• NEFROBLASTOMA (TUMOR DE WILMS)

• NEFROBLASTOMA QUÍSTICO PARCIALMENTE
  DIFERENCIADO

• NEFROMA MESOBLÁSTICO CONGÉNITO

• TUMOR RABDOIDE

• SARCOMA DE CÉLULAS CLARAS

• CARCINOMA DE CÉLULAS RENALES
•            7 casos por millón de niños.

• 5 – 8% de los canceres en niños.




• Dx----- 80% antes de 5 años.

• 4-8% bilateral.
• EU 500 casos al año.




• Pronostico
• Se desarrolla en niños saludables




• Macroglosia
• Nefromegalia
• Hemihipertrofia
• Alteraciones cromosomicas en cells normales de ptes
  con tumor de wilms--------- 11p13



                  Tumor
                    De
                  wilms
•   Tumor grande
•   Heterogéneo
•   Areas quísticas
•   Hemorrágicas
•   Necróticas.


• Friables y blandos
• Origen: Parénquima
  renal.
• Cubierto por una
  pseudocapsula de
  tej renal atrófico
  comprimido.

• Tamaño: ≥ 5cm ò
  ≥500gr
• ANAPLASIA FOCAL
• ANAPLASIA DIFUSA
Tumor de Wilms en el que se identifican dos componente: epitelial, formando
túbulos o con aspecto en "seudorrosetas" (o "pseudotúbulos"), y blastemal:
células con poco citoplasma, densamente agrupadas, sin diferenciación.
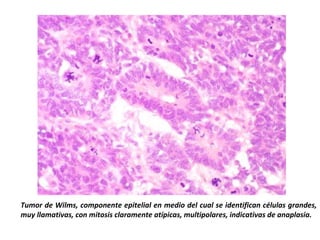
Tumor de Wilms, componente epitelial en medio del cual se identifican células grandes,
muy llamativas, con mitosis claramente atípicas, multipolares, indicativas de anaplasia.
ESTADO                     CARACTERISTICAS
   I     TUMOR LTDA AL RIÑON Y COMPLETA/EXTIRPABLE
         SUPERFICIE DE CAPSULA RENAL INTACTA . NO RUPTURA ANTES O
         DURANTE Cx NO TUMOR RESIDUAL MAS ALLA DE MARGENES DE
         EXTIRPACION

         TUMOR SE EXTIENDE MAS ALLA DEL RIÑON, PERO SE EXTIRPA
  II     COMPLETAMENTE
         HAY EXTENSION REGIONAL DEL TUMOR, VASOS POR FUERA DE SUSTANCIA
         RENAL ESTAN INFILTRADOS O HAY TROMBOS TUMORALES, NO TUMOR MAS
         ALLA DE MARGENES DE EXTIRPACION
         TUMOR RESIDUAL NO HEMATOGENO CONFINADO AL ABDOMEN
  III    2.COMPROMISO GANGLIONAR EN EL HILIO
         3.CONTAMINACION PERITONEAL DIFUSAPOR TUMOR POR RUPTURA
         ANRTES O DURANTE Cx O POR CRECIMiENTO TUMOR HA PENETRADO
         PERITONEO
         4.SIEMBRAS TUMORALES EN SUPERFICIE PERITONEAL
         5.TUMOR SE EXTIENDE MAS ALLA DE MARGENES QUIRURGICAS
         6.TUMOR NO ES TOTALMENTE RESECABLE DEBIDO A INFILTRACION DE
         ESTRUCTURAS VITALES

  IV     METASTASIS HEMATOGENAS
         SIEMBRA MAS ALLA DEL ESTADIO III PULMON, HIGADO, HUESOS,
         GANGLIOS LINFATICOS POR FUERA DE REGION ABDOMINOPELVICA

  V      COMPROMISO RENAL BILATERAL AL Dx
         DEBE CLASIFICARSE POR ESTADOS C/LADO
•   CH
•   Test de función hepática y renal
•   Citoquimico de orina
•   Mielograma
•   Ecografía:




•   TAC:
• Diagnóstico diferencial:
 – quistes renales
 – Hidronefrosis
 – Carcinoma de células renales
 – Linfoma
 – sarcoma y nefroma mesoblástico.
llamado tumor
renal de la infancia
 metastatizante a
       hueso
Tumores renales
Tumores renales
Tumores renales
Tumores renales
Tumores renales
Tumores renales

Tumores renales

  • 2.
    • NEFROBLASTOMA (TUMORDE WILMS) • NEFROBLASTOMA QUÍSTICO PARCIALMENTE DIFERENCIADO • NEFROMA MESOBLÁSTICO CONGÉNITO • TUMOR RABDOIDE • SARCOMA DE CÉLULAS CLARAS • CARCINOMA DE CÉLULAS RENALES
  • 5.
    7 casos por millón de niños. • 5 – 8% de los canceres en niños. • Dx----- 80% antes de 5 años. • 4-8% bilateral.
  • 6.
    • EU 500casos al año. • Pronostico
  • 7.
    • Se desarrollaen niños saludables • Macroglosia • Nefromegalia • Hemihipertrofia
  • 8.
    • Alteraciones cromosomicasen cells normales de ptes con tumor de wilms--------- 11p13 Tumor De wilms
  • 11.
    Tumor grande • Heterogéneo • Areas quísticas • Hemorrágicas • Necróticas. • Friables y blandos • Origen: Parénquima renal.
  • 13.
    • Cubierto poruna pseudocapsula de tej renal atrófico comprimido. • Tamaño: ≥ 5cm ò ≥500gr
  • 15.
    • ANAPLASIA FOCAL •ANAPLASIA DIFUSA
  • 16.
    Tumor de Wilmsen el que se identifican dos componente: epitelial, formando túbulos o con aspecto en "seudorrosetas" (o "pseudotúbulos"), y blastemal: células con poco citoplasma, densamente agrupadas, sin diferenciación.
  • 17.
    Tumor de Wilms,componente epitelial en medio del cual se identifican células grandes, muy llamativas, con mitosis claramente atípicas, multipolares, indicativas de anaplasia.
  • 23.
    ESTADO CARACTERISTICAS I TUMOR LTDA AL RIÑON Y COMPLETA/EXTIRPABLE SUPERFICIE DE CAPSULA RENAL INTACTA . NO RUPTURA ANTES O DURANTE Cx NO TUMOR RESIDUAL MAS ALLA DE MARGENES DE EXTIRPACION TUMOR SE EXTIENDE MAS ALLA DEL RIÑON, PERO SE EXTIRPA II COMPLETAMENTE HAY EXTENSION REGIONAL DEL TUMOR, VASOS POR FUERA DE SUSTANCIA RENAL ESTAN INFILTRADOS O HAY TROMBOS TUMORALES, NO TUMOR MAS ALLA DE MARGENES DE EXTIRPACION TUMOR RESIDUAL NO HEMATOGENO CONFINADO AL ABDOMEN III 2.COMPROMISO GANGLIONAR EN EL HILIO 3.CONTAMINACION PERITONEAL DIFUSAPOR TUMOR POR RUPTURA ANRTES O DURANTE Cx O POR CRECIMiENTO TUMOR HA PENETRADO PERITONEO 4.SIEMBRAS TUMORALES EN SUPERFICIE PERITONEAL 5.TUMOR SE EXTIENDE MAS ALLA DE MARGENES QUIRURGICAS 6.TUMOR NO ES TOTALMENTE RESECABLE DEBIDO A INFILTRACION DE ESTRUCTURAS VITALES IV METASTASIS HEMATOGENAS SIEMBRA MAS ALLA DEL ESTADIO III PULMON, HIGADO, HUESOS, GANGLIOS LINFATICOS POR FUERA DE REGION ABDOMINOPELVICA V COMPROMISO RENAL BILATERAL AL Dx DEBE CLASIFICARSE POR ESTADOS C/LADO
  • 24.
    CH • Test de función hepática y renal • Citoquimico de orina • Mielograma • Ecografía: • TAC:
  • 26.
    • Diagnóstico diferencial: – quistes renales – Hidronefrosis – Carcinoma de células renales – Linfoma – sarcoma y nefroma mesoblástico.
  • 31.
    llamado tumor renal dela infancia metastatizante a hueso

Notas del editor

  • #3 El tumor de Wilms es el tumor maligno renal más frecuente en los niños. Es un tumor de crecimiento rápido con propensión a producir metástasis pulmonares.
  • #4 El nefroblastoma o Tumor de Wilms es un tumor maligno renal derivado de restos del mesonefro embrionario.
  • #7 En los Estados Unidos se diagnostican más de 500 casos cada año. Más del 90% sobreviven 4 años después del diagnóstico, lo cual constituye un avance si se compara con el 80% de supervivencia que se observaba entre el 1975 y 1984.[1] El pronóstico está relacionado no sólo con la etapa de la enfermedad en el momento del diagnóstico, las características histopatológicas del tumor, la edad del paciente y el tamaño del tumor, sino también con la estrategia en equipo para cada paciente por parte del cirujano pediatra, el radiooncólogo y el oncólogo pediatra.
  • #8 El tumor de Wilms normalmente se desarrolla en niños en cierto sentido saludables Pero menos de un 10% se presenta en niños con malformaciones conocidas. el síndrome de sobre crecimiento es el resultado de un excesivo crecimiento somático prenatal y postnatal, lo cual resulta en macroglosia, nefromegalia y hemihipertrofia. Los dos tumores de sobre crecimiento más comunes relacionados con el tumor de Wilms son el síndrome de Beckwith Wiedemann y la hemihipertrofia aislada. [6-10]. Los trastornos de no sobre crecimiento relacionados con el tumor de Wilms incluye la aniridia aislada, trisomía 18, aniridia combinada con malformaciones genitourinaria y el síndrome de retardo mental (AGR).[11] Los niños con predisposición a desarrollar tumor de Wilms (p.ej., Beckwith-Weidemann, hemihipertrofia) deben ser sometidos a exámenes de detección con ultrasonido cada 3 meses hasta alcanzar los 8 años de edad.
  • #9 SX beck… wiede…: gigantismo visceromegalia hipoglucemia Swx drsaH: pseudohermafrotidismo, y EGD Perlam gigantidmo fetal, hemartomas y neurofibromatosis
  • #12 Friables y blandos: roptura espontanea o manipuoacion qx
  • #14 En algunos casos, hay septos intratumorales que le dan un aspecto lobulado. La lesión suele comprimir el resto del riñón extensión a la grasa perirrenal y/o del hilio
  • #19 El dolor obedece a hemorragia intratumural
  • #25 CH: anemia por la hemorragi intratumoral y/o tambien policitemia por la produccion de eritropoyetina aum. Citoquimico: proteinuria y hematuria Mielograma: rara vez hace metastasis a hueso pero se recomiendo como estudio de base para ptes q requieren quimioterapia TAC: proporciona info detallada sobre las caracteristicas del tumor
  • #30 También llamado "tumor renal de la infancia metastatizante a hueso" . PODRÍAN DIFERENCIARSE HACIA MESÉNQUIMA NEFROGÉNICO PRIMITIVO. CORRESPONDE AL 4-5% DE LAS NEOPLASIAS RENALES PEDIÁTRICAS. CLINICA E IMAGENOLOGICA/ INDISTINGUIBLE DEL NEFROBLASTOMA
  • #31 También llamado "tumor renal de la infancia metastatizante a hueso" . Es una neoplasia poco frecuente que tiene mucha tendencia a metastatizar a huesos. Su histogénesis es desconocida; podrían diferenciarse hacia mesénquima nefrogénico primitivo. Corresponde al 4-5% de neoplasia renales pediátricas. Se suelen presentar entre los 1 y 3 años de edad, son muy raros antes de los 6 meses y no se describen casos en adultos. Hay predominancia en el sexo masculino (3:2). No hay predominancia de alguna raza, no se asocian con enfermedades genéticas y no parecen haber casos familiares. Es muy metastatizante y, además de huesos, pueden haber metástasis a ganglios linfáticos, cerebro, pulmón, hígado y tejidos blandos., hace metastasis lentamente
  • #32 Es un tumor agresivo, alrededor de 40% de los casos, al momento del diagnóstico, cursa con metástasis óseas , de ahí que al principio se llamara tumor renal de la infancia metastatizante a hueso,
  • #34 CCSK se asocia a un índice mucho más alto de la recaída a comparación del tumor de Wilms. El pronóstico para el sarcoma claro de la célula del riñón no es tan bueno como el de tumor de Wilms. El tratamiento para CCSK es similar a los tratamientos de las etapas más avanzadas del tumor de Wilms. no todos los tumores renales en el niño son de Wilms, por lo que debe considerarse que un tumor unilateral, unicéntrico, encapsulado, gelatinoso e histológicamente monomorfo (semejante a blastema) podría ser un sarcoma de células claras.
  • #35 EN EL 90% SE PRESENTA SOBRE TODO EN NIÑOS MENORES DE 13 MESES. INUSUAL DESPUES DE LOS 4 AÑOS EN EL 15% HACE METASTASIS MAS FTE AL SNC Y EN OCASIONES SE ASOCIA CON TUMORES EMBRIONARIOS DE CEREBRO POCA RTA AL TTO………. Quimioterapia con ciclofosfamida.