NEUMONIA
DEFINICIÓN: Es la lesión inflamatoria infecciosa del  parénquima pulmonar,  caracterizada por una  exudación inflamatoria  localizada.
ANATOMIA PATOLOGICA Poros de Kohn  Canales de Lambert Árbol Bronquial. LPMN, Exudación de proteínas Edema Eritrocitos y  Células mononucleares
NEUMONIA LOBAR  NEUMONIA INTERSTICIAL BRONCONEUMONIA
 
FISIOPATOLOGIA
FISIOPATOLOGIA HIPOXEMIA EPOC HIPERCAPNIA HIPERVENTILACION ALCALOSIS RESPIRATORIA INFLAMACION INFECCION +
FISIOPATOLOGIA Proporción ventilación-perfusión Cortocircuitos
CUADRO CLINICO Tos Disnea Expectoración Dolor Pleurítico Hemoptisis Astenia Sensación Febril Anorexia Cefalea Mialgias Manifestaciones Respiratorios Manifestaciones Sistémicas
Taquicardia Taquipnea Fiebre Estertores Soplo Tubarico Vibraciones Vocales Egofonía Exploración   Física :
 
COMPLICACIONES ABSCESO PULMONAR Colección localizada de  pus. Suele ser producto  de la destrucción tisular  de la neumonía.  EMPIEMA Presencia de pus en el  espacio pleural
Patrones radiologicos P uede orientar al diagnóstico P atrones variados e inespecíficos U til para observar complicaciones y evolución
Patrón focal  o lobar o Segmentaria Unifocal Multifocal  (prototipo: neumococo) patron multifocal  o bronconeumonía Neumonía Lobulillar  (prototipo: estafilococo) patron intersticial  (focal o difusa): (prot: mycoplasma) patron redonda u oval (niños) Patrones radiológicos(neumonias): patrones  No complicadas comunes
Características Neumonía Lobar Bronco-neumonía Neumonitis Estado General Regular Malo (séptico) Regular o Bueno Dificultad Respiratoria Mayor compromiso lactante Severo No hay Cianosis Raro Si (IRA) Infrecuente Semiología Condensación foco localizado Focos difusos y múltiples Rales crepitantes y húmedos Rales crepitantes secos (abajo RX Alveolos lobar segmentario Difuso o múltiples Nodulillar o en vidrio esmerilado
Patrón focal o lobar Afecta a un lóbulo del pulmón   Producida por el neumococo   Las lesiones alveolares localizadas tienen tendencia a la distribución lobar o segmentaria Se extienda a la pleura   densidad  homogénea que oblitera las marcas vasculares normales   está limitada por las cisuras
Apariencia de un lóbulo expandido   Puede acompañarse o no de broncograma aéreo   Organismos que causan más frecuentemente neumonía lobar son el Estreptococo Pneumoniae (fig. 1a) y la Klebsiella Pneumoniae   Klebsiella Pneumoniae   : tiende a seguir un curso más agresivo, produciendo necrosis tisular con cavitación.
Consolidación neumónica del lóbulo superior derecho.  Etiología: Estreptococo Pneumoniae
Opacidad limitada por las cisuras.
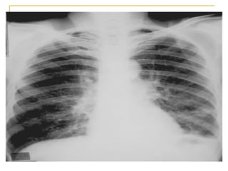
Detalle de radiografía posteroanterior en un paciente con neumonía del lóbulo superior derecho. Imagen de condensación alveolar.
Radiografía posteroanterior de tórax. Neumonía del espacio aéreo del lóbulo superior derecho, con broncograma aéreo.
Bronconeumonía   Se produce una intensa inflamación en las vías aéreas y el parénquima pulmonar contiguo Opacidades en parches de contornos poco definidos que ocupan mas de un lóbulo   todo un pulmón o de forma bilateral   Puede estar presente el broncograma aéreo   Puede originarse con diversos organismos, aunque el más habitual son las bacterias. Es fácil que se origine después de haber sufrido un resfriado
Grupos que mas afecta:  los niños, los ancianos  , pacientes crónicos de diversas enfermedades como el asma, la diabetes o las cardiopatías  Bronconeumonía  curso mas agresivo que neumonia lobar Los sitios primarios de lesión son los bronquíolos terminales y respiratorios  con formación de úlceras e infiltración de sus paredes por   leucocitos   polimorfonucleares
engrosamiento peribronquial y tapones de moco  En contraste con la neumonía  lobar  que se caracteriza  por  atelectasia infrecuente, la bronconeumonía es una causa común de atelectasia  la  se ha denominado neumonía atelectásica .
Radiografía lateral de torax. Bronconeumonía con atelectasia.
Radiografía de torax, que muestra bronconeumonía en el pulmón derecho.
Bronconeumonía.  (klebsiella)
                               Extenso moteado bronconeumónico bilateral.
                               Moteado bronconeumónico en ambos pulmones.
Lesiones inflamatorias en ambas bases pulmonares.
Patrón intersticial   Se caracteriza por la existencia de líneas o rayas en el parenquima pulmonar   Patrón lineal o linfangítico, que corresponden al engrosamiento de los septos interlobulillares infiltrado  intersticial  inflamatorio y depósito anómalo de fibras del tejido conectivo que pueden conducir a una fibrosis pulmonar que a su vez puede evolucionar hacia un patrón en pana l
Opacidades intersticiales de patrón reticular grueso, de predominio periférico, con áreas que sugieren patrón de "panal de abejas". Neumonía  intersticial  descamativa :  zonas de pulmón sano de inflamación,  macrófagos   de fibrosis intersticial  fibroblastos proliferantes  cambios de pulmón en panal.  heterogeneidad
Proliferación f i broblástica joven en el intersticio. Coloración de TN 10X.
 
 
 
 
Opacidades en "vidrio esmerilado". Y   distorsión de la arquitectura pulmonar por fibrosis.  Y panal de avejas
Patron  redond o u ovalado   La  imagen de "neumonía redonda"es característica del neumococo   2  o 2.5  cm . Consolidación del espacio aéreo, esférico, usualmente frecuentemente posterior Se observa mas  en niños   relacionadas con el pobre desarrollo de vías colaterales en los niños.  Pueden confundirse con masas mediastinales o intraparenquimatosas, siendo la presentación clínica la clave del diagnóstico.
 
