TRAUMA HEPATICO
Y ESPLÉNICO
FRANMIS VILLENA PÉREZ
Dr: MC. Uceda Martos César Ismael
CIRUGIA II
ANATOMIA TOPOGRAFICA
TRAUMA HEPATICO
DEFINICION:
 Lesión del hígado por trauma cerrado o
penetrante, tanto del abdomen como de la parte
inferior del tórax derecho.
 La mortalidad asociada con el trauma cerrado es
mayor, del orden de 25%, que con el trauma
penetrante
 La mortalidad global varia entre 7% y 15%, y se
acrecienta según la severidad del trauma y la
presencia de lesiones intra-abdominales asociadas
Clasificación
SEGÚN LA CAUSA:
 Trauma cerrado
- Compresión brusca
- Desaceleración
- Hematoma subcapsular o intrahepática
- Disrupción de la capsula de Glisson
- Fractura hepático (desvitalización, amputación de segmentos)
- Componente penetrante (fractura costal)
 Trauma penetrante
- Por proyectil de arma de fuego (>desvitalización)
- Por arma cortopunzante
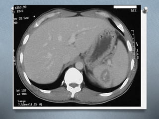
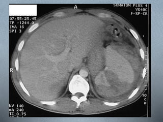
a - Hematomas: únicos o múltiple con un centro de
alta
densidad rodeado de otro de baja densidad. Diferentes
trabajos han comunicado una frecuencia de hasta un
12% de hematomas subcapsulares con una capacidad
de resolución hasta de ocho semanas. Los
intraparenquimatosos pueden tardar hasta 6 meses en
curarse.
b - Laceraciones: son lesiones lineales o en ramas.
c - Fragmentación: se produce por avulsión no realza
con
el contraste.
d - Hemorragias periportales. Hipodensas. Suelen
aparecer hasta en el 65% de los pacientes.
TRAUMA HEPATICO
LESIONES GRADO I.
O HEMATOMA
O SUBCAPSULAR MENOR
DEL 10%
O DESGARRO
O CAPSULAR MENOR DE UN
CM.
TRAUMA HEPATICO
LESIONES GRADO II.
O HEMATOMA
O SUBCAPSULAR 10 – 50%
O INTRAPARENQUIMATOSO
MENOR DE 10 CM
O DESGARRO
O CAPSULAR 1 a 3 CM
O MENOR DE 10 CM
TRAUMA HEPATICO
LESIONES GRADO III.
O HEMATOMA
O SUBCAPSULAR MAYOR
50%
O EXPANSION
SUBCAPSULAR
O ROTO
O DESGARRO
O INTRAPARENQUIMATOSO
MAYOR 10 CM.
O EXPANSION
O PROFUNDIDAD MAYOR
DE 3 CMS
TRAUMA HEPATICO
LESIONES GRADO IV.
O DESGARRO
O RUPTURA DEL
PARENQUIMA ENTRE
25 A 75%
O AFECTA DE UNO A
TRES SEGMENTOS
TRAUMA HEPATICO
LESIONES GRADO V.
O DESGARRO
O RUPTURA DEL
PARENQUIMA AFECTA
MAS DEL 75%
O MAS DE TRES
SEGMENTOS
O VASCULAR
O LESIONES VENOSAS
YUXTAHEPATICAS
O GRANDES VENAS
O CAVA RETROHEPATICA
O VENAS HEPATICAS CENTRALES
MAYORES
Diagnóstico
 Sintomatología no
especifica (múltiples
lesiones asociadas)
 Hipovolemia
 Abdomen distendido
 Anemia
Diagnóstico
 TRAUMA PENETRANTE
- Dirección del proyectil
- TAC en pacientes estables
 TRAUMA CERRADO
- Abrasiones, equimosis o dolor a la palpación
- Fracturas costales o signos de trauma sobre
el hemitórax inferior derecho
- Inestabilidad hemodinámica o shock franco
- Punción o lavado peritoneal positivos para
sangre o bilis
Diagnóstico
 Ultrasonografía
 TAC
 Lavado peritoneal diagnóstico
 Arteriografía (rol importante en el manejo
no operatorio de la hemorragia y la
hemobilia)
 Resonancia magnética
 Laparoscopia
 Laparotomía exploratoria
Tratamiento
Orientado a:
Control de la hemorragia
Prevención de la infección
(principal causa de muerte en pacientes
con trauma hepático es la hemorragia con
desangramiento; la segunda es la sepsis,
intra o extra abdominal.)
