PARASITOSIS
INTESTINALES

Diagnostico por Imagen 2do año
Profesor: Enrique Gomez Sierra


Las parasitosis intestinales constituyen un importantísimo e ineludible
problema de orden sanitario y social.
La frecuencia con que se manifiestan estos cuadros patológicos es
sumamente variable, aún dentro de un mismo país o región; pues depende,
en particular, de la zona que se tome en consideración. Dos razones son
las determinantes: por un lado, las diferentes condiciones climáticas
requeridas para cumplir el ciclo evolutivo de cada especie; y por otro, las
distintas circunstancias económicas, sociales, sanitarias y culturales, que
específicamente, gravitan en cada área geográfica.
En la República Argentina, la mitad aproximadamente, de la población
infantil del interior del país, tiene poliparasitismo; y en general se
encuentran mucho más parasitados los niños que habitan en regiones
rurales y periurbanas que los que viven en zonas bien urbanizadas.
Las parasitosis son más frecuentes en el niño que ha cumplido cuatro o
más años de edad, que en el adulto. Pero en el período que va desde que
nace hasta los tres o cuatro años, sus índices de infestación parasitaria,
habitualmente, son menores en el adulto. No obstante en los lactantes
también puede registrarse un significativo índice de infestación parasitaria.
ACCIÓN PATÓGENA DE LOS PARÁSITOS









La acción patógena que los parásitos ejercen en el ser humano, es muy
variable; cada caso depende, ya de la especie del parásito, del número de
ellos, de su virulencia, de las asociaciones parasitarias, etc, o ya de la
constitución individual del huésped, de sus condiciones de resistencia y
receptividad, de su edad, etc.
Cuando estos organismos encuentran un medio propicio para su
desarrollo, se origina una parasitosis; la que puede variar, desde una simple
tolerancia al parásito (portadores sanos), hasta aquellos casos en que se
producen verdaderos estragos.
La acción patógena que los parásitos ejercen sobre el organismo puede ser
de diversos tipos:
Acción
expoliatriz:
los
parásitos
se
alimentan
de
sus
huéspedes, sustrayéndoles materias nutritivas indispensables para su
desarrollo.
Acción tóxica: es ejercida a través de sus toxinas y productos de
desamilización, produciendo un efecto destructor sobre el huésped.
Acción traumática: se manifiesta a través de las lesiones que los parásitos
ocasionan en el organismo.
Acción mecánica: puede ser por obstáculo, ya que se introducen en el
colédoco y dan origen a cuadros de obstrucción biliar.
Acción irritativa e inflamatoria: es producida por la presencia misma de los
parásitos o de sus toxinas y productos de secreción.
TIPOS DE PARÁSITOS

 Protozoos

 Helmintos
1.

2.

Nemathelmintos o nemátodos o
gusanos cilíndricos.
Plathelmintos o cestodos o gusanos
planos.
•PROTOZOOSIS:
GIARDIASIS (GIARDIA LAMBLIA)


Etiopatogenia
Es la parasitación más común en el mundo, sobre todo en climas
templados,
especialmente
en
niños
de
guarderías
y
orfanatos, alcanzando la máxima prevalencia entre los 2 y los 6 años
de edad. El protozoo giardia lamblia se presenta en dos formas
distintas, trofozoitos o formas vegetativas o activas que tienen
aspecto de media pera y un tamaño de 10 a 20 μ de largo por 6 a 10
μ de ancho; y quistes que miden de 10 a 12 μ de largo por 8 μ de
ancho. Los trofozoitos viven en las criptas glandulares y submucosa
de duodeno y yeyuno proximal, mientras que los quistes se forman
en intestino delgado y se excretan por las heces. Los quistes
eliminados por las heces contaminan agua, alimentos y
manos, llegando por vía oral al estómago dónde se destruye la
cubierta del quiste, liberándose los trofozoitos que se localizan en la
mucosa del intestino delgado proximal produciendo la enfermedad y
dando lugar a la eliminación de nuevos quistes por las heces. Tras
un período de incubación de unos 5 días se inicia el período
clínico,
existiendo
tres
posibles
evoluciones:
portador
asintomático, gastroenteritis auto limitada o cuadro crónico de mala
absorción o urticaria. Muy frecuente en niños de zonas endémicas y
adultos que viajan a este tipo de lugares.


Clínica
La sintomatología puede ser muy variada:
a) Asintomático: más frecuente en niños de áreas endémicas;
b) Giardiasis aguda: diarrea acuosa que puede cambiar sus características a
esteatorreicas, deposiciones muy fétidas, distensión abdominal con dolor y
pérdida de peso; y
c) Giardiasis crónica: sintomatología subaguda y asocia signos de
malabsorción, desnutrición y anemia.



Diagnóstico
Determinación de quistes en materia fecal o de trofozoítos en el cuadro
agudo con deposiciones acuosas. Es importante recoger muestras seriadas
en días alternos, pues la eliminación es irregular y aumenta la rentabilidad
diagnóstica. En el caso de pacientes que presentan sintomatología
persistente y estudio de heces negativo se recomienda realización de ELISA
en heces.



Tratamiento
Metronidazol, 500 mg/8 h/5-7 días (niños: 15 mg/kg/dia). Alternativas:
tinidazol (2 g a dosis única); mepacrina (100 mg/8 h/7 días), albendazol (400
mg/día/5días) y nitazoxamida, 500 mg/12 h/3 días. En algunos casos de
cepas resistentes pueden darse dos fármacos combinados.
Embarazadas: paramomicina de 25-35 mg/kg/día en tres dosis/7 días.
AMEBIASIS (ENTAMOEBA HISTOLYTICA O
ENTAMOEBA DISPAR)



Etiopatogenia
Constituye la tercera causa mundial de muerte por enfermedad
parasitaria. La infección se produce al ingerir quistes del parásito, que
miden 10 a 18 μ y contienen cuatro núcleos. Los quistes son resistentes
a las bajas temperaturas, a la cloración de las aguas y a los ácidos
gástricos y enzimas digestivas, de forma que tras la ingesta llegan al
intestino delgado dónde cada quiste da lugar a ocho trofozoitos, con un
diámetro medio de 25 μ y dotados de un solo núcleo. En el proceso de
invasión de la mucosa y submucosa intestinal, producen ulceraciones
responsables de parte de la sintomatología de la amebiasis, así como la
posibilidad de diseminación a distancia y afectación de otros órganos
diana (absceso hepático).


