SINDROME DE OBSTRUCCIÓN BRONQUIAL (SOB) Dr: Manuel Meléndez Calderón
Síndrome de obstrucción bronquial Es un conjunto de manifestaciones clínicas que se caracterizan por  sibilancias, espiración prolongada y tos, con grados variables de intensidad, que se presenta en forma común  a distintas etiologías en el lactante.     Consenso peruano, a los menores de 2 años
SOB Obstrucción bronquial : Es la disminución del calibre de los bronquios, por causas extrínsecas o intrínsicas, que dificultan el flujo de aire. ¿Por qué se produce obstrucción bronquial? Inflamación de la vía aérea del tejido peribronquial. Contracción del músculo liso bronquial. Obstrucción intraluminal por secreciones o cuerpo extraño. Anomalías estructurales o compresión extrínseca, que a su vez pueden deberse a distintas causas.
Síndrome de obstrucción bronquial ¿Qué predispone  a los niños al SOB? La vía aérea superior del lactante es más corta y estrecha. Menor diámetro relativo del árbol bronquial Tiene mayor cantidad de glándulas y células caliciformes por centímetro cuadrado. Ausencia de ventilación colateral. Tendencia al colapso en la espiración El diafragma corto y con inserción horizontal es menos eficaz en su mecánica respiratoria Estado de hiperreactividad bronquial que se va perdiendo con los años
 
Diagnóstico diferencial de SOB I.  SOB Primario:   La infección viral como desencadenante de las sibilancias II. SOB Secundario:   5 al 10% de los casos
SOB secundario A) Obstrucción de las vías aéreas grandes Cuerpo extraño Crup viral Malformaciones congénitas: - Anillo vascular - Laringotraqueomalacia - Compresión extrínsica de las vías aéreas - Membranas laríngeas - Estenosis traqueal o laríngea - Disquinesia ciliar
B) Obstrucción de las vías grandes y/o peque Asma Aspiración recurrente: RGE, FTE Fibrosis quística Displasia broncopulmonar ICC-Edema pulmonar Síndrome de cilios inmóviles Malformaciones pulmonares
Bronquiolitis aguda
Asma bronquial
Displasia broncopulmonar
Membrana laríngea
Crup laríngeo
Estenosis traqueal
Estenosis traqueal congénita
 
Fibrosis Quistica
 
Quiste broncogénico Compresión traqueal
 
Anillo vascular congénito
 
Diagnóstico de SOB Anamnesis: SP: tos persistente, sibilancias, dificultad respiratoria. Patrón de presentación: único o recurrente Factores precipitantes: Infecciones virales, alergenos, irritantes ambientales. Emociones (ej. Llanto, risa). Antecedentes: historia de atopía, corta duración de la lactancia materna, tabaquismo prenatal, prematuridad ( oxigenoterapia. Ventilación mecánica al nacer). Ambiente del hogar: polvo, humedad, mascotas, humo. Crecimiento y desarrollo. Historia familiar: atopía, rinitis alérgica, asma.
Diagnóstico de SOB Examen físico: Cianosis, palidez, aumento del diámetro antero-posterior del tórax, aleteo nasal. Tirajes. Percusión: sonoridad aumentada. Auscultación: pasaje del murmullo vesicular, sibilancias, espiración prolongada .
Diagnóstico de SOB Considerar: Inicio precoz de sibilancias: displasia broncopulmonar Historia de vómitos y/o regurgitación: aspiración recurrente Diarrea crónica: fibrosis quística Alteración del crecimiento y desarrollo: fibrosis quística Asimetría de signología respiratoria: cuerpo extraño Estridor: crup Soplos cardiacos con signos de IC Respuesta inadecuada a una terapia broncodilatadora y antiinflamatoria óptima Alteraciones radiológicas persistentes: TBC
Diagnóstico diferencial en SOB ETIOLOGÍA CARACTERÍSTICAS  LABORATORIO  Displasia  Broncopulmonar  Prematurez, SDRI del R.N.  Vent. mecánica período R.N.  Dependencia de O2 > 28 días.  Rx. de Tórax  Oximetría de pulso.  Aspiración cuerpo extraño  Episodio asfístico brusco  Signos pulmonares asimétricos.  Radiología  Broncoscopía  Reflujo  gastroesofágico  Vómitos recurrentes  Radiología, pH metría  Fibrosis Quística  Desnutrición, tos crónica  Síndrome de malabsorción  Neumonías a repetición.  Electrolitos en sudor,  Rx de tórax.