INDICACIÓN:
 Grados I, II
 Estabilidad hemodinámica
 Integridad neurológica
 Definición de la lesión por TAC
 Ausencia de lesiones intraabdominales
concomitantes
 Mínimo requerimiento de transfusiones
sanguíneas < a 2 unidades de sangre
Manejo operatorio
INDICACIÓN
Grados III, IV, V, VI
Inestabilidad hemodinámica
Descenso continuo del
hematocrito
Irritación peritoneal
Manejo operatorio
INSICIÓN (la que provea mejor exposición)
 Insición subcostal derecha con extensión hasta el flanco.
EXPLORACIÓN
 Presencia de sangre o coágulos
 En caso de sangrado, el empaquetamiento temporal
mientras se evalúa el resto de la cavidad abdominal esta
indicada.
MOVILIZACIÓN DEL HIGADO
 Mediante división de los ligamentos suspensorios
 Excepto en las heridas del tracto gastrointestinal
Manejo operatorio
O Las lesiones hepáticas complejas (grado III y IV) se
tratan mejor siguiendo los cincos pasos secuenciales
:
O a. Oclusión de la tríada portal (maniobra de Pringle)
O b. Fractura digital del parénquima
hepático(hepatotomía), con exposición de vasos y
conductos biliares para su ligadura selectiva.
O c. Debridamiento del tejido no viable.
O d. Colocación de un pedículo epiploico, con
conservación
O de su circuación.
O e. Drenaje cerrado por aspiración.
Manejo operatorio
control de la hemorragia
 En fracturas retrohepáticas, evitar retracción
anterior (exanguinación total)
 Empaquetamiento (evitar compresión vascular,
reintervención < 72 horas)
 Maniobra de Pringle (oclusión < 1 hora)
 Sutura del parénquima hepático (evitar estructuras
centrales vasculares y suturar sitio de entrada y salida)
 Suturas de colchonero profundas (*1) cuando hay
múltiples lesiones vinculadas que requieren una reparación rápida;
2)cuando una cuagulopatía exige la terminación rápida de la
operación, el taponamiento y la reexploración subsecuente.)
 Balones de taponamiento (sonda Foley, balón de
Sengstaken-Blakemore, taponamiento temporal, retirar antes de 72
horas)
Control de la hemorragia
Manejo OperatorioDESBRIDAMIENTO DE TEJIDO
DESVITALIZADO
 Técnica de fractura digital + maniobra de Pringle
 Contraindicación: coagulopatía
COLOCACIÓN DE UN PEDICULO
VASCULARIZADO
DE EPIPLON
COLOCACIÓN DE DRENES
Dren se succión cerrada Jackson-Pratt
Manejo operatorio
otras técnicasHEPATECTOMIA
 Destrucción total del parénquima
 Lesión extensa que impida el taponamiento
 Lesión resecante
HEPATORRAFIA CON MALLA
CONTROL DE ESCAPE DE BILIS (a cavidad peritoneal)
TRANSPLANTE
AGENTES HEMOSTASICOS
- Celulosa regenerada oxidada (Oxicel ®)
- Colágeno microfibrilar hemostático (Avitene o Instat ®)
- Goma de fibrina (fibrin-glue) entre otros .
Shunt atriocava
 Trauma grado V, VI
Complicaciones
Sangrado pos-operatorio
Abscesos
Fístula arterio-portal intrahepática
Fístula biliar
Bilioma
Bilemia
CARACTERISTICAS GENERALES
O El bazo es un órganos sólido, altamente
vascularizado localizado en el cuadrante superior
izquierdo del abdomen.
O Pesa entre 75 y 159 gramos.
O Filtra entre un 10 a 15% del volumen sanguíneo
total cada minuto.
O Aproximadamente el 25% de las plaquetas totales
se encuentran en el bazo.
TRAUMA
ESPLENICO
MECANISMOS DE LESION
O TRAUMA CONTUSO
O TRAUMA PENETRANTE ( afecta también de
forma importante intestino delgado y colon)
O LESION IATROGENICA ( durante cirugías de
urgencia, colonoscopias).
O Ha and Minching realizaron un estudio de lesión
esplénica post colonoscopía, documentaron 66
pacientes, de los cuales 47% sufrieron un
hematoma, 47% una laceración y el resto ruptura
esplénica.
GRADOS DE LESION Organ
Injury Scaling (OIS)
O GRADO I · HEMATOMA: SUBCAPSULAR <10% DE
SUPERFICIE.
