Bronquiectasia y patrón vascular
Daniel Fernando Isuhuaylas Aguirre
Bronquiectasia
Daniel Fernando Isuhuaylas Aguirre
Bronquiectasia
• Las bronquiectasias son dilataciones anormales e
irreversibles de los bronquios que se caracterizan
por:
–
–
–
–

Alteración del epitelio ciliar
Inflamación crónica de la pared
Destrucción de los componentes elásticos
Afectación de la capa muscular y de las arterias
bronquiales.

• Pueden acompañarse de fibrosis peribronquial.
Bronquiectasia

Figura 1. Broncografía
Radiografía de tórax
• En pacientes con sospecha clínica de BQ debe realizarse
siempre una radiografía de tórax como parte del examen
inicial.
• Método con escasa sensibilidad que depende de:
– La técnica empleada (tipo de radiología analógica o digital)
– Del observador y de la gravedad de las BQ.

• Aporta imágenes inespecíficas, escasa información sobre la
extensión de la enfermedad y un porcentaje no
despreciable de falsos positivos y negativos.
• En estudios clásicos, comparada con la broncografía, la RxT
tiene:
– Sensibilidad 47 y 73%
– Especificidad 76%
Signos radiológicos
• Opacidades
lineales
paralelas
que
corresponden a bronquios dilatados con la
pared engrosada.
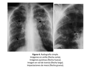
• Dan lugar al signo del “raíl de tranvía” (Figura
2, 3 y 4)
Figura 2. Radiografía simple de tórax: bronquiectasias generalizadas graves.
Opacidades lineales paralelas (flecha hueca).
Imágenes aéreas con pared definida (flecha).
Figura 3. Radiografía simple.
Opacidades lineales paralelas que corresponden a bronquios dilatados con la
pared engrosada.
Signo del “raíl de tranvía” (flechas).
Figura 4. Radiografía simple.
Imágenes en anillo (flecha corta).
Imágenes quísticas (flecha hueca).
Imagen en rail de tranvía (flecha larga).
Impactaciones de moco (flecha gruesa).
Signos radiológicos
• Imágenes aéreas con pared definida, fina o
gruesa, que dan lugar al signo del “anillo de
sello” (el "anillo" es el bronquio dilatado y el
vaso “el sello”) o a imágenes quísticas, con o
sin nivel hidroaéreo. (Figuras 2 y 4)
Figura 2. Radiografía simple de tórax: bronquiectasias generalizadas graves.
Opacidades lineales paralelas (flecha hueca).
Imágenes aéreas con pared definida (flecha).
Figura 4. Radiografía simple.
Imágenes en anillo (flecha corta).
Imágenes quísticas (flecha hueca).
Imagen en rail de tranvía (flecha larga).
Impactaciones de moco (flecha gruesa).
Signos radiológicos
• Opacidades tubulares u ovoides (impactos
mucoides) que corresponden a bronquios
repletos de moco o líquido.
• En algunas ocasiones los bronquios, llenos de
secreciones, pueden visualizarse como
imágenes lineales densas en forma de Y, de V
o en dedo de guante. (Figuras 4 y 5)
Figura 4. Radiografía simple.
Imágenes en anillo (flecha corta).
Imágenes quísticas (flecha hueca).
Imagen en rail de tranvía (flecha larga).
Impactaciones de moco (flecha gruesa).
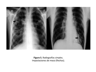
Figura 5. Radiografías simples.
Impactaciones de moco (flechas).
Signos radiológicos
• Pérdida de definición de los vasos pulmonares
y agrupamiento de la trama broncovascular
por fibrosis peribronquial. (Figura 6)
Figura 6. Radiografía simple. Bronquiectasias.
Aumento de la trama broncovascular.
Pérdida de definición de los vasos por fibrosis peribronquial.
Signos radiológicos
• Signos de pérdida de volumen o atelectasias
(Figura 7)
Figura 7. Radiografía simple.
Bronquiectasias con pérdida de volumen del lóbulo superior derecho.
Signos radiológicos
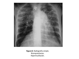
• Hiperinsuflación debida al atrapamiento aéreo
en pacientes con obstrucción funcional (Figura
8)
Figura 8. Radiografía simple.
Bronquiectasias.
Hiperinsuflación.
Signos radiológicos
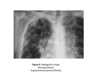
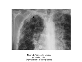
• La afectación pleural es rara, pero infecciones
repetidas que afecten a BQ subpleurales
pueden dar lugar a reacción pleural,
pudiéndose observar áreas focales de
engrosamiento. (Figura 9)
Figura 9. Radiografía simple.
Bronquiectasias.
Engrosamiento pleural (flecha).
Tomografía axial computarizada
• La TAC ha demostrado ser superior a la RxT
convencional para el diagnóstico de BQ así
como para la valoración de su morfología y
extensión.
• Presenta:
– Sensibilidad y especificidad mayor del 90%
Tomografía axial computarizada
• Las BQ son especialmente difíciles de diagnosticar en pacientes que
presentan atelectasias o zonas de consolidación dado que permiten
la visualización de bronquios dilatados que, sin embargo, revierten
posteriormente al resolverse el infiltrado.
• De forma semejante, en el niño, las BQ secundarias a neumonía
pueden desaparecer en algunos casos.
– Pre-BQ:
• Inflamación bronquial persistente
• Sin alteración estructural
• Puede resolverse persistir o progresar

– BQ detectadas:
• Existe dilatación bronquial
• Pueden resolverse
• Retornar al estadio previo, persistir, o progresar

– BQ establecidas
• Irreversibles.
Criterios diagnósticos de
bronquiectasias por TAC
• El signo fundamental es la demostración de la
dilatación bronquial tomando como patrón de
referencia el diámetro de la arteria bronquial
adyacente.
• En condiciones normales los diámetros del
bronquio y del vaso acompañante son
similares.
Signos directos
• Dilatación bronquial:
– Presencia de un diámetro bronquial interno mayor
que el de la arteria bronquial adyacente. (Índice
broncoarterial)
– En el caso de las BQ es, por lo tanto, mayor de 1.

• Cuando el bronquio transcurre perpendicular al
plano de sección, esta dilatación da lugar al
“signo del anillo de sello”:
– El bronquio dilatado forma un anillo y la arteria
acompañante, el sello. (Figura 10)
Figura 10. Índice broncoarterial elevado.
Signo del anillo de sello (flechas).
Tapones mucosos (flecha hueca).
Signos directos
• Pueden verse imágenes aéreas con pared definida o
lesiones quísticas, con o sin nivel hidroaéreo (Figura
11)
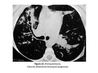
• En el caso de que el bronquio transcurra paralelo al
plano de sección, la dilatación anormal se reconoce por
la falta del progresivo afilamiento bronquial
– Ausencia de reducción del calibre bronquial desde la
división dicotómica. (Figura 12)

• Pueden visualizarse asimismo bronquios dilatados
dando lugar al signo del "raíl de tranvía". (Figura 13)
Figura 11. Bronquiectasias quísticas agrupadas en hilera.
Figura 12. Bronquiectasias.
Falta de afilamiento bronquial progresivo.
Figura 13. Signo de “raíl de tranvía ”
Signos directos
• Visualización de bronquios a menos de 1 cm de
la pleura costal o en contacto con la pleura
mediastínica.
– En condiciones normales no suelen observarse
bronquios a menos de 2 cm de la pleura, ya que sus
paredes son demasiado finas.
– En pacientes con BQ la dilatación de la luz bronquial,
el engrosamiento de su pared y la fibrosis
peribronquial permiten la visualización de bronquios
en la periferia del pulmón (Figuras 9, 11 y 14)
Figura 9. Radiografía simple.
Bronquiectasias.
Engrosamiento pleural (flecha).
Figura 11. Bronquiectasias quísticas agrupadas en hilera.
Figura 14. Bronquiectasias Quísticas agrupadas en racimo.
Visualización de bronquios a menos de 1cm de la pleura costal y en contacto
con la pleura mediastínica.
Signos indirectos
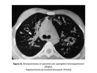
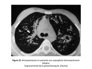
• Engrosamiento de la pared bronquial:
– Mayor de 50% del diámetro de la arteria adyacente.
– Es un hallazgo muy frecuente pero inespecífico ya que puede aparecer
en otras patologías.
– Se debe medir mediante el índice de luz bronquial, que es el cociente
entre el diámetro interno y externo del bronquio (Figura 15).