Clínica
Muy variada, desde formas asintomáticas hasta cuadros fulminantes:
a. Amebiasis asintomática: representa el 90% del total.
b. Amebiasis intestinal invasora aguda o colitis amebiana disentérica:
gran número de deposiciones con contenido mucoso y hemático, tenesmo
franco, con volumen de la deposición muy abundante en un principio y casi
inexistente posteriormente, dolor abdominal importante, tipo cólico. En casos
de pacientes desnutridos o inmunodeprimidos pueden presentarse casos de
colitis amebiana fulminante, perforación y formación de amebomas con
cuadros de obstrucción intestinal asociados.
c. Amebiasis intestinal invasora crónica o colitis amebiana no
disentérica: dolor abdominal tipo cólico con cambio del ritmo intestinal,
intercalando periodos de estreñimiento con deposiciones diarreicas, tenesmo
leve, sensación de plenitud posprandial, náuseas, distensión abdominal,
meteorismo y borborigmos.



Diagnóstico
Mediante visualización de quistes en materia fecal o de trofozoítos en cuadro
agudo con deposiciones acuosas. Para diferenciar E. histolytica, ameba
patógena, de E. dispar, ameba no patógena que no precisa tratamiento, es
necesario una PCR-RT, prueba que solo puede realizarse en algunos en
centros especializados.


Tratamiento
El tratamiento para la infección amebiana intestinal asintomática en las
regiones no endémicas, se basa en los medicamentos que tienen
acción amebicida en el lumen del intestino, como el furoato de
diloxanida, el iodoquinol, la paramomicina. En la infección moderada o
severa y en la infección extraintestinal se utiliza el metronidazol (o
tinidazol) más un amebicida luminal. En el tratamiento del absceso
hepático amebiano se utiliza el metronidazol (krodex f) y en casos raros
en que falla esta terapia se adiciona cloroquina al tratamiento.


1.
2.
3.

Profilaxis
Como medidas preventivas, destacan:
Tratamiento de aguas con cloro y sistemas de filtrado para la
eliminación correcta de aguas residuales.
Higiene personal y alimenticia: lavarse las manos antes de
comer, cocinar, etc.
Las prácticas sexuales anales, deben retrasarse hasta una
completa recuperación.
CRIPTOSPORIDIASIS
(CRYPTOSPORIDIUM)



Etiopatogenia
Son coccidios protozoarios con distribución universal que pueden producir
infección en animales y humanos. Se produce por ingesta de oocitos
procedentes
de
alimentos
y
aguas
contaminados
(piscinas
comunitarias, parques acuáticos, aguas de lagos y pantanos…) o por vía
fecal-oral (frecuente en guarderías). Tras la ingesta de oocitos en alimentos o
aguas contaminados, se liberan esporozoítos con capacidad de unirse a los
bordes en cepillo de las células epiteliales intestinales, en donde pueden
reproducirse asexual o sexualmente (esta última mediante formación de
micro y macro-gametos, su unión y la formación de nuevos oocitos) para ser
eliminados posteriormente junto a la materia fecal y perpetuar la posibilidad
de infección.


Clínica
Muy variada.
a) Asintomática;
b) Forma intestinal: cuadro de deposiciones diarreicas acuosas con dolor
abdominal, fiebre, náuseas, vómitos y signos de deshidratación y pérdida de
peso, autolimitado y frecuente en niños en epidemias relacionadas con
guarderías o piscinas. Puede ser más prolongado en pacientes con
inmunodepresión;
c) Forma extraintestinal: en inmunodeprimidos (SIDA) con afectación de
sistema respiratorio, hepatitis, artritis reactivas y afectación ocular.



Diagnóstico
Mediante visualización de oocitos en materia fecal. También se utiliza
frecuentemente técnicas de EIA en muestra fecal con alta sensibilidad y
especificidad.

Conteo de linfocitos T CD4+

Presentación clínica

> 200/mm3

Enfermedad asintomática

< 100/mm3

Enfermedad crónica

< 50/mm3

Enfermedad fulminante


Tratamiento y prevención
Medidas de soporte: reposición de líquidos y electrolitos y, en casos
graves, fluidoterapia intravenosa y/o terapias nutricionales. En pacientes
inmunodeprimidos se asocia tratamiento antibiótico. En pacientes con SIDA,
la terapia antirretroviral consigue mejoría en el estatus inmune y acortar la
sintomatología. Es fundamental incrementar las medidas de higiene para
evitar la transmisión fecal-oral y limitar el uso de piscinas en pacientes con
diarrea.
El tratamiento específico no elimina la infección, pero reduce la gravedad del
cuadro. Nitazoxamida, 500 mg/12 h/3 días (niños < 4 anos, mitad de dosis).
Paramomicina, 500 mg/6 h/14 días. Niños: 7,5 mg/kg/día.
Alternativas: en los casos crónicos rebeldes al tratamiento son importantes
las medidas de rehidratación y tratamiento sintomático con antiperistálticos y
análogos de la somatostatina (octreotido, 100-500 mg/8 h, s.c.).
Como la infección por Cryptosporydium se da exclusivamente por la ingesta
de ooquistes, las medidas de control apuntan a reducir o prevenir la
transmisión de ooquistes. Los ooquistes son muy resistentes a una gama de
presiones ambientales y a la mayoría de desinfectantes y antisépticos. La
filtración de agua no remueve todos los quistes de Cryptosporidium, por lo
que lo ideal es que las plantas de tratamiento de agua realicen una revisión
microscópica de rutina. Las personas inmunosuprimidas deben evitar tener
contacto con agua no potable (lagos y arroyos) y animales jóvenes. En los
hospitales y centros de salud, los pacientes infectados deben de evitar tener
contacto con las fuentes de infección y además aislarse de los demás
pacientes. Para prevenir una posible infección por agua de dudosa
potabilidad, lo recomendable es hervir el agua antes de su consumo.
•HELMINTIASIS
1.NEMÁTODOS
OXIURIASIS (ENTEROBIUS VERMICULARIS)



Etiopatogenia
Afecta al 40-50% de los niños en edad escolar. La ingestión de huevos
fecundados, libera larvas que maduran en el duodeno, localizándose
después en la región ileocecal. Desde aquí las hembras
progresan, generalmente por las noches, hasta el recto y el ano para
realizar la puesta de huevos, los cuales mediante una secreción especial
se adhieren a las márgenes del ano y piel circundante. Con el rascado
se establecen bajo las uñas y se perpetúa la autoinfección por
transmisión fecal-oral. Estos huevos localizados en la mucosa anal
presentan una gran resistencia a la desecación; razón por la
cual, pueden conservar por largo tiempo su capacidad infectante.




Clínica
Mucho más habitual en niños que en adultos, frecuentemente
asintomática. Síntomas por acción mecánica (prurito o sensación de
cuerpo extraño), invasión genital (vulvovaginitis), despertares
nocturnos, sobre infección secundaria a excoriaciones por
rascado, dolor abdominal que en ocasiones puede ser
recurrente, localizarse en FID y simular apendicitis aguda.
No está demostrada su relación con síntomas que tradicionalmente
se relacionan con oxiuriasis como bruxismo, enuresis nocturna o
prurito nasal.
Diagnóstico
El examen parasitológico de heces solo es positivo en un 10-15% de los
casos en los que se identifican los huevos del parasito o gusanos adultos.
Mejores resultados tiene el examen de cintas adherentes transparentes
después de su aplicación en los márgenes del ano (Test de Graham). En
caso de exámenes repetidamente negativos y alta sospecha de la
infección, realizar tacto rectal para la obtención de muestra fecal.