                                          Anexo:  patron micronodular (TBC)
NEUMONIA NEUMOCÓCICA Más frecuente de N. Extrahospitalaria La infección genera inmunidad parcial Infección vírica Daña pulmones Neumococo INFECCIÓN
MANIFESTACIONES CLINICAS Fiebre Escalofríos Tos+expectoración purulenta Dolor Toráxico Taquipnea Soplo tubárico Crepitantes Leucocitosis
Los pacientes ancianos presentan otros cuadros patológicos coexistentes surgen COMPLICACIONES Insuficiencia respiratoria   Insuficiencia cardiaca congestiva Choque Disrritmias auriculares Infarto de miocardio Insuficiencia renal Hemorragia gastrointestinal
Neumonía de lóbulo medio derecho
Neumonía del lóbulo superior derecho
Neumonía del LII con derrame pleural asociado
 
Neumonía lobar multifocal del LII y LSD este último con cavitación
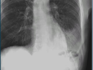
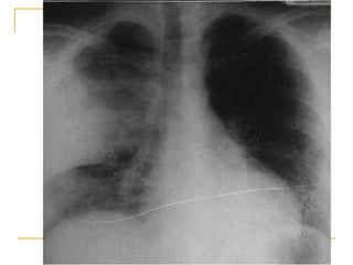
CASO CLINICO Paciente de 27 años, sexo masculino, no fumador, sin antecedentes patológicos importantes para destacar, que en la semana previa a la consulta presentó rinitis y tos seca, acompañados de mialgias, cefalea y fiebre. Se automedicó con antipiréticos y permaneció 3 días en cama. Dos días antes de su ser internado en el hospital había agregado expectoración mucopurulenta y hemática y dolor en hemitórax derecho. Desde el inicio de sus síntomas tuvo anorexia y fatigabilidad fácil.
Del examen físico se destacó: Tº axilar de 39º C, FR 28 p/m, soplo tubario en tercio superior de cara posterior de hemitórax derecho, taquicardia regular de 112 p/m.  En la radiografía de tórax se observó una opacidad densa homogénea de hemitórax derecho limitada en su borde inferior por la cisura horizontal.
 
NEUMONIA POR  Staphylococcus aureus
El humano es el reservorio natural de S. aureus, el 30-50% de los adultos sanos se encuentran colonizados . Es un patógeno  extremadamente importante en la responsabilidad de la neumonía intrahospitalaria.
La incidencia es del 25% con una  mortalidad alrededor de 30% ,la que ocurre habitualmente en las primeras 48 hrs de ingreso al hospital.
La neumonía a S. aureus ocurren por medio de 2 mecanismos:  a- Por diseminación hematógena al pulmón desde el sitio distante de infección.  b-Por diseminación aerógena, después de intubación orotraqueal en pacientes  colonizados o después de aspiración de secreciones orofaríngeas.
 
 
NEUMATOCELE
Radiografía de control a las 3 semanas, con remisión casi completa de la consolidación y nuevamente la imagen del neumatocele basal izquierdo.
Radiografia de control a los 2 meses, con desaparición completa del neumatocele.
CASO CLINICO
Paciente de 19 años de edad, sexo masculino, presenta 10 días antes de la consulta traumatismo contuso-cortante de hombro izquierdo, evolucionando con dolor y aumento de la temperatura local e impotencia funcional del brazo izquierdo, sensación de cuerpo caliente, escalofríos y  taquipnea  por lo que consulta, constatándose tumefacción y flogosis en hombro izquierdo.
Examen físico Febril 38,5ºC, Normotenso, FR 30/min. Tumefacción y flogosis en hombro izquierdo. Aparato respiratorio: matidez,  hipoventilación en tercio inferior de ambos pulmones con rales crepitantes secos . Resto del examen físico sin alteraciones.
Se realiza punción aspiración de la lesión cutánea y hemocultivos aislándose en ambas muestras S. aureus Oxa-sensible.  El paciente evoluciona con mal patrón respiratorio, con uso de músculos accesorios, FR 30/min, por lo que pasa a Unidad de Terapia Intensiva (UTI) .
Tratado con Cefalotina 12 g/día más Rifampicina 600 mg/día, oxigenoterapia, y debridamiento de la colección. Presenta buena saturación de oxígeno con el suministro con máscara, mejorando paulatinamente el patrón respiratorio y descendiendo la FR, por lo que no requiere asistencia respiratoria mecánica.  Tratamiento La penicilina es la droga de elección para tratar el S. aureus sensible.
 
 
NEUMONÍA POR  PNEUMOCYSTIS CARINII
Nombres alternativos:  Neumocistosis; PCP; Pneumocystis jiroveci El  P. carinii  es un organismo ubicuo que parasita la vía respiratoria durante la infancia y permanece latente hasta que una inmunodeficiencia celular permite su reactivación.
MANIFESTACIONES CLÍNICAS En R.N  :comienzo insidioso, con pérdida de apetito y fiebre, que progresa a distrés e insuficiencia respiratorias .   En el adulto inmunodeprimidos no infectados  : disnea, fiebre y tos no productiva. En los infectados por el HIV  :enfermedad subaguda, fiebre, tos no productiva y disnea progresiva (síntoma principal). En la exploración física : disnea, taquipnea y raras veces cianosis.
HALLAZGOS RADIOLOGICOS
FASE INICIAL Focos dispersos de opacidades en vidrio esmerilado o consolidaciones
Radiografía de tórax obtenida al ingreso (compromiso intersticial   )
Radiografía de tórax control a los 5 días del ingreso (opacidades tipo “vidrio esmerilado” )
Neumonía por  P. Carinii  en paciente VIH
Paciente VIH positivo con neumonía por  Pneumocytis carinii  (fase subaguda o en resolución)
 
Neumonía por  Pneumocystitis carinii.  Patrón pulmonar intersticial bilateral.
FASE AGUDA Engrosamiento de los septos alveolares
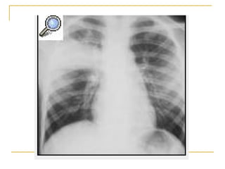
Paciente con neumonía del lóbulo superior derecho. Imagen de condensación alveolar.
Quistes aéreos de predominio subpleural
 