Diagnóstico diferencial en SOB ETIOLOGÍA CARACTERÍSTICAS  LABORATORIO  Malformación vascular  Estridor  Hallazgo radiológico Estudio imagenológico (radiología, esofagograma, eco doppler , TAC con contraste, angiografía, RNM).  Endoscopía  Malformaciones pulmonares  Neumopatía recurrente o  prolongada.  Hallazgo radiológico  Ecografía prenatal  Rx. de tórax, TAC de tórax, angiografía  Disquinesia ciliar  Patología sinusal y ótica  Situs inverso, Bronquiectasias Rx. Tórax Rx. senos paranasales  Biopsia epitelio respiratorio.
Diagnóstico diferencial en SOB ETIOLOGÍA CARACTERÍSTICAS  LABORATORIO  Bronquiolitis  obliterante  Antecedentes de infección  viral grave, adenovirus (+)  Rx de tórax, TAC de tórax  Cintigrafía pulmonar V/Q  Traqueobroncomalacia  Estridor  Mala respuesta al broncodilador  Rx de tórax  Fibrobroncoscopía  Compresiones  extrínsecas  Atelectasia  Neumonía recurrente  Rx de tórax  TAC de tórax  Fibrobroncoscopía
Prof.Dr.FERNANDO MARTINEZ Universidad de Tucson,AZ, USA 1995
Estudio Tucson publicado en 1995   Martínez F. N Engl J Med 1995; 332:133-8   Seguimiento cohorte de 1.246 RN ( IgE, pruebas de función pulmonar y registro de sibilancias)   Grupo  I:   Sin sibilancias (SS) 51% Grupo II:   Sibilantes precoces transitorios , sibilan antes de los 3 años, sin sibilancias a los 6 años (SPT)  20% Grupo III:   Sibilantes tardíos , sibilancias después de los3 años, sibilando a los 6 años (ST)  15% Grupo IV:  Sibilantes precoces persistentes , inician sibilancias antes de los 3 años y persisten hasta los  6 años (SPP)  14%
Estudio Tucson Factores de riesgo   Sibilantes  Sibilantes  Sibilantes      precoces  tardios (ST)  precoces transitorios(SPT)  persistentes(SPP)      Función pulmonar Disminuída   Normal  Alterac. progres.    severa   IgE   Sérica R N  normal   RN normal   RN  normal 9 meses normal 9 meses   elevada   9 meses   elevada 6 año s  normal 6 años   elevada   6 años > que ST   Tabaquismo  materno   Muy relacionado Poco relacionado   Relacionado Martínez F. N Engl J Med 1995; 332:133-8
Conclusiones finales Las sibilancias en los primeros 3 años de vida son generalmente de pronóstico benigno No obstante que 1/3 de los niños presentaron IRA baja con sibilancias antes de los 3 años, un 60% de ellos dejó de sibilar a los 6 años Los “ sibilantes transitorios”  presentaron niveles de función pulmonar mas bajos medidos después de nacer y antes de cualquier IRA; por lo que probablemente nacen con vía aérea congénitamente más estrecha
Conclusiones finales Tabaquismo materno durante el embarazo fue el único factor de riesgo asociado a sibilancias transitorias  (control pre natal) Niveles elevados de IgE a los 9 meses constituye un factor de riesgo de “ sibilancias persistentes” a los 6 años, pero no se encontró relación con IgE en cordón umbilical; luego debe existir un proceso de sensibilización mediado por IgE en el primer años de vida( a aereoalerénos)
Sibilancias transitorias Sibilancias  Persistentes: Asma No Atópica Sibilancias  Persistentes: Asma Atópica 0 3 6 11 Fenotipos de sibilancias en el niño Prevalencia de sibilancias Edad:años
BRONQUIOLITIS AGUDA
BRONQUIOLITIS:  DEFINICIÓN La bronquiolitis aguda se define como el primer episodio de infección viral que afecta el tracto respiratorio bajo en los lactantes menores de un año y que compromete principalmente los bronquiolos o vías aéreas terminales.
