Patrones de enfermedad pulmonar
• Una enfermedad puede consolidar
o colapsar un segmento o un
lóbulo.
El pulmón reacciona a la enfermedad
de un número limitado de maneras.
• El intersticio puede engrosarse o
adelgazarse.
• Los alvéolos pueden llenarse de
líquido o de más aire del normal
• Estos cambios pueden ser focales
o difusos.
• Agudos o crónicos.
• Esto conduce a ciertas combinaciones posibles:
• (intersticio engrosado/adelgazado) (alvéolos líquido/aire) (localización
focal/difusa) (tiempo agudo/crónico).
• Conceptualmente, el pulmón tiene dos componentes, las estructuras de soporte (p.
ej. arterias, venas, bronquios), conocidas como intersticio, y los sacos aéreos
conocidos
• como alveolos.
• Los sacos aéreos forman ácinos, y varios ácinos forman un lóbulo pulmonar
secundario
• Los alvéolos normales llenos de aire (sacos aéreos) son demasiado pequeños para
poder ser vistos, pero en conjunto aparecen uniformemente radiolucentes.
• La mayoría de las enfermedades pulmonares producen radiodensidad pulmonar
aumentada.
• Si el intersticio se engruesa, se puede ver periféricamente en la radiografía o la TC.
• Si el engrosamiento del intersticio es generalizado, el patrón es lineal (reticular).
• Si el engrosamiento es
discreto, forma múltiples
nódulos
• Si los alvéolos se llenan de
líquido, las áreas llenas de
líquido se vuelven
radiodensas, y el intersticio
queda rodeado por el pulmón
blanco y no es visible
En la enfermedad pulmonar
intersticial, si los tejidos
peribroncovasculares se
engruesan, los vasos o trama
aparecen más prominentes. Al
mismo tiempo, los alvéolos aún
están mas aereados. El aspecto
básico es el de un pulmón
aireado pero con demasiada
trama.
la mayoría de las enfermedades
pulmonares intersticiales difusas
son crónicas y generalmente se
deben a fibrosis. La enfermedad
pulmonar intersticial difusa
aguda generalmente se debe a
edema pulmonar y a neumonía
viral/por Mycoplasma.
En general, la enfermedad pulmonar intersticial
aguda y crónica tienen un aspecto similar. Si la
trama está borrosa y no distorsionada la
enfermedad probablemente sea aguda.
Si la trama pulmonar es nítida (bien definida) y
distorsionada (p. ej. ramificación angular,
irregulares, arqueadas), la enfermedad
probablemente sea crónica.
El método más fiable para distinguir agudo de
crónico es ver radiografías previas
La Figura muestra una
enfermedad pulmonar
intersticial difusa.
La trama intersticial está
aumentada, mientras que los
alvéolos están aireados.
Es crónica porque la trama
pulmonar está distorsionada y
nítida.
• En la figura la TC muestra
el intersticio distorsionado
y bien definido y el pulmón
aireado.
• Otra forma de fibrosis es el
«panal de abeja». La fibrosis
forma múltiples quistes
pequeños, a menudo
apilados, justo subyacentes a
la pleura.
• Las Figuras muestran una
radiografía y una TC con
panalización.
la mayoría de las enfermedades pulmonares intersticiales difusas son
crónicas.
La mayoría de las enfermedades alveolares (consolidación del espacio
aéreo), sean focales, multifocales o difusas, son agudas.
En la enfermedad alveolar, el espacio aéreo está lleno de líquido que hace
que el pulmón no aparezca aireado (radiodenso, opaco, consolidado).
El patrón alveolar puede ser relativamente homogéneo (un lóbulo o un
segmento) o parcheado y disperso por todo el pulmón.
• En la Figura hay enfermedad
alveolar. La trama intersticial
normal no es visible en las
áreas de consolidación.
• Este concepto es similar al
signo de la Silueta porque la
densidad agua del pulmón
está en contacto directo con
la densidad agua de los vasos
pulmonares (intersticio).