LACERACION: RUPTURA CAPSULAR <1cm DE
PROFUN.
O GRADOII · HEMATOMA: SUBCAPSULAR 10 AL 50% DE
SUPERFICIE, O INTRAPARENQUIMATOSO <5cm
DE DIAMETRO.
LACERACION: DE 1 A 3cm DE PROFUNDIDAD.
O GRADO III · HEMATOMA: SUBCAPSULAR, > 50% DE
SUPERFICIE,
RUPTURA DE HEMATOMA CENTRAL O
SUPERFICIAL.
O GRADO IV · LACERACION QUE INVOLUCRA VASOS
SEGMENT. O HILIARES CON
DESVASCULARIZACION > 25%.
HEMATOMA: INTRAPARENQUIMATOSO ROTO
CON SANGRADO ACTIVO.
O GRADO V · LACERACION: ESTALLIDO COMPLETO.
VASCULAR : DESVASCULARIZACION TOTAL
POR LESION HILIAR.
CLASIFICACIÓN DE MIRVIS
O 1 - AVULSIÓN CAPSULAR. LACERACION
SUPERFICIAL.
HEMATOMA SUBCAPSULAR <1cm.
O 2 - LACERACIÓN PARENQUIMATOSA DE 1 A 3 cm. EN
PROFUNDIDAD.
HEMATOMA CENTRAL O SUBCAPSULAR <3cm.
O 3 - LACERACIÓN DE 3 cm o más.
HEMATOMAS CENTRALES O SUBCAPSULARES <
3cm.
O 4 - FRAGMENTOS DE 3 O MAS CORTES.
DESVACULARIZACIÓN DEL BAZO O AMBAS.
INDICACIONES
O Pacientes inestables, con sospecha de lesión
esplénica y hemorragia intraabdominal deben de
ser intervenidos quirúrgicamente mediante una
laparotomía exploradora y reparación o resección
del bazo.
O En un paciente con trauma contuso con
inestabilidad hemodinámica el cual no responde a
cristaloides i.v. sin otros datos de sangrado
externo, se debe pensar en una lesión de víscera
(bazo) hasta no demostrar lo contrario.
O Pacientes que responden parcialmente para luego
volver a deteriorarse, también se debe de pensar
en lesión a órgano con sangrado activo.
ESTUDIOS DE IMAGEN
O ECO FAST.
O Se utiliza para identifica líquido libre en la
cavidad abdominal.
O No es un buen método para identificar la
anatomía de los órganos.
O Signos de Morrison liquido libre en
hipocondrios, Douglas en correderas
parieto-cólicas.
TAC
O Se debe de utilizar solo en el paciente
estable.
O Evalúa el bazo y los órganos vecinos.
O Se utiliza contraste i.v., sin contraste
puede no identificar un sangrado
intraparenquimatoso.
Angiografía
O No se utiliza de primera elección, pero
cada día se utiliza mas como opción
terapéutica.
O Casi siempre se realiza después de una
TAC, para realizar angioembolización
Procedimientos diagnósticos
O Lavado peritoneal:
O Detecta sangre en la cavidad abdominal
de forma rápida.
O Baja tasa de complicaciones en manos
experimentadas.
O Bajo costo
O El US FAST lo ha sustitiudo, pero no ha
demostrado ser mas sensible en muchos
estudios publicados
TRATAMIENTO
O MEDICO:
O Hemodinámicamente estable
O Niveles de hemoglobina estables después de
12 – 48 horas
O Requerimientos transfusionales mínimos 2
unidades o menos
O Grados 1 y 2.
O Angioembolización
O No todos los hospitales poseen este servicio.
O Se debe tener una sala de quirófano en stand
by
O Comunicación entre el radiólogo
intervencionista y el cirujano
Cirugía
O ESPLENECTOMIA
O Se reserva para pacientes con sangrado activo o
hemodinámicamente inestables.
O Incision en línea media da mejor exposición que una
subcosta o chevron para la porción inferior del
abdomen en busca de hemorragia.
O Los ligamentos del bazo (esplenorrenal,
esplenogastrico, esplenócolico,
esplenodiafragmatico) son removidos para poder
rotar el bazo y poder observar la vasculatura
esplénica, se ligan la arteria y vena, se continua con
los vasos gástricos cortos. En cirugía de emergencia
no importa mucho si no se liga primerio la arteria que
la vena.
O ESPLENORRAFIA o ESPLENECTOMIA
PARCIAL.
O Para situaciones menos graves.
O Su objetivo es realizar hemostasia.
