LUXACIÓN DE CADERA
EPIDEMIOLOGIA (Luxación de cadera)
 Es una emergencia ortopédica
 Hasta el 50% se asocian a otras fracturaras o luxaciones.
 Casi todas las luxaciones posteriores de la cadera son producto de accidentes de
trafico.
 Mayormente en hombres (16 a 40 años).
 Las luxaciones posteriores constituyen el 90% y las anteriores entre un 10-
15%
 La incidencia de osteonecrosis de la cabeza del fémur se sitúa en el 2% al 17% de
los pacientes, mientras que el 16% desarrolla artrosis postraumática
 El nervio ciático se lesiona en el 10 a 20% de las luxaciones posteriores.
 LIGAMENTOS
 ESTABILIZADORES
Extraarticulares
• Ligamento ileofemoral
• Ligamento pubofemoral
• Ligamento isquifemoral
Intraarticulares
• Ligamento de la cabeza
del femur
• Ligamento transverso
ANATOMIA
ANATOMIA
Mecanismo de acción
 Las luxaciones normalmente se producen por traumatismos de alta energía.
 Anterior: Brusca abducción y rotación externa
 Central: Traumatismo lateral sobre el trocánter mayor
 Posteriores más frecuentes: traumatismo anteroposterior sobre la cadera en
flexión
VALORACIÓN CLINICA
 Exploración traumática completa
 Son frec. Las asociaciones de fxs: como de acetábulo, fémur, rodilla ,
rotula de la pelvis o de la columna.
 los pxs presentan un dolor importante que le imposibilita la movilidad
del miembro inf.
 Ligero acortamiento del miembro afectado
 Pacientes con luxación posterior: llegan con la cadera en posición de
flexión , rotación interna y aducción.
 Pacientes con luxación anterior: mantienen la cadera en marcada
rotación externa , con ligera flexión y abducción
Lux. posterior
Lux. anterior
Valoración clínica
 Evaluar la función del nervio ciático (pre-reducción)
 Flexo-extension del pie.
 Pie caído- no flexión y extensión(debilidad de peroneos)
Valoración de imagen
Proyección anteroposterior
de la pelvis
En una AP: observar la línea
de Shenton continua y
regular.
Hay que valorar el cuello del
fémur para descartar una
fractura antes de realizar
maniobras de reducción .
La proyección oblicuas a 45°
(Judet) son útiles para valorar
si hay frag. Osteocondrales ,
el acetábulo y fx de femur.
Tras la reducción se toma
una TC.
La RM útil para valoración
del cartilago articular y
vascularización
CLASIFICACIÓN

LUXACIONES POSTERIORES 85-90%
LUXACIONES ANTERIORES 10-15%
LUXACIONES CENTRALES 2-3 %
LUXACIÓN POSTERIOR
 Las más frecuentes
 Se clasifican según 1)la relación de la cabeza del fémur con el
acetábulo 2) la existencia o no de una fx.
Clasificación de Thompson y Epstein
Tipo I : Luxación simple con o sin un fragmento insignificante de la
pared posterior
Tipo II : Luxación asociada a un único gran fragmento de la pared
posterior
Tipo III : Luxación con un fragmento conminuto de la pared posterior.
Tipo IV: Luxación simple con una fx del suelo del acetábulo
Tipo V: Luxación con una fx de la cabeza del fémur (pipkin)
Tipo IV
LUXACIÓN ANTERIOR
 Constituyen el 10-15% de los casos
Tipo I : Superior o púbicas (Riesgo de lesión del
paquete neurovascular femoral)
Tipo II: Inferiores incluyendo la lux. Obturatriz y
perineal.
IA: Sin fx asociada IIA: Sin fx asociada
IB:Con fx asociada de la cabeza o cuello femoral IIB: Con fx asociada de la cabeza o el cuello
femoral
IC: Con fx asociada del acetábulo IIIC: con fx asociada del acetábulo
Tipo 1
Tipo 2
Tipo IIA
TIPO IIB
TIPO IIC
TRATAMIENTO
Es necesario reducir la cadera de forma inmediata para disminuir el
riesgo de osteonecrosis de la cabeza del fémur.
