TRAUMA ESPLENICO
CARACTERISTICAS GENERALES
• El bazo es un órganos sólido, altamente vascularizado localizado en el
cuadrante superior izquierdo del abdomen.
• Pesa entre 75 y 159 gramos.
• Filtra entre un 10 a 15% del volumen sanguíneo total cada minuto.
• Aproximadamente el 25% de las plaquetas totales se encuentran en el
bazo.
• 7 a 11 cm
• 150 g
• Esplenomegalia se aplica a órganos que pesan en
promedio ≥500 g y/o que tienen una longitud ≥15
cm.
• Esplenomegalia masiva: peso >1 kg o tamaño >22 cm
de largo.
• Se considera que si un bazo es palpable por debajo
del borde costal izquierdo, mide al menos el doble de
lo normal, con un peso estimado ≥750 g.
Richard L. Drake. (2010). Gray´s anatomy for
students. Barcelona España: Elsevier.
Vishram Singh. (2011). Anatomy of Abdomen and
Lower Limb . India: Elsevier.
Antecedentes
• Aunque es protegido por la caja torácica, el bazo es el órgano más
frecuentemente afectado en el trauma contuso del abdomen en
todos los grupos de edad.
• En 1893, Reigner publicó el primer documento de una esplenectomía
exitosa.
• Las mortalidad fue muy alta hasta la década de los 50´s en donde los
nuevos métodos quirúrgicos y anestésicos surgieron.
• El tratamiento conservador en esta época era predominantemente
fatal.
• Previo al descubrimiento de la TAC, la exploración física, y otros
procedimientos como el lavado peritoneal y scans con radioisótopos
eren los únicos métodos diagnósticos.
• Por lo general las lesiones esplénicas menores no eran
diagnosticadas, mientras que la regla para el px. Con trauma
abdominal e hipotensión era la “Laparotomía”.
• Con el advenimiento de la TAC los cirujanos empesaron a
concentrarse en aquellos con lesión esplénica que necesitasen cirugía
y en aquellos que podían ser observados.
• Se inició con la población pediátrica y posteriormente con los adultos.
MECANISMOS DE LESION
• TRAUMA CONTUSO
• TRAUMA PENETRANTE ( afecta también de forma importante
intestino delgado y colon)
• LESION IATROGENICA ( durante cirugías de urgencia, colonoscopias).
• Ha and Minching realizaron un estudio de lesión esplénica post
colonoscopía, documentaron 66 pacientes, de los cuales 47%
sufrieron un hematoma, 47% una laceración y el resto ruptura
esplénica.
Trauma abdominal cerrado
Bazo  40-55%
Hígado 35-45 %
Intestino delgado 5-10 %
Riñon
Vejiga
Colon
Diafragma
Páncreas
Duodeno retroperitoneal
TOWNSEND, C. et al. Sabiston Tratado de Cirurgia. 19 ed.
Rio de Janeiro: Elsevier, 2015.
TOWNSEND, C. et al. Sabiston Tratado de Cirurgia. 19 ed.
Rio de Janeiro: Elsevier, 2015.
PRESENTACION CLÍNICA
• LAS PRESENTACIONES SON MUY VARIADAS:
• Dolor leve en abdomen superior. Especialmente (hipocondrio
izquierdo)
• Dolor en el hombro izquierdo (signo de Kehr) por irritación de la raíz
del nervio subdiafragmático ipsilateral.
• Si existe sangre libre intraabdominal, se presenta como un dolor
difuso, con datos de irritación peritoneal. Si el sangrado excede el 5 al
10% del volumen sanguíneo total datos tempranos de shock se
pueden manifestar: taquicardia, taquipnea , ansiedad, palidez leve y
llenado capilar lento-
K L Mattox, D E Moore, E Feliciano. Trauma 7ed, 2013. McGraw-Hill. Injury to the spleen
TOWNSEND, C. et al. Sabiston Tratado de Cirurgia. 19 ed.
Rio de Janeiro: Elsevier, 2015.
CLASIFICACIÓN DE MIRVIS
• 1 - AVULSIÓN CAPSULAR. LACERACION SUPERFICIAL.
HEMATOMA SUBCAPSULAR <1cm.
• 2 - LACERACIÓN PARENQUIMATOSA DE 1 A 3 cm. EN
PROFUNDIDAD.
HEMATOMA CENTRAL O SUBCAPSULAR <3cm.
• 3 - LACERACIÓN DE 3 cm o más.
HEMATOMAS CENTRALES O SUBCAPSULARES < 3cm.
• 4 - FRAGMENTOS DE 3 O MAS CORTES.
DESVACULARIZACIÓN DEL BAZO O AMBAS.