Tratamiento
Mebendazol (100 mg a dosis única, repetida a los 15 días). En algunos casos
es necesario continuar una dosis mensual durante varios meses.
Alternativas: albendazol, 400 mg en dosis única (niños < 2 años, 100 mg);
pamoato de pyrantel, 10 mg/kg; ivermectina, 200 μg/kg.



Profilaxis
Medidas higiénicas básicas: lavarse las manos después de la defecación.
Se recomienda dar el tratamiento a toda la familia para interrumpir la
transmisión.
TRICOCEFALOSIS (TRICHURIS TRICHIURA)



Etiopatogenia
Geohelmintiasis producida por la ingesta de huevos embrionados
procedente de alimentos, tierra (típico en niños) o aguas contaminadas.
Las larvas maduran en ciego y colon ascendente, donde permanecen
enclavados a la mucosa, produciendo lesión mecánica y traumática con
inflamación local, y desde donde vuelvan a producir nuevos huevos
fértiles que son eliminados por materia fecal.



Clínica
Depende del grado de parasitación: desde asintomática, pasando por
dolor cólico y deposiciones diarreicas ocasionales, hasta cuadros
disenteriformes con deposiciones mucosanguinolentas (en pacientes
inmunodeprimidos) y prolapso rectal.


Diagnóstico
Identificación de huevos en materia fecal. En casos graves, plantear el
diagnóstico diferencial con amebiasis, disentería bacilar y colitis ulcerosa.



Tratamiento
Albendazol (400 mg a dosis única). El tratamiento debe repetirse o
continuarse más días en caso de cargas parasitarias importantes.
Alternativas: mebendazol (100 mg/12 h/3 días o 500 mg a dosis única).
Alternativas: ivermectina (12 mg a dosis única).



Prevención
Extremar medidas de higiene personal, adecuada eliminación de
excretas, utilización de agua potable y correcto lavado de alimentos.
Vigilancia de los juegos con arena de niños en parques, lavar manos.
ASCARIASIS (ASCARIS LUMBRICOIDES)



Etiopatogenia
Es la helmintiasis más frecuente y con mayor distribución a nivel mundial.
Tras ingestión de material contaminado, las larvas eclosionan en el intestino
delgado, atraviesan la pared intestinal, se incorporan al sistema portal y
llegan nivel pulmonar, donde penetran en los alveolos y ascienden hasta vías
respiratorias altas que por la tos y deglución, llegan de nuevo al intestino
delgado, donde se transforman en adultos, producen nuevos huevos, que se
eliminan por material fecal.


Clínica
• Digestiva: dolor abdominal difuso (por irritación mecánica) y menos
frecuentemente meteorismo, vómitos y diarrea.
• Respiratorio: desde sintomatología inespecífica hasta síndrome de Löeffler
(cuadro respiratorio agudo con fiebre de varios días, tos y expectoración
abundante y signos de condensación pulmonar transitoria, consecuencia del
paso pulmonar de las larvas y una respuesta de hipersensibilidad asociada).
• Otras: anorexia, malnutrición, obstrucción intestinal, absceso hepático.



Diagnóstico
Hallazgo del parásito o sus huevos en materia fecal o de las larvas en
esputo o material gástrico si coincide con fase pulmonar.



Tratamiento
Mebendazol (100 mg/12 h/3 días o 500 mg a dosis única). Alternativas:
pamoato de pyrantel, 10 mg/kg (máximo 1 g), dosis única; albendazol, 400
mg, dosis única (niños entre 2-5 anos: 200 mg); piperazina, 75 mg/kg
(máximo 3,5 g en adultos o 2,5 g en niños entre 2-12 anos). La ivermectina
también es eficaz. (200 μg/kg dosis única).



Indicaciones quirúrgicas
Solo en casos de complicaciones que sobrevienen por la posibilidad de
migración que tienen los ascaris adultos (apendicitis, obstrucción del
colédoco, o del conducto de Wirsung, etc.) o por infecciones masivas en
niños (obstrucción intestinal, vólvulo, etc.).
ANQUILOSTOMIASIS O UNCINARIASIS
(ANEYLOSTOMA DUODENALE Y NECATOR)



Etiopatogenia
Los huevos de estos dos helmintos se eliminan por materia fecal y
eclosionan en un terreno favorecedor dando lugar a un tipo de larva que
precisa una nueva modificación para obtener capacidad infectante mediante
penetración por la piel (en A. duodenale también puede provocar infección
por ingestión vía oral). Una vez atravesada la piel, se dirigen al sistema
venoso o linfático para llegar a sistema cardiaco derecho y circulación
pulmonar, penetrar en los alveolos, madurar allí y ascender por vías
respiratorias altas para ser deglutidas y alcanzar duodeno y yeyuno, donde
se fijan y comienzan a producir nuevos huevos fecundados. Al fijarse en el
intestino delgado, los gusanos adultos causan una lesión mecánica que
provoca pérdida sanguínea progresiva y crónica.


Clínica
•
Piel:
“síndrome
de
Larva
Migrans
Cutánea”:
dermatitis
pruriginosa, transitoria y recurrente en pies y zonas interdigitales, donde
penetran y se desplazan hasta alcanzar el sistema circulatorio.
• Respiratoria: desde síntomas inespecíficos a síndrome de Löeffler (ver
ascariosis).
• Digestiva: dolor epigástrico, náuseas, pirosis y diarrea ocasionalmente.
• Síndrome anémico.



Diagnóstico
Hallazgo de huevos del parásito en materia fecal. Clínico: área endémica
síntomas cutáneos y pulmonares + anemia + contacto con tierra.



Tratamiento
Mebendazol (100 mg/12 h/3 días; o 500 mg dosis única). Albendazol (400 mg
dosis única). Pamoato de pyrantel (10 mg/kg/día/3 días). En embarazadas:
no utilizar benzimidazoles (teratogenicos) hasta después del parto.
Corrección de la anemia con sulfato ferroso.
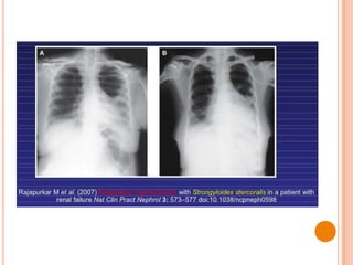
ESTRONGILOSIS (STRONGYLOIDES STERCORALIS)



Etiopatogenia
Esta geohelmintiasis presenta un ciclo vital con distintas posibilidades:
a. Ciclo directo: . la larva, que se encuentra en el suelo, se modifica para
poder penetrar a través de la piel al sistema circulatorio, donde llega a
sistema cardiaco derecho y circulación pulmonar, asciende por las vías
respiratorias hasta ser deglutida y dirigirse a la mucosa del ID. Allí se
transforma en hembra infectante, produce nuevos huevos que eclosionan y
se dirigen a la luz intestinal, desde donde son eliminados al exterior.
b. Ciclo indirecto: incluye una o varias generaciones de larvas en vida libre
(sin afectación humana), hasta que se produce la modificación que hace a la
larva infectante para el hombre.
c. Ciclo de autoinfección: la modificación larvaria se produce en la luz
intestinal en lugar del exterior y posteriormente penetra en el sistema
circulatorio y realiza un recorrido similar al del ciclo directo. Es lo que se
denomina síndrome de hiperinfección por S. stercoralis, y explica que pueda
existir una parasitosis persistente sin necesidad de reinfecciones externas,
así como la afectación de otros órganos: hígado, pulmón, SNC, sistema
ganglionar.


