HEMATOLOGÍA ANEMIA HEMOLÍTICA   Autoinmune  (AHAI) del Recién Nacido (AHRN)
Anemia Hemolítica Autoinmune   La AHAI se caracteriza por una sobrevida disminuída de los eritrocitos en presencia de auto-anticuerpos (Aacps). Los Aacps están dirigidos contra antígenos (Ags) en la membrana del eritrocito. 80% tienen Aacps “calientes” de clase IgG 20% Aacps “fríos”, IgM: aglutininas frías
Anemia Hemolítica Autoinmune (AHAI) Auto-anticuerpos calientes: 35 a 40°C, 2 tipos: Incompletos y Autohemolisinas Incompletos:no aglutinantes.Coombs + IgG (IgG1,3,2), IgA Especificidad:-Rh-A-K-k-Jk-N-S-U En la mayoría no se identifica el Ag.
Anemia Hemolítica Autoinmune (AHAI) Incidencia de AHAI:  1/80,000 Coombs + en sujetos nls: 1/10,000 La hemólisis es debida a fagocitosis El macrófago posee receptores para la Fc de la IgG y para la fracción C3 del complemento.  Lisis se debe al daño por radicales O2 y al daño por citotoxicidad
Anemia Hemolítica Autoinmune por Medicamentos 1) Tipo Hapteno. Penicilina. Adsorción. IgG anti-penicilina. Admón. IM + IV 2) Tipo Aldomet. Rh.15% Coombs+. 5% 3) Tipo Quinidina o Espectador inocente complejos Ag-Ac + C. IgG o M. < frecuente 4)Combinada. Estreptomicina. Ag M o D hapteno. Acps anti-estreptomicina. IgG + C
Anemia Hemolítica Autoinmune  Cuadro Clínico Debilidad y Mareo Angina    Disnea  Fiebre Baja de peso   Quejas G.I. Anorexia Orina oscura
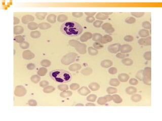
AHAI Cuadro Clínico Signos Esplenomegalia   Hepatomegalia Linfadenopatía   Ictericia Palidez Edema   Insuficiencia Cardíaca
Anemia Hemolítica Autoinmune Tratamiento Transfusión Pruebas de compatibilidad Prednisona: 1 a 2 mg/Kg/día Danazol:hasta 800 mg/día/6meses Esplenectomía. Riesgos Inmunosupresores: ciclofosfamida Timectomía.  Plasmaferesis
Anemia Hemolítica Autoinmune Autohemolisinas:   Acps. clase IgM incompletos, fijan Complemento: hemólisis I.V.? Fagocitosis principalmente en el hígado Acps. “Fríos”: IgM “completos”  Coombs (+) por Complemento
Anemia Hemolítica Autoinmune Auto-anticuerpos Fríos Síndrome de Aglutininas Frías: IgM, fija C.  Mycoplasma pneumoniae, Mononucleosis I. IgM anti-I.  Laboratorio: determinación de  aglutininas frías a 4°C , título de 1,000  a 1000,000.  Coombs  es positivo por Complemento  Existe  autoaglutinacón . Rouleaux vs auto-aglutinación
Síndrome de Aglutininas Frías Cuadro clínico: se presenta en ancianos acompañado de acrocianosis y livedo reticularis.  Síndrome de hiperviscocidad/polineuropatía Tratamiento con inmunosupresores.  Transfusión a 37°C Esplenectomía y esteroides  no indicados.
Anemia Hemolítica Autoinmune Auto-anticuerpos Fríos Hemoglobinuria Paroxistica al Frío Ac.Donath-Landsteiner Hemolisina bifásica IgG se fija a 15°C  Se fija Complemento a 37°C, que causa hemólisis intravenosa; puede ser masiva y fulminante
Anemia Hemolítica Autoinmune Auto-anticuerpos Fríos Coombs positivo en frío.  Ac.Anti-P.   Prueba de Donath-Landsteiner. Hemolisis intravenosa aguda Tx.: evitar el frío. No dar esteroides (PDN). No dar inmunosupresores
Anemia Hemolítica Autoinmune. Laboratorio Coombs Directo positivo  AHAI Coombs-negativa: 2 a 4% Rx. De Coombs :300 a 500 moléculas Coombs:IgG anti-IgG-IgA-IgM-C3 IgG: 30 a 40%,  IgG+C:40 a 50%. Exclusivamente Complemento : 10%
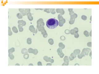
Anemia Hemolítica Autoinmune. Laboratorio Reticulocitosis  Reticulocitopenia  F.S.P.  : esferocitos, esquistocitos y policromatofilia Bilirrubina indirecta elevada < 5 mg/dL DHL elevada Haptoglobina baja con hemólisis i.v.
 
