LESIONES HEPÁTICAS BENIGNAS
Centro Médico Caracas
Dr. Agustín Juárez Guevara
Médico Radiologo
CLAVES
DIAGNÓSTICAS
LESIONESHEPÁTICAS
BENIGNAS Grupo heterogéneo de lesiones, con ausencia de
condiciones clínicas de malignidad. Se pueden
originar en cualquier tipo celular como: hepatocitos,
tejido mesenquimático y vasos entre otros.
Estas lesiones son poco comunes y pueden aparecer a
cualquier edad y género; sin embargo algunos
muestran predominancia marcada por algún grupo
etario y género en particular.
LESIONESHEPÁTICAS
BENIGNAS
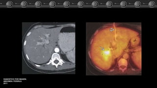
Hemangiomas Cavernosos
• 7% de la población adulta normal. (20% autopsias).
• Formado por múltiples canales vasculares revestidos de
endotelio.
• Irrigados por ramas de la arteria hepática.
• Zona subcapsular de la parte posterior del lóbulo derecho.
• Mm hasta 20 cms. Gigantes: > 10 cms -> Cicatriz central.
Hemangiomas
Cavernosos
• Fase arterial: Captación
nodular periférica en fase
arterial, con captación lenta y
progresiva, centripeta e
isodensa respecto a los vasos.
• Fase venosa: Captación
progresiva, centripeta hasta el
relleno uniforme.
TC
• Simple: Isodensa o
hipointensa.
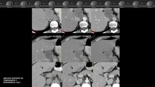
ARCHIVO DOCENTE DE
TOMOGRAFÍA Y
RESONANCIA C.M.C.
ARCHIVO DOCENTE DE
TOMOGRAFÍA Y
RESONANCIA C.M.C.
ARCHIVO DOCENTE DE
TOMOGRAFÍA Y
RESONANCIA C.M.C.
ARCHIVO DOCENTE DE
TOMOGRAFÍA Y
RESONANCIA C.M.C.
Hemangiomas
Cavernosos
• T1:
hipointensos o isointensos con
respecto a la sangre.
RM
• T2:
Hiperintensos.
• T1 + C:
Igual patrón de captación que
en la TC.
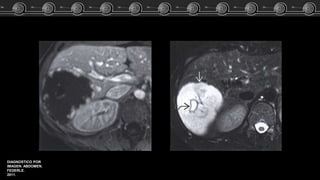
DIAGNOSTICO POR
IMAGEN. ABDOMEN.
FEDERLE.
2011.
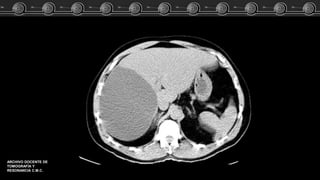
Quistes de desarrollo (simples)
• Son lesiones frecuentes que se encuentran en el 5% al 14% de
la población, > MUJ. Solitarios ó múltiples.
• Masa bien circunscrita, homogénea,
con un VAT próximo al agua, que no
muestra captación al MC.
ARCHIVO DOCENTE DE
TOMOGRAFÍA Y
RESONANCIA C.M.C.
DIAGNOSTICO POR
IMAGEN. ABDOMEN.
FEDERLE.
2011.
Enfermedad Poliquística del Hígado
• Son quistes hepáticos múltiples producidos por lo general en
pacientes con enfermedad renal poliquística AD.
• Pueden variar mucho de tamaño y producir agrandamiento
del hígado.
• Asintomáticos, dolor abdominal, plenitud postpandrial precoz
o falta de aliento.
DIANOSTICO POR IMAGEN.
ABDOMEN. FEDERLE.
2011.
Hamartomas Biliares
• Complejos de Von Meyenburg.
• Conductos biliares dilatados y revestidos de epitelio biliar.
• Pueden ser solitarias , pero normalmente son múltiples.
• No producen sintomas y por lo general se descubren por
casualidad.
TC RM
Estructuras pequeñas <1,5cm .
Hipoatenuantes.
Pseudoquisticas.
Captación entre escasa y
ausente.
Igual.
T1 Isointensas
T2 Hiperintensas
La mayoría no capta contraste
o captación en anillo del
parénquima hepático.
DIANOSTICO POR IMAGEN.
ABDOMEN. FEDERLE.
2011.
Angiomiolipoma Hepático
• Tumor benigno mesenquimatoso compuesto por cantidades
variables de componentes de músculo liso, grasa y proliferación
de vasos sanguíneos.