O Si existe lesión de la capsula y sangrado,
se puede utilizar electrocauterio de argon
u otros métodos que permitan la
conservación del bazo.
OGRACIAS!!!

Trauma hepatico y esplénico expo

  • 1.
    TRAUMA HEPATICO Y ESPLÉNICO FRANMISVILLENA PÉREZ Dr: MC. Uceda Martos César Ismael CIRUGIA II
  • 2.
  • 3.
    TRAUMA HEPATICO DEFINICION:  Lesióndel hígado por trauma cerrado o penetrante, tanto del abdomen como de la parte inferior del tórax derecho.  La mortalidad asociada con el trauma cerrado es mayor, del orden de 25%, que con el trauma penetrante  La mortalidad global varia entre 7% y 15%, y se acrecienta según la severidad del trauma y la presencia de lesiones intra-abdominales asociadas
  • 4.
    Clasificación SEGÚN LA CAUSA: Trauma cerrado - Compresión brusca - Desaceleración - Hematoma subcapsular o intrahepática - Disrupción de la capsula de Glisson - Fractura hepático (desvitalización, amputación de segmentos) - Componente penetrante (fractura costal)  Trauma penetrante - Por proyectil de arma de fuego (>desvitalización) - Por arma cortopunzante
  • 8.
    a - Hematomas:únicos o múltiple con un centro de alta densidad rodeado de otro de baja densidad. Diferentes trabajos han comunicado una frecuencia de hasta un 12% de hematomas subcapsulares con una capacidad de resolución hasta de ocho semanas. Los intraparenquimatosos pueden tardar hasta 6 meses en curarse. b - Laceraciones: son lesiones lineales o en ramas. c - Fragmentación: se produce por avulsión no realza con el contraste. d - Hemorragias periportales. Hipodensas. Suelen aparecer hasta en el 65% de los pacientes.
  • 9.
    TRAUMA HEPATICO LESIONES GRADOI. O HEMATOMA O SUBCAPSULAR MENOR DEL 10% O DESGARRO O CAPSULAR MENOR DE UN CM.
  • 10.
    TRAUMA HEPATICO LESIONES GRADOII. O HEMATOMA O SUBCAPSULAR 10 – 50% O INTRAPARENQUIMATOSO MENOR DE 10 CM O DESGARRO O CAPSULAR 1 a 3 CM O MENOR DE 10 CM
  • 11.
    TRAUMA HEPATICO LESIONES GRADOIII. O HEMATOMA O SUBCAPSULAR MAYOR 50% O EXPANSION SUBCAPSULAR O ROTO O DESGARRO O INTRAPARENQUIMATOSO MAYOR 10 CM. O EXPANSION O PROFUNDIDAD MAYOR DE 3 CMS
  • 12.
    TRAUMA HEPATICO LESIONES GRADOIV. O DESGARRO O RUPTURA DEL PARENQUIMA ENTRE 25 A 75% O AFECTA DE UNO A TRES SEGMENTOS
  • 13.
    TRAUMA HEPATICO LESIONES GRADOV. O DESGARRO O RUPTURA DEL PARENQUIMA AFECTA MAS DEL 75% O MAS DE TRES SEGMENTOS O VASCULAR O LESIONES VENOSAS YUXTAHEPATICAS O GRANDES VENAS O CAVA RETROHEPATICA O VENAS HEPATICAS CENTRALES MAYORES
  • 14.
    Diagnóstico  Sintomatología no especifica(múltiples lesiones asociadas)  Hipovolemia  Abdomen distendido  Anemia
  • 15.
    Diagnóstico  TRAUMA PENETRANTE -Dirección del proyectil - TAC en pacientes estables  TRAUMA CERRADO - Abrasiones, equimosis o dolor a la palpación - Fracturas costales o signos de trauma sobre el hemitórax inferior derecho - Inestabilidad hemodinámica o shock franco - Punción o lavado peritoneal positivos para sangre o bilis
  • 16.
    Diagnóstico  Ultrasonografía  TAC Lavado peritoneal diagnóstico  Arteriografía (rol importante en el manejo no operatorio de la hemorragia y la hemobilia)  Resonancia magnética  Laparoscopia  Laparotomía exploratoria
  • 17.
    Tratamiento Orientado a: Control dela hemorragia Prevención de la infección (principal causa de muerte en pacientes con trauma hepático es la hemorragia con desangramiento; la segunda es la sepsis, intra o extra abdominal.)
  • 19.