• Impactos mucoides:
– Imágenes tubulares con densidad de partes blandas que representan
el bronquio dilatado y repleto de moco: “bronquio en positivo”, o con
niveles hidroaéreos.
– Pueden aparecer como opacidades lobuladas, en dedo de guante,
ramificadas (en forma de Y o de V) o redondeadas (cuando el plano de
corte es transversal al impacto mucoso se pueden confundir con una
arteria). (Figura 16 y 17).
Figura 15. Bronquiectasias en paciente con aspergilosis broncopulmonar
alérgica.
Engrosamiento de la pared bronquial. (Flecha)
Figura 16. Impactaciones de moco.
Bronquio en positivo.
Opacidades lobuladas, en dedo de guante, ramificadas (en foprma de Y o de
V) y redondeadas.
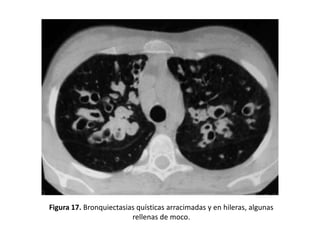
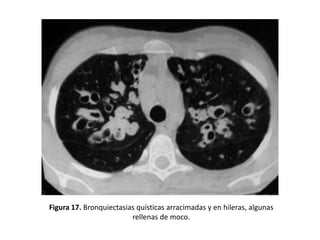
Figura 17. Bronquiectasias quísticas arracimadas y en hileras, algunas
rellenas de moco.
Signos indirectos
• Son también frecuentes los signos relacionados con la afectación de
la vía aérea de pequeño calibre (bronquiolos) como:
– Nódulos en árbol en brote
– Nódulos centrolobulillares
– Bronquiolectasias.

• Pueden traducir zonas de bronquiolitis, lo que puede considerarse
un hallazgo precoz (Figura 18).
– El patrón en mosaico (visible con una TAC realizada en inspiración)
– Las áreas focales de atrapamiento aéreo (en espiración)

• Estudios histológicos de pulmón en pacientes con BQ graves han
demostrado la coexistencia de bronquiolitis obliterante.
Figura 18. Afectación de la vía aérea de pequeño calibre.
Nódulos en árbol en brote.
Nódulos centrolobulillares y bronquiolectasias.
Patrón en mosaico.
Signos indirectos
• Otros hallazgos demostrables mediante un estudio
con TAC y que pueden constituir signos indirectos de
BQ serían: (figuras 19-22).
– Enfisema
– Irregularidad de la pared bronquial
– Atelectasias
– Pérdida de volumen o áreas de consolidación
Figura 19. Bronquiectasias.
Enfisema.
Grandes bullas.
Figura 20. Irregularidad de la pared bronquial.
Figura 21. Bronquiectasias quísticas.
Pérdida de volumen.
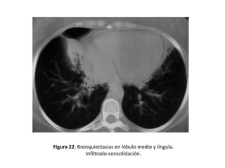
Figura 22. Bronquiectasias en lóbulo medio y língula.
Infiltrado-consolidación.
Clasificación morfológica de las
bronquiectasias
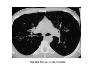
• Cilíndricas:
– Son las más frecuentes.
– Los bronquios están mínimamente dilatados de
manera uniforme, no adelgazan su diámetro al
progresar las generaciones y pueden verse sus
paredes como líneas paralelas en cortes
longitudinales (Figuras 10, 13 y 23).
Figura 10. Índice broncoarterial elevado.
Signo del anillo de sello (flechas).
Tapones mucosos (flecha hueca).
Figura 13. Signo de “raíl de tranvía ”
Figura 23. Bronquiectasias cilíndricas
Clasificación morfológica de las
bronquiectasias
• Varicosas:
– Los bronquios presentan dilataciones irregulares
– Alternando zonas de dilatación con zonas de
constricción localizadas y terminación bulbosa
– Aspecto arrosariado o en “ristra de perlas” cuando
el bronquio afectado transcurre horizontal al
plano de corte (Figura 20 y 24).
Figura 20. Irregularidad de la pared bronquial.
Figura 24. Bronquiectasias varicosas.
Imagen arrosariada o en ristra de perlas.
Clasificación morfológica de las
bronquiectasias
• Quísticas:
– Es la expresión más grave de la enfermedad.
– Los bronquios adquieren una forma sacular o de
quiste.
– Pueden presentar niveles hidroaéreos o estar
agrupadas en racimos o hileras.
– Adoptan la típica imagen de “nido de golondrina”
cuando el moco se acumula dentro de las lesiones y
aparece un nivel hidroaéreo (Figuras 11, 14, 15, 17, 21
y 25).
– Son frecuentes en la aspergilosis broncopulmonar
alérgica (ABPA) y en la fibrosis quística
Clasificación morfológica de las
bronquiectasias
• Los distintos tipos morfológicos se correlacionan
con la severidad de la enfermedad (las varicosas y
quísticas son manifestación de una enfermedad
más avanzada).
• Pacientes con BQ quísticas presentaban con más
frecuencia esputos purulentos, colonización por
Pseudomonas aeruginosa y mayor alteración de
los parámetros espirométricos que los pacientes
con BQ cilíndricas o varicosas.
Figura 11. Bronquiectasias quísticas agrupadas en hilera.
Figura 14. Bronquiectasias Quísticas agrupadas en racimo.
Visualización de bronquios a menos de 1cm de la pleura costal y en contacto
con la pleura mediastínica.
Figura 15. Bronquiectasias en paciente con aspergilosis broncopulmonar
alérgica.
Engrosamiento de la pared bronquial. (Flecha)
Figura 17. Bronquiectasias quísticas arracimadas y en hileras, algunas
rellenas de moco.
Figura 21. Bronquiectasias quísticas.
Pérdida de volumen.
Figura 25. Bronquiectasias quísticas.
Imagen aérea con pared definida (Flecha larga).
Bronquiectasias arracimadas.
Bronquiectasias rellenas de moco.
imagen en nido de golondrina. (Flecha hueca).
Saculaciones (Flecha curva).
Valoración de la extensión de las
bronquiectasias y diagnóstico etiológico
• Según el grado de extensión
– Localizada
• Afectación segmentaria, unilobar o bilobar (en el caso
de dos lóbulos contiguos anatómicamente) y suelen ser
debidas a obstrucción de la vía aérea (extrínseca o
intrínseca), infecciones, secuestro pulmonar, etc. (figura
26).

– Difusas
• Pueden deberse a múltiples causas aunque se han
descrito diferencias en la distribución y morfología de
las BQ según su etiología.
Figura 26. Bronquiectasias localizadas
Valoración de la extensión de las
bronquiectasias y diagnóstico etiológico
• Hallazgos en TAC sin relación directa con las BQ :
– Traqueobroncomegalia (S. de Mounier-Kuhn):
• Dilatación marcada de la tráquea y los bronquios principales
– BQ, fibrosis o enfisema.

• Diagnóstico por diámetros transversal y sagital de la tráquea y los
bronquios (figura 27).

– Defectos del cartílago (S. de Williams-Campbell)
• Cartílagos defectuosos distales a los de tercer orden.
• Se observan BQ quísticas limitadas a las generaciones bronquiales:
– Cuarta, quinta y sexta.

• TAC en espiración se produce:
– Colapso bronquial
– Atrapamiento aéreo distal.
Figura 27.- Traqueobroncomegalia.
Imágenes obtenidas mediante TC helicoidal.
Valoración de la extensión de las
bronquiectasias y diagnóstico etiológico
– Situs inversus (S. de Kartagener)
• Estenosis traqueal, bronquio traqueal, atresia bronquial
o secuestro pulmonar (Figuras 28 y 29).

