Meningitis Bacteriana
Definición
• Es una infección supurativa aguda localizada en el espacio
subaracnoideo (piamadre y la aracnoides), con reacción
inflamatoria del SNC que ocasiona alteraciones del nivel de
conciencia, convulsiones, aumento de la PIC y alteraciones
cerebrovasculares.
Historia
• Hipócrates
• Gaspard Viesseux en 1805 "fiebre epidémica cerebro-
espinal".
• Anton Weichselbaum en 1887 aisló meningococo
• Quincke describió la técnica de la punción lumbar en 1891
• Tratamientos 1913 reducción de mortalidad
• Antibióticos: sulfamidas en 1932 y penicilina en 1941.
• Cefalosporinas 3a 1980’s.
Etiología
• Haemophilus influenzae.
• Neisseria meningitidis (meningococo).
• Streptococcus Pneumoniae (neumococo).
• Son los responsables del 70-85% de los casos de meningitis
bacterianas.
• H. Influenzae
– 2 meses a 3 años
• N. Meningitidis
– Niños, adolescentes y >50 años
• S. Pneumoniae
– >40 años
• En la actualidad la infección por L. monocytogenes es el
cuarto tipo mas común de MB no traumática o no Qx en
adultos.
• Otros agentes menos frecuentes son:
• S. Aureus.
• Estreptococos de los grupos A y D..
• E. Coli.
• S. del grupo B(neonatos).
• Klebsiella
• Proteus.
• Pseudomonas entre otros.
Etiología Según Factor Predisponente
Epidemiologia
Neumococo
H. influenzae
Meningococo
• La meningitis por H. influenzae, que antes se hallaba en
especial en lactantes y niños pequeños, se erradicó casi por
completo en este grupo de edad como resultado de los
programas de vacunación en los países desarrollados.
Presenta una frecuencia creciente en los adultos.
• La meningitis meningocócica ocurre más a menudo en niños y
adolescentes, pero también se observa a lo lago de la mayor
parte de la vida adulta, con una brusca caída de su incidencia
después de los 50 años de edad.
• La meningitis neumocócica predomina en los adultos muy
jóvenes y viejos. Además del relacionado con la vacunación
contra H. influenza, quizás el mayor cambio en la
epidemiología de la meningitis bacteriana es el incremento de
la incidencia de infecciones nosocomiales, que explica el 40%
de los casos en los grandes hospitales urbanos (Durand y col.).
Presentación Clínica
Diagnostico
• HISTORIA CLINICA
• Interrogatorio:
• Antecedentes
• Examen físico:
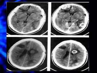
TC Cráneo
Resonancia Magnética
Pruebas Complementarias
• Hemograma general
Hemocultivo
Diagnostico Diferencial
• Sepsis abrumadora
• Insuficiencia múltiple de órganos
• Intoxicación o la abstinencia alcohólicas,
• Encefalopatía hepática.
• Meningitis vírica (que es por mucho más común que la
meningitis bacteriana).
• Hemorragia subaracnoidea.
• Meningitis química (posterior a punción lumbar, anestesia
raquídea o mielografía).
• Meningoencefalitis tuberculosa, por leptospiras, sarcoide y
hongos.
Tratamiento
• Medidas Generales
• 1. Iniciar el tratamiento antibiótico precozmente .
• 2. Monitoreo constante, diuresis, nivel de conciencia y
focalidad neurológica.
• 3. Disminuir la hipertensión intracraneal: analgesia,
cabecera de la cama elevada, agentes hiperosmolares
(suero salino hipertónico, manitol). Evitar la restricción
de líquidos y las soluciones hipotónicas que pueden
disminuir la presión de perfusión cerebral.
• 4. Determinar si se cumple alguno de los criterios de
ingreso en UCI .