 
 
 
 
 
ENFERMEDAD HEMOLÍTICA DEL RECIÉN NACIDO   Dr. José Carlos Jaime Pérez
ENFERMEDAD HEMOLÍTICA DEL RECIÉN NACIDO LOYSE BOURGEOIS EN FRANCIA EN 1609  HIDROPESIA, ICTERUS GRAVIS, OPISTOTONOS, KERNICTERUS KERNICTERUS e HYDROPS: 1932 DIAMOND: anemia hemolítica, eritropoyesis extramedular, hepatosplenomegalia, eritroblastos en sangre periférica:  ERITROBLASTOSIS FETAL
ENFERMEDAD HEMOLÍTICA DEL RECIÉN NACIDO Levine y Stetson en 1939: Rx postransfu-sional en mujer transfundida con sangre de su esposo después de un óbito. Wiener y Landstainer en 1940: Antígeno responsable. Rh. Este experimento estableció la estructura de la inmunohematología moderna. Esposo (Rh)+, esposa Rh(-), feto Rh(+)
 
EHRN Secuencia: GRs Rh+ del feto cruzan la placenta, la mujer produce IgG anti-D que cruza la placenta y cubren GRs del feto. Ictericia, kernicterus e hidrops fetalis SISTEMA Rh: Dd/Cc/Ee.  50% de los fetos D+ son homocigotos y 50% heterocigotos (DD/Dd) 2 génes estructurales:Cc/Ee y D
EHRN: PATOGÉNESIS Mujer D- con embarazo previo, HTP, anti-Rh; Prueba de elución ácida: 1/200,000 RBCs.  HTP  I: 3%  II: 12%  III: 45%.  B:65% Hemorragias, toxemia, versión, Cesárea, remoción manual de la placenta, amniocentésis, aborto.
EHRN: Respuesta Inmune Primaria: IgM, 4 a 9 semanas o 6 meses. Secundaria: IgG, intervalo, título, constante de afinidad (CA); a >CA> hemólisis Dosis: 1 mL:15%,  250 mL: 70% RI Secundaria: 0.03 mL: 30 microlitros <0.1 mL: 3%, >0.4 mL: 22% Prevalencia: 16% en el primer embarazo 30% de mujeres D- son No-respondedoras
EHRN: Patogénesis Eritropoyesis: saco de yolk, 3a semana,  Ag D: 6a semana, hígado y bazo:8a sem. Médula ósea: 6 meses. Hemólisis, anemia, EPO, E. extramedular Mecanismo: RBCs cubiertos con IgG y Complemento en Bazo; citotoxicidad  IgG3> hemólisis que IgG1, pero < título Severidad: media 50%, mod: 25%, sev:25%
EHRN: Severidad Media: BI<20mg/dL, no anemia, no Tx Moderada: No hydrops fetalis, anemia moderada, ictericia severa, riesgo de kernicterus si no se da tratamiento. Severa: Hydrops fetal  in utero , < o > 34sem Factores: Título de IgG anti-D, constante de afinidad (avidez por el antígeno D), Rx fetal Bilirrubina: globina y heme, BI neurotóxica
EHRN
EHRN: espectrofotometría de líquido amniótico Liley en 1961. Severidad de EHRN Linearidad de absorción de BI a 450nM    O.D. 450. 3 zonas: I.II,III. 95% de seg.    O.D. 450: título de anti-D >16-32 Cordocentesis. PCR: 100% de exactitud PCR de eritroblastos fetales en circulación materna
EHRN:  Tratamiento Supresión de aloinmunización: Rhogam 16% de mujeres Rh - con bebe Rh+ Inmunización activa a un Ag es prevenida por un Ab pasivo contra el Ag Rhogam, IgG anti-D, 300  g a las 28 sem, cada 12 sem. 300   g protegen contra 30 mL de sangre fetal. 1/400 mujeres tiene > HTP
 
EHRN: tratamiento.  Exsanguineo transfusión Wallerstein, 1945.  RBCs cubiertos con Ab son reemplazados Corrige la anemia, previene la hipérbilirrubinemia, remueve la bilirrubina. 1.5 a 2 vol. 130-170 mL/Kg en alícuotas de 10-20 mL. Reemplaza el 90% de RBCs CHb <110g/L o C bilirrubina:5.5mg/dL (4mg/dL si es prematuro)