 
Neumotórax por  Pneumocystis carinii  ,  (en algunos pacientes)
Historia Clínica Paciente de 36 años de edad, HIV (+), homosexual, sin tratamiento retroviral, sin profilaxis antibiótica, antecedentes de haber sufrido 4 episodios de neumonía, uno con derrame pleural. Una semana antes de su ingreso consultó por tos irritativa, fiebre, calofríos, dolor en el centro del tórax y disnea progresiva. Al ingreso, se encontraba polipneico, hipotenso, afebril Al examen físico existía candidiasis oral y crepitaciones en ambos campos pulmonares. El hemograma mostró anemia, leucopenia, Linfocitos T CD4 23%  Se efectuó fibrobroncoscopía con lavado broncoalveolar, que mostró tinción y PCR positivas para  Pneumocystis carinii.
Extenso enfisema buloso en los lóbulos superiores de ambos pulmones.
Hacia las bases hay aumento de la densidad radiológica
En la base derecha se observan imágenes quísticas
NEUMONÍAS VIRALES
28% 1% Citomegalovirus (CMV) 29% 5% Virus de la influenza A 14% 5% Virus de la influenza B 16% 14% Virus Parainfluenza 3 3% 16% Virus Parainfluenza 1 5% 36% Virus Sincitial (VSR) Adultos Niños PORCENTAJE AGENTE VIRUS CAUSANTES DE NEUMONÍA
Infección nasal Tráquea Bronquios Vías terminales Alveólos INICIO Periodo de inc. 3-5 días Respuesta inmune  Disminuye de la mucosa Epitelio infectado pierde Fx ciliar Células alveolares  Pierden su integridad Pierde la producción De surfactante Infiltración Mononuclear  obstruir las vías aéreas y bloquea el intercambio  gaseoso alvéolo-capilar
MANIFESTACIONES CLÍNICAS NIÑOS ADULTO Fiebre de bajo grado Apneas Taquipnea Taquicardia Aleteo nasal  Retracciones   Puede presentar cianosis   Malestar, mialgias Anorexia ,  escalofríos Tos irritativa y no produc.  Dificultad respiratoria  son menos severos que  en niños menores   estertores crepitantes locales o diseminados.
Diferencias entre neumonía bacteriana y viral.   Infiltrado no definido Zonas de consolidación  Radiografía de tórax  Normal Neutrófilos  Diferencial < 15 000/mm 3 > 15 000/mm3  Leucocitos Raro Frecuente Consolidación  Raro Frecuente  Derrame < 39.4 °C 39.4-40 °C  Temperatura Mucoide Purulento Esputo Paroxística, no productiva Productiva Tos Normal Tóxica  Facies Gradual Súbito  Inicio Viral Bacteriana
Patrones radiográficos en neumonía viral MAS FRECUENTE Infiltrados peribronquiales parahiliares (bronquitis) FRECUENTE Infiltrados parahiliares bilaterales con atelectasia RARO Patrón intersticial reticulo-nodular FRECUENTE EN NIÑOS MENORES DE 2 AÑOS Aumento del volumen pulmonar, sin infiltrados (Bronquiolitis) Tomado de Swischuk L. In: emergency Imaging of the acutely III or Injured Child. Slipknot Williams & Wilkins. 2000.
Infiltrado intersticial retículo nodular bilateral de predominio perihiliar y basal
Infiltrado intersticial retículo nodular bilateral de predominio perihiliar y basal
Infiltrado parahiliar bilateral difuso de tipo nodular que abarca ambos lóbulos inferiores. Aumento del perfil derecho e izquierdo del corazón Sobredistensión pulmonar
Infiltrado nodular escaso basal bilateral. Sobredistensión pulmonar Cardiomegalia
Infiltrado basal bilateral. Sobredistensión pulmonar Cardiomegalia
Caso Clínico En 10/2000:  lactante femenina  de  7 meses de vida,  recibe  lactancia materna,  esquema de  vacunaci ón completo . Sana hasta 2 días antes de la consulta. Consultó por dos días de fiebre hasta 38 .5 °C rectal ,  coriza , secreción  sero sa  mucosa y tos emetizante.  Primer episodio respiratorio.   Al examen físico estaba afebril, FR 4 4 /min, FC 124/min, hidratada, sin  dificultad  respiratoria. En el examen se auscultaban espiración prolongada, sibilancias difusas bilaterales y  algunos crepitantes  medianos  ambas bases .
Comentario: Los elementos a considerar para el diagnóstico y decisión terapéutica en una infección respiratoria son: historia, el examen físico, la edad, epidemiología local, características radiológicas del caso, antecedentes de inmunizaciones y la severidad de la infección.
 