BRONQUIOLITIS:   ETIOLOGÍA Virus Sincytial Respiratorio (VSR), subtipo A y B. 50-90% de los casos. Parainfluenza 1 y 3 Adenovirus Rinovirus Influenza A Enterovirus Mycoplasma pneumoniae Bordetella pertussis
BRONQUIOLITIS:  EPIDEMIOLOGÍA Aparece en epidemias anuales durante las estaciones más frías. Afecta a todos los grupos etarios pero los menores de 2 años son más susceptibles. La incidencia es mayor en el sexo masculino, en especial entre los 2 y los 5 meses de edad. La infección se contagia a partir de un adulto con manifestaciones mínimas, a través de contacto directo. La infección primaria por VSR produce una inmunidad parcial. La reinfección  origina una  mejor respuesta y más duradera.
BRONQUIOLITIS:   Factores de riesgo Bajo peso al nacer Asistencia a guarderías Hacinamiento Ausencia de lactancia materna Presencia de hermanos mayores que comparten habitación Hábito de fumar de los padres
BRONQUIOLITIS:   Factores de gravedad Prematuridad Cardiopatías congénitas Enfermedad pulmonar crónica (fibrosis quística, displasia broncopulmonar) Enfermedades neurológicas y metabólicas Inmunodeficiencias
FISIOPATOLOGÍA Edema de la mucosa Tapones (moco,fibrina,detritus..)  Broncoespasmo OBSTRUCIÓN   TRASTORNO V/Q Parcial   Total Atrapamiento   Atelectasias aéreo Hipoxemia FALLO RESPIRATORIO VR y CRF Resistencias Flujos espiratorios Compliance  Trabajo respiratorio Agotamiento Consumo O 2 Producción CO 2 Hipoventilación Acidosis respiratoria
ANATOMÍA PATOLOGICA :  Típica célula gigante como expresión del efecto citopático del virus, con una inclusión  redondeada rosa intracitoplasmática
BRONQUIOLITIS:  Cuadro clínico El diagnóstico es por lo general clínico. Los elementos claves para el Dx: Lactante con síntomas de infección respiratoria aguda: rinorrea, fiebre, tos leve, rechazo al alimento. Contacto con niño mayor o adulto resfriado Brote epidémico de infección por VSR. S y signos de SOB: tos, polipnea, tirajes, retracciones, hipersonoridad, sibilantes, espiración  prolongada, subcrepitantes, crepitantes. No se debe pedir rutinariamente exámenes de laboratorio ni estudios radiológicos para el Dx. Determinar la severidad de la enfermedad en base a la historia clínica y el examen físico.
Evaluación de la gravedad clínica: Puntaje de Bierman y Pierson, modificado por Tal Puntaje FR < 6 meses FR > 6 meses Sibilancias Retraccio-nes Cianosis 0 < 40 < 30 No No No 1 41 - 55 31 - 45 espiratoria con estetoscopio LEVE un paquete muscular perioral al llanto 2 56 -70 46 -60 espiratoria e inspiratoria con estetoscopio Moderada 2 paquetes musculares perioral en reposo 3 > de 70  > de 60 Esp e insp sin estetoscopio o tórax silente Severa mas de 2 paquetes musculares Generali-zada en reposo
Puntaje de Bierman y Pierson 1.  Leve:  0-4 puntos (saturación de oxígeno >95%)  2.  Moderada:  5-8 puntos (saturación de oxígeno: 90-95%)  3.  Severa:  9-12 puntos (saturación de oxígeno   <90%)
BRONQUIOLITIS:   Criterios de hospitalización Paciente con taquipnea (> de 50 resp/min en menor de 1 año y > de 40 en mayor de 1 años). Puntaje de Tal: 5 o más. Menor de 6 meses con rechazo a la vía oral. Saturación de  oxígeno menor de 95%. Historia de apnea o cianosis. Niño con algún grado de deshidratación. Niño menor de 2 meses Lactantes con condiciones que impliquen alto riesgo.
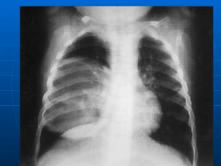
BRONQUIOLITIS:   Exámenes auxiliares Detección del VSR por inmunofuorescencia o por ELISA en secreciones respiratorias. Cultivos celulares es el patrón de oro. Oximetría y gases arteriales. Hemograma, VSG, PCR. Radiografía de tórax : Aunque se solicita en forma rutinaria no existe clara evidencia de su utilidad en la mayoría de pacientes. Puede ser normal  o presencia de hiperinsuflación, atelectasias y compromiso intersticial perihiliar bilateral. En 20% se reporta consolidación sin significar sobreinfección.