HEMOLISIS ADQUIRIDAS

  • 1.
    HEMATOLOGÍA ANEMIA HEMOLÍTICA Autoinmune (AHAI) del Recién Nacido (AHRN)
  • 2.
    Anemia Hemolítica Autoinmune La AHAI se caracteriza por una sobrevida disminuída de los eritrocitos en presencia de auto-anticuerpos (Aacps). Los Aacps están dirigidos contra antígenos (Ags) en la membrana del eritrocito. 80% tienen Aacps “calientes” de clase IgG 20% Aacps “fríos”, IgM: aglutininas frías
  • 3.
    Anemia Hemolítica Autoinmune(AHAI) Auto-anticuerpos calientes: 35 a 40°C, 2 tipos: Incompletos y Autohemolisinas Incompletos:no aglutinantes.Coombs + IgG (IgG1,3,2), IgA Especificidad:-Rh-A-K-k-Jk-N-S-U En la mayoría no se identifica el Ag.
  • 4.
    Anemia Hemolítica Autoinmune(AHAI) Incidencia de AHAI: 1/80,000 Coombs + en sujetos nls: 1/10,000 La hemólisis es debida a fagocitosis El macrófago posee receptores para la Fc de la IgG y para la fracción C3 del complemento. Lisis se debe al daño por radicales O2 y al daño por citotoxicidad
  • 5.
    Anemia Hemolítica Autoinmunepor Medicamentos 1) Tipo Hapteno. Penicilina. Adsorción. IgG anti-penicilina. Admón. IM + IV 2) Tipo Aldomet. Rh.15% Coombs+. 5% 3) Tipo Quinidina o Espectador inocente complejos Ag-Ac + C. IgG o M. < frecuente 4)Combinada. Estreptomicina. Ag M o D hapteno. Acps anti-estreptomicina. IgG + C
  • 6.
    Anemia Hemolítica Autoinmune Cuadro Clínico Debilidad y Mareo Angina Disnea Fiebre Baja de peso Quejas G.I. Anorexia Orina oscura
  • 7.
    AHAI Cuadro ClínicoSignos Esplenomegalia Hepatomegalia Linfadenopatía Ictericia Palidez Edema Insuficiencia Cardíaca
  • 8.
    Anemia Hemolítica AutoinmuneTratamiento Transfusión Pruebas de compatibilidad Prednisona: 1 a 2 mg/Kg/día Danazol:hasta 800 mg/día/6meses Esplenectomía. Riesgos Inmunosupresores: ciclofosfamida Timectomía. Plasmaferesis
  • 9.
    Anemia Hemolítica AutoinmuneAutohemolisinas: Acps. clase IgM incompletos, fijan Complemento: hemólisis I.V.? Fagocitosis principalmente en el hígado Acps. “Fríos”: IgM “completos” Coombs (+) por Complemento
  • 10.
    Anemia Hemolítica AutoinmuneAuto-anticuerpos Fríos Síndrome de Aglutininas Frías: IgM, fija C. Mycoplasma pneumoniae, Mononucleosis I. IgM anti-I. Laboratorio: determinación de aglutininas frías a 4°C , título de 1,000 a 1000,000. Coombs es positivo por Complemento Existe autoaglutinacón . Rouleaux vs auto-aglutinación
  • 11.
    Síndrome de AglutininasFrías Cuadro clínico: se presenta en ancianos acompañado de acrocianosis y livedo reticularis. Síndrome de hiperviscocidad/polineuropatía Tratamiento con inmunosupresores. Transfusión a 37°C Esplenectomía y esteroides no indicados.
  • 12.
    Anemia Hemolítica AutoinmuneAuto-anticuerpos Fríos Hemoglobinuria Paroxistica al Frío Ac.Donath-Landsteiner Hemolisina bifásica IgG se fija a 15°C Se fija Complemento a 37°C, que causa hemólisis intravenosa; puede ser masiva y fulminante
  • 13.
    Anemia Hemolítica AutoinmuneAuto-anticuerpos Fríos Coombs positivo en frío. Ac.Anti-P. Prueba de Donath-Landsteiner. Hemolisis intravenosa aguda Tx.: evitar el frío. No dar esteroides (PDN). No dar inmunosupresores
  • 14.
    Anemia Hemolítica Autoinmune.Laboratorio Coombs Directo positivo AHAI Coombs-negativa: 2 a 4% Rx. De Coombs :300 a 500 moléculas Coombs:IgG anti-IgG-IgA-IgM-C3 IgG: 30 a 40%, IgG+C:40 a 50%. Exclusivamente Complemento : 10%
  • 15.