Clínica
En general depende del estado inmunitario del paciente.
• Piel: “síndrome de Larva Currens”: dermatitis pruriginosa por el paso
tanscutáneo de la larva y el recorrido realizado hasta llegar a circulación
sistémica.
• Respiratorio: suele provocar sintomatología menor como tos y
expectoración, pero también se han descrito casos de neumonitis y síndrome
de Löeffler.
• Digestiva: la intensidad de la sintomatología está en relación con el grado
de parasitosis: dolor epigástrico, vómitos, anorexia, períodos de diarrea que
se alternan con estreñimiento.
• Síndrome de hiperinfestación: casi exclusivo del paciente
inmunocomprometido.
Los síntomas anteriormente señalados se expresan con mayor severidad.



Diagnóstico
Eosinofilia importante, más evidente si la extracción coincide con el paso
pulmonar del parásito. La visualización del parásito en material fecal es
diagnóstica pero difícil por la irregularidad en la eliminación, al encontrarse a
nivel de mucosa- submucosa intestinal. Necesita microbiólogo experto.
Serología mediante EIA, sensibilidad > 90% pero reactividad cruzada con
filarias y otros nematodos.


Diagnóstico
Eosinofilia importante, más evidente si la extracción coincide con el
paso pulmonar del parásito. La visualización del parásito en material
fecal es diagnóstica pero difícil por la irregularidad en la eliminación, al
encontrarse a nivel de mucosa- submucosa intestinal. Necesita
microbiólogo experto. Serología mediante EIA, sensibilidad > 90% pero
reactividad cruzada con filarias y otros nematodos.



Tratamiento
Ivermectina: 200 μg/kg/2 días. Alternativas: albendazol: 400/12 h/3 días
(repetir una segunda tanda de medicación a las 2 semanas de la
primera). En el síndrome de hiperinfestación: alargar el tratamiento a
7-14 días.
HIMENOLEPIASIS (HYMENOLEPIS NANA)



Etiopatogenia
El hombre puede ser tanto huésped intermedio como definitivo para la
parasitación por este cestodo de pequeño tamaño. Los huevos son ya
infectantes al salir por la materia fecal y son ingeridos mediante prácticas de
escasa higiene. Los huevos alcanzan el duodeno, donde se adhieren a la
mucosa intestinal y penetran en la mucosa, obteniendo la forma de
cisticercoide. Posteriormente podrá pasar de nuevo a la luz intestinal y formar
el parásito adulto con capacidad productora de huevos.


Clínica
Síntomas digestivos, generalmente leves, como dolor abdominal,
meteorismo, diarrea y bajo peso si la infección se cronifica.



Diagnóstico
Eosinofilia si está circulante, lo habitual es que curse sin eosinofilia.
Visualización de huevos en materia fecal. El número de ellos encontrado
está directamente relacionado con el grado de parasitación.



Tratamiento
Praziquantel, 25 mg/kg en dosis única (niños: 10-15 mg/kg). Se
aconseja repetir la dosis una semana después. Puede requerir incluso
dosis posteriores. Alternativa: niclosamida, 2 g seguidos de 1 g/día/6
días (niños: 40 mg/kg seguidos de 500 mg/día/6 días).
TENIASIS (TAENIA SAGINATA Y SOLIUM)



Etiopatogenia
El ser humano puede actuar con este parásito como huésped intermediario o
definitivo. El paciente parasitado elimina proglótides y huevos en la materia
fecal, que son ingeridos por animales (cerdo en
T. solium y ganado vacuno en T. saginata), en los que se forman cisticercos en
músculo estriado que son posteriormente ingeridos por el hombre mediante
carnes poco o mal cocinadas. Una vez en el intestino delgado, el parásito se
adhiere a la pared, crece y comienza a producir de nuevo proglótides y
huevos. La mayoría son infecciones únicas, producidas por una tenia
solamente.


Clínica
Es escasa, principalmente de tipo irritativa mecánica, e inespecífica:
meteorismo, náuseas, dolor abdominal, etc. Puede ocurrir la salida
de proglótides a nivel anal con molestia y prurito perineal, así como
la observación del deslizamiento de las mismas por los MMII dejando
un líquido lechoso muy pruriginoso y muy rico en huevos.



Diagnóstico
Mediante la observación por parte del paciente de salida de
proglótides en heces. Visualización de proglótides en materia fecal.
Determinación de coproantígenos por EIA (aunque presenta
reactividad cruzada con otros cestodos), útil para la comprobación de
la efectividad del tratamiento.



Tratamiento
Praziquantel: 10 mg/kg en dosis única. Alternativa: niclosamida, 2 g
en dosis única (niños > 34 kg de peso: 1,5 g; entre 11-34 kg: 1 g).
CISTICERCOSIS (TAENIA SOLIUM)



Etiopatogenia
Es la afectación tisular de la larva de la T. solium. El hombre ingiere
huevos de este subtipo de tenia y al llegar a ID, penetran la pared hasta
alcanzar el sistema circulatorio, el pulmón y posteriormente el corazón
izquierdo desde donde son distribuidos por la circulación arterial a
distintos lugares del organismo (más frecuentemente SNC, tejido celular
subcutáneo, músculo y ojo), en los que forma los denominados quistes o
cisticercos, que pueden permanecer durante años y que, al morir,
producen una importante reacción inmunológica e inflamatoria que
provoca gran parte de la sintomatología.


Clínica
• Neurocisticercosis: epilepsia de aparición tardía, cefalea y signos de
HTIC, síndrome psicótico, meningitis aséptica, síndrome de los pares
craneales, síndrome medular.

•
Nódulos
subcutáneos
y
musculares
blandos
dolorosos, generalmente asociados a la neurocisticercosis.

y

no

• Afectación oftálmica: generalmente única y unilateral. Si la larva
muere, puede producir importante reacción inflamatoria y provocar
importante reacción uveal, desprendimiento de retina y ceguera.