Antibioticoterapia
Tratamiento Empírico
Principios de Neurología. Víctor y Adams. Capítulo 32. Pág 599
Principios de Neurología. Víctor y Adams. Capítulo 32. Pág 600
Bacteria Susceptibility Antibiotic(s)
Duration
(Days)
S pneumoniae Penicillin MIC <0.1 mg/L Penicillin G 10-14
MIC 0.1-1 mg/L Ceftriaxone or cefotaxime
MIC >2 mg/L Ceftriaxone or cefotaxime
Ceftriaxone MIC >0.5 mg/L Ceftriaxone or cefotaxime
plus vancomycin or
rifampin
H influenzae Beta-lactamase-negative Ampicillin 7
Beta-lactamase-positive Ceftriaxone or cefotaxime
N meningitidis ... Penicillin G or ampicillin 7
L monocytogenes ... Ampicillin or penicillin G
plus an aminoglycoside
14-21
S agalactiae ... Penicillin G plus an
aminoglycoside, if
warranted
14-21
Enterobacteriaceae ... Ceftriaxone or cefotaxime
plus an aminoglycoside
21
P aeruginosa ... Ceftazidime plus an
aminoglycoside
21
Corticoides
• En la meningitis por Hib y en la meningitis neumocócica se
recomienda terapia inmunomoduladora con dexametasona a
dosis de 0,6 mg/kg/día cada 6 h ó 0,8 mg/kg/día cada 12 h.
• Se debe administrar 20 minutos previo a la primera dosis de
antibiótico o junto con este.
Complicaciones
• 1. Cardiovasculares: sepsis, shock,CID.
• 2. Secreción inadecuada de hormona antidiurética.
• 3. Neurológicas:
• convulsiones o parálisis de pares craneales, hidrocefalia,
abscesos epidurales, empiema subdural, abscesos cerebrales,
trombosis senos venosos.
• 4. Infartos secundarios a vasculitis.
• 5. Fiebre persistente o recurrente:
• La fiebre suele persistir durante 4-5 días después del
comienzo del tratamiento
Secuelas
 Hipoacusia neurosensorial.
 Paresias o parálisis.
 Epilepsia.
 Ceguera.
 Hidrocefalia.
 Parálisis cerebral.
 Retardo mental.
 Déficit de atención, lenguaje o aprendizaje.
 Estado vegetativo persistente.
Pronostico
• Estado de conciencia
• Edad
• Convulsiones
• Duración de la enfermedad
• Factores de laboratorio
• Estado clínico a su llegada
• Estado de alerta
– Espontáneo  mortalidad 10%
– Al dolor o nulo  mortalidad 49%
Kaplan. Clinical presentations, diagnosis an prognostic factors of bacterial meningitis
Pronostico
• Edad
– Pacientes >60 años  mortalidad 37%
– Pacientes <60 años  mortalidad 17%
• Convulsiones
– Primeras 24 hrs  mortalidad 72%
– Después de 24 hrs  mortalidad <15%
• Duración de enfermedad
– + de 24hrs.  pérdida de audición 9.5%
– - de 24hrs.  pérdida de audición 1,5%
Kaplan. Clinical presentations, diagnosis an prognostic factors of bacterial meningitis
Prevención
ENCEFALITIS VIRAL
ENCEFALITIS VIRAL
• Es la Inflamación del parénquima cerebral. Se
diferencia de la meningitis por presentar
anomalías en las funciones mentales. Puede
presentar déficit motor, sensitivo, y trastornos
del movimiento.
Etiología
• Hacia el final del verano y el inicio del otoño
predominan los enterovirus y en los meses de
verano los virus transmitidos por artrópodos.
• En época no epidémica y cuando hay signos
focales encefálicos se debe pensar en VHS.
Manifestaciones clínicas
• Los síntomas que evolucionan durante varios días son:
• Fiebre
• Cefalea
• Convulsiones
• Confusión Estupor Coma
• Las últimas manifestaciones: Alucinaciones olfatorias y gustatorias
• Anosmia
• Conducta psicótica
• Delirio
• Afasia
• Hemiparesia
• El cambio de personalidad es uno de los hechos llamativos en la
encefalitis herpética.
•
• LACTANTES: Inicio repentino con fiebre y
convulsiones.
• NIÑOS MAYORES: Inicio menos repentino,
Cefalea, Falta de atención, Nauseas, Vomito
Somnolencia, Fiebre durante varios días.