– Enfisema por déficit de alfa-1 antitripsina.
• BQ asociadas a enfisema panacinar de predominio en
lóbulos inferiores.
Figura 28. Situs inversus.
Bronquiectasias.
Síndrome de Kartagener.
Figura 29. Estenosis traqueal congénita con anillos cartilaginosos completos y
bronquio traqueal.
Imágenes obtenidas mediante TC helicoidal.
Valoración de la extensión de las
bronquiectasias y diagnóstico etiológico
– Síndrome de Swyer-James:
• BQ asociadas a disminución de la vascularización y de la
atenuación pulmonar ipsilateral (Figura 30).

– Obstrucción bronquial:
• Suele dar lugar a BQ localizadas y puede ser:
– Intrínseca (estenosis cicatricial, broncolitiasis, cuerpo extraño
o tumor)
– Extrínseca (adenopatías, tumor, aneurisma) (Figura 31).
Figura 30. Bronquiectasias en Síndrome de Swyer-James.
Figura 31.- Imágenes obtenidas mediante TC multicorte
Obstrucción traqueal por tumor.
Patrón vascular
Daniel Fernando Isuhuaylas Aguirre
Patrón vascular: Anatomía
• Circulación pulmonar
– Aporte de sangre sin oxigenar a los alveolos
– Drenaje de la sangre oxigenada tras el intercambio gaseoso.
– Constituida por:
• Árbol arterial pulmonar
–
–
–
–

Distribución centrífuga desde ambos hilios
Paralela a la división bronquial
Se divide en ramas sucesivas de manera dicotómica.
La arteria pulmonar principal
» Nace del ventrículo derecho
» Se divide en las arterias derecha e izquierda

• Drenaje venoso pulmonar.
– Drenan la sangre oxigenada de los alveolos hacia la aurícula izquierda.
– No sigue una distribución paralela a la de las arterias y bronquios
– Conformando dos venas pulmonares principales por cada pulmón (superior e
inferior).
Patrón vascular: Anatomía
• Vasculatura pulmonar normal:
– Vasos de la circulación pulmonar
– Vasos de la circulación sistémica.

• Por regla general:
– Las venas pulmonares
• Lóbulos superiores
– Lateralmente a las arterias

• Lóbulos inferiores
– Mediales a las arterias.
Figura 1. Esquema de vasos
pulmonares
(pulmón
derecho).
Habitualmente las venas
pulmonares (azul) se sitúan
lateralmente a las arterias
(rojo)
en los lóbulos
superiores y mediales en las
bases pulmonares.
Patrón vascular: AnatomíaPatrón
vascular: Anatomía
• La circulación sistémica la constituyen :
– Las arterias bronquiales => Ramas de la aorta
torácica
• Irrigan al sistema bronquial
• Se dividen siguiendo al árbol bronquial
– Proporción de dos arterias por bronquio.

– Las venas bronquiales => Drenan al sistema
ácigos-hemiácigos.
• Constituye:
– Vena bronquial derecha
– Vena bronquial izquierda

 A la ácigos
 A la hemiácigos.
Patrones vasculares pulmonares:
Patrón vascular pulmonar normal
• La vasculatura pulmonar sigue una distribución
arboriforme desde los hilios, siendo más grandes
los vasos en las regiones centrales y de menor
calibre en la periferia.
• Los vasos pulmonares se deben ver en el pulmón
periférico hasta 1-2 cm por dentro de la pleura.
• Los vasos pulmonares se visualizan como
estructuras tubulares y lineales de densidad gua.
Patrón vascular pulmonar normal
• Ambos hilios pulmonares:
– Simétricos
– Hilio derecho estará más caudal o al mismo nivel
que el hilio izquierdo.

• Por efecto de la fuerza gravitatoria en la
radiografía de tórax en bipedestación de un
individuo sano:
– Los vasos de las bases pulmonares son de mayor
calibre que los apicales.
•
•
•

Fig. 2: Vascularización pulmonar normal.
A. Radiografía simple de tórax PA normal.
B. Esquema de vascularización pulmonar normal.
La vascularización pulmonar sigue una distribución centrífuga y simétrica desde los hilios.
La arteria pulmonar principal (AP) no se distingue por estar superpuesta al resto de estructuras del
mediastino anterior, únicamente se puede visualizar su parte más lateral izquierda(subrayado en
naranja).
El hilio pulmonar izquierdo se encuentra más craneal que el derecho y los vasos de las bases tienen
mayor diámetro que los apicales.
Fig. 3: Vascularización pulmonar
normal.
• Reconstrucción coronal en modo
MIP de una TC de tórax normal
con contraste iv.
• Se aprecia que los vasos de las
bases pulmonares tienen un
mayor diámetro que los apicales.
Fig. 4: Vascularización pulmonar
normal. Radiografía simple de tórax
lateral.
• Se visualiza el segmento inicial
de la arteria pulmonar principal
(subrayado en línea naranja
discontinua), así como los hilios
pulmonares izquierdo (HI) y
derecho (HD) señalados con
línea roja discontinua.
Fig. 5: Signo del gemelo. Radiografía
simple de tórax PA normal.
• En el cuadro ampliado se aprecia
que el bronquio y vaso tienen el
mismo calibre (signo del gemelo).
Patrón de redistribución vascular
• Inversión de la relación normal entre los vasos apicales y
basales
– Los vasos de los ápices son mayores o iguales que los de las
bases pulmonares.

• Congestión venosa pulmonar
– Sobrecarga y fallo de las cavidades cardiacas izquierdas.

• Incrementa las presiones venosas y capilares pulmonares,
– Estasis
– Ingurgitación vascular pulmonar
• Vasos de los campos pulmonares superiores.

• Este fenómeno de redistribución vascular es evidente en la
radiografía simple con presiones venosas pulmonares de
15-20 mmHg (presiones medidas en la aurícula izquierda).
Fig. 6: Patrón de redistribución vascular.
A. Radiografía simple de tórax PA de un paciente con estenosis mitral.
B. Esquema de patrón de redistribución.
• Los vasos pulmonares de los campos superiores son de mayor calibre que los de las
bases.
• Cardiomegalia global, más patente de cavidades izquierdas.
Fig. 7: Patrón de redistribución vascular. Radiografía simple de tórax PA de un
paciente con insuficiencia mitral operada.
• Los vasos de los campos pulmonares superiores son de mayor o igual calibre a los
de las bases.
• Se aprecian cambios de esternotomía por cirugía de recambio valvular mitral, así
como cardiomegalia global secundaria a la valvulopatía con una calcificación lineal
en la pared de la aurícula izquierda (punta de flecha).
Fig. 8: Radiografía simple de tórax AP de un paciente con insuficiencia cardiaca y
edema agudo de pulmón.
• La insuficiencia cardiaca es la causa más frecuente de patrón de redistribución,
pero en los casos de edema de pulmón grave la redistribución no se aprecia con
claridad pues el contorno de los vasos está borrado por el edema alveolar e
intersticial. (presiones venosas en aurícula izquierda >25 mm Hg)
Patrón de hipertensión arterial
pulmonar
• Se identifica un crecimiento de ambos hilios
pulmonares, generalmente de manera
simétrica, a expensas de las arterias
pulmonares derecha e izquierda y de la arteria
pulmonar principal.
• Habitualmente acompañado de disminución
de calibre de los vasos pulmonares periféricos.
Fig. 9: Patrón de hipertensión arterial pulmonar.
A. Radiografía simple de tórax PA de un paciente con EPOC e hipertensión
pulmonar.
B. Esquema de patrón de hipertensión pulmonar.
Se visualiza crecimiento de la arteria pulmonar principal (puntas de flecha negras
en la radiografía y marca naranja en el esquema) y crecimiento de los hilios
pulmonares, más notoriamente el derecho (puntas de flecha blancas).
La vasculatura pulmonar periférica está disminuida en número y calibre.
Fig. 10: Patrón de hipertensión pulmonar.
A. Radiografía simple de tórax lateral.
Se observa gran crecimiento de los hilios pulmonares a expensas de las estructuras
vasculares (hilio izquierdo señalado con puntas blancas e hilio derecho con puntas negras).
B. TC con contraste iv del mismo paciente.
Se visualiza un aumento de calibre de las arterias pulmonares principal, derecha e izquierda.
Se considera que existe aumento de tamaño de la arteria pulmonar principal cuando ésta
tiene un diámetro mayor de 3 cm.
Fig. 11: Patrón de hipertensión pulmonar. Radiografía simple de tórax PA de un
paciente con EPOC y estenosis aórtica.
• Existe crecimiento de los hilios pulmonares a expensas de estructuras
vasculares, prominencia de la arteria pulmonar principal (remarcada en
naranja) y amputación de los vasos periféricos.
• Se considera que el diámetro normal de la arteria interlobar derecha tiene que
ser menor de 16-17 mm.
• Existe cardiomegalia a expensas de cavidades izquierdas secundaria a la
estenosis aórtica.
Patrón de hipertensión arterial
pulmonar
• Incremento de la resistencia al flujo de sangre pulmonar
provoca elevación de la PAP (>25 mmHg reposo), induce:
– Sobrecarga
– Fallo del corazón derecho con disminución del gasto cardíaco.