Existen tres patrones radiográficos de presentación: neumonías alveolares, compromiso intersticial y mixtas. Si bien esto permite una orientación etiológica inicial, los resultados son inespecíficos en cuanto a determinar el agente causal. En niños < de 2 años con infiltrados intersticiales difusos bilaterales, el hallazgo de coriza y conjuntivitis, asociados a signo s  obstructivo s  bronquiales  orienta a etiología viral.
Dado el diagnóstico que hemos hecho en este caso sólo corresponde tratamiento sintomático y no se justifica el uso de antimicrobianos. Cuidados  de soporte para este tipo de neumonía  uso  de mascaras  humidificador a s  aumento de la ingesta de líquidos y  administración de oxígeno
NEUMONIA POR  KLEBSIELLA PNEUMONIAE
La más frecuente de las causadas por gérmenes Gramnegativos adquirida en la comunidad. Se produce por aspiración de secreción orofaríngea en individuos altamente colonizados. Mayor frecuencia en sujetos con padecimientos debilitantes, alcohólicos, enfermedad broncopulmonar crónica y en inmunosuprimidos. Comienza bruscamente con fiebre, escalofríos, tos productiva y  el estado general suele estar muy afectado. El esputo, pegajoso y difícil de expectorar, puede ser marrón oscuro o sanguinolento.
Se afectan, sobre todo, los lóbulos superiores, aunque pueden extenderse con rapidez a los lóbulos contiguos.  El parénquima afecto aumenta de volumen, por lo que radiológicamente puede apreciarse que la cisura se comba. A veces, las secreciones son tan tenaces que obstruyen los bronquios y producen atelectasias. Radiológicamente no presenta datos distintivos especificos .
Es frecuente el compromiso de los lóbulos superiores y el abombamiento de la cisura interlobar; sin embargo, ambos hallazgos son inespecíficos El diagnóstico debe hacerse con base en la bacteriología. Los antimicrobianos de elección son las cefalosporinas de tercera generación combinadas con aminoglucósidos.
NEUMONIA DE FRIEDLÄNDER producida por Klebsiella pneumoniae y comprende aproximadamente un 1% de las neumonías de autopsias. El 75% son unilaterales, derechas.  Se trata de una neumonía lobular atípica. Se distingue una forma aguda y una crónica. La forma aguda comienza como focos neumónicos, que se hacen rápidamente confluentes hasta alcanzar una extensión lobular, predominantemente en lóbulo superior.
El exudado es serofibrinoso, fibrinopurulento o hemorrágico y tiende a la transformación mucosa. Son frecuentes los focos supurados y la tendencia a formar abscesos. En las formas crónicas, más del 80% de los casos presenta abscesos del lóbulo superior derecho y el 25%, empiema pleural.
Simplemente por el aspecto del esputo y la placa de torax se debe  establecer un diagnostico exacto
Neumonia del lobulo superior derecho por Klebsiella.Germen gram negativo que produce neumonias en lobulos superiores , abombando las cisuras.F Frecuente en diabeticos , vagabundos , alcoholicos e inmunodeprimidos. Es tipico el esputo en *jarabe de grosella*.
se trata con cefalosporinas de 3ª generacion cefixima  oral  ceftibuteno  oral  cefotaxima  parenteral  ceftriaxona  parenteral  Asociando aminoglucosidos (genta , tobra ....) y vigilando la funcion renal
Caso 1: Radiografía lateral de tórax Descripción: Afectación de lóbulo superior derecho, con imagen radiopaca afectando el segmento anterior y posterior.  Presencia de broncograma difuso en región hiliar y apical, lobulación del hemidiafragma derecho. Diagnóstico:  Neumonía por Klebsiella
Caso 2: Radiografía  posteroanterior de tórax Descripción: Se observa imagen de densidad heterogénea apical derecha. Además se distingue imagen de atelectasia radiopaca y homogénea con vértice pleural y base pulmonar en la región hiliar de hemitórax derecho, que provoca desplazamiento del mediastino hacia el lado afectado y elevación del hemidiafragma derecho. Hemitórax izquierdo con sobredistensión y ensanchamiento de espacios intercostales. Diagnóstico:   Neumonía por Klebsiella
Caso 3: Radiografía posteroanterior de tórax Descripción: Imagen homogénea  radiopaca de consolidación que abarca todo el lóbulo superior y lóbulo medio segmento lateral. Diagnóstico:  Neumonía por Klebsiella
NEUMONÍA TUBERCULOSA Etiología  y patogenia de la enfermedad producidos por Mycobacterium tuberculosis La lesión típica es el tubérculo pulmonar con abundantes leucocitos y reemplazo por macrófagos apartir del segundo día 10 a 20 días los macrófagos forman las células epiltelioides y 15 a  30 días después la caseosis. Posteriormente  aparecen fibrositos y tejido colágeno cicatricial formando una cápsula.
MANIFESTACONES RADIOLOGICAS TBC primaria Infección lobar Patrón ganglionar TBC miliar afectación   pleural
TBC PRIMARIA INFECCIÓN LOBAR : condensación homogénea, densa y bien definida, limitada  a un segmento a un nódulo aunque la afectación puede ser más extensa.. La TPP casi siempre tiene adenopatías acompañantes.
Condensación basal izquierda con mala respuesta a tratamiento como neumonía bacteriana adquirida en la comunidad.
TBC PRIMARIA  : PRESENTACIÓN GANGLIONAR  :  las adenopatías es prácticamente patognomónica de la fase primaria de la enfermedad, (90%) el grupo mas frecuentemente afectado es el traqueo bronquial derecho. La combinación de una lesión neumónica lobar  con adenopatías es muy típica de tuberculosis (complejo primario)
Adenopatías a nivel del hilio pulmonar derecho, manifestación de tuberculosis primaria. El diagnostico diferencial debe considerar linfoma y Cá. pulmonar.
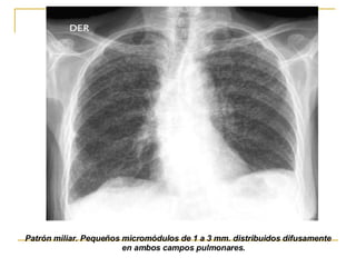
TUBERCULOSIS MILIAR resultado de la diseminación hematógena fases iniciales, normal. una semana después ,presencia de un halo difuso, mal definido en ambos pulmones y posteriormente la imagen típica de nódulos pulmonares miliares bien definidos. Afectación es de todos los campos pulmonares, existen adenopatías hiliares
Patrón miliar. Pequeños micromódulos de 1 a 3 mm. distribuidos difusamente en ambos campos pulmonares.
AFECTACIÓN PLEURAL 10% de los casos,  mas frecuentes entre los 15 a 30 años primaria.  El DP tiende  acumularse lentamente y sin dolor, la mayoría son unilateral El resultado final es la presencia de una restitución total del espacio pleural o simplemente del ángulo costofrenico
Derrame pleural basal. El estudio del líquido pleural demostró tuberculosis. La presencia de un derrame pleural en un paciente joven relativamente asintomático es altamente sugerente de tuberculosis.
TBC SECUNDARIA Mas común en los adultos área de afectación mas frecuente son los lob. Sup. y tendencia bilateral Cavitación frecuente(37-75%)por necrosis Ausencia de linfoadenopatías
Condensación del lóbulo superior derecho, lugar frecuente de afectación en la tuberculosis post-primaria .
Condensaciones múltiples, con un área sugerente de excavación, como manifestación de tuberculosis .
Manifestaciones clínicas ENFERMEDAD TEMPRANA  asintomática  síntomas inespecíficos como fiebre, escalofríos, astenia, pérdida de apetito, disminución de peso y sudación nocturna La instauración de los síntomas es gradual
Manifestaciones clínicas ENFERMEDAD AVANZADA tos productiva, principal síntoma respiratorio  dolor torácico, y en ocasiones hemoptisis La pleuritis tuberculosa, dolor pleurítico agudo o recurrente ,derrame pleural
Caso clínico paciente de 35 años con tendencia alcohólica refiere que hace 2 meses presenta  tos productiva, esputo suele ser escaso y no purulento, sudoración, fiebre y perdida de peso.  ligero dolor en el tórax.
Caso clínico
RESUMEN (NEUMONÍA)
PATRÓN LOBAR:
BRONCONEUMONÍA:
PATRÓN INTERSTICIAL:
NEUMONÍA TUBERCULOSA (primaria):
NEUMONÍA TUBERCULOSA (post-primaria):
NEUMONÍA VIRAL:
NEUMONÍA NEUMOCOCÍCA:
NEUMONÍA POR KLEBSIELLA:
NEUMONÍA POR STAPHYLOCOCCUS AUREUS:
EVALUACIÓN
 