Diagnóstico
Imagen: TC cerebral o RNM en paciente procedente de área endémica
con inicio de sintomatología neurológica descrita. Inmunodiagnóstico
con Inmunoblot posee mayor sensibilidad y especificidad que el
diagnóstico por EIA.
INTEGRANTES
Arce, Lorena M.
 Onieva, Rocio
 Pavlik, Elisabet
 Ramírez, Oscar R.


GRACIAS POR SU ATENCION!!!!

Parasitosis intestinales

  • 1.
    PARASITOSIS INTESTINALES Diagnostico por Imagen2do año Profesor: Enrique Gomez Sierra
  • 2.
     Las parasitosis intestinalesconstituyen un importantísimo e ineludible problema de orden sanitario y social. La frecuencia con que se manifiestan estos cuadros patológicos es sumamente variable, aún dentro de un mismo país o región; pues depende, en particular, de la zona que se tome en consideración. Dos razones son las determinantes: por un lado, las diferentes condiciones climáticas requeridas para cumplir el ciclo evolutivo de cada especie; y por otro, las distintas circunstancias económicas, sociales, sanitarias y culturales, que específicamente, gravitan en cada área geográfica. En la República Argentina, la mitad aproximadamente, de la población infantil del interior del país, tiene poliparasitismo; y en general se encuentran mucho más parasitados los niños que habitan en regiones rurales y periurbanas que los que viven en zonas bien urbanizadas. Las parasitosis son más frecuentes en el niño que ha cumplido cuatro o más años de edad, que en el adulto. Pero en el período que va desde que nace hasta los tres o cuatro años, sus índices de infestación parasitaria, habitualmente, son menores en el adulto. No obstante en los lactantes también puede registrarse un significativo índice de infestación parasitaria.
  • 3.
    ACCIÓN PATÓGENA DELOS PARÁSITOS       La acción patógena que los parásitos ejercen en el ser humano, es muy variable; cada caso depende, ya de la especie del parásito, del número de ellos, de su virulencia, de las asociaciones parasitarias, etc, o ya de la constitución individual del huésped, de sus condiciones de resistencia y receptividad, de su edad, etc. Cuando estos organismos encuentran un medio propicio para su desarrollo, se origina una parasitosis; la que puede variar, desde una simple tolerancia al parásito (portadores sanos), hasta aquellos casos en que se producen verdaderos estragos. La acción patógena que los parásitos ejercen sobre el organismo puede ser de diversos tipos: Acción expoliatriz: los parásitos se alimentan de sus huéspedes, sustrayéndoles materias nutritivas indispensables para su desarrollo. Acción tóxica: es ejercida a través de sus toxinas y productos de desamilización, produciendo un efecto destructor sobre el huésped. Acción traumática: se manifiesta a través de las lesiones que los parásitos ocasionan en el organismo. Acción mecánica: puede ser por obstáculo, ya que se introducen en el colédoco y dan origen a cuadros de obstrucción biliar. Acción irritativa e inflamatoria: es producida por la presencia misma de los parásitos o de sus toxinas y productos de secreción.
  • 4.
    TIPOS DE PARÁSITOS Protozoos  Helmintos 1. 2. Nemathelmintos o nemátodos o gusanos cilíndricos. Plathelmintos o cestodos o gusanos planos.
  • 5.
    •PROTOZOOSIS: GIARDIASIS (GIARDIA LAMBLIA)  Etiopatogenia Esla parasitación más común en el mundo, sobre todo en climas templados, especialmente en niños de guarderías y orfanatos, alcanzando la máxima prevalencia entre los 2 y los 6 años de edad. El protozoo giardia lamblia se presenta en dos formas distintas, trofozoitos o formas vegetativas o activas que tienen aspecto de media pera y un tamaño de 10 a 20 μ de largo por 6 a 10 μ de ancho; y quistes que miden de 10 a 12 μ de largo por 8 μ de ancho. Los trofozoitos viven en las criptas glandulares y submucosa de duodeno y yeyuno proximal, mientras que los quistes se forman en intestino delgado y se excretan por las heces. Los quistes eliminados por las heces contaminan agua, alimentos y manos, llegando por vía oral al estómago dónde se destruye la cubierta del quiste, liberándose los trofozoitos que se localizan en la mucosa del intestino delgado proximal produciendo la enfermedad y dando lugar a la eliminación de nuevos quistes por las heces. Tras un período de incubación de unos 5 días se inicia el período clínico, existiendo tres posibles evoluciones: portador asintomático, gastroenteritis auto limitada o cuadro crónico de mala absorción o urticaria. Muy frecuente en niños de zonas endémicas y adultos que viajan a este tipo de lugares.
  • 6.
     Clínica La sintomatología puedeser muy variada: a) Asintomático: más frecuente en niños de áreas endémicas; b) Giardiasis aguda: diarrea acuosa que puede cambiar sus características a esteatorreicas, deposiciones muy fétidas, distensión abdominal con dolor y pérdida de peso; y c) Giardiasis crónica: sintomatología subaguda y asocia signos de malabsorción, desnutrición y anemia.  Diagnóstico Determinación de quistes en materia fecal o de trofozoítos en el cuadro agudo con deposiciones acuosas. Es importante recoger muestras seriadas en días alternos, pues la eliminación es irregular y aumenta la rentabilidad diagnóstica. En el caso de pacientes que presentan sintomatología persistente y estudio de heces negativo se recomienda realización de ELISA en heces.  Tratamiento Metronidazol, 500 mg/8 h/5-7 días (niños: 15 mg/kg/dia). Alternativas: tinidazol (2 g a dosis única); mepacrina (100 mg/8 h/7 días), albendazol (400 mg/día/5días) y nitazoxamida, 500 mg/12 h/3 días. En algunos casos de cepas resistentes pueden darse dos fármacos combinados. Embarazadas: paramomicina de 25-35 mg/kg/día en tres dosis/7 días.
  • 7.
    AMEBIASIS (ENTAMOEBA HISTOLYTICAO ENTAMOEBA DISPAR)  Etiopatogenia Constituye la tercera causa mundial de muerte por enfermedad parasitaria. La infección se produce al ingerir quistes del parásito, que miden 10 a 18 μ y contienen cuatro núcleos. Los quistes son resistentes a las bajas temperaturas, a la cloración de las aguas y a los ácidos gástricos y enzimas digestivas, de forma que tras la ingesta llegan al intestino delgado dónde cada quiste da lugar a ocho trofozoitos, con un diámetro medio de 25 μ y dotados de un solo núcleo. En el proceso de invasión de la mucosa y submucosa intestinal, producen ulceraciones responsables de parte de la sintomatología de la amebiasis, así como la posibilidad de diseminación a distancia y afectación de otros órganos diana (absceso hepático).
  • 8.