• Crecimiento de las arterias pulmonares centrales
• Disminución del calibre y número de las arterias periféricas
– Vasoconstricción reactiva
– Disfunción arterial
• Hipoxemia e hipoxia alveolar

• Sobrecarga secundaria de las cavidades cardiacas derechas
– Cor pulmonale
Patrón de plétora pulmonar
• Aumento del flujo en la circulación pulmonar
– Dilatación de los vasos pulmonares centrales y
periféricos de manera bilateral y simétrica
– Acompañada de cardiomegalia a expensas del
corazón derecho.
Fig. 12: Patrón de plétora pulmonar.
A. Radiografía simple de tórax PA de una paciente con comunicación interauricular.
B. Esquema de patrón de plétora.
• Se aprecia aumento de tamaño de los vasos pulmonares, tanto en los hilios
como en la periferia, de manera bilateral y simétrica.
• La arteria pulmonar principal está aumentada de tamaño (remarcada en
naranja).
• Se observa también cardiomegalia global y un lóbulo de la ácigos.
Fig. 13: Patrón de plétora pulmonar. Radiografías simple de tórax PA.
A. Patrón de plétora previo al cierre de la CIA.
B. Disminución de la plétora pulmonar tras el cierre de la CIA con un dispositivo tipo
Amplatzer
Patrón de oligohemia pulmonar
• El pulmón oligohémico se caracteriza por una
disminución del flujo a la circulación
pulmonar.
• La trama vascular de ambos campos
pulmonares aparece disminuida en calibre y
en número tanto en los hilios como en la
periferia
•

•
•
•

Fig. 14: Patrón de oligohemia pulmonar.
A. Radiografía simple de tórax PA de un paciente con síndrome de Swyer-James-McLeod.
B. Esquema de oligohemia pulmonar izquierda con vascularización normal derecha.
El pulmón izquierdo está disminuido de volumen y muestra una anormal radiolucencia
generalizada, causada por disminución de la vascularización pulmonar central y periférica e
hiperinsuflación alveolar.
El pulmón derecho tiene un patrón de vascularización normal.
Cambios de esternotomía media por cirugía de prótesis de Bentall por aneurisma de aorta
ascendente.
Marcapasos cardiaco.
Fig. 15: Patrón de oligohemia unilateral. Paciente con síndrome de Swyer-James-McLeod en pulmón
izquierdo.
A. Radiografía simple de tórax PA
B. Reconstrucción de TC con contraste iv en modo MIP y con ventana de pulmón.
• Se aprecia la oligohemia del pulmón izquierdo así como un aneurisma de aorta ascendente.
C. TC con contraste iv.
• Arteria pulmonar derecha normal (D).
• Aneurisma de aorta ascendente.
D. TC con contraste iv.
• Arteria pulmonar izquierda con calibre disminuido (I).
Patrón de vascularización vicariante
• Consiste en la visualización de la circulación
arterial bronquial en la radiografía simple de
tórax, que en condiciones normales no se
identifica.
• Cuando las arterias bronquiales se hacen
patentes en los campos pulmonares se perciben
como una red anárquica de líneas en
contraposición a la disposición normal de los
vasos pulmonares, que sigue una distribución
arboriforme
Fig. 16: Patrón vicariante.
A y B. Detalles de una radiografía PA
de un paciente con agenesia de la
arteria pulmonar.
• Se aprecia ausencia prácticamente
total del hilio pulmonar derecho y
una vascularización pulmonar
reticular que constituye una red
desorganizada, que corresponde a
la circulación bronquial.
C y D. Detalles de una radiografía PA
de otro paciente con vascularización
pulmonar normal.
• Se
percibe
la
distribución
arboriforme
de
los
vasos
pulmonares y la morfología normal
del hilio derecho.
Las causas de patrón vicariante son todas aquellas que disminuyan de manera importante el
aflujo de sangre a los pulmones a través de las arterias pulmonares provocando que las
arterias bronquiales funcionen como colaterales causando su dilatación
Fig. 17. Patrón vicariante. Paciente con agenesia
de la arteria y venas
pulmonares derechas y secuestro pulmonar en
lóbulo inferior derecho.
A. Radiografía simple de tórax PA.
• El pulmón derecho está disminuido de
volumen y en él se aprecia que su vasculatura
no sigue una distribución centrífuga y
arboriforme como en el pulmón contralateral.
B. Detalle de la radiografía anterior.
• La vascularización pulmonar izquierda
conforma
una
red
desorganizada,
correspondiente a circulación bronquial.
C. Reconstrucción coronal en modo MIP con
ventana de pulmón de TC con contraste iv.
• Se aprecia que la distribución de la
vasculatura pulmonar izquierda no sigue un
patrón arboriforme como en el pulmón
contralateral.
D. Reconstrucción coronal en modo MIP con
ventana de mediastino de TC con contraste iv.
• Se visualiza la arteria bronquial derecha y una
rama de la aorta toraco-abdominal (puntas de
flecha), la última responsable de la irrigación
del secuestro pulmonar.
Fig. 18: Patrón vicariante. TC con contraste iv.
• Agenesia de la arteria pulmonar derecha (punta de flecha negra).
• Arteria bronquial derecha aumentada de calibre (puntas de flecha blancas).
Fig. 19: Patrón mixto de redistribución vascular venosa e hipertensión arterial pulmonar.
Radiografía simple de tórax PA de una paciente con hipertensión pulmonar e insuficiencia mitral
operada con válvula protésica.
• Se visualiza crecimiento de los vasos pulmonares centrales con prominencia de la arteria
pulmonar principal y leve amputación de los vasos más periféricos, compatible con un patrón de
hipertensión arterial pulmonar.
• Así mismo se aprecia que los vasos de los lóbulos superiores tienen mayor calibre que los basales
en relación con hipertensión venosa.
• Cambios de esternotomía media y cardiomegalia global.
Fig. 20: Patrón mixto de hipertensión
pulmonar y plétora.
A y B. Radiografía simple de tórax PA y lateral
de una paciente con ductus arterioso
permeable, estenosis aórtica e hipertensión
pulmonar.
• Se aprecia aumento de tamaño de los
vasos pulmonares de predominio central
(puntas de flecha blancas), que sugiere
patrón de hipertensión pulmonar.
• Sin embargo también se visualizan algunos
vasos periféricos aumentados de calibre,
especialmente en la proyección lateral
(punta de flecha negra) lo que indicaría
cierto componente de plétora debido al
ductus persistente.
C y D. Radiografía simple de tórax PA y lateral
de la misma paciente que en A y B, tras el
cierre del ductus arterioso.
• El componente de plétora ha disminuido
pues los vasos periféricos que
anteriormente estaban aumentados de
calibre se han normalizado.
• Se sigue percibiendo cierto aumento de
tamaño de los vasos pulmonares centrales,
pero en menor grado que en las
radiografías previas.
Bibliografía
• Los patrones vasculares pulmonares en la
radiografía simple de tórax. P. Rodriguez
Carnero, A. Cárdenas del Carre, A. Bustos
García de Castro; Madrid/ES. SERAM – 2012
• Diagnóstico por la imagen en las
bronquiectasias. Casilda Olveira Fuster,
Esperanza Doña Díaz, Jose Luis de la Cruz Ríos
¡GRACIAS!