Hay controversia si debe hacerse con una técnica abierta o cerrada.
El pronostico a largo plazo es peor si la reducion (Cerrada o abieta) se
retrasa mas de 12 hrs.
Reducción cerrada
Reducción con anestesia general
Maniobra de Allis
Maniobra de Stimson
Maniobra de Bigelow
• Independientemente de la dirección de la luxación se puede intentar mediante tracción
en el eje del miembro con el paciente en decúbito supino
• Dentro de las primeras 6-12 hrs para evitar necrosis
Maniobra de Allis
 Para lux. Posteriores. Tracción constante en la línea del fémur, asociada a contratación
estabilizando la pelvis.
- Rotación interna
- Aducción para reducir la cadera
- La presencia de un chasquido audible es signo de que se ha conseguido la reducción
Técnica de gravedad de Stimson
 Px en decúbito prono, con la pierna afectada por fuera , flexión de la cadera en
90° y rodilla en 90°
 Ayudante inmoviliza la pelivis y el medico aplica fuerza en dirección ant. Sobre la
pantorrilla, con ayuda de la gravedad se logra la reducción
Maniobra de Bigelow
 Bigelow: tracción longitudinal, luego abducción, después rotación externa y por
ultimo extensión.
 Bigelow inversa: para lux. Ant: tracción , luego aducción , después rotación interna
y por ultimo extensión.
Otras:
Posterior a la reducción cerrada
Se debe obtener una AP de la pelvis para confirmar la reducción
Tras la reducción y valoración de la estabilidad bebe hacerse una
TC.
Reducción abierta
 Indicaciones de la reducción abierta en una luxación
de cadera:
 Luxación irreducible de manera cerrada
 Reducción inestable
 Fx del acetábulo o de la cabeza del fémur que
requiera escisión o reducción abierta y fijación
interna
 Fx ipsilateral del cuello del fémur
 Luxaciones tipo III a V (lux. Posteriores)
Reducción abierta (Abordaje posterior)
Kocher-langebeck: Permite explorar el nervio ciático, retirar fragmentos posteriores
Reducción abierta :(Abordaje anterior)
 Smith-Peterson: para lux. posteriores asociadas con fx asiladas de la cabeza de fémur
 Watson- jones (ant.lateral) para lux. Anteriores asociadas con fx de cabeza o cuello del fémur
Post- reducción cerrada o abierta
 El tratamiento varia desde cortos periodos de reposo hasta tracción esquelética de
duración variable.
 Debemos evitar la carga total precoz para disminuir el riesgo de desarrollar una
necrosis avascular de cabeza femoral se recomienda carga parcial en un inicio.
 Si la reducción es concéntrica y estable: tras un corto periodo de tiempo de reposo
en cama se permite la carga protegida durante 4-6 sem
 Si la reducción es concéntrica pero inestable: debería considerarse la intervención
quirúrgica, seguida por protección en la carga de peso.
Pronostico
 Los resultados van desde una cadera normal hasta una art. Muy dolorosa con
cambios degenerativos.
 Las lux posteriores simples 70-80% Obtienen resultados excelentes, a diferencia si
se les asocia a fx de fémur o acetábulo
 Las lux. Anteriores se asocian mas con fx de la cabeza del fémur
Complicaciones
 Las complicaciones pueden ser tempranas o tardías, dependiendo del momento de
su presentación.
Tempranas Tardías
• Lesión del nervio ciático (10-
15%)en lux. Post.
• Lesión vascular en lux. ant
• Luxación irreductible (5%- 15%)
• Osteonecrosis (5-40%)sobre todo en
reducciones después de las primeras 6 hrs,
aparece varios años después.
• Artrosis postraumática es la + frec.,su
incidencia es alta asociada a fx de acetábulo
o fx transcenderles de fémur.
• Miosotis osificarte < 2%
• Luxación recurrente es rara < 2%
Artrosis postraumatica
Desaparición de la cabeza femoral derecha
por necrosis avascular

Luxación de cadera anterior, central y posterior

  • 1.
  • 2.