Bronquiolitis:  Estudio radiológico
BRONQUIOLITIS:   Tratamiento 1)  Medidas generales :  Aporte apropiado de líquidos y soporte nutricional. 2)  Oxigenoterapia :  La hipoxemia presente en la mayoría de lactantes es causada por alteración V/Q y es corregida con O2; obtener SaO2 cercana al 95%. 3)  Corticoides :  Aún cuando la inflamación juega un papel importante en la patogénesis; los resultados son contradictorios. AAP (1970): No hay bases científicas para su administración rutinaria.
Woensel y cols: Efectos benéficos de la prednisona oral en lactantes con bronquiolitis por VSR. Meta-análisis (2001): Efecto favorable pero moderado sobre la duración de la hospitalización y los síntomas. Shub y cols: Reportan efecto benéfico con dexametasona VO ( 1m/kg/d) en bronquiolitis moderada a severa. Conclusión :  Se necesitan más estudios. Actualmente, se debe considerar su uso en niños hospitalizados.
4)  Broncodilatadores :  Su uso es controvertido, sin embargo se administran comúnmente. Canada: 78% de pacientes hospitalizados reciben B 2. EEUU: Encuesta entre alergólogos y neumólogos pediatras, el 86% recomiendan una prueba con B 2. Europa: La gran mayoría de infectólogos pedíatras lo recomiendan. Reino Unido: No se usan en el manejo de bronquiolitis. Kellner (2001. meta-análisis. Cochrane): Concluyen que los B 2  agonistas producen mejoría moderada a corto plazo en el puntaje clínico, pero no mejoría significativa en otros parámetros importantes.
Mod y cols: Estudio con pruebas funcionales para evaluar la respuesta del B 2;  sugiere que debe ser usado en forma individualizada. Conclusión :  Administrarlos por un período de 60 minutos y continuar según la respuesta clínica en forma individual .
5)  Adrenalina :  Su uso se fundamenta por la posibilidad de acción sobre el edema de la submucosa por medio de vasoconstricción. El uso de epinefrina en pacientes hospitalizados está en investigación. No se recomienda su uso indiscriminado. 6)  Anticolinérgicos :  El uso del bromuro de ipratropio sólo o combinado con B 2 agonistas no es recomendado. 7)  Antibióticos :  Hasta el 65% de los niños hospitalizados infectados por VSR presentan fiebre, pero la infección bacteriana concomitante es infrecuente. La tasa de infección bacteriana en niños infectados por VSR está alrededor del 1.5%.
Purcell y col, en 2,396 niños hospitalizados  por infección del tracto respiratorio inferior por VSR demostró que las infecciones bacterianas concurrentes son raras. Conclusión : No uso rutinario de ATB en niños con bronquiolitis, excepto cuando se evidencie infección bacteriana por criterios clínicos, radiológicos y de laboratorio. 8)  Ribavirina : Randolph (Cochrane 2001): Modesta mejoría en los parámetros clínicos y oxigenación; reduce tiempo de la ventilación mecánica. No es recomendada para el manejo rutinario de Bronquiolitis severa. AAP: Lactantes con cardiopatías complejas, displasia broncopulmonar, FQ, inmunodeficiencias, enfermedades neurológica o metabólicas en menores de 6 semanas.
9) Apoyo con ventilación mecánica. 10)  No  esta recomendada la fisioterapia del tórax  ( drenaje postural, percusión del tórax, estimulación de la tos y succión de secreciones) en la fase aguda, empeoran la oxigenación y función pulmonar. Complicaciones : Apnea: 20 % en lactantes menores hospitalizados. Sobreinfección bacteriana. Atelectasias. Neumotórax.
BRONQUIOLITIS:  Evolución y pronostico La gran mayoría evolución satisfactoria, con 4 días promedio de hospitalización La mortalidad ocurre en menos del 1%. Cuando hay patología de base, tienen riesgo de SOB recurrente. No existe evidencias que sugieren asma en el futuro.