• Eco FAST (focused abdominal sonographic technique) tiene una
sensibilidad de casi 100% en manos experimentadas para identificar
sangrado en cavidad abdominal.
• En estudios realizados Rozycki et al, se demostró que el FAST no tiene
la sensibilidad para identificar daño a órganos, sobre todo en los
estadios mas bajos.
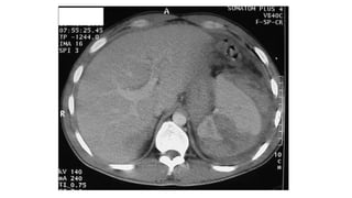
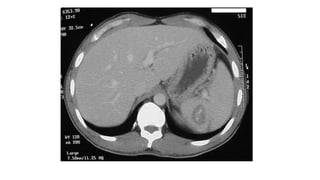
• El método de imagen clasificado como gold estándar para la
identificación de lesiones a órganos es la TAC.
ESTUDIOS DE IMAGEN
• ECO FAST.
• Se utiliza para identifica líquido libre en la cavidad abdominal.
• No es un buen método para identificar la anatomía de los órganos.
• Signos de Morrison liquido libre en hipocondrios, Douglas en
correderas parieto-cólicas.
TAC
• Se debe de utilizar solo en el paciente estable.
• Evalúa el bazo y los órganos vecinos.
• Se utiliza contraste i.v., sin contraste puede no identificar un sangrado
intraparenquimatoso.
Angiografía
• No se utiliza de primera elección, pero cada día se utiliza mas como
opción terapéutica.
• Casi siempre se realiza después de una TAC, para realizar
angioembolización
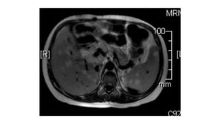
Resonancia Magnetica
• Se utiliza en pacientes con falla renal significativa o en pacientes
alérgicos al contraste.
Procedimientos diagnósticos
• Lavado peritoneal:
• Detecta sangre en la cavidad abdominal de forma rápida.
• Baja tasa de complicaciones en manos experimentadas.
• Bajo costo
• El US FAST lo ha sustitiudo, pero no ha demostrado ser mas sensible
en muchos estudios publicados
INDICACIONES
• Pacientes inestables, con sospecha de lesión esplénica y hemorragia
intraabdominal deben de ser intervenidos quirúrgicamente mediante
una laparotomía exploradora y reparación o resección del bazo.
• En un paciente con trauma contuso con inestabilidad hemodinámica
el cual no responde a cristaloides i.v. sin otros datos de sangrado
externo, se debe pensar en una lesión de víscera (bazo) hasta no
demostrar lo contrario.
• Pacientes que responden parcialmente para luego volver a
deteriorarse, también se debe de pensar en lesión a órgano con
sangrado activo.
TRATAMIENTO
• MEDICO:
• Hemodinámicamente estable
• Niveles de hemoglobina estables después de 12 – 48 horas
• Requerimientos transfusionales mínimos 2 unidades o menos
• Grados 1 y 2.
• Angioembolización
• No todos los hospitales poseen este servicio.
• Se debe tener una sala de quirófano en stand by
• Comunicación entre el radiólogo intervencionista y el cirujano
MANEJO NO OPERATORIO
• INDICACIONES:
• Pacientes con trauma abdominal contuso.
• Ausencia de hemorragia masiva (estimada por requerimientos menores a 15 cc de
hemoderivados por kg de peso)
• Estabilidad hemodinámica después de la resucitación inicial
• Disponibilidad de UCI donde el paciente pueda ser monitorizado en forma continua
durante las primeras 48 hs de internación
• Equipo quirúrgico que pueda realizar todo tipo de procedimientos en carácter de urgente.
• Equipo anestesiológico y de hemoterapia en disponibilidad permanente.
• Ausencia de lesiones intraabdominales asociadas de importancia
• Ausencia de lesiones extraabdominales que perjudiquen la evaluación del paciente (coma)
K L Mattox, D E Moore, E Feliciano. Trauma 7ed, 2013. McGraw-Hill. Injury to the spleen
Cirugía
• ESPLENECTOMIA
• Se reserva para pacientes con sangrado activo o hemodinámicamente
inestables.
• Incision en línea media da mejor exposición que una subcosta o chevron
para la porción inferior del abdomen en busca de hemorragia.
• Los ligamentos del bazo (esplenorrenal, esplenogastrico, esplenócolico,
esplenodiafragmatico) son removidos para poder rotar el bazo y poder
observar la vasculatura esplénica, se ligan la arteria y vena, se continua con
los vasos gástricos cortos. En cirugía de emergencia no importa mucho si
no se liga primerio la arteria que la vena.
• ESPLENORRAFIA o ESPLENECTOMIA PARCIAL.
• Para situaciones menos graves.
• Su objetivo es realizar hemostasia.