    EPIDEMIOLOGIA (Luxación decadera)  Es una emergencia ortopédica  Hasta el 50% se asocian a otras fracturaras o luxaciones.  Casi todas las luxaciones posteriores de la cadera son producto de accidentes de trafico.  Mayormente en hombres (16 a 40 años).  Las luxaciones posteriores constituyen el 90% y las anteriores entre un 10- 15%  La incidencia de osteonecrosis de la cabeza del fémur se sitúa en el 2% al 17% de los pacientes, mientras que el 16% desarrolla artrosis postraumática  El nervio ciático se lesiona en el 10 a 20% de las luxaciones posteriores.
  • 3.
     LIGAMENTOS  ESTABILIZADORES Extraarticulares •Ligamento ileofemoral • Ligamento pubofemoral • Ligamento isquifemoral Intraarticulares • Ligamento de la cabeza del femur • Ligamento transverso
  • 5.
  • 6.
  • 7.
    Mecanismo de acción Las luxaciones normalmente se producen por traumatismos de alta energía.  Anterior: Brusca abducción y rotación externa  Central: Traumatismo lateral sobre el trocánter mayor  Posteriores más frecuentes: traumatismo anteroposterior sobre la cadera en flexión
  • 8.
    VALORACIÓN CLINICA  Exploracióntraumática completa  Son frec. Las asociaciones de fxs: como de acetábulo, fémur, rodilla , rotula de la pelvis o de la columna.  los pxs presentan un dolor importante que le imposibilita la movilidad del miembro inf.  Ligero acortamiento del miembro afectado  Pacientes con luxación posterior: llegan con la cadera en posición de flexión , rotación interna y aducción.  Pacientes con luxación anterior: mantienen la cadera en marcada rotación externa , con ligera flexión y abducción Lux. posterior Lux. anterior
  • 9.
    Valoración clínica  Evaluarla función del nervio ciático (pre-reducción)  Flexo-extension del pie.  Pie caído- no flexión y extensión(debilidad de peroneos)
  • 10.
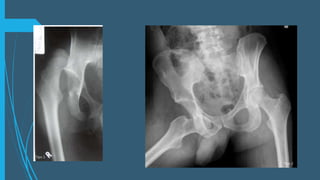
    Valoración de imagen Proyecciónanteroposterior de la pelvis En una AP: observar la línea de Shenton continua y regular. Hay que valorar el cuello del fémur para descartar una fractura antes de realizar maniobras de reducción . La proyección oblicuas a 45° (Judet) son útiles para valorar si hay frag. Osteocondrales , el acetábulo y fx de femur. Tras la reducción se toma una TC. La RM útil para valoración del cartilago articular y vascularización
  • 11.
    CLASIFICACIÓN  LUXACIONES POSTERIORES 85-90% LUXACIONESANTERIORES 10-15% LUXACIONES CENTRALES 2-3 %
  • 12.
    LUXACIÓN POSTERIOR  Lasmás frecuentes  Se clasifican según 1)la relación de la cabeza del fémur con el acetábulo 2) la existencia o no de una fx. Clasificación de Thompson y Epstein Tipo I : Luxación simple con o sin un fragmento insignificante de la pared posterior Tipo II : Luxación asociada a un único gran fragmento de la pared posterior Tipo III : Luxación con un fragmento conminuto de la pared posterior. Tipo IV: Luxación simple con una fx del suelo del acetábulo Tipo V: Luxación con una fx de la cabeza del fémur (pipkin)
  • 15.
  • 17.
    LUXACIÓN ANTERIOR  Constituyenel 10-15% de los casos Tipo I : Superior o púbicas (Riesgo de lesión del paquete neurovascular femoral) Tipo II: Inferiores incluyendo la lux. Obturatriz y perineal. IA: Sin fx asociada IIA: Sin fx asociada IB:Con fx asociada de la cabeza o cuello femoral IIB: Con fx asociada de la cabeza o el cuello femoral IC: Con fx asociada del acetábulo IIIC: con fx asociada del acetábulo
  • 18.
  • 20.
  • 21.
  • 22.