Masa hepática, bien delimitada, sobre todo de grasa.
Pequeña masa hepática, de densidad grasa -> CET.
• TC Simple:
Heterogéneo
Densidad grasa y de
tejidos blandos.
Angiomiolipoma
Hepático
TC
• TC + C Arterial: captación
de la porción no grasa de
la lesión.
• TC + C Portal: la
lesión muestra
hipoatenuación de
toda la masa.
DIANOSTICO POR IMAGEN.
ABDOMEN. FEDERLE.
2011.
DIANOSTICO POR IMAGEN.
ABDOMEN. FEDERLE.
2011.
• T1:
Grasa: Hiperintenso
Útiles las técnicas de
saturación grasa.
Angiomiolipoma
Hepático
RM
• T2:
Grasa: Hiperintenso.
Heterogénea.
• T1 + C:
Elementos de téjidos
blandos dentro de la
captación de la lesión.
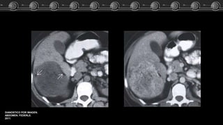
Hiperplasia Nodular Focal
• Esta causada por una respuesta hiperplásica a una anomalía
vascular localizada.
• Más común en el LD.
•80% lesión solitaria.
•85% son < de 5cms. Diametro promedio 3 cms.
HiperplasiaNodular
Focal • Simple: Isodensa o
hipointensa.
• Fase arterial: hiperdensidad
transitoria, intensa,
homogénea.
TC
• Fase venosa: hipodensa o
isodensa.
• Tardías: isodensa, cicatriz
central hiperdensa.
ARCHIVO DOCENTE DE
TOMOGRAFÍA Y
RESONANCIA C.M.C.
• T1:
Isointensos o lig. hipointenso.
Cicatriz central: Hipointensa.
RM
• T2:
Hiperintensa a isointensa
Cicatriz central: Hiperintensa.
• T1 + C:
Hiperintensa homogénea.
Cicatriz hipointensa.
HiperplasiaNódular
Focal
DIANOSTICO POR IMAGEN.
ABDOMEN. FEDERLE.
2011.
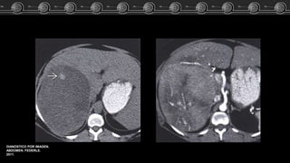
Adenoma Hepático
• Neoplasia benigna rara.
• Surge de hepatocitos dispuestos en cordones que aveces
producen bilis.
• Masa heterogénea, hipervascular
con focos de grasa y hemorragía en
mujeres jóvenes.
• Localización:
Región subcapsular del LHD (75%).
Intraparenquimatosos o pedunculados (10%)
• Tamaño:
Varia de 6 – 30 cms. Media es de 8 – 10 cms
Muy asociado con fármacos estrógenos o
andrógenos.
Adenoma Hepático
• TC simple:
Masa esférica bien definida.
De isodensa a hipodensa.
Hemorragia: intratumoral,
parénquimatosa o subcapsular.
AdenomaHepático TC
• TC + C: Portal
Menos heterogéneos.
Hiper, iso denso con
respecto al hígado.
• TC + C: Arterial
Heterogéneos,
captación intensa.
• TC + C: Tardia (10 min)
Homogéneos, hipodensos.
La captación del MC no
persiste. Pseudocápsula.
DIANOSTICO POR IMAGEN.
ABDOMEN. FEDERLE.
2011.
• T1: Heterogéneo
Grasa: Hiperintenso
Necrosis: Hipointenso
Borde: Hipointenso.
AdenomaHepático RM
• T2: Heterogéneo
Hemorragia antigua, necrosis:
Hiperintenso.
Hemorragía reciente:
Hipointenso
Borde: Hipointenso.
• T1 + C: Heterogéneo
Pseudocápsula
hiperintensa respecto al
higado y al adenoma.
HEMORRAGÍA + GRASA + MASA ENCAPSULADA + MUJER JOVEN
DIANOSTICO POR IMAGEN.
ABDOMEN. FEDERLE.
2011.
Adenoma Vs HNF
Adenoma, Hemangioma ó HNF?? Caso Clínico
Fem de 83 años…. El estudio TC demostró lesión focal a nivel del lóbulo
izquierdo del higado.
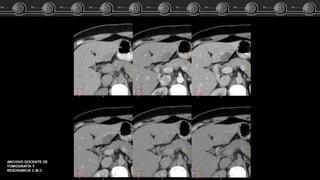
ARCHIVO DOCENTE DE
TOMOGRAFÍA Y
RESONANCIA C.M.C.