• Si existe lesión de la capsula y sangrado, se puede utilizar
electrocauterio de argon u otros métodos que permitan la
conservación del bazo.

PRESENTACION SOBRE TRAUMA ESPLENICO.pptx

  • 1.
  • 2.
    CARACTERISTICAS GENERALES • Elbazo es un órganos sólido, altamente vascularizado localizado en el cuadrante superior izquierdo del abdomen. • Pesa entre 75 y 159 gramos. • Filtra entre un 10 a 15% del volumen sanguíneo total cada minuto. • Aproximadamente el 25% de las plaquetas totales se encuentran en el bazo.
  • 3.
    • 7 a11 cm • 150 g • Esplenomegalia se aplica a órganos que pesan en promedio ≥500 g y/o que tienen una longitud ≥15 cm. • Esplenomegalia masiva: peso >1 kg o tamaño >22 cm de largo. • Se considera que si un bazo es palpable por debajo del borde costal izquierdo, mide al menos el doble de lo normal, con un peso estimado ≥750 g. Richard L. Drake. (2010). Gray´s anatomy for students. Barcelona España: Elsevier.
  • 4.
    Vishram Singh. (2011).Anatomy of Abdomen and Lower Limb . India: Elsevier.
  • 5.
    Antecedentes • Aunque esprotegido por la caja torácica, el bazo es el órgano más frecuentemente afectado en el trauma contuso del abdomen en todos los grupos de edad. • En 1893, Reigner publicó el primer documento de una esplenectomía exitosa. • Las mortalidad fue muy alta hasta la década de los 50´s en donde los nuevos métodos quirúrgicos y anestésicos surgieron. • El tratamiento conservador en esta época era predominantemente fatal.
  • 6.
    • Previo aldescubrimiento de la TAC, la exploración física, y otros procedimientos como el lavado peritoneal y scans con radioisótopos eren los únicos métodos diagnósticos. • Por lo general las lesiones esplénicas menores no eran diagnosticadas, mientras que la regla para el px. Con trauma abdominal e hipotensión era la “Laparotomía”. • Con el advenimiento de la TAC los cirujanos empesaron a concentrarse en aquellos con lesión esplénica que necesitasen cirugía y en aquellos que podían ser observados. • Se inició con la población pediátrica y posteriormente con los adultos.
  • 7.
    MECANISMOS DE LESION •TRAUMA CONTUSO • TRAUMA PENETRANTE ( afecta también de forma importante intestino delgado y colon) • LESION IATROGENICA ( durante cirugías de urgencia, colonoscopias). • Ha and Minching realizaron un estudio de lesión esplénica post colonoscopía, documentaron 66 pacientes, de los cuales 47% sufrieron un hematoma, 47% una laceración y el resto ruptura esplénica.
  • 8.
    Trauma abdominal cerrado Bazo 40-55% Hígado 35-45 % Intestino delgado 5-10 % Riñon Vejiga Colon Diafragma Páncreas Duodeno retroperitoneal TOWNSEND, C. et al. Sabiston Tratado de Cirurgia. 19 ed. Rio de Janeiro: Elsevier, 2015.
  • 9.
    TOWNSEND, C. etal. Sabiston Tratado de Cirurgia. 19 ed. Rio de Janeiro: Elsevier, 2015.
  • 10.
    PRESENTACION CLÍNICA • LASPRESENTACIONES SON MUY VARIADAS: • Dolor leve en abdomen superior. Especialmente (hipocondrio izquierdo) • Dolor en el hombro izquierdo (signo de Kehr) por irritación de la raíz del nervio subdiafragmático ipsilateral. • Si existe sangre libre intraabdominal, se presenta como un dolor difuso, con datos de irritación peritoneal. Si el sangrado excede el 5 al 10% del volumen sanguíneo total datos tempranos de shock se pueden manifestar: taquicardia, taquipnea , ansiedad, palidez leve y llenado capilar lento-
  • 11.
    K L Mattox,D E Moore, E Feliciano. Trauma 7ed, 2013. McGraw-Hill. Injury to the spleen
  • 12.
    TOWNSEND, C. etal. Sabiston Tratado de Cirurgia. 19 ed. Rio de Janeiro: Elsevier, 2015.
  • 13.
    CLASIFICACIÓN DE MIRVIS •1 - AVULSIÓN CAPSULAR. LACERACION SUPERFICIAL. HEMATOMA SUBCAPSULAR <1cm. • 2 - LACERACIÓN PARENQUIMATOSA DE 1 A 3 cm. EN PROFUNDIDAD. HEMATOMA CENTRAL O SUBCAPSULAR <3cm. • 3 - LACERACIÓN DE 3 cm o más. HEMATOMAS CENTRALES O SUBCAPSULARES < 3cm. • 4 - FRAGMENTOS DE 3 O MAS CORTES. DESVACULARIZACIÓN DEL BAZO O AMBAS.
