUND CT MRI 30:233-245 © 2009 ELSEVIER INC.
  • 28.
     Gray-Sears(2002): TCvs UE. • Sensibilidad 100% vs 60.5% • Especificidad 97.4% vs 90.9%
  • 29.
    ANNE M. SILAS,MD, FRCPC. EVALUATING THE UROTHELIUM WITH CT UROGRAPHY: ARE WE THERE YET?. SEMINARS IN ROENTGENOLOGY. 2009. ZACHARY W. WASHBURN, MD, JONATHAN R. DILLMAN, MD, RICHARD H. COHAN. COMPUTED TOMOGRAPHIC UROGRAPHY UPDATE:AN EVOLVING URINARY TRACT IMAGING MODALITY. SEMIN ULTRASOUND CT MRI 30:233-245 © 2009 ELSEVIER INC.
  • 30.
    •468 pacientes conhematuria. •Estudio retrospectivo. • Sensibilidad del 64% y especificidad del 98% • VPP 76% y VPN 96%
  • 32.
    URORESONANCIA. ZACHARY W. WASHBURN,MD, JONATHAN R. DILLMAN, MD, RICHARD H. COHAN. COMPUTED TOMOGRAPHIC UROGRAPHY UPDATE:AN EVOLVING URINARY TRACT IMAGING MODALITY. SEMIN ULTRASOUND CT MRI 30:233-245 © 2009 ELSEVIER INC.
  • 33.
    CISTOSCOPIA.  Estudio deelección para evaluar el tracto urinario inferior.  Anestesia local.  Se puede adquirir biopsia.  Cistoscopia + imagen tracto superior.  Ureteropielorrenoscopia? EDWARD J. YUN, MD, MAXWELL V. MENG, MD. EVALUATION OF THE PATIENT WITH HEMATURIA. MED CLIN N AM 88 (2004) 329–343. MASAHITO JIMBO, MD. EVALUATION AND MANAGEMENT OF HEMATURIA. PRIM CARE CLIN OFFICE PRACT 37 (2010) 461–472.
  • 34.
    Hematuria microscópica asintomática:Evaluación inicial. Paciente con diagnóstico reciente de hematuria microscópica asintomática.* Excluir causas benignas como menstruación, ejercicio vigoroso, actividad sexual, enfermedad viral, trauma o infección. Si uno o mas de los siguientes esta Si las condiciones sugestivas de presente: enfermedad renal primaria no estan Hematuria microscópica presentes o si alguno de los acompañada de proteinuria siguientes esta presente: significativa.** Edad > 40 años. Eritrocitos dismórficos en el Historia de hematuria macroscópica. sedimento. Historia de síntomas irritativos Creatinina serica elevada (según urinarios. valores de referencia para hombres Exposición ocupacional a y mujeres). sustancias químicas (Ej: aminas aromáticas o bencenos). Tabaquismo. Enfermedad urológica previa. Evaluación para enfermedad renal primaria. Evaluación urológica.
  • 35.
    Hematuria microscópica asintomática:Evaluación urológica. Paciente sin condición sugestiva de enfermedad renal primaria. Paciente de bajo riesgo: Paciente de alto riesgo. Edad < de 40 años. No historia de tabaquismo. No historia de exposición a agentes químicos. No síntomas irritativos urinarios. No historia de hematuria macroscópica. No historia de enfermedad urológica. Imágenes del tracto superior Evaluación completa (Imágenes de tracto superior, citología y cistoscopia). Citología Cistoscopia Positivo Negativo Negativo Positivo Tratamiento Tratamiento Positiva, atípica o Negativo Considerar Uroanálisis, presión arteria y citología a los 6, 12, 24 y sospechosa 36 meses Negativo por 3 Hematuria persistente, Hematuria Cistoscopia Negativo años hipertensión, macroscópica, citología proteinuria, sangrado anormal, síntomas Positivo glomerular irritativos sin infección. No requiere más Tratamiento estudios Evaluar para enfermedad Repetir evaluación renal primaria. completa Sangrado glomerular o proteinuria Hematuria aislada Biopsia renal Biopsia controversial
  • 36.