• Son también posibles: Asimetría refleja,
Hemiparesia, Signos plantares extensores
Mioclóno Reflejo de succión y empuñadura. La
fiebre y datos neurológicos desaparecen en plazo
de 4–14 días.
Diagnostico
• Clínica.
• Epidemiología: edad, condición inmunológica,
condiciones medioambientales y las
características epidémicas y endémicas de la
región.
• Exámenes generales de laboratorio normales.
• LCR: Normal al comienzo, luego aumento de la
celularidad con predominio de células mononucleares.
• Proteínas normales o aumentadas en la medida en que
haya mayor destrucción tisular.
• Glucosa es normal (o disminuida en caso de algunos virus
como el de la parotiditis).
• Los cultivos y estudios para bacterias y hongos son
negativos.
• Neuroimágenes: TC anormal en un 60% de los
casos. RM anormal en un 90% de los casos,
precozmente.
• Se recomienda CT sin contraste antes de Punción
Lumbar, sin embargo RM es mucho más sensible
para el diagnóstico de encefalitis.
– En la encefalitis herpética se afecta la región medial
de lóbulos temporales y región inferior de lóbulos
frontales.
• Electroencefalograma: Frecuentemente es
anormal aunque inespecífico, tiene una
sensibilidad 84% y especificidad 32%. Puede
mostrar una lentitud focal o generalizada o
una actividad epileptiforme.
• Aislamiento del virus
• Estudios serológicos
• Biopsia cerebral
Tratamiento
• Excepto Encefalitis Herpética, el manejo es de soporte y sintomático.
• Antibiótico en infecciones bacterianas secundarias
• Anticonvulsivantes
• Adecuado manejo de líquidos y electrolitos.
• Administrar la primera dosis de Aciclovir (con o sin corticoides)
30mg/kg/día EV o 1500 mg/m2/día c/8h por 14-21 días, controlar función
renal y hepática. (Riesgo de cristaluria y necrosis tubular aguda).
• Mejor pronóstico en los estadios iniciales.
• Siempre tomar TAC antes de Punción Lumbar.
• Convulsiones: Lorazepam, Fenitoina, Carbamazepina
Complicaciones
• Convulsiones
• SIADH
• Hipertensión Endocraneana
• Coma
Absceso Cerebral
Absceso Cerebral
• 0.18%-1.3% de autopsias
• Hombres/mujeres 2:1, 30 -40 años de edad (25% en
< 15 años de edad)
• Antecedente de otitis media en niños y mayores de
40 años de edad
• Antecedente de sinusitis en personas con edades
entre 10 y 30 años.
Germenes
30%-60% polimicrobiano
• 60% aerobios
– 50% estreptococos (S. milleri)
– 15% S. aureus (TCE, cirugía)
– 16%-30% bacilos Gram negativos
• Proteus sp.
• E. coli
• Klebsiella sp.
• Enterobacter sp.
• P. auruginosa
Localización
FRONTAL
• Sinusitis: S. milleri, mixto (relación
aerobios/anaerobios de 1:1.5)
TEMPORAL
• Otitis: estreptococos, Bacteroides sp., bacilos
aerobios Gram negativos
Fisiopatología
• LOCAL: 45% casos
– Otitis, sinusitis, infección dental
• HEMATOGENO: 25% casos
– Infección pulmonar
• TRAUMA O CIRUGIA CRANEAL: 10%-15% casos
• NO DEFINIDO: 15%-20% casos
Hematógeno
• Territorio de la ACM
• Unión sustancia gris-sustancia blanca
• Pobre encapsulamiento
• Alta mortalidad
• Abscesos múltiples (10%-50% casos)
– Absceso pulmonar, bronquiectasias, empiema
– Osteomielitis
– Colecistitis, peritonitis, infecciones pélvicas
Fisiopatología
1. Cerebritis temprana (días 1-3 post
inoculación)
 Inflamación perivascular con centro necrótico
incipiente y edema
2. Cerebritis tardía (días 4-10)
 Definición del centro necrótico, fibroblastos y
neovascularización
3. Encapsulamiento temprano (días 10-13)
 Capa definida de fibroblastos