  • 14.
    • Eco FAST(focused abdominal sonographic technique) tiene una sensibilidad de casi 100% en manos experimentadas para identificar sangrado en cavidad abdominal. • En estudios realizados Rozycki et al, se demostró que el FAST no tiene la sensibilidad para identificar daño a órganos, sobre todo en los estadios mas bajos. • El método de imagen clasificado como gold estándar para la identificación de lesiones a órganos es la TAC.
  • 15.
    ESTUDIOS DE IMAGEN •ECO FAST. • Se utiliza para identifica líquido libre en la cavidad abdominal. • No es un buen método para identificar la anatomía de los órganos. • Signos de Morrison liquido libre en hipocondrios, Douglas en correderas parieto-cólicas.
  • 17.
    TAC • Se debede utilizar solo en el paciente estable. • Evalúa el bazo y los órganos vecinos. • Se utiliza contraste i.v., sin contraste puede no identificar un sangrado intraparenquimatoso.
  • 20.
    Angiografía • No seutiliza de primera elección, pero cada día se utiliza mas como opción terapéutica. • Casi siempre se realiza después de una TAC, para realizar angioembolización
  • 22.
    Resonancia Magnetica • Seutiliza en pacientes con falla renal significativa o en pacientes alérgicos al contraste.
  • 24.
    Procedimientos diagnósticos • Lavadoperitoneal: • Detecta sangre en la cavidad abdominal de forma rápida. • Baja tasa de complicaciones en manos experimentadas. • Bajo costo • El US FAST lo ha sustitiudo, pero no ha demostrado ser mas sensible en muchos estudios publicados
  • 26.
    INDICACIONES • Pacientes inestables,con sospecha de lesión esplénica y hemorragia intraabdominal deben de ser intervenidos quirúrgicamente mediante una laparotomía exploradora y reparación o resección del bazo. • En un paciente con trauma contuso con inestabilidad hemodinámica el cual no responde a cristaloides i.v. sin otros datos de sangrado externo, se debe pensar en una lesión de víscera (bazo) hasta no demostrar lo contrario. • Pacientes que responden parcialmente para luego volver a deteriorarse, también se debe de pensar en lesión a órgano con sangrado activo.
  • 27.
    TRATAMIENTO • MEDICO: • Hemodinámicamenteestable • Niveles de hemoglobina estables después de 12 – 48 horas • Requerimientos transfusionales mínimos 2 unidades o menos • Grados 1 y 2. • Angioembolización • No todos los hospitales poseen este servicio. • Se debe tener una sala de quirófano en stand by • Comunicación entre el radiólogo intervencionista y el cirujano
  • 28.
    MANEJO NO OPERATORIO •INDICACIONES: • Pacientes con trauma abdominal contuso. • Ausencia de hemorragia masiva (estimada por requerimientos menores a 15 cc de hemoderivados por kg de peso) • Estabilidad hemodinámica después de la resucitación inicial • Disponibilidad de UCI donde el paciente pueda ser monitorizado en forma continua durante las primeras 48 hs de internación • Equipo quirúrgico que pueda realizar todo tipo de procedimientos en carácter de urgente. • Equipo anestesiológico y de hemoterapia en disponibilidad permanente. • Ausencia de lesiones intraabdominales asociadas de importancia • Ausencia de lesiones extraabdominales que perjudiquen la evaluación del paciente (coma) K L Mattox, D E Moore, E Feliciano. Trauma 7ed, 2013. McGraw-Hill. Injury to the spleen
  • 29.
    Cirugía • ESPLENECTOMIA • Sereserva para pacientes con sangrado activo o hemodinámicamente inestables. • Incision en línea media da mejor exposición que una subcosta o chevron para la porción inferior del abdomen en busca de hemorragia. • Los ligamentos del bazo (esplenorrenal, esplenogastrico, esplenócolico, esplenodiafragmatico) son removidos para poder rotar el bazo y poder observar la vasculatura esplénica, se ligan la arteria y vena, se continua con los vasos gástricos cortos. En cirugía de emergencia no importa mucho si no se liga primerio la arteria que la vena.
  • 30.
    • ESPLENORRAFIA oESPLENECTOMIA PARCIAL. • Para situaciones menos graves. • Su objetivo es realizar hemostasia. • Si existe lesión de la capsula y sangrado, se puede utilizar electrocauterio de argon u otros métodos que permitan la conservación del bazo.

Notas del editor

  • #5 El bazo se encuentra en el hipocondrio izquierdo entre el fondo del estómago y el diafragma, detrás de la línea axilar media, frente al 9, 10, y 11 de las costillas.