 
 
 

Sindrome De Obstruccion Bronquial

  • 1.
    SINDROME DE OBSTRUCCIÓNBRONQUIAL (SOB) Dr: Manuel Meléndez Calderón
  • 2.
    Síndrome de obstrucciónbronquial Es un conjunto de manifestaciones clínicas que se caracterizan por sibilancias, espiración prolongada y tos, con grados variables de intensidad, que se presenta en forma común a distintas etiologías en el lactante.  Consenso peruano, a los menores de 2 años
  • 3.
    SOB Obstrucción bronquial: Es la disminución del calibre de los bronquios, por causas extrínsecas o intrínsicas, que dificultan el flujo de aire. ¿Por qué se produce obstrucción bronquial? Inflamación de la vía aérea del tejido peribronquial. Contracción del músculo liso bronquial. Obstrucción intraluminal por secreciones o cuerpo extraño. Anomalías estructurales o compresión extrínseca, que a su vez pueden deberse a distintas causas.
  • 4.
    Síndrome de obstrucciónbronquial ¿Qué predispone a los niños al SOB? La vía aérea superior del lactante es más corta y estrecha. Menor diámetro relativo del árbol bronquial Tiene mayor cantidad de glándulas y células caliciformes por centímetro cuadrado. Ausencia de ventilación colateral. Tendencia al colapso en la espiración El diafragma corto y con inserción horizontal es menos eficaz en su mecánica respiratoria Estado de hiperreactividad bronquial que se va perdiendo con los años
  • 5.
  • 6.
    Diagnóstico diferencial deSOB I. SOB Primario: La infección viral como desencadenante de las sibilancias II. SOB Secundario: 5 al 10% de los casos
  • 7.
    SOB secundario A)Obstrucción de las vías aéreas grandes Cuerpo extraño Crup viral Malformaciones congénitas: - Anillo vascular - Laringotraqueomalacia - Compresión extrínsica de las vías aéreas - Membranas laríngeas - Estenosis traqueal o laríngea - Disquinesia ciliar
  • 8.
    B) Obstrucción delas vías grandes y/o peque Asma Aspiración recurrente: RGE, FTE Fibrosis quística Displasia broncopulmonar ICC-Edema pulmonar Síndrome de cilios inmóviles Malformaciones pulmonares
  • 9.
  • 10.
  • 11.
  • 12.
  • 13.
  • 14.
  • 15.
  • 16.
  • 17.
  • 18.
  • 19.
  • 20.
  • 21.
  • 22.
  • 23.
    Diagnóstico de SOBAnamnesis: SP: tos persistente, sibilancias, dificultad respiratoria. Patrón de presentación: único o recurrente Factores precipitantes: Infecciones virales, alergenos, irritantes ambientales. Emociones (ej. Llanto, risa). Antecedentes: historia de atopía, corta duración de la lactancia materna, tabaquismo prenatal, prematuridad ( oxigenoterapia. Ventilación mecánica al nacer). Ambiente del hogar: polvo, humedad, mascotas, humo. Crecimiento y desarrollo. Historia familiar: atopía, rinitis alérgica, asma.
  • 24.
    Diagnóstico de SOBExamen físico: Cianosis, palidez, aumento del diámetro antero-posterior del tórax, aleteo nasal. Tirajes. Percusión: sonoridad aumentada. Auscultación: pasaje del murmullo vesicular, sibilancias, espiración prolongada .
  • 25.
    Diagnóstico de SOBConsiderar: Inicio precoz de sibilancias: displasia broncopulmonar Historia de vómitos y/o regurgitación: aspiración recurrente Diarrea crónica: fibrosis quística Alteración del crecimiento y desarrollo: fibrosis quística Asimetría de signología respiratoria: cuerpo extraño Estridor: crup Soplos cardiacos con signos de IC Respuesta inadecuada a una terapia broncodilatadora y antiinflamatoria óptima Alteraciones radiológicas persistentes: TBC
  • 26.
    Diagnóstico diferencial enSOB ETIOLOGÍA CARACTERÍSTICAS LABORATORIO Displasia Broncopulmonar Prematurez, SDRI del R.N. Vent. mecánica período R.N. Dependencia de O2 > 28 días. Rx. de Tórax Oximetría de pulso. Aspiración cuerpo extraño Episodio asfístico brusco Signos pulmonares asimétricos. Radiología Broncoscopía Reflujo gastroesofágico Vómitos recurrentes Radiología, pH metría Fibrosis Quística Desnutrición, tos crónica Síndrome de malabsorción Neumonías a repetición. Electrolitos en sudor, Rx de tórax.