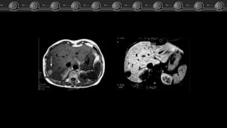
Adenoma, Hemangioma ó HNF?? Caso Clínico
Fem de 83 años…. El estudio TC demostró lesión focal a nivel del lóbulo
izquierdo del higado.
ARCHIVO DOCENTE DE
TOMOGRAFÍA Y
RESONANCIA C.M.C.
Malformacion A-V?? Caso Clínico
Las MAV pueden estar
ocasionadas por trastornos
hereditarios que ocasionan
displasia fibrovascular.
Grandes arterias tortuosas intra y
extrahepaticas.
Realce heterogéneo del
parénquima hepático.
Pueden simular masas.
DIANOSTICO POR IMAGEN.
ABDOMEN. FEDERLE.
2011.
Pseudotumor Inflamatorio Hep.
• Proliferación benigna de células inflamatorias y estroma fibroso
en el hígado o en las paredes de las principales vías biliares.
Masa grande, solitaria, periférica, Hipodensa en TC.
Captación tardia del MC. Masa en el hilio con
caracteristicas idénticas al Colangiocarcinoma hiliar.
• TC Simple:
Heterogéneo
Densidad grasa y de
tejidos blandos.
TC y RM
• TC + C Arterial: captación
de la porción no grasa de
la lesión.
Pseudotumor
InflamatorioHep.
• CT - PET: puede
captar
intensamente la
FDG.
• T1:
Hipointenso
con respecto
al hígado.
• T2:
Iso ó
ligeramente
Hiperintenso
con respecto
al hígado.
DIANOSTICO POR IMAGEN.
ABDOMEN. FEDERLE.
2011.
Nódulo Necrótico Solitario
• Lesión hepática benigna constituida por un centro
completamente Necrótico rodeado por una cápsula fibrosa
intensamente hialinizada.
Eco: Ojo de Buey. No tiene realce en la TC + C.
Hipointensidad en todas las secuencias de RM.
Raro 0,2% , (Hemangiomas Atípicos).
Abscesos Amebianos Hepáticos
• Acumulación localizada de pus en el hígado producida por
Entamoeba histolytica con destrucción del parénquima y el
estroma hepático.
Masa hipodensa redondeada, bien definida, de
localización periférica y con capsula que realza.
Quiste Hidatídico Hepático
• Son formaciones quisticas multiloculares, producida por E.
granulosus, contienen numerosas vesiculas hijas periféricas de
menor densidad que el quiste madre.
Realce de la pared y de los tabiques del quiste.
Calcificaciones de la pared, indican enfermedad
no activa.
Conclusiones
• El principal problema clínico es asegurar la naturaleza benigna
de las lesiónes hepáticas descubiertas, generalmente en
forma incidental (incidentalomas).
• Papel del Radiólogo. Clínica y Laboratorio.
• Según las características del estudio se definirá finalmente si
el paciente va a un estudio de seguimiento, biopsia quirúrgica
o a una resección tumoral.
GRACIAS

Lesiones hepáticas benignas

  • 1.
    LESIONES HEPÁTICAS BENIGNAS CentroMédico Caracas Dr. Agustín Juárez Guevara Médico Radiologo CLAVES DIAGNÓSTICAS
  • 2.
    LESIONESHEPÁTICAS BENIGNAS Grupo heterogéneode lesiones, con ausencia de condiciones clínicas de malignidad. Se pueden originar en cualquier tipo celular como: hepatocitos, tejido mesenquimático y vasos entre otros. Estas lesiones son poco comunes y pueden aparecer a cualquier edad y género; sin embargo algunos muestran predominancia marcada por algún grupo etario y género en particular.
  • 3.
  • 4.
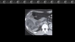
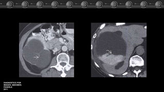
    Hemangiomas Cavernosos • 7%de la población adulta normal. (20% autopsias). • Formado por múltiples canales vasculares revestidos de endotelio. • Irrigados por ramas de la arteria hepática. • Zona subcapsular de la parte posterior del lóbulo derecho. • Mm hasta 20 cms. Gigantes: > 10 cms -> Cicatriz central.
  • 5.