    BIBLIOGRAFIA. 1. JAMISON S. JAFFE, PHILLIP C. GINSBERG, RAJI GILL. A NEW DIAGNOSTIC ALGORITHM FOR THE EVALUATION OF MICROSCOPIC HEMATURIA. UROLOGY 57: 889–894,2001. 2. VITALY MARGULIS, MD*, ARTHUR I. SAGALOWSKY, MD. ASSESSMENT OF HEMATURIA. MED CLIN N AM 95 (2011) 153–159. 3. ZACHARY W. WASHBURN, MD, JONATHAN R. DILLMAN, MD, RICHARD H. COHAN. COMPUTED TOMOGRAPHIC UROGRAPHY UPDATE:AN EVOLVING URINARY TRACT IMAGING MODALITY. SEMIN ULTRASOUND CT MRI 30:233-245 © 2009 ELSEVIER INC. 4. ANNE M. SILAS, MD, FRCPC. EVALUATING THE UROTHELIUM WITH CT UROGRAPHY: ARE WE THERE YET?. SEMINARS IN ROENTGENOLOGY. 2009. 5. MASAHITO JIMBO, MD. EVALUATION AND MANAGEMENT OF HEMATURIA. PRIM CARE CLIN OFFICE PRACT 37 (2010) 461–472. 6. EDWARD J. YUN, MD, MAXWELL V. MENG, MD. EVALUATION OF THE PATIENT WITH HEMATURIA. MED CLIN N AM 88 (2004) 329–343. 7. RICHARD J BRYANT, JAMES WF CATTO. HAEMATURIA. RENAL AND UROLOGY. 2008. 8. KEREN ELIAS, ROBERT S. SVATEK, SAMIR GUPTA. HIGH-RISK PATIENTS WITH HEMATURIA ARE NOT EVALUATED ACCORDING TO GUIDELINERECOMMENDATIONS. CANCER .JUNE 15, 2010.
  • 37.
    9. KONSTANTINOS CHLAPOUTAKISA, NICHOLAS THEOCHAROPOULOSB,C, SPYROS YARMENITIS. PERFORMANCE OF COMPUTED TOMOGRAPHIC UROGRAPHY IN DIAGNOSIS OF UPPER URINARY TRACT UROTHELIAL CARCINOMA, IN PATIENTS PRESENTING WITH HEMATURIA:SYSTEMATIC REVIEW AND META-ANALYSIS. EUROPEAN JOURNAL OF RADIOLOGY 73 (2010) 334–338. 10. ÜNSALA, EDA KAZAK C¸ ALIS¸ KANA, HALUK EROLB. THE DIAGNOSTIC EFFICIENCY OF ULTRASOUND GUIDED IMAGING ALGORITHM IN EVALUATION OF PATIENTS WITH HEMATURIA. EUROPEAN JOURNAL OF RADIOLOGY (2009). 11. KEVIN N. O’REGAN, OWEN J. O’CONNOR, MD, PATRICK MCLOUGHLIN. THE ROLE OF IMAGING IN THE INVESTIGATION OF PAINLESS HEMATURIA IN ADULTS. SEMIN ULTRASOUND CT MRI 30:258-270. 2009. 12. SANDOR A. JOFFE, SABAH SERVAES, STEPHEN OKON, MITCHELL HOROWITZ. MULTI–DETECTOR ROW CT UROGRAPHY IN THE EVALUATION OF HEMATURIA. RADIOGRAPHICS. NOVEMBER- DECEMBER 2003. VOLUME 23 NUMBER 6. 13. JOHN R. LEYENDECKER, CRAIG E. BARNES, RONALD J. ZAGORIA. MR UROGRAPHY: TECHNIQUES AND CLINICAL APPLICATIONS. RADIOGRAPHICS. JANUARY-FEBRUARY 2008 RG F VOLUME 28 NUMBER 1. 14. PETER L. CHOYKE. RADIOLOGIC EVALUATION OF HEMATURIA: GUIDELINES FROM THE AMERICAN COLLEGE OF RADIOLOGY’S APPROPRIATENESS CRITERIA. AM FAM PHYSICIAN.2008;78(3):347-352. 15. GARY S. SUDAKOFF, DELL P. DUNN, MICHAEL L. GURALNICK, ROBERT S. HELLMAN. MULTIDETECTOR COMPUTERIZED TOMOGRAPHY UROGRAPHY AS THE PRIMARY IMAGING MODALITY FOR DETECTING URINARY TRACT NEOPLASMS IN PATIENTS WITH ASYMPTOMATIC HEMATURIA. THE JOURNAL OF UROLOGY. VOL. 179, 862-867, MARCH 2008.
  • 38.