     Clínica Muy variada, desdeformas asintomáticas hasta cuadros fulminantes: a. Amebiasis asintomática: representa el 90% del total. b. Amebiasis intestinal invasora aguda o colitis amebiana disentérica: gran número de deposiciones con contenido mucoso y hemático, tenesmo franco, con volumen de la deposición muy abundante en un principio y casi inexistente posteriormente, dolor abdominal importante, tipo cólico. En casos de pacientes desnutridos o inmunodeprimidos pueden presentarse casos de colitis amebiana fulminante, perforación y formación de amebomas con cuadros de obstrucción intestinal asociados. c. Amebiasis intestinal invasora crónica o colitis amebiana no disentérica: dolor abdominal tipo cólico con cambio del ritmo intestinal, intercalando periodos de estreñimiento con deposiciones diarreicas, tenesmo leve, sensación de plenitud posprandial, náuseas, distensión abdominal, meteorismo y borborigmos.  Diagnóstico Mediante visualización de quistes en materia fecal o de trofozoítos en cuadro agudo con deposiciones acuosas. Para diferenciar E. histolytica, ameba patógena, de E. dispar, ameba no patógena que no precisa tratamiento, es necesario una PCR-RT, prueba que solo puede realizarse en algunos en centros especializados.
  • 9.
     Tratamiento El tratamiento parala infección amebiana intestinal asintomática en las regiones no endémicas, se basa en los medicamentos que tienen acción amebicida en el lumen del intestino, como el furoato de diloxanida, el iodoquinol, la paramomicina. En la infección moderada o severa y en la infección extraintestinal se utiliza el metronidazol (o tinidazol) más un amebicida luminal. En el tratamiento del absceso hepático amebiano se utiliza el metronidazol (krodex f) y en casos raros en que falla esta terapia se adiciona cloroquina al tratamiento.  1. 2. 3. Profilaxis Como medidas preventivas, destacan: Tratamiento de aguas con cloro y sistemas de filtrado para la eliminación correcta de aguas residuales. Higiene personal y alimenticia: lavarse las manos antes de comer, cocinar, etc. Las prácticas sexuales anales, deben retrasarse hasta una completa recuperación.
  • 10.
    CRIPTOSPORIDIASIS (CRYPTOSPORIDIUM)  Etiopatogenia Son coccidios protozoarioscon distribución universal que pueden producir infección en animales y humanos. Se produce por ingesta de oocitos procedentes de alimentos y aguas contaminados (piscinas comunitarias, parques acuáticos, aguas de lagos y pantanos…) o por vía fecal-oral (frecuente en guarderías). Tras la ingesta de oocitos en alimentos o aguas contaminados, se liberan esporozoítos con capacidad de unirse a los bordes en cepillo de las células epiteliales intestinales, en donde pueden reproducirse asexual o sexualmente (esta última mediante formación de micro y macro-gametos, su unión y la formación de nuevos oocitos) para ser eliminados posteriormente junto a la materia fecal y perpetuar la posibilidad de infección.
  • 11.
     Clínica Muy variada. a) Asintomática; b)Forma intestinal: cuadro de deposiciones diarreicas acuosas con dolor abdominal, fiebre, náuseas, vómitos y signos de deshidratación y pérdida de peso, autolimitado y frecuente en niños en epidemias relacionadas con guarderías o piscinas. Puede ser más prolongado en pacientes con inmunodepresión; c) Forma extraintestinal: en inmunodeprimidos (SIDA) con afectación de sistema respiratorio, hepatitis, artritis reactivas y afectación ocular.  Diagnóstico Mediante visualización de oocitos en materia fecal. También se utiliza frecuentemente técnicas de EIA en muestra fecal con alta sensibilidad y especificidad. Conteo de linfocitos T CD4+ Presentación clínica > 200/mm3 Enfermedad asintomática < 100/mm3 Enfermedad crónica < 50/mm3 Enfermedad fulminante
  • 12.
     Tratamiento y prevención Medidasde soporte: reposición de líquidos y electrolitos y, en casos graves, fluidoterapia intravenosa y/o terapias nutricionales. En pacientes inmunodeprimidos se asocia tratamiento antibiótico. En pacientes con SIDA, la terapia antirretroviral consigue mejoría en el estatus inmune y acortar la sintomatología. Es fundamental incrementar las medidas de higiene para evitar la transmisión fecal-oral y limitar el uso de piscinas en pacientes con diarrea. El tratamiento específico no elimina la infección, pero reduce la gravedad del cuadro. Nitazoxamida, 500 mg/12 h/3 días (niños < 4 anos, mitad de dosis). Paramomicina, 500 mg/6 h/14 días. Niños: 7,5 mg/kg/día. Alternativas: en los casos crónicos rebeldes al tratamiento son importantes las medidas de rehidratación y tratamiento sintomático con antiperistálticos y análogos de la somatostatina (octreotido, 100-500 mg/8 h, s.c.). Como la infección por Cryptosporydium se da exclusivamente por la ingesta de ooquistes, las medidas de control apuntan a reducir o prevenir la transmisión de ooquistes. Los ooquistes son muy resistentes a una gama de presiones ambientales y a la mayoría de desinfectantes y antisépticos. La filtración de agua no remueve todos los quistes de Cryptosporidium, por lo que lo ideal es que las plantas de tratamiento de agua realicen una revisión microscópica de rutina. Las personas inmunosuprimidas deben evitar tener contacto con agua no potable (lagos y arroyos) y animales jóvenes. En los hospitales y centros de salud, los pacientes infectados deben de evitar tener contacto con las fuentes de infección y además aislarse de los demás pacientes. Para prevenir una posible infección por agua de dudosa potabilidad, lo recomendable es hervir el agua antes de su consumo.
  • 13.
    •HELMINTIASIS 1.NEMÁTODOS OXIURIASIS (ENTEROBIUS VERMICULARIS)  Etiopatogenia Afectaal 40-50% de los niños en edad escolar. La ingestión de huevos fecundados, libera larvas que maduran en el duodeno, localizándose después en la región ileocecal. Desde aquí las hembras progresan, generalmente por las noches, hasta el recto y el ano para realizar la puesta de huevos, los cuales mediante una secreción especial se adhieren a las márgenes del ano y piel circundante. Con el rascado se establecen bajo las uñas y se perpetúa la autoinfección por transmisión fecal-oral. Estos huevos localizados en la mucosa anal presentan una gran resistencia a la desecación; razón por la cual, pueden conservar por largo tiempo su capacidad infectante.
  • 14.