    Hemangiomas Cavernosos • Fase arterial:Captación nodular periférica en fase arterial, con captación lenta y progresiva, centripeta e isodensa respecto a los vasos. • Fase venosa: Captación progresiva, centripeta hasta el relleno uniforme. TC • Simple: Isodensa o hipointensa.
  • 6.
    ARCHIVO DOCENTE DE TOMOGRAFÍAY RESONANCIA C.M.C.
  • 7.
    ARCHIVO DOCENTE DE TOMOGRAFÍAY RESONANCIA C.M.C.
  • 8.
    ARCHIVO DOCENTE DE TOMOGRAFÍAY RESONANCIA C.M.C.
  • 9.
    ARCHIVO DOCENTE DE TOMOGRAFÍAY RESONANCIA C.M.C.
  • 10.
    Hemangiomas Cavernosos • T1: hipointensos oisointensos con respecto a la sangre. RM • T2: Hiperintensos. • T1 + C: Igual patrón de captación que en la TC.
  • 11.
  • 12.
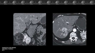
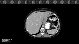
    Quistes de desarrollo(simples) • Son lesiones frecuentes que se encuentran en el 5% al 14% de la población, > MUJ. Solitarios ó múltiples. • Masa bien circunscrita, homogénea, con un VAT próximo al agua, que no muestra captación al MC.
  • 13.
    ARCHIVO DOCENTE DE TOMOGRAFÍAY RESONANCIA C.M.C.
  • 14.
  • 15.
    Enfermedad Poliquística delHígado • Son quistes hepáticos múltiples producidos por lo general en pacientes con enfermedad renal poliquística AD. • Pueden variar mucho de tamaño y producir agrandamiento del hígado. • Asintomáticos, dolor abdominal, plenitud postpandrial precoz o falta de aliento.
  • 16.
  • 17.
    Hamartomas Biliares • Complejosde Von Meyenburg. • Conductos biliares dilatados y revestidos de epitelio biliar. • Pueden ser solitarias , pero normalmente son múltiples. • No producen sintomas y por lo general se descubren por casualidad.
  • 18.
    TC RM Estructuras pequeñas<1,5cm . Hipoatenuantes. Pseudoquisticas. Captación entre escasa y ausente. Igual. T1 Isointensas T2 Hiperintensas La mayoría no capta contraste o captación en anillo del parénquima hepático.
  • 19.
  • 20.
    Angiomiolipoma Hepático • Tumorbenigno mesenquimatoso compuesto por cantidades variables de componentes de músculo liso, grasa y proliferación de vasos sanguíneos. Masa hepática, bien delimitada, sobre todo de grasa. Pequeña masa hepática, de densidad grasa -> CET.
  • 21.
    • TC Simple: Heterogéneo Densidadgrasa y de tejidos blandos. Angiomiolipoma Hepático TC • TC + C Arterial: captación de la porción no grasa de la lesión. • TC + C Portal: la lesión muestra hipoatenuación de toda la masa.
  • 22.
  • 23.
  • 24.
    • T1: Grasa: Hiperintenso Útileslas técnicas de saturación grasa. Angiomiolipoma Hepático RM • T2: Grasa: Hiperintenso. Heterogénea. • T1 + C: Elementos de téjidos blandos dentro de la captación de la lesión.
  • 26.
    Hiperplasia Nodular Focal •Esta causada por una respuesta hiperplásica a una anomalía vascular localizada. • Más común en el LD. •80% lesión solitaria. •85% son < de 5cms. Diametro promedio 3 cms.
  • 27.
    HiperplasiaNodular Focal • Simple:Isodensa o hipointensa. • Fase arterial: hiperdensidad transitoria, intensa, homogénea. TC • Fase venosa: hipodensa o isodensa. • Tardías: isodensa, cicatriz central hiperdensa.
  • 28.
    ARCHIVO DOCENTE DE TOMOGRAFÍAY RESONANCIA C.M.C.
  • 29.
    • T1: Isointensos olig. hipointenso. Cicatriz central: Hipointensa. RM • T2: Hiperintensa a isointensa Cicatriz central: Hiperintensa. • T1 + C: Hiperintensa homogénea. Cicatriz hipointensa. HiperplasiaNódular Focal
  • 30.
  • 31.
    Adenoma Hepático • Neoplasiabenigna rara. • Surge de hepatocitos dispuestos en cordones que aveces producen bilis. • Masa heterogénea, hipervascular con focos de grasa y hemorragía en mujeres jóvenes.
  • 32.