Bronquiectasia y patrón vascular

  • 1.
    Bronquiectasia y patrónvascular Daniel Fernando Isuhuaylas Aguirre
  • 2.
  • 3.
    Bronquiectasia • Las bronquiectasiasson dilataciones anormales e irreversibles de los bronquios que se caracterizan por: – – – – Alteración del epitelio ciliar Inflamación crónica de la pared Destrucción de los componentes elásticos Afectación de la capa muscular y de las arterias bronquiales. • Pueden acompañarse de fibrosis peribronquial.
  • 4.
  • 5.
    Radiografía de tórax •En pacientes con sospecha clínica de BQ debe realizarse siempre una radiografía de tórax como parte del examen inicial. • Método con escasa sensibilidad que depende de: – La técnica empleada (tipo de radiología analógica o digital) – Del observador y de la gravedad de las BQ. • Aporta imágenes inespecíficas, escasa información sobre la extensión de la enfermedad y un porcentaje no despreciable de falsos positivos y negativos. • En estudios clásicos, comparada con la broncografía, la RxT tiene: – Sensibilidad 47 y 73% – Especificidad 76%
  • 6.
    Signos radiológicos • Opacidades lineales paralelas que correspondena bronquios dilatados con la pared engrosada. • Dan lugar al signo del “raíl de tranvía” (Figura 2, 3 y 4)
  • 7.
    Figura 2. Radiografíasimple de tórax: bronquiectasias generalizadas graves. Opacidades lineales paralelas (flecha hueca). Imágenes aéreas con pared definida (flecha).
  • 8.
    Figura 3. Radiografíasimple. Opacidades lineales paralelas que corresponden a bronquios dilatados con la pared engrosada. Signo del “raíl de tranvía” (flechas).
  • 9.
    Figura 4. Radiografíasimple. Imágenes en anillo (flecha corta). Imágenes quísticas (flecha hueca). Imagen en rail de tranvía (flecha larga). Impactaciones de moco (flecha gruesa).
  • 10.
    Signos radiológicos • Imágenesaéreas con pared definida, fina o gruesa, que dan lugar al signo del “anillo de sello” (el "anillo" es el bronquio dilatado y el vaso “el sello”) o a imágenes quísticas, con o sin nivel hidroaéreo. (Figuras 2 y 4)
  • 11.
    Figura 2. Radiografíasimple de tórax: bronquiectasias generalizadas graves. Opacidades lineales paralelas (flecha hueca). Imágenes aéreas con pared definida (flecha).
  • 12.
    Figura 4. Radiografíasimple. Imágenes en anillo (flecha corta). Imágenes quísticas (flecha hueca). Imagen en rail de tranvía (flecha larga). Impactaciones de moco (flecha gruesa).
  • 13.
    Signos radiológicos • Opacidadestubulares u ovoides (impactos mucoides) que corresponden a bronquios repletos de moco o líquido. • En algunas ocasiones los bronquios, llenos de secreciones, pueden visualizarse como imágenes lineales densas en forma de Y, de V o en dedo de guante. (Figuras 4 y 5)
  • 14.
    Figura 4. Radiografíasimple. Imágenes en anillo (flecha corta). Imágenes quísticas (flecha hueca). Imagen en rail de tranvía (flecha larga). Impactaciones de moco (flecha gruesa).
  • 15.
    Figura 5. Radiografíassimples. Impactaciones de moco (flechas).
  • 16.
    Signos radiológicos • Pérdidade definición de los vasos pulmonares y agrupamiento de la trama broncovascular por fibrosis peribronquial. (Figura 6)
  • 17.
    Figura 6. Radiografíasimple. Bronquiectasias. Aumento de la trama broncovascular. Pérdida de definición de los vasos por fibrosis peribronquial.
  • 18.
    Signos radiológicos • Signosde pérdida de volumen o atelectasias (Figura 7)
  • 19.
    Figura 7. Radiografíasimple. Bronquiectasias con pérdida de volumen del lóbulo superior derecho.
  • 20.
    Signos radiológicos • Hiperinsuflacióndebida al atrapamiento aéreo en pacientes con obstrucción funcional (Figura 8)
  • 21.
    Figura 8. Radiografíasimple. Bronquiectasias. Hiperinsuflación.
  • 22.
    Signos radiológicos • Laafectación pleural es rara, pero infecciones repetidas que afecten a BQ subpleurales pueden dar lugar a reacción pleural, pudiéndose observar áreas focales de engrosamiento. (Figura 9)
  • 23.
    Figura 9. Radiografíasimple. Bronquiectasias. Engrosamiento pleural (flecha).
  • 24.
    Tomografía axial computarizada •La TAC ha demostrado ser superior a la RxT convencional para el diagnóstico de BQ así como para la valoración de su morfología y extensión. • Presenta: – Sensibilidad y especificidad mayor del 90%
  • 25.
    Tomografía axial computarizada •Las BQ son especialmente difíciles de diagnosticar en pacientes que presentan atelectasias o zonas de consolidación dado que permiten la visualización de bronquios dilatados que, sin embargo, revierten posteriormente al resolverse el infiltrado. • De forma semejante, en el niño, las BQ secundarias a neumonía pueden desaparecer en algunos casos. – Pre-BQ: • Inflamación bronquial persistente • Sin alteración estructural • Puede resolverse persistir o progresar – BQ detectadas: • Existe dilatación bronquial • Pueden resolverse • Retornar al estadio previo, persistir, o progresar – BQ establecidas • Irreversibles.
  • 26.
    Criterios diagnósticos de bronquiectasiaspor TAC • El signo fundamental es la demostración de la dilatación bronquial tomando como patrón de referencia el diámetro de la arteria bronquial adyacente. • En condiciones normales los diámetros del bronquio y del vaso acompañante son similares.
  • 27.
    Signos directos • Dilataciónbronquial: – Presencia de un diámetro bronquial interno mayor que el de la arteria bronquial adyacente. (Índice broncoarterial) – En el caso de las BQ es, por lo tanto, mayor de 1. • Cuando el bronquio transcurre perpendicular al plano de sección, esta dilatación da lugar al “signo del anillo de sello”: – El bronquio dilatado forma un anillo y la arteria acompañante, el sello. (Figura 10)
  • 28.
    Figura 10. Índicebroncoarterial elevado. Signo del anillo de sello (flechas). Tapones mucosos (flecha hueca).
  • 29.
    Signos directos • Puedenverse imágenes aéreas con pared definida o lesiones quísticas, con o sin nivel hidroaéreo (Figura 11) • En el caso de que el bronquio transcurra paralelo al plano de sección, la dilatación anormal se reconoce por la falta del progresivo afilamiento bronquial – Ausencia de reducción del calibre bronquial desde la división dicotómica. (Figura 12) • Pueden visualizarse asimismo bronquios dilatados dando lugar al signo del "raíl de tranvía". (Figura 13)
  • 30.
    Figura 11. Bronquiectasiasquísticas agrupadas en hilera.
  • 31.
    Figura 12. Bronquiectasias. Faltade afilamiento bronquial progresivo.
  • 32.
    Figura 13. Signode “raíl de tranvía ”
  • 33.
    Signos directos • Visualizaciónde bronquios a menos de 1 cm de la pleura costal o en contacto con la pleura mediastínica. – En condiciones normales no suelen observarse bronquios a menos de 2 cm de la pleura, ya que sus paredes son demasiado finas. – En pacientes con BQ la dilatación de la luz bronquial, el engrosamiento de su pared y la fibrosis peribronquial permiten la visualización de bronquios en la periferia del pulmón (Figuras 9, 11 y 14)
  • 34.
    Figura 9. Radiografíasimple. Bronquiectasias. Engrosamiento pleural (flecha).
  • 35.
    Figura 11. Bronquiectasiasquísticas agrupadas en hilera.
  • 36.
    Figura 14. BronquiectasiasQuísticas agrupadas en racimo. Visualización de bronquios a menos de 1cm de la pleura costal y en contacto con la pleura mediastínica.
  • 37.