    INDICACIÓN:  Grados I,II  Estabilidad hemodinámica  Integridad neurológica  Definición de la lesión por TAC  Ausencia de lesiones intraabdominales concomitantes  Mínimo requerimiento de transfusiones sanguíneas < a 2 unidades de sangre Manejo operatorio
  • 20.
    INDICACIÓN Grados III, IV,V, VI Inestabilidad hemodinámica Descenso continuo del hematocrito Irritación peritoneal Manejo operatorio
  • 21.
    INSICIÓN (la queprovea mejor exposición)  Insición subcostal derecha con extensión hasta el flanco. EXPLORACIÓN  Presencia de sangre o coágulos  En caso de sangrado, el empaquetamiento temporal mientras se evalúa el resto de la cavidad abdominal esta indicada. MOVILIZACIÓN DEL HIGADO  Mediante división de los ligamentos suspensorios  Excepto en las heridas del tracto gastrointestinal Manejo operatorio
  • 22.
    O Las lesioneshepáticas complejas (grado III y IV) se tratan mejor siguiendo los cincos pasos secuenciales : O a. Oclusión de la tríada portal (maniobra de Pringle) O b. Fractura digital del parénquima hepático(hepatotomía), con exposición de vasos y conductos biliares para su ligadura selectiva. O c. Debridamiento del tejido no viable. O d. Colocación de un pedículo epiploico, con conservación O de su circuación. O e. Drenaje cerrado por aspiración.
  • 23.
    Manejo operatorio control dela hemorragia  En fracturas retrohepáticas, evitar retracción anterior (exanguinación total)  Empaquetamiento (evitar compresión vascular, reintervención < 72 horas)  Maniobra de Pringle (oclusión < 1 hora)  Sutura del parénquima hepático (evitar estructuras centrales vasculares y suturar sitio de entrada y salida)  Suturas de colchonero profundas (*1) cuando hay múltiples lesiones vinculadas que requieren una reparación rápida; 2)cuando una cuagulopatía exige la terminación rápida de la operación, el taponamiento y la reexploración subsecuente.)  Balones de taponamiento (sonda Foley, balón de Sengstaken-Blakemore, taponamiento temporal, retirar antes de 72 horas)
  • 24.
    Control de lahemorragia
  • 25.
    Manejo OperatorioDESBRIDAMIENTO DETEJIDO DESVITALIZADO  Técnica de fractura digital + maniobra de Pringle  Contraindicación: coagulopatía COLOCACIÓN DE UN PEDICULO VASCULARIZADO DE EPIPLON COLOCACIÓN DE DRENES Dren se succión cerrada Jackson-Pratt
  • 26.
    Manejo operatorio otras técnicasHEPATECTOMIA Destrucción total del parénquima  Lesión extensa que impida el taponamiento  Lesión resecante HEPATORRAFIA CON MALLA CONTROL DE ESCAPE DE BILIS (a cavidad peritoneal) TRANSPLANTE AGENTES HEMOSTASICOS - Celulosa regenerada oxidada (Oxicel ®) - Colágeno microfibrilar hemostático (Avitene o Instat ®) - Goma de fibrina (fibrin-glue) entre otros .
  • 27.
  • 28.
    Complicaciones Sangrado pos-operatorio Abscesos Fístula arterio-portalintrahepática Fístula biliar Bilioma Bilemia
  • 29.
    CARACTERISTICAS GENERALES O Elbazo es un órganos sólido, altamente vascularizado localizado en el cuadrante superior izquierdo del abdomen. O Pesa entre 75 y 159 gramos. O Filtra entre un 10 a 15% del volumen sanguíneo total cada minuto. O Aproximadamente el 25% de las plaquetas totales se encuentran en el bazo. TRAUMA ESPLENICO
  • 30.
    MECANISMOS DE LESION OTRAUMA CONTUSO O TRAUMA PENETRANTE ( afecta también de forma importante intestino delgado y colon) O LESION IATROGENICA ( durante cirugías de urgencia, colonoscopias). O Ha and Minching realizaron un estudio de lesión esplénica post colonoscopía, documentaron 66 pacientes, de los cuales 47% sufrieron un hematoma, 47% una laceración y el resto ruptura esplénica.
  • 31.