 
 
GRACIAS

IMAGENOLOGIA

  • 1.
  • 2.
  • 3.
    DEFINICIÓN: Es lalesión inflamatoria infecciosa del parénquima pulmonar, caracterizada por una exudación inflamatoria localizada.
  • 4.
    ANATOMIA PATOLOGICA Porosde Kohn Canales de Lambert Árbol Bronquial. LPMN, Exudación de proteínas Edema Eritrocitos y Células mononucleares
  • 5.
    NEUMONIA LOBAR NEUMONIA INTERSTICIAL BRONCONEUMONIA
  • 6.
  • 7.
  • 8.
    FISIOPATOLOGIA HIPOXEMIA EPOCHIPERCAPNIA HIPERVENTILACION ALCALOSIS RESPIRATORIA INFLAMACION INFECCION +
  • 9.
  • 10.
    CUADRO CLINICO TosDisnea Expectoración Dolor Pleurítico Hemoptisis Astenia Sensación Febril Anorexia Cefalea Mialgias Manifestaciones Respiratorios Manifestaciones Sistémicas
  • 11.
    Taquicardia Taquipnea FiebreEstertores Soplo Tubarico Vibraciones Vocales Egofonía Exploración Física :
  • 12.
  • 13.
    COMPLICACIONES ABSCESO PULMONARColección localizada de pus. Suele ser producto de la destrucción tisular de la neumonía. EMPIEMA Presencia de pus en el espacio pleural
  • 14.
    Patrones radiologicos Puede orientar al diagnóstico P atrones variados e inespecíficos U til para observar complicaciones y evolución
  • 15.
    Patrón focal o lobar o Segmentaria Unifocal Multifocal  (prototipo: neumococo) patron multifocal o bronconeumonía Neumonía Lobulillar  (prototipo: estafilococo) patron intersticial (focal o difusa): (prot: mycoplasma) patron redonda u oval (niños) Patrones radiológicos(neumonias): patrones No complicadas comunes
  • 16.
    Características Neumonía LobarBronco-neumonía Neumonitis Estado General Regular Malo (séptico) Regular o Bueno Dificultad Respiratoria Mayor compromiso lactante Severo No hay Cianosis Raro Si (IRA) Infrecuente Semiología Condensación foco localizado Focos difusos y múltiples Rales crepitantes y húmedos Rales crepitantes secos (abajo RX Alveolos lobar segmentario Difuso o múltiples Nodulillar o en vidrio esmerilado
  • 17.
    Patrón focal olobar Afecta a un lóbulo del pulmón Producida por el neumococo Las lesiones alveolares localizadas tienen tendencia a la distribución lobar o segmentaria Se extienda a la pleura densidad homogénea que oblitera las marcas vasculares normales está limitada por las cisuras
  • 18.
    Apariencia de unlóbulo expandido Puede acompañarse o no de broncograma aéreo Organismos que causan más frecuentemente neumonía lobar son el Estreptococo Pneumoniae (fig. 1a) y la Klebsiella Pneumoniae Klebsiella Pneumoniae : tiende a seguir un curso más agresivo, produciendo necrosis tisular con cavitación.
  • 19.
    Consolidación neumónica dellóbulo superior derecho. Etiología: Estreptococo Pneumoniae
  • 20.
  • 21.
    Detalle de radiografíaposteroanterior en un paciente con neumonía del lóbulo superior derecho. Imagen de condensación alveolar.
  • 22.
    Radiografía posteroanterior detórax. Neumonía del espacio aéreo del lóbulo superior derecho, con broncograma aéreo.
  • 23.
    Bronconeumonía Se produce una intensa inflamación en las vías aéreas y el parénquima pulmonar contiguo Opacidades en parches de contornos poco definidos que ocupan mas de un lóbulo todo un pulmón o de forma bilateral Puede estar presente el broncograma aéreo Puede originarse con diversos organismos, aunque el más habitual son las bacterias. Es fácil que se origine después de haber sufrido un resfriado
  • 24.
    Grupos que masafecta: los niños, los ancianos , pacientes crónicos de diversas enfermedades como el asma, la diabetes o las cardiopatías Bronconeumonía curso mas agresivo que neumonia lobar Los sitios primarios de lesión son los bronquíolos terminales y respiratorios con formación de úlceras e infiltración de sus paredes por leucocitos polimorfonucleares
  • 25.
    engrosamiento peribronquial ytapones de moco En contraste con la neumonía lobar que se caracteriza por atelectasia infrecuente, la bronconeumonía es una causa común de atelectasia la se ha denominado neumonía atelectásica .
  • 26.
    Radiografía lateral detorax. Bronconeumonía con atelectasia.
  • 27.
    Radiografía de torax,que muestra bronconeumonía en el pulmón derecho.
  • 28.
  • 29.
  • 30.
  • 31.
    Lesiones inflamatorias enambas bases pulmonares.
  • 32.
    Patrón intersticial Se caracteriza por la existencia de líneas o rayas en el parenquima pulmonar Patrón lineal o linfangítico, que corresponden al engrosamiento de los septos interlobulillares infiltrado intersticial inflamatorio y depósito anómalo de fibras del tejido conectivo que pueden conducir a una fibrosis pulmonar que a su vez puede evolucionar hacia un patrón en pana l
  • 33.
    Opacidades intersticiales depatrón reticular grueso, de predominio periférico, con áreas que sugieren patrón de &quot;panal de abejas&quot;. Neumonía intersticial descamativa : zonas de pulmón sano de inflamación, macrófagos de fibrosis intersticial fibroblastos proliferantes cambios de pulmón en panal. heterogeneidad
  • 34.
    Proliferación f ibroblástica joven en el intersticio. Coloración de TN 10X.
  • 35.
  • 36.
  • 37.
  • 38.
  • 39.
    Opacidades en &quot;vidrioesmerilado&quot;. Y distorsión de la arquitectura pulmonar por fibrosis. Y panal de avejas
  • 40.
    Patron redondo u ovalado La imagen de &quot;neumonía redonda&quot;es característica del neumococo 2 o 2.5 cm . Consolidación del espacio aéreo, esférico, usualmente frecuentemente posterior Se observa mas en niños relacionadas con el pobre desarrollo de vías colaterales en los niños. Pueden confundirse con masas mediastinales o intraparenquimatosas, siendo la presentación clínica la clave del diagnóstico.
  • 41.
  • 42.
  • 43.
    NEUMONIA NEUMOCÓCICA Másfrecuente de N. Extrahospitalaria La infección genera inmunidad parcial Infección vírica Daña pulmones Neumococo INFECCIÓN
  • 44.