  • 27.
    Diagnóstico diferencial enSOB ETIOLOGÍA CARACTERÍSTICAS LABORATORIO Malformación vascular Estridor Hallazgo radiológico Estudio imagenológico (radiología, esofagograma, eco doppler , TAC con contraste, angiografía, RNM). Endoscopía Malformaciones pulmonares Neumopatía recurrente o prolongada. Hallazgo radiológico Ecografía prenatal Rx. de tórax, TAC de tórax, angiografía Disquinesia ciliar Patología sinusal y ótica Situs inverso, Bronquiectasias Rx. Tórax Rx. senos paranasales Biopsia epitelio respiratorio.
  • 28.
    Diagnóstico diferencial enSOB ETIOLOGÍA CARACTERÍSTICAS LABORATORIO Bronquiolitis obliterante Antecedentes de infección viral grave, adenovirus (+) Rx de tórax, TAC de tórax Cintigrafía pulmonar V/Q Traqueobroncomalacia Estridor Mala respuesta al broncodilador Rx de tórax Fibrobroncoscopía Compresiones extrínsecas Atelectasia Neumonía recurrente Rx de tórax TAC de tórax Fibrobroncoscopía
  • 29.
  • 30.
    Estudio Tucson publicadoen 1995 Martínez F. N Engl J Med 1995; 332:133-8 Seguimiento cohorte de 1.246 RN ( IgE, pruebas de función pulmonar y registro de sibilancias)   Grupo I: Sin sibilancias (SS) 51% Grupo II: Sibilantes precoces transitorios , sibilan antes de los 3 años, sin sibilancias a los 6 años (SPT) 20% Grupo III: Sibilantes tardíos , sibilancias después de los3 años, sibilando a los 6 años (ST) 15% Grupo IV: Sibilantes precoces persistentes , inician sibilancias antes de los 3 años y persisten hasta los 6 años (SPP)  14%
  • 31.
    Estudio Tucson Factoresde riesgo Sibilantes Sibilantes Sibilantes precoces tardios (ST) precoces transitorios(SPT) persistentes(SPP)   Función pulmonar Disminuída Normal Alterac. progres. severa   IgE Sérica R N normal RN normal RN normal 9 meses normal 9 meses elevada 9 meses elevada 6 año s normal 6 años elevada 6 años > que ST   Tabaquismo materno Muy relacionado Poco relacionado Relacionado Martínez F. N Engl J Med 1995; 332:133-8
  • 32.
    Conclusiones finales Lassibilancias en los primeros 3 años de vida son generalmente de pronóstico benigno No obstante que 1/3 de los niños presentaron IRA baja con sibilancias antes de los 3 años, un 60% de ellos dejó de sibilar a los 6 años Los “ sibilantes transitorios” presentaron niveles de función pulmonar mas bajos medidos después de nacer y antes de cualquier IRA; por lo que probablemente nacen con vía aérea congénitamente más estrecha
  • 33.
    Conclusiones finales Tabaquismomaterno durante el embarazo fue el único factor de riesgo asociado a sibilancias transitorias (control pre natal) Niveles elevados de IgE a los 9 meses constituye un factor de riesgo de “ sibilancias persistentes” a los 6 años, pero no se encontró relación con IgE en cordón umbilical; luego debe existir un proceso de sensibilización mediado por IgE en el primer años de vida( a aereoalerénos)
  • 34.
    Sibilancias transitorias Sibilancias Persistentes: Asma No Atópica Sibilancias Persistentes: Asma Atópica 0 3 6 11 Fenotipos de sibilancias en el niño Prevalencia de sibilancias Edad:años
  • 35.
  • 36.
    BRONQUIOLITIS: DEFINICIÓNLa bronquiolitis aguda se define como el primer episodio de infección viral que afecta el tracto respiratorio bajo en los lactantes menores de un año y que compromete principalmente los bronquiolos o vías aéreas terminales.
  • 37.