    GRADOS DE LESIONOrgan Injury Scaling (OIS) O GRADO I · HEMATOMA: SUBCAPSULAR <10% DE SUPERFICIE. LACERACION: RUPTURA CAPSULAR <1cm DE PROFUN. O GRADOII · HEMATOMA: SUBCAPSULAR 10 AL 50% DE SUPERFICIE, O INTRAPARENQUIMATOSO <5cm DE DIAMETRO. LACERACION: DE 1 A 3cm DE PROFUNDIDAD. O GRADO III · HEMATOMA: SUBCAPSULAR, > 50% DE SUPERFICIE, RUPTURA DE HEMATOMA CENTRAL O SUPERFICIAL.
  • 32.
    O GRADO IV· LACERACION QUE INVOLUCRA VASOS SEGMENT. O HILIARES CON DESVASCULARIZACION > 25%. HEMATOMA: INTRAPARENQUIMATOSO ROTO CON SANGRADO ACTIVO. O GRADO V · LACERACION: ESTALLIDO COMPLETO. VASCULAR : DESVASCULARIZACION TOTAL POR LESION HILIAR.
  • 33.
    CLASIFICACIÓN DE MIRVIS O1 - AVULSIÓN CAPSULAR. LACERACION SUPERFICIAL. HEMATOMA SUBCAPSULAR <1cm. O 2 - LACERACIÓN PARENQUIMATOSA DE 1 A 3 cm. EN PROFUNDIDAD. HEMATOMA CENTRAL O SUBCAPSULAR <3cm. O 3 - LACERACIÓN DE 3 cm o más. HEMATOMAS CENTRALES O SUBCAPSULARES < 3cm. O 4 - FRAGMENTOS DE 3 O MAS CORTES. DESVACULARIZACIÓN DEL BAZO O AMBAS.
  • 34.
    INDICACIONES O Pacientes inestables,con sospecha de lesión esplénica y hemorragia intraabdominal deben de ser intervenidos quirúrgicamente mediante una laparotomía exploradora y reparación o resección del bazo. O En un paciente con trauma contuso con inestabilidad hemodinámica el cual no responde a cristaloides i.v. sin otros datos de sangrado externo, se debe pensar en una lesión de víscera (bazo) hasta no demostrar lo contrario. O Pacientes que responden parcialmente para luego volver a deteriorarse, también se debe de pensar en lesión a órgano con sangrado activo.
  • 35.
    ESTUDIOS DE IMAGEN OECO FAST. O Se utiliza para identifica líquido libre en la cavidad abdominal. O No es un buen método para identificar la anatomía de los órganos. O Signos de Morrison liquido libre en hipocondrios, Douglas en correderas parieto-cólicas.
  • 36.
    TAC O Se debede utilizar solo en el paciente estable. O Evalúa el bazo y los órganos vecinos. O Se utiliza contraste i.v., sin contraste puede no identificar un sangrado intraparenquimatoso.
  • 39.
    Angiografía O No seutiliza de primera elección, pero cada día se utiliza mas como opción terapéutica. O Casi siempre se realiza después de una TAC, para realizar angioembolización
  • 41.
    Procedimientos diagnósticos O Lavadoperitoneal: O Detecta sangre en la cavidad abdominal de forma rápida. O Baja tasa de complicaciones en manos experimentadas. O Bajo costo O El US FAST lo ha sustitiudo, pero no ha demostrado ser mas sensible en muchos estudios publicados
  • 43.
    TRATAMIENTO O MEDICO: O Hemodinámicamenteestable O Niveles de hemoglobina estables después de 12 – 48 horas O Requerimientos transfusionales mínimos 2 unidades o menos O Grados 1 y 2. O Angioembolización O No todos los hospitales poseen este servicio. O Se debe tener una sala de quirófano en stand by O Comunicación entre el radiólogo intervencionista y el cirujano
  • 44.
    Cirugía O ESPLENECTOMIA O Sereserva para pacientes con sangrado activo o hemodinámicamente inestables. O Incision en línea media da mejor exposición que una subcosta o chevron para la porción inferior del abdomen en busca de hemorragia. O Los ligamentos del bazo (esplenorrenal, esplenogastrico, esplenócolico, esplenodiafragmatico) son removidos para poder rotar el bazo y poder observar la vasculatura esplénica, se ligan la arteria y vena, se continua con los vasos gástricos cortos. En cirugía de emergencia no importa mucho si no se liga primerio la arteria que la vena.
  • 45.
    O ESPLENORRAFIA oESPLENECTOMIA PARCIAL. O Para situaciones menos graves. O Su objetivo es realizar hemostasia. O Si existe lesión de la capsula y sangrado, se puede utilizar electrocauterio de argon u otros métodos que permitan la conservación del bazo.
  • 50.