Fisiopatología
4. Encapsulamiento tardío
 Engrosamiento de la cápsula y depósito
abundante de colágeno
• Cápsula más definida del lado cortical que el
ventricular
• Cápsula es menos definida en casos de
origen hematógeno que en focos contiguos
Clínica
• Variable: asintomático a fulminante
• 75% casos sintomáticos en < 2 semanas
• Síntomas dependen más del proceso
expansivo que de la infección
• Minoría de casos con triada clásica:
– Fiebre
– Cefalea
– Focalización neurológica
• CEFALEA en 70% casos
• Fiebre: 40%-50% casos
• Déficit neuroloógico focal: 50% casos
– Hemiplejia
– Hemianopsia
– Déficit de pares craneales
– Hemiparesia y/o afasia frecuentes
• Crisis epilépticas en 25%-45% (usualmente
generalizadas)
• Edema de papila: 25% casos
– No correlaciona con tamaño pero sí se asocia con cefalea y
vómitos
• Rigidez nucal: 25% casos
• Náuseas y vómitos: 22%-50% casos
• Intraselares: cefalea, hemianopsia y trastornos
endocrinos
• Cerebelo: nistagmus, ataxia, vómitos, dismetría
• Frontal: cefalea, somnolencia, deterioro mental
Diagnostico Diferencial
• Meningitis bacteriana
• Empiema subdural
• Absceso epidural
• Encefalitis
• Aneurisma micótico
• Accidente vascular
cerebral
• Migraña complicada
• Hemorragia cerebral
• Trombosis senos
durales
• Tumores
– Primarios
– Metástasis
Complementarias
• Hemograma normal en 40% casos
• VES elevada
• Hemocultivos (+) < 10% casos
• Punción lumbar con 20% riesgo de herniación
(contraindicada)
• Rx tórax por frecuencia de infección pulmonar
TAC Cráneo
• Sensibilidad del 95%
• Localización precisa del absceso
• Identificación de edema cerebral
• Diagnóstico de hidrocefalia secundaria
• Detecta desviación de línea media
• Con el uso de esteroides se altera la
morfología usual del absceso
– Pobre definición de la cápsula (sensibilidad se
reduce a 40%-60%)
RM Cráneo
• Más sensible que TAC en detección de
cerebritis
• Detecta mejor el edema cerebral
• Se evita el artefacto óseo presente en la TAC
• Medios de contraste menos tóxicos
Tratamiento
• Penicilina G + Cloranfenicol
• Penicilina G: estreptococos y anaerobios
– 20 millones U x día
• Cloranfenicol: liposoluble, contra anaerobios
(B. fragilis)
– 1-1.5 g c/6 horas
– En abscesos por sinusitis frontal y etmoidal B.
fragilis es raro, entonces no usar siempre
Tx
Metronidazol
• Bactericida (cloranfenicol bacteriostático)
• Buenas concentraciones
• Uso concomitante de esteroides no altera su
efecto
• No se degrada por deacetilación (cloranfenicol sí)
• Sí modifica mortalidad
• Otitis media, mastoiditis, absceso pulmonar
Tx
• Post TCE o Qx: estafilococos
– Nafcilina, oxacilina (1.5-2,0 g c/4 horas)
– Vancomicina: alergia a penicilina o gérmenes
meticilino-resistentes
• Bacilos aerobios Gram negativos en otitis
media
– Cefalosporina III o TPM-SMX
– P.aeruginosa: ceftazidime
Tx
• Cefotaxime versus penicilina???
• Qx estereotáxica guiada por TAC
• Cerebritis y paciente sin déficit neurológico: dar
Antibióticos y no Qx
• Paciente estable y absceso accesible: apiración
guiada por TAC
• Cápsula: aspiración + ABS + drenaje
• Excisión Qx si hay deterioro neurológico y
persisten las lesiones a pesar de otras medidas
Tx
• ABS IV por 4-6 semanas
• ABS VO por 2-6 meses post Tx IV?
• Puede haber captación del contraste en TAC
por 4-10 semanas y hasta 6-9 meses después
de Tx exitoso
• Esteroides: usar si hay HTIC
– Alteran imagen TAC y reducen entrada de ABS al
SNC
• Antiepilépticos???