    Signos indirectos • Engrosamientode la pared bronquial: – Mayor de 50% del diámetro de la arteria adyacente. – Es un hallazgo muy frecuente pero inespecífico ya que puede aparecer en otras patologías. – Se debe medir mediante el índice de luz bronquial, que es el cociente entre el diámetro interno y externo del bronquio (Figura 15). • Impactos mucoides: – Imágenes tubulares con densidad de partes blandas que representan el bronquio dilatado y repleto de moco: “bronquio en positivo”, o con niveles hidroaéreos. – Pueden aparecer como opacidades lobuladas, en dedo de guante, ramificadas (en forma de Y o de V) o redondeadas (cuando el plano de corte es transversal al impacto mucoso se pueden confundir con una arteria). (Figura 16 y 17).
  • 38.
    Figura 15. Bronquiectasiasen paciente con aspergilosis broncopulmonar alérgica. Engrosamiento de la pared bronquial. (Flecha)
  • 39.
    Figura 16. Impactacionesde moco. Bronquio en positivo. Opacidades lobuladas, en dedo de guante, ramificadas (en foprma de Y o de V) y redondeadas.
  • 40.
    Figura 17. Bronquiectasiasquísticas arracimadas y en hileras, algunas rellenas de moco.
  • 41.
    Signos indirectos • Sontambién frecuentes los signos relacionados con la afectación de la vía aérea de pequeño calibre (bronquiolos) como: – Nódulos en árbol en brote – Nódulos centrolobulillares – Bronquiolectasias. • Pueden traducir zonas de bronquiolitis, lo que puede considerarse un hallazgo precoz (Figura 18). – El patrón en mosaico (visible con una TAC realizada en inspiración) – Las áreas focales de atrapamiento aéreo (en espiración) • Estudios histológicos de pulmón en pacientes con BQ graves han demostrado la coexistencia de bronquiolitis obliterante.
  • 42.
    Figura 18. Afectaciónde la vía aérea de pequeño calibre. Nódulos en árbol en brote. Nódulos centrolobulillares y bronquiolectasias. Patrón en mosaico.
  • 43.
    Signos indirectos • Otroshallazgos demostrables mediante un estudio con TAC y que pueden constituir signos indirectos de BQ serían: (figuras 19-22). – Enfisema – Irregularidad de la pared bronquial – Atelectasias – Pérdida de volumen o áreas de consolidación
  • 44.
  • 45.
    Figura 20. Irregularidadde la pared bronquial.
  • 46.
    Figura 21. Bronquiectasiasquísticas. Pérdida de volumen.
  • 47.
    Figura 22. Bronquiectasiasen lóbulo medio y língula. Infiltrado-consolidación.
  • 48.
    Clasificación morfológica delas bronquiectasias • Cilíndricas: – Son las más frecuentes. – Los bronquios están mínimamente dilatados de manera uniforme, no adelgazan su diámetro al progresar las generaciones y pueden verse sus paredes como líneas paralelas en cortes longitudinales (Figuras 10, 13 y 23).
  • 49.
    Figura 10. Índicebroncoarterial elevado. Signo del anillo de sello (flechas). Tapones mucosos (flecha hueca).
  • 50.
    Figura 13. Signode “raíl de tranvía ”
  • 51.
  • 52.
    Clasificación morfológica delas bronquiectasias • Varicosas: – Los bronquios presentan dilataciones irregulares – Alternando zonas de dilatación con zonas de constricción localizadas y terminación bulbosa – Aspecto arrosariado o en “ristra de perlas” cuando el bronquio afectado transcurre horizontal al plano de corte (Figura 20 y 24).
  • 53.
    Figura 20. Irregularidadde la pared bronquial.
  • 54.
    Figura 24. Bronquiectasiasvaricosas. Imagen arrosariada o en ristra de perlas.
  • 55.
    Clasificación morfológica delas bronquiectasias • Quísticas: – Es la expresión más grave de la enfermedad. – Los bronquios adquieren una forma sacular o de quiste. – Pueden presentar niveles hidroaéreos o estar agrupadas en racimos o hileras. – Adoptan la típica imagen de “nido de golondrina” cuando el moco se acumula dentro de las lesiones y aparece un nivel hidroaéreo (Figuras 11, 14, 15, 17, 21 y 25). – Son frecuentes en la aspergilosis broncopulmonar alérgica (ABPA) y en la fibrosis quística
  • 56.
    Clasificación morfológica delas bronquiectasias • Los distintos tipos morfológicos se correlacionan con la severidad de la enfermedad (las varicosas y quísticas son manifestación de una enfermedad más avanzada). • Pacientes con BQ quísticas presentaban con más frecuencia esputos purulentos, colonización por Pseudomonas aeruginosa y mayor alteración de los parámetros espirométricos que los pacientes con BQ cilíndricas o varicosas.
  • 57.
    Figura 11. Bronquiectasiasquísticas agrupadas en hilera.
  • 58.
    Figura 14. BronquiectasiasQuísticas agrupadas en racimo. Visualización de bronquios a menos de 1cm de la pleura costal y en contacto con la pleura mediastínica.
  • 59.
    Figura 15. Bronquiectasiasen paciente con aspergilosis broncopulmonar alérgica. Engrosamiento de la pared bronquial. (Flecha)
  • 60.
    Figura 17. Bronquiectasiasquísticas arracimadas y en hileras, algunas rellenas de moco.
  • 61.
    Figura 21. Bronquiectasiasquísticas. Pérdida de volumen.
  • 62.
    Figura 25. Bronquiectasiasquísticas. Imagen aérea con pared definida (Flecha larga). Bronquiectasias arracimadas. Bronquiectasias rellenas de moco. imagen en nido de golondrina. (Flecha hueca). Saculaciones (Flecha curva).
  • 63.
    Valoración de laextensión de las bronquiectasias y diagnóstico etiológico • Según el grado de extensión – Localizada • Afectación segmentaria, unilobar o bilobar (en el caso de dos lóbulos contiguos anatómicamente) y suelen ser debidas a obstrucción de la vía aérea (extrínseca o intrínseca), infecciones, secuestro pulmonar, etc. (figura 26). – Difusas • Pueden deberse a múltiples causas aunque se han descrito diferencias en la distribución y morfología de las BQ según su etiología.
  • 64.
  • 65.
    Valoración de laextensión de las bronquiectasias y diagnóstico etiológico • Hallazgos en TAC sin relación directa con las BQ : – Traqueobroncomegalia (S. de Mounier-Kuhn): • Dilatación marcada de la tráquea y los bronquios principales – BQ, fibrosis o enfisema. • Diagnóstico por diámetros transversal y sagital de la tráquea y los bronquios (figura 27). – Defectos del cartílago (S. de Williams-Campbell) • Cartílagos defectuosos distales a los de tercer orden. • Se observan BQ quísticas limitadas a las generaciones bronquiales: – Cuarta, quinta y sexta. • TAC en espiración se produce: – Colapso bronquial – Atrapamiento aéreo distal.
  • 66.
    Figura 27.- Traqueobroncomegalia. Imágenesobtenidas mediante TC helicoidal.
  • 67.
    Valoración de laextensión de las bronquiectasias y diagnóstico etiológico – Situs inversus (S. de Kartagener) • Estenosis traqueal, bronquio traqueal, atresia bronquial o secuestro pulmonar (Figuras 28 y 29). – Enfisema por déficit de alfa-1 antitripsina. • BQ asociadas a enfisema panacinar de predominio en lóbulos inferiores.
  • 68.
    Figura 28. Situsinversus. Bronquiectasias. Síndrome de Kartagener.
  • 69.
    Figura 29. Estenosistraqueal congénita con anillos cartilaginosos completos y bronquio traqueal. Imágenes obtenidas mediante TC helicoidal.
  • 70.
    Valoración de laextensión de las bronquiectasias y diagnóstico etiológico – Síndrome de Swyer-James: • BQ asociadas a disminución de la vascularización y de la atenuación pulmonar ipsilateral (Figura 30). – Obstrucción bronquial: • Suele dar lugar a BQ localizadas y puede ser: – Intrínseca (estenosis cicatricial, broncolitiasis, cuerpo extraño o tumor) – Extrínseca (adenopatías, tumor, aneurisma) (Figura 31).
  • 71.