    BRONQUIOLITIS: ETIOLOGÍA Virus Sincytial Respiratorio (VSR), subtipo A y B. 50-90% de los casos. Parainfluenza 1 y 3 Adenovirus Rinovirus Influenza A Enterovirus Mycoplasma pneumoniae Bordetella pertussis
  • 38.
    BRONQUIOLITIS: EPIDEMIOLOGÍAAparece en epidemias anuales durante las estaciones más frías. Afecta a todos los grupos etarios pero los menores de 2 años son más susceptibles. La incidencia es mayor en el sexo masculino, en especial entre los 2 y los 5 meses de edad. La infección se contagia a partir de un adulto con manifestaciones mínimas, a través de contacto directo. La infección primaria por VSR produce una inmunidad parcial. La reinfección origina una mejor respuesta y más duradera.
  • 39.
    BRONQUIOLITIS: Factores de riesgo Bajo peso al nacer Asistencia a guarderías Hacinamiento Ausencia de lactancia materna Presencia de hermanos mayores que comparten habitación Hábito de fumar de los padres
  • 40.
    BRONQUIOLITIS: Factores de gravedad Prematuridad Cardiopatías congénitas Enfermedad pulmonar crónica (fibrosis quística, displasia broncopulmonar) Enfermedades neurológicas y metabólicas Inmunodeficiencias
  • 41.
    FISIOPATOLOGÍA Edema dela mucosa Tapones (moco,fibrina,detritus..) Broncoespasmo OBSTRUCIÓN TRASTORNO V/Q Parcial Total Atrapamiento Atelectasias aéreo Hipoxemia FALLO RESPIRATORIO VR y CRF Resistencias Flujos espiratorios Compliance Trabajo respiratorio Agotamiento Consumo O 2 Producción CO 2 Hipoventilación Acidosis respiratoria
  • 42.
    ANATOMÍA PATOLOGICA : Típica célula gigante como expresión del efecto citopático del virus, con una inclusión redondeada rosa intracitoplasmática
  • 43.
    BRONQUIOLITIS: Cuadroclínico El diagnóstico es por lo general clínico. Los elementos claves para el Dx: Lactante con síntomas de infección respiratoria aguda: rinorrea, fiebre, tos leve, rechazo al alimento. Contacto con niño mayor o adulto resfriado Brote epidémico de infección por VSR. S y signos de SOB: tos, polipnea, tirajes, retracciones, hipersonoridad, sibilantes, espiración prolongada, subcrepitantes, crepitantes. No se debe pedir rutinariamente exámenes de laboratorio ni estudios radiológicos para el Dx. Determinar la severidad de la enfermedad en base a la historia clínica y el examen físico.
  • 44.
    Evaluación de lagravedad clínica: Puntaje de Bierman y Pierson, modificado por Tal Puntaje FR < 6 meses FR > 6 meses Sibilancias Retraccio-nes Cianosis 0 < 40 < 30 No No No 1 41 - 55 31 - 45 espiratoria con estetoscopio LEVE un paquete muscular perioral al llanto 2 56 -70 46 -60 espiratoria e inspiratoria con estetoscopio Moderada 2 paquetes musculares perioral en reposo 3 > de 70 > de 60 Esp e insp sin estetoscopio o tórax silente Severa mas de 2 paquetes musculares Generali-zada en reposo
  • 45.
    Puntaje de Biermany Pierson 1. Leve: 0-4 puntos (saturación de oxígeno >95%) 2. Moderada: 5-8 puntos (saturación de oxígeno: 90-95%) 3. Severa: 9-12 puntos (saturación de oxígeno <90%)
  • 46.
    BRONQUIOLITIS: Criterios de hospitalización Paciente con taquipnea (> de 50 resp/min en menor de 1 año y > de 40 en mayor de 1 años). Puntaje de Tal: 5 o más. Menor de 6 meses con rechazo a la vía oral. Saturación de oxígeno menor de 95%. Historia de apnea o cianosis. Niño con algún grado de deshidratación. Niño menor de 2 meses Lactantes con condiciones que impliquen alto riesgo.
  • 47.
    BRONQUIOLITIS: Exámenes auxiliares Detección del VSR por inmunofuorescencia o por ELISA en secreciones respiratorias. Cultivos celulares es el patrón de oro. Oximetría y gases arteriales. Hemograma, VSG, PCR. Radiografía de tórax : Aunque se solicita en forma rutinaria no existe clara evidencia de su utilidad en la mayoría de pacientes. Puede ser normal o presencia de hiperinsuflación, atelectasias y compromiso intersticial perihiliar bilateral. En 20% se reporta consolidación sin significar sobreinfección.