Pronostico
• Mortalidad
– 30%-50%
• Secuelas neurológicas
– 30%-55%
• Epilepsia Sintomatica
– 90%
Meningitis bacteriana
Meningitis bacteriana

Meningitis bacteriana

  • 1.
  • 2.
    Definición • Es unainfección supurativa aguda localizada en el espacio subaracnoideo (piamadre y la aracnoides), con reacción inflamatoria del SNC que ocasiona alteraciones del nivel de conciencia, convulsiones, aumento de la PIC y alteraciones cerebrovasculares.
  • 4.
    Historia • Hipócrates • GaspardViesseux en 1805 "fiebre epidémica cerebro- espinal". • Anton Weichselbaum en 1887 aisló meningococo • Quincke describió la técnica de la punción lumbar en 1891 • Tratamientos 1913 reducción de mortalidad • Antibióticos: sulfamidas en 1932 y penicilina en 1941. • Cefalosporinas 3a 1980’s.
  • 5.
    Etiología • Haemophilus influenzae. •Neisseria meningitidis (meningococo). • Streptococcus Pneumoniae (neumococo). • Son los responsables del 70-85% de los casos de meningitis bacterianas.
  • 6.
    • H. Influenzae –2 meses a 3 años • N. Meningitidis – Niños, adolescentes y >50 años • S. Pneumoniae – >40 años
  • 7.
    • En laactualidad la infección por L. monocytogenes es el cuarto tipo mas común de MB no traumática o no Qx en adultos. • Otros agentes menos frecuentes son: • S. Aureus. • Estreptococos de los grupos A y D.. • E. Coli. • S. del grupo B(neonatos). • Klebsiella • Proteus. • Pseudomonas entre otros.
  • 8.
  • 9.
  • 10.
    • La meningitispor H. influenzae, que antes se hallaba en especial en lactantes y niños pequeños, se erradicó casi por completo en este grupo de edad como resultado de los programas de vacunación en los países desarrollados. Presenta una frecuencia creciente en los adultos. • La meningitis meningocócica ocurre más a menudo en niños y adolescentes, pero también se observa a lo lago de la mayor parte de la vida adulta, con una brusca caída de su incidencia después de los 50 años de edad.
  • 11.
    • La meningitisneumocócica predomina en los adultos muy jóvenes y viejos. Además del relacionado con la vacunación contra H. influenza, quizás el mayor cambio en la epidemiología de la meningitis bacteriana es el incremento de la incidencia de infecciones nosocomiales, que explica el 40% de los casos en los grandes hospitales urbanos (Durand y col.).
  • 14.
  • 19.
    Diagnostico • HISTORIA CLINICA •Interrogatorio: • Antecedentes
  • 20.
  • 24.
  • 25.
  • 26.
  • 27.
    Diagnostico Diferencial • Sepsisabrumadora • Insuficiencia múltiple de órganos • Intoxicación o la abstinencia alcohólicas, • Encefalopatía hepática. • Meningitis vírica (que es por mucho más común que la meningitis bacteriana). • Hemorragia subaracnoidea. • Meningitis química (posterior a punción lumbar, anestesia raquídea o mielografía). • Meningoencefalitis tuberculosa, por leptospiras, sarcoide y hongos.
  • 28.
    Tratamiento • Medidas Generales •1. Iniciar el tratamiento antibiótico precozmente . • 2. Monitoreo constante, diuresis, nivel de conciencia y focalidad neurológica. • 3. Disminuir la hipertensión intracraneal: analgesia, cabecera de la cama elevada, agentes hiperosmolares (suero salino hipertónico, manitol). Evitar la restricción de líquidos y las soluciones hipotónicas que pueden disminuir la presión de perfusión cerebral. • 4. Determinar si se cumple alguno de los criterios de ingreso en UCI .
  • 29.
  • 30.
    Tratamiento Empírico Principios deNeurología. Víctor y Adams. Capítulo 32. Pág 599
  • 31.
    Principios de Neurología.Víctor y Adams. Capítulo 32. Pág 600
  • 32.