    Figura 30. Bronquiectasiasen Síndrome de Swyer-James.
  • 72.
    Figura 31.- Imágenesobtenidas mediante TC multicorte Obstrucción traqueal por tumor.
  • 74.
  • 75.
    Patrón vascular: Anatomía •Circulación pulmonar – Aporte de sangre sin oxigenar a los alveolos – Drenaje de la sangre oxigenada tras el intercambio gaseoso. – Constituida por: • Árbol arterial pulmonar – – – – Distribución centrífuga desde ambos hilios Paralela a la división bronquial Se divide en ramas sucesivas de manera dicotómica. La arteria pulmonar principal » Nace del ventrículo derecho » Se divide en las arterias derecha e izquierda • Drenaje venoso pulmonar. – Drenan la sangre oxigenada de los alveolos hacia la aurícula izquierda. – No sigue una distribución paralela a la de las arterias y bronquios – Conformando dos venas pulmonares principales por cada pulmón (superior e inferior).
  • 76.
    Patrón vascular: Anatomía •Vasculatura pulmonar normal: – Vasos de la circulación pulmonar – Vasos de la circulación sistémica. • Por regla general: – Las venas pulmonares • Lóbulos superiores – Lateralmente a las arterias • Lóbulos inferiores – Mediales a las arterias.
  • 77.
    Figura 1. Esquemade vasos pulmonares (pulmón derecho). Habitualmente las venas pulmonares (azul) se sitúan lateralmente a las arterias (rojo) en los lóbulos superiores y mediales en las bases pulmonares.
  • 78.
    Patrón vascular: AnatomíaPatrón vascular:Anatomía • La circulación sistémica la constituyen : – Las arterias bronquiales => Ramas de la aorta torácica • Irrigan al sistema bronquial • Se dividen siguiendo al árbol bronquial – Proporción de dos arterias por bronquio. – Las venas bronquiales => Drenan al sistema ácigos-hemiácigos. • Constituye: – Vena bronquial derecha – Vena bronquial izquierda  A la ácigos  A la hemiácigos.
  • 79.
  • 80.
    Patrón vascular pulmonarnormal • La vasculatura pulmonar sigue una distribución arboriforme desde los hilios, siendo más grandes los vasos en las regiones centrales y de menor calibre en la periferia. • Los vasos pulmonares se deben ver en el pulmón periférico hasta 1-2 cm por dentro de la pleura. • Los vasos pulmonares se visualizan como estructuras tubulares y lineales de densidad gua.
  • 81.
    Patrón vascular pulmonarnormal • Ambos hilios pulmonares: – Simétricos – Hilio derecho estará más caudal o al mismo nivel que el hilio izquierdo. • Por efecto de la fuerza gravitatoria en la radiografía de tórax en bipedestación de un individuo sano: – Los vasos de las bases pulmonares son de mayor calibre que los apicales.
  • 82.
    • • • Fig. 2: Vascularizaciónpulmonar normal. A. Radiografía simple de tórax PA normal. B. Esquema de vascularización pulmonar normal. La vascularización pulmonar sigue una distribución centrífuga y simétrica desde los hilios. La arteria pulmonar principal (AP) no se distingue por estar superpuesta al resto de estructuras del mediastino anterior, únicamente se puede visualizar su parte más lateral izquierda(subrayado en naranja). El hilio pulmonar izquierdo se encuentra más craneal que el derecho y los vasos de las bases tienen mayor diámetro que los apicales.
  • 83.
    Fig. 3: Vascularizaciónpulmonar normal. • Reconstrucción coronal en modo MIP de una TC de tórax normal con contraste iv. • Se aprecia que los vasos de las bases pulmonares tienen un mayor diámetro que los apicales.
  • 84.
    Fig. 4: Vascularizaciónpulmonar normal. Radiografía simple de tórax lateral. • Se visualiza el segmento inicial de la arteria pulmonar principal (subrayado en línea naranja discontinua), así como los hilios pulmonares izquierdo (HI) y derecho (HD) señalados con línea roja discontinua.
  • 85.
    Fig. 5: Signodel gemelo. Radiografía simple de tórax PA normal. • En el cuadro ampliado se aprecia que el bronquio y vaso tienen el mismo calibre (signo del gemelo).
  • 86.
    Patrón de redistribuciónvascular • Inversión de la relación normal entre los vasos apicales y basales – Los vasos de los ápices son mayores o iguales que los de las bases pulmonares. • Congestión venosa pulmonar – Sobrecarga y fallo de las cavidades cardiacas izquierdas. • Incrementa las presiones venosas y capilares pulmonares, – Estasis – Ingurgitación vascular pulmonar • Vasos de los campos pulmonares superiores. • Este fenómeno de redistribución vascular es evidente en la radiografía simple con presiones venosas pulmonares de 15-20 mmHg (presiones medidas en la aurícula izquierda).
  • 87.
    Fig. 6: Patrónde redistribución vascular. A. Radiografía simple de tórax PA de un paciente con estenosis mitral. B. Esquema de patrón de redistribución. • Los vasos pulmonares de los campos superiores son de mayor calibre que los de las bases. • Cardiomegalia global, más patente de cavidades izquierdas.
  • 89.
    Fig. 7: Patrónde redistribución vascular. Radiografía simple de tórax PA de un paciente con insuficiencia mitral operada. • Los vasos de los campos pulmonares superiores son de mayor o igual calibre a los de las bases. • Se aprecian cambios de esternotomía por cirugía de recambio valvular mitral, así como cardiomegalia global secundaria a la valvulopatía con una calcificación lineal en la pared de la aurícula izquierda (punta de flecha).
  • 90.
    Fig. 8: Radiografíasimple de tórax AP de un paciente con insuficiencia cardiaca y edema agudo de pulmón. • La insuficiencia cardiaca es la causa más frecuente de patrón de redistribución, pero en los casos de edema de pulmón grave la redistribución no se aprecia con claridad pues el contorno de los vasos está borrado por el edema alveolar e intersticial. (presiones venosas en aurícula izquierda >25 mm Hg)
  • 91.
    Patrón de hipertensiónarterial pulmonar • Se identifica un crecimiento de ambos hilios pulmonares, generalmente de manera simétrica, a expensas de las arterias pulmonares derecha e izquierda y de la arteria pulmonar principal. • Habitualmente acompañado de disminución de calibre de los vasos pulmonares periféricos.
  • 92.
    Fig. 9: Patrónde hipertensión arterial pulmonar. A. Radiografía simple de tórax PA de un paciente con EPOC e hipertensión pulmonar. B. Esquema de patrón de hipertensión pulmonar. Se visualiza crecimiento de la arteria pulmonar principal (puntas de flecha negras en la radiografía y marca naranja en el esquema) y crecimiento de los hilios pulmonares, más notoriamente el derecho (puntas de flecha blancas). La vasculatura pulmonar periférica está disminuida en número y calibre.
  • 93.
    Fig. 10: Patrónde hipertensión pulmonar. A. Radiografía simple de tórax lateral. Se observa gran crecimiento de los hilios pulmonares a expensas de las estructuras vasculares (hilio izquierdo señalado con puntas blancas e hilio derecho con puntas negras). B. TC con contraste iv del mismo paciente. Se visualiza un aumento de calibre de las arterias pulmonares principal, derecha e izquierda. Se considera que existe aumento de tamaño de la arteria pulmonar principal cuando ésta tiene un diámetro mayor de 3 cm.
  • 94.
    Fig. 11: Patrónde hipertensión pulmonar. Radiografía simple de tórax PA de un paciente con EPOC y estenosis aórtica. • Existe crecimiento de los hilios pulmonares a expensas de estructuras vasculares, prominencia de la arteria pulmonar principal (remarcada en naranja) y amputación de los vasos periféricos. • Se considera que el diámetro normal de la arteria interlobar derecha tiene que ser menor de 16-17 mm. • Existe cardiomegalia a expensas de cavidades izquierdas secundaria a la estenosis aórtica.