    MANIFESTACIONES CLINICAS FiebreEscalofríos Tos+expectoración purulenta Dolor Toráxico Taquipnea Soplo tubárico Crepitantes Leucocitosis
  • 45.
    Los pacientes ancianospresentan otros cuadros patológicos coexistentes surgen COMPLICACIONES Insuficiencia respiratoria Insuficiencia cardiaca congestiva Choque Disrritmias auriculares Infarto de miocardio Insuficiencia renal Hemorragia gastrointestinal
  • 46.
    Neumonía de lóbulomedio derecho
  • 47.
    Neumonía del lóbulosuperior derecho
  • 48.
    Neumonía del LIIcon derrame pleural asociado
  • 49.
  • 50.
    Neumonía lobar multifocaldel LII y LSD este último con cavitación
  • 51.
    CASO CLINICO Pacientede 27 años, sexo masculino, no fumador, sin antecedentes patológicos importantes para destacar, que en la semana previa a la consulta presentó rinitis y tos seca, acompañados de mialgias, cefalea y fiebre. Se automedicó con antipiréticos y permaneció 3 días en cama. Dos días antes de su ser internado en el hospital había agregado expectoración mucopurulenta y hemática y dolor en hemitórax derecho. Desde el inicio de sus síntomas tuvo anorexia y fatigabilidad fácil.
  • 52.
    Del examen físicose destacó: Tº axilar de 39º C, FR 28 p/m, soplo tubario en tercio superior de cara posterior de hemitórax derecho, taquicardia regular de 112 p/m. En la radiografía de tórax se observó una opacidad densa homogénea de hemitórax derecho limitada en su borde inferior por la cisura horizontal.
  • 53.
  • 54.
    NEUMONIA POR Staphylococcus aureus
  • 55.
    El humano esel reservorio natural de S. aureus, el 30-50% de los adultos sanos se encuentran colonizados . Es un patógeno extremadamente importante en la responsabilidad de la neumonía intrahospitalaria.
  • 56.
    La incidencia esdel 25% con una mortalidad alrededor de 30% ,la que ocurre habitualmente en las primeras 48 hrs de ingreso al hospital.
  • 57.
    La neumonía aS. aureus ocurren por medio de 2 mecanismos: a- Por diseminación hematógena al pulmón desde el sitio distante de infección. b-Por diseminación aerógena, después de intubación orotraqueal en pacientes colonizados o después de aspiración de secreciones orofaríngeas.
  • 58.
  • 59.
  • 60.
  • 61.
    Radiografía de controla las 3 semanas, con remisión casi completa de la consolidación y nuevamente la imagen del neumatocele basal izquierdo.
  • 62.
    Radiografia de controla los 2 meses, con desaparición completa del neumatocele.
  • 63.
  • 64.
    Paciente de 19años de edad, sexo masculino, presenta 10 días antes de la consulta traumatismo contuso-cortante de hombro izquierdo, evolucionando con dolor y aumento de la temperatura local e impotencia funcional del brazo izquierdo, sensación de cuerpo caliente, escalofríos y taquipnea por lo que consulta, constatándose tumefacción y flogosis en hombro izquierdo.
  • 65.
    Examen físico Febril38,5ºC, Normotenso, FR 30/min. Tumefacción y flogosis en hombro izquierdo. Aparato respiratorio: matidez, hipoventilación en tercio inferior de ambos pulmones con rales crepitantes secos . Resto del examen físico sin alteraciones.
  • 66.
    Se realiza punciónaspiración de la lesión cutánea y hemocultivos aislándose en ambas muestras S. aureus Oxa-sensible. El paciente evoluciona con mal patrón respiratorio, con uso de músculos accesorios, FR 30/min, por lo que pasa a Unidad de Terapia Intensiva (UTI) .
  • 67.
    Tratado con Cefalotina12 g/día más Rifampicina 600 mg/día, oxigenoterapia, y debridamiento de la colección. Presenta buena saturación de oxígeno con el suministro con máscara, mejorando paulatinamente el patrón respiratorio y descendiendo la FR, por lo que no requiere asistencia respiratoria mecánica. Tratamiento La penicilina es la droga de elección para tratar el S. aureus sensible.
  • 68.
  • 69.
  • 70.
    NEUMONÍA POR PNEUMOCYSTIS CARINII
  • 71.
    Nombres alternativos: Neumocistosis; PCP; Pneumocystis jiroveci El P. carinii es un organismo ubicuo que parasita la vía respiratoria durante la infancia y permanece latente hasta que una inmunodeficiencia celular permite su reactivación.
  • 72.
    MANIFESTACIONES CLÍNICAS EnR.N :comienzo insidioso, con pérdida de apetito y fiebre, que progresa a distrés e insuficiencia respiratorias . En el adulto inmunodeprimidos no infectados : disnea, fiebre y tos no productiva. En los infectados por el HIV :enfermedad subaguda, fiebre, tos no productiva y disnea progresiva (síntoma principal). En la exploración física : disnea, taquipnea y raras veces cianosis.
  • 73.
  • 74.
    FASE INICIAL Focosdispersos de opacidades en vidrio esmerilado o consolidaciones
  • 75.
    Radiografía de tóraxobtenida al ingreso (compromiso intersticial )
  • 76.
    Radiografía de tóraxcontrol a los 5 días del ingreso (opacidades tipo “vidrio esmerilado” )
  • 77.
    Neumonía por P. Carinii en paciente VIH
  • 78.
    Paciente VIH positivocon neumonía por Pneumocytis carinii (fase subaguda o en resolución)
  • 79.
  • 80.
    Neumonía por Pneumocystitis carinii. Patrón pulmonar intersticial bilateral.
  • 81.
    FASE AGUDA Engrosamientode los septos alveolares
  • 82.
    Paciente con neumoníadel lóbulo superior derecho. Imagen de condensación alveolar.
  • 83.
    Quistes aéreos depredominio subpleural
  • 84.
  • 85.
  • 86.
    Neumotórax por Pneumocystis carinii , (en algunos pacientes)
  • 87.
    Historia Clínica Pacientede 36 años de edad, HIV (+), homosexual, sin tratamiento retroviral, sin profilaxis antibiótica, antecedentes de haber sufrido 4 episodios de neumonía, uno con derrame pleural. Una semana antes de su ingreso consultó por tos irritativa, fiebre, calofríos, dolor en el centro del tórax y disnea progresiva. Al ingreso, se encontraba polipneico, hipotenso, afebril Al examen físico existía candidiasis oral y crepitaciones en ambos campos pulmonares. El hemograma mostró anemia, leucopenia, Linfocitos T CD4 23% Se efectuó fibrobroncoscopía con lavado broncoalveolar, que mostró tinción y PCR positivas para Pneumocystis carinii.