  • 48.
  • 49.
    BRONQUIOLITIS: Tratamiento 1) Medidas generales : Aporte apropiado de líquidos y soporte nutricional. 2) Oxigenoterapia : La hipoxemia presente en la mayoría de lactantes es causada por alteración V/Q y es corregida con O2; obtener SaO2 cercana al 95%. 3) Corticoides : Aún cuando la inflamación juega un papel importante en la patogénesis; los resultados son contradictorios. AAP (1970): No hay bases científicas para su administración rutinaria.
  • 50.
    Woensel y cols:Efectos benéficos de la prednisona oral en lactantes con bronquiolitis por VSR. Meta-análisis (2001): Efecto favorable pero moderado sobre la duración de la hospitalización y los síntomas. Shub y cols: Reportan efecto benéfico con dexametasona VO ( 1m/kg/d) en bronquiolitis moderada a severa. Conclusión : Se necesitan más estudios. Actualmente, se debe considerar su uso en niños hospitalizados.
  • 51.
    4) Broncodilatadores: Su uso es controvertido, sin embargo se administran comúnmente. Canada: 78% de pacientes hospitalizados reciben B 2. EEUU: Encuesta entre alergólogos y neumólogos pediatras, el 86% recomiendan una prueba con B 2. Europa: La gran mayoría de infectólogos pedíatras lo recomiendan. Reino Unido: No se usan en el manejo de bronquiolitis. Kellner (2001. meta-análisis. Cochrane): Concluyen que los B 2 agonistas producen mejoría moderada a corto plazo en el puntaje clínico, pero no mejoría significativa en otros parámetros importantes.
  • 52.
    Mod y cols:Estudio con pruebas funcionales para evaluar la respuesta del B 2; sugiere que debe ser usado en forma individualizada. Conclusión : Administrarlos por un período de 60 minutos y continuar según la respuesta clínica en forma individual .
  • 53.
    5) Adrenalina: Su uso se fundamenta por la posibilidad de acción sobre el edema de la submucosa por medio de vasoconstricción. El uso de epinefrina en pacientes hospitalizados está en investigación. No se recomienda su uso indiscriminado. 6) Anticolinérgicos : El uso del bromuro de ipratropio sólo o combinado con B 2 agonistas no es recomendado. 7) Antibióticos : Hasta el 65% de los niños hospitalizados infectados por VSR presentan fiebre, pero la infección bacteriana concomitante es infrecuente. La tasa de infección bacteriana en niños infectados por VSR está alrededor del 1.5%.
  • 54.
    Purcell y col,en 2,396 niños hospitalizados por infección del tracto respiratorio inferior por VSR demostró que las infecciones bacterianas concurrentes son raras. Conclusión : No uso rutinario de ATB en niños con bronquiolitis, excepto cuando se evidencie infección bacteriana por criterios clínicos, radiológicos y de laboratorio. 8) Ribavirina : Randolph (Cochrane 2001): Modesta mejoría en los parámetros clínicos y oxigenación; reduce tiempo de la ventilación mecánica. No es recomendada para el manejo rutinario de Bronquiolitis severa. AAP: Lactantes con cardiopatías complejas, displasia broncopulmonar, FQ, inmunodeficiencias, enfermedades neurológica o metabólicas en menores de 6 semanas.
  • 55.
    9) Apoyo conventilación mecánica. 10) No esta recomendada la fisioterapia del tórax ( drenaje postural, percusión del tórax, estimulación de la tos y succión de secreciones) en la fase aguda, empeoran la oxigenación y función pulmonar. Complicaciones : Apnea: 20 % en lactantes menores hospitalizados. Sobreinfección bacteriana. Atelectasias. Neumotórax.
  • 56.
    BRONQUIOLITIS: Evolucióny pronostico La gran mayoría evolución satisfactoria, con 4 días promedio de hospitalización La mortalidad ocurre en menos del 1%. Cuando hay patología de base, tienen riesgo de SOB recurrente. No existe evidencias que sugieren asma en el futuro.
  • 57.
  • 58.
  • 59.