    Bacteria Susceptibility Antibiotic(s) Duration (Days) Spneumoniae Penicillin MIC <0.1 mg/L Penicillin G 10-14 MIC 0.1-1 mg/L Ceftriaxone or cefotaxime MIC >2 mg/L Ceftriaxone or cefotaxime Ceftriaxone MIC >0.5 mg/L Ceftriaxone or cefotaxime plus vancomycin or rifampin H influenzae Beta-lactamase-negative Ampicillin 7 Beta-lactamase-positive Ceftriaxone or cefotaxime N meningitidis ... Penicillin G or ampicillin 7 L monocytogenes ... Ampicillin or penicillin G plus an aminoglycoside 14-21 S agalactiae ... Penicillin G plus an aminoglycoside, if warranted 14-21 Enterobacteriaceae ... Ceftriaxone or cefotaxime plus an aminoglycoside 21 P aeruginosa ... Ceftazidime plus an aminoglycoside 21
  • 33.
    Corticoides • En lameningitis por Hib y en la meningitis neumocócica se recomienda terapia inmunomoduladora con dexametasona a dosis de 0,6 mg/kg/día cada 6 h ó 0,8 mg/kg/día cada 12 h. • Se debe administrar 20 minutos previo a la primera dosis de antibiótico o junto con este.
  • 35.
    Complicaciones • 1. Cardiovasculares:sepsis, shock,CID. • 2. Secreción inadecuada de hormona antidiurética. • 3. Neurológicas: • convulsiones o parálisis de pares craneales, hidrocefalia, abscesos epidurales, empiema subdural, abscesos cerebrales, trombosis senos venosos. • 4. Infartos secundarios a vasculitis. • 5. Fiebre persistente o recurrente: • La fiebre suele persistir durante 4-5 días después del comienzo del tratamiento
  • 36.
    Secuelas  Hipoacusia neurosensorial. Paresias o parálisis.  Epilepsia.  Ceguera.  Hidrocefalia.  Parálisis cerebral.  Retardo mental.  Déficit de atención, lenguaje o aprendizaje.  Estado vegetativo persistente.
  • 37.
    Pronostico • Estado deconciencia • Edad • Convulsiones • Duración de la enfermedad • Factores de laboratorio • Estado clínico a su llegada • Estado de alerta – Espontáneo  mortalidad 10% – Al dolor o nulo  mortalidad 49% Kaplan. Clinical presentations, diagnosis an prognostic factors of bacterial meningitis
  • 38.
    Pronostico • Edad – Pacientes>60 años  mortalidad 37% – Pacientes <60 años  mortalidad 17% • Convulsiones – Primeras 24 hrs  mortalidad 72% – Después de 24 hrs  mortalidad <15% • Duración de enfermedad – + de 24hrs.  pérdida de audición 9.5% – - de 24hrs.  pérdida de audición 1,5% Kaplan. Clinical presentations, diagnosis an prognostic factors of bacterial meningitis
  • 39.
  • 40.
  • 41.
    ENCEFALITIS VIRAL • Esla Inflamación del parénquima cerebral. Se diferencia de la meningitis por presentar anomalías en las funciones mentales. Puede presentar déficit motor, sensitivo, y trastornos del movimiento.
  • 42.
    Etiología • Hacia elfinal del verano y el inicio del otoño predominan los enterovirus y en los meses de verano los virus transmitidos por artrópodos. • En época no epidémica y cuando hay signos focales encefálicos se debe pensar en VHS.
  • 43.
    Manifestaciones clínicas • Lossíntomas que evolucionan durante varios días son: • Fiebre • Cefalea • Convulsiones • Confusión Estupor Coma • Las últimas manifestaciones: Alucinaciones olfatorias y gustatorias • Anosmia • Conducta psicótica • Delirio • Afasia • Hemiparesia • El cambio de personalidad es uno de los hechos llamativos en la encefalitis herpética. •
  • 44.
    • LACTANTES: Iniciorepentino con fiebre y convulsiones. • NIÑOS MAYORES: Inicio menos repentino, Cefalea, Falta de atención, Nauseas, Vomito Somnolencia, Fiebre durante varios días. • Son también posibles: Asimetría refleja, Hemiparesia, Signos plantares extensores Mioclóno Reflejo de succión y empuñadura. La fiebre y datos neurológicos desaparecen en plazo de 4–14 días.