  • 88.
    Extenso enfisema bulosoen los lóbulos superiores de ambos pulmones.
  • 89.
    Hacia las baseshay aumento de la densidad radiológica
  • 90.
    En la basederecha se observan imágenes quísticas
  • 91.
  • 92.
    28% 1% Citomegalovirus(CMV) 29% 5% Virus de la influenza A 14% 5% Virus de la influenza B 16% 14% Virus Parainfluenza 3 3% 16% Virus Parainfluenza 1 5% 36% Virus Sincitial (VSR) Adultos Niños PORCENTAJE AGENTE VIRUS CAUSANTES DE NEUMONÍA
  • 93.
    Infección nasal TráqueaBronquios Vías terminales Alveólos INICIO Periodo de inc. 3-5 días Respuesta inmune Disminuye de la mucosa Epitelio infectado pierde Fx ciliar Células alveolares Pierden su integridad Pierde la producción De surfactante Infiltración Mononuclear obstruir las vías aéreas y bloquea el intercambio gaseoso alvéolo-capilar
  • 94.
    MANIFESTACIONES CLÍNICAS NIÑOSADULTO Fiebre de bajo grado Apneas Taquipnea Taquicardia Aleteo nasal Retracciones Puede presentar cianosis Malestar, mialgias Anorexia , escalofríos Tos irritativa y no produc. Dificultad respiratoria son menos severos que en niños menores estertores crepitantes locales o diseminados.
  • 95.
    Diferencias entre neumoníabacteriana y viral. Infiltrado no definido Zonas de consolidación Radiografía de tórax Normal Neutrófilos Diferencial < 15 000/mm 3 > 15 000/mm3 Leucocitos Raro Frecuente Consolidación Raro Frecuente Derrame < 39.4 °C 39.4-40 °C Temperatura Mucoide Purulento Esputo Paroxística, no productiva Productiva Tos Normal Tóxica Facies Gradual Súbito Inicio Viral Bacteriana
  • 96.
    Patrones radiográficos enneumonía viral MAS FRECUENTE Infiltrados peribronquiales parahiliares (bronquitis) FRECUENTE Infiltrados parahiliares bilaterales con atelectasia RARO Patrón intersticial reticulo-nodular FRECUENTE EN NIÑOS MENORES DE 2 AÑOS Aumento del volumen pulmonar, sin infiltrados (Bronquiolitis) Tomado de Swischuk L. In: emergency Imaging of the acutely III or Injured Child. Slipknot Williams & Wilkins. 2000.
  • 97.
    Infiltrado intersticial retículonodular bilateral de predominio perihiliar y basal
  • 98.
    Infiltrado intersticial retículonodular bilateral de predominio perihiliar y basal
  • 99.
    Infiltrado parahiliar bilateraldifuso de tipo nodular que abarca ambos lóbulos inferiores. Aumento del perfil derecho e izquierdo del corazón Sobredistensión pulmonar
  • 100.
    Infiltrado nodular escasobasal bilateral. Sobredistensión pulmonar Cardiomegalia
  • 101.
    Infiltrado basal bilateral.Sobredistensión pulmonar Cardiomegalia
  • 102.
    Caso Clínico En10/2000: lactante femenina de 7 meses de vida, recibe lactancia materna, esquema de vacunaci ón completo . Sana hasta 2 días antes de la consulta. Consultó por dos días de fiebre hasta 38 .5 °C rectal , coriza , secreción sero sa mucosa y tos emetizante. Primer episodio respiratorio. Al examen físico estaba afebril, FR 4 4 /min, FC 124/min, hidratada, sin dificultad respiratoria. En el examen se auscultaban espiración prolongada, sibilancias difusas bilaterales y algunos crepitantes medianos ambas bases .
  • 103.
    Comentario: Los elementosa considerar para el diagnóstico y decisión terapéutica en una infección respiratoria son: historia, el examen físico, la edad, epidemiología local, características radiológicas del caso, antecedentes de inmunizaciones y la severidad de la infección.
  • 104.
  • 105.
    Existen tres patronesradiográficos de presentación: neumonías alveolares, compromiso intersticial y mixtas. Si bien esto permite una orientación etiológica inicial, los resultados son inespecíficos en cuanto a determinar el agente causal. En niños < de 2 años con infiltrados intersticiales difusos bilaterales, el hallazgo de coriza y conjuntivitis, asociados a signo s obstructivo s bronquiales orienta a etiología viral.
  • 106.
    Dado el diagnósticoque hemos hecho en este caso sólo corresponde tratamiento sintomático y no se justifica el uso de antimicrobianos. Cuidados de soporte para este tipo de neumonía uso de mascaras humidificador a s aumento de la ingesta de líquidos y administración de oxígeno
  • 107.
    NEUMONIA POR KLEBSIELLA PNEUMONIAE
  • 108.
    La más frecuentede las causadas por gérmenes Gramnegativos adquirida en la comunidad. Se produce por aspiración de secreción orofaríngea en individuos altamente colonizados. Mayor frecuencia en sujetos con padecimientos debilitantes, alcohólicos, enfermedad broncopulmonar crónica y en inmunosuprimidos. Comienza bruscamente con fiebre, escalofríos, tos productiva y el estado general suele estar muy afectado. El esputo, pegajoso y difícil de expectorar, puede ser marrón oscuro o sanguinolento.
  • 109.
    Se afectan, sobretodo, los lóbulos superiores, aunque pueden extenderse con rapidez a los lóbulos contiguos. El parénquima afecto aumenta de volumen, por lo que radiológicamente puede apreciarse que la cisura se comba. A veces, las secreciones son tan tenaces que obstruyen los bronquios y producen atelectasias. Radiológicamente no presenta datos distintivos especificos .
  • 110.
    Es frecuente elcompromiso de los lóbulos superiores y el abombamiento de la cisura interlobar; sin embargo, ambos hallazgos son inespecíficos El diagnóstico debe hacerse con base en la bacteriología. Los antimicrobianos de elección son las cefalosporinas de tercera generación combinadas con aminoglucósidos.
  • 111.