      Clínica Mucho más habitualen niños que en adultos, frecuentemente asintomática. Síntomas por acción mecánica (prurito o sensación de cuerpo extraño), invasión genital (vulvovaginitis), despertares nocturnos, sobre infección secundaria a excoriaciones por rascado, dolor abdominal que en ocasiones puede ser recurrente, localizarse en FID y simular apendicitis aguda. No está demostrada su relación con síntomas que tradicionalmente se relacionan con oxiuriasis como bruxismo, enuresis nocturna o prurito nasal. Diagnóstico El examen parasitológico de heces solo es positivo en un 10-15% de los casos en los que se identifican los huevos del parasito o gusanos adultos. Mejores resultados tiene el examen de cintas adherentes transparentes después de su aplicación en los márgenes del ano (Test de Graham). En caso de exámenes repetidamente negativos y alta sospecha de la infección, realizar tacto rectal para la obtención de muestra fecal.
  • 15.
     Tratamiento Mebendazol (100 mga dosis única, repetida a los 15 días). En algunos casos es necesario continuar una dosis mensual durante varios meses. Alternativas: albendazol, 400 mg en dosis única (niños < 2 años, 100 mg); pamoato de pyrantel, 10 mg/kg; ivermectina, 200 μg/kg.  Profilaxis Medidas higiénicas básicas: lavarse las manos después de la defecación. Se recomienda dar el tratamiento a toda la familia para interrumpir la transmisión.
  • 16.
    TRICOCEFALOSIS (TRICHURIS TRICHIURA)  Etiopatogenia Geohelmintiasisproducida por la ingesta de huevos embrionados procedente de alimentos, tierra (típico en niños) o aguas contaminadas. Las larvas maduran en ciego y colon ascendente, donde permanecen enclavados a la mucosa, produciendo lesión mecánica y traumática con inflamación local, y desde donde vuelvan a producir nuevos huevos fértiles que son eliminados por materia fecal.  Clínica Depende del grado de parasitación: desde asintomática, pasando por dolor cólico y deposiciones diarreicas ocasionales, hasta cuadros disenteriformes con deposiciones mucosanguinolentas (en pacientes inmunodeprimidos) y prolapso rectal.
  • 17.
     Diagnóstico Identificación de huevosen materia fecal. En casos graves, plantear el diagnóstico diferencial con amebiasis, disentería bacilar y colitis ulcerosa.  Tratamiento Albendazol (400 mg a dosis única). El tratamiento debe repetirse o continuarse más días en caso de cargas parasitarias importantes. Alternativas: mebendazol (100 mg/12 h/3 días o 500 mg a dosis única). Alternativas: ivermectina (12 mg a dosis única).  Prevención Extremar medidas de higiene personal, adecuada eliminación de excretas, utilización de agua potable y correcto lavado de alimentos. Vigilancia de los juegos con arena de niños en parques, lavar manos.
  • 18.
    ASCARIASIS (ASCARIS LUMBRICOIDES)  Etiopatogenia Esla helmintiasis más frecuente y con mayor distribución a nivel mundial. Tras ingestión de material contaminado, las larvas eclosionan en el intestino delgado, atraviesan la pared intestinal, se incorporan al sistema portal y llegan nivel pulmonar, donde penetran en los alveolos y ascienden hasta vías respiratorias altas que por la tos y deglución, llegan de nuevo al intestino delgado, donde se transforman en adultos, producen nuevos huevos, que se eliminan por material fecal.
  • 19.
     Clínica • Digestiva: dolorabdominal difuso (por irritación mecánica) y menos frecuentemente meteorismo, vómitos y diarrea. • Respiratorio: desde sintomatología inespecífica hasta síndrome de Löeffler (cuadro respiratorio agudo con fiebre de varios días, tos y expectoración abundante y signos de condensación pulmonar transitoria, consecuencia del paso pulmonar de las larvas y una respuesta de hipersensibilidad asociada). • Otras: anorexia, malnutrición, obstrucción intestinal, absceso hepático.  Diagnóstico Hallazgo del parásito o sus huevos en materia fecal o de las larvas en esputo o material gástrico si coincide con fase pulmonar.  Tratamiento Mebendazol (100 mg/12 h/3 días o 500 mg a dosis única). Alternativas: pamoato de pyrantel, 10 mg/kg (máximo 1 g), dosis única; albendazol, 400 mg, dosis única (niños entre 2-5 anos: 200 mg); piperazina, 75 mg/kg (máximo 3,5 g en adultos o 2,5 g en niños entre 2-12 anos). La ivermectina también es eficaz. (200 μg/kg dosis única).  Indicaciones quirúrgicas Solo en casos de complicaciones que sobrevienen por la posibilidad de migración que tienen los ascaris adultos (apendicitis, obstrucción del colédoco, o del conducto de Wirsung, etc.) o por infecciones masivas en niños (obstrucción intestinal, vólvulo, etc.).
  • 20.
    ANQUILOSTOMIASIS O UNCINARIASIS (ANEYLOSTOMADUODENALE Y NECATOR)  Etiopatogenia Los huevos de estos dos helmintos se eliminan por materia fecal y eclosionan en un terreno favorecedor dando lugar a un tipo de larva que precisa una nueva modificación para obtener capacidad infectante mediante penetración por la piel (en A. duodenale también puede provocar infección por ingestión vía oral). Una vez atravesada la piel, se dirigen al sistema venoso o linfático para llegar a sistema cardiaco derecho y circulación pulmonar, penetrar en los alveolos, madurar allí y ascender por vías respiratorias altas para ser deglutidas y alcanzar duodeno y yeyuno, donde se fijan y comienzan a producir nuevos huevos fecundados. Al fijarse en el intestino delgado, los gusanos adultos causan una lesión mecánica que provoca pérdida sanguínea progresiva y crónica.
  • 21.
     Clínica • Piel: “síndrome de Larva Migrans Cutánea”: dermatitis pruriginosa, transitoria yrecurrente en pies y zonas interdigitales, donde penetran y se desplazan hasta alcanzar el sistema circulatorio. • Respiratoria: desde síntomas inespecíficos a síndrome de Löeffler (ver ascariosis). • Digestiva: dolor epigástrico, náuseas, pirosis y diarrea ocasionalmente. • Síndrome anémico.  Diagnóstico Hallazgo de huevos del parásito en materia fecal. Clínico: área endémica síntomas cutáneos y pulmonares + anemia + contacto con tierra.  Tratamiento Mebendazol (100 mg/12 h/3 días; o 500 mg dosis única). Albendazol (400 mg dosis única). Pamoato de pyrantel (10 mg/kg/día/3 días). En embarazadas: no utilizar benzimidazoles (teratogenicos) hasta después del parto. Corrección de la anemia con sulfato ferroso.
  • 23.