  • 45.
    Diagnostico • Clínica. • Epidemiología:edad, condición inmunológica, condiciones medioambientales y las características epidémicas y endémicas de la región. • Exámenes generales de laboratorio normales.
  • 46.
    • LCR: Normalal comienzo, luego aumento de la celularidad con predominio de células mononucleares. • Proteínas normales o aumentadas en la medida en que haya mayor destrucción tisular. • Glucosa es normal (o disminuida en caso de algunos virus como el de la parotiditis). • Los cultivos y estudios para bacterias y hongos son negativos.
  • 47.
    • Neuroimágenes: TCanormal en un 60% de los casos. RM anormal en un 90% de los casos, precozmente. • Se recomienda CT sin contraste antes de Punción Lumbar, sin embargo RM es mucho más sensible para el diagnóstico de encefalitis. – En la encefalitis herpética se afecta la región medial de lóbulos temporales y región inferior de lóbulos frontales.
  • 48.
    • Electroencefalograma: Frecuentementees anormal aunque inespecífico, tiene una sensibilidad 84% y especificidad 32%. Puede mostrar una lentitud focal o generalizada o una actividad epileptiforme. • Aislamiento del virus • Estudios serológicos • Biopsia cerebral
  • 49.
    Tratamiento • Excepto EncefalitisHerpética, el manejo es de soporte y sintomático. • Antibiótico en infecciones bacterianas secundarias • Anticonvulsivantes • Adecuado manejo de líquidos y electrolitos. • Administrar la primera dosis de Aciclovir (con o sin corticoides) 30mg/kg/día EV o 1500 mg/m2/día c/8h por 14-21 días, controlar función renal y hepática. (Riesgo de cristaluria y necrosis tubular aguda). • Mejor pronóstico en los estadios iniciales. • Siempre tomar TAC antes de Punción Lumbar. • Convulsiones: Lorazepam, Fenitoina, Carbamazepina
  • 50.
    Complicaciones • Convulsiones • SIADH •Hipertensión Endocraneana • Coma
  • 51.
  • 52.
    Absceso Cerebral • 0.18%-1.3%de autopsias • Hombres/mujeres 2:1, 30 -40 años de edad (25% en < 15 años de edad) • Antecedente de otitis media en niños y mayores de 40 años de edad • Antecedente de sinusitis en personas con edades entre 10 y 30 años.
  • 53.
    Germenes 30%-60% polimicrobiano • 60%aerobios – 50% estreptococos (S. milleri) – 15% S. aureus (TCE, cirugía) – 16%-30% bacilos Gram negativos • Proteus sp. • E. coli • Klebsiella sp. • Enterobacter sp. • P. auruginosa
  • 54.
    Localización FRONTAL • Sinusitis: S.milleri, mixto (relación aerobios/anaerobios de 1:1.5) TEMPORAL • Otitis: estreptococos, Bacteroides sp., bacilos aerobios Gram negativos
  • 57.
    Fisiopatología • LOCAL: 45%casos – Otitis, sinusitis, infección dental • HEMATOGENO: 25% casos – Infección pulmonar • TRAUMA O CIRUGIA CRANEAL: 10%-15% casos • NO DEFINIDO: 15%-20% casos
  • 58.
    Hematógeno • Territorio dela ACM • Unión sustancia gris-sustancia blanca • Pobre encapsulamiento • Alta mortalidad • Abscesos múltiples (10%-50% casos) – Absceso pulmonar, bronquiectasias, empiema – Osteomielitis – Colecistitis, peritonitis, infecciones pélvicas
  • 59.
    Fisiopatología 1. Cerebritis temprana(días 1-3 post inoculación)  Inflamación perivascular con centro necrótico incipiente y edema 2. Cerebritis tardía (días 4-10)  Definición del centro necrótico, fibroblastos y neovascularización 3. Encapsulamiento temprano (días 10-13)  Capa definida de fibroblastos
  • 60.
    Fisiopatología 4. Encapsulamiento tardío Engrosamiento de la cápsula y depósito abundante de colágeno • Cápsula más definida del lado cortical que el ventricular • Cápsula es menos definida en casos de origen hematógeno que en focos contiguos
  • 61.