Las causas más frecuentes de
enfermedad alveolar difusa
aguda (enfermedad del espacio
aéreo) son la neumonía
bacteriana y el edema pulmonar
severo. La causa más frecuente
de consolidación alveolar focal
aguda también es la infección. La
consolidación alveolar subaguda
suele ser una infección
granulomatosa (tuberculosa,
fúngica).
• Ejemplo de enfermedad alveolar
multifocal.
• En las áreas de consolidación las
marcas intersticiales no son
visibles.
• El broncograma aéreo está
ausente con mayor frecuencia en
las áreas de consolidación alveolar
pequeñas.
• La edad de la lesión se valora con
más precisión mediante RX
previas.
• La historia es útil pero menos
fiable.
A B
• La Figura A muestra una
consolidación alveolar focal
en el lóbulo superior
izquierdo y engrosamiento
intersticial difuso en un
paciente con silicosis.
• La Figura B muestra
perfectamente los dos
patrones. Observe que el
intersticio está bien definido y
distorsionado.
Una forma importante de
consolidación alveolar focal es
la masa o nódulo (la famosa
«mancha en el pulmón»).
Si un área de consolidación
muy focal tiene bordes bien
definidos y mide más de 3 cm,
se le ha de denominar «masa».
Si mide menos de 3 cm, se le
llama «nódulo».
El centro de la cavidad se hace
radiolucente.
Cuando cualquier lesión alveolar se
convierte en necrótica o caseosa, el
material de licuefacción generalmente
se expectora y se reemplaza con aire
• la cavidad quedan aire y líquido.
Cuando el paciente está en
posición erecta, el líquido se
deposita en el fondo y el aire sube
a lo más alto.
• Este nivel hidroaéreo es visible
sólo cuando el haz de rayos X es
paralelo a la interfase aire-líquido.
• El nivel hidroaéreo no se ve en las
radiografías en supino porque el
haz de rayos X es perpendicular al
nivel hidroaéreo
En las infecciones
granulomatosas, si
el material caseoso
no se expulsa,
puede curarse y
organizarse en un
granuloma.
Los granulomas
calcifican con
frecuencia.
La Figura muestra
un nódulo en el
campo pulmonar
medio izquierdo.
Es más denso que
la costilla; por tanto
es de densidad
metal lo más
probable es que se
trate de cicatriz
curada.
Si el pulmón está hiperinsuflado se hace
hiperlucente, ya que una cantidad fija de
tejido se expande en un volumen mayor.
Si el intersticio se el pulmón se hace más
hiperlucente porque hay menos tejido
para absorber la radiación.
Las bulas o la escasa trama reemplazan a
la ramificación vascular normal.
• En la proyección frontal, los
cambios en el diafragma
pueden indicar
hiperinsuflación.
• En la Figura los diafragmas
están aplanados y descendidos.
• Están más bajos que el arco
posterior de la 10ª costilla.
• Los diafragmas normalmente
están a la altura del arco
posterior de las costillas 9.a-
10.a
• La hiperinsuflación también se
ve en la proyección lateral.
• En la el esternón está arqueado.
• El “espacio aéreo retroesternal”
(R), el área entre la aorta
ascendente y el esternón, está
aumentado.
• El diámetro AP está aumentado
(p. ej. tórax enbarril).
• Los diafragmas están aplanados
y deprimidos
La combinación de
hiperinsuflación y Bulas indica
enfisema.
Signos radiológicos de
enfermedad pulmonar
intersticial difusa:
1. Las marcas pulmonares son
más visibles.
2. El pulmón aparece aireado.
3. El broncograma aéreo es
visible casi nunca.
4. El signo de la silueta no es
visible.
5. Dos signos de enfermedad
crónica incluyen distorsión,
panalización, márgenes
nítidos sin cambios en el
tiempo
Signos radiográficos de
enfermedad alveolar o
consolidación del
espacio aéreo:
1. Los vasos son menos
visibles en el área
patológica.
2. El pulmón afectado
aparece no aireado.
3. El broncograma
aéreo puede ser
visible.
4. El signo de la silueta
puede ser visible.
Gracias…..

Patrones radiologícos

  • 1.
  • 2.