    ESTRONGILOSIS (STRONGYLOIDES STERCORALIS)  Etiopatogenia Estageohelmintiasis presenta un ciclo vital con distintas posibilidades: a. Ciclo directo: . la larva, que se encuentra en el suelo, se modifica para poder penetrar a través de la piel al sistema circulatorio, donde llega a sistema cardiaco derecho y circulación pulmonar, asciende por las vías respiratorias hasta ser deglutida y dirigirse a la mucosa del ID. Allí se transforma en hembra infectante, produce nuevos huevos que eclosionan y se dirigen a la luz intestinal, desde donde son eliminados al exterior. b. Ciclo indirecto: incluye una o varias generaciones de larvas en vida libre (sin afectación humana), hasta que se produce la modificación que hace a la larva infectante para el hombre. c. Ciclo de autoinfección: la modificación larvaria se produce en la luz intestinal en lugar del exterior y posteriormente penetra en el sistema circulatorio y realiza un recorrido similar al del ciclo directo. Es lo que se denomina síndrome de hiperinfección por S. stercoralis, y explica que pueda existir una parasitosis persistente sin necesidad de reinfecciones externas, así como la afectación de otros órganos: hígado, pulmón, SNC, sistema ganglionar.
  • 25.
     Clínica En general dependedel estado inmunitario del paciente. • Piel: “síndrome de Larva Currens”: dermatitis pruriginosa por el paso tanscutáneo de la larva y el recorrido realizado hasta llegar a circulación sistémica. • Respiratorio: suele provocar sintomatología menor como tos y expectoración, pero también se han descrito casos de neumonitis y síndrome de Löeffler. • Digestiva: la intensidad de la sintomatología está en relación con el grado de parasitosis: dolor epigástrico, vómitos, anorexia, períodos de diarrea que se alternan con estreñimiento. • Síndrome de hiperinfestación: casi exclusivo del paciente inmunocomprometido. Los síntomas anteriormente señalados se expresan con mayor severidad.  Diagnóstico Eosinofilia importante, más evidente si la extracción coincide con el paso pulmonar del parásito. La visualización del parásito en material fecal es diagnóstica pero difícil por la irregularidad en la eliminación, al encontrarse a nivel de mucosa- submucosa intestinal. Necesita microbiólogo experto. Serología mediante EIA, sensibilidad > 90% pero reactividad cruzada con filarias y otros nematodos.
  • 27.
     Diagnóstico Eosinofilia importante, másevidente si la extracción coincide con el paso pulmonar del parásito. La visualización del parásito en material fecal es diagnóstica pero difícil por la irregularidad en la eliminación, al encontrarse a nivel de mucosa- submucosa intestinal. Necesita microbiólogo experto. Serología mediante EIA, sensibilidad > 90% pero reactividad cruzada con filarias y otros nematodos.  Tratamiento Ivermectina: 200 μg/kg/2 días. Alternativas: albendazol: 400/12 h/3 días (repetir una segunda tanda de medicación a las 2 semanas de la primera). En el síndrome de hiperinfestación: alargar el tratamiento a 7-14 días.
  • 29.
    HIMENOLEPIASIS (HYMENOLEPIS NANA)  Etiopatogenia Elhombre puede ser tanto huésped intermedio como definitivo para la parasitación por este cestodo de pequeño tamaño. Los huevos son ya infectantes al salir por la materia fecal y son ingeridos mediante prácticas de escasa higiene. Los huevos alcanzan el duodeno, donde se adhieren a la mucosa intestinal y penetran en la mucosa, obteniendo la forma de cisticercoide. Posteriormente podrá pasar de nuevo a la luz intestinal y formar el parásito adulto con capacidad productora de huevos.
  • 30.
     Clínica Síntomas digestivos, generalmenteleves, como dolor abdominal, meteorismo, diarrea y bajo peso si la infección se cronifica.  Diagnóstico Eosinofilia si está circulante, lo habitual es que curse sin eosinofilia. Visualización de huevos en materia fecal. El número de ellos encontrado está directamente relacionado con el grado de parasitación.  Tratamiento Praziquantel, 25 mg/kg en dosis única (niños: 10-15 mg/kg). Se aconseja repetir la dosis una semana después. Puede requerir incluso dosis posteriores. Alternativa: niclosamida, 2 g seguidos de 1 g/día/6 días (niños: 40 mg/kg seguidos de 500 mg/día/6 días).
  • 32.
    TENIASIS (TAENIA SAGINATAY SOLIUM)  Etiopatogenia El ser humano puede actuar con este parásito como huésped intermediario o definitivo. El paciente parasitado elimina proglótides y huevos en la materia fecal, que son ingeridos por animales (cerdo en T. solium y ganado vacuno en T. saginata), en los que se forman cisticercos en músculo estriado que son posteriormente ingeridos por el hombre mediante carnes poco o mal cocinadas. Una vez en el intestino delgado, el parásito se adhiere a la pared, crece y comienza a producir de nuevo proglótides y huevos. La mayoría son infecciones únicas, producidas por una tenia solamente.
  • 33.
     Clínica Es escasa, principalmentede tipo irritativa mecánica, e inespecífica: meteorismo, náuseas, dolor abdominal, etc. Puede ocurrir la salida de proglótides a nivel anal con molestia y prurito perineal, así como la observación del deslizamiento de las mismas por los MMII dejando un líquido lechoso muy pruriginoso y muy rico en huevos.  Diagnóstico Mediante la observación por parte del paciente de salida de proglótides en heces. Visualización de proglótides en materia fecal. Determinación de coproantígenos por EIA (aunque presenta reactividad cruzada con otros cestodos), útil para la comprobación de la efectividad del tratamiento.  Tratamiento Praziquantel: 10 mg/kg en dosis única. Alternativa: niclosamida, 2 g en dosis única (niños > 34 kg de peso: 1,5 g; entre 11-34 kg: 1 g).
  • 35.
    CISTICERCOSIS (TAENIA SOLIUM)  Etiopatogenia Esla afectación tisular de la larva de la T. solium. El hombre ingiere huevos de este subtipo de tenia y al llegar a ID, penetran la pared hasta alcanzar el sistema circulatorio, el pulmón y posteriormente el corazón izquierdo desde donde son distribuidos por la circulación arterial a distintos lugares del organismo (más frecuentemente SNC, tejido celular subcutáneo, músculo y ojo), en los que forma los denominados quistes o cisticercos, que pueden permanecer durante años y que, al morir, producen una importante reacción inmunológica e inflamatoria que provoca gran parte de la sintomatología.
  • 36.
     Clínica • Neurocisticercosis: epilepsiade aparición tardía, cefalea y signos de HTIC, síndrome psicótico, meningitis aséptica, síndrome de los pares craneales, síndrome medular. • Nódulos subcutáneos y musculares blandos dolorosos, generalmente asociados a la neurocisticercosis. y no • Afectación oftálmica: generalmente única y unilateral. Si la larva muere, puede producir importante reacción inflamatoria y provocar importante reacción uveal, desprendimiento de retina y ceguera.  Diagnóstico Imagen: TC cerebral o RNM en paciente procedente de área endémica con inicio de sintomatología neurológica descrita. Inmunodiagnóstico con Inmunoblot posee mayor sensibilidad y especificidad que el diagnóstico por EIA.
  • 39.
    INTEGRANTES Arce, Lorena M. Onieva, Rocio  Pavlik, Elisabet  Ramírez, Oscar R.  GRACIAS POR SU ATENCION!!!!