    Clínica • Variable: asintomáticoa fulminante • 75% casos sintomáticos en < 2 semanas • Síntomas dependen más del proceso expansivo que de la infección • Minoría de casos con triada clásica: – Fiebre – Cefalea – Focalización neurológica
  • 62.
    • CEFALEA en70% casos • Fiebre: 40%-50% casos • Déficit neuroloógico focal: 50% casos – Hemiplejia – Hemianopsia – Déficit de pares craneales – Hemiparesia y/o afasia frecuentes • Crisis epilépticas en 25%-45% (usualmente generalizadas)
  • 63.
    • Edema depapila: 25% casos – No correlaciona con tamaño pero sí se asocia con cefalea y vómitos • Rigidez nucal: 25% casos • Náuseas y vómitos: 22%-50% casos • Intraselares: cefalea, hemianopsia y trastornos endocrinos • Cerebelo: nistagmus, ataxia, vómitos, dismetría • Frontal: cefalea, somnolencia, deterioro mental
  • 64.
    Diagnostico Diferencial • Meningitisbacteriana • Empiema subdural • Absceso epidural • Encefalitis • Aneurisma micótico • Accidente vascular cerebral • Migraña complicada • Hemorragia cerebral • Trombosis senos durales • Tumores – Primarios – Metástasis
  • 65.
    Complementarias • Hemograma normalen 40% casos • VES elevada • Hemocultivos (+) < 10% casos • Punción lumbar con 20% riesgo de herniación (contraindicada) • Rx tórax por frecuencia de infección pulmonar
  • 66.
    TAC Cráneo • Sensibilidaddel 95% • Localización precisa del absceso • Identificación de edema cerebral • Diagnóstico de hidrocefalia secundaria • Detecta desviación de línea media • Con el uso de esteroides se altera la morfología usual del absceso – Pobre definición de la cápsula (sensibilidad se reduce a 40%-60%)
  • 67.
    RM Cráneo • Mássensible que TAC en detección de cerebritis • Detecta mejor el edema cerebral • Se evita el artefacto óseo presente en la TAC • Medios de contraste menos tóxicos
  • 68.
    Tratamiento • Penicilina G+ Cloranfenicol • Penicilina G: estreptococos y anaerobios – 20 millones U x día • Cloranfenicol: liposoluble, contra anaerobios (B. fragilis) – 1-1.5 g c/6 horas – En abscesos por sinusitis frontal y etmoidal B. fragilis es raro, entonces no usar siempre
  • 69.
    Tx Metronidazol • Bactericida (cloranfenicolbacteriostático) • Buenas concentraciones • Uso concomitante de esteroides no altera su efecto • No se degrada por deacetilación (cloranfenicol sí) • Sí modifica mortalidad • Otitis media, mastoiditis, absceso pulmonar
  • 70.
    Tx • Post TCEo Qx: estafilococos – Nafcilina, oxacilina (1.5-2,0 g c/4 horas) – Vancomicina: alergia a penicilina o gérmenes meticilino-resistentes • Bacilos aerobios Gram negativos en otitis media – Cefalosporina III o TPM-SMX – P.aeruginosa: ceftazidime
  • 71.
    Tx • Cefotaxime versuspenicilina??? • Qx estereotáxica guiada por TAC • Cerebritis y paciente sin déficit neurológico: dar Antibióticos y no Qx • Paciente estable y absceso accesible: apiración guiada por TAC • Cápsula: aspiración + ABS + drenaje • Excisión Qx si hay deterioro neurológico y persisten las lesiones a pesar de otras medidas
  • 72.
    Tx • ABS IVpor 4-6 semanas • ABS VO por 2-6 meses post Tx IV? • Puede haber captación del contraste en TAC por 4-10 semanas y hasta 6-9 meses después de Tx exitoso • Esteroides: usar si hay HTIC – Alteran imagen TAC y reducen entrada de ABS al SNC • Antiepilépticos???
  • 73.
    Pronostico • Mortalidad – 30%-50% •Secuelas neurológicas – 30%-55% • Epilepsia Sintomatica – 90%