    • Una enfermedadpuede consolidar o colapsar un segmento o un lóbulo. El pulmón reacciona a la enfermedad de un número limitado de maneras. • El intersticio puede engrosarse o adelgazarse. • Los alvéolos pueden llenarse de líquido o de más aire del normal • Estos cambios pueden ser focales o difusos. • Agudos o crónicos.
  • 3.
    • Esto conducea ciertas combinaciones posibles: • (intersticio engrosado/adelgazado) (alvéolos líquido/aire) (localización focal/difusa) (tiempo agudo/crónico). • Conceptualmente, el pulmón tiene dos componentes, las estructuras de soporte (p. ej. arterias, venas, bronquios), conocidas como intersticio, y los sacos aéreos conocidos • como alveolos. • Los sacos aéreos forman ácinos, y varios ácinos forman un lóbulo pulmonar secundario
  • 4.
    • Los alvéolosnormales llenos de aire (sacos aéreos) son demasiado pequeños para poder ser vistos, pero en conjunto aparecen uniformemente radiolucentes. • La mayoría de las enfermedades pulmonares producen radiodensidad pulmonar aumentada. • Si el intersticio se engruesa, se puede ver periféricamente en la radiografía o la TC. • Si el engrosamiento del intersticio es generalizado, el patrón es lineal (reticular).
  • 5.
    • Si elengrosamiento es discreto, forma múltiples nódulos
  • 6.
    • Si losalvéolos se llenan de líquido, las áreas llenas de líquido se vuelven radiodensas, y el intersticio queda rodeado por el pulmón blanco y no es visible
  • 9.
    En la enfermedadpulmonar intersticial, si los tejidos peribroncovasculares se engruesan, los vasos o trama aparecen más prominentes. Al mismo tiempo, los alvéolos aún están mas aereados. El aspecto básico es el de un pulmón aireado pero con demasiada trama. la mayoría de las enfermedades pulmonares intersticiales difusas son crónicas y generalmente se deben a fibrosis. La enfermedad pulmonar intersticial difusa aguda generalmente se debe a edema pulmonar y a neumonía viral/por Mycoplasma.
  • 10.
    En general, laenfermedad pulmonar intersticial aguda y crónica tienen un aspecto similar. Si la trama está borrosa y no distorsionada la enfermedad probablemente sea aguda. Si la trama pulmonar es nítida (bien definida) y distorsionada (p. ej. ramificación angular, irregulares, arqueadas), la enfermedad probablemente sea crónica. El método más fiable para distinguir agudo de crónico es ver radiografías previas
  • 11.
    La Figura muestrauna enfermedad pulmonar intersticial difusa. La trama intersticial está aumentada, mientras que los alvéolos están aireados. Es crónica porque la trama pulmonar está distorsionada y nítida.
  • 12.
    • En lafigura la TC muestra el intersticio distorsionado y bien definido y el pulmón aireado.
  • 13.
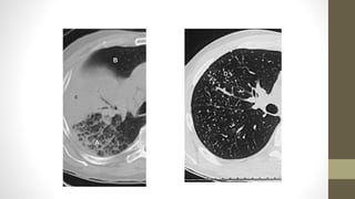
    • Otra formade fibrosis es el «panal de abeja». La fibrosis forma múltiples quistes pequeños, a menudo apilados, justo subyacentes a la pleura. • Las Figuras muestran una radiografía y una TC con panalización.
  • 14.
    la mayoría delas enfermedades pulmonares intersticiales difusas son crónicas. La mayoría de las enfermedades alveolares (consolidación del espacio aéreo), sean focales, multifocales o difusas, son agudas. En la enfermedad alveolar, el espacio aéreo está lleno de líquido que hace que el pulmón no aparezca aireado (radiodenso, opaco, consolidado). El patrón alveolar puede ser relativamente homogéneo (un lóbulo o un segmento) o parcheado y disperso por todo el pulmón.
  • 15.
    • En laFigura hay enfermedad alveolar. La trama intersticial normal no es visible en las áreas de consolidación. • Este concepto es similar al signo de la Silueta porque la densidad agua del pulmón está en contacto directo con la densidad agua de los vasos pulmonares (intersticio).
