Sistema Linfatico
De los elementos formes sanguíneos diga cuáles
tienen función de defensa y dónde se originan.
1. Componentes del Sistema Inmune.
Sistema vascular linfático.
2. Tejido linfático y órganos linfáticos.
3. Timo, características
morfofuncionales generales.
4. Ganglios linfáticos. Características
morfofuncionales generales.
5. Bazo. Características
morfofuncionales generales.
SUMARIO:
Explicar las características
morfofuncionales del sistema inmune:
los tipos de células, tejidos y órganos
que lo integran aplicando los modelos
de células, tejidos y órganos,
empleando esquemas, fotomicrografías
y láminas histológicas.
OBJETIVO:
Adenopatías
¿Por qué se produce aumento de volumen en ganglios
linfáticos (adenopatías) durante los procesos
infecciosos?
ÓRGANOS
LINFÁTICOS
SISTEMA
VASCULAR
LINFÁTICO
 Capilares
linfáticos
 Vasos linfáticos
 Troncos linfáticos
 Primarios
(diferenciadores)
 Secundarios
(efectores)
SISTEMA
INMUNE
Ó
R
G
A
N
O
S
Primarios
(diferenciadores)
Secundarios
(efectores)
• Médula ósea: Linfocitos B
• Timo: Linfocitos T
Compartimento
sistémico
Compartimento
mucoso
• Bazo
• Ganglios linfáticos
Tejido linfático
asociado a
mucosas del
aparato
digestivo,
respiratorio y
genitourinario
(TLAM)
L
I
N
F
Á
T
I
C
O
S
ÓRGANOS
LINFÁTICOS
Bazo
Médula ósea
Linfonodo
Timo
TLAM
Primarios
Secundarios
ORGANIZACIÓN DEL TEJIDO LINFÁTICO:
LAXO O
DIFUSO
DENSO
NODULAR
Red reticular, linfocitos T, macrófagos,
células plasmáticas, células dendríticas.
En la lámina propia del aparato digestivo,
respiratorio y genitourinario.
Red reticular, gran cantidad de linfocitos T
En la paracorteza y cordones linfáticos
medulares de los ganglios linfáticos y en las
vainas linfáticas periarteriales del bazo.
Red reticular, linfocitos B, macrófagos,
células reticulares dendríticas
En los nódulos linfáticos
EVIDENCIAS
HISTOLÓGICAS DE LA
PROLIFERACIÓN Y
LA DIFERENCIACIÓN
CELULAR
NÓDULO PRIMARIO
ORGANIZACIÓN NODULAR DEL TEJIDO LINFOIDE
Órganos Primarios
(diferenciadores)
T
I
M
O
Estroma
Parénquima
•Cápsula
•Tabiques
•Células
Corteza
Médula
•Linfocitos T en distintas
etapas de maduración
•Células reticulares
epiteliales tipos I, II, III y IV.
•Linfocitos maduros
•Células reticulares
epiteliales tipos V y VI
•Corpúsculos tímicos de
Hassall
Células reticulares epiteliales
Macrófagos
Células interdigitantes
Órgano
Macizo
LOCALIZACIÓN CELULAR EN EL TIMO
Corteza
Médula
Subcapsular
Corteza externa
Corteza interna
ESTRUCTURA HISTOLÓGICA DEL TIMO
BARRERA
HEMOTÍMICA
(Corteza)
1. Endotelio continuo.
2. Lámina basal gruesa y pericitos
3. Espacio pericapilar con macrófagos
4. Células reticulares epiteliales tipo I y
su lámina basal
ZONAS TIMO-
DEPENDIENTES
•Paracorteza de los ganglios linfáticos
•Vainas linfáticas periarteriales del bazo
•Tejido linfoide denso entre nódulos
linfáticos en las amígdalas, placas de
Peyer, apéndice, etc.
¿ Hacia dónde se dirigen las células
inmunocompetentes luego de
abandonar los órganos
diferenciadores?