  • 95.
    Patrón de hipertensiónarterial pulmonar • Incremento de la resistencia al flujo de sangre pulmonar provoca elevación de la PAP (>25 mmHg reposo), induce: – Sobrecarga – Fallo del corazón derecho con disminución del gasto cardíaco. • Crecimiento de las arterias pulmonares centrales • Disminución del calibre y número de las arterias periféricas – Vasoconstricción reactiva – Disfunción arterial • Hipoxemia e hipoxia alveolar • Sobrecarga secundaria de las cavidades cardiacas derechas – Cor pulmonale
  • 97.
    Patrón de plétorapulmonar • Aumento del flujo en la circulación pulmonar – Dilatación de los vasos pulmonares centrales y periféricos de manera bilateral y simétrica – Acompañada de cardiomegalia a expensas del corazón derecho.
  • 98.
    Fig. 12: Patrónde plétora pulmonar. A. Radiografía simple de tórax PA de una paciente con comunicación interauricular. B. Esquema de patrón de plétora. • Se aprecia aumento de tamaño de los vasos pulmonares, tanto en los hilios como en la periferia, de manera bilateral y simétrica. • La arteria pulmonar principal está aumentada de tamaño (remarcada en naranja). • Se observa también cardiomegalia global y un lóbulo de la ácigos.
  • 100.
    Fig. 13: Patrónde plétora pulmonar. Radiografías simple de tórax PA. A. Patrón de plétora previo al cierre de la CIA. B. Disminución de la plétora pulmonar tras el cierre de la CIA con un dispositivo tipo Amplatzer
  • 101.
    Patrón de oligohemiapulmonar • El pulmón oligohémico se caracteriza por una disminución del flujo a la circulación pulmonar. • La trama vascular de ambos campos pulmonares aparece disminuida en calibre y en número tanto en los hilios como en la periferia
  • 102.
    • • • • Fig. 14: Patrónde oligohemia pulmonar. A. Radiografía simple de tórax PA de un paciente con síndrome de Swyer-James-McLeod. B. Esquema de oligohemia pulmonar izquierda con vascularización normal derecha. El pulmón izquierdo está disminuido de volumen y muestra una anormal radiolucencia generalizada, causada por disminución de la vascularización pulmonar central y periférica e hiperinsuflación alveolar. El pulmón derecho tiene un patrón de vascularización normal. Cambios de esternotomía media por cirugía de prótesis de Bentall por aneurisma de aorta ascendente. Marcapasos cardiaco.
  • 104.
    Fig. 15: Patrónde oligohemia unilateral. Paciente con síndrome de Swyer-James-McLeod en pulmón izquierdo. A. Radiografía simple de tórax PA B. Reconstrucción de TC con contraste iv en modo MIP y con ventana de pulmón. • Se aprecia la oligohemia del pulmón izquierdo así como un aneurisma de aorta ascendente. C. TC con contraste iv. • Arteria pulmonar derecha normal (D). • Aneurisma de aorta ascendente. D. TC con contraste iv. • Arteria pulmonar izquierda con calibre disminuido (I).
  • 105.
    Patrón de vascularizaciónvicariante • Consiste en la visualización de la circulación arterial bronquial en la radiografía simple de tórax, que en condiciones normales no se identifica. • Cuando las arterias bronquiales se hacen patentes en los campos pulmonares se perciben como una red anárquica de líneas en contraposición a la disposición normal de los vasos pulmonares, que sigue una distribución arboriforme
  • 106.
    Fig. 16: Patrónvicariante. A y B. Detalles de una radiografía PA de un paciente con agenesia de la arteria pulmonar. • Se aprecia ausencia prácticamente total del hilio pulmonar derecho y una vascularización pulmonar reticular que constituye una red desorganizada, que corresponde a la circulación bronquial. C y D. Detalles de una radiografía PA de otro paciente con vascularización pulmonar normal. • Se percibe la distribución arboriforme de los vasos pulmonares y la morfología normal del hilio derecho.
  • 107.
    Las causas depatrón vicariante son todas aquellas que disminuyan de manera importante el aflujo de sangre a los pulmones a través de las arterias pulmonares provocando que las arterias bronquiales funcionen como colaterales causando su dilatación
  • 108.
    Fig. 17. Patrónvicariante. Paciente con agenesia de la arteria y venas pulmonares derechas y secuestro pulmonar en lóbulo inferior derecho. A. Radiografía simple de tórax PA. • El pulmón derecho está disminuido de volumen y en él se aprecia que su vasculatura no sigue una distribución centrífuga y arboriforme como en el pulmón contralateral. B. Detalle de la radiografía anterior. • La vascularización pulmonar izquierda conforma una red desorganizada, correspondiente a circulación bronquial. C. Reconstrucción coronal en modo MIP con ventana de pulmón de TC con contraste iv. • Se aprecia que la distribución de la vasculatura pulmonar izquierda no sigue un patrón arboriforme como en el pulmón contralateral. D. Reconstrucción coronal en modo MIP con ventana de mediastino de TC con contraste iv. • Se visualiza la arteria bronquial derecha y una rama de la aorta toraco-abdominal (puntas de flecha), la última responsable de la irrigación del secuestro pulmonar.
  • 109.
    Fig. 18: Patrónvicariante. TC con contraste iv. • Agenesia de la arteria pulmonar derecha (punta de flecha negra). • Arteria bronquial derecha aumentada de calibre (puntas de flecha blancas).
  • 110.
    Fig. 19: Patrónmixto de redistribución vascular venosa e hipertensión arterial pulmonar. Radiografía simple de tórax PA de una paciente con hipertensión pulmonar e insuficiencia mitral operada con válvula protésica. • Se visualiza crecimiento de los vasos pulmonares centrales con prominencia de la arteria pulmonar principal y leve amputación de los vasos más periféricos, compatible con un patrón de hipertensión arterial pulmonar. • Así mismo se aprecia que los vasos de los lóbulos superiores tienen mayor calibre que los basales en relación con hipertensión venosa. • Cambios de esternotomía media y cardiomegalia global.
  • 111.
    Fig. 20: Patrónmixto de hipertensión pulmonar y plétora. A y B. Radiografía simple de tórax PA y lateral de una paciente con ductus arterioso permeable, estenosis aórtica e hipertensión pulmonar. • Se aprecia aumento de tamaño de los vasos pulmonares de predominio central (puntas de flecha blancas), que sugiere patrón de hipertensión pulmonar. • Sin embargo también se visualizan algunos vasos periféricos aumentados de calibre, especialmente en la proyección lateral (punta de flecha negra) lo que indicaría cierto componente de plétora debido al ductus persistente. C y D. Radiografía simple de tórax PA y lateral de la misma paciente que en A y B, tras el cierre del ductus arterioso. • El componente de plétora ha disminuido pues los vasos periféricos que anteriormente estaban aumentados de calibre se han normalizado. • Se sigue percibiendo cierto aumento de tamaño de los vasos pulmonares centrales, pero en menor grado que en las radiografías previas.
  • 112.
    Bibliografía • Los patronesvasculares pulmonares en la radiografía simple de tórax. P. Rodriguez Carnero, A. Cárdenas del Carre, A. Bustos García de Castro; Madrid/ES. SERAM – 2012 • Diagnóstico por la imagen en las bronquiectasias. Casilda Olveira Fuster, Esperanza Doña Díaz, Jose Luis de la Cruz Ríos
  • 113.