  • 16.
    Las causas másfrecuentes de enfermedad alveolar difusa aguda (enfermedad del espacio aéreo) son la neumonía bacteriana y el edema pulmonar severo. La causa más frecuente de consolidación alveolar focal aguda también es la infección. La consolidación alveolar subaguda suele ser una infección granulomatosa (tuberculosa, fúngica).
  • 17.
    • Ejemplo deenfermedad alveolar multifocal. • En las áreas de consolidación las marcas intersticiales no son visibles. • El broncograma aéreo está ausente con mayor frecuencia en las áreas de consolidación alveolar pequeñas. • La edad de la lesión se valora con más precisión mediante RX previas. • La historia es útil pero menos fiable.
  • 18.
    A B • LaFigura A muestra una consolidación alveolar focal en el lóbulo superior izquierdo y engrosamiento intersticial difuso en un paciente con silicosis. • La Figura B muestra perfectamente los dos patrones. Observe que el intersticio está bien definido y distorsionado.
  • 19.
    Una forma importantede consolidación alveolar focal es la masa o nódulo (la famosa «mancha en el pulmón»). Si un área de consolidación muy focal tiene bordes bien definidos y mide más de 3 cm, se le ha de denominar «masa». Si mide menos de 3 cm, se le llama «nódulo».
  • 20.
    El centro dela cavidad se hace radiolucente. Cuando cualquier lesión alveolar se convierte en necrótica o caseosa, el material de licuefacción generalmente se expectora y se reemplaza con aire
  • 21.
    • la cavidadquedan aire y líquido. Cuando el paciente está en posición erecta, el líquido se deposita en el fondo y el aire sube a lo más alto. • Este nivel hidroaéreo es visible sólo cuando el haz de rayos X es paralelo a la interfase aire-líquido. • El nivel hidroaéreo no se ve en las radiografías en supino porque el haz de rayos X es perpendicular al nivel hidroaéreo
  • 22.
    En las infecciones granulomatosas,si el material caseoso no se expulsa, puede curarse y organizarse en un granuloma. Los granulomas calcifican con frecuencia. La Figura muestra un nódulo en el campo pulmonar medio izquierdo. Es más denso que la costilla; por tanto es de densidad metal lo más probable es que se trate de cicatriz curada.
  • 23.
    Si el pulmónestá hiperinsuflado se hace hiperlucente, ya que una cantidad fija de tejido se expande en un volumen mayor. Si el intersticio se el pulmón se hace más hiperlucente porque hay menos tejido para absorber la radiación. Las bulas o la escasa trama reemplazan a la ramificación vascular normal.
  • 24.
    • En laproyección frontal, los cambios en el diafragma pueden indicar hiperinsuflación. • En la Figura los diafragmas están aplanados y descendidos. • Están más bajos que el arco posterior de la 10ª costilla. • Los diafragmas normalmente están a la altura del arco posterior de las costillas 9.a- 10.a
  • 25.
    • La hiperinsuflacióntambién se ve en la proyección lateral. • En la el esternón está arqueado. • El “espacio aéreo retroesternal” (R), el área entre la aorta ascendente y el esternón, está aumentado. • El diámetro AP está aumentado (p. ej. tórax enbarril). • Los diafragmas están aplanados y deprimidos
  • 26.
    La combinación de hiperinsuflacióny Bulas indica enfisema.
  • 27.
    Signos radiológicos de enfermedadpulmonar intersticial difusa: 1. Las marcas pulmonares son más visibles. 2. El pulmón aparece aireado. 3. El broncograma aéreo es visible casi nunca. 4. El signo de la silueta no es visible. 5. Dos signos de enfermedad crónica incluyen distorsión, panalización, márgenes nítidos sin cambios en el tiempo
  • 28.
    Signos radiográficos de enfermedadalveolar o consolidación del espacio aéreo: 1. Los vasos son menos visibles en el área patológica. 2. El pulmón afectado aparece no aireado. 3. El broncograma aéreo puede ser visible. 4. El signo de la silueta puede ser visible.
  • 29.