Órganos Secundarios
(efectores)
GANGLIO
LINFÁTICO
Estroma
Parénquima
•Cápsula
•Trabéculas
•Tejido reticular
•Células
Corteza: Nódulos linfáticos,
Senos linfáticos subcapsular
y peritrabeculares.
Paracorteza: Linfocitos T
zona timodependiente.
Médula: Cordones medulares,
Senos medulares.
Reticulares dendríticas
Foliculares e interdigitantes
Macrófago
Fibroblastos
Órgano
Macizo
Corte longitudinal de un linfonodo. Coloración H/E. 40X.
Sección de un linfonodo que muestra la corteza, la médula y la zona
paracortical. Coloración H/E. 100X.
Corteza
Paracorteza
Médula
Cápsula
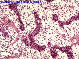
GANGLIO LINFÁTICO
Corteza
GANGLIO LINFÁTICO MÉDULA
Cordones
medulares
Cápsula
Folículo
secundario
Capilares
sanguíneos
Vaso linfático
eferente
Vasos
linfáticos
aferentes
Trabécul
a
Vaso linfático
aferente
Circulación
de la linfa
FUNCIONES:
1. Filtración de la linfa.
2. Respuesta inmune.
3. Recirculación de linfocitos.
Adenopatías
¿Por qué se produce aumento de
volumen en ganglios linfáticos
(adenopatías) durante los
procesos infecciosos?
Podemos dar respuesta:
BAZO
Estroma
Parénquima
•Cápsula: Tej. Conj. denso Irregular
con fibras musc. lisas
cubierta de mesotelio
•Trabéculas
•Red de fibras reticulares
•Células
Pulpa blanca: Vaina linfática peri-
arterial
Nódulos linfáticos
Pulpa roja: Cordones esplénicos
Senos venosos
Zona marginal
Reticulares dendríticas
Foliculares e interdigitantes
Macrófagos
Fibroblastos
Órgano
Macizo
Corte de un segmento de Bazo. Coloración H/E. 40X.
ARTERIA ESPLÉNICA
CIRCULACIÓN ESPLÉNICA
SENOS ESPLÉNICOS (Senos
venosos o sinusoides)
ARTERIAS TRABECULARES
ARTERIAS CENTRALES
ARTERIAS PENICILADAS
Arteriolas de la pulpa
Elipsoides
Capilares arteriales
VENAS DE LA PULPA
VENAS TRABECULARES
VENA ESPLÉNICA
Arteria
central
Zona
marginal
Folículo linfoide
Zona de células B)
Vaina linfoide
periarteriolar
Zona de células T)
Vena trabecular
Arteria trabecular
Estructura del Bazo
Fotomicrografía electrónica de la pulpa roja del Bazo. Se
observan los sinusoides, los cordones esplénicos y los macrófagos
(M). 1600x.
FUNCIONES DEL BAZO:
• DEFENSA, COMO FILTRO DE LA SANGRE
• RESPUESTA INMUNE
• DESTRUCCIÓN DE ERITROCITOS (Hemocateresis)
• DEPÓSITO DE SANGRE
ORGANIZACIÓN DEL TEJIDO
LINFÁTICO ASOCIADO A MUCOSAS
B) NODULOS LINFÁTICOS.
A) TEJIDO LINFÁTICO DIFUSO.
C) CÉLULAS M.
D) LINFOCITOS INTRAEPITELIARES.
Epitelio
estratificado
plano húmedo
Pliegue
Tejido
linfático
difuso
Nódulos
linfáticos
secundario
s
Glándulas
mucosas
linguales
posteriores
Tonsila lingual. H/E. 14x.
Cápsula de
tejido conectivo
Tejido linfático asociado a mucosas en el tracto intestinal.
H/E.
BIBLIOGRAFÍA:
1. Literatura Básica: Ros, Michael H, Pawlina Wojciech.
Histología: Texto y Atlas color con Biología Celular y
Molecular. 6ª Edición. Buenos Aires: Ed Médica
Panamericana. 2013.
2. Laminario Virtual.
3. Materiales complementarios elaborados por el
docente.

Histología Linfatico.pptx