DISCO INTERVERTEBRAL
 Es una estructura cartilaginosa de
apoyo y de articulación entre los
cuerpos vertebrales.
 25-30% de la longitud total de la
columna.
 Consta de un anillo de colágeno
elástico, el anillo fibroso, que rodea el
núcleo pulposo.
 Anillo fibroso: fibras dispuestas
oblicuamente, en direcciones alterna
(flexibilidad y fuerza)
 El núcleo pulposo: estructura gelatinosa
flexible proporciona apoyo y
separa las vértebras, amortigua. los golpes
, permite la compresión , y el movimiento .
Etiología
Hernia
Discal
Traumatismos
Estilos de Vida
Malas posturas
Degeneración
o
envejecimiento
articular
(Edad 30 – 50)
Mecánica
incorrecta
• Torsión
• Levantamiento de
cargas
• Tabaquismo
• Obesidad
• Actv. Física
• Trabajos con vibración
y carga
Factores para
Desarrollar una Hernia
Discal :
 Enfriamientos.
 Esfuerzos.
 Traumatismos.
 Embarazos.
 Enfermedades interrecurrentes.
 Enfermedades metabólicas.
 Causas tumorales.
Clasificación
A.Localización
Póstero-Laterales
• + comunes.
• Compresión
monorradicular.
Póstero-Mediales
• Puede comprimir el
saco dural.
Clasificación
Prolapso
• Deformación de la
envuelta fibrosa
por el impacto del
material gelatinoso
del núcleo pulposo
contra ella.
Fisura
• Desgarro de la
envuelta fibrosa
del disco.
Extrusión
• La envuelta
fibrosa se rompe y
parte del núcleo
pulposo sale fuera
de la envuelta.
B.Cantidaddematerialherniado
Síntomas
Pérdida de
reflejos
tendinosos
Pérdida de
fuerza
Parestesia
Pérdida de
sensibilidad
Dolor local
e irradiado
• Cervical
• Dorsal
• Lumbar
Síndromes Cérvico - Cefálicos
 cuadro de dolor que asocia dolor cervical a dolor de
cabeza (migraña cervical)
 mareo/vértigo, alteraciones visuales o auditivas y disfagia.
Tiene un curso ondulante. Se produce por irritación de la
arteria vertebral por osteofitos uncinados y de la cadena
simpática.
Sindromes Cérvico Medulares:
 Compresión medular aguda a cualquier edad por
hernia masiva. Se produce una subluxación o
luxación cervical, que al reducirse puede dirigir el
material discado hacia el canal raquídeo y producir
paraplejia.
 Mielopatía cervical por compresión crónica: tetra o
paraparesia espástica progresiva con hiperreflexia en
los miembros inferiores, babinski +. En las formas bajas
atrofia de la musculatura de la mano: dificultad para los
movimientos finos: abotonarse, etc.
Síndromes facetarios y de la cola
de caballo
 Tiene su origen en la irritación de las terminaciones de las
articulaciones posteriores.
 El Síndrome Cola de Caballo es una hernia central masiva de
instauración aguda; cursa con hipoestesia de varios territorios
radiculares, paraparesia flácida y trastornos esfinterianos
Diagnóstico de las Hernias
Discales
• Rayos x simple de columna lumbosacra
• Tomografía lineal.
• Tomografía axial computada.
• Discografía.
• Resonancia magnética nuclear.
• Mielografía.
• Electromiografía
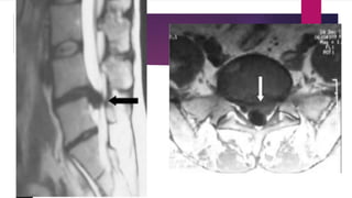
HERNIA DISCAL
 La hernia discal se valora con la
TAC y se caracteriza por una
formación de disco hiperdensa
fuera de su ubicación normal.
 En función de la orientación
anómala que tome el disco
podemos dividirla en: Hernia
discal central: Cuando el disco
está en el centro comprimiendo
la médula.
Siringomielia
Neurinoma
Tumor de Pancoast
Tratamiento de las Hernias
Discales
• Hacer el diagnóstico etiológico.
• Analgésicos.
• Relajantes musculares.
• Antiinflamatorios.
• Fisioterapia.
• Apoyos ortopédicos.
• Tratamientos quirúrgicos.