    • Localización: Región subcapsulardel LHD (75%). Intraparenquimatosos o pedunculados (10%) • Tamaño: Varia de 6 – 30 cms. Media es de 8 – 10 cms Muy asociado con fármacos estrógenos o andrógenos. Adenoma Hepático
  • 33.
    • TC simple: Masaesférica bien definida. De isodensa a hipodensa. Hemorragia: intratumoral, parénquimatosa o subcapsular. AdenomaHepático TC • TC + C: Portal Menos heterogéneos. Hiper, iso denso con respecto al hígado. • TC + C: Arterial Heterogéneos, captación intensa. • TC + C: Tardia (10 min) Homogéneos, hipodensos. La captación del MC no persiste. Pseudocápsula.
  • 34.
  • 35.
    • T1: Heterogéneo Grasa:Hiperintenso Necrosis: Hipointenso Borde: Hipointenso. AdenomaHepático RM • T2: Heterogéneo Hemorragia antigua, necrosis: Hiperintenso. Hemorragía reciente: Hipointenso Borde: Hipointenso. • T1 + C: Heterogéneo Pseudocápsula hiperintensa respecto al higado y al adenoma.
  • 36.
    HEMORRAGÍA + GRASA+ MASA ENCAPSULADA + MUJER JOVEN DIANOSTICO POR IMAGEN. ABDOMEN. FEDERLE. 2011.
  • 37.
  • 38.
    Adenoma, Hemangioma óHNF?? Caso Clínico Fem de 83 años…. El estudio TC demostró lesión focal a nivel del lóbulo izquierdo del higado. ARCHIVO DOCENTE DE TOMOGRAFÍA Y RESONANCIA C.M.C.
  • 39.
    Adenoma, Hemangioma óHNF?? Caso Clínico Fem de 83 años…. El estudio TC demostró lesión focal a nivel del lóbulo izquierdo del higado. ARCHIVO DOCENTE DE TOMOGRAFÍA Y RESONANCIA C.M.C.
  • 40.
    Malformacion A-V?? CasoClínico Las MAV pueden estar ocasionadas por trastornos hereditarios que ocasionan displasia fibrovascular. Grandes arterias tortuosas intra y extrahepaticas. Realce heterogéneo del parénquima hepático. Pueden simular masas. DIANOSTICO POR IMAGEN. ABDOMEN. FEDERLE. 2011.
  • 41.
    Pseudotumor Inflamatorio Hep. •Proliferación benigna de células inflamatorias y estroma fibroso en el hígado o en las paredes de las principales vías biliares. Masa grande, solitaria, periférica, Hipodensa en TC. Captación tardia del MC. Masa en el hilio con caracteristicas idénticas al Colangiocarcinoma hiliar.
  • 42.
    • TC Simple: Heterogéneo Densidadgrasa y de tejidos blandos. TC y RM • TC + C Arterial: captación de la porción no grasa de la lesión. Pseudotumor InflamatorioHep. • CT - PET: puede captar intensamente la FDG. • T1: Hipointenso con respecto al hígado. • T2: Iso ó ligeramente Hiperintenso con respecto al hígado.
  • 43.
  • 44.
    Nódulo Necrótico Solitario •Lesión hepática benigna constituida por un centro completamente Necrótico rodeado por una cápsula fibrosa intensamente hialinizada. Eco: Ojo de Buey. No tiene realce en la TC + C. Hipointensidad en todas las secuencias de RM. Raro 0,2% , (Hemangiomas Atípicos).
  • 46.
    Abscesos Amebianos Hepáticos •Acumulación localizada de pus en el hígado producida por Entamoeba histolytica con destrucción del parénquima y el estroma hepático. Masa hipodensa redondeada, bien definida, de localización periférica y con capsula que realza.
  • 48.
    Quiste Hidatídico Hepático •Son formaciones quisticas multiloculares, producida por E. granulosus, contienen numerosas vesiculas hijas periféricas de menor densidad que el quiste madre. Realce de la pared y de los tabiques del quiste. Calcificaciones de la pared, indican enfermedad no activa.
  • 50.
    Conclusiones • El principalproblema clínico es asegurar la naturaleza benigna de las lesiónes hepáticas descubiertas, generalmente en forma incidental (incidentalomas). • Papel del Radiólogo. Clínica y Laboratorio. • Según las características del estudio se definirá finalmente si el paciente va a un estudio de seguimiento, biopsia quirúrgica o a una resección tumoral.
  • 51.