    Anemia Hemolítica Autoinmune.Laboratorio Reticulocitosis Reticulocitopenia F.S.P. : esferocitos, esquistocitos y policromatofilia Bilirrubina indirecta elevada < 5 mg/dL DHL elevada Haptoglobina baja con hemólisis i.v.
  • 16.
  • 17.
  • 18.
  • 19.
  • 20.
  • 21.
  • 22.
    ENFERMEDAD HEMOLÍTICA DELRECIÉN NACIDO Dr. José Carlos Jaime Pérez
  • 23.
    ENFERMEDAD HEMOLÍTICA DELRECIÉN NACIDO LOYSE BOURGEOIS EN FRANCIA EN 1609 HIDROPESIA, ICTERUS GRAVIS, OPISTOTONOS, KERNICTERUS KERNICTERUS e HYDROPS: 1932 DIAMOND: anemia hemolítica, eritropoyesis extramedular, hepatosplenomegalia, eritroblastos en sangre periférica: ERITROBLASTOSIS FETAL
  • 24.
    ENFERMEDAD HEMOLÍTICA DELRECIÉN NACIDO Levine y Stetson en 1939: Rx postransfu-sional en mujer transfundida con sangre de su esposo después de un óbito. Wiener y Landstainer en 1940: Antígeno responsable. Rh. Este experimento estableció la estructura de la inmunohematología moderna. Esposo (Rh)+, esposa Rh(-), feto Rh(+)
  • 25.
  • 26.
    EHRN Secuencia: GRsRh+ del feto cruzan la placenta, la mujer produce IgG anti-D que cruza la placenta y cubren GRs del feto. Ictericia, kernicterus e hidrops fetalis SISTEMA Rh: Dd/Cc/Ee. 50% de los fetos D+ son homocigotos y 50% heterocigotos (DD/Dd) 2 génes estructurales:Cc/Ee y D
  • 27.
    EHRN: PATOGÉNESIS MujerD- con embarazo previo, HTP, anti-Rh; Prueba de elución ácida: 1/200,000 RBCs. HTP I: 3% II: 12% III: 45%. B:65% Hemorragias, toxemia, versión, Cesárea, remoción manual de la placenta, amniocentésis, aborto.
  • 28.
    EHRN: Respuesta InmunePrimaria: IgM, 4 a 9 semanas o 6 meses. Secundaria: IgG, intervalo, título, constante de afinidad (CA); a >CA> hemólisis Dosis: 1 mL:15%, 250 mL: 70% RI Secundaria: 0.03 mL: 30 microlitros <0.1 mL: 3%, >0.4 mL: 22% Prevalencia: 16% en el primer embarazo 30% de mujeres D- son No-respondedoras
  • 29.
    EHRN: Patogénesis Eritropoyesis:saco de yolk, 3a semana, Ag D: 6a semana, hígado y bazo:8a sem. Médula ósea: 6 meses. Hemólisis, anemia, EPO, E. extramedular Mecanismo: RBCs cubiertos con IgG y Complemento en Bazo; citotoxicidad IgG3> hemólisis que IgG1, pero < título Severidad: media 50%, mod: 25%, sev:25%
  • 30.
    EHRN: Severidad Media:BI<20mg/dL, no anemia, no Tx Moderada: No hydrops fetalis, anemia moderada, ictericia severa, riesgo de kernicterus si no se da tratamiento. Severa: Hydrops fetal in utero , < o > 34sem Factores: Título de IgG anti-D, constante de afinidad (avidez por el antígeno D), Rx fetal Bilirrubina: globina y heme, BI neurotóxica
  • 31.
  • 32.
    EHRN: espectrofotometría delíquido amniótico Liley en 1961. Severidad de EHRN Linearidad de absorción de BI a 450nM  O.D. 450. 3 zonas: I.II,III. 95% de seg.  O.D. 450: título de anti-D >16-32 Cordocentesis. PCR: 100% de exactitud PCR de eritroblastos fetales en circulación materna
  • 33.
    EHRN: TratamientoSupresión de aloinmunización: Rhogam 16% de mujeres Rh - con bebe Rh+ Inmunización activa a un Ag es prevenida por un Ab pasivo contra el Ag Rhogam, IgG anti-D, 300  g a las 28 sem, cada 12 sem. 300  g protegen contra 30 mL de sangre fetal. 1/400 mujeres tiene > HTP
  • 34.
  • 35.
    EHRN: tratamiento. Exsanguineo transfusión Wallerstein, 1945. RBCs cubiertos con Ab son reemplazados Corrige la anemia, previene la hipérbilirrubinemia, remueve la bilirrubina. 1.5 a 2 vol. 130-170 mL/Kg en alícuotas de 10-20 mL. Reemplaza el 90% de RBCs CHb <110g/L o C bilirrubina:5.5mg/dL (4mg/dL si es prematuro)