    NEUMONIA DE FRIEDLÄNDERproducida por Klebsiella pneumoniae y comprende aproximadamente un 1% de las neumonías de autopsias. El 75% son unilaterales, derechas. Se trata de una neumonía lobular atípica. Se distingue una forma aguda y una crónica. La forma aguda comienza como focos neumónicos, que se hacen rápidamente confluentes hasta alcanzar una extensión lobular, predominantemente en lóbulo superior.
  • 112.
    El exudado esserofibrinoso, fibrinopurulento o hemorrágico y tiende a la transformación mucosa. Son frecuentes los focos supurados y la tendencia a formar abscesos. En las formas crónicas, más del 80% de los casos presenta abscesos del lóbulo superior derecho y el 25%, empiema pleural.
  • 113.
    Simplemente por elaspecto del esputo y la placa de torax se debe establecer un diagnostico exacto
  • 114.
    Neumonia del lobulosuperior derecho por Klebsiella.Germen gram negativo que produce neumonias en lobulos superiores , abombando las cisuras.F Frecuente en diabeticos , vagabundos , alcoholicos e inmunodeprimidos. Es tipico el esputo en *jarabe de grosella*.
  • 115.
    se trata concefalosporinas de 3ª generacion cefixima oral ceftibuteno oral cefotaxima parenteral ceftriaxona parenteral Asociando aminoglucosidos (genta , tobra ....) y vigilando la funcion renal
  • 116.
    Caso 1: Radiografíalateral de tórax Descripción: Afectación de lóbulo superior derecho, con imagen radiopaca afectando el segmento anterior y posterior. Presencia de broncograma difuso en región hiliar y apical, lobulación del hemidiafragma derecho. Diagnóstico: Neumonía por Klebsiella
  • 117.
    Caso 2: Radiografía posteroanterior de tórax Descripción: Se observa imagen de densidad heterogénea apical derecha. Además se distingue imagen de atelectasia radiopaca y homogénea con vértice pleural y base pulmonar en la región hiliar de hemitórax derecho, que provoca desplazamiento del mediastino hacia el lado afectado y elevación del hemidiafragma derecho. Hemitórax izquierdo con sobredistensión y ensanchamiento de espacios intercostales. Diagnóstico: Neumonía por Klebsiella
  • 118.
    Caso 3: Radiografíaposteroanterior de tórax Descripción: Imagen homogénea radiopaca de consolidación que abarca todo el lóbulo superior y lóbulo medio segmento lateral. Diagnóstico: Neumonía por Klebsiella
  • 119.
    NEUMONÍA TUBERCULOSA Etiología y patogenia de la enfermedad producidos por Mycobacterium tuberculosis La lesión típica es el tubérculo pulmonar con abundantes leucocitos y reemplazo por macrófagos apartir del segundo día 10 a 20 días los macrófagos forman las células epiltelioides y 15 a 30 días después la caseosis. Posteriormente aparecen fibrositos y tejido colágeno cicatricial formando una cápsula.
  • 120.
    MANIFESTACONES RADIOLOGICAS TBCprimaria Infección lobar Patrón ganglionar TBC miliar afectación pleural
  • 121.
    TBC PRIMARIA INFECCIÓNLOBAR : condensación homogénea, densa y bien definida, limitada a un segmento a un nódulo aunque la afectación puede ser más extensa.. La TPP casi siempre tiene adenopatías acompañantes.
  • 122.
    Condensación basal izquierdacon mala respuesta a tratamiento como neumonía bacteriana adquirida en la comunidad.
  • 123.
    TBC PRIMARIA : PRESENTACIÓN GANGLIONAR : las adenopatías es prácticamente patognomónica de la fase primaria de la enfermedad, (90%) el grupo mas frecuentemente afectado es el traqueo bronquial derecho. La combinación de una lesión neumónica lobar con adenopatías es muy típica de tuberculosis (complejo primario)
  • 124.
    Adenopatías a niveldel hilio pulmonar derecho, manifestación de tuberculosis primaria. El diagnostico diferencial debe considerar linfoma y Cá. pulmonar.
  • 125.
    TUBERCULOSIS MILIAR resultadode la diseminación hematógena fases iniciales, normal. una semana después ,presencia de un halo difuso, mal definido en ambos pulmones y posteriormente la imagen típica de nódulos pulmonares miliares bien definidos. Afectación es de todos los campos pulmonares, existen adenopatías hiliares
  • 126.
    Patrón miliar. Pequeñosmicromódulos de 1 a 3 mm. distribuidos difusamente en ambos campos pulmonares.
  • 127.
    AFECTACIÓN PLEURAL 10%de los casos, mas frecuentes entre los 15 a 30 años primaria. El DP tiende acumularse lentamente y sin dolor, la mayoría son unilateral El resultado final es la presencia de una restitución total del espacio pleural o simplemente del ángulo costofrenico
  • 128.
    Derrame pleural basal.El estudio del líquido pleural demostró tuberculosis. La presencia de un derrame pleural en un paciente joven relativamente asintomático es altamente sugerente de tuberculosis.
  • 129.
    TBC SECUNDARIA Mascomún en los adultos área de afectación mas frecuente son los lob. Sup. y tendencia bilateral Cavitación frecuente(37-75%)por necrosis Ausencia de linfoadenopatías
  • 130.
    Condensación del lóbulosuperior derecho, lugar frecuente de afectación en la tuberculosis post-primaria .
  • 131.
    Condensaciones múltiples, conun área sugerente de excavación, como manifestación de tuberculosis .
  • 132.
    Manifestaciones clínicas ENFERMEDADTEMPRANA asintomática síntomas inespecíficos como fiebre, escalofríos, astenia, pérdida de apetito, disminución de peso y sudación nocturna La instauración de los síntomas es gradual
  • 133.
    Manifestaciones clínicas ENFERMEDADAVANZADA tos productiva, principal síntoma respiratorio dolor torácico, y en ocasiones hemoptisis La pleuritis tuberculosa, dolor pleurítico agudo o recurrente ,derrame pleural
  • 134.
    Caso clínico pacientede 35 años con tendencia alcohólica refiere que hace 2 meses presenta tos productiva, esputo suele ser escaso y no purulento, sudoración, fiebre y perdida de peso. ligero dolor en el tórax.
  • 135.
  • 136.
  • 137.
  • 138.
  • 139.
  • 140.
  • 141.
  • 142.
  • 143.
  • 144.
  • 145.
  • 146.
  • 147.
  • 148.
  • 149.
  • 150.