    TRATAMIENTO Es necesario reducirla cadera de forma inmediata para disminuir el riesgo de osteonecrosis de la cabeza del fémur. Hay controversia si debe hacerse con una técnica abierta o cerrada. El pronostico a largo plazo es peor si la reducion (Cerrada o abieta) se retrasa mas de 12 hrs.
  • 23.
    Reducción cerrada Reducción conanestesia general Maniobra de Allis Maniobra de Stimson Maniobra de Bigelow • Independientemente de la dirección de la luxación se puede intentar mediante tracción en el eje del miembro con el paciente en decúbito supino • Dentro de las primeras 6-12 hrs para evitar necrosis
  • 24.
    Maniobra de Allis Para lux. Posteriores. Tracción constante en la línea del fémur, asociada a contratación estabilizando la pelvis. - Rotación interna - Aducción para reducir la cadera - La presencia de un chasquido audible es signo de que se ha conseguido la reducción
  • 25.
    Técnica de gravedadde Stimson  Px en decúbito prono, con la pierna afectada por fuera , flexión de la cadera en 90° y rodilla en 90°  Ayudante inmoviliza la pelivis y el medico aplica fuerza en dirección ant. Sobre la pantorrilla, con ayuda de la gravedad se logra la reducción
  • 26.
    Maniobra de Bigelow Bigelow: tracción longitudinal, luego abducción, después rotación externa y por ultimo extensión.  Bigelow inversa: para lux. Ant: tracción , luego aducción , después rotación interna y por ultimo extensión.
  • 27.
  • 28.
    Posterior a lareducción cerrada Se debe obtener una AP de la pelvis para confirmar la reducción Tras la reducción y valoración de la estabilidad bebe hacerse una TC.
  • 29.
    Reducción abierta  Indicacionesde la reducción abierta en una luxación de cadera:  Luxación irreducible de manera cerrada  Reducción inestable  Fx del acetábulo o de la cabeza del fémur que requiera escisión o reducción abierta y fijación interna  Fx ipsilateral del cuello del fémur  Luxaciones tipo III a V (lux. Posteriores)
  • 30.
    Reducción abierta (Abordajeposterior) Kocher-langebeck: Permite explorar el nervio ciático, retirar fragmentos posteriores
  • 31.
    Reducción abierta :(Abordajeanterior)  Smith-Peterson: para lux. posteriores asociadas con fx asiladas de la cabeza de fémur  Watson- jones (ant.lateral) para lux. Anteriores asociadas con fx de cabeza o cuello del fémur
  • 32.
    Post- reducción cerradao abierta  El tratamiento varia desde cortos periodos de reposo hasta tracción esquelética de duración variable.  Debemos evitar la carga total precoz para disminuir el riesgo de desarrollar una necrosis avascular de cabeza femoral se recomienda carga parcial en un inicio.  Si la reducción es concéntrica y estable: tras un corto periodo de tiempo de reposo en cama se permite la carga protegida durante 4-6 sem  Si la reducción es concéntrica pero inestable: debería considerarse la intervención quirúrgica, seguida por protección en la carga de peso.
  • 33.
    Pronostico  Los resultadosvan desde una cadera normal hasta una art. Muy dolorosa con cambios degenerativos.  Las lux posteriores simples 70-80% Obtienen resultados excelentes, a diferencia si se les asocia a fx de fémur o acetábulo  Las lux. Anteriores se asocian mas con fx de la cabeza del fémur
  • 34.
    Complicaciones  Las complicacionespueden ser tempranas o tardías, dependiendo del momento de su presentación. Tempranas Tardías • Lesión del nervio ciático (10- 15%)en lux. Post. • Lesión vascular en lux. ant • Luxación irreductible (5%- 15%) • Osteonecrosis (5-40%)sobre todo en reducciones después de las primeras 6 hrs, aparece varios años después. • Artrosis postraumática es la + frec.,su incidencia es alta asociada a fx de acetábulo o fx transcenderles de fémur. • Miosotis osificarte < 2% • Luxación recurrente es rara < 2%
  • 35.
    Artrosis postraumatica Desaparición dela cabeza femoral derecha por necrosis avascular