Hernia discal

  • 2.
    DISCO INTERVERTEBRAL  Esuna estructura cartilaginosa de apoyo y de articulación entre los cuerpos vertebrales.  25-30% de la longitud total de la columna.  Consta de un anillo de colágeno elástico, el anillo fibroso, que rodea el núcleo pulposo.  Anillo fibroso: fibras dispuestas oblicuamente, en direcciones alterna (flexibilidad y fuerza)  El núcleo pulposo: estructura gelatinosa flexible proporciona apoyo y separa las vértebras, amortigua. los golpes , permite la compresión , y el movimiento .
  • 4.
    Etiología Hernia Discal Traumatismos Estilos de Vida Malasposturas Degeneración o envejecimiento articular (Edad 30 – 50) Mecánica incorrecta • Torsión • Levantamiento de cargas • Tabaquismo • Obesidad • Actv. Física • Trabajos con vibración y carga
  • 5.
    Factores para Desarrollar unaHernia Discal :  Enfriamientos.  Esfuerzos.  Traumatismos.  Embarazos.  Enfermedades interrecurrentes.  Enfermedades metabólicas.  Causas tumorales.
  • 8.
    Clasificación A.Localización Póstero-Laterales • + comunes. •Compresión monorradicular. Póstero-Mediales • Puede comprimir el saco dural.
  • 9.
    Clasificación Prolapso • Deformación dela envuelta fibrosa por el impacto del material gelatinoso del núcleo pulposo contra ella. Fisura • Desgarro de la envuelta fibrosa del disco. Extrusión • La envuelta fibrosa se rompe y parte del núcleo pulposo sale fuera de la envuelta. B.Cantidaddematerialherniado
  • 13.
    Síntomas Pérdida de reflejos tendinosos Pérdida de fuerza Parestesia Pérdidade sensibilidad Dolor local e irradiado • Cervical • Dorsal • Lumbar
  • 16.
    Síndromes Cérvico -Cefálicos  cuadro de dolor que asocia dolor cervical a dolor de cabeza (migraña cervical)  mareo/vértigo, alteraciones visuales o auditivas y disfagia. Tiene un curso ondulante. Se produce por irritación de la arteria vertebral por osteofitos uncinados y de la cadena simpática.
  • 17.
    Sindromes Cérvico Medulares: Compresión medular aguda a cualquier edad por hernia masiva. Se produce una subluxación o luxación cervical, que al reducirse puede dirigir el material discado hacia el canal raquídeo y producir paraplejia.
  • 18.
     Mielopatía cervicalpor compresión crónica: tetra o paraparesia espástica progresiva con hiperreflexia en los miembros inferiores, babinski +. En las formas bajas atrofia de la musculatura de la mano: dificultad para los movimientos finos: abotonarse, etc.
  • 19.
    Síndromes facetarios yde la cola de caballo  Tiene su origen en la irritación de las terminaciones de las articulaciones posteriores.  El Síndrome Cola de Caballo es una hernia central masiva de instauración aguda; cursa con hipoestesia de varios territorios radiculares, paraparesia flácida y trastornos esfinterianos
  • 20.
    Diagnóstico de lasHernias Discales • Rayos x simple de columna lumbosacra • Tomografía lineal. • Tomografía axial computada. • Discografía. • Resonancia magnética nuclear. • Mielografía. • Electromiografía
  • 22.
    HERNIA DISCAL  Lahernia discal se valora con la TAC y se caracteriza por una formación de disco hiperdensa fuera de su ubicación normal.  En función de la orientación anómala que tome el disco podemos dividirla en: Hernia discal central: Cuando el disco está en el centro comprimiendo la médula.
  • 28.
  • 29.
    Tratamiento de lasHernias Discales • Hacer el diagnóstico etiológico. • Analgésicos. • Relajantes musculares. • Antiinflamatorios. • Fisioterapia. • Apoyos ortopédicos. • Tratamientos quirúrgicos.

Notas del editor

  • #3 . Las fibras de colágeno del anillo están dispuestos oblicuamente en direcciones alternas , en capas ( laminillas ) , el cual permite flexibilidad manteniendo al mismo tiempo la fuerza. Quince a 25 